사 업 보 고 서
(제 11 기)
| 사업연도 | 2024년 01월 01일 | 부터 |
| 2024년 12월 31일 | 까지 |
| 금융위원회 | |
| 한국거래소 귀중 | 2025년 3월 21일 |
| 제출대상법인 유형 : | 주권상장법인 |
| 면제사유발생 : | 해당사항 없음 |
| 회 사 명 : | 에스씨엠생명과학 주식회사 |
| 대 표 이 사 : | 송기령 |
| 본 점 소 재 지 : | 인천광역시 연수구 갯벌로 145번길 7-7 (송도동) |
| (전 화) 032-881-3600 | |
| (홈페이지) http://www.scmlifescience.com |
|
| 작 성 책 임 자 : | (직 책) 부사장 (성 명) 고세원 |
| (전 화) 032-881-3600 | |
【 대표이사 등의 확인 】
![]() |
|
대표이사 등의 확인서 |
I. 회사의 개요
1. 회사의 개요
에스씨엠생명과학 주식회사(이하 당사)는 원천기술인 층분리배양법을 보유한 줄기세포치료제 전문 기업으로 기존 농도구배원심분리법의 균일하지 않은 저순도ㆍ저효능 줄기세포치료제 양산을 해결하고자 원천기술인 층분리배양법을 개발하였으며, 차세대 고순도ㆍ고효능의 줄기세포치료제를 개발하기 위한 목적으로 2014년 07월 02일에 설립되어 2020년 06월 코스닥 시장에 상장하였습니다. 당사는 줄기세포치료제 개발을 위하여 만성 이식편대숙주질환(임상 2상 임상시험대상자 등록 및 투약 완료), 중등증-중증 급성 췌장염(임상 1/2a상 완료), 중등증-중증 아토피 피부염(임상 1/2상 완료) 3가지 임상파이프라인을 진행하고 있습니다. 또한, 조직공학치료제로 미국 유타대학교와 공동연구로 Cell Sheet를 이용한 섬유화증 치료제를 개발 중이며, 2022년 10월 31일, 인하대병원 및 인하대학교와 기술사업화 추진에 대한 공동업무협약이 체결되어 인천 송도 바이오클러스터 차원에서 산학연병의 연구성과가 사업화 성과로 창출하는데 당사의 ESG 경영 역량을 기여하고 있습니다.
가. 연결대상 종속회사 개황
가-1. 연결대상 종속회사 현황(요약) : 해당사항 없음
| (단위 : 사) |
| 구분 | 연결대상회사수 | 주요 종속회사수 |
|||
|---|---|---|---|---|---|
| 기초 | 증가 | 감소 | 기말 | ||
| 상장 | - | - | - | - | - |
| 비상장 | - | - | - | - | - |
| 합계 | - | - | - | - | - |
| ※상세 현황은 '상세표-1. 연결대상 종속회사 현황(상세)' 참조 |
가-2. 연결대상회사의 변동내용 : 해당사항 없음
| 구 분 | 자회사 | 사 유 |
|---|---|---|
| 신규 연결 |
- | - |
| - | - | |
| 연결 제외 |
- | - |
| - | - |
나. 회사의 법적ㆍ상업적 명칭
당사의 명칭은 "에스씨엠생명과학 주식회사"이며, 영문으로는 "SCM Lifescience, Inc."로 표기합니다.
다. 설립일자
당사는 2014년 07월 02일에 설립되었습니다.
라. 본사의 주소, 전화번호, 홈페이지 주소
| 구 분 | 내 용 |
|---|---|
| 주소 | 인천광역시 연수구 갯벌로 145번길 7-7 (송도동) |
| 전화번호 | 032-881-3600 |
| 홈페이지 주소 | http:// www.scmlifescience.com |
마. 중소기업 등 해당 여부
| 중소기업 해당 여부 | 해당 | |
| 벤처기업 해당 여부 | 해당 | |
| 중견기업 해당 여부 | 미해당 | |
바. 대한민국에 대리인이 있는 경우에는 이름(대표자), 주소 및 연락처
당사는 보고서 작성기준일 현재 해당사항이 없습니다.
사. 주요 사업의 내용 및 향후 추진하려는 신규사업
당사는 현재 독자적인 줄기세포분리기술인 '층분리배양법'을 기반으로 줄기세포치료제를 연구개발하고 있으며, 2022년 10월 인하대학교, 인하대병원과의 전략적 기술사업화 추진 공동 업무 협약 체결을 기반으로 에스씨엠생명과학의 고순도, 고효율 줄기세포를 연계한 다분야 연구를 추진 중에 있습니다. 기타 자세한 사항은 『Ⅱ. 사업의 내용』부분을 참고하시기 바랍니다.
아. 신용평가에 관한 사항
당사는 보고서 작성기준일 현재 해당사항이 없습니다.
자. 회사의 주권상장(또는 등록ㆍ지정) 및 특례상장에 관한 사항
| 주권상장 (또는 등록ㆍ지정)현황 |
주권상장 (또는 등록ㆍ지정)일자 |
특례상장 유형 |
|---|---|---|
| 코스닥시장 상장 | 2020년 06월 17일 | 기술성장기업의 코스닥시장 상장 |
2. 회사의 연혁
가. 회사의 본점소재지 및 그 변경
| 연 월 | 소재지 | 비고 |
|---|---|---|
| 2014.07 | 인천광역시 중구 서해대로 366, 310호(신흥동3가, 정석빌딩) | 설립 |
| 2020.06 | 인천광역시 연수구 갯벌로 145번길 7-7 (송도동) | 이전 |
나. 경영진 및 감사의 중요한 변동
| 변동일자 | 주총종류 | 선임 | 임기만료 또는 해임 |
|
|---|---|---|---|---|
| 신규 | 재선임 | |||
| 2020년 03월 31일 | 정기주총 | 사외이사 최희주 | - | - |
| 2020년 07월 02일 | - | - | 사내이사 송순욱 | - |
| 2021년 03월 26일 | 정기주총 | - | 대표이사 이병건 | - |
| 2021년 11월 12일 | - | 대표이사 송순욱 | - | 대표이사 이병건 (사임) |
| 2022년 03월 28일 | 정기주총 | 사내이사 오형남, 사내이사 이종철, 사외이사 문종호, 기타비상무이사 송기령 |
감사 정선영, 기타비상무이사 레오나드아리프 압둘샤타르 |
사외이사 최희주 (사임) |
| 2022년 07월 22일 | 임시주총 | 사내이사 손병관 | - | - |
| 2022년 07월 22일 | - | 대표이사 손병관 | - | - |
| 2022년 10월 22일 | - | - | - | 사외이사 이희성 |
| 2023년 03월 29일 | 정기주총 | - | 사외이사 이희성 | - |
| 2024년 03월 31일 | - | - | - | 대표이사 손병관 (사임) |
| 2024년 04월 08일 | - | - | - | 사외이사 문종호 (사임) |
| 2024년 06월 30일 | - | - | - |
사외이사 이희성 (사임) |
| 2024년 10월 04일 | 임시주총 | 사내이사 김성우, 사내이사 송기령 사외이사 김기병, 사외이사 안진호 |
- | 기타비상무이사 송기령 (사임) |
| 2024년 10월 08일 | - | 대표이사 송기령 | - | - |
| 2024년 10월 11일 | - | - | - | 사내이사 오형남 (사임), 사내이사 이종철 (사임) |
| 2024년 10월 15일 | - | - | - | 사내이사 김성우 (사임) |
| 주1) | 주총종류 항목에서 -는 이사회 결의사항입니다. |
| 주2) | 손병관 대표이사는 2024년 3월 31일 일신상의 사유로 자진 사임하셨습니다. |
| 주3) | 문종호 사외이사는 2024년 4월 8일 일신상의 사유로 자진 사임하셨습니다. |
| 주4) | 이희성 사외이사는 2024년 6월 30일 일신상의 사유로 자진 사임하셨습니다. |
| 주5) | 오형남 전무이사, 이종철 전무이사는 2024년 10월 11일 일신상의 사유로 자진 사임하셨습니다. |
| 주6) | 김성우 사내이사는 2024년 10월 15일 일신상의 이유로 사임하셨습니다. |
다. 최대주주의 변동
| (기준일 : | 2024년 12월 31일 | ) | (단위 : 주, %) |
| 변동일 | 최대주주명 | 소유주식수 | 지분율 | 변동원인 | 비 고 |
|---|---|---|---|---|---|
| 2022년 09월 20일 | 송기령 | 2,846,000 | 23.48% | 상속절차 완료 | 주1) |
| 주1) | 당사는 기존 최대주주 송순욱의 별세(2022년 03월 10일)로 인한 상속절차가 2022년 09월 20일 완료됨에 따라 최대주주가 송기령으로 변경되었습니다. |
| 주2) | 상기 소유주식수 및 지분율은 변동일 당시 특수관계인 합산 소유주식수 및 지분율입니다. |
라. 상호의 변경
당사는 2022년 3월 28일 영문 사명을 SCM Lifescience Inc.에서 SCM Lifescience, Inc.로 변경하였습니다. 자세한 사항은 해당일 공시를 참조 바랍니다.
마. 회사가 화의, 회사정리절차 그 밖에 이에 준하는 절차를 밟은 적이 있거나 현재 진행 중인 경우 그 내용과 결과
당사는 보고서 작성기준일 현재 해당사항이 없습니다.
바. 회사가 합병등을 한 경우 그 내용
당사는 보고서 작성기준일 현재 해당사항이 없습니다.
사. 회사의 업종 또는 주된 사업의 변화
당사는 보고서 작성기준일 현재 해당사항이 없습니다.
아. 그 밖에 경영활동과 관련된 중요한 사항의 발생내용
| 연 월 | 내 용 |
|---|---|
| 2020.01 | 코스닥시장 상장을 위한 상장예비심사 승인 |
| 2020.02 | SCM-AGH 중등증-중증 아토피 피부염 1/2상 임상시험 계획 승인 |
| 2020.06 | 코스닥시장 상장 |
| 본점소재지 변경 (송도) | |
| 2020.07 | 미국 PBS Biotech와 줄기세포 대량생산 공정개발 및 최적화에 대한 계약 체결 |
| 2020.08 | 미국 Tera Immune과 자가면역질환 세포치료제 공동 연구개발을 위한 양해각서(MOU)를 체결 |
| 2020.10 | 대만 Steminent Biotherapeutics와 척수소뇌성 실조증 국내 판권 및 기술이전 계약 체결 |
| 2020.11 | 줄기세포의 층분리 배양 및 증식 방법에 대한 특허 등록 (일본 6786554) |
| 2021.04 | 클로날 줄기세포를 포함하는 췌장염 치료용 약학적 조성물 (한국 10-2247136) |
| 2021.05 | 클로날 줄기세포를 포함하는 이식편대숙주질환 치료용 약학적 조성물 (한국 10-2258890) |
| CXCL1(chemokine (C-X-C motif) ligand 1) 단백질을 유효성분으로 포함하는 탈모 예방 또는 치료용 약학적 조성물 (중국 107693780) | |
| 2021.06 | 줄기세포의 기능강화용 조성물 특허 등록 (한국 10-2268242) |
| 미국 Vita Theraeputics에 유도만능줄기세포 파이프라인 확장을 위한 지분 투자 | |
| 미국 Allele Biotechnology and Pharmaceuticals와 당뇨병 치료제 국내 판권 및 기술이전 계약 체결 | |
| 2021.08 | 조절T세포 매개성 질환의 예방 또는 치료용 약학적 조성물 (미국 11096967) |
| 2021.11 | 이병건 대표이사 사임 |
| 송순욱 대표이사 취임 | |
| hPL 함유 배지에서 배양된 중간엽 줄기세포의 배양액을 포함하는 화장품 조성물에 대한 특허 등록 (한국 10-2323056) | |
| 2021.12 | 단일 클로날 줄기세포를 이용한 아토피 피부염 치료 방법에 대한 특허 등록 (한국 10-2341080) |
| 2022.02 | 줄기세포의 층분리 배양 및 증식 방법 특허 등록 (미국 11248210) |
| 이로로 문양 iroro 상표권 등록 (일본 6520049) | |
| 2022.04 | 종합건축사무소예건사와 CMP 제조소 신축공사 설계용역 계약체결 |
| 2022.05 | NUTREATMENT 문자 상표권 등록 (일본 6559513) |
| 2022.06 | NUTREATMENT 문자 상표권 등록 (중국 60939563) |
| 2022.07 | 손병관 대표이사 취임 |
| 2022.08 | Iroro Nutreatment 상표권 등록 (말레이시아 TM2021026990) |
| SCM Specialized Cell Medicine 상표권 등록 (한국 40-1898236) | |
| 클로날 줄기세포를 포함하는 아토피 치료용 약학적 조성물에 대한 특허 등록 (미국 11413313) | |
| 줄기세포의 층분리 배양 및 증식 방법에 대한 특허 등록 (말레이시아 MY-192390-A) | |
| 2022.09 | 줄기세포의 층분리 배양 및 증식 방법에 대한 특허 등록 (베트남 33654) |
| 듀오파마와 이로로 제품 유통 관련 할랄 개발 계약 체결 | |
| 2022.10 | 인하대학교, 인하대병원, 에스씨엠생명과학 주식회사 전략적 기술사업화 추진 공동 업무 협약 체결 |
| 줄기세포의 층분리 배양 및 증식 방법 특허 등록 (싱가포르 10201805163Y) | |
| 2022.11 | 에스씨엠생명과학(주)-유타대학교 공동연구팀 NIMS 어위드 2022 수상 |
| 2022.12 | 에스씨엠생명과학(주)-유타대학교 공동연구팀 원천기술 중간엽 줄기세포 활용 조직공학 논문 국제 학술지 게재 |
| 국제소화기학술대회(KDDW2022) 중등증-중증 급성 췌장염 줄기세포치료제 임상 결과 발표 및 최우수 초록 수상 | |
| 2023.01 | 염증 자극된 중간엽 줄기세포를 포함하는 면역질환 또는 염증 질환의 예방 또는 치료용 약학적 조성물에 대한 특허 등록 (일본 7212371) |
| 줄기세포 프라이밍 조성물 및 프라이밍된 줄기세포에 대한 특허 등록 (한국 10-2492888) | |
| 2023.03 | 클로날 줄기세포를 포함하는 췌장염 치료용 약학적 조성물에 대한 특허 등록 (대만 I796536) |
| 2023.04 | 줄기세포의 층분리 배양 및 증식 방법에 대한 특허 등록 (중국 ZL201811177646.1) |
| Iroro Nutreatment 상표권 등록 (한국 40-2011288) | |
| Iroro Nutreatment 문자 상표권 등록 (한국 40-2011289) | |
| Iroro Nuvon 문자 상표권 등록 (일본 6693728) | |
| 2023.06 | hPL 함유 배지에서 배양된 중간엽 줄기세포의 배양액을 포함하는 화장료 조성물에 대한 특허 등록 (일본 7291427) |
| 국제 소화기학 저널 Gastroenterology 2023년 6월호, 중등증-중증 급성췌장염 1/2a상 임상결과 논문 게재 | |
| 2023.07 | 줄기세포의 층분리 배양 및 증식 방법에 대한 특허 등록 (인도네시아 IDP000088471) |
| 줄기세포 프라이밍 조성물 및 프라이밍된 줄기세포에 대한 특허 출원 (미국 18/259,130 외 9개국) | |
| 2023.08 | 클로날 줄기세포를 포함하는 아토피 피부염 예방 또는 치료용 약학적 조성물에 대한 특허 등록 (한국 10-2693872) |
| 2023.09 | ㈜이즈블랑과 이로로 뉴본 스킨케어 제품 일본 독점 판권 계약 체결 |
| 유상증자 (증자 후 자본금 8,528백만원) | |
| 무상증자 (증자 후 자본금 10,234백만원) | |
| 2023.11 | 제노프리 배지를 이용한 줄기세포 대량 생산 방법에 대한 특허 출원 (한국 10-2024-0168072) |
| 2023.12 | Cell Death & Disease 2023년 12월호, 중간엽 줄기세포 면역조절 기전 Ahr 관여 논문 게재 |
| 중간엽 줄기세포의 신속 층 | |
| 2024.02 | 줄기세포의 기능강화용 조성물에 대한 특허 등록 (일본 7430010) |
| 2024.03 | 중간엽 줄기세포의 신속 층분리 배양 방법에 대한 특허 출원(한국 10-2024-0034117) |
| 중간엽 줄기세포의 대량 배양 방법에 대한 특허 출원(한국 10-2024-0034118) | |
| 조절 T세포 매개성 질환의 예방 또는 치료용 약학적 조성물에 대한 특허 등록 (싱가포르 10201912046V) | |
| 레지나스킨메디컬과 이로로 전 제품 홍콩 독점 공급 유통 계약 체결 | |
| 손병관 대표이사 사임 | |
| 2024.05 | 체리 트레이딩과 이로로 전 제품 베트남 독점 공급 유통 계약 체결 |
| 클로날 줄기세포를 포함하는 아토피 치료용 약학적 조성물에 대한 특허 등록 (일본, 7493814) | |
| 2024.06 | 면역학 분야 저널 Journal of Allergy and Clinical Immunology 중등증-중증 아토피 피부염 1/2상 임상 결과 논문 게재 |
| 2024.07 | 줄기세포 조건화 배지와 병풀 엑소좀을 함유하는 화장료 조성물 출원(한국 10-2024-0098531) |
| 클로날 줄기세포를 포함하는 췌장염, 이식편대숙주질환 치료용 약학적 조성물에 대한 특허 등록 (유럽 3909591 / 3903794) | |
| 클로날 줄기세포를 포함하는 아토피 피부염 예방 또는 치료용 약학적 조성물에 대한 특허 등록 (한국 10-2693872) | |
| 2024.10 | 기능강화 줄기세포를 포함하는 아토피 피부염 예방 또는 치료용 조성물에 대한 특허 등록 (한국 10-2717862) |
| 클로날 줄기세포를 포함하는 아토피 치료용 약학적 조성물에 대한 특허 등록 (중국 ZL201980086599.6) | |
| 송기령 대표이사 취임 |
3. 자본금 변동사항
가.자본금 변동추이
작성기준 현재, 당사는 소규모 기업에 해당하므로 기재를 생략합니다.
4. 주식의 총수 등
가. 주식의 총수 현황
| (기준일 : | 2024년 12월 31일 | ) | (단위 : 주, %) |
| 구 분 | 주식의 종류 | 비고 | |||
|---|---|---|---|---|---|
| 보통주 | 종류주 | 합계 | |||
| Ⅰ. 발행할 주식의 총수 | 70,000,000 | 30,000,000 | 100,000,000 | - | |
| Ⅱ. 현재까지 발행한 주식의 총수 | 20,467,248 | 3,409,231 | 23,876,479 | - | |
| Ⅲ. 현재까지 감소한 주식의 총수 | - | 3,409,231 | 3,409,231 | - | |
| 1. 감자 | - | - | - | - | |
| 2. 이익소각 | - | - | - | - | |
| 3. 상환주식의 상환 | - | - | - | - | |
| 4. 기타 | - | 3,409,231 | 3,409,231 | 보통주 전환 | |
| Ⅳ. 발행주식의 총수 (Ⅱ-Ⅲ) | 20,467,248 | - | 20,467,248 | - | |
| Ⅴ. 자기주식수 | 6,638 | - | 6,638 | - | |
| Ⅵ. 유통주식수 (Ⅳ-Ⅴ) | 20,460,610 | - | 20,460,610 | - | |
| Ⅶ. 자기주식 보유비율 | 0.03 | - | 0.03 | - | |
나. 자기주식 취득 및 처분 현황
| (기준일 : | 2024년 12월 31일 | ) | (단위 : 주) |
| 취득방법 | 주식의 종류 | 기초수량 | 변동 수량 | 기말수량 | 비고 | ||||
|---|---|---|---|---|---|---|---|---|---|
| 취득(+) | 처분(-) | 소각(-) | |||||||
| 배당 가능 이익 범위 이내 취득 |
직접 취득 |
장내 직접 취득 |
보통주 | - | - | - | - | - | - |
| 우선주 | - | - | - | - | - | - | |||
| 장외 직접 취득 |
보통주 | - | - | - | - | - | - | ||
| 우선주 | - | - | - | - | - | - | |||
| 공개매수 | 보통주 | - | - | - | - | - | - | ||
| 우선주 | - | - | - | - | - | - | |||
| 소계(a) | 보통주 | - | - | - | - | - | - | ||
| 우선주 | - | - | - | - | - | - | |||
| 신탁 계약에 의한 취득 |
수탁자 보유물량 | 보통주 | - | - | - | - | - | - | |
| 우선주 | - | - | - | - | - | - | |||
| 현물보유물량 | 보통주 | - | - | - | - | - | - | ||
| 우선주 | - | - | - | - | - | - | |||
| 소계(b) | 보통주 | - | - | - | - | - | - | ||
| 우선주 | - | - | - | - | - | - | |||
| 기타 취득(c) | 보통주 | 6,638 | - | - | - | 6,638 | 주1) | ||
| 우선주 | - | - | - | - | - | - | |||
| 총 계(a+b+c) | 보통주 | 6,638 | - | - | - | 6,638 | - | ||
| 우선주 | - | - | - | - | - | - | |||
| 주1) | 당사는 2023년 9월 18일 무상증자로 인해 단수주가 발생하여 해당 주식 수만큼 자기주식을 취득하였습니다. |
다. 자기주식 직접 취득/처분 이행현황
당사는 보고서 작성 기준일 현재 해당사항이 없습니다.
라. 자기주식 신탁계약 체결/해지 이행현황
당사는 보고서 작성 기준일 현재 해당사항이 없습니다.
마. 종류주식(명칭) 발행현황
당사는 보고서 작성 기준일 현재 해당사항이 없습니다.
5. 정관에 관한 사항
가. 정관의 최근 개정일
정관의 최근 개정일은 제11기 임시주주총회일인 2024년 10월 4일입니다.
나. 정관 변경 이력
| 정관변경일 | 해당주총명 | 주요변경사항 | 변경이유 |
|---|---|---|---|
| 2021년 03월 26일 | 제7기 정기주주총회 |
제1조(상호) 제2조(목적) 제8조의2(주식등의 전자등록) 제12조(주식매수선택권) 제13조(신주의 동등배당) 제17조(주주명부의 폐쇄 및 기준일) 제18조(전환사채의 발행) 제19조(신주인수권부사채의 발행) 제21조(소집시기) 제46조(감사의 선임·해임) 제52조(재무제표 등의 작성 등) 제54조(이익배당) |
- 영문사명에 주식회사로 명확히 표기 - 목적사항 추가 - 비상장 사채 등 의무등록 대상이 아닌 주식등에 대해서는 전자등록을 하지 않을 수 있도록 함. - 이사회 결의로 주식매수선택권 부여 가능 - 동등배당 원칙을 명시 배당기준일 설정 후 신주발행에 의한 주주간 이해관계 상충을 방지 - 삭제 - 자금조달을 위한 전환사채 발행한도 증액 - 전환사채를 주식으로 전환하는 경우 이자의 지급에 관한 내용을 삭제 - 자금조달을 위한 신주인수권부사채 발행한도 증액 - 삭제 - 감사선임에 관한 조문정비 - 전자투표 도입 시 감사선임의 주주총회 결의요건 완화에 관한 내용을 반영 - 감사해임에 관한 조문정비 - 감사 선임 또는 해임 시 의결권 제한에 관한 내용을 반영 - 정기주주총회 개최시기의 유연성을 확보하기 위하여 조문을 정비 - 배당기준일을 이사회 결의로 정하는 날로 설정할 수 있도록 함 |
| 2022년 03월 28일 | 제8기 정기주주총회 |
제1조(상호) 제8조(주권의 발행과 종류) 제13조(신주의 동등배당) 제15조(명의개서대리인) 제16조(주주 등의 주소, 성명 및 인감 또는 서명 등 신고) 제16조의2(주주명부) 제20조(사채발행에 관한 준용규정) 제23조(소집통지) 제30조(의결권의 대리행사) 제33조(이사의 수) 제35조(이사의 임기) |
- 단순문구수정 - 단순문구수정 - 신주의 동등배당과 관련되지 않은 규정조항 삭제 - 단순문구수정 - 단순문구수정, 전자등록계좌부에 주식 등을 전자등록하는 경우 비관련 규정 삭제 - 주주명부의 작성 및 비치에 관한 조항 신설 - 단순문구수정 - 단순문구수정, 서면에 의한 의결권을 인정하지 않음에 따른 관련규정 삭제, 주주총회 소집통지 효율화를 위한 조항 신설 - 서면에 의한 의결권을 인정하지 않음에 따른 관련규정 삭제 - 이사의 수에 대한 이사회운영규정과 일치하는 조항 신설 - 이사의 보선에 대한 내용 보완 조항 신설 |
| 2023년 03월 29일 | 제9기 정기주주총회 |
제4조(공고방법) 제8조(주권의 발행과 종류) 제9조(주식의 종류, 수 및 내용) 제12조(주식매수선택권) 제14조(주식의 소각) 제15조(명의개서대리인) 제16조의2(주주명부의 작성·비치) 제17조(주주명부의 폐쇄 및 기준일) 제21조(소집시기) 제23조(소집통지) 제54조(이익배당) |
- 코스닥상장법인 표준정관에 맞춰 문구 수정 - 코스닥상장법인 표준정관에 맞춰 조항 삭제 - 코스닥상장법인 표준정관에 맞춰 문구 수정 - 코스닥상장법인 표준정관에 맞춰 문구 수정 - 코스닥상장법인 표준정관에 맞춰 문구 수정 - 코스닥상장법인 표준정관에 맞춰 문구 수정 - 코스닥상장법인 표준정관에 맞춰 문구 수정 - 정관에 기준일을 특정하지 않고 정기주주총회 개최시마다 이사회 의결로 기준일을 정하도록 기준일 특정 문안을 삭제하였으나, 코스닥상장법인 표준정관에 맞춰 문구 추가 - 코스닥상장법인 표준정관에 맞춰 조항 신설 - 코스닥상장법인 표준정관에 맞춰 문구 수정 - 코스닥상장법인 표준정관개정(2023.2.15)으로 인한 조항 신설, 금융위원회 배당절차 개반 방안(2023.1.31 자)에 따른 배당기준일을 주주총회 의결권행사 기준일과 다른 날로 정할 수 있도록 이사회에서 배당시마다 결정하고 이를 공고하도록 함 |
| 2024년 10월 04일 | 제11기 임시주주총회 |
제10조2항의6(신주인수권) 부칙 제1조(시행일) 부칙 제2조(경과조치) |
- 사업상 중요한 기술 도입, 연구 개발, 생산 ·판매 ·자본제휴를 위함 |
다. 정관상 사업목적 현황
| 구 분 | 사업목적 | 사업영위 여부 |
|---|---|---|
| 1 | 의약품, 원료의약품, 의약품 제조, 소분 및 판매 | 영위 |
| 2 | 생물학적제제 등의 제조 및 판매 | 영위 |
| 3 | 임상시험, 분석, 통계, 자문, 교육 및 대행 서비스업 | 미영위 |
| 4 | 각종 질병 예방을 위한 백신의 연구개발 및 생산제조 | 미영위 |
| 5 | 동물용 의약품 등 제조 및 판매 | 미영위 |
| 6 | 건강보조식품 제조, 소분 및 판매 | 미영위 |
| 7 | 연구개발 용역을 포함한 제반 서비스 및 컨설팅 | 미영위 |
| 8 | 기술이전 및 지적재산권 사업 | 영위 |
| 9 | 줄기세포추출, 배양, 보관 및 판매 | 영위 |
| 10 | 화장품 제조 및 판매 | 영위 |
| 11 | 화장품 원료 제조 및 판매 | 영위 |
| 12 | 엑셀러레이팅(투자, 인큐베이팅), 투자업무 | 미영위 |
| 13 | 전자상거래 및 통신판매 | 영위 |
| 14 | 위 각 호의 사업 관련 수출입, 무역 및 무역대리 | 영위 |
| 15 | 위 각 호와 관련되거나 필요하거나 부수되는 일체의 사업 | 영위 |
라. 사업목적 변경 내용
| 구분 | 변경일 | 사업목적 | |
|---|---|---|---|
| 변경 전 | 변경 후 | ||
| 수정 | 2021년 03월 26일 | 3. 임상병리검사, 시험, 분석 및 대행 서비스업 | 3. 임상시험, 분석, 통계, 자문 교육 및 대행 서비스업 |
| 수정 | 2021년 03월 26일 | 8. 특허권 임대, 사용허가에 따른 임대수입 및 특허권 수수료를 받는 사업 | 8. 기술이전 및 지적재산권 사업 |
| 수정 | 2021년 03월 26일 | 7. 위 각호와 관련된 무역업과 무역대리업 | 14. 위 각호의 사업 관련 수출입, 무역 및 무역대리 |
| 수정 | 2021년 03월 26일 | 12. 위 각 호 사업목적 달성에 직접, 간접으로 관련되거나 이에 부수하거나 도움이 되는 모든 업무사항, 사업 및 활동 | 15. 위 각호에 관련되거나 필요하거나 부수되는 일체의 사업 |
| 추가 | 2021년 03월 26일 | - | 7. 연구개발 용역을 포함한 제반 서비스 및 컨설팅 |
| 추가 | 2021년 03월 26일 | - | 12. 엑셀러레이팅(투자, 인큐베이팅), 투자업무 |
| 추가 | 2021년 03월 26일 | - | 13. 전자상거래 및 통신판매 |
1) 변경 사유
① 임상시험, 분석, 통계, 자문 교육 및 대행 서비스업 : 수정
당사는 2021년 3월 26일 제 8기 정기 주주총회를 통해 정관상의 목적 사업 범위를 명확히 하기 위하여 '임상병리검사, 시험, 분석 및 대행 서비스업'을 '임상시험, 분석, 통계, 자문 교육 및 대행 서비스업'으로 수정/기술하였습니다.
② 기술이전 및 지적재산권 사업 : 수정
당사는 2021년 3월 26일 제 8기 정기 주주총회를 통해 정관상의 목적 사업 범위를 명확히 하기 위하여 '특허권 임대, 사용허가에 따른 임대수입 및 특허권 수수료를 받는 사업'를 '기술이전 및 지적재산권 사업'으로 수정/기술하였습니다.
③ 위 각호의 사업 관련 수출입, 무역 및 무역대리 : 수정
당사는 2021년 3월 26일 제 8기 정기 주주총회를 통해 정관상의 목적 사업 범위를 명확히 하기 위하여 '위 각호와 관련된 무역업과 무역대리업'을 '위 각호의 사업 관련 수출입, 무역 및 무역대리'으로 수정/기술하였습니다.
④ 위 각호의 사업 관련 수출입, 무역 및 무역대리 : 수정
당사는 2021년 3월 26일 제 8기 정기 주주총회를 통해 정관상의 목적 사업 범위를 명확히 하기 위하여 '위 각 호 사업목적 달성에 직접, 간점으로 관련되거나 이에 부수하거나 도움이 되는 모든 업무사항, 사업 및 활동'을 '위 각호에 관련되거나 필요하거나 부수되는 일체의 사업'으로 수정/기술하였습니다.
⑤ 연구개발 용역을 포함한 제반 서비스 및 컨설팅 : 추가
당사는 2022년부터 임상파이프라인 3개가 점진적으로 임상 1/2a, 1/2상 결과가 발표될 것이 예상되어, 고순도ㆍ고효능 줄기세포에 대한 관심이 높아지고 임상 성공에 따른 추가적인 사업모델이 가능할 것으로 판단되어 사업목적에 추가하였습니다.
⑥ 엑셀러레이팅(투자, 인큐베이팅), 투자업무 : 추가
당사는 2022년부터 임상파이프라인 3개가 점진적으로 임상 1/2a, 1/2상 결과가 발표될 것이 예상되어, 고순도ㆍ고효능 줄기세포에 대한 관심이 높아지고 임상 성공에 따른 추가적인 사업모델이 가능할 것으로 판단되어 사업목적에 추가하였습니다.
⑦ 전자상거래 및 통신판매 : 추가
당사는 오프라인과 더불어 온라인으로 마케팅/판매채널을 추가함에 따라 '전자상거래 및 통신판매'를 추가하였고 '화장품 제조 및 판매'의 사업목적은 변경되지 않았습니다.
마. 정관상 사업목적 추가 현황표
| 구 분 | 사업목적 | 추가일자 |
|---|---|---|
| 1 | 7. 연구개발 용역을 포함한 제반 서비스 및 컨설팅 | 2021년 03월 26일 |
| 2 | 12. 엑셀러레이팅(투자, 인큐베이팅), 투자업무 | 2021년 03월 26일 |
| 3 | 13. 전자상거래 및 통신판매 | 2021년 03월 26일 |
1) 연구개발 용역을 포함한 제반 서비스 및 컨설팅
① 그 사업 분야(업종, 제품 및 서비스의 내용 등) 및 진출 목적
당사는 2022년부터 임상파이프라인 3개 중 점진적으로 임상 1/2a, 1/2상 결과가 발표될 것이 예상됨에 따라, 고순도ㆍ고효능 줄기세포에 대한 관심이 높아지고 임상 성공에 따른 추가적인 사업모델이 가능할 것으로 판단되어 사업목적에 추가하였습니다.
② 시장의 주요 특성ㆍ규모 및 성장성
연구개발서비스가 포함된 연구산업 시장은 정부 주도로 진행되고 있으며, 정부가 혁신적 연구개발을 위탁받아 수행하거나 첨단 연구에 필요한 장비/재료를 공급하는 연구산업의 시장 규모를 2025년까지 40조원 규모로 키우는 것을 목표로 하고 있습니다. 연구개발 산업은 연구개발 전 과정에서 R&D 활동을 지원해 연구/사업화 성과 및 효율성을 향상시키는 R&D 연동산업을 의미합니다. 크게 주문연구, 연구관리 서비스를 제공하는 연구개발서비스산업, 연구장비 ·재료를 개발 ·공급하는 연구기반산업으로 구분됩니다.
③ 신규사업과 관련된 투자 및 예상 자금소요액(총 소요액, 연도별 소요액), 투자자금조달원천, 예상투자회수기간 등
연구개발서비스는 대규모의 투자자금이 소요되는 사업이 아니며, 당사의 핵심경쟁력과 연관되어 발생하는 것이므로 추가적인 자금소요금액은 크게 발생하지 않습니다
.
④ 사업 추진현황(조직 및 인력구성 현황, 연구개발활동 내역, 제품 및 서비스 개발 진척도 및 상용화 여부, 매출 발생여부 등)
연구개발서비스업은 연구사업혁신개발본부에서 담당할 예정이나, 현재 연구개발서비스업이 재무적 성과를 창출하기 위해서는 임상파이프라인에 대한 기술이전, cGMP 구축등이 이루어진 이후에 발생할 것으로 예상되어, 현재 2024년에는 본 사업이 발생하지 않았습니다.
⑤ 기존 사업과의 연관성
사업목적에 추가된 서비스는 기존 당사에서 사업영위를 위해 진행해오던 인적자원개발 활동을 확대운영한 사항이므로, 기존 사업의 연장선상에 있습니다.
⑥ 주요 위험
중간엽줄기세포에 대한 기존 기업들과의 경쟁이 존재하며, 세포치료제에 대한 엄격한 규제 요건이 완화되지 않을 경우, 줄기세포에 대한 연구수요가 확산되지 못할 위험이 존재합니다.
⑦ 향후 추진계획
2024년 2월 첨생법 개정으로 국내 줄기세포 치료 및 시술 활용에 대한 법적 기반이 마련되었고, 줄기세포 시장 확대 및 상업용 줄기세포에 대한 수요가 크게 증가할 것으로 예측되어 당사의 고순도ㆍ고효능줄기세포에 대한 관심이 활성화될 경우, 층분리배양법을 통해 생산된 줄기세포를 중심으로 국내외 다양한 질환에서의 연구개발에 대한 수요가 창출될 것으로 판단됩니다.
임상 2상에서 안전성과 더불어 새로운 치료 옵션에 대한 가능성을 여는 중요한 데이터를 확보했단 의미도 있으며 앞으로 치료제 개발 전략을 최적화하고 개선하기 위한 중요한 발판이 될 것으로 보고 있습니다.
⑧ 미추진 사유
④번과 ⑥번 내용을 참고해 주시기 바랍니다.
2) 엑셀러레이팅(투자, 인큐베이팅), 투자업무
① 그 사업 분야(업종, 제품 및 서비스의 내용 등) 및 진출 목적
당사는 본 사업목적의 변경으로, 글로벌 차원의 원천기술인 층분리배양법에 의한 고순도ㆍ고효능줄기세포가 제조되어 수행한 임상결과가 성공을 거두게 될 경우, 고순도ㆍ고효능줄기세포를 중심으로 글로벌 차원의 다양한 연구프로젝트가 활성화되고 이에 따른 투자 및 창업기획과 투자에 대한 많은 니즈가 발생할 것으로 예상됩니다.
② 시장의 주요 특성ㆍ규모 및 성장성
엑셀러레이팅(투자, 인큐베이팅) 투자업무는 기업에서 수행하는 기본적인 사업이지만, 최근 엑셀러레이팅에 대한 제도적 장치가 활성화되고 있습니다. 액셀러레이터(일명, 창업기획자)는 국내법 '벤처투자촉진법 제4장 제24조'에 따라 「창업기획자」로 정의되어 있으며, 자본금, 전문인력 등의 요건을 갖춰 중소벤처기업부에 등록한 영리 및 비영리 법인을 의미합니다. 동법에서 창업기획자는 (1) 초기창업기업의 선발 및 전문보육, (2) 초기창업기업에 대한 투자, (3) 개인투자조합 또는 벤처투자조합의 결성과 업무의 집행, (4) 중소벤처기업 부장관이 정하는 보육사업 등을 수행하는 자로 정의하고 있습니다. 창업기획자로의 등록을 위해 자본금 1억원 이상(비영리 법인 경우 5천만원 이상)이어야 하며, 법으로 정한 조건을 갖춘 전문인력을 2인이상 구성하여야 합니다. 창업 3년 미만의 극초기 스타트업을 대상으로 우수 기업의 발굴과 보육, 투자와 성장 지원 역할을 주요 사업으로 하는 주체로, 법 상 등록 3년 내 투자한 금액의 40% 이상은 '법인설립 3년 미만’초기 창업기업에 투자하여야 하며, 투자조합을 설정하여 투자할 경우 개인투자조합은 50% 이상, 벤처투자조합은 40% 이상을 의무투자 하여야 합니다. 국내 제약사들도 바이오벤처 엑셀러레이팅을 많이 수행하고 있습니다. 대표적으로 (주)한독이 바이오벤처 인큐베이팅을 위한 유망 바이오벤처를 육성하고 파트너십을 통해 신성장동력을 발굴하겠다는 계획으로 엑셀러레이팅 전문기업 이노큐브(Innocuve)를 설립하였습니다. 설립 자본금은 1억원으로 사업 목적은 (1) 스타트업 법인 발행주식 등 유가증권 취득 및 관리 (2) 엔젤투자, 창업 인큐베이팅(엑셀러레이팅), 신규 바이오벤처 발굴 및 실험장비대여 등 공유연구소 운영 (3) 연구개발업 등입니다. 이노큐브는 R&D 지원을 비롯해 고가의 장비대여 등 바이오벤처에 전방위적 기업 육성 시스템을 제공하고 (주)한독은 입주 바이오벤처와 공동 연구개발을 진행하고 지분 투자를 통해 국내외 판권을 확보해 신약후보물질을 발굴하겠다는 것이 주된 목표입니다. 이렇듯 고순도ㆍ고효능 줄기세포를 중심으로 한 엑셀러레이팅(투자, 인큐베이팅), 투자에 대한 수요가 당사에게 많이 요청되고 있어서, 유상증자, 기술이전성과, 치료제/화장품 매출를 통한 재무적 성과가 발생하면 신속하게 추진될 수 있습니다.
③ 신규사업과 관련된 투자 및 예상 자금소요액(총 소요액, 연도별 소요액), 투자자금조달원천, 예상투자회수기간 등
케미컬 의약품의 효능이 발휘되지 못하는 한계영역에서 줄기세포 연구를 통하여 새로운 치료제 개발을 위하여 창업을 하고 싶은 연구자, 의사들이 투자와 인큐베이팅 서비스를 제공해 달라는 요청이 증가하여, 이를 통한 수익 창출이 가능한 기회가 증대되어 사업목적에 추가하였으나, 금융시장의 침체로 바이오상장기업의 자금조달이 악화되어, 투자가 병행되어야 하는 엑셀러레이팅 사업은 현재 추진할 수 없습니다. 최근 자금악화로 인한 많은 바이오상장기업들의 자금조달여건이 단기간에 개선될 가능성이 크지 않다고 판단됩니다.
④ 사업 추진현황(조직 및 인력구성 현황, 연구개발활동 내역, 제품 및 서비스 개발 진척도 및 상용화 여부, 매출 발생여부 등)
투자와 인큐베이팅 서비스는 ESG경영팀에서 담당할 예정입니다. 세부적인 사업 추진현황은 사업의 실현가능성이 확보되었을 때 상세 기재하겠습니다. 현재 2024년에는 본 사업이 발생하는 않았습니다.
⑤ 기존 사업과의 연관성
사업목적에 추가된 서비스는 기존 당사에서 사업영위를 위해 진행해오던 인적자원개발 활동을 확대운영한 사항이므로, 기존 사업의 연장선상에 있습니다.
⑥ 주요 위험
바이오업종에 대한 투자가 가지고 있는 본질적인 위험으로 투자 후 회수기간이 매우 길다는 것입니다. 현재 K바이오는 심각한 자금조달의 어려움에 처해 있습니다. 국내 바이오사들이 자금 확보를 위해 일부 파이프라인(신약 후보물질) 개발을 포기하고 있습니다. 2022년부터 바이오 투자경색이 2024년 이후에도 영향을 미친 것으로 판단됩니다. 투자업계에선 이러한 투자경색이 당분간 이어질 것으로 판단하고 있습니다. 국내 바이오 산업 투자가 경색된 상황이 된 주요 원인은 신약 개발은 당장 돈을 벌지 못하면서 연구비를 쏟아부어야 하는 특성을 지녀 외부 투자 유치에 의존할 수 밖에 없는데 2022년부터 자본시장에선 회수 불확실성, 성과미창출에 대한 오랜 불신 등 요인으로 국내 바이오를 외면하는 모습을 보여왔기 때문입니다. 한국벤처캐피탈협회에 따르면 2022년 국내 바이오/의료 부문 투자액은 1조1058억원으로 전년대비 34% 줄었고, 2023년 1분기엔 1,520억원으로 전년동기 대비 62% 감소하였습니다. 이러한 자금조달 시장의 불확실성이 증대됨에 따라 투자에 대한 이익 회수 가능성이 늦고 손실발생 가능성이 크다는 위험이 존재합니다.
⑦ 향후 추진계획
2022년부터 바이오업종에 대한 투자심리가 급격히 경색되어 임상결과가 성공했음에도 주가에 미비하게 반영되고 있습니다. 본 사업을 추진하기 위해서는 자금조달시장의 회복이 선행되어야 합니다. 현재 회복의 속도는 바이오기업의 자금조달 니즈에 비해 현저히 낮은 상황으로 판단됩니다. 다만, 2024년 4분기 이후부터 바이오기업에 대한 투자심리가 회복될 수 있다는 기대감은 형성되어 있습니다.
⑧ 미추진 사유
③번, ⑥번과 ⑦번의 내용을 참고해 주시기 바랍니다.
II. 사업의 내용
1. 사업의 개요
에스씨엠생명과학㈜은 원천기술 층분리배양법을 보유한 줄기세포치료제 연구개발 바이오 기업입니다. 층분리배양법은 기존 중간엽줄기세포분리법인 농도구배원심분리법의 취약점을 보완하고자 2002년 인하대병원 실험실에서 개발이 시작되었으며, 균질한 줄기세포치료제 제조기술을 연구하여, 기존의 중간엽줄기세포 치료제와는 차별화된 고순도 줄기세포 최종 제품을 제조 생산하는 기술을 발전시키고, 임상적 고효능을 입증하였습니다. 이후, 인하대병원 내 성체줄기세포사업단을 통해 층분리배양법을 활용한 제조기술 및 질환 치료 관련 특허들의 출원ㆍ등록과 연구 성과들을 등재하며, 지식재산권 포트폴리오화를 시작하였고, 2037년까지 글로벌 차원으로 권리화를 완료하였습니다. 이를 바탕으로 2014년 에스씨엠생명과학㈜을 설립하였습니다.
당사의 사업구조는 원천기술인 층분리배양법을 기반으로 생산된 고순도ㆍ고효능 줄기세포치료제를 각각의 질환별로 개발하여 제품을 생산 및 판매하는 제약회사의 사업구조와 당사가 보유하고 있는 플랫폼 원천기술을 이용하여 개발한 제품을 질환별, 국가별로 기술을 수출하는 바이오텍의 사업구조를 동시에 가지고 있습니다. 현재, 임상시험 단계에 있는 파이프라인들은 신약 개발의 일환으로 당사가 후보물질 발굴, 비임상시험 등을 모두 자체적으로 개발하여 보유한 자산으로서 제3자에게 국내외 권리국가에서의 전용실시권 부여 및 사용권리를 부여할 수 있습니다. 현재, 말레이시아 최대 국영 제약사인 Duopharma Biotech Berhad에 동남아 4개국 말레이시아, 싱가포르, 부르나이, 필리핀에 대한 임상 허가 및 독점적 판매권리를 부여하는 계약을 체결하였으며 별도 아토피치료제는 2025년 중 기술이전관련 실질적인 결과를 기대하고 있습니다. 국내 대형 제약사인 한독과는 2019년 5월 중등증-중증 아토피 피부염에 대한 국내 개발 및 판매 권리 기술이전 계약을 체결하였습니다. 따라서 개발 중인 줄기세포치료제의 국내외 기술이전을 통해 선수금 및 경상개발비 명목으로 제품 판매 전에 기술료 수익이 발생했습니다.
당사의 주요 사업 분야는 줄기세포치료제와 더마코스메틱입니다. 첫 번째, 당사의 원천기술을 통해 생산된 줄기세포치료제 임상파이프라인을 운영하고 있습니다. 만성 이식편대숙주질환은 2상 임상시험대상자 등록 및 투약을 완료하여 임상시험 결과를 확인 중이며, 2024년 하반기에 결과 발표 예정입니다. 중등증-중증 급성 췌장염 1/2a상과 중등증-중증 아토피 피부염 1/2상 임상시험을 완료하였습니다. 치료제 승인 전까지 기술이전을 통한 라이선스 수익창출과 치료제 승인 이후 치료제 판매를 통한 수익 창출을 목표로 하고 있습니다. 두 번째, 더마코스메틱 브랜드 'Iroro(이로로)'를 운영하고 있습니다. 당사의 단일 세포유래 중간엽줄기세포주를 이용하여 줄기세포가 분비하는 단백질 중 발모효능을 나타내는 2가지 유효 단백질 물질인 CXCL1과 TYMP를 발굴하였으며, CXCL1을 활용한 '이로로 디어스칼프' 탈모케어 브랜드와 휴먼배지배양특허공법(hPL)으로 배양된 인체골수줄기세포 배양액과 식물줄기세포가 함유된 '이로로 뉴본' 스킨케어 브랜드와 프리미엄 라인의 '엔세리아' 를 런칭하였습니다. 더마코스메틱 사업은 B2C, B2B 채널을 통한 디지털마케팅 판매 전략과 말레이시아 국영제약사 Duopharma Biotech Berhad와 일본현지 메디칼 유통을 주력으로 하는 ㈜이즈블랑과의 해외 판매 계약을 통해 말레이시아와 일본 수출을 시작하였으며, 홍콩 및 베트남에 독점 대리점을 두고 해외 매출 확대를 목표로 하고 있습니다.
2. 주요 제품 및 서비스
가. 제품 설명
당사의 주요 사업영역으로 원천기술 층분리배양법을 활용한 줄기세포치료제 및 중간엽줄기세포를 응용한 재생의료 제품을 선정하여 후보물질 선정부터 비임상 및 임상시험을 통한 치료제 생산까지 전주기적 의약품 개발을 하고 있습니다. 또한, 현금흐름 유동성 확보 및 수익 실현을 위해 당사가 개발한 발모 효능 단백질 CXCL1을 활용한 탈모완화 기능성 제품과 휴먼배지배양특허공법(hPL)으로 배양된 인체골수줄기세포 배양액과 식물줄기세포가 함유된 스킨케어 제품 총 2가지의 더마코스메틱 브랜드를 개발하여 출시한 바 있습니다.
현재, 당사가 영위하고 있는 주요 사업 범위는 아래와 같습니다.
| [에스씨엠생명과학㈜ 주요 사업 범위] |
| 구 분 | 설 명 | 제 품 |
|---|---|---|
| 줄기세포치료제 | 원천기술(층분리배양법)을 활용한 고순도/질환 특이적 줄기세포치료제 개발 | 1. SCM-CGH, 만성 이식편대숙주질환 치료제 2. SCM-AGH, 중등증-중증 급성 췌장염 치료제 3. SCM-AGH, 중등증-중증 아토피 피부염 치료제 |
| 코스메슈티컬 | 1. CXCL1(발모 효능 단백질)을 활용한 탈모케어 제품 2. 휴먼배지배양특허공법(hPL) 인체골수줄기세포 배양액 함유 스킨케어 제품 |
1. 이로로 디어스칼프, 탈모완화 기능성 코스메슈티컬 2. 이로로 뉴본, 줄기세포 배양액(hPL) 함유 스킨케어 |
(1) 줄기세포치료제
줄기세포는 조직분화 과정에서 볼 수 있는 '미분화 세포'로서, 인체를 구성하는 다양한 조직으로 분화 가능한 세포입니다. 이론적으로 모든 종류의 기능 세포로 분화가 가능한 분화능력(Differentiation)과 스스로 자기와 동일한 형태 및 능력을 가진 세포로 복제할 수 있는 자가복제능력(Self-renewal), 정맥 내 투여 시 손상된 부위를 스스로 찾아갈 수 있는 호밍효과(Homing effect) 등의 고유 특성을 지니는 것으로 알려졌습니다.
또한, 분화 가능성을 기준으로 210여 개 모든 인체 세포로 분화 가능한 '만능성 줄기세포(배아줄기세포, 유도만능줄기세포)'와 3~5개 특정 세포로만 분화 가능한 '다능성 줄기세포(성체 줄기세포)'로 구분되며, 줄기세포를 분리하는 세포원 및 생성 방식에 따라 중간엽줄기세포, 배아줄기세포, 유도만능줄기세포로 구분됩니다.
그 중 중간엽줄기세포의 높은 성장인자 분비와 자가 재생 능력, 면역 시스템 조절과 염증 억제 능력은 면역질환, 재생연구, 퇴행 질환 등 치료제로서의 잠재적인 능력을 보유하고 있습니다. 다만, 이를 특정하는 바이오마커가 부재하기 때문에 임상환경에서 중간엽줄기세포의 안전성과 효능을 보장하기 위해서는 효과적인 분리방법의 개발이 필수적입니다. 효과적인 분리방법의 목표는 다른 조직 유형으로부터의 잠재적인 오염을 최소화하고 치료 특성을 유지하는 중간엽줄기세포의 분리, 확장배양을 위한 표준화된 프로토콜을 확립하는 것입니다.
![]() |
|
Overview of main separation methods performed for MSC isolation |
| 출처) | Mesenchymal stromal/stem cell separation methods: concise review (Cell Tissue Bank. 2017; 18) |
중간엽줄기세포를 분리하는 다양한 방법이 존재하지만, 임상용으로 사용하기에 적합한 순도와 성장률을 가진 세포를 얻기 위한 분리 방법은 일부에 불과하며, 치료용 최종 제품을 생산하기 위해서는 순도와 확장 가능성 사이의 균형이 필수적입니다. 기존에는 OSIRIS사에서 개발한 원심 분리를 이용하여 동일한 밀도 내에 존재하는 세포들을 추출하여 증식, 배양하는 농도구배원심분리법이 대중화되어 중간엽줄기세포에 대한 연구 활성화를 유도하였습니다.
그러나 농도구배원심분리법으로 획득한 중간엽줄기세포에 대한 연구가 진행될수록 중간엽줄기세포의 불균질(Heterogeneity) 특성으로 인하여 일관된 치료 효과가 보이지 않는 한계점이 발견되었으며, 2006년 NEW ENGLAND JOURNAL of MEDICINE에 게재된 논문을 시작으로 현재까지 각종 글로벌 저널을 통해 중간엽줄기세포의 불균질이 중간엽줄기세포 치료제 분야에서 해결해야 할 과제로 언급하고 있습니다. 이에 대한 잠재적 해결책으로 'Homogenous MSC' 의 필요성이 대두되고 있습니다. 당사와 2018년부터 공동연구를 진행한 유타대학교 세포시트 및 조직공학센터(CSTEC)의 오카노 교수는 당사 SCM-cMSC를 사용하여 4편의 논문을 기재하였습니다. 오카노 교수팀은 공동 연구를 통해 당사 세포의 우수성을 인지하였고, 2021년 Acta Biomaterials 논문을 통해 중간엽줄기세포의 이질성을 극복하기 위한 네 가지 방법 중 하나로 당사 층분리배양법으로 분리, 배양된 clonal MSC(cMSC)을 공식적으로 소개하였습니다.
![]() |
|
Factors contributing to MSC intrinsic biological heterogeneity |
| 출처) | Strategies to address mesenchymal stem/stromal cell heterogeneity in immunomodulatory profiles to improve cell-based therapies (Acta Biomater. 2021 Oct 1:133:114-125) |
농도구배원심분리법의 한계점을 극복하기 위하여 당사가 개발한 층분리배양법은 골수에 있는 중간엽줄기세포만을 분리ㆍ배양하는 기술로 효소와 시약을 사용하지 않아 골수 내 세포에 물리적인 스트레스를 최소화하는 장점이 있으며, 시간차를 두어 상층액을 옮겨 밀도차에 따라 생성된 단일 콜로니만을 추출하여 세포를 증식시키는 방법입니다. 층분리배양법으로 만들어진 콜로니 유래 중간엽줄기세포에 대한 GMP 제조 및 품질관리 프로세스와 비임상 독성시험수행을 통해 세포의 안전성을 보고한 2015년 논문은, 층분리배양법을 통해 획득한 중간엽줄기세포는 GMP 제조 및 품질관리가 가능하고 공정 생산이 가능한 세포주를 확보할 수 있음을 보여주고 있습니다.
![]() |
|
The schematic diagram of the SCM method |
![]() |
|
Schematic representation of clinical grade cMSCs production and quality control processes in a good manufacturing practice |
| 출처) | Manufacture of Clinical-Grade Human Clonal Mesenchymal Stem Cell Products from Single Colony Forming Unit-Derived Colonies Based on the Subfractionation Culturing Method(Acta Biomater (Tissue Eng Part C Methods. 2015 Dec;21(12):1251-62) |
농도구배원심분리법을 통해 획득한 중간엽줄기세포는 계대 배양이 진행될수록 세포 노화가 빨리 진행되고 세포 성장율이 낮아져, 계대 배양이 진행될 수록 수득되는 세포수가 크게 증가하지 않으며, 세포주 내 불균질성의 한계를 가지고 있습니다. 하지만 층분리배양법은 콜로니 유래로 중간엽줄기세포주를 구축하여, 한명의 기증자에서 다양한 세포주를 구축할 수 있기 때문에 여러 단계별 세포 선정 기준을 마련하여, 최종 줄기세포치료제를 선정하기에 기존 대비 고순도, 고효능의 세포주를 구축할 수 있습니다.
![]() |
|
Comparative analysis of pooled MSCs versus clonal MSCs in for favorable allogeneic regenerative therapy attributes |
| 출처) | 당사 제시 |
층분리배양법은 하나의 골수에서 다양한 중간엽줄기세포주를 구축할 수 있기 때문에 면역조절 능력이 좋은 세포주를 선별할 수 있으며, 당사는 여러 단계별 세포 선정 기준을 마련하고 질환별 동물 모델에서 치료 효능을 확인하여 최종 줄기세포치료제로 선정합니다. 이렇게 선정된 줄기세포치료제 임상파이프라인은 만성 이식편대숙주질환을 비롯해 중등증-중증 급성 췌장염, 중등증-중증 아토피 피부염 총 3가지 질환입니다. 당사는 만성 이식편대숙주질환, 중등증-중증 급성 췌장염과 같은 희귀질환을 대상으로 줄기세포치료제의 조건부 허가를 계획하고 있고, 중등증-중증의 아토피 피부염 같이 기존 치료제로는 장기적인 효능을 볼 수 없거나 근원적인 치료가 힘들었던 질환을 대상으로 시장을 확대할 계획을 가지고 있습니다.
현재, 면역관련 질환을 대상으로 제품개발을 진행하고 있으며 유사한 기전에 따라 적응증 확대를 통하여 적용제품의 시장을 확대할 예정입니다.
| [줄기세포 치료제 주요 임상 파이프라인 및 사업화 계획] |
![]() |
|
에스씨엠생명과학 임상파이프라인 현황 |
① 만성 이식편대숙주질환 줄기세포치료제 (SCM-CGH)
| ① 구분 | 줄기세포치료제(바이오 신약) |
| ② 적응증 |
1. 적응증 - 만성 이식편대숙주질환 2. 적응증 확대 - 급성 이식편대숙주질환 |
| ③ 작용기전 | 면역활성 환경에서 고순도 중간엽줄기세포는 T-세포의 증식 억제와 면역세포 표면에 존재하는 아세틸콜린 수용체를 통하여 면역세포의 활성과 증식을 억제 |
| ④ 치료제 특성 | ▲ 제형: 신선형 제형의 줄기세포치료제는 층분리배양법으로 분리 및 배양된 고순도 줄기세포로 마스터 세포은행과 제조용 세포은행을 구축한 다음, 환자의 투여 일정이 확정되면 제조용 세포은행의 줄기세포를 해동하여 10~12일 간의 배양 과정을 통해 완제품을 제조하여 주사기에 충전된 형태로 공급하는 제형임 ▲ 특징: 경쟁약물 대비 만성 이식편대숙주질환 줄기세포치료제 SCM-CGH는 1상 임상시험 단계에서 다수의 장기 반응을 호전시키는 것으로 확인되었으며, 시험약과의 연관성이 있는 중대한 이상반응이 관찰되지 않았고, 임상적으로 유의한 비정상 수치나 결과가 발생되지 않았음. 개발단계에서 희귀의약품으로 지정 받았기 때문에 조건부 품목허가를 받아 빠르게 시장에 진출할 것으로 예상되어 만성 이식편대숙주질환 치료에 대한 미충족 의료수요 해소 및 시장을 선도할 수 있을 것으로 판단됨. |
| ⑤ 진행 경과 |
[세포 확보 및 공정 확립] |
| ⑥ 기타사항 | - |
| 주1) | 2025년 1월 7일 임상 2상 결과 발표 |
| 주2) | 2상에서 안전성과 더불어 새로운 치료 옵션에 대한 가능성을 여는 중요한 데이터를 확보, 향후 치료제 개발 전략을 최적화하는 임상등 필요시 추가 진행 |
② 중등증-중증 급성 췌장염 줄기세포치료제 (SCM-AGH)
| ① 구분 | 줄기세포치료제(바이오 신약) |
| ② 적응증 |
1. 적응증 |
| ③ 작용기전 | 고순도 중간엽줄기세포는 면역관문 조절 물질 ICOSL-ICOS와 상호작용을 통해 조절 T-세포의 활성과 항염증성 사이토카인 IL-10의 생성을 유도하고, 이는 조직 괴사가 동반되는 염증성 환경에서 면역반응을 직접적으로 억제 |
| ④ 치료제 특성 | ▲제형: 동결형 제형의 줄기세포치료제는 제조공정이 완료된 최종 완제품에서의 무균성을 확인한 후 질소 탱크에 저장하여 보관하고 있다가 급성 환자들처럼 빠른 시간 안에 투여가 필요할 경우 완제품을 바로 해동하여 투여할 수 있는 형태의 제형임. ▲특징: 급성 췌장염은 대증요법 외 승인된 질병 수정 치료법이 없기 때문에 중환자 치료 분야에서 충족되지 않은 수요를 나타냄. SCM-AGH은 급성췌장염 1/2a 임상을 통해 안전성을 확인하였으며, 동물실험과 임상 2a의 결과가 소화기분야 탑저널인 Gastroenterology에 등재되어 그 효능을 인정받아, 급성 췌장염시장에서의 First-In-Class의 가능성을 확인함. 2020년 10월 하반기에 개발단계 희귀의약품 지정을 받아 향후 2b상 임상시험 이후 조건부 품목허가를 받아 빠르게 시장에 진출할 것으로 예상되어 급성 췌장염 치료에 대한 미충족 의료 수요 해소 및 시장을 선도할 수 있을 것으로 판단됨. |
| ⑤ 진행 경과 | [비임상시험] - 동물모델 유효성 시험 (2010~2011) → 논문 게재 (SCI 1편, 2011) - 비임상 독성시험 수행 (2014~2016) [임상시험] - 한국 1/2a상 임상시험 계획 승인 (2018) - 한국 1/2a상 임상시험 모집 완료 (2019~2021) - 2020년 식약처 개발단계 희귀의약품 지정(2020.10) (대상질환 : CTSI 7~10에 해당하거나 장기부전을 동반하는 중증 급성 췌장염) - 한국 1/2a상 임상시험 결과발표 완료 (2022) - KDDW2022 임상2a상 결과 발표, 최우수 초록 수상(2022.12) - Gastroenterology 임상 2a상 결과 등재(2023.06) - 2025년 2b상 임상시험 진입을 위한 임상 데이터 축적 목적의 첨단재생의료 임상연구 진행 예정 |
| ⑥ 기타사항 | - |
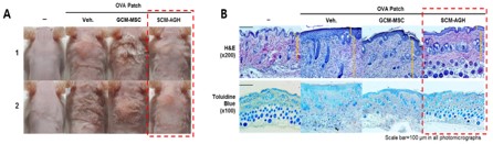
③ 중등증-중증 아토피 피부염 줄기세포치료제 (SCM-AGH)
| ① 구분 | 줄기세포치료제(바이오 신약) |
| ② 적응증 |
1. 적응증 |
| ③ 작용기전 | IL-4 및 IL-17 신호전달체계 억제와 IgE 생성 저해를 통한 면역 시스템조절 |
| ④ 치료제 특성 | ▲ 제형 : 동결형 제형의 줄기세포치료제는 제조공정이 완료된 최종 완제품에서의 무균성을 확인한 후 질소 탱크에 저장하여 보관하고 있다가 급성 환자들처럼 빠른 시간 안에 투여가 필요할 경우 완제품을 바로 해동하여 투여할 수 있는 형태의 제형임. ▲ Ovalbumin/Alum-유도 아토피 피부염 동물모델에서 동결형 줄기세포치료제 SCM-AGH를 정맥 투여하여 피부 병변의 임상적 증상을 개선하고 혈중 IgE를 낮추는 치료 효능을 확인함. |
| ⑤ 진행 경과 | [비임상시험] - 동물모델 유효성 시험 (2013~2014) → 논문 게재 (SCI 1편, 2014) [임상시험] - 치료목적사용 임상시험 5명 (2017~2018) - 한국 1/2상 임상시험 IND 신청 (2019) - 한국 1/2상 임상시험 계획 승인 (2020) - 한국 1/2상 임상시험 결과발표 완료(2023.05) - Journal of Allergy and Clinical Immunology 임상 1/2상 결과 등재 (2024.06) - 2024년 국내외 3상 임상시험 파트너사들과 논의 진행중 |
| ⑥ 기타사항 | - |
| 주1) | 2025년 국내외 회사와 추가적인 L/O 구체화 협의 예정 |
(2) 더마코스메틱
당사는 중간엽줄기세포가 분비하는 발모에 효능이 있는 단백질 CXCL1을 활용한 탈모케어 브랜드 '이로로 디어스칼프'와 휴먼배지배양특허공법(hPL)으로 배양된 인체골수줄기세포 배양액과 식물줄기세포가 함유된 스킨케어 브랜드 '이로로 뉴본'을 운영하고 있습니다.
① 이로로 디어스칼프
당사는 단일 세포유래 중간엽줄기세포주를 이용하여 중간엽줄기세포가 분비하는 단백질 중 발모효능을 나타내는 유효 단백질 물질 2가지 단백질(CXCL1, TYMP)을 발굴하였습니다.
해당 단백질들은 CXCL1(Chemokine (C-X-C motif) ligand 1, 7.9 kDa) 케모카인, TYMP(thymidine phosphorylase, endothelial cell growth factor 1(platelet-derived), hPD-ECGF1, 55kDa)으로 탈모방지, 발모 시장에 큰 도움이 될 것으로 판단하였습니다. 두가지 단백질 중 CXCL1이 분자량이 더 작고, 유효성이 높아 관련 제품 개발에 더 유리하다고 판단되어 핵심 성분으로 설정하였습니다.
![]() |
|
[발모효능 단백질의 발굴] |
GCM-MSC와 비교하여 cMSC에서 많은 양으로 생산되는 단백질 중 CXCL1, TYMP는 발모에 효능이 있는 유효 물질임을 확인하였습니다.
이를 화장품에 활용하기 위해 CXCL1을 ICID(국제 화장품 원료 사전집)에 등재하였고, 현재 CXCL1을 활용한 탈모케어 더마코스메틱 브랜드 '이로로 디어스칼프'를 개발하여 판매하고 있습니다. 또한, 할랄 인증을 통해 수출용 제품을 개발하여 판매하고 있습니다.
| [이로로 디어스칼프 제품 라인업] |
|
|
|
|
(a) 샴푸 (남성용/여성용)
| 구 분 | 내 용 | ||||||
|---|---|---|---|---|---|---|---|
| 제품 사양 |
- 제품명 : 이로로 디어스칼프 안티 헤어 로스 샴푸 포 맨/우먼 - 용량 : 500mL - CXCL1 단백질 2,000ppb 함유 - Type : Wash-off - 탈모완화 기능성 화장품 |
||||||
| 제품 특징 |
- 無실리콘, 無파라벤, 無합성색소
|
(b) 트리트먼트
| 구 분 | 내 용 |
|---|---|
| 제품 사양 |
- 제품명 : 이로로 디어스칼프 인핸시브 안티헤어로스 트리트먼트 - 용량 : 200mL - Type : Wash-off - 탈모완화 기능성 화장품 |
| 제품 특징 |
- 無실리콘, 無파라벤, 無합성색소, 약산성 - 주성분: 카페인, 비오틴, 맥주효모 - 16가지 자연 성분 함유 |
(c) 세럼
| 구 분 | 내 용 |
|---|---|
| 제품 사양 |
- 제품명 : 이로로 디어스칼프 인핸시브 안티헤어로스 세럼 - 용량 : 100mL - Type : Leave-on - 탈모완화 기능성 화장품 |
| 제품 특징 |
- 無실리콘, 無파라벤, 無합성색소, 약산성 - 탈모케어 집중관리 앰플 - 주성분 : L-멘톨, 살리실산, 덱스판테놀 - 13가지 자연 성분 함유 |
(d) 토닉
| 구 분 | 내 용 |
|---|---|
| 제품 사양 |
- 제품명 : 이로로 디어스칼프 인핸시브 안티헤어로스 토닉 - 용량 : 130mL - Type : Leave-on - 탈모완화 기능성 화장품 |
| 제품 특징 |
- 주성분: 카페인, 비오틴, 맥주효모 - 9가지 자연 성분 함유 |
| [이로로 디어스칼프 할랄 제품 라인업] | |||||||||||
|
|
|
|
||||||||
(e) 남성용 할랄 샴푸
| 구 분 | 내 용 |
|---|---|
| 제품 사양 |
- iroro nutreatment Healthy Hair Growth Shampoo for Men - 용량 : 300ml - CXCL1 단백질 1,000ppb 함유 - 두피가 숨쉬는 탈모 완화 기능성 샴푸 |
| 제품 특징 |
- 식약처 탈모증상 완화 기능성 원료(멘톨, 판테놀, 살리실릭산) 함 - 유해성분(실리콘, 합성색소, 파라벤) 무처방 |
(f) 여성용 할랄 샴푸
| 구 분 | 내 용 |
|---|---|
| 제품 사양 |
- iroro nutreatment Healthy Hair Growth Shampoo for Women - 용량 : 300ml / 50ml(미니어처) - CXCL1 단백질 1,000ppb 함유 - 두피가 숨쉬는 탈모 완화 기능성 샴푸 |
| 제품 특징 |
- 식약처 탈모증상 완화 기능성 원료(멘톨, 판테놀, 살리실릭산) 함유 - 유해성분(실리콘, 합성색소, 파라벤) 무처방 |
(g) 할랄 트리트먼트
| 구 분 | 내 용 |
|---|---|
| 제품 사양 |
- iroro nutreatment Healthy Hair Growth Treatment - 용량 : 200ml - CXCL1 단백질 1,000ppb 함유 - 풍성한 모발을 가꾸는 탈모 완화 기능성 트리트먼트 |
| 제품 특징 |
- 식약처 고시 성분 (멘톨, 판테놀, 살리실릭산) 함유 - 유해성분(실리콘, 합성색소, 파라벤) 무처방 |
(h) 할랄 세럼
| 구 분 | 내 용 |
|---|---|
| 제품 사양 |
- iroro nutreatment Healthy Hair Growth Serum - 용량 : 120ml / 20ml (미니어처) - CXCL1 단백질 1,000ppb 함유 - 각질 케어/두피 컨디셔닝 개선 탈모 완화 기능성 두피 세럼 |
| 제품 특징 |
- 식약처 탈모증상 완화 기능성 원료(멘톨, 판테놀, 살리실릭산) 함유 - 유해성분(파라벤, 합성색소) 무처방 |
② 이로로 뉴본
당사만의 특허기술인 hPL공법을 이용하여 줄기세포 배양액(줄기세포 자체가 아닌 줄기세포가 배양되면서 세포 밖으로 분비되는 여러가지 단백질)을 제조하여 생산된 인체유래 줄기세포 배양액을 화장품과 접목시켜 스킨케어 제품을 출시하였습니다.
hPL 특허 배양 공법이란 인간 혈소판 용해물(Human Platelet Lysate)로 세포 배양 시 동물유래(FBS)대신 사용되며, 인간 세포 성장에 도움을 주는 인간 혈소판 유래 다양한 물질들이 포함된 첨가제입니다. hPL공법을 이용한 줄기세포 배양액을 사용했을 때, 일반 줄기세포 배양액을 사용했을 때보다 고농도의 단백질이 검출되어 질과 효능을 높이는 것으로 확인되었습니다.
![]() |
|
일반 줄기세포 배양액과 hPL공법 줄기세포 배양액 단백질 비교 |
| 출처) | 당사 제시 |
hPL공법 줄기세포 배양액은 진피 섬유아세포의 이동 증가를 통해 피부재생 및 피부탄력을 회복시켜주는 효과를 보여주며, 콜라겐 및 엘라스틴 생합성을 촉진시켜 피부 수분공급 및 탄력을 개선하는 효과를 보여줍니다. 또한, 미백 고시 원료인 알부틴과 유사한 효과를 나타내고 피부미백 개선에 도움을 나타냅니다.
![]() |
|
진피 섬유아세포 피부 재생 효과 비교 |
![]() |
|
피부 수분 공급 및 탄력, 미백 개선 효과 성분 비교 |
![]() |
|
줄기세포 배양액 성장인자 비교 |
| 출처) | 당사 제시 |
인체유래 줄기세포 배양액은 국내 특허 출원, PCT 출원, SCI 논문 게재, ICDI 등재를 통해 우수성이 보고되었습니다. 위의 내용을 바탕으로 인체유래 줄기세포 배양액을 활용한 스킨케어 제품인 '이로로 뉴본' 5종을 개발하여 판매하고 있습니다.
| [이로로 뉴본 제품 라인업] |
|
|
|
|
|
(a) 리커버리 크림
| 구 분 | 내 용 |
|---|---|
| 제품 사양 |
- 제품명 : 이로로 뉴본 엑소좀 리커버리 크림 - 용량 : 50g / 5g(미니어처) - 인체유래 줄기세포 배양액 3,000,000 ppb 함유 - 미백, 주름개선 2중 기능성 인증 화장품 |
| 제품 특징 |
- 1회 사용으로 33시간 10광채 지속효과, 2주 사용으로 6종 주름 깊이, 굵은 주름, 4종 리프팅(피부처짐), 5종(피부꺼짐) 개선에 대한 인체적용시험 완료 |
(b) 멀티세럼
| 구 분 | 내 용 |
|---|---|
| 제품 사양 |
- 제품명 : 이로로 뉴본 엑소좀 멀티세럼 3 in 1 - 용량 : 120ml / 5ml (미니어처) - 인체유래 줄기세포 배양액 2,000,000 ppb 함유 - 미백, 주름개선 2중 기능성 인증 화장품 |
| 제품 특징 |
- 민감성 피부 테스트 완료 - 2주 사용으로 6종 주름 깊이, 잔주름, 피부치밀도, 균일한 피부 톤업효과 개선에 대한 인체적용시험 완료 |
(c) AD크림
| 구 분 | 내 용 |
|---|---|
| 제품 사양 |
- 제품명 : 이로로 뉴본 AD 인텐시브 크림 - 용량 : 80ml - 인체유래 줄기세포 배양액 3,000,000 ppb 함유 |
| 제품 특징 |
- 건조함으로 인한 일시적 가려움 완화 - 민감 피부대상 저자극 테스트 완료 - 피부 장벽의 기능을 회복하여 가려움 개선에 대한 인체적용시험 완료 |
(d) 바디로션 피오니머스크
| 구 분 | 내 용 |
|---|---|
| 제품 사양 |
- 제품명 : 이로로 뉴본 모이스춰 바디 로션 소프트 피오니 머스크 - 용량 : 300ml - 인체유래 줄기세포 배양액 2,000,000 ppb 함유 |
| 제품 특징 |
- 피부보습 및 유수분 밸런스에 도움 - 1회 사용 후 피부결(거칠기, 요철, 매끄러움)개선에 대한 인체적용시험 완료 |
(e) 바디로션 코튼허그
| 구 분 | 내 용 |
|---|---|
| 제품 사양 |
- 제품명 : 이로로 뉴본 퍼퓸 바디 로션 코튼 허그 - 용량 : 300ml - 인체유래 줄기세포 배양액 2,000,000 ppb 함유 |
| 제품 특징 |
- 피부보습 및 유수분 밸런스에 도움 - 1회 사용 후 피부결(거칠기, 요철, 매끄러움)개선에 대한 인체적용시험 완료 |
나. 주요 제품 등의 현황
당사가 주력으로 영위하고자 하는 사업은 줄기세포치료제의 연구, 개발 및 판매 사업이며, 더마코스메틱 사업은 부가가치 창출 사업으로서 당사가 현재 진행하고 있는 주요 사업이 아님을 참고해 주시기 바랍니다.
| (단위 : 천원) |
| 구분 | 2024년도 | 2023년도 | 2022년도 | |||
|---|---|---|---|---|---|---|
| 금액 | 비중 | 금액 | 비중 | 금액 | 비중 | |
| 제품 | 764,576 | 92.7% | 454,136 | 65.3% | 149,966 | 37.9% |
| 위탁연구수입 등 | - | 0.0% | - | - | 4,454 | 1.1% |
| 라이선스 수수료 | 60,225 | 7.3% | 241,562 | 34.7% | 241,562 | 61.0% |
| 합 계 | 824,801 | 100.0% | 695,698 | 100.0% | 395,982 | 100.0% |
| 주1) | 제품 매출은 당사가 출시한 더마코스메틱 제품 매출입니다 |
| 주2) | 라이선스 수수료 수익은 한독 기술이전 계약금(upfront)에 대하여 기간에 걸쳐 수행 의무가 이행되는 것으로 수익을 인식하고 있습니다. |
다. 주요 외주처 현황
이로로 디어스칼프는 국내 유수의 업체들과 협력하여 OEM(Original Equipment Manufacturer) 방식으로 제품을 생산하고 있습니다. 당사가 개발한 특허물질 CXCL1과 용기를 포함한 부자재를 한국콜마㈜와 ㈜코스메카에 공급하고, 한국콜마㈜와 ㈜코스메카는 CXCL1이 포함된 화장품 제형을 생산하여 공급받은 부자재에 충진 및 포장을 합니다. 청진, 연우 등은 화장품 용기를 공급하며, 태경은 단상자를 포함한 인쇄물을 공급합니다. 이로로 뉴본은 ㈜바이오에프디엔씨와 협력하여 OEM(Original Equipment Manufacturer) 방식으로 제품을 생산하고 있습니다. 당사의 특허기술인 hPL공법으로 배양한 줄기세포 배양액을 바이오에프디엔씨에 공급하고, 바이오에프디엔씨는 줄기세포 배양액이 포함된 화장품 제형을 생산하여 부자재에 충진 및 포장을 합니다. ㈜바이오에프디엔씨는 턴키방식으로 제형생산과 부자재(용기, 단상자 등) 공급 모두 진행합니다.
현재까지 누적 생산량은 2022년 1만 1천 6백개, 2023년 11만 2백개, 2024년 28만 6백개를 생산하였습니다.
| (단위 : 천원) |
| [화장품 외주처 현황] |
| 사업 연도 | 외주처 | 외주 금액 | 외주 비중 | 외주 내용 |
|---|---|---|---|---|
| 2022년도 (제9기) |
한국콜마㈜ | 45,782 | 58.50% | 물품공급계약 (OEM 생산, 포장, 품질 검사) |
| 청진 | 27,200 | 34.76% | 물품공급계약 (샴푸 용기 생산) |
|
| 태경인쇄 | 3,875 | 4.95% | 물품공급계약 (단상자, 카톤박스, 리플렛, 쇼핑백 등 인쇄물) |
|
| ㈜지에프씨생명과학 | 1,400 | 1.79% | 원료가공계약 (CXCL Complex 생산) |
|
| 합 계 | 78,257 | 100.00% | - | |
| 2023년도 (제10기) |
㈜지에프씨생명과학 | 10,500 | 2.48% | 원료가공계약 (CXCL Complex 생산) |
| 한국콜마㈜ | 114,274 | 26.96% | 물품공급계약 (OEM생산,포장,품질검사) |
|
| ㈜바이오에프디엔씨 | 295,544 | 69.74% | 물품공급계약 (OEM제품 공급) |
|
| 주식회사 바인투 | 3,470 | 0.82% | 물품공급계약 (단상자) |
|
| 합계 | 423,788 | 100.00% | - | |
|
2024년도 (제11기) |
㈜지에프씨생명과학 | 7,385 | 2.38% | 원료가공계약 (CXCL Complex 생산) |
| 한국콜마㈜ | 93,454 | 30.17% | 물품공급계약 (OEM생산,포장,품질 검사) |
|
| ㈜바이오에프디엔씨 | 172,850 | 55.79% | 물품공급계약 (OEM 제품공급) |
|
| 주식회사 바인투 | 4,272 | 1.38% | 물품공급계약 (스킨케어 5종 작업) |
|
| 으뜸래핑 | 48 | 0.02% | 물품공급계약 (AD크림 작업) |
|
| (주)코스메카코리아 | 22,143 | 7.15% | 물품공급계약 (OEM 생산) |
|
| (주)더존코리아 | 9,644 | 3.11% | 물품공급계약 (스킨케어 샘플파우치 작업) |
|
| 합계 | 309,796 | 100.00% | - |
라. 주요 제품 등의 가격변동 추이
2019년도에 판매를 개시한 화장품의 경우 최근 2021년 1분기 말 기준 세럼 및 트리트먼트의 가격 인하를 진행하였고, 2021년 3분기에 신제품 토닉을 출시하였습니다. 4분기에 트리트먼트 리뉴얼 출시하였습니다. 2023년 3분기에 신규 스킨케어 브랜드 이로로 뉴본을 런칭하여 5가지 제품을 출시하였고 4분기에는 디어스칼프 남성용 샴푸와 여성용 샴푸에 대해 리뉴얼 출시하였습니다. 2024년 1분기에 두피세럼 리뉴얼 출시하였고 2분기에 두피세럼 미니어처 출시하였습니다. 3분기에 두피토닉 리뉴얼 출시하였습니다. 4분기에 트리트먼트 리뉴얼 출시하였습니다.
| (단위 : 천원) |
| 품목 | 2024년도 (제11기) |
2023년도 (제10기) |
2022년도 (제9기) |
|
|---|---|---|---|---|
| 샴푸 남성용 | 내 수 | - | 45 | 28 |
| 수 출 | - | - | - | |
| 샴푸 여성용 | 내 수 | - | 45 | 28 |
| 수 출 | - | - | - | |
| 트리트먼트 | 내 수 | 21 | - | 19 |
| 수 출 | - | - | - | |
| 세럼 | 내 수 | 35 | - | 35 |
| 수 출 | - | - | - | |
| 세럼 미니어처 | 내 수 | 5.9 | - | - |
| 수 출 | - | - | - | |
| 토닉 | 내 수 | 17 | - | 17 |
| 수 출 | - | - | - | |
| AD크림 | 내 수 | - | 43 | - |
| 수 출 | - | - | - | |
| 멀티세럼 | 내 수 | - | 59 | - |
| 수 출 | - | - | - | |
| 리커버리 크림 | 내 수 | - | 68 | - |
| 수 출 | - | - | - | |
| 바디로션 피오니머스크 |
내 수 | - | 49 | - |
| 수 출 | - | - | - | |
| 바디로션 코튼허그 |
내 수 | - | 49 | - |
| 수 출 | - | - | - | |
| 멀티세럼 미니어처 |
내 수 | - | 8.9 | - |
| 수 출 | - | - | - | |
| 리커버리 크림 미니어처 |
내 수 | - | 9.8 | - |
| 수 출 | - | - | - | |
| 할랄 샴푸 남성용 |
내 수 | - | - | - |
| 수 출 | - | 7.7 | - | |
| 할랄 샴푸 여성용 |
내 수 | - | - | - |
| 수 출 | - | 7.7 | - | |
| 할랄 트리트먼트 |
내 수 | - | - | - |
| 수 출 | - | 5.4 | - | |
| 할랄 세럼 | 내 수 | - | - | - |
| 수 출 | - | 10 | - | |
| 할랄 미니세럼 | 내 수 | - | - | - |
| 수 출 | - | 0.8 | - | |
| 할랄 미니샴푸 (여성용) |
내 수 | - | - | - |
| 수 출 | - | 1 | - | |
마. 주요 제품 등 관련 각종 산업표준
더마코스메틱 제품은 OEM 방식의 외주 생산으로 특이적 산업표준에는 해당하지 않습니다.
줄기세포치료제 개발 기술과 제품은 약사법 및 식약처 고시 세포치료제 가이드라인 등의 국내 규정과 의약품실사상호협력기구(PIC/S) 및 국제조화규정(ICH) 가이드라인 등의 국제조화기준에 의한 규정에 따라 허가됩니다. 당사의 줄기세포치료제는 이러한 규정에서 정하는 GMP 표준에 적합하게 제조되고 있습니다. 2017년 ISO9001에 대한 최초 인증을 받은 이래 2020년에 재인증을 받았습니다.
바. 주요 제품 등 관련 소비자 불만사항 등
보고서 기준일 현재까지 당사 및 판매사를 통해 접수된 주요 제품 등 관련 소비자 불만사항 등의 발생 및 처리 내역은 없습니다.
3. 원재료 및 생산설비
가. 주요 원재료
(1) 매입 현황
| (단위 : 원) |
| 품목 | 구 분 |
2024년도 |
2023년도 (제10기) |
2022년도 (제9기) |
|---|---|---|---|---|
| 원재료 | 국 내 | 339,337,930 | 163,249,708 | 217,577,314 |
| 수 입 | 3,269,159 | - | - | |
| 합 계 | 342,607,089 | 163,249,708 | 217,577,314 | |
| 부재료 | 국 내 | 482,073,881 | 1,423,208,192 | 1,301,008,489 |
| 수 입 | - | - | ||
| 합 계 | 482,073,881 | 1,423,208,192 | 1,301,008,489 | |
| 외주가공비 | 국 내 | 552,570,011 | 1,657,025,446 | 537,654,215 |
| 수 입 | - | - | ||
| 합 계 | 552,570,011 | 1,657,025,446 | 537,654,215 | |
| 총 합 계 | 국 내 | 1,373,981,822 | 3,243,483,346 | 2,056,240,018 |
| 수 입 | 3,269,159 | - | - | |
| 합 계 | 1,377,250,981 | 3,243,483,346 | 2,056,240,018 |
(2) 원재료 가격변동 추이
| (단위 : 원[VAT별도]) |
| 품목 | 구 분 | 2024년도 (제11기) |
2023년도 (제10기) |
2022년도 (제9기) |
|---|---|---|---|---|
| FBS | 국 내 | - | 1,032,300 | 750,000 |
| 수 입 | - | - | - | |
| DMEM | 국 내 | 214,300 | 213,400 | 25,700 |
| 수 입 | - | - | - | |
| MEM | 국 내 | 371,500 | 421,900 | 422,500 |
| 수 입 | - | - | - | |
| RBI | 국 내 | - | - | - |
| 수 입 | 762,200 | 740,760 | - | |
| hPL | 국 내 | - | - | - |
| 수 입 | - | 2,380,000 | - |
(3) 주요 매입처에 관한 사항
당사와 특수 관계에 있는 매입처는 없습니다. 또한 해당 매입처와는 공시대상기간 동안 지속적으로 거래를 해오며, 현재까지 공급가와 관련된 문제가 발생한 사례가 없습니다.
나. 생산 및 설비
(1) 생산 능력 및 생산 실적
당사와 생산 능력 및 생산 실적은 현재 가동 중인 GMP 시설에서 생산한 임상시험용 의약품(SCM-CGH, SCM-AGH)을 기준으로 기재하였습니다.
SCM-CGH는 진행 중인 임상시험의 환자가 등록됨과 동시에 환자의 투여 및 공급 일정이 확정되어 생산을 시작합니다. SCM-AGH 1배치는 마스터 세포은행 1바이알 해동 후 증식 배양을 거쳐 생산되는 완제품 1회 생산 규모입니다.
2023년 기준 만성 이식편대숙주질환 임상 2상 환자투여 완료, 중등증-중증 아토피 피부염 2상 완료, 중등증-중증 급성 췌장염 1/2a상 완료로 생산실적은 없었으며, 2024년 기준 첨단재생의료임상연구 진행으로 생산된 SCM-AGH의 생산 실적이 반영되었습니다.
| (단위 : 배치) |
| 제품 품목명 | 구 분 | 2024년 (제11기) |
2023년 (제10기) |
2022년도 (제9기) |
|||
|---|---|---|---|---|---|---|---|
| 수량 | 금액 | 수량 | 금액 | 수량 | 금액 | ||
| 줄기세포치료제 (SCM-CGH) |
생산 능력 주) |
72 | 72 | - | 72 | - | |
| 생산 실적 | 0 | - | - | 59 | - | ||
| 가동률 | 0% | 0% | 82% | ||||
| 줄기세포치료제 (SCM-AGH) |
생산 능력 | 96 | 96 | - | 96 | - | |
| 생산 실적 | 1 | - | - | 13 | - | ||
| 가동률 | 1% | 0% | 14% | ||||
| 주) | SCM-CGH의 생산 능력 산출 근거는 월간 임상 예상등록환자 수 2명을 고려하여, 환자 1명 당 3배치, 월간 6배치, 연간 72배치로 산정하였습니다. |
(2) 생산 설비에 관한 사항
① 주요 사업장 현황
| 구분 | 소재지 | 비고 |
|---|---|---|
| 국내 | 인천광역시 연수구 갯벌로 145번길 7-7 | 연구 및 경영관리 |
| 제조소 | 인천광역시 중구 서해대로 366 | 제조 |
| 서울 사무소 |
서울특별시 강남구 선릉로 428 위워크 | 임상개발 |
② 설비 현황
| (단위 : 원) |
| 구 분 | 토지 | 건물 | 구축물 | 기계장치 | 공구와기구 | 비품 | 시설장치 | 건설중인자산 | 사용권자산 | 합 계 |
|---|---|---|---|---|---|---|---|---|---|---|
|
기초 장부금액 |
6,967,498,403 | 1,800,632,592 | 14,050,667 | 368,891,479 | 98,815,760 | 110,213,412 | 69,251,000 | 640,204,269 | 184,121,989 | 10,253,679,571 |
|
취득 |
- | - | - | 14,400,000 | - | 14,393,729 | - | 4,512,468,260 | 859,639,282 | 5,400,901,271 |
|
대체(*1) |
- | - | - | - | - | - | - | (472,504,269) | - | (472,504,269) |
| 감소(*2) | - | - | - | - | - | - | - | (181,700,000) | (501,629,101) | (683,329,101) |
| 재평가(*3) | 6,680,497,597 | - | - | - | - | - | - | - | - | 6,680,497,597 |
|
감가상각비 |
- | (71,449,671) | (544,000) | (157,238,087) | (42,519,551) | (47,386,567) | (54,901,000) | - | (354,824,028) | (728,862,904) |
|
기말 장부금액 |
13,647,996,000 | 1,729,182,921 | 13,506,667 | 226,053,392 | 56,296,209 | 77,220,574 | 14,350,000 | 4,498,468,260 | 187,308,142 | 20,450,382,165 |
| 주1) | 당기 중 무형자산으로 대체된 금액입니다. |
| 주2) | 당기 중 유형자산 폐기 및 리스변경으로 인한 감소액입니다. |
| 주3) | 회사는 토지에 대하여 재평가모형을 적용하고 있으며, 당사와 독립적이고 전문적 자격이 있는 평가기관이 산출한 감정가액을 이용하여 2024년 12월 31일을 재평가기준일로 토지를 재평가하였습니다. 평가는 표준지 공시지가를 기준으로 대상 토지의 현황에 맞게 조정하여 가격을 산정하는 공시지가기준법을 적용하고 독립적인 제3자와의 거래조건에 따른 최근 시장거래에 근거하여 평가한 가격으로 합리성을 검토하였습니다. 당기말 현재 토지의 재평가 후 금액은 13,647,996,000원이며, 역사적원가로 인식하는 경우 장부가액은 6,967,498,403원입니다. |
③ 설비의 신설ㆍ매입 계획
당사는 인천 송도 부지 내 시판용 줄기세포치료제 생산용 GMP 제조시설 신축을 위해 바이오서포트(주)와 24년 12월 개념 설계 계약을 체결하고, 클린룸 개념 설계를 시작하였습니다. 22년 상반기에 예건사와 건축 설계 계약을 체결한 후 기본 설계가 완료되었습니다. 신규 GMP 제조시설은 PIC/S에 부합하는 시설로서, 연간 20,000 doses 생산이 가능하도록 주요 장비 및 제조 지원 설비를 구축할 예정입니다. 다만, 대외환경 변화(원자재 가격 및 인건비 상승 등)에 따른 투자금액 증가 및 적시성 있는 자금조달의 어려움, 적합한 시공업자 선정의 어려움 등으로 투자기간이 지연 결정 되었습니다.
| (단위 : 백만원) |
| 구 분 | 내 용 | 투자기간 | 대상자산 | 투자 예상액 |
|---|---|---|---|---|
| 신규시설 | GMP 제조시설의 신축 | 2022.10~2026.12 | 건물ㆍ설비 등 | 31,464 |
4. 매출 및 수주상황
가. 매출 실적
| (단위 : 천원) |
| 사업 부문 |
매출 유형 |
품 목 | 2024년도 (제11기) |
2023년도 (제10기) |
2022년도 (제9기) |
|
|---|---|---|---|---|---|---|
| 줄기세포 사업부문 |
위탁 연구개발 |
세포추출 품질시험 등 |
수출 | - | - | - |
| 내수 | - | - | 4,454 | |||
| 합계 | - | - | 4,454 | |||
| 라이선스 수수료 |
기술이전수익 주) |
수출 | - | - | - | |
| 내수 | 60,225 | 241,562 | 241,562 | |||
| 합계 | 60,225 | 241,562 | 241,562 | |||
| 합 계 | 60,225 | 241,562 | 246,016 | |||
| 더마코스메틱 사업부문 | 제품 | 더마코스메틱 등 | 수출 | 48,489 | 191,883 | - |
| 내수 | 716,086 | 262,253 | 149,966 | |||
| 합계 | 764,576 | 454,136 | 149,966 | |||
| 총 계 | 824,801 | 695,698 | 395,982 | |||
| 주) | 당사는 2019년도에 한독과 아토피 피부염 줄기세포치료제 기술이전계약을 체결하면서 환불되지 않는 계약금(Upfront Fee) 10억원을 수령하였습니다. 당사는 한국채택국제회계기준에 따라 동 기술이전 계약에 따른 계약금은 임상시험 기간에 걸쳐 수행의무가 이행되는 것으로 보아 진행률에 따른 수익을 인식하고 있습니다. |
나. 판매 경로 및 방법
1) 줄기세포치료제
협업 예정인 미국 바이오클러스트 (WFIRM)과의 공동 연구, 기술 협력을 통한 기술의 우위성 검증을 통해 당사 줄기세포 원천기술을 듀오파마를 포함 국내외에 기술이전 및 L/O의 형태로 매출을 발생 집중할 예정입니다.
(2) 더마코스메틱
당사 더마코스메틱 사업 부문은 2019년 1월 탈모케어 브랜드 이로로 디어스칼프 런칭 후 매출 발생을 시작으로 2023년 7월 스킨케어 브랜드 이로로 뉴본을 런칭하였습니다. 한국콜마(주), ㈜코스메카코리아, (주)바이오에프디엔씨 OEM 생산 후 공급을 받아 자사 영업 전담 부서에서 일반매출 방식의 판매를 진행합니다. 판매 경로는 오프라인 B2B 채널(직거래, 대리점)과 온라인 전자상거래 B2C 채널을 활용하고 있었으며, 최근 비대면채널 마케팅을 활성화하여 자사몰 온라인 판매를 통한 매출 증진이 이루어지고 있습니다. 또한 해외 매출을 위한 Duopharma Biotech Berhad, (주)이즈블랑 등과의 계약을 통해 말레이시아 및 일본, 중동지역의 해외 판매 계약과 홍콩, 중국 및 베트남 내 독점 대리점 계약으로 계약 국가에서의 유통이 예정되어 있습니다.
다. 판매 전략
(1) 줄기세포치료제
국내외 파트너사를 통해 일차적으로 활용할 계획이며, 추가적으로 컨퍼런스 및 비즈니스 미팅 등에서의 발표를 통해 신규 파트너를 확보하여 라이선스-아웃하는 기술 이전 모델을 추진할 계획입니다.
당사는 기술 이전 대상 탐색을 위하여 아래의 활동을 하고 있습니다.
■ 전시회 및 비즈니스 파트너링 행사 참여
■ 국/내외 제약사 접촉
■ 초기단계 연구과제 탐색을 위한 국,내외 공공연구기관 및 대학기관과의 접촉
해외 라이선스 추진을 위해 아래와 같이 매년 다양한 학회 및 컨퍼런스에서 회사 소개(IR) 및 임상 결과 발표 등을 통해 미국ㆍ유럽 바이오 및 제약 회사와의 파트너링에 적극적으로 참여할 예정입니다.
(2) 더마코스메틱 및 배양액
당사에서 판매 중인 더마코스메틱 제품(이로로 디어스칼프 및 이로로 뉴본)은 직접 또는 대리점을 주된 판매 경로로 하고 있으며, 디지털 마케팅 전략을 수립하여 비대면 채널을 통한 효율적이면서 효과적인 판매 전략을 추진하고 있습니다. 또한 Duopharma Biotech Berhad에 할랄인증 헤어케어 수출과 ㈜이즈블랑 등을 통한 해외 판매전략으로 일본 및 중동 상품등록 확보와 미국, 유럽 수출을 위한 업무를 진행하고 있습니다.
줄기세포 배양액 판매 전략은 배양액을 통해 구축 가능한 제품 포트폴리오를 파악하고 해당 제품 포트폴리오별 전략적 파트너십을 구축하여 당사 브랜드 일원화를 원칙으로 기술사업화 전략을 이행해 나갈 예정입니다.
| [코스메슈티컬 및 배양액 판매ㆍ홍보 전략] |
| 브랜딩 전략 | 판매/홍보 전략 |
|---|---|
| <물질 기술사업화 전략> 특허물질(CXCL1, hPL배양액) 함유 제품의 전문성을 부각시킨 더마코스메틱 브랜드 이미지 구축 |
코스메슈티컬 관련 학회 및 박람회를 참가하여 CXCL1 등 보유 원료 소구 및 판로 개척 |
| 국내외 SNS 인플루언서를 활용한 지속 광고를 통해판매 확대 기반 마련 | |
| 전문 상품 이미지 구축 후 매스 시장, 홈쇼핑 시장에진입하여 매출 확대 모색 | |
| 해외 Agent 협업을 통한 글로벌 시장 진출 |
라. 주요 매출처
| (기준일 : 2024년 12월 31일) | (단위 : 천원) |
| 매출 유형 | 품목 | 거래처 | 매출 금액 | 매출 비중 |
|---|---|---|---|---|
| 라이선스 수수료 |
기술이전 수익 | 주식회사 한독 | 60,225 | 7.30% |
| 제품 | 더마코스메틱 등 | 쿠팡 주식회사 | 417,938 | 50.67% |
| 주식회사 이즈블랑 | 86,087 | 10.44% |
마. 수주 상황
당사는 보고서 작성기준일 현재 해당 사항이 없습니다.
5. 위험관리 및 파생거래
당사는 여러 활동으로 인하여 시장위험(환위험, 공정가치 이자율 위험, 현금흐름 이자율 위험 및 가격위험), 신용위험 및 유동성위험과 같은 다양한 금융위험에 노출되어 있습니다. 당사의 전반적인 위험관리정책은 금융시장의 예측불가능성에 초점을 맞추고 있으며 재무성과에 잠재적으로 불리할 수 있는 효과를 최소화하는데 중점을 두고 있습니다.
위험관리는 이사회에서 승인한 정책에 따라 당사 재무경영관리부에 의해 이루어지고 있습니다. 당사 재무경영관리부는 당사의 현업 부서들과 긴밀히 협력하여 재무위험을 식별, 평가 및 회피하고 있습니다. 이사회는 외환위험, 이자율위험, 신용위험 및 유동성을 초과하는 투자와 같은 특정 분야에 관한 문서화된 정책 뿐 아니라, 전반적인 위험관리에 대한 문서화된 정책을 제공합니다.
가. 시장위험
작성기준 현재, 당사는 소규모 기업에 해당하므로 기재를 생략합니다.
나. 신용위험
신용위험은 보유하고 있는 수취채권 및 확정계약을 포함한 거래처에 대한 신용위험뿐 아니라 현금성자산, 은행 등의 금융기관 예치금으로부터 발생하고 있습니다. 은행및 금융기관의 경우, 독립적인 신용평가기관으로부터의 신용등급이 최소 A이상인 경우에 한하여 거래를 하고 있습니다. 당분기 중 신용위험에 중요한 영향을 미치는 사항은 발견되지 않았으며, 경영진은 거래상대방의 의무불이행으로 인한 손실을 예상하고 있지 아니합니다.
다. 유동성위험
당사는 차입금한도를 적정수준으로 유지하고 영업 자금 수요를 충족시킬 수 있도록 유동성에 대한 예측을 항시 모니터링하여 차입금 한도나 약정을 위반하는 일이 없도록 하고 있습니다. 유동성에 대한 예측 시에는 당사의 자금조달 계획, 약정 준수, 당사 내부의 목표재무비율 및 통화에 대한 제한과 같은 외부 법규나 법률 요구사항이 있는 경우 그러한 요구사항을 고려하고 있습니다.
당기말과 전기말 현재 당사의 유동성 위험 분석내역은 다음과 같습니다. 금액은 이자지급액을 포함하고 있습니다.
<당기말>
| (단위: 원) | |||||
|---|---|---|---|---|---|
| 구 분 | 3개월 미만 | 3개월~1년 이하 | 1년~ 2년 이하 | 2년~ 5년 이하 | 합 계 |
| 기타금융부채 | 1,626,618,307 | - | - | 70,000,000 | 1,696,618,307 |
| 차입금 | 69,607,987 | 3,868,238,383 | 125,246,075 | 3,265,004,077 | 7,328,096,522 |
| 리스부채 | 72,453,799 | 92,710,865 | 22,506,000 | 4,840,000 | 192,510,664 |
| 합 계 | 1,768,680,093 | 3,960,949,248 | 147,752,075 | 3,339,844,077 | 9,217,225,493 |
<전기말>
| (단위: 원) | |||||
|---|---|---|---|---|---|
| 구 분 | 3개월 미만 | 3개월~1년 이하 | 1년~ 2년 이하 | 2년~ 5년 이하 | 합 계 |
| 기타금융부채 | 572,834,591 | - | - | 70,000,000 | 642,834,591 |
| 차입금 | 52,852,004 | 161,492,236 | 3,826,726,905 | - | 4,041,071,145 |
| 리스부채 | 40,329,939 | 98,189,817 | 33,193,064 | 27,346,000 | 199,058,820 |
| 합 계 | 666,016,534 | 259,682,053 | 3,859,919,969 | 97,346,000 | 4,882,964,556 |
당사는 상기에서 언급한 예측을 통해 결정된 대로 유동성이 확보될 수 있도록 적절한만기나 충분한 유동성을 제공해주는 정기예금, 수시입출금식 예금 등의 금융상품을 선택하여 잉여자금을 투자하고 있습니다.
라. 자본위험관리
당사의 자본관리 목적은 계속기업으로서 주주 및 이해당사자들에게 이익을 지속적으로 제공할 수 있는 능력을 보호하고 자본비용을 절감하기 위해 최적 자본구조를 유지하는 것입니다.
당기말과 전기말 현재의 자본조달비율은 다음과 같습니다.
| (단위: 원) | ||
|---|---|---|
|
구 분 |
당기말 | 전기말 |
|
총차입금(*) |
6,966,428,218 | 3,818,065,217 |
|
차감: 현금및현금성자산 |
49,593,950 | 4,495,612,283 |
|
순부채 |
6,916,834,268 | (677,547,066) |
|
자본총계 |
14,178,820,686 | 20,473,543,664 |
| 총자본 | 21,095,654,954 | 19,795,996,598 |
|
자본조달비율 |
32.79% | (3.42%) |
(*) 당기말 및 전기말 총차입금에는 리스부채가 포함되어 있습니다.
마. 금융상품 공정가치
(1) 금융상품의 종류별 장부금액 및 공정가치는 다음과 같습니다.
| (단위: 원) | ||||
|---|---|---|---|---|
| 구 분 | 당기말 | 전기말 | ||
| 장부금액 | 공정가치 | 장부금액 | 공정가치 | |
| 금융자산 | ||||
| 현금및현금성자산 | 49,593,950 | 49,593,950 | 4,495,612,283 | 4,495,612,283 |
| 단기금융상품 | 870,164,866 | 870,164,866 | 7,839,994,548 | 7,839,994,548 |
| 매출채권 | 48,802,659 | 48,802,659 | 106,409,573 | 106,409,573 |
| 기타채권 | 189,637,930 | 189,637,930 | 675,748,655 | 675,748,655 |
| 장기금융상품 | - | - | 1,085,453,119 | 1,085,453,119 |
| 합 계 | 1,158,199,405 | 1,158,199,405 | 14,203,218,178 | 14,203,218,178 |
| 금융부채 | ||||
| 매입채무 | - | - | - | - |
| 차입금 | 6,780,052,200 | 6,780,052,200 | 3,630,000,000 | 3,630,000,000 |
| 기타금융부채 | 1,696,618,307 | 1,696,618,307 | 823,275,345 | 823,275,345 |
| 합 계 | 8,476,670,507 | 8,476,670,507 | 4,453,275,345 | 4,453,275,345 |
(2) 공정가치 서열체계
공정가치로 측정되는 금융상품은 공정가치 서열체계에 따라 구분되며 정의된 수준들은 다음과 같습니다.
| - 측정일에 동일한 자산이나 부채에 대해 접근할 수 있는 활성시장의(조정하지 않은) 공시가격 (수준 1) |
| - 수준 1의 공시가격 외에 자산이나 부채에 대해 직접적으로나 간접적으로 관측할 수 있는 투입변수 (수준 2) |
| - 자산이나 부채에 대한 관측할 수 없는 투입변수 (수준 3) |
공정가치로 측정되는 금융상품의 공정가치 서열체계 구분은 다음과 같습니다.
<당기말>
| (단위: 원) | ||||
|---|---|---|---|---|
| 구 분 |
수준 1 |
수준 2 |
수준 3 |
합 계 |
|
반복적인 공정가치 측정치 |
||||
| 당기손익-공정가치 금융자산 | ||||
| 단기금융상품 | - | 870,164,866 | - | 870,164,866 |
| 장기금융상품 | - | - | - | - |
| 합계 | - | 870,164,866 | - | 870,164,866 |
<전기말>
| (단위: 원) | ||||
|---|---|---|---|---|
| 구 분 |
수준 1 |
수준 2 |
수준 3 |
합 계 |
|
반복적인 공정가치 측정치 |
||||
| 당기손익-공정가치 금융자산 | ||||
| 단기금융상품 | - | 2,339,994,548 | - | 2,339,994,548 |
| 장기금융상품 | - | - | 1,085,453,119 | 1,085,453,119 |
| 합계 | - | 2,339,994,548 | 1,085,453,119 | 3,425,447,667 |
(3) 반복적인 공정가치 측정치의 서열체계 수준 간 이동
당분기와 전분기 중 수준 1과 수준 2간의 유의적인 이동은 없습니다.
(4) 가치평가기법 및 투입변수
당사는 공정가치 서열체계에서 수준2와 수준3으로 분류되는 공정가치에 대하여 다음의 가치평가기법과 투입변수를 사용하고 있습니다.
| (단위 : 원) | |||||
|---|---|---|---|---|---|
| 구분 | 수준 | 공정가치 | 평가기법 | 관측가능하지 않은 투입변수 |
|
| 당기말 | 전기말 | ||||
| 단기금융상품 | 2 | 870,164,866 | 2,339,994,548 | 시장가치접근법 | ㆍ기초자산가격 |
| 장기금융상품 | 3 | - | 1,085,453,119 | 이익접근법 | - |
(5) 수준 3 공정가치
당기 중 수준 3 공정가치의 변동내역은 다음과 같습니다.
| (단위: 원) | |
| 구분 | 금액 |
| 기초 | 1,085,453,119 |
| 금융비용에 포함된 장기투자자산평가손실 | (1,085,453,119) |
| 기말 | - |
6. 주요계약 및 연구개발활동
가. 경영상의 주요 계약
| (단위 : 백만원) |
| 계약 상대방 | 계약 체결일 |
계약 종료일 |
주요 내용 | 계약 금액 |
|---|---|---|---|---|
| 인하대학교 산학협력단 |
2018.08.09 | - | 특허권 양도계약 - 계약금 : 1억원 - 중도금 : 1.5억원 - 개발성공금 : 2억원 - 경상기술료 : 순매출액의 3% (제품 최초 매출 발생일로부터 6년간) |
450 |
| Duopharma Biotech Berhad |
2018.10.25 | - | Share Subscription Agreement | 5,500 |
| - | Exclusive Marketing and Commercialization Agreement - Compensation 1 : 6억원 (질환 선정 시) - Compensation 2 : 6억원 (첫 환자 등록 시) |
1,200 | ||
| ㈜제넥신 | 2018.12.28 | 2019.06.27 | Binding Argos Joint Bidding Agreement | - |
| 2018.04.11 | - | Shareholder's Agreement | - | |
| 2019.10.31 | - | Common Stock Purchase Agreement | 17,184 | |
| Allele Biotechnology and Pharmaceuticals, Inc. | 2019.02.20 | 옵션기간 | Research Collaboration Option Agreement (iPSC 유래 췌장 베타세포 당뇨병 치료제) |
600 |
| ㈜한독 | 2019.05.24 | - | 기술이전 계약 - Upfront : 10억원 (계약 시) - Milestone : 10억원 (품목허가 시) - 판매 단가 : 제조 원가의 110% - 로열티 : 순매출액의 10% - 중등증-중증 아토피 피부염 임상 3상 주관 |
2,000 |
| Steminent Biotherapeutics |
2019.07.02 | 품목허가 후 5년 |
공동개발 및 상업화(크로스 라이선스) 양해각서 - 척수소뇌성 실조증 치료제 국내 도입 - 현재 사업구조 협의 중 |
- |
| Steminent Biotherapeutics |
2020.10.13 | 2030.10.12 | 척수소뇌성 실조증 국내 판권 및 기술이전 계약 체결 | 4,510 |
| 차바이오텍㈜ | 2021.02.26 | - | 골수유래 세포치료제 완제품의 위탁생산 | 1,106 |
| Vita Therapeutics, Inc. | 2021.06.30 | - | 우선주 계약 | 1,147 |
| Allele Biotechnology and Pharmaceuticals, Inc. | 2021.06.30 | - | iPSC 유래 췌장 베타세포 당뇨병 치료제 개발의 개발, 허가, 생산 및 판매에 대한 국내 독점 권한 계약 | 3,389 |
| ㈜바이오서포트 | 2022.12.20 | - | 송도 GMP 제조소 개념설계 | 63 |
| 종합건축사사무소 예건사 |
2022.04.25 | - | 송도 GMP 제조소 신축 공사 설계용역 계약 건 | 309 |
| Duopharma Biotech Berhad |
2022.09.26 | 2027.09.25 | 이로로 제품 유통 관련 할랄 개발 및 제품 유통계약 체결 | - |
| IBK 기업은행 | 2022.11.14 | 2025.11.14 | 대출 약정 - 대출 금액 : 36.3억원 - 이자율 : 5.9% - 만기 : 3년 |
3,630 |
| ㈜이즈블랑 | 2023.08.16 | 2025.08.16 | 이로로 스킨케어 제품 일본유통 공급 계약 | - |
| Regina Skin Medical Co., Ltd |
2024.03.22 | 2026.03.22 | 이로로 제품 홍콩, 마카오, 광동(중국 내) 독점 공급 계약 | - |
| Cherry Trading Co., Ltd | 2024.05.29 | 2026.05.29 | 이로로 제품 베트남 내 독점 공급 계약 | - |
| 주식회사 코어 | 2024.08.08 | 2024.10.31 | GMP 제조소 리노베이션 구축공사(1차) | 1,715 |
| 2024.09.02 | 2024.10.31 | GMP 제조소 리노베이션 구축공사(2차) | 1,328 | |
| 2024.10.01 | 2024.10.31 | GMP 제조소 리노베이션 구축공사(3차) | 1,337 | |
| (주)록키 지산 | 2024.12.17 | 2025.01.17 | GMP 제조소 리노베이션 부동산(공장) 매매 | 4,450 |
나. 라이선스아웃(License-out) 계약
| [라이선스아웃 계약 총괄표] |
| (단위 : 백만원) |
| 품목 | 계약 상대방 | 대상 지역 | 계약 체결일 | 계약 종료일 | 총 계약 금액 | 수취 금액 | 진행 단계 |
|---|---|---|---|---|---|---|---|
| 줄기세포치료제 | Duopharma Biotech Berhad |
아세안 4개국 (말레이시아, 싱가포르, 필리핀, 브루나이) |
2018.10.25 | - | 1,200 | - | - |
| 중등증-중증 아토피 피부염 줄기세포치료제 |
㈜한독 | 한국 | 2019.05.24 | 제품발매일로부터 20년 |
2,000 | 1,000 | 임상 2상 완료 |
(1) 품목 : 줄기세포치료제
| ① 계약 상대방 | Duopharma Biotech Berhad (말레이시아) |
| ② 계약 내용 | 당사가 개발 완료/개발 중인 줄기세포치료제의 대상 지역에서 독점 개발 및 판매권 |
| ③ 대상 지역 | 아세안 4개국 : 말레이시아, 싱가포르, 필리핀, 브루나이 - 상기 아시아 4개국을 제외한 아세안 국가에 대해서는 The first right of refusal 옵션 부여 |
| ④ 계약 기간 | 적용 특허권 만료 기간까지 |
| ⑤ 총 계약 금액 | 선택 파이프라인별로 약 12억원(USD 1,000,000), 로열티 별도 - 지분 투자 : 55억원 |
| ⑥ 수취 금액 | 지분 투자 55억원 (2018.11.23 납입) |
| ⑦ 계약 조건 | ▲ 지분 투자 : 55억원 (2018.11.23 납입) ▲ 마일스톤(Milestone) - 1차 마일스톤 : USD 500,000 (말레이시아에서 인정하는 국가에서 선택한 파이프라인에 대한 IRB 승인을 받을 때) - 2차 마일스톤 : USD 500,000 (첫 번째 임상시험 환자 등록 시) ▲ 로열티(Royalty) : 치료제 판매이익의 50% |
| ⑧ 회계 처리 방법 | - |
| ⑨ 대상 기술 | 층분리배양법을 적용한 줄기세포치료제 |
| ⑩ 개발 진행 경과 | 당사는 만성 이식편대숙주질환 2상 임상시험대상자 등록 및 투약을 완료하여 임상시험 결과를 확인 중이며, 중등증-중증 아토피 피부염 1/2상 임상시험 및 중등증-중증 급성 췌장염 1/2a상 임상시험 결과 보고를 완료함 2023년 하반기부터 중등증-중증 아토피 피부염에 대한 기술이전 협의가 구체적으로 진행되고 있음. 2024년 1월 30일 기술이전 을 위한 현장방문 실사가 진행됨. |
| ⑪ 기타 사항 | - |
(2) 품목 : 중등증-중증 아토피 피부염 줄기세포치료제
| ① 계약 상대방 | 주식회사 한독 (대한민국) |
| ② 계약 내용 | - 중등중-중증 아토피 피부염 치료를 위한 줄기세포치료제의 국 내 개발 및 판매권 - 임상 3상 및 품목허가는 한독이 담당 |
| ③ 대상 지역 | 대한민국 |
| ④ 계약 기간 | 2019년 5월 24일 ~ 제품 발매일로부터 20년 |
| ⑤ 총 계약 금액 | 20억원 |
| ⑥ 수취 금액 | 지분 투자 40억원 (2019.06.05 납입) |
| ⑦ 계약 조건 | ▲ 지분 투자 : 40억원 (2019.06.05 납입) ▲ 계약금(Upfront) : 10억원 - 수취조건 : 계약 체결 시 ▲ 마일스톤(Milestone) - 수취조건 : 제품 품목허가 취득 시 ▲ 로열티(Royalty) : 순매출액의 10% - 수취조건 : 매년 1회 정산 ▲ 제품 판매 : 제조원가에 10% 이익 가산 - 수취조건 : 제품 공급 시 |
| ⑧ 회계 처리 방법 | 수령한 계약금은 당사의 임상 1/2상 의무에 대해 지급한 것으로 임상 1/2상 실질적 예상 수행기간에 따라 안분하여 수익인식 |
| ⑨ 대상 기술 | 층분리배양법 기술을 이용하여 개발하고 있는 중등증-중증 아토피 피부염 치료를 위한 줄기세포치료제 |
| ⑩ 개발 진행 경과 | 2020년 2월 식약처로부터 1/2상 임상시험 계획 승인 후 2023년 5월 1/2상 임상시험 결과 보고 완료 임상 3상의 기술이전을 협의하기 위한 운영위원회가 2023년 6월, 9월, 2024년 1월, 2월 4차례 진행되어, 임상 2상 결과 검토, 임상 3상 디자인 설계, 대량생산을 통한 원가절감 가능성여부 등에 대해서 논의함. |
| ⑪ 기타 사항 | - |
다. 라이선스인(License-in) 계약
| [라이선스인 계약 총괄표] |
| (단위 : 백만원) |
| 품목 | 계약 상대방 | 대상 지역 | 계약 체결일 | 계약 종료일 | 총 계약 금액 | 지급 금액 | 진행 단계 |
|---|---|---|---|---|---|---|---|
| 척수소뇌성실조증 줄기세포치료제 (Stemchymal) |
Steminent Biotherapeutics, Inc. (대만) |
한국 | 2020.10.13 | 2030.10.12 | 4,510 | 507 | 자진철회 추가 검토중 |
| 제1형 및 제3형 당뇨병 치료제 |
Allele Biotechnology and Pharmaceuticals Inc. |
한국 | 2021.06.30 | - | 3,389 | 1,761 | 비임상 |
(1) 품목 : 척수소뇌성 실조증 줄기세포치료제(Stemchymal)
| ① 계약 상대방 | Steminent Biotherapeutics Inc. (대만) |
| ② 계약 내용 | 스템키말(Stemchymal)의 개발, 허가, 생산 및 판매에 대한 국내 독점 권한 |
| ③ 대상 지역 | 대한민국 |
| ④ 계약 기간 | 2020년 10월 13일 ~ 2030년 10월 12일 (계약일로부터 10년, 이후 계약해지 의사 없을 시 매 2년 마다 자동 갱신) |
| ⑤ 총 계약 금액 | $3,932,585 (약 45.1억원), 로열티 별도 |
| ⑥ 지급 금액 | $561,798 (약 5억원) |
| ⑦ 계약 조건 | ▲ 총액 - $3,932,585 (약 45.1억원) ▲ 선급기술료(계약금) - $561,798 (약 5억원) ▲ 마일스톤 지급조건 - 임상 2상 임상시험계획서(IND) 승인 시 : $561,798 (약 5억원) - 조건부 품목허가 취득 시 : $842,697 (약 9.8억원) - 정규 품목허가 취득 시 : $1,685,393 (약 19.3억원) - 의약품 보험등재 완료 시 : $280,899 (약 3.2억원) ▲ 판매 로열티 : 순매출액의 10% |
| ⑧ 회계 처리 방법 | 지급 시 경상연구개발비로 비용 처리 |
| ⑨ 대상 기술 | 스템키말(Stemchymal)은 지방유래 중간엽줄기세포를 활용하는 세포치료제임. 특정 신경세포종인 푸르킨예세포(Purkinje Cell)와 ATAXIN-3 단백질 등의 응집을 감소시킴으로써 퇴행성 뇌신경계 질환인 척수소뇌성 실조증을 치료 |
| ⑩ 개발 진행 경과 | - 대만 임상 2상 환자 투여 완료 - 일본 임상 2상 진행 중 (라이선스 파트너 : 일본 리프로셀 (Repr ocell Inc.) - 미국 임상 2상 임상시험계획서 승인 - 미국 FDA 및 일본 PMDA로부터 희귀의약품 지정 완료 - 제 2상 임상시험 계획(IND) 자진 취하 결정 |
| ⑪ 기타 사항 | - |
(2) 품목 : 제1형 및 제3형 당뇨병 치료제
| ① 계약 상대방 | Allele Biotechnology and Pharmaceuticals, Inc. |
| ② 계약 내용 | iPSC 유래 췌장 베타세포 당뇨병 치료제의 개발, 허가, 생산 및 판매에 대한 국내 독점 권한 |
| ③ 대상 지역 | 대한민국 |
| ④ 계약 기간 | 2021년 6월 30일 ~ 모든 이익분배의무가 만료될 때까지 |
| ⑤ 총 계약 금액 | $3,000,000 (약 33.89억원), 로열티 별도 |
| ⑥ 지급 금액 | $1,500,000 (약 17.6억원) |
| ⑦ 계약 조건 | ▲ 총액 - $3,000,000 (약 33.89억원) ▲ 선급기술료(계약금) - $750,000 (약 8.8억원) ▲ 마일스톤 지급조건 - 개발비 분담금 : $750,000 (약 8.8억원) - 임상시험계획서(IND) 승인 시 : $500,000 (약 5.65억원) - 판매승인신청서(MAA) 승인 시 : $1,000,000 (약 11.30억원) ▲ 판매 로열티 : 영업이익의 35% |
| ⑧ 회계 처리 방법 | 지급 시 경상연구개발비로 비용 처리 |
| ⑨ 대상 기술 | mRNA 원천기술을 적용하여 유도만능줄기세포를 구축하고, 조직 특이적 세포 분화기술을 이용하여 유도만능줄기세포 유래 췌장 베타세포를 만들어 제1형 및 제3형 당뇨병 치료제로 개발하는 기술 |
| ⑩ 개발 진행 경과 | - 미국 유도만능줄기세포 유래 췌장 베타세포 생산 완료 - 미국 비임상 유효성 시험 진행 중 - 한국 비임상 체내 분포, 독성, 종양원성 시험 준비 중 |
| ⑪ 기타 사항 | - |
라. 특허양수도 계약
| (단위 : 백만원) |
| 계약 상대방 | 계약 체결일 |
계약 종료일 |
주요 내용 | 계약 금액 |
|---|---|---|---|---|
| 인하대학교 산학협력단 |
2018.08.09 | - | ▲ 선급기술료(Initial Payment) - 계약금 : 1억원 - 중도금 : 1.5억원 (중도금 상당의 특허권양도 대금체권을 현물 출자) ▲ 개발성공금(Milestone Payment) - 2억원 (해당기술기반 제품 국내외 구분없이 최 초 제품 출시에 한해 1회 지급) ▲ 경상기술료 - 순매출액의 3% (계약기술을 통해 생산되는 제 품 최초 매출 발생일로부터 6년간) |
450 |
마. 공동연구개발 계약
| (단위 : 백만원) |
| 계약 상대방 | 계약 체결일 |
계약 종료일 |
주요 내용 | 계약 금액 |
|---|---|---|---|---|
| University of Utah | 2018.10.10 | 2019.12.31 | 공동연구계약(세포시트를 이용한 신장 및 자궁벽섬유화 치료제 개발) | 1,200 |
| Allele Biotechnology and Pharmaceuticals, Inc. | 2019.02.20 | 옵션기간 | Research Collaboration Option Agreement (iPSC 유래 췌장 베타세포 당뇨병 치료제) |
600 |
| PBS Biotech, Inc. | 2019.05.24 | 2019.11.22 | 3D Bioreactor Process Development Service Agreement (바이오리액터 공정 개발) |
320 |
| ㈜티앤알바이팹 | 2019.07.01 | 2021.06.30 | 공동연구개발 양해각서 (바이오프린팅 응용 재생의료치료제 개발) |
- |
| Steminent Biotherapeutics |
2019.07.02 | 품목허가 후 5년 |
공동개발 및 상업화(크로스 라이선스) 양해각서 - 척수소뇌성 실조증 치료제 국내 도입 및 SCM-AGH(아토피 피부염) 기술 수출 - 현재 사업구조 협의 중 |
- |
| ㈜미토이뮨 테라퓨틱스 |
2019.07.10 | 2021.07.09 | 공동연구개발 양해각서 (미토콘드리아 응용 줄기세포 효능개선 연구) |
- |
| 가톨릭대학교 산학협력단 |
2020.01.01 | 2023.06.30 | 혈액암 환자의 항암 치료 반응 및 내성과 관련한 MSC 유래의 exosome의 역할 연구 | 300 |
| PBS Biotech, Inc. | 2020.07.27 | 2021.07.31 | 2nd phase process development service agreement | 1,263 |
| ㈜테라이뮨 | 2021.07.01 | 2022.06.30 | Clonal MSC와 polyclonal Treg를 활용한 병용세포치료제 연구 및 개발 | - |
바. 유형자산 취득 계약
| (단위 : 백만원) |
| 계약 상대방 | 계약 체결일 |
계약 종료일 |
주요 내용 | 계약 금액 |
|---|---|---|---|---|
| 코바이오텍㈜ | 2019.06.07 | 2019.08.19 | 부동산 매매계약 - 매매가액 : 76억원 |
7,600 |
| ㈜제이오 | 2019.06.01 | 2019.07.20 | GMP 공조설비 개선공사 | 286 |
| 이움도시건축 | 2019.12.06 | 2020.05.31 | 리모델링 설계 및 허가 | 47 |
| 2020.02.10 | 2020.05.31 | 증축 및 리모델링 공사 감리용역 | 27 | |
| ㈜세부종합건설 | 2020.02.18 | 2020.05.31 | 송도 사옥 증축 공사 | 242 |
| ㈜앤츠컴 | 2020.03.09 | 2020.05.31 | 송도 사옥 인테리어 공사 | 638 |
| ㈜신창이엔지 | 2021.03.01 | 2021.04.30 | 송도 사옥 비상 발전기 | 48 |
| (주)록키 지산 | 2024.12.17 | 2025.01.17 | 부동산 매매계약 - 매매가액 : 44.5억원 |
4,450 |
사. 합작투자 계약
| (단위 : 백만원) |
| 계약 상대방 | 계약 체결일 |
계약 종료일 |
주요 내용 | 계약 금액 |
|---|---|---|---|---|
| ㈜제넥신 | 2018.12.28 | 2019.06.27 | Binding Argos Joint Bidding Agreement | - |
| 2018.04.11 | - | Shareholder's Agreement | - | |
| 2019.10.31 | - | Common Stock Purchase Agreement | 17,184 |
아. 연구개발활동
(1) 연구개발활동의 개요
당사는 국내외 타 중간엽줄기세포치료제 회사들과는 차별화된 줄기세포 분리 및 배양 방법을 사용하여 고순도ㆍ고효능 줄기세포치료제를 개발하고 있습니다. 이를 위하여 세포를 분리하는 플랫폼 기술인 층분리배양법을 개발하여 글로벌 특허를 확보하였고, 최근에는 개선된 층분리배양법을 개발하여 2037년까지 특허권을 확보하였습니다.
당사는 세포치료제 사업의 글로벌 시장 확보를 위하여 가장 중요한 대량생산 최적화 작업들을 지속적으로 전개하여 고밀도 세포배양을 이용하는 1세대 대량생산 제조공정에 이어 저밀도 세포배양과 항산화제를 이용한 2세대 대량생산 제조공정을 확립하였습니다. 현재는 상업화를 고려하여 3D 바이오리액터를 활용한 3세대 대량생산 제조공정 작업을 수행하고 있습니다.
또한, 당사는 질환 특이적 줄기세포치료제를 개발하기 위하여 3단계의 질환 특이적 줄기세포 선별 과정을 수립하여 연구개발을 하고 있습니다.
![]() |
|
[연구개발 보유기술의 구조] |
당사는 자체 개발한 원천기술을 이용하여 제조 및 치료 비용이 저렴하고 질환 특이적인 줄기세포치료제 개발과 고순도 줄기세포 유래 분비체를 활용한 제품 개발을 수행하고 있습니다.
(2) 연구개발 담당조직
당사는 본부제 편성 후 연구사업혁신개발본부(연구개발 담당)와 첨단바이오의약품본부(세포치료제 제조소, 임상개발팀)의 긴밀한 협력으로 부서 간 빠른 소통과 의사결정, 활발한 협업을 가능하게 하고 있습니다. 연구개발부에서 수행되는 치료제 특성 규명 연구, 대량생산 공정시험, 차세대 치료제 개발시험은 제조소로 신속하게 이관되어 치료제 생산 시스템에 적용되고 있으며, 비임상 독성과 효력시험, 바이오마커 발굴 관련 연구도 임상시험의 결과와 함께 면밀히 상호 분석하여 치료제를 개발하고 있습니다.
① 연구개발 담당
| 조 직 | 역 할 |
|---|---|
| 연구소장 | 연구개발 관련 업무 총괄 |
| 비임상약리팀 | 줄기세포치료제 효력/약리, 기전, 독성평가 |
| 세포공정팀 | 대량배양 시스템 개발 |
| 효능검증팀 | 질환특이적 치료제 발굴 및 라이브러리 구축, 치료기전 규명, 질환특이적 치료제 특성 규명 |
② 세포치료제 제조소
| 조 직 | 역 할 |
|---|---|
| 제조소장 | 세포치료제 제조 관련 업무 총괄 |
| 제조관리팀 | 세포은행구축, 임상시험용 세포치료제 제조, 위수탁사업, 배양액 생산 |
| 품질관리팀 | 치료제 품질 관리 및 신규 시험법 개발 |
| 품질보증팀 | GMP 문서 시스템 관리, 교정, 적격성 평가, 출하 승인 |
③ 임상개발팀
| 조 직 | 역 할 |
|---|---|
| 첨단바이오의약품 본부장 | 임상시험 관련 업무 총괄 |
| 임상시험 관리자1 | 만성 이식편대숙주질환 임상시험 관리 |
| 임상시험 관리자2 | 중등증-중증 급성 췌장염 임상시험 관리 |
| 임상시험 관리자3 | 중등증-중증 아토피 피부염 임상시험 관리 |
(3) 연구개발현황
당사는 보고서 작성 기준일 현재 박사 3명, 석사 15명 등 총 40명의 연구개발인력을 보유하고 있으며, 그 현황은 아래와 같습니다.
| 구 분 | 박사 | 석사 | 학사 | 전문학사 | 합 계 |
|---|---|---|---|---|---|
| 인원수(명) | 3 | 15 | 22 | 0 | 40 |
(4) 연구개발비용
당사는 보고서 작성 기준일 현재 연구 및 임상개발 등에 소요되는 모든 비용을 아래와 같이 당기비용으로 회계처리하고 있습니다.
| (단위 : 천원) |
| 구 분 | 2024년도 (제11기) |
2023년도 (제10기) |
2022년도 (제9기) |
|
|---|---|---|---|---|
| 비용의 성격별 분류 |
시약재료비 | 824,681 | 1,423,208 | 1,518,586 |
| 인건비(주식보상비용 제외) | 2,895,722 | 3,086,675 | 2,646,112 | |
| 주식보상비용 | 103,746 | 259,000 | 344,717 | |
| 감가상각비 | 642,782 | 656,285 | 790,650 | |
| 외주용역비 | 2,182,078 | 2,993,173 | 3,351,157 | |
| 기타 | 930,976 | 896,576 | 660,086 | |
| 연구개발비용 합계 | 7,579,985 | 9,314,917 | 9,311,308 | |
| (정부보조금) | - | - | - | |
| 보조금 차감후 금액 | 7,579,985 | 9,314,917 | 9,311,308 | |
| 회계처리 내역 |
경상연구개발비 | 7,579,985 | 9,314,917 | 9,311,308 |
| 개발비(무형자산) | - | - | - | |
| 회계처리금액 계 | 7,579,985 | 9,314,917 | 9,311,308 | |
| 매출액 | 824,801 | 695,698 | 395,982 | |
| 연구개발비용 / 매출액 비율 (연구개발비용 합계÷당기매출액×100) |
919.01% | 1,338.93% | 2,351.48% | |
| 주1) | 당사의 연구개발비는 전액 비용 처리하고 있습니다. |
| 주2) | 연구소, 제조소 및 임상개발팀에서 발생하는 비용은 전액 경상연구개발비로 처리하였습니다. |
(5) 연구개발실적
① 진행 경과 및 향후 계획
| 구 분 | 품 목 | 적응증 | 연구시작일 | 현재 진행단계 | 비고 | ||
|---|---|---|---|---|---|---|---|
| 단계(국가) | 계획 승인일 |
시험 대상자 수 |
|||||
| 줄기세포 치료제 |
SCM-CGH | 만성 이식편대숙주질환 |
2008년 | 임상 2상 (한국) |
2016년 | 84명 | - |
| SCM-AGH | 중등증-중증 급성 췌장염 |
2010년 | 임상 2a상 (한국) |
2018년 | 2a상 : 36명 | - | |
| SCM-AGH | 중등증-중증 아토피 피부염 |
2013년 | 임상 2상 (한국) |
2020년 | 2상 : 72명 | - | |
(a) 품목 : 만성 이식편대숙주질환 줄기세포치료제 (SCM-CGH)
| ① 구분 | 줄기세포치료제(바이오 신약) | ||||
| ② 적응증 |
1. 적응증 - 만성 이식편대숙주질환 2. 적응증 확대 - 급성 이식편대숙주질환 |
||||
| ③ 치료제 현황 및 개발 필요성 |
1. 중간엽줄기세포(MSC)의 기능 면역활성 환경에서 고순도 중간엽줄기세포는 T-세포의 증식 억제와 면역세포 표면에 존재하는 아세틸콜린 수용체를 통하여 면역세포의 활성과 증식을 억제합니다.
2. 비임상시험 결과 동종 splenocyte-유도 이식편대숙주질환 동물모델에서 신선형 줄기세포치료제 SCM-CGH를 정맥투여하여 질환동물의 생존율이 높아지고, 임상 증상이 개선되었습니다.
이식편대숙주질환 동물모델을 이용하여 신선형 치료제 SCM-CGH 주입군과 PBS 주입군의 생존율을 비교, 평가한 결과 SCM-CGH 주입군에서 2배 이상의 높은 생존율을 확인하였습니다. 4. 개발 필요성 - 한국과학기술정보연구원의 National Digital Science Library 보고서에 의하면 만성 이식편대숙주질환은 조혈모줄기세포 이식 후 생존하는 환자의 60-80%에서 발생하며 장기 생존 환자의 가장 중요한 사망원인으로 꼽히고 있습니다. - 최근 조혈모줄기세포 이식은 나이 많은 사람과 혈연관계가 없는 사람간의 이식이 증가하면서 만성 이식편대숙주질환 환자수가 급증하고 있으나 효과적인 치료법이나 병리학적인 기전은 잘 알려져 있지 않은 상태입니다. - 이식편대숙주질환 치료에 있어 골수 및 제대혈유래 줄기세포치료제의 효과가 보고되고 있어 치료제 개발의 요구가 매우 높습니다. |
||||
| ④ 진행 경과 | [세포 확보 및 공정 확립] - 제조공정과 표준작업지침서 완성 (2006) - 치료목적사용 임상시험 2건 실시 (2007.01~2008.12) - 세포치료제 제조소 구축 (2009) - 논문 게재 (SCI 1편, 2010) [비임상시험] - 동물모델 유효성 시험 (2008~2010) → 논문 게재 (SCI 1편, 2010) - 비임상 독성시험 수행 (2008~2010) [임상시험] - 한국 1상 임상시험 실시 (2010~2011) - 한국 2상 임상시험 계획 승인 (2016.04) 및 임상시험 실시 (2018~ 2024) - 식약처 개발단계 희귀의약품 지정 (2019.04) - SCM-CGH에 대한 식약처 이식편대숙주질환 줄기세포치료제 치료 목적 사용 허가 (2022.09) - 2상 임상시험대상자 등록 및 투약 완료 (2023.03) |
||||
| ⑤ 향후 계획 | - 향후 치료제 개발 전략을 최적화하는 임상 등 필요시 추가 진행 |
||||
| ⑥ 관련 논문 등 |
Immune Netw. 2013 Aug;13(4):133-40 Yi TG et al. (Int J Stem Cells. 2019 Jul 31;12(2):315-330) |
||||
| ⑦ 기타사항 | - |
(b) 품목 : 중등증-중증 급성 췌장염 줄기세포치료제 (SCM-AGH)
| ① 구분 | 줄기세포치료제(바이오 신약) | ||||||||
| ② 적응증 |
1. 적응증 |
||||||||
| ③ 치료제 현황 및 개발 필요성 |
1. 중간엽줄기세포(MSC)의 기능
A. 급성 췌장염 유발 후 혈중으로 유리된 소화효소 α-amylase와 lipase는 각각 2배, 18배 이상 증가하였으며, SCM-AGH의 정맥 투여 후 유의적으로 감소하였습니다.
|
||||||||
| ④ 진행 경과 | [비임상시험] - 동물모델 유효성 시험 (2010~2011) → 논문 게재 (SCI 1편, 2011) - 비임상 독성시험 수행 (2014~2016) [임상시험] - 한국 1/2a상 임상시험 계획 승인 (2018) - 한국 1/2a상 임상시험 모집 완료 (2019~2021) - 2020년 식약처 개발단계 희귀의약품 지정(2020.10) (대상질환 : CTSI 7~10에 해당하거나 장기부전을 동반하는 중증 급성 췌장염) - 한국 1/2a상 임상시험 결과발표 완료 (2022) - KDDW2022 임상2a상 결과 발표, 최우수 초록 수상(2022.12) - Gastroenterology 임상 2a상 결과 등재(2023.06) |
||||||||
| ⑤ 향후 계획 |
[국내] 2025년 2b상 임상시험 진입을 위한 임상 데이터 축적 목적의 첨단재생의료 임상연구 진행 예정 |
||||||||
| ⑥ 관련 논문 등 | Jung et al. (Gastroenterology. 2011, 140(3):998) Shin et al. (Gastroenterology, 2023, 164.7: 1317-1320) |
||||||||
| ⑦ 기타사항 | - |
(c) 품목 : 중등증-중증 아토피 피부염 줄기세포치료제 (SCM-AGH)
| ① 구분 | 줄기세포치료제(바이오 신약) | ||||||||
| ② 적응증 |
1. 적응증 |
||||||||
| ③ 치료제 현황 및 개발 필요성 |
1. 중간엽줄기세포(MSC)의 기능
|
||||||||
| ④ 진행 경과 | [비임상시험] - 동물모델 유효성 시험 (2013~2014) → 논문 게재 (SCI 1편, 2014) [임상시험] - 치료목적사용 임상시험 5명 (2017~진행 중) - 한국 1/2상 임상시험 IND 신청 (2019) - 한국 1/2상 임상시험 계획 승인 (2020) - 한국 1/2상 임상시험 결과발표 완료(2023.05) - Journal of Allergy and Clinical Immunology 임상1/2상 결과 등재 (2024.06) |
||||||||
| ⑤ 향후 계획 |
[국내] ㈜한독 임상 3상 논의 중 |
||||||||
| ⑥ 관련 논문 등 | Na et al. (Cell Death Dis. 2014 Jul 17;5(7):e1345) Seo et al. (J Allergy Clin Immunol. 2024 Oct;154(4):965-973)) |
||||||||
| ⑦ 기타사항 | - |
(6) 연구개발 완료 실적
(a) 품목 : 층분리배양법(원천기술)
| ① 구분 | 고순도 중간엽줄기세포 분리방법(층분리배양법) |
| ② 개발 기간 | ▲ 층분리배양법 : 2002.03~2006.02 ▲ 개선된 층분리배양법 : 2014.02~2017.06 |
| ③ 개발 과정 | - 고순도 중간엽줄기세포 분리방법인 층분리배양법 개발(2006.02) - 층분리배양법 국내외 특허 등록 : 한국(2008.01), 미국(2010.08), 일본(2012.12), 중국(2013.01), EU(2014.07) - 저밀도 세포배양과 항산화제를 사용하는 개선된 층분리배양법 개 발(2017.06) - 개선된 층분리배양법 국내 특허 등록(2019.05) → 2026년에서 2037 년으로 특허 기간 연장, 국외 특허 출원(미국 외 9개국, 2018.06~2 018.10) |
| ④ 관련 논문 등 | - Stem Cells and Development. 17(3):451-461(2008) - World Journal of Stem Cells. 3(8):70-82(2011) - Journal Expert Opinion on Biological Therapy Volume 14, 2014-Issu e11 - Tissue Eng Part C Methods. 2015 Dec;21(12):1251-1262 - Tissue Eng Part C Methods. 2015 May;21(5):447-57 |
(b) 품목 : 고순도 줄기세포 유래 발모 효능 단백질이 함유된 화장품
| ① 구분 | 발모 효능 단백질이 함유된 샴푸, 트리트먼트, 세럼 판매 |
| ② 개발 기간 | 2013.04 ~ 2018.10 |
| ③ 개발 과정 |
[연구 개발] - In vitro 및 동물모델 유효성 시험 (2013~2016) 결과 논문 게재 (SCI 2편, 2014, 2018) - 탈모 예방 및 치료 조성물 국내외 특허 출원 및 등록 (2016) - 미녹시딜과 병행한 탈모 예방 및 치료 조성물 국내외 특허 출원 및 등록 (2017) - 발모 효능 단백질 재조합 단백질 생산공정 개발 완료 (2018) |
자. 오픈이노베이션을 통한 신규 후보물질 및 기술력 확보
현재, 공동 연구개발을 진행 중인 기관은 미국 유타대학교와 국내 병원 및 대학교 3곳 그리고 미국 Tera Immune 社를 비롯한 3개의 국내외 바이오 벤처기업들로 총 8개이며, 다음과 같은 10가지 목표를 가지고 협력 연구가 진행되고 있습니다.
| [공동연구 프로젝트별 목표] |
| 프로젝트별 목표 | 협력 기관 | |
|---|---|---|
| 1 | 차세대 줄기세포치료제 제형 개발 | - 미국 유타대학교 |
| 2 | 줄기세포 유래 엑소좀 기능 연구 및 개발 | - 가톨릭대학교 서울성모병원 |
| 3 | 미토콘드리아로 인한 줄기세포치료제 효능 개선 연구 및 개발 | - 미토이뮨테라퓨틱스 |
| 4 | 질환 특이적 바이오마커 연구 : 아토피 피부염 | - 인하대병원 |
| 5 | 대량생산 공정 개선 : 3D 바이오리액터 | - 미국 PBS Biotech |
| 6 | 줄기세포와 CAR-Treg를 이용한 자가면역질환 세포치료제 연구개발 | - 미국 Tera Immune |
| 7 | iPSC 유래 췌장 베타세포 당뇨병 치료제 개발 | - 미국 Allele |
| 8 |
췌장염 치료를 위한 최적의 MSC 선별 방법 개발 |
- 인하대학교 |
| 9 |
프라이밍 MSC가 T 세포 활성에 미치는 영향 연구 |
- 인하대병원 |
| 10 |
줄기세포 아토피 피부염 치료기전 비교 |
- 인하대학교 |
(1) 차세대 줄기세포치료제 제형 개발
시트(Sheet) 형태의 줄기세포치료제 개발은 기존의 주사형 제형이 전신을 순환하다 생착에 성공한 일부 세포로부터 발현되는 것과는 달리, 목표 부위에 직접 부착하기 때문에 줄기세포의 효능을 극대화할 수 있는 방법입니다.
목표 부위에 직접 부착하여 줄기세포의 효능을 나타낼 수 있는 시트를 개발하기 위해 공동으로 연구를 진행하고 있는 기술로는 유타대학교의 세포시트 기술, 한양대학교의 스페로이드 기술 및 티앤알바이오팹의 3D 바이오프린팅 기술이 있습니다.
① 유타대학교 : 2018년 8월 MOU를 체결한 미국 유타대학교 세포시트 조직 공학 센터(CSTEC)와는 SCM-cMSC를 여러 층의 세포시트 형태로 개발하여 손상된 조직에 이식 후 효능 평가를 하는 공동 연구를 진행 중이며, 본 연구를 통해 자궁벽 및 신장 섬유화증에 적용할 수 있는 제품을 개발하고자 합니다.
(2) 줄기세포 유래 엑소좀 기능 연구 및 개발
엑소좀은 세포가 분비하는 세포 간 신호전달 물질로 최근 세포 재생 및 대사, 진단 연구 분야에서 주목을 받고 있는 나노물질입니다. 그 중 줄기세포가 분비하는 엑소좀의 경우, 면역거부 반응이 낮고 높은 재생 및 치료 효과가 기대되고 있어 SCM-cMSC를 활용한 연구를 진행 중에 있습니다. 가톨릭대 김유진 교수팀과는 2020년 1월 공동 연구계약을 맺고 혈액암 환자의 항암치료 반응 및 내성과 관련한 MSC 유래 엑소좀의 역할에 대한 연구를 진행 중입니다.
(3) 미토콘드리아로 인한 줄기세포 효능 개선 연구 및 개발
미토이뮨테라퓨틱스의 MIT 컴파운드(indole-based privileged chemical scaffold)는 미토콘드리아 기능에 영향을 주어 세포의 괴사를 막고 생존율을 증가시키며, 세포배양이 불가능한 심장근육세포(cardiomyocyte) 및 간세포(hepatocyte) 등의 일차세포배양(primary cell culture)을 가능하게 합니다. 당사는 MIT 컴파운드가 항산화 및 저산소 효과를 통하여 SCM-cMSC의 줄기세포능을 개선시켜 줄 것으로 기대하여, 병행 또는 병렬 투여로 염증성 질환모델에서 유효성 평가와 세포 증식률 증가 분야에서 공동 연구개발을 진행 중입니다.
(4) 질환 특이적 바이오마커 연구 : 아토피 피부염
인하대병원 의생명연구원과 협력을 통해 아토피 피부염 치료에 관여하는 중간엽 줄기세포주의 바이오마커 발굴을 위한 연구를 진행하여, 아토피 피부염에 특이적으로 적용할 수 있는 세포주를 선정하는 효능 지표로 활용하고 있습니다.
(5) 대량생산 공정 개선 : 3D 바이오리액터
PBS Biotech과의 공정개발 과정을 통해 2021년 3D 배양공정을 적용하여 3리터 배양기에서의 최적화를 거쳐 15리터 규모의 초대량 배양 프로세스의 최적화 공정개발 작업을 완료하였습니다.
(6) 줄기세포와 Treg 또는 CAR-Treg를 이용한 자가면역질환 세포치료제
CAR-Treg는 최근 항암제 분야에서 각광받고 있는 CAR-T와 유사한 개념의 치료제입니다. 기존에 면역항암제에서 주로 사용되던 세포독성 T세포 (cytotoxic T cells) 대신 조절 T세포 (regulatory T cells)를 사용함으로써 자가면역질환에 적용할 수 있다는 큰 차이점을 가지고 있습니다. 세포독성 T세포의 경우, 그동안 면역계가 과도하게 반응을 보여 체내에 스스로 해를 끼치는 이른 바, 사이토카인 폭풍 등 부작용이 발현되는 현상이 자주 관찰되곤 하나, 조절 T세포를 사용하는 경우 이런 부작용이 최소화됩니다. 고순도 줄기세포와 세포특이적으로 반응하는 면역억제세포인 Treg 또는 CAR-Treg는 다양한 형태의 자가면역질환에 적용할 수 있습니다.
(7) iPSC 유래 췌장 베타세포 당뇨병 치료제 개발
Allele은 2009년부터 유도만능줄기세포에 mRNA 원천기술을 적용해 조직 특이적 세포를 생산하고 있으며, Allele의 당뇨병 치료제의 개발, 허가, 생산 및 판매에 대한 한국 독점권한을 확보했습니다. 유도만능줄기세포는 환자의 세포를 이용해 만들어진 줄기세포이기 때문에 맞춤형 세포 치료 시대의 가능성을 제시하고, 환자 고유의 유전체적 특성을 모두 가지고 있으며, 불치병과 희귀질환 분야의 연구와 치료에 무한한 잠재력을 가지고 있는 도구로 평가받고 있습니다.
(8) 췌장염 치료를 위한 최적의 MSC 선별 방법 개발
인하대학교 연구실과 협력을 통해 췌장염 치료를 위한 최적의 MSC 선별 방법 개발을 위한 연구를 2023년 3월부터 진행하고 있습니다. 본 연구를 통해 발굴되는 in vitro & in vivo 실험들은 추후 췌장염 치료제 선정을 위한 최적의 줄기세포주를 선별하는 방법으로 적용하고자 합니다.
(9) 프라이밍 MSC가 T 세포 활성에 미치는 영향 연구
인하대병원 의생명연구원과 협력을 통해 프라이밍 MSC가 T 세포 활성에 미치는 영향 연구를 2023년 3월부터 진행하고 있습니다. 본 연구를 통해 각각의 프라이밍 인자 및 프라이밍에 기능 강화된 MSC가 T 세포 활성 및 분화에 미치는 영향을 분석하여 아토피 피부염 치료기전을 밝히고 최종적으로 도출된 결과물을 논문을 통하여 발표하고자 합니다.
(10) 줄기세포 라인의 아토피 피부염 치료기전 비교
인하대학교와 협력을 통해 한 공여자에서 분리된 3가지 MSC line의 아토피 피부염 치료기전 비교 연구를 2023년 3월부터 진행하고 있습니다. 본 연구를 통해 한 공여자로부터 분리된 골수 유래 MSC의 서로 다른 아토피 피부염의 치료 효능 비교 및 기전 연구를 통해 아토피 피부염의 치료기전을 밝히고 최종적으로 도출된 결과물을 논문을 통하여 발표하고자 합니다.
7. 기타 참고사항
가. 지적 재산
당사는 보고서 작성일 기준 현재 국내외 총 111건(등록 59건, 출원 51건, PCT 1건)의 특허 및 94건의 상표권(등록 38건, 출원 56건) 등 지식재산권을 주요 국가 및 전략적 파트너 관할 국가에서 보유하고 있으며, 아래는 주요 특허에 대한 요약과 세부 목록입니다.
(1) 보유기술 관련 특허 현황 요약
| 기술 구분 | 국내 | 해외 | PCT | |||
|---|---|---|---|---|---|---|
| 출원 | 등록 | 출원 | 등록 | 출원 | ||
| 줄기세포 분리, 제조기술 |
층분리 배양 및 증식 기술 | 3 | 3 | 1 | 13 | - |
| 신성형, 동결형 제조 기술 | - | - | - | 1 | - | |
| 지방 유래 줄기세포 분리기술 | - | 1 | - | - | - | |
| 줄기세포치료제 개발 기술 |
이식편대숙주병 | - | 1 | 3 | 5 | - |
| 급성 췌장염 | - | 1 | 3 | 3 | - | |
| 아토피 피부염 면역질환 | - | 3 | 6 | 4 | - | |
| 염증 관련 질환 | - | 1 | 4 | 8 | - | |
| 줄기세포 기능 강화 개발 기술 |
줄기세포 기능강화 기술 | 2 | 4 | 22 | 3 | 1 |
| 기타 기술 | 탈모 완화 | - | 3 | - | 6 | - |
| 줄기세포 배양액 | 2 | 1 | 2 | 2 | - | |
| 합 계 | 7 | 18 | 41 | 45 | 1 | |
| ※상세 현황은 '상세표-4. 지적재산권 세부 목록' 참조 |
나. 바이오의약품 및 세포치료제 산업의 특성
(1) 제약 선업의 변화 : 바이오의약품의 도약
① 바이오의약품의 정의
바이오의약품은 우리나라 약사법령 중 식품의약품안전처 고시의「생물학적제제 등의 품목허가ㆍ심사 규정」제 2조에 따라 '생물의약품'으로 규정하고 있습니다. 이는 사람이나 다른 생물체에서 유래된 것을 원료로 또는 재료로 하여 제조한 의약품으로서 보건위생 상 특별한 주의가 필요한 의약품을 의미하며, 생물학적제제, 유전자재조합의약품, 세포배양의약품, 첨단바이오의약품, 기타 식품의약품 안전처장이 인정하는 제제를 포함합니다.
'첨단바이오의약품'은 「 첨단재생의료 및 첨단바이오의약품 안전 및 지원에 관한 법률」제2조, 제5조에서 정의하고 있으며, 세포치료제, 유전자치료제, 조직공학제제, 첨단바이오융복합제제, 그 밖에 세포나 조직 또는 유전물질을 함유하는 의약품으로서 총리령으로 정하는 의약품을 말합니다.
| [바이오의약품 분류별 정의] |
| 분류 | 정의 |
|---|---|
| 생물학적제제 | - 생물체에서 유래된 물질이나 생물체를 이용하여 생성시킨 물질을 함유한 의약품으로서 물리적, 화학적 시험만으로는 그 역가와 안전성을 평가할 수 없는 제제 - 백신, 혈장분획제제, 독소.항독소 등을 포함 |
| 유전자재조합 의약품 |
- 유전자조작기술을 이용하여 제조되는 펩타이드 또는 단백질 등을 유효성분으로 하는 의약품을 뜻함 - 항체의약품, 펩타이드 또는 단백질의약품, 세포배양의약품 등을 포함함 (세포배양의약품이란 세포배양기술을 이용하여 제조되는 펩타이드 또는 단백질 등을 유효성분으로 하는 의약품) |
| 생균치료제 | - 박테리아 등 살아있는 미생물(다른 종의 미생물로부터 유래한 하나 또는 여러 개의 미생물 균주 포함)을 유효성분으로 하는 의약품 - 다만, 정장생균을 유효성분으로 하는 정장제, 제산제, 지사제 등(의약품 표준제조기준으로 관리되는 제품 포함)은 제외함 |
| 동등생물의약품 (바이오시밀러) |
- 이미 제조판매 또는 수입품목 허가를 받은 품목과 품질 및 비임상, 임상적 비교동등성이 입증된 의약품 |
| 개량생물의약품 (바이오베터) |
- 이미 허가된 바이오의약품에 비해 안전성, 유효성 또는 유용성(복약순응도·편리성 등)이 개선되었거나 의약기술에 있어 진보성이 있는 의약품 |
| 세포치료제 | - 사람 또는 동물의 살아 있는 세포를 체외에서 배양·증식하거나 선별하는 등 물리적, 화학적 또는 생물학적 방법으로 조작하여 제조한 의약품 - 다만, 생물학적 특성이 유지되는 범위에서 단순분리, 세척, 냉동, 해동 등의 최소한의 조작을 통하여 제조된 것으로서 총리령으로 정하는 것은 제외함 |
| 유전자치료제 | - 유전물질의 발현에 영향을 주기 위하여 투여하는 것으로서 유전물질을 함유한 의약품 또는 유전물질이 변형·도입된 세포를 함유한 의약품 |
| 조직공학제제 | - 조직의 재생, 복원 또는 대체 등을 목적으로 사람 또는 동물의 살아 있는 세포나 조직에 공학기술을 적용하여 제조한 의약품 |
| 첨단바이오 융복합제제 |
- 세포치료제, 유전자치료제, 조직공학제제와 「의료기기법」 제2조제1항에 따른 의료기기가 물리적ㆍ화학적으로 결합(융합, 복합, 조합 등을 포함)하여 이루어진 의약품. 다만, 주된 기능이 의료기기에 해당하는 경우는 제외 |
| 이종이식제제 | - 동물의 살아있는 장기를 물리적ㆍ화학적 또는 생물학적 방법으로 조작하여 제조한 의약품 |
| 이종이식 융복합제제 |
- 이종이식제제와 「의료기기법」 제2조제1항에 따른 의료기기가 물리적 또는 화학적으로 결합 (융합ㆍ복합 또는 조합 등을 포함한다) 하여 이루어진 의약품 - 다만, 주된 기능이 의료기기에 해당하는 것은 제외 |
| 출처) | 한국바이오의약품협회 바이오의약품 산업동향 보고서(2023.12) |
② 바이오의약품 특징
바이오의약품은 일반적으로 합성의약품에 비해 크기가 크고, 복잡한 고분자 구조이며, 생물체를 이용하여 복잡한 제조공정을 거쳐야 하므로 변화에 민감합니다. 대부분의 합성의약품은 경구 투여 방식이지만 바이오의약품은 생물체 유래물질로 경구 투여 시 소화가 되어 약효를 발휘하기 어려워 정맥이나 근육에 주사하는 방식으로 투여됩니다. 바이오의약품은 합성의약품에 비해 부작용이 적고, 질환의 발생 원인에 직접적인 효능을 발휘하여 치료효과가 높으며, 희귀성 난치성 만성질환의 치료의 가능성을 보여주고 있습니다.
| [합성의약품과 (첨단)바이오의약품 차이점] |
| 합성의약품 | (첨단)바이오의약품 | |
|---|---|---|
| 원료 | 합성화학물질 | 생물체 유래물질 (세포, 조직, 유전물질 등) |
| 원료의 고려사항 |
품질(시험분석으로 확인 가능) | 시험분석으로 확인 가능한 품질 외에 공여(기증)자의 동의 등 윤리성, 감염질환 확인 등 안전성 확보 필요 |
| 구조 | 물리화학적 특성이 명확한 저분자 구조 | 정확한 특성 분석이 불가능하고, 활성과 구조가 일정하지 않음 |
| 제품의 안전성 |
대부분 온도ㆍ빛 등 환경에 안정적 | 온도ㆍ빛ㆍpH 등 외부환경에 민감, 미생물 오염에 취약 |
| 대부분 36개월 | (세포치료제 사례) 대부분 3일 이내 (유전자치료제 사례) 영하 135℃에서 24개월 |
|
| 제조 | 간단한 화학적 합성으로 대량 생산 | 복잡한 제조과정의 맞춤형 소량 생산 |
| 원료, 공정, 설비변화가 품질에 영향이 비교적 적음 (제조공정의 변이성이 매우 낮음) | 원료, 공정, 설비의 변화가 의약품 자체를 변화 (제조공정의 변이성이 매우 높음) | |
| 상대적으로 복제가 쉽고 낮은 제조비용 | 복제가 불가능하고 높은 제조비용 | |
| 치료효과 | 비교적 명확한 약리기전 대다수 사람에게 일관적 효과 기대 |
(세포치료제) 약리기전이 불확실 (유전자치료제) 복합적인 기전 환자에 따른 맞춤형 치료 가능 |
| 대부분 질병의 증상개선에 그침 | 질병의 근본적인 원인치료 가능 | |
| 안전성 | 약물 특이적이거나 약물 대사와 관련된 이상반응 | 생물체 유래물로 고유독성은 낮으나 면역 거부반응, 종양발생 등의 이상반응이 있음. 특히, 장기 안전성 결과는 매우 부족 |
| 비임상 시험 |
동물 시험을 통하여 약물의 독성 및 효과를 예측 가능 | 동물 시험으로 인체 결과를 예측하는 데 한계가 있음 |
| 투약방법 | 대부분 경구ㆍ주사 등 일반적 투여경로 | 대부분 주사 또는 주입, 이식 등 시술을 동반한 투여 |
| 출처) | 한국바이오의약품협회 바이오의약품 산업동향 보고서(2023.12) |
백신과 인슐린 등 단백질 치료제는 1세대 바이오의약품으로 분류되며, 가장 활발한 개발이 이루어지고 있는 항체치료제는 세포배양의약품으로서 2세대 바이오의약품입니다. 그리고 마지막으로 당사가 영위하고 있는 사업 분야인 세포치료제는 유전자치료제와 함께 3세대 바이오의약품으로 주목을 받고 있는 분야입니다.
| [바이오의약품 시대별 변천사] |
| 1세대 | 2세대 | 3세대 | |
|---|---|---|---|
| 종류 | 백신, 인슐린, 인터페론 | 항체의약품 | 세포치료제 유전자치료제 |
| 기술 | 유전자재조합기술 세포(동물)배양 기술 |
유전자재조합 기술 단클론항체(표적치료) |
세포배양 및 조작 유전자조작 기술 |
| 출처) | 한국바이오의약품협회 바이오의약품 산업동향 보고서(2023.12) |
바이오의약품 시장은 바이오시밀러를 포함한 항체의약품들의 포화상태로 진입장벽이 높지만 성체줄기세포의 경우 국내 개발사들이 상업화를 선도하고 있을 뿐만 아니라, 산업 자체가 빠르게 성장하고 있으며 아직 선점할 가치가 있는 블루오션으로 판단됩니다.
③ 바이오의약품 시장 동향
글로벌 제약 산업은 화학합성의약품 시대를 지나 바이오의약품으로 세대 교체 시점이 도래하였습니다. 바이오의약품이 차지하는 매출 비중이 지속적으로 증가하며, 바이오의약품의 수요가 증가하고 있습니다. 제약시장에서의 이러한 변화는 바이오의약품의 블록버스터 잠재력으로부터 증명되고 있습니다. 'Evaluate Pharma(2023)'보고서에 따르면 글로벌 매출 상위 100대 의약품 중 바이오의약품이 차지하는 비중은 2028년에 100대 의약품 매출액의 60% 이상을 차지할 것으로 전망합니다. 'Nature ReViews(2023)'에 따르면, 22년 글로벌 매출 상위 10대 의약품 중 6개가 바이오의약품일 정도로 파급력이 높은 상황입니다.
![]() |
|
글로벌 100대 의약품 중 바이오의약품 매출액 비중(%) |
| 출처) | Evaluate Pharma(2023) |
바이오의약품의 경우 아직까지는 합성의약품에 비해 가격 경쟁력에서 열위하지만, 지속적인 연구개발 및 제조공정 개선 등을 통하여 가격 경쟁력을 갖추게 된다면 보다 큰 부가가치를 창출할 수 있을 것으로 판단됩니다.
우리나라는 이미 바이오시밀러 분야에서 세계 최고의 경쟁력을 가지고 있으며, 세포치료제 분야에서도 큰 영향력을 가지고 있습니다. 현재까지 허가 받은 11개의 중간엽줄기세포치료제 중 5개 품목이 한국 제품입니다. 대한민국의 3대 미래전략 산업분야의 하나로 지정된 바이오헬스 산업에서 세포치료제는 향후 보다 큰 부가가치를 창출할 것으로 예상됩니다.
(2) 재생의료의 시대 : 세포치료제① 세포치료제의 개요 및 현황
세포치료는 살아있는 세포를 배양해 질환을 치료·예방하는 기술로, 기존 약품의 한계를 극복하고 암을 비롯한 여러 난치질환의 치료법으로 주목받고 있는 추세입니다. 세포치료제는 살아있는 세포를 원료로 하는 만큼, 세포 배양과 관련된 정밀 기술뿐만 아니라 세포에 대한 엄격한 품질관리가 요구되는 등, 치료제 제조 전체 프로세스에서의 기술적 역량이 사업화 성공의 핵심 전략으로 부각됩니다.
세포치료제는 세포와 조직의 기능을 복원하기 위해 살아있는 자가(Autologous), 동종(Allogenic) 및 이종(Xenogenic) 세포를 체외에서 증식, 선별하거나 여타 방법으로 세포의 생물학적 특성을 변화시키는 등의 행위를 통해 치료 및 진단, 예방 목적으로 사용되는 의약품을 의미합니다.
첨단바이오의약품, 제3세대 바이오의약품으로 분류되는 세포·유전자 치료제는 항체의약품에 이은 차세대 바이오의약품으로 주목받고 있으며, 해당 시장은 2022~2030년 동안 연평균 24.7%의 고성장률을 기록하며 성장할 것으로 전망하고 있습니다.(Coherent Market Insights).
세포, 유전자 치료제 임상 연구는 2022년 말 기준, 임상 초기인 1~2상에 많이 몰려있어, 향후 3~7년 내에 많은 치료제가 시장에 본격적으로 나올 것으로 전망됩니다. 해외 주요국들은 첨단재생의료 산업인 세포, 유전자 치료제의 성장 가능성에 주목하여 기존 합성의약품과 구분되는 재생의료 특성에 맞는 별도 제도를 선제적으로 마련 및 국가 차원의 전략적 투자를 지속 확대하고 있습니다. 당사는 현재 세포치료제 분야 중 줄기세포를 통한 치료제 개발을 진행 중입니다.
![]() |
|
주요국별 세포치료제 임상 연구 건수 추이(2022) |
| 출처) | 세포, 유전자 치료제 시장 동향 및 정책 시사점 (산업연구원, 2022) |
② 줄기세포치료제 개요 및 현황
세포치료제 분야 중 줄기세포는 조직분화 과정에서 볼 수 있는 '미분화 세포'로서, 인체를 구성하는 다양한 조직으로 분화 가능한 세포입니다. 줄기세포의 분화능력(Differentiation), 자가복제능력(Self-renewal), 호밍효과 (Homing effect) 등의 고유한 특성은 희귀 난치성 질환 및 만성질환 치료의 새로운 대안으로 부상하여, 다양한 분야에서 활약하는 재생의료분야의 유망한 세포 공급원으로 활용되고 있습니다.
그 결과, 줄기세포치료제 임상시험이 증가하고 줄기세포 기반의 신약개발 활성화가 속도를 붙여가고 있는 추세입니다. 국가생명공학정책연구센터가 발간한 2024년 글로벌 줄기세포 시장 현황 및 전망에 의하면 글로벌 줄기세포 시장 규모는 2022년 18조원(137억 달러)에서 연평균 14.9%로 성장하여 2030년 53조원(399억 달러) 규모로 성장할 전망입니다. 연구 및 치료 분야에서의 줄기세포 적용 영역 확대, 임상시험 수 증가, 협력 및 파트너십 집중으로 줄기세포치료제 시장은 빠르게 커질 것으로 전망됩니다.
![]() |
|
글로벌 줄기세포 시장 현황 및 전망(2022년~2030년) |
| 출처) | IFortune Business Insights, Stem Cells Global Market Analysis, Insights and Forecast, 2023-2030, 국가생명공학정책연구센터 재가공(2024.01) |
특히, 다양한 질병 치료에 활용되는 중간엽줄기세포치료제에 대한 수요가 가장 빠르게 증가하고 있습니다. 성체줄기세포는 다른 줄기세포에 비해 안전성이 확보되었고, 쉽게 확보가 가능하다는 장점이 있어 초기 시장 형성에 도움이 될 것으로 판단됩니다.
다. 시장의 특성
(1) 줄기세포치료제 시장
① 중간엽줄기세포의 시장 선점
다양한 줄기세포 유형 중 중간엽줄기세포는 성장인자 분비와 자가 재생 능력, 면역 시스템 조절과 염증 억제 능력으로 재생연구, 면역질환 및 퇴행 관련 질환 연구 분야에서 높은 평가를 받고 있으며 특히, 임상영역에서 장기적인 기능 개선 효과 등을 보여주고 있는 세포이기 때문에 중간엽줄기세포를 중심으로 이루어지고 있습니다. 여러 세포들 중 중간엽줄기세포가 임상적용에 활발히 이용될 수 있는 과학적 이유로는 첫 째로 증식력 조절(controlled proliferation)에 근거합니다. 체내에서 지나친 증식을 하지 않고 생리적 조건에 따라 조절되므로, 기형종 발생이 문제가 되는 배아줄기세포와 다르게 안전성에 대한 우려가 적습니다. 두 번째로 중간엽줄기세포는 손상된 조직을 복구하고 국소 조직 면역 항상성을 유지하는 면역 조절 능력을 소유하고 있으며, 이를 통해 세포를 표적으로 하는 항염증 인자를 분비할 수 있습니다. 파라크라인 효과를 통해 다양한 사이토카인과 세포외소포체(Extracellular Vesicles)형태의 조직 영양 인자를 분비할 수 있으며, 수용자의 미세 환경을 개선하고 질병의 발병 및 진행을 억제할 수 있습니다. 중간엽 줄기세포의 이러한 장점들은 현재 효과적인 치료법이나 치료제가 없는 많은 질병과 질환의 치료에 중요한 역할을 할 수 있습니다.
![]() |
|
The MSC landscape in tissue homeostasis, disease and therapies |
| 출처) | Mesenchymal stem cells: emerging concepts and recent advances in their roles in organismal homeostasis and therapy (Frontiers in Cellular and Infection Microbiology 13. 2023) |
중간엽줄기세포 시장은 2022년 6조원(49억 달러)으로 36.1%의 가장 높은 시장 점유율을 차지하였으며, 2030년 19조원(146억 달러) 규모로 다른 유형 대비 지속적으로 높은 시장 점유율을 선점할 것으로 예상되고 있습니다.
![]() |
|
세포 유형별 글로벌 줄기세포 시장 수익 현황 및 전망 |
| 출처) | Fortune Business Insights, Stem Cells Global Market Analysis, Insights and Forecast, 2023-2030, 국가생명공학정책연구센터 재가공(2024.01) |
② 줄기세포치료제 품목허가 현황
중간엽줄기세포 기반의 안전성 및 유효성은 기존 품목허가를 받은 줄기세포치료제 및 10여년간의 연구개발을 근거로 입증되고 있습니다. 국외의 경우 현재까지 미국 FDA의 판매 승인을 받은 중간엽줄기세포치료제는 전무한 상황이나, 뉴질랜드 및 캐나다에서 오시리스의 프로키말, JCR 파마의 템셀-HS주 등 해외 제품 6개가 존재합니다. 반면, 국내는 세계 최초의 줄기세포치료제를 비롯하여 총 5개 제품이 품목허가를 받으며 해당 분야에서의 글로벌 경쟁력을 제고하였습니다.
2011년 파미셀의 심근경색 치료제 '하티셀그램-AMI'가 세계 첫 줄기세포치료제로 국내 품목허가 승인을 받은 이후 2012년 메디포스트의 퇴행성무릎연골 치료제 '카티스템'과 안트로젠의 크론성 누공 치료제 '큐피스템'이 품목허가를 받았으며, 2014년에는 코아스템의 루게릭병 치료제 '뉴로나타-알'이 국내 4호 치료제로 품목허가 승인을 받았습니다.
| [중간엽줄기세포 승인 치료제] |
| 이름/년도 | 회사 | 국가 | 대상질환 | 유래 | 동종/이종 |
|---|---|---|---|---|---|
| 퀸셀/2010 | 안트로젠 | 한국 | 결합조직병 | 지방유래 중간엽줄기세포와 지방전구세포 등 | 자가 |
| 셀그램-AMI/2011 | 파미셀 | 한국 | 급성심근경색증 | 인간 골수유래 중간엽줄기세포 | 자가 |
| 큐피스템/2012 | 안트로젠 | 한국 | 크론병 | 인간 지방유래 중간엽줄기세포 | 자가 |
| 프로키말/2012 | 오시리스 | 캐나다&뉴질랜드 | 이식편대숙주질환 | 골수유래 중간엽줄기세포 | 동종 |
| 카티스템/2012 | 메디포스트 | 한국 | 무릎 퇴행뼈관절염 | 인간 제대혈유래 중간엽줄기세포 | 동종 |
| 뉴로나타-알/2014 | 코아스템 | 한국 | 근위축측삭경화중 | 인간 골수유래 중간엽줄기세포 | 자가 |
| 템셀HS주/2015 | JCR파마 | 일본 | 급성, 불응성 이식편대숙주질환 | 인간 골수유래 중간엽줄기세포 | 동종 |
| 스테푸셀/2016 | Stem-peutics Research Bangalore | 인도 | 중증 하지 허혈 | 인간 골수유래 중간엽줄기세포 | 동종 |
| 알로피셀/2018 | 타이제닉스&다케다 | 유럽 | 크론병 | 인간 지방유래 중간엽줄기세포 | 동종 |
| Mesestro-Cell/2018 | 셀테크 | 이란 | 골관절염 | 골수유래 중간엽줄기세포 | 자가 |
| stermirac/2018 | 니프로 Corp | 일본 | 척수 손상 | 골수유래 중간엽줄기세포 | 자가 |
| 출처) | Mesenchymal Stem Cell Therapies Approved by Regulatory Agencies around the World (Pharmaceuticals 16.9. 2023) |
| Therapeutic mesenchymal stem/stromal cells: value, challenges and optimization (Frontiers in Cell and Developmental Biology, 9. 2022). | |
| Impact of allogeneic stem cell manufacturing decisions on cost of goods, process robustness and reimbursement (Biochemical Engineering Journal, 137. 2018) |
③ 높은 성장 가능성
줄기세포치료제 시장은 개발 및 상업화를 위한 규제 미비, 윤리적인 문제, 불명확한 치료기전 등 논란의 여지에도 불구하고 아래와 같은 성장요인들에 의하여 사업성 및 성장 가능성이 매우 높은 시장입니다.
| [줄기세포치료제 시장 성장 요인] |
| 성장 요인 | 상 세 내 용 |
|---|---|
| 효과적인 줄기세포치료제 치료 효능 |
- 줄기세포치료제는 질병 관리 뿐만 아니라 암, 림프구 관련 질환, 혈관 질환과 같은 질병에서 효과적인 효능을 보여 최근 재생의료 분야에서 주목받고 있음 - 임상시험 건수 증가는 시장에서 줄기세포치료제에 대한 선호도가 높다는 것을 증명하며 지속적인 줄기세포치료제 시장의 성장이 촉진될 것으로 예상함 |
| 세포 분석기술 개발 |
- 생명과학, 생명공학 및 유전체학 분야의 연구가 증가함에 따라 PCR, DNA Sequencing, 유동세포계측법 및 크로마토그래피와 같은 진보된 세포 분석 도구 및 기술이 개발됨 - 세포 분석 기술은 유도된 유도만능줄기세포와 같은 표적 줄기세포주의 정확한 유전자 변형을 분석하여 줄기세포치료제의 초기 개발에 큰 도움이 됨 - 이러한 세포 분석 기술의 진보는 줄기세포치료제 시장 성장에 긍정적인 영향을 미칠 것으로 예상됨 |
| 정부 및 민간 투자 확대 |
- 질병 관리에서 줄기세포의 치료 효능에 대한 인식이 높아지면서 전 세계의 다양한 공공 및 민간 단체가 줄기세포치료제 개발에 투자를 늘리고 있음 - R&D에 대한 공공 및 민간 투자의 가용성이 증가함에 따라 줄기세포치료제 시장 수요는 점차 증가할 것으로 예상됨 |
| 줄기세포 관련 인프라 개발 |
- 2004년에 영국에서 처음으로 줄기세포은행이 설립되었으며, 2005년에는 미국에서 National Stem Cell Bank를 설립하여 20개의 인간 배아줄기세포주를 보유하고 있음 - 줄기세포은행은 높은 품질과 표준화된 연구가 용이하도록 관리되고 있으며, 이는 주요 국가에서 인프라를 개발할 경우, 줄기세포치료제 연구에 대한 수요가 증가할 것으로 예상됨 |
(2) 희귀의약품 시장
① 글로벌 제약회사의 희귀의약품에 대한 관심
제약 산업 내 다국적 제약사 및 바이오 기업을 포함하여 희귀의약품은 고부가 가치의 치료제 영역으로 파이프라인 할성화를 시키기 위한 전략으로 사용되고 있습니다. 실제, Johnson&Johnson, AstraZeneca, Pfizer, Sanofi 등 빅파마들이 적극적인 기술이전, 인수합병을 통해 공격적인 시장 장악에 나서고 있어 2026년에는 빅파마의 매출 중 희귀의약품 매출이 평균 26%에 이를 것으로 보입니다. 현재 개발 중인 글로벌 신약 파이프라인의 79%가 희귀의약품으로 향후 글로벌 신약개발 트랜드가 더욱 희귀의약품에 집중될 것으로 보이며, 이에 발맞춰 국내 제약바이오기업들도 최근 희귀의약품 개발에 본격적으로 뛰어들고 있습니다.
| [2028년 희귀의약품 매출 상위 10개 기업 전망] |
| 순위 | 기업명 | 글로벌 희귀의약품 매출 | 글로벌 비희귀의약품 매출 |
희귀의약품이 전체 매출에서 차지하는 비율 |
|||||
| 2022 | 2028 | CAGR | 2022 | 2028 | 2022 | 2028 | 증감 | ||
| 1 | 존슨앤드존슨 | 137 | 266 | 11.7% | 372 | 313 | 27% | 46% | 19%p |
| 2 | 아스트라제네카 | 119 | 211 | 10.1% | 311 | 334 | 28% | 39% | 11%p |
| 3 | 로슈 | 73 | 158 | 13.7% | 406 | 454 | 15% | 26% | 11%p |
| 4 | 브리스톨마이어스스큅 | 213 | 134 | -7.4% | 256 | 325 | 45% | 29% | -16%p |
| 5 | 버텍스파마슈티컬스 | 86 | 113 | 4.6% | - | 8 | 100% | 93% | -7%p |
| 6 | 노바티스 | 132 | 109 | -3.1% | 374 | 423 | 26% | 20% | -6%p |
| 7 | 사노피 | 68 | 100 | 6.7% | 344 | 438 | 16% | 19% | 3%p |
| 8 | 다케다 | 60 | 77 | 4.4% | 242 | 248 | 20% | 24% | 4%p |
| 9 | 애브비 | 59 | 77 | 4.5% | 491 | 561 | 11% | 12% | 1%p |
| 10 | 화이자 | 55 | 62 | 2.1% | 905 | 532 | 6% | 10% | 4%p |
| 출처) | Evaluate, Orphan drugs 2023-2028-A flattening curve (2023) |
빅파마들이 희귀의약품 개발 및 판매에 적극적인 이유는 희귀의약품이 상대적으로 'Low risk, high return'이 가능하기 때문입니다. 희귀의약품은 미개발 영역이 많고, 신약 허가까지 성공하면 비희귀의약품에 비해 평균 4.5배 이상의 가격 책정이 가능합니다. 뿐만 아니라, 희귀의약품의 성공 확률은 비희귀의약품에 비해 3배 높지만 임상개발 평균 비용이 적고, 소요기간도 짧은 것으로 나타났습니다.
| 분야 | 희귀의약품 | 비희귀의약품 |
|---|---|---|
| 임상개발 평균 비용 | 2억4200만 달러 | 4억 8900만 달러 |
| 승인 성공 확률 (임상 1상부터 승인까지) |
17% | 5.9% |
| 소요기간 (임상 2상부터 시판까지) |
3.8년 | 5.4년 |
| 시판 허가율 | 93% | 88% |
| 출처) | 김찬호, 이장익(2022), 한국혁신의약품컨소시엄(2022), 산업연구원(2023) |
또한, 희귀의약품을 개발하는 제약기업에 부여되는 혜택 때문입니다. 과거 희귀의약품 시장은 임상 대상이 소규모인 데다 신약 개발 확실성과 수익성도 보장되지 않아 성장이 더딘 곳으로 평가되었으나, 최근 각국 정부가 허가 기간 단축과 신약에 대한 독점권 보장 등 혜택을 내놓으면서 성장 가능성이 증가하였습니다. 특히 시장 독점권(market exclusivity)은 가장 강력한 인센티브 제도로 꼽히는데, 국가별 보장 기간은 미국 7년, EU 최대 10년, 일본 10년, 한국 4년으로 시판허가를 받은 날로부터 일정 기간 동안 질환에 동일한 의약품이 허가되지 않도록 제한합니다.
② 희귀의약품 시장 및 현황
'Evaluate Pharma'의 전망에 따르면, 희귀질환 치료제 매출은 연평균 11.6%의 높은 성장률을 보이며 2026년에는 희귀의약품 매출이 전체 처방의약품 시장의 20%를 차지할 것으로 예측됩니다. 시장 규모는 2023년 1,730억 달러, 2028년 2,870억 달러에 달할 것으로 예상되며, 이 성장률은 연평균 성장률이 6.1%인 기존 처방약의 성장률을 뛰어넘는 수치입니다. 또한 희귀 의약품은 일반적으로 희귀 의약품이 아닌 의약품보다 약 4.5배 높은 가격을 형성한다는 점도 주목할 필요가 있습니다.
![]() |
|
글로벌 희귀의약품 매출 현황 및 전망 |
| 출처) | EvaluatePharma® (2023.02) |
희귀의약품은 규제적으로 허가에 유리하기 때문에 우선 희귀의약품으로 지정된 후 비희귀적응증으로 확장하여 출시할 수 있습니다. 이러한 장점들이 시장에서 작용하여 국내외 희귀의약품 시장은 전체 제약 산업의 성장률보다 휠씬 큰 폭으로 성장하고 있으며, 항암 분야와 당사의 세포치료제와 같은 바이오의약품 연구가 활발히 진행되는 상황입니다.
③ 희귀의약품 시장의 특성
희귀의약품은 바이오벤처에 의한 초기 개발 또는 임상단계에 진입해 있으며 이들의 글로벌 진출이 주목되고 있는 상황입니다. 희귀의약품 시장의 특성은 크게 세가지가 있습니다. (1) 희소성, (2) 질환의 심각성, (3) 대체 치료제의 부재입니다.
| [희귀의약품 시장의 특성] |
| 희소성 | 희귀라는 특성의 명목으로 연구개발 투자비가 높아 환자 당 높은 치료비용 산정이 필요함 |
| 질환의 심각성 | 희귀질환의 상당수는 심한 신체적 손상을 가져오고, 환자의 삶의 질을 떨어뜨릴 뿐 아니라 수명을 단축시키는 경우가 많음 |
| 대체 치료제의 부재 | 희귀질환 치료제는 대체 치료제가 없는 경우가 대다수이며, 실제로 유럽에서 허가된 희귀질환 치료제의 40%가 대체 치료제가 없는 품목인 것으로 나타남 |
| 출처) | 한국보건산업진흥원 (2019) |
④ 에스씨엠생명과학 개발단계 희귀의약품 지정 현황
당사의 만성 이식편대숙주질환 줄기세포치료제인 SCM-CGH는 2019년 4월 23번째로 개발단계 희귀의약품으로 지정되었습니다. 조건부 품목허가를 계획하고 있으며, 식약처로부터 조건부 품목허가를 받는 경우 3상 임상시험을 진행하면서 치료제를 판매할 수 있어 조기 R&D 투자비 회수 및 제품 상용화 경쟁력을 확보가 가능합니다.
또한, 2a상 임상시험 완료한 급성 췌장염 치료제(SCM-AGH)에 대해서도 2020년 10월 식약처로부터 개발단계 희귀의약품 지정을 받아 해당 파이프라인에 대해서도 경쟁력을 확보하였습니다.
⑤ 첨단재생의료 및 바이오법으로 인한 규제 완화
2020년 9월 12일에 시행된 첨단재생의료 및 첨단바이오의약품 안전 및 지원에 관한 법률안(이하 "첨단재생바이오법")은 세포치료, 유전자치료, 조직공학치료 등 첨단재생의료 임상연구를 신속하게 실시할 수 있는 근거를 마련하고, 첨단바이오의약품에 대한 안전관리체계 확립을 위한 법안입니다.
재생의료에 관한 임상연구 진행 시 일정 요건이 충족되면 심사기준을 완화해 맞춤형 심사, 우선심사, 조건부 허가 등을 가능하도록 하는 법이며 기존 약사법ㆍ생명윤리법ㆍ혈액관리법 등으로 분류된 기존 바이오의약품 규제를 일원화시켜, 재생의료에 관련된 임상연구를 활성화하고 바이오의약품을 신속히 허가하기 위한 취지로 발의되었습니다.
첨단재생바이오법은 구체적으로 ▷ 치료 수단이 없는 질환에 투약하는 혁신 바이오의약품을 다른 의약품보다 먼저 심사하는 '우선 심사' ▷ 개발자 일정에 맞춰 허가 자료를 미리 제출 받아 단계별로 사전 심사하는 '맞춤형 심사' ▷ 3상 임상시험을 수행하는 조건으로 2상 임상만으로도 일단 의약품 시판을 허가해 주는 '조건부 허가' 등을 주요 내용으로 하고 있으며, 당사가 개발 중에 있는 만성 이식편대숙주질환 그리고 급성 췌장염 줄기세포치료제의 경우 해당 법률에 해당하게 되었습니다. 희귀질환으로 대체치료제가 없고 생명을 위협하는 질환에 해당되어 제36조에 의거하여 신속처리 대상에 지정될 수 있어 허가절차 기간을 단축할 수 있을 것으로 판단되며, 2상 임상시험 이후 조건부 품목허가 계획의 가능성이 높습니다.
⑥ 세포치료제 필요성에 인한 국외 규제환경의 변화
국내뿐 아니라 해외에서도 규제환경에 변화가 잇따르고 있습니다. 미국의 경우 2016년 12월 '21세기 치유법(The 21st Century Cures Act, H.R. 6)' 제정으로 첨단재생치료법의 환자 적용을 신속화하기 시작하였습니다. 21세기 치유법에 따라 재생의약 첨단치료제(RMAT) 지정 시, FDA의 신속 승인에 대한 운영에 대한 내용도 2019년 2월 발표한 바 있습니다. 유럽의 경우 2016년 3월 첨단바이오의약품의 신속한 개발 지원을 위해 규제기관이 지원하는 'PRIME' 제도를 적용하여 규제기관과의 상호작용이 강화되고 승인과정을 가속화한 바 있습니다.
⑦ 첨단재생의료 및 첨단바이오의약품 안전 및 지원에 관한 법률 개정
2024년 2월 첨단재생의료 및 첨단바이오의약품 안전 및 지원에 관한 법률(첨생법)개정안이 승인, 2025년 2월 시행됨에 따라, 첨단재생의료 치료가 더욱 확대됩니다. 이번 법률 개정에 따른 주요 변화로는 ▷ 첨단재생의료 임상연구(연구자 주도임상) 대상자 확대 ▷ 첨단재생의료 치료제도 도입 ▷ 인체세포관리업 허가 기관 확대 등입니다.
'첨단재생의료 임상연구(연구자 주도임상) 대상자 확대'로 인해 기존 중대, 희귀, 난치질환자로 한정되었던 첨단재생의료 임상연구 대상자 제한이 폐지되어 모든 질환에 대한 임상연구가 가능하게 될 것이며, 특정 질환에 국한되었던 줄기세포치료제 시장이 확대되어 당사 원천기술과 원천기술을 통해 생산한 줄기세포에 대한 관심도가 높아질 것으로 예상합니다.
또한, '첨단재생의료 치료제도' 도입으로 치료제의 허가 승인을 받지 않더라도, 중대, 희귀, 난치질환자 대상 임상연구를 통해 안전성과 유효성이 확인된 첨단재생의료치료제의 사용이 허가되어 당사 파이프라인 중 중등증-중증 급성 췌장염, 만성 이식편대숙주질환 대상 환자에게 치료제로 보다 더 빠른 사용 가능할 것으로 예상합니다.
이번 2024년 2월 첨생법 개정으로 국내 줄기세포 치료 및 시술 활용에 대한 법적 기반이 마련되었고, 줄기세포 시장 확대 및 상업용 줄기세포에 대한 수요가 크게 증가할 것으로 예측하고 있습니다. 이에, 에스씨엠생명과학은 층분리배양법을 기반으로 한 고순도의 중간엽줄기세포 제조 기술을 바탕으로 기존 치료제 개발, 승인의 노력과 함께 '첨단재생의료 치료' 승인을 위한 준비로 실질적인 치료 수입 창출의 방법을 확대할 예정입니다.
라. 임상파이프라인별 시장 규모, 경쟁 현황, 경쟁력
(1) 만성 이식편대숙주질환 치료제(SCM-CGH)
① 시장 규모
(a) 글로벌 시장
글로벌 이식편대숙주질환 시장은 현재 스테로이드 요법 외 적절한 치료제가 없어 시장규모를 예측하기 어렵습니다. 미국 시장조사 전문기관인 RESEARCH AND MARKETS의 2023년 보고서에 따르면, 전 세계 이식편대숙주질환의 시장규모는 2023년 17억 6000만 달러, 2028년까지 8.1%의 연평균 성장률(GAGR)로 성장하여 27억 8000만 달러에 이를 것으로 전망하고 있습니다.
![]() |
|
[2023년~2028년 글로벌 이식편대숙주 질환 치료제 예상 시장 규모] |
| 출처) | RESEARCH AND MARKETS, Graft Versus Host Disease Treatment Market Research Report by Disease Type, Product, Region(2023) |
(b) 국내 시장
건강보험심사평가원 보건의료빅데이터에 의하면 국내 이식편대숙주질환 환자는 2022년 기준 591명으로, 지난 5년간 연평균 5.1%의 높은 성장률로 매년 환자수가 증가하고 있으며 앞으로도 높은 성장률로 시장규모가 확대될 것으로 예상됩니다. 또한 한국과학기술정보연구원 통계에 의하면, 이식편대숙주질환 전체 환자 중 약 70%는 만성이며 나머지 30%는 급성 환자인 것으로 추정됨에 따라 당사의 만성 이식편대숙주질환 치료제 대상 환자 규모는 2022년 기준 약 414명으로 추정할 수 있었습니다.
| [최근 5년 골수이식거부(T860)질환에 대한 환자수, 요양급여비용, 보험자부담금 추이] |
|
구 분 |
2018 |
2019 |
2020 |
2021 | 2022 |
5개년 성장률 |
|---|---|---|---|---|---|---|
|
환자수(명) |
484 |
510 |
511 |
548 | 591 |
5.1% |
|
요양급여비용총액 |
1,045,717 |
1,616,130 |
1,302,280 |
1,283,770 | 1,875,120 |
15.7% |
|
보험자부담금 |
932,467 |
1,473,814 |
1,164,402 |
1,152,641 | 1,687,127 |
16.0% |
| 출처) | 건강보험심사평가원 보건의료빅데이터개방시스템 |
한국과학기술정보연구원의 National Digital Science Library 보고서에 의하면 만성 이식편대숙주질환은 조혈모줄기세포 이식 후 생존하는 환자의 60~80%에서 발생하며 장기 생존 환자의 가장 중요한 사망원인으로 꼽히고 있습니다. 최근 조혈모줄기세포 이식은 나이 많은 사람과 혈연관계가 없는 사람간의 이식이 증가하면서 만성 이식편대숙주질환 환자수가 급증하고 있으나 효과적인 치료법이나 병리학적인 기전은 잘 알려져 있지 않은 상태입니다. 관여 인자로는 HLA 불일치, 이식 후 100일까지도 스테로이드 사용, T-세포 제거 유무, 여성 공여자의 남성 환자, 환자 나이 및 기증자의 일치성 등이 중요하다고 알려져 있습니다.
이식편대숙주질환 치료에 있어 골수 및 제대혈유래 줄기세포치료제가 효과를 보고 있다고 보고되고 있으며, 당사의 SCM-CGH는 현재까지 다수의 치료목적사용과 1상임상시험을 통하여 이식편대숙주질환 줄기세포치료제로서의 가능성을 확인하여 지속적으로 개발을 하고 있는 PoC(Proof of Concept)을 위한 핵심 파이프라인입니다.
② 당사 현황
만성 이식편대숙주질환 치료제는 2023년 말 2상 임상시험 환자등록 및 투약을 완료했으며, 2024년 하반기 임상시험 분석 결과를 발표할 예정입니다. 해당 치료제는 국내 23번째로 개발단계 희귀의약품 지정을 받아 조건부 품목허가 계획을 가지고 있으며, 시장 출시를 목표하고 있습니다.
③ 주요 경쟁업체 현황
(a) 기존 치료법에 대한 배경
현재, 국내에서 만성 이식편대숙주질환을 근본적으로 치료할 수 있는 치료제는 2020년에 적응증이 추가된 얀센의 임브루비카(Imbruvica)와 2023년 12월에 급여가 적용된 자카비(Jakabi)가 있습니다. 그 외의 일반 치료법으로는 corticosteroid, calcineurin inhibitors(cyclosporine, tacrolimus), thalidomide, 체외 광화학요법(extracorporeal photochemotherapy, ECT) 또는 mycophenolate mofetil(MMF), methotrexate 같은 면역억제제가 있습니다. 위에 언급된 치료법으로 증상이 호전되지 않는 경우에는 기존 사용하던 면역억제제의 용량 증가 또는 sirolimus, rituximab, hydroxychloroquine, pentostatin 같은 새로운 약물로 대체 또는 추가하는 병용요법을 시행하고 있습니다. 다만, 오랜기간 사용시 복용에 따른 합병증인 골다공증, 당뇨, 고혈압 등의 부작용이 발병할 수 있으며 긍정적인 효과가 발생하는 경우는 약 20~30%에 불과하여 대부분 사망에 이릅니다.
| [이식편대숙주질환 국내/외 치료제 현황] |
|
구 분 |
노바티스 자카비 |
얀센 임브루비카 |
JCR 파마 템셀 |
오시리스 프로키말 |
메조블라스트 라이온실 |
|---|---|---|---|---|---|
|
종 류 |
JAK Inhibitor |
BTK저해제 |
줄기세포 |
줄기세포 |
줄기세포 |
|
적응증 |
만성/급성 |
만성 |
만성 |
만성 |
급성 |
|
허 가 |
품목허가 (미국) 임상 3상 (유럽, 일본, 호주) |
품목허가 (미국) 임상 3상 |
품목허가 (일본) |
품목허가 |
품목허가 (미국, 일본, 캐나다, 뉴질랜드) |
(b) 주요 경쟁업체 현황
주요 경쟁제품인 Janssen의 BTK 저해제인 임브루비카(Imbruvica)가 2017년에 만성이식편대숙주질환에 대한 추가 적응증에 대해 미국 FDA에서 허가를 받았습니다. 소아, 노인 환자 및 예후가 좋지 않은 유전형 환자에게서도 반응을 이끌었고, 일부 적응증에 대해서는 희귀의약품으로 지정 받았기 때문에 조건부 품목허가를 받아 빠르게 시장에서 확대될 것으로 예상됩니다. 또 다른 경쟁 제품으로는 룩소티닙(Ruxolitinib)을 이용한 Novartis의 자카비(Jakavi)가 있습니다.
줄기세포 제품으로는 JCR 파마의 템셀과 오시리스의 프로키말이 있으나, 국내에 허가를 받지 못한 상황이고 각각 일본과 캐나다/뉴질랜드에서만 허가를 받은 상황입니다. 메조블라스트 라이온실은 미국, 일본, 캐나다, 뉴질랜드에서 품목허가를 받았으나, 국내에는 허가를 받지 못한 상황입니다.
■ 임브루비카 (Janssen)
임브루비카는 BTK 억제제로 기존 혈액암 치료제이나 만성 이식편대숙주질환 적응증 추가 승인 받았습니다. 임상시험에서 환자 42명을 대상으로, 67% 환자에서 증상 개선효과를 보았으며 이들 중48%는 호전된 상태가 5개월 이상 지속되는 효과를 보았습니다. 흔한 부작용으로는 피로, 멍, 설사, 혈소판감소증, 근육경련, 구내염, 오심, 출혈, 빈혈, 폐렴등이 있었으며, 심각한 부작용으로는 출혈, 혈구감소증, 심방세동, 고혈압, 이차 원발성 악성종양, 종양용해증후군 등이 있었습니다.
■ 자카비 (Novartis)
자카비는 JAK 신호체계를 선택적으로 억제하는 경구용 소분자 표적 치료제로, 골수섬유화증 및 진성적혈구증가증의 치료에 사용되고 있습니다. FDA는 스테로이드 불응성 급성 이식편대숙주질환에 대하여 자카비에 우선심사, 혁신적치료제(Breakthrough Therapy) 지정을 하였으며, 2021년 9월 허가했습니다.
④ 경쟁력
SCM-CGH(만성 이식편대숙주질환 치료제)
만성 이식편대숙주질환의 경우 경쟁제품인 임브루비카와 비교하여 아래와 같은 주요장점이 있습니다.
■ 용량/용법의 차이
임브루비카의 경우 140mg 캡슐 3정을 하루에 한번씩 증상이 호전될 때까지 복용을 해야 하지만, 당사 줄기세포치료제의 경우 2주 간격 3회 치료 이후 추가 투여 없이 장기적인 효능을 유지할 수 있음을 이전 임상시험을 통해 확인하였습니다.
■ 안전성의 차이
임브루비카의 경우, 임브루비카 임상시험에 참여했던 20%이상의 환자에서 피로감, 멍듦, 설사, 혈소판 감소증, 구내염, 근육연축, 메스꺼움, 출혈, 빈혈, 폐렴이 확인되었으며, 1명의 환자에서 3등급(Grade 3)의 심방 세동이 확인되었습니다. 또한 임상시험에 참여했던 환자 중 24%가 약물이상반응으로 치료를 중단하였습니다.
■ 당사 상황
당사 줄기세포치료제의 경우, 1상 임상시험과 2상 임상시험의 Part 1을 통해 확인된 약물 관련 이상반응은 경증 수준의 근육통, 감기, 콧물, 인후염이 전부였습니다.
■ 경쟁우위
현재, 시장에서 시판되는 약물은 면역억제제 또는 스테로이드를 주 기전으로 사용하고 있습니다. 이 약물들에 비해, 줄기세포치료제 기반의 치료제는 우수한 안전성과 내약성을 기반으로 성장 중에 있습니다. 하지만, 줄기세포 기반 치료제는 높은 제조 비용과 품질 일관성이 부족하다는 약점을 갖고 있습니다. 그러나 당사의 원천 기술은 이러한 한계를 극복할 수 있는 차별화된 줄기세포 분리 기술을 토대로 하여, 증식력이 높고 효능이 우수한 세포를 선별하여 치료제를 생산 할 수 있습니다. 이는 기존의 한계인 제품의 일관성을 유지하면서 상업적 대량 생산이 가능한 공정과정으로 품질향상을 실현할 수 있습니다. 따라서, 당사의 제품이 기존 시장에서 우위를 점 할 수 있을 것입니다.
(2) 중등증-중증 급성 췌장염 치료제(SCM-AGH)
① 시장 규모
(a) 글로벌 시장
Research And Markets에 의하면 급성 췌장염의 글로벌 시장규모는 연평균 성장률5.7%로 성장하여 2030년 88억 3,000만달러로 추정되고 있습니다.
발병 빈도는 미국의 경우 10만명당 24.2명, 영국은 5.4명 그리고 한국은 20명 정도이며 주로 40-50대 남성이 발병률이 가장 높으며 주요 원인은 남성의 경우 술, 여성의 경우 담석질환과 상관관계가 있는 것으로 예상됩니다. 2017년 기준 전 세계 발병환자의 수는 235만명으로 추정되며, 알코올 소비 증가와 진단기술 발달로 급성 췌장염 발병은 해마다 늘고 있는 추세이며 앞으로도 췌장염 발병률이 증가함에 따라 시장규모 또한 증가할 것으로 예상됩니다.
![]() |
|
[2022~2030년 글로벌 급성 췌장염 예상 시장 규모] |
| 출처) | Research And Markets, Global Acute Pancreatitis Market Research Report (2022) |
경증 및 중등도 급성 췌장염에서는 수액치료를 통한 합병증 없는 완치율이 99%를 차지함에 따라 당사는 수액 치료보다 효과적인 치료를 필요로 하는 중등증-중증의 급성 췌장염 환자를 타겟으로 하고 있습니다. 췌장염 시장에서 급성 췌장염은 80%의 비율을 차지하고 그중 중증 췌장염 환자는 전체 환자의 20%를 차지합니다.
(b) 국내 시장
글로벌 급성 췌장염 환자수 증가율과 비교하여 국내 급성 췌장염 환자수는 건강보험심사평가원에 따르면 국내 급성 췌장염 환자는 2022년 기준 38,873명으로 집계되며, 5개년 평균 성장률은 -0.1%입니다.
| [최근 5년 급성 췌장염(k85)질환에 대한 환자수, 요양급여비용, 보험자부담금 추이] |
|
구 분 |
2018 |
2019 |
2020 |
2021 | 2022 |
5개년 평균 성장률 |
|---|---|---|---|---|---|---|
|
환자수(명) |
39,078 |
40,656 |
39,804 |
38,494 | 38,873 |
-0.1% |
|
요양급여비용 |
63,672,447 |
69,856,128 |
73,647,405 |
73,844,594 | 73,680,336 | 3.7% |
|
보험자부담금 |
46,976,887 |
51,549,592 |
54,258,227 |
54,106,897 | 53,880,914 |
3.5% |
| 출처) | 건강보험심사평가원 보건의료빅데이터개방시스템 |
② 당사 현황
중등증-중증 급성 췌장염 치료제는 2022년 1/2a상 임상시험을 완료하였으며, 2024년 2b상 임상시험 진입을 위한 임상 data 축적 및 재생의료 치료에 대한 기초 자료로 첨단재생의료 임상연구를 계획 중 입니다. 해당 치료제는 2020년 10월 식약처로부터 개발단계 희귀의약품 지정을 받아 경쟁력을 확보하였습니다.
③ 주요 경쟁업체 현황
(a) 효과적인 치료제의 부재
급성 췌장염은 아직까지 치료법이 없어, 일부 국가에서는 증상을 개선하기 위해 단백분해 억제제와 트립신 억제제를 사용합니다. 그러나 1965년 1월부터 2013년 3월까지 발표된 급성 췌장염에 대한 무작위 대조 연구의 분석에서 정맥 단백분해 억제제를 사용하여 급성 췌장염으로 인한 사망을 예방하는 데에 대한 확실한 증거가 없다는 것을 발견했습니다. 리파아제 억제제, CRAC 채널 억제제 및 항염증 약물은 급성 췌장염의 치료를 위해 개발 중이지만, 아직 유의한 임상 효과가 입증되지 않았습니다.
(b) 주요 경쟁업체 현황
약물치료법으로는 단백분해효소 억제제(protease inhibitor) 또는 췌장분비 억제제(anti-secretory agent), 항산화제 혹은 항염증제(anti-oxidative, anti-inflammatory agent)등이 연구되고 있습니다.
현재 시장에 출시되어 급성 췌장염 치료에 사용되고 있는 약물인 Futhan과 Miraclid는 단백질 분해효소를 타겟으로 염증반응을 억제하는 기전을 나타내는 치료제입니다. 다만, 상기 두 치료제들은 급성 췌장염을 적응증으로 하는 치료제가 아닌 증상개선을 위한 대중요법으로 허가 받았습니다.
| [급성 췌장염 국내/외 치료제 개발 현황] |
|
구 분 |
지엔티파마 플루살라진 |
존슨앤드존슨 레미케이드 |
삼성바이오에피스&다케다 TAK-671 |
라마수, 아리바이오 RABI-767 | 칼시메디카 옥소라 |
|---|---|---|---|---|---|
|
종 류 |
리간드-구조 기반 | TNF-α blocker | Ulinastatin-Fc Fusion protein | Lipase inhibitor | CRAC 채널 inhibitor |
|
적응증 |
급만성 췌장염 | 경증 췌장염 | 급성 췌장염 | 급성 췌장염 | 급성 췌장염 |
|
단 계 |
임상 1상 준비 중 (한국) |
임상 2상 (미국) | 임상 1상 (미국) | 임상 2a상 (미국), FDA 패스트 트랙 심사대상 | 임상 2b상 (미국) |
④ 경쟁력
SCM-AGH(중등증-중증 급성 췌장염 치료제)
급성 췌장염은 승인된 치료법이 없기 때문에 중환자 치료 분야에서 충족되지 않은 수요를 나타냅니다. 따라서 치료제가 승인되면 First-in-class 치료제로서 경쟁우위를 확보할 수 있습니다. 현재 에스씨엠생명과학의 cMSC는 1/2a 임상을 통해 안전성을 확인하였으며, 동물실험과 임상 2a의 결과가 소화기분야 탑저널인 Gastroenterology에 등재되어 그 효능을 인정받아, 급성췌장염 시장에서의 First-In-Class의 가능성을 확인하였습니다.
(3) 중등증-중증 아토피 피부염 치료제(SCM-AGH)
①시장 규모
(a) 글로벌 시장
Research And Markets에 따르면 글로벌 아토피 피부염 시장 규모는 2021년 48억 5,000천만 달러에서 연평균 성장률 15.2% 증가하여 2027년에 113억 4,000만 달러에 이를 것으로 보고되었습니다.
![]() |
|
[2021~2027년 글로벌 아토피 피부염 치료제 예상 시장 규모] |
| 출처) | Research And Markets, Atopic Dermatitis Treatment Market (2021) |
전 세계적으로 아토피 피부염에 대한 인식이 높아지면서 글로벌 시장의 성장이 가속화되고 있으며, 피부 알레르기 및 만성 질환의 유병률 증가는 시장 성장률을 촉진할 것으로 예상됩니다.
(b) 국내 시장
국내 시장만 보았을 때도 아토피 피부염은 큰 규모를 나타내고 있습니다. 건강보험심사평가원에 따르면 우리나라 전체 인구대비 아토피 피부염 진료실 인원 비중과 절대수치를 보았을 때, 줄어드는 경향은 보이지만 그 수는 꾸준하게 90만명대를 유지하고 있습니다. 반면, 2020년도 이후 요양급여비용총액과 보험자부담금이 매해 두배이상 증가하는 것을 보아 치료제에 사용되는 비용이 증가한 것으로 보입니다. 이는 새로운 치료제의 승인으로 시장의 다양한 수요가 증가한 것으로 판단됩니다.
| [최근 5년 아토피성 피부염(L20)질환에 대한 환자수, 요양급여비용, 보험자부담금 추이] |
|
구분 |
2018 |
2019 |
2020 |
2021 | 2022 |
5개년 성장률 |
|---|---|---|---|---|---|---|
|
환자수(명) |
921,070 | 949,990 | 972,928 | 989,750 | 973,636 |
1.4% |
|
요양급여비용총액 |
43,562,688 | 45,837,611 | 51,847,661 | 86,472,525 | 120,118,801 |
28.9% |
|
보험자부담금(천원) |
29,883,227 | 32,174,334 | 36,342,869 | 68,183,904 | 98,752,963 |
34.8% |
| 출처) | 건강보험심사평가원 보건의료빅데이터개방시스템 |
■ 소아환자에 대한 미충족 의료수요 존재
상기의 진료환자수를 세분화해서 분석해보면, 19세 이하 진료 환자수는 점차 감소하고 있으나 여전히 전체 환자 중 50%의 높은 비중을 차지하고 있어 소아 환자에 대한 미충족 의료수요는 높은 것으로 추정됩니다.
| [최근 5년 아토피성 피부염(L20) 소아 및 성인 환자수 추이] |
|
구 분 |
2018 |
2019 |
2020 |
2021 | 2022 |
비중 |
|---|---|---|---|---|---|---|
|
소아(19세이하, 명) |
511,743 | 503,073 | 493,868 | 477,287 | 436,421 |
50% |
|
성인(20세이상, 명) |
397,502 | 457,120 | 490,045 | 523,840 | 548,865 |
50% |
| 출처) | 건강보험심사평가원 보건의료빅데이터개방시스템 |
특히, 아토피 피부염 환자 중 만성 질환자의 약 70%가 유ㆍ소아이므로 안전성 입증 문제가 중요하며, 질병의 특성과 환자 등이 고려된 개발전략이 필요한 상태입니다. 유ㆍ소아의 경우 면역력이 약하여 외부자극에 쉽게 반응하기에 팔과 다리, 팔꿈치 안쪽 등에 주로 아토피 피부염 증상이 나타나며 기관지 천식이나 비염 등이 동반되기도 합니다. 유ㆍ소아가 성장하며 자연적 면역능력이 생기며 대부분 증세는 사라지게 되나, 스트레스나 환경 문제로 인하여 성인 아토피 피부염으로 이어지는 경우도 많습니다. 따라서, 특정 시장을 제한하기 보다 두 시장을 모두 타겟으로 삼아 치료제를 개발하고자 하며 성인 아토피 피부염 치료제 개발을 완료한 후, 소아환자로 적응증을 확장하고자 합니다.
② 당사 현황
중등증-중증 아토피 피부염 치료제는 1상 임상시험을 완료 후 국내 11개 병원에서 4개 병원을 추가하여 총15개 병원에서 2상 임상시험을 진행하였으며, 2022년 6월 시험 대상자 등록 및 투약을 완료하였습니다. 2023년 1/2상 임상시험 결과를 발표하였으며, 국내외 전략적 기술이전 파트너들과의 논의를 통해 임상 3상을 준비하고 있습니다.
③주요 경쟁업체 현황
(a) 현재 치료법 현황
아토피 치료제 시장은 국소치료제, 전신면역억제제 등이 오랫동안 시장을 지배하였으나, 국소치료제 불응성 환자와 장기사용에 따른 부작용을 해결하기 위한 새로운 치료제의 개발로 시장이 급격히 성장하고 있습니다. 그러나, 새로운 치료제의 등장에도 치료제에 불응하는 환자들에 대한 미충족 수요와 장기사용에 따른 부작용 문제로, 안전하고, 치료 효능이 지속되는 새로운 치료제에 대한 추가적인 수요가 남아있습니다.
(b) 국내 경쟁업체
현재 국내 개발단계 경쟁업체로는 JW중외제약, 휴온스, 강스템바이오텍이 있습니다.특히, 강스템바이오텍은 줄기세포치료제 분야에서 중등도 이상의 만성 아토피 피부염 환자를 대상으로 퓨어스템-에이디주(FURESTEM-AD)의 유효성 및 안전성 평가를 위한 Two-Stage, 다기관, 무작위 배정, 이중 눈가림, 위약 대조 등의 내용이 포함된 제 3상 임상시험을 2021년 5월 7일 식약처로부터 승인 받았습니다. 하지만 2024년 7월 3상 임상시험 결과 발표에서 1차 지표 달성에 실패하며, 동일한 줄기세포 치료제로서의 경쟁업체는 없는 상태 입니다.
(c) 국외 경쟁업체
당사의 줄기세포치료제인 SCM-AGH는 중등증 이상의 아토피 피부염을 표적으로 하고 있습니다. 면역조절능력이 있는 중간엽줄기세포의 경우 질환의 중증도가 심할수록 효과적이라는 비임상적 결과가 있어 초기 아토피 피부염에 사용되는 면역억제제 및 스테로이드 크림과는 차별화됩니다. 따라서 현재 듀피젠트를 시판하고 있는 Sanofi가 주된 경쟁업체라고 간주됩니다.
| [아토피 국내/외 치료제 현황] |
|
구 분 |
사노피 듀피젠트 | 화이자 시빈코 | 애브비 린버크 | 릴리 올루미언트 | 인사이트 옵젤루라 |
|---|---|---|---|---|---|
|
종 류 |
IL-4/IL-13 inhibitor | JAK inhibitor | JAK inhibitor | JAK inhibitor | JAK inhibitor |
|
적응증 |
아토피 피부염 | 중증도-중증 아토피 피부염 |
아토피 피부염 |
아토피 피부염 |
경증-중등도 아토피성 피부염 |
|
허 가 |
품목허가 (한국, 미국) |
품목허가 |
품목허가 |
품목허가 (한국) |
품목허가 (미국) |
듀피젠트는 아토피 피부염 치료제로는 처음 개발된 표적 생물학적제제입니다. 다양한적응증 추가 승인으로 성장세를 보이고 있으며, 제약바이오전문 매체 '드럭 디스코버리 앤 디벨럽먼트'에 따르면 2023년 기준 글로벌시장에서 한화 약 15조 8273억원 (115억 9000만 달러)의 매출을 달성한 바 있습니다. 시장조사 전문기관인 EvaluatePharma의 World Preview 2022, Outlook to 2028 보고서에 의하면, 듀피젠트는 2028년까지 가장 크게 성장하는 바이오의약품이 될 것으로 예측하고 있습니다.
④ 경쟁력
SCM-AGH(중등증-중증 아토피 피부염 치료제)
중등증-중증 아토피 피부염의 경우 경쟁제품인 듀피젠트와 비교하여 아래와 같은 주요 장점이 있습니다.
■ 용량/용법의 차이
듀피젠트의 경우 첫 투여(600mg)이후 2주 간격으로 300mg을 지속적으로 투여해야 하지만, 당사의 줄기세포치료제는 2주 간격 3회 투여로 추가 투여 없이 장기적인 효능을 유지할 수 있음을 1/2상 임상시험을 통해 확인하였습니다. 또한 치료목적 사용에 참여했던 환자들이 3회 투여 이후 경구용 스테로이드나 경구용 면역억제제의 사용 없이 국소적 치료만으로 개선된 상태를 장기적으로 유지하고 있음을 확인하였습니다.
■ 안전성의 차이
듀피젠트의 경우 듀피젠트 임상시험에 참여했던 환자 중 주사부위 반응과 결막염이상이 있었던 환자가 각각 10%였으며, 눈꺼풀염, 구강 헤르페스, 각막염, 눈가려움증 등의 이상반응이 확인되었습니다. 반면, 당사 줄기세포치료제의 경우 1/2상 임상시험에 참여한 환자들에서는 지금까지 보고된 약물관련 이상반응이 없습니다.
■ 경쟁 우위
기존 아토피 치료제 시장은 국소 및 전신 면역억제제가 주를 이루고 있습니다. 그러나 아토피는 다양한 원인에서 기인하는 그 특성 상, 환자마다 개별적인 치료기전이 요구됩니다. 또한 기존 치료제에 반응하지 않는 환자가 존재하며, 면역억제제를 장기 투여하는 것으로 따라오는 부작용이 문제로 남아있습니다. 때문에 아토피 치료제는 면역억제제 장기 사용에 따른 부작용과 치료 불응성을 당면과제로 삼았으며, 이를 해결하기 위한 새로운 치료제 개발을 목표로 급성장하고 있습니다. 당사는 아토피 피부염 환자들에게 안전하고 오래 지속되는 효과를 제공할 수 있는 치료제 개발을 목표로 삼고 있습니다. 당사는 2상 임상시험에서 안전성과 우수한 내약성을 입증하는데 성공하였습니다. 당사의 기술은 위약에 비해 줄기세포 치료를 받은 피험자에서 12주차에 통계적으로 유의미하게 높은 1차 평가변수(EASI-50)를 입증했으며, 줄기세포 투여와 관련된 부작용은 없었습니다. 또한, 24주차에 EASI-50, 75, 90 반응률을 보이는 피험자를 식별하여 확인하는 것으로, 치료 후 약물의 지속 효과에 대한 상당한 잠재력을 지니고 있음을 확인하였습니다. 이번 임상 결과는 글로벌 최고 학술지인 JACI(Journal of Allergy and Clinical Immunology)에 게재되어 아토피 피부염 치료 효과의 장기지속성에 대한 새로운 가능성을 인정받았습니다.
바. 신규사업
신규 사업으로는 치료제에 대한 후속 파이프라인과 당사의 층분리배양법으로 분리된줄기세포를 응용하는 오픈이노베이션 기술사업으로 구분하였습니다.
| [신규 사업 요약] |
| 구 분 |
상 세 |
전략적 추진 사유 |
|---|---|---|
| 후속 파이프라인 개발 |
1. 척수소뇌성 실조증 치료제 |
미국, 일본, 대만의 2상 임상시험 기반 지속적인 국내 임상시험 진입 가능성 검토 중 |
|
2. 제1형 및 제3형 당뇨 치료제 |
iPSC-유래 세포치료제로 사업영역 확장 (상용화에 적합한 안정적인 세포주 공급 가능) |
|
|
3. 노쇠/노화 치료제 |
노쇠/노화에 관련된 근감소증 질환 도입 검토 중 |
|
| 오픈이노베이션 기술사업화 |
공동연구개발 10건 |
초기 개발단계 후보물질 확보(미토콘드리아, 엑소좀 치료제 등), 제형 변경(세포시트 등), 줄기세포 치료기전 비교 |
(1) 후속 파이프라인 개발 추진 계획
현재 진행되고 있는 3개의 임상시험 이외에 후속 파이프라인 확보를 위해 기술이전 검토 또는 공동연구개발을 진행 중에 있으며, 척수소뇌성 실조증 치료제와 제1형 및 제3형 당뇨 치료제 라이선스인을 추진하였습니다.
| [후속 파이프라인 개발 진행과정 및 일정 요약] |
| 구 분 | 개발 진행과정 및 일정 | |
|---|---|---|
|
1 |
동종 지방유래 중간엽줄기세포치료제 (척수소뇌성 실조증) |
- 2020년 10월 대만 Steminent와 라이선스인 계약 체결 |
|
2 |
iPSC-유래 췌장 베타세포치료제 |
- 2019년 미국 Allele과 공동연구개발 협약 - 2019년 질환 동물모델 유효성 평가 |
① 척수소뇌성 실조증 줄기세포치료제: Steminent는 대만 줄기세포치료제 바이오 벤처이며, 현재 동종 지방유래 중간엽줄기세포치료제인 Stemchymal로 퇴행성 신경계 질환인 척수소뇌성 실조증(Spinocerebellar Ataxia, 이하 "SCA")에 대한 2상 임상시험 계획을 대만, 미국, 일본에서 승인 받아 진행 중입니다.
2015년 미국 FDA로부터 SCA 치료를 위한 희귀의약품 지정을 받았으며, 2016년 일본 세포치료제 기업인 Reprocell에게 일본 시장에 대한 라이선스 아웃을 하였습니다. 당사는 Steminent의 Stemchymal을 License-in 하여 2상 임상시험 단계의 파이프라인을 확대하고자 합니다. SCA는 40가지 이상의 아형이 있으며 대만과 한국의 경우 SCA 2형과 3형 환자가 다수입니다. 국내 환자수 약 4,000명인 희귀질환으로, First-in-Class 의약품으로 시장진입이 가능할 것으로 예상됩니다.
2019년 7월 본격적인 사업 추진을 위하여 MOU를 체결하였으며, 2020년 10월에 라이선스 계약(Advanced Development and Commercialization License Agreement)을 체결하였으며, 2021년 3월에 국내 식약처에 임상시험계획서를 신청하였습니다.
식약처 세포유전자치료제과의 검토의견 결과, 비임상시험(반복투여 독성 및 분포 시험)이 다시 진행되어야 하고, 이 시험의 경우 소요 기간은 약 10개월임이 확인되었습니다. 식약처가 허용하고 있는 통상적인 보완 연장 기간 내에 상기 비임상시험 결과 확보가 어려운 점을 감안하여 임상시험계획승인 신청을 자진 취하하였습니다. 그러나 Steminent와 계약에 대한 지속적인 논의 중에 있습니다.
| [대만 Steminent 社와의 라이선스 계약 추진 진행상황] |
| 구 분 | 내 용 |
|---|---|
|
2019.07 |
전략적 제휴를 위한 MOU 체결 - Joint Development and Commercialization Agreement(JDCA)를 통한 특정 권리지역에 대한 지식재산권 및 제품개발에 대한 사항 공유 - 치료제 수요에 따라 각 대만 및 한국 GMP 생산시설을 활용한 생산위탁계약 모델 검토 |
|
2019.08 |
연세대학교 의과대학 세브란스병원 신경과 이필휴 교수 사전 미팅 - 국내 수요 및 환자 현황 확인 - 임상적 자문 및 연구자 참여의향 확인 SCA 국내 임상시험 관련하여 식약처 주무관 문의 |
|
2019.09 |
Steminent 1차 실사 및 F2F 미팅 (에스씨엠생명과학㈜ 본사) - 임상 진행사항 업데이트 |
|
2019.10 |
Ryan Chang (CEO) 및 William Milligan (VP, Business Development)과의 F2F 미팅 (미국 캘리포니아) - 대만 내 아토피 피부염 및 급성 췌장염 시장적 접근 논의 - 한국 및 대만 식약처 제출 자료 비교 |
|
2019.11 |
대표 F2F 미팅 (대만) - 계약내용 1차 협의 |
| 2019.12 | 기술료 협의 완료 |
| 2020.01 | 1차 기술실사 및 Advanced Development and Commercialization License Agreement 초안 검토 |
|
2020.02 |
임상개발 및 제조파트 실무진 현장실사 (대만) |
| 2020.04 | 계약 내용 2차 협의 완료 |
| 2020.10 | 라이선스 계약 체결 |
| 2021.03 | 척수소뇌성 실조증 치료에 대한 Stemchymal (동종 지방유래 중간엽줄기세포) 투여의 안전성 및 유효성을 평가하기 위한 공개, 다기관, 단일군, 제2상 임상시험 계획승인(IND) 신청 |
| 2021.09 | 척수소뇌성 실조증 치료에 대한 Stemchymal (동종 지방유래 중간엽줄기세포) 투여의 안전성 및 유효성을 평가하기 위한 공개, 다기관, 단일군, 제 2상 임상시험 계획승인(IND) 신청 자진 취하 |
② 당뇨 췌장 베타세포치료제: 2019년 1월 미국 San Diego 소재 Allele Biotechnology & Pharmaceuticals와 유도만능줄기세포(iPSC) 기반 제1형 당뇨 치료제 공동 개발협약을 체결하였습니다. Allele Biotech는 미국 내 cGMP 생산시설에서 mRNA 원천기술을 적용하여 유도만능줄기세포 구축 및 조직 특이적 세포 분화기술을 보유하고 있습니다. 당사는 Allele Biotech와 유도만능줄기세포 유래 췌장세포를 활용한 1형 및 제3형 당뇨병 치료제 개발을 위한 전임상 연구를 통해 신약개발 가능성을 타진하고, 향후 당뇨병 치료제 시장에 진출하고자 합니다. 2021년 6월에 라이선스 계약(License and Collaboration Agreement)을 체결하였습니다.
사. 미국 관계사 코이뮨
|
주요 사업 |
세포치료제 개발 | 투자금 |
17,597백만원 |
|
설립일 |
2019.02.07 |
종업원수 |
- 명 |
|
대표자 |
Charles Nicolette |
기업형태 |
벤처기업, 비상장 중소기업 |
|
주요 주주 |
에스씨엠생명과학: 23.88% 제넥신: 22.94% |
면적 |
1,800㎡ (임차) |
|
주소지 |
4233 Technology Drive, Durham, North Carolina, United States 27704 |
||
당사는 2019년 2월 미국 Argos Therapeutics의 기술력과 글로벌 최고 수준의 세포치료제 제조시설(cGMP) 및 품질관리 시스템을 확보하기 위하여 ㈜제넥신과 공동으로 인력, 특허, cGMP 제조시설 등 일체를 125억원에 인수하여, 미국 합작법인 CoImmune, Inc.(이하 "코이뮨")을 설립하여, 설립 시 당사가 51% 및 ㈜제넥신이 49% 지분을 보유하였습니다.
코이뮨의 100% 자회사인 CoImmune CAR-CIK Inc.가 2020년 4월 30일 차세대 CAR-T 치료제 개발사인 이탈리아 Formula Phamaceuticals Inc.와 합병을 완료하면서 코이뮨은 이탈리아 Formula의 기존 주주에게 CoImmune 주식 8,961,039주를 합병대가로 지급하였습니다.
코이뮨은 국내 및 이탈리아 기관투자자로부터 총 45백만 달러(한화 약 510억원) 규모의 자금조달 유치하였습니다. 당사는 2020년도에 7,555백만원을 추가 납입하여 총 누적 투자액은 17,597백만원입니다.
(1) 개발 파이프라인
![]() |
|
코이뮨 파이프라인 |
■ 원천기술인 수지상세포를 이용한 면역 항암 백신 세포치료제 개발 사업은 미국에서 전이성 신장암 환자를 대상으로 2b상 임상시험 진입을 위해 2020년 2월 임상시험계획서를 미국 FDA로부터 승인 받았으며, 2020년 4월에 CAR-CIK 치료제 개발 회사인 이탈리아 바이오 기업인 포뮬라를 인수합병으로 면역항암제 파이프라인을 추가하여 높은 수익을 창출할 수 있는 사업모델을 개발 중입니다.
■ 세포치료제 분야는 국내외 전문 인력과 체계적인 생산시스템이 절대적으로 부족한 상황입니다. 진입장벽이 높은 cGMP 생산, 콜드체인 시스템 및 품질관리, 컴퓨터 Validation 및 문서화 작업 등 많은 경험을 이용한 컨설팅 사업 및 cGMP 시스템을 활용한 CDMO(Contract Development & Manufacturing Organization, 의약품 위탁개발생산) 사업 모델로 높은 성장이 예상되는 신규사업을 추진하고 있습니다.
■ 미국 관계회사 코이뮨은 미국의 3대 암 센터인 메모리얼 슬로안 케터링(MemorialSloan Kettering, MSK) 암센터와 코이뮨의 동종CAR-CIK(사이토카인 유도살해 세포) 기술을 이용한 고형암 치료제 개발에 관한 협약을 체결했습니다.
■현재 코이뮨은 미국 바이오 금융투자 환경이 악화되어 시리즈 B 자금조달이 실패하였습니다. 지속적인 자금부족으로 인하여, 코이뮨 이사회는 영업중단과 청산을 결의 하였으나, 주주총회에서 청산결의가 이루어지지 않아서, 현재 코이뮨은 영업중단 상황입니다.
아. 사업부문별 요약 재무 현황
보고서 제출일 현재, 당사의 주요 사업범위는 줄기세포치료제 사업과 더마코스메틱 사업입니다. 현재, 2개의 사업범위에서 창출되는 수익의 규모는 665백만원으로 자산대비 3.52% 수준으로 미비하므로 사업부문별 요약 재무정보보다 '4. 매출 및 수주상황' 정보가 투자자의 의사결정에 보다 적합할 것으로 판단됩니다. 각 사업부문별로 투자자의 의사결정에 유의미한 영향을 미칠 수 있는 규모가 발생할 경우 상세히 기재하도록 하겠습니다.
III. 재무에 관한 사항
1. 요약재무정보
작성기준 현재, 당사는 소규모 기업에 해당하므로 기재를 생략합니다.
2. 연결재무제표
당사는 보고서 작성 기준일 현재 해당사항이 없습니다.
3. 연결재무제표 주석
당사는 보고서 작성 기준일 현재 해당사항이 없습니다.
4. 재무제표
4-1. 재무상태표
|
재무상태표 |
|
제 11 기 2024.12.31 현재 |
|
제 10 기 2023.12.31 현재 |
|
제 9 기 2022.12.31 현재 |
|
(단위 : 원) |
|
제 11 기 |
제 10 기 |
제 9 기 |
|
|---|---|---|---|
|
자산 |
|||
|
유동자산 |
1,996,075,051 |
13,260,028,756 |
10,039,817,126 |
|
현금및현금성자산 |
49,593,950 |
4,495,612,283 |
6,916,335,193 |
|
단기금융상품 |
870,164,866 |
7,839,994,548 |
2,053,463,850 |
|
매출채권 |
48,802,659 |
106,409,573 |
5,630,496 |
|
미수수익 |
19,783,233 |
18,739,726 |
|
|
미수금 |
86,814,598 |
130,230 |
965,070 |
|
유동재고자산 |
535,024,780 |
392,060,705 |
102,711,504 |
|
유동성보증금 |
75,541,000 |
88,141,000 |
596,847,943 |
|
선급금 |
9,169,663 |
40,589,893 |
75,044,947 |
|
선급비용 |
60,988,842 |
71,353,371 |
98,008,979 |
|
선급부가세 |
222,656,613 |
193,429,870 |
129,810,548 |
|
당기법인세자산 |
37,318,080 |
12,524,050 |
42,258,870 |
|
비유동자산 |
21,173,633,209 |
12,143,758,818 |
22,980,138,172 |
|
지분법적용투자지식 |
10,321,348,902 |
||
|
장기투자자산 |
1,085,453,119 |
1,147,100,000 |
|
|
유형자산 |
20,450,382,165 |
10,253,679,571 |
10,649,849,877 |
|
무형자산 |
695,968,712 |
236,931,936 |
302,734,189 |
|
보증금 |
27,282,332 |
567,694,192 |
559,105,204 |
|
자산총계 |
23,169,708,260 |
25,403,787,574 |
33,019,955,298 |
|
부채 |
|||
|
유동부채 |
5,740,681,299 |
1,148,217,990 |
4,562,237,132 |
|
미지급금 |
1,612,491,696 |
572,834,591 |
456,776,650 |
|
미지급비용 |
180,629,374 |
180,440,754 |
107,301,125 |
|
예수금 |
47,040 |
46,207,289 |
56,199,753 |
|
선수금 |
7,000 |
1,481,269,376 |
|
|
단기차입금 |
2,000,000,000 |
||
|
유동성장기차입금 |
3,630,000,000 |
||
|
유동성계약부채 |
60,225,016 |
241,673,922 |
|
|
유동성리스부채 |
160,058,017 |
131,048,168 |
61,561,134 |
|
유동성충당부채 |
157,455,172 |
157,455,172 |
157,455,172 |
|
비유동부채 |
3,250,206,275 |
3,782,025,920 |
3,946,756,654 |
|
장기차입금 |
3,150,052,200 |
3,630,000,000 |
3,630,000,000 |
|
장기미지급금, 총액 |
70,000,000 |
70,000,000 |
70,000,000 |
|
비유동계약부채 |
60,225,016 |
||
|
리스부채 |
26,318,001 |
57,017,049 |
77,548,265 |
|
장기미지급비용, 총액 |
3,836,074 |
25,008,871 |
108,983,373 |
|
부채총계 |
8,990,887,574 |
4,930,243,910 |
8,508,993,786 |
|
자본 |
|||
|
자본금 |
10,233,624,000 |
10,233,624,000 |
6,060,285,000 |
|
자본잉여금 |
178,576,988,534 |
178,513,771,836 |
163,098,228,434 |
|
자본조정 |
(16,561,810) |
(16,561,810) |
|
|
기타포괄손익누계액 |
8,748,925,346 |
2,729,797,011 |
2,378,113,419 |
|
이익잉여금(결손금) |
(183,364,155,384) |
(170,987,087,373) |
(147,025,665,341) |
|
자본총계 |
14,178,820,686 |
20,473,543,664 |
24,510,961,512 |
|
자본과부채총계 |
23,169,708,260 |
25,403,787,574 |
33,019,955,298 |
4-2. 포괄손익계산서
|
포괄손익계산서 |
|
제 11 기 2024.01.01 부터 2024.12.31 까지 |
|
제 10 기 2023.01.01 부터 2023.12.31 까지 |
|
제 9 기 2022.01.01 부터 2022.12.31 까지 |
|
(단위 : 원) |
|
제 11 기 |
제 10 기 |
제 9 기 |
|
|---|---|---|---|
|
매출 |
824,800,629 |
695,697,915 |
395,982,302 |
|
매출원가 |
498,300,108 |
356,997,301 |
220,230,172 |
|
매출총이익 |
326,500,521 |
338,700,614 |
175,752,130 |
|
판매비와관리비 |
11,634,253,173 |
13,336,368,800 |
12,754,679,395 |
|
영업이익(손실) |
(11,307,752,652) |
(12,997,668,186) |
(12,578,927,265) |
|
영업외이익(손실) |
(1,730,684,621) |
(10,963,753,846) |
(10,351,075,968) |
|
금융수익 |
244,780,391 |
89,321,776 |
1,574,960,590 |
|
금융비용 |
1,352,368,871 |
374,215,065 |
266,999,263 |
|
기타수익 |
191,796,331 |
14,955,433 |
6,541,481 |
|
기타비용 |
814,892,472 |
20,783,496 |
15,913,477 |
|
지분법투자관련이익(손실) |
(10,673,032,494) |
(11,649,665,299) |
|
|
법인세비용차감전순이익(손실) |
(13,038,437,273) |
(23,961,422,032) |
(22,930,003,233) |
|
법인세비용(수익) |
661,369,262 |
||
|
당기순이익(손실) |
(12,377,068,011) |
(23,961,422,032) |
(22,930,003,233) |
|
기타포괄손익 |
6,019,128,335 |
351,683,592 |
1,464,568,493 |
|
재평가잉여금 |
6,019,128,335 |
||
|
지분법자본변동 |
351,683,592 |
1,464,568,493 |
|
|
총포괄손익(손실) |
(6,357,939,676) |
(23,609,738,440) |
(21,465,434,740) |
|
주당이익 |
|||
|
기본주당이익(손실) (단위 : 원) |
(605) |
(1,464) |
(1,581) |
|
희석주당이익(손실) (단위 : 원) |
(605) |
(1,464) |
(1,581) |
4-3. 자본변동표
|
자본변동표 |
|
제 11 기 2024.01.01 부터 2024.12.31 까지 |
|
제 10 기 2023.01.01 부터 2023.12.31 까지 |
|
제 9 기 2022.01.01 부터 2022.12.31 까지 |
|
(단위 : 원) |
|
자본 |
||||||
|---|---|---|---|---|---|---|
|
자본금 |
자본잉여금 |
자본조정 |
기타포괄손익누계액 |
이익잉여금(결손금) |
자본 합계 |
|
|
2022.01.01 (기초자본) |
6,010,927,000 |
161,783,738,375 |
913,544,926 |
(124,095,662,108) |
44,612,548,193 |
|
|
당기순이익(손실) |
(22,930,003,233) |
(22,930,003,233) |
||||
|
토지재평가 |
||||||
|
지분법자본변동 |
1,464,568,493 |
1,464,568,493 |
||||
|
유상증자 |
||||||
|
무상증자 |
||||||
|
자기주식 취득 |
||||||
|
주식매수선택권행사 |
49,358,000 |
623,155,230 |
672,513,230 |
|||
|
주식보상비용 |
691,334,829 |
691,334,829 |
||||
|
기타비용 |
||||||
|
2022.12.31 (기말자본) |
6,060,285,000 |
163,098,228,434 |
2,378,113,419 |
(147,025,665,341) |
24,510,961,512 |
|
|
2023.01.01 (기초자본) |
6,060,285,000 |
163,098,228,434 |
2,378,113,419 |
(147,025,665,341) |
24,510,961,512 |
|
|
당기순이익(손실) |
(23,961,422,032) |
(23,961,422,032) |
||||
|
토지재평가 |
||||||
|
지분법자본변동 |
351,683,592 |
351,683,592 |
||||
|
유상증자 |
2,400,000,000 |
15,543,797,049 |
18,360,000,000 |
|||
|
무상증자 |
1,705,604,000 |
(1,729,190,209) |
(23,586,209) |
|||
|
자기주식 취득 |
(16,561,810) |
(16,561,810) |
||||
|
주식매수선택권행사 |
67,735,000 |
902,921,860 |
970,656,860 |
|||
|
주식보상비용 |
698,014,702 |
698,014,702 |
||||
|
기타비용 |
||||||
|
2023.12.31 (기말자본) |
10,233,624,000 |
178,513,771,836 |
(16,561,810) |
2,729,797,011 |
(170,987,087,373) |
20,473,543,664 |
|
2024.01.01 (기초자본) |
10,233,624,000 |
178,513,771,836 |
(16,561,810) |
2,729,797,011 |
(170,987,087,373) |
20,473,543,664 |
|
당기순이익(손실) |
(12,377,068,011) |
(12,377,068,011) |
||||
|
토지재평가 |
6,019,128,335 |
6,019,128,335 |
||||
|
지분법자본변동 |
||||||
|
유상증자 |
||||||
|
무상증자 |
||||||
|
자기주식 취득 |
||||||
|
주식매수선택권행사 |
||||||
|
주식보상비용 |
63,130,037 |
63,130,037 |
||||
|
기타비용 |
86,661 |
86,661 |
||||
|
2024.12.31 (기말자본) |
10,233,624,000 |
178,576,988,534 |
(16,561,810) |
8,748,925,346 |
(183,364,155,384) |
14,178,820,686 |
4-4. 현금흐름표
|
현금흐름표 |
|
제 11 기 2024.01.01 부터 2024.12.31 까지 |
|
제 10 기 2023.01.01 부터 2023.12.31 까지 |
|
제 9 기 2022.01.01 부터 2022.12.31 까지 |
|
(단위 : 원) |
|
제 11 기 |
제 10 기 |
제 9 기 |
|
|---|---|---|---|
|
영업활동현금흐름 |
(10,052,775,519) |
(12,136,025,734) |
(11,183,980,810) |
|
당기순이익(손실) |
(12,377,068,011) |
(23,961,422,032) |
(22,930,003,233) |
|
현금유출입이없는수익비용의조정 |
1,516,121,218 |
12,477,156,346 |
12,073,510,426 |
|
감가상각비에 대한 조정 |
728,862,904 |
747,392,782 |
953,064,006 |
|
무형자산상각비에 대한 조정 |
130,349,868 |
92,047,581 |
87,451,621 |
|
법인세비용 조정 |
(661,369,262) |
||
|
이자수익에 대한 조정 |
(238,718,334) |
(86,833,744) |
(1,574,960,590) |
|
단기투자자산평가이익 |
(6,062,057) |
(2,488,032) |
|
|
이자비용 조정 |
259,950,791 |
312,568,184 |
266,999,263 |
|
단기투자자산평가손실 |
6,964,961 |
||
|
장기투자자산평가손실 |
1,085,453,119 |
61,646,881 |
|
|
주식기준보상비용 |
41,957,240 |
614,040,200 |
664,677,254 |
|
지분법손실 조정 |
10,673,032,494 |
11,649,665,299 |
|
|
리스변경이익 |
(170,785,316) |
||
|
유형자산폐기손실 조정 |
181,700,000 |
||
|
무형자산처분손실 조정 |
85,350,615 |
||
|
무형자산손상차손 조정 |
65,272,489 |
||
|
기타비용 |
7,194,200 |
65,750,000 |
26,613,573 |
|
영업활동으로 인한 자산 부채의 변동 |
811,348,490 |
(478,457,084) |
(390,957,135) |
|
외상매출의 감소(증가) |
57,606,914 |
(100,779,077) |
11,165,221 |
|
미수금의 감소(증가) |
(86,684,368) |
834,840 |
12,361,820 |
|
선급금의 감소(증가) |
22,558,660 |
34,455,054 |
(43,384,960) |
|
선급비용의 감소 (증가) |
10,364,529 |
26,655,608 |
(59,512,671) |
|
부가세대급금의 감소(증가) |
3,482,197 |
(63,619,322) |
54,689,485 |
|
재고자산의 감소(증가) |
(142,964,075) |
(289,349,201) |
176,971,100 |
|
미지급금의 증가(감소) |
1,079,141,698 |
116,057,941 |
(17,139,850) |
|
예수금의 증가(감소) |
(46,160,249) |
(9,992,464) |
13,116,283 |
|
선수금의 증가(감소) |
7,000 |
(12,697) |
|
|
미지급비용의 증가(감소) |
(25,771,800) |
48,946,459 |
(153,777,407) |
|
환불부채의 증가(감소) |
(112,042) |
(9,278,389) |
|
|
계약부채의 증가(감소) |
(60,225,016) |
(241,561,880) |
(241,561,880) |
|
장기미지급금의 증가(감소) |
(134,371,570) |
||
|
충당부채의 증가(감소) |
(221,620) |
||
|
이자수취 |
243,914,758 |
85,337,230 |
274,478,728 |
|
이자지급(영업) |
(222,297,944) |
(288,375,014) |
(204,314,746) |
|
법인세의 환급(납부) |
(24,794,030) |
29,734,820 |
(6,694,850) |
|
투자활동현금흐름 |
2,643,046,147 |
(7,010,096,592) |
14,998,308,686 |
|
기타투자활동으로 인한 현금유입액 |
20,922,214,742 |
1,646,199,474 |
31,066,060,000 |
|
단기금융상품의 처분 |
20,327,468,742 |
1,135,194,474 |
31,000,000,000 |
|
보증금의 회수 |
594,746,000 |
511,005,000 |
66,060,000 |
|
투자활동으로 인한 현금유출액 |
(18,279,168,595) |
(8,656,296,066) |
(16,067,751,314) |
|
단기금융상품의 취득 |
(13,358,541,964) |
(8,400,506,516) |
(15,000,000,000) |
|
유형자산의 취득 |
(4,073,970,929) |
(235,567,255) |
(504,831,314) |
|
무형자산의 취득 |
(305,329,702) |
(8,045,295) |
|
|
임차보증금의 증가 |
(541,326,000) |
(12,177,000) |
(562,920,000) |
|
재무활동현금흐름 |
2,963,711,039 |
16,725,399,416 |
211,731,890 |
|
재무활동으로 인한 현금유입액 |
3,150,138,861 |
19,332,689,500 |
6,304,377,200 |
|
유상증자 |
18,360,000,000 |
||
|
주식선택권행사 |
972,689,500 |
674,377,200 |
|
|
단기차입금의 차입 |
2,000,000,000 |
||
|
장기차입금의 차입 |
3,150,052,200 |
3,630,000,000 |
|
|
기타비용 |
86,661 |
||
|
재무활동으로 인한 현금유출액 |
(186,427,822) |
(2,607,290,084) |
(6,092,645,310) |
|
리스부채의 지급 |
(186,427,822) |
(148,906,474) |
(270,781,340) |
|
단기차입금의 상환 |
(2,000,000,000) |
||
|
장기차입금의 상환 |
(5,820,000,000) |
||
|
신주발행비 지급 |
(441,821,800) |
(1,863,970) |
|
|
자기주식의 취득으로 인한 현금의 유출 |
(16,561,810) |
||
|
현금및현금성자산의순증가(감소) |
(4,446,018,333) |
(2,420,722,910) |
4,026,059,766 |
|
기초현금및현금성자산 |
4,495,612,283 |
6,916,335,193 |
2,890,275,427 |
|
기말현금및현금성자산 |
49,593,950 |
4,495,612,283 |
6,916,335,193 |
5. 재무제표 주석
| 제 11 기 : 2024년 12월 31일 현재 |
| 제 10 기 : 2023년 12월 31일 현재 |
| 에스씨엠생명과학 주식회사 |
1. 일반 사항
에스씨엠생명과학 주식회사(이하 '당사')는 2014년 7월 2일에 설립되었으며, 층분리배양법 기술을 이용한 난치성 질환 줄기세포치료제의 개발 및 공급을 목적으로 하고 있습니다. 당사는 인천광역시 연수구에 본사를 두고 있으며, 2020년 6월 17일자로 코스닥시장에 상장하였습니다.
당사는 수차례의 유상증자 및 무상증자를 통하여 당기말 현재 당사의 자본금은 10,234백만원이며, 최대주주(송기령) 및 특수관계자의 지분율은 17.03%입니다.
2. 재무제표의 작성기준
(1) 재무제표의 작성기준
당사의 재무제표는 한국채택국제회계기준(이하 기업회계기준)에 따라 작성됐습니다.한국채택국제회계기준은 국제회계기준위원회("IASB")가 발표한 기준서와 해석서 중대한민국이 채택한 내용을 의미합니다.
(2) 측정기준
재무제표는 아래에서 열거하고 있는 재무상태표의 주요 항목을 제외하고는 역사적원가를 기준으로 작성되었습니다.
- 당기손익-공정가치로 측정되는 파생상품
- 당기손익-공정가치로 측정되는 금융상품
- 공정가치로 측정되는 유형자산
- 공정가치로 측정되는 현금결제형 주식기준보상을 위한 부채
(3) 기능통화와 표시통화
당사는 재무제표에 포함되는 항목들을 영업활동이 이루어지는 주된 경제환경에서의 통화("기능통화")를 적용하여 측정하고 있습니다. 당사의 기능통화는 대한민국 원화이며, 재무제표는 대한민국 원화로 표시되어 있습니다.
(4) 추정과 판단
한국채택국제회계기준에서는 재무제표를 작성함에 있어서 회계정책의 적용이나, 보고기간말 현재 자산, 부채 및 수익, 비용의 보고금액에 영향을 미치는 사항에 대하여 경영진의 최선의 판단을 기준으로 한 추정치와 가정의 사용을 요구하고 있습니다. 보고기간말 현재 경영진의 최선의 판단을 기준으로 한 추정치와 가정이 실제 환경과 다를 경우 이러한 추정치와 실제 결과는 다를 수 있습니다.
① 경영진의 판단
재무제표에 인식된 금액에 유의한 영향을 미치는 회계정책의 적용과 관련된 주요한 경영진의 판단에 대한 정보는 다음의 주석에 포함되어 있습니다.
- 주석 8: 리스 - 연장선택권의 행사가능성이 상당히 확실한지 여부
② 가정과 추정의 불확실성
다음 보고기간 이내에 중요한 조정이 발생할 수 있는 유의한 위험이 있는 가정과 추정의 불확실성에 대한 정보는 다음의 주석에 포함되어 있습니다.
- 주석 27: 재무위험관리 - 유의적인 관측불가능한 투입변수
③ 공정가치 측정
당사의 회계정책과 공시사항은 다수의 금융 및 비금융자산과 부채에 대해 공정가치 측정이 요구되고 있습니다. 당사는 공정가치평가 정책과 절차를 수립하고 있습니다. 동 정책과 절차에는 공정가치 서열체계에서 수준 3으로 분류되는 공정가치를 포함한모든 유의적인 공정가치 측정의 검토를 책임지는 평가부서의 운영을 포함하고 있으며, 그 결과는 재무담당임원에게 직접 보고되고 있습니다.
평가부서는 정기적으로 관측가능하지 않은 유의적인 투입변수와 평가 조정을 검토하고 있습니다. 공정가치측정에서 중개인 가격이나 평가기관과 같은 제3자 정보를 사용하는 경우, 평가부서에서 제3자로부터 입수한 정보에 근거한 평가가 공정가치 서열체계 내 수준별 분류를 포함하고 있으며 해당 기준서의 요구사항을 충족한다고 결론을 내릴 수 있는지 여부를 판단하고 있습니다.
당사는 유의적인 평가 문제를 이사회에 보고하고 있습니다.
자산이나 부채의 공정가치를 측정하는 경우, 당사는 최대한 시장에서 관측가능한 투입변수를 사용하고 있습니다. 공정가치는 다음과 같이 가치평가기법에 사용된 투입변수에 기초하여 공정가치 서열체계 내에서 분류됩니다.
ㆍ수준 1: 측정일에 동일한 자산이나 부채에 대한 접근 가능한 활성시장의 조정되지 않은 공시가격
ㆍ수준 2: 수준 1의 공시가격 이외에 자산이나 부채에 대해 직접적으로 또는 간접적으로 관측가능한 투입변수
ㆍ수준 3: 자산이나 부채에 대한 관측가능하지 않은 투입변수
자산이나 부채의 공정가치를 측정하기 위해 사용되는 여러 투입변수가 공정가치 서열체계 내에서 다른 수준으로 분류되는 경우, 당사는 측정치 전체에 유의적인 공정가치 서열체계에서 가장 낮은 수준의 투입변수와 동일한 수준으로 공정가치 측정치 전체를 분류하고 있으며, 변동이 발생한 보고기간 말에 공정가치 서열체계의 수준간 이동을 인식하고 있습니다.
공정가치 측정 시 사용된 가정의 자세한 정보는 아래 주석에 포함되어 있습니다.
ㆍ주석 17: 주식기준보상
3. 회계정책 변경
당사가 한국채택국제회계기준에 따른 재무제표 작성에 적용한 유의적인 회계정책은 아래 기술되어 있으며, 주석 3.1에서 설명하고 있는 회계정책의 변경을 제외하고 당기 및 비교표시된 전기의 재무제표는 동일한 회계정책을 적용하여 작성되었습니다.
당사는 2024년 1월 1일로 개시하는 회계기간부터 다음의 제ㆍ개정 기준서 및 해석서를 신규로 적용하였습니다.
3.1 회사가 채택한 제ㆍ개정기준서및해석서
당사는 2024년 1월 1일로 개시하는 회계기간부터 다음의 제ㆍ개정 기준서 및 해석서를 신규로 적용하였습니다.
(1) 기업회계기준서 제1001호 '재무제표 표시' 개정 - 부채의 유동/비유동 분류, 약정사항이 있는 비유동부채보고기간말 현재 존재하는 실질적인 권리에 따라 유동 또는 비유동으로 분류되며, 부채의 결제를 연기할 수 있는 권리의 행사가능성이나 경영진의 기대는 고려하지 않습니다. 또한, 부채의 결제에 자기지분상품의 이전도 포함되나, 복합금융상품에서 자기지분상품으로 결제하는 옵션이 지분상품의 정의를 충족하여 부채와 분리하여 인식된경우는 제외됩니다. 또한, 기업이 보고기간말 후에 준수해야하는 약정은 보고기간말에 해당 부채의 분류에 영향을 미치지 않으며, 보고기간 이후 12개월 이내 약정사항을 준수해야하는 부채가 보고기간말 현재 비유동부채로 분류된 경우 보고기간 이후 12개월 이내 부채가 상환될 수 있는 위험에 관한 정보를 공시해야 합니다. 해당 기준서의 개정이 재무제표에 미치는 중요한 영향은 없습니다.
(2) 기업회계기준서 제1007호 '현금흐름표', 기업회계기준서 제1107호 '금융상품: 공시' 개정 - 공급자금융약정에 대한 정보 공시
공급자금융약정을 적용하는 경우, 재무제표이용자가 공급자금융약정이 기업의 부채와 현금흐름 그리고 유동성위험 익스포저에 미치는 영향을 평가할 수 있도록 공급자금융약정에 대한 정보를 공시해야 합니다. 해당 기준서의 개정이 재무제표에 미치는 중요한 영향은 없습니다.
(3) 기업회계기준서 제1116호 '리스' 개정 - 판매후리스에서 생기는 리스부채
판매후리스에서 생기는 리스부채를 후속적으로 측정할 때 판매자-리스이용자가 보유하는 사용권 관련 손익을 인식하지 않는 방식으로 리스료나 수정리스료를 산정합니다. 해당 기준서의 제정이 재무제표에 미치는 중요한 영향은 없습니다.
(4) 기업회계기준서 제1001호 '재무제표 표시' 개정 - '가상자산 공시’
가상자산을 보유하는 경우, 가상자산을 고객을 대신하여 보유하는 경우, 가상자산을 발행한 경우의 추가 공시사항을 규정하고 있습니다. 해당 기준서의 개정이 재무제표에 미치는 중요한 영향은 없습니다.
3.2 회사가 적용하지 않은 제ㆍ개정 기준서 및 해석서
제정 또는 공표되었으나 시행일이 도래하지 않아 적용하지 아니한 제ㆍ개정 기준서및 해석서는 다음과 같습니다.
(1) 기업회계기준서 제1021호 '환율변동효과'와 기업회계기준서 제1101호 '한국채택국제회계기준의 최초채택' 개정 - 교환가능성 결여
통화의 교환가능성을 평가하고 다른 통화와 교환이 가능하지 않다면 현물환율을 추정하며 관련 정보를 공시하도록 하고 있습니다. 동 개정사항은 2025 년 1 월 1 일 이후 시작하는 회계연도부터 적용되며, 조기적용이 허용됩니다. 당사는 동 개정으로 인한 재무제표의 영향을 검토 중에 있습니다.
(2) 기업회계기준서 제1109호 '금융상품', 제1107호 '금융상품: 공시' 개정
실무에서 제기된 의문에 대응하고 새로운 요구사항을 포함하기 위해 기업회계기준서제1109호 '금융상품'과 제1107호 '금융상품: 공시'가 개정되었습니다. 동 개정사항은 2026 년 1 월 1 일 이후 시작하는 회계연도부터 적용되며, 조기적용이 허용됩니다. 주요 개정내용은 다음과 같습니다. 당사는 동 개정으로 인한 재무제표의 영향을 검토 중에 있습니다.
ㆍ특정 기준을 충족하는 경우, 결제일 전에 전자지급시스템을 통해 금융부채가 결제된 것으로(제거된 것으로) 간주할 수 있도록 허용
ㆍ금융자산이 원리금 지급만으로 구성되어 있는지의 기준을 충족하는지 평가하기 위한 추가 지침을 명확히 하고 추가함.
ㆍ계약상 현금흐름의 시기나 금액을 변경시키는 계약조건이 기업에 미치는 영향과 기업이 노출되는 정도를 금융상품의 각 종류별로 공시
ㆍFVOCI 지정 지분상품에 대한 추가 공시
(3) 한국채택국제회계기준 연차개선 Volume 11
한국채택국제회계기준 연차개선 Volume 11은 2026 년 1 월 1 일 이후 시작하는 회계연도부터 적용되며, 조기적용이 허용됩니다. 당사는 동 개정으로 인해 재무제표에 중요한 영향은 없을 것으로 예상하고 있습니다.
ㆍ기업회계기준서 제1101호 '한국채택국제회계기준의 최초채택' : K-IFRS 최초 채택시 위험회피회계 적용
ㆍ기업회계기준서 제1107호 '금융상품:공시' : 제거 손익, 실무적용지침
ㆍ기업회계기준서 제1109호 '금융상품' : 리스부채의 제거 회계처리와 거래가격의 정의
ㆍ기업회계기준서 제1110호 '연결재무제표' : 사실상의 대리인 결정
ㆍ기업회계기준서 제1007호 '현금흐름표' : 원가법
4. 중요한 회계정책
당사가 한국채택국제회계기준에 따른 재무제표 작성에 적용한 중요한 회계정책은 아래 기술되어 있으며, 주석 3에서 설명하고 있는 회계정책의 변경을 제외하고 당기 및비교표시된 전기의 재무제표는 동일한 회계정책을 적용하여 작성되었습니다.
(1) 현금및현금성자산
당사는 통화 및 타인발행수표 등 통화대용증권과 당좌예금, 보통예금 및 큰 거래비용없이 현금으로 전환이 용이하고 이자율 변동에 따른 가치변동의 위험이 경미한 금융상품으로서 취득 당시 만기일(또는 상환일)이 3개월 이내인 것을 현금 및 현금성자산으로 분류하고 있습니다.
(2) 재고자산
재고자산의 단위원가는 선입선출법으로 결정되며, 취득원가는 매입원가, 전환원가 및 재고자산을 이용가능한 상태로 준비하는데 필요한 기타 원가가 포함되어 있습니다. 재고자산은 취득원가와 순실현가능가치 중 낮은 금액으로 측정됩니다. 재고자산을 순실현가능가치로 감액한 평가손실과 모든 감모손실은 감액이나 감모가 발생한 기간에 비용으로 인식되며, 재고자산의 순실현가능가치의 상승으로 인한 재고자산평가손실의 환입은 환입이 발생한 기간의 비용으로 인식된 재고자산의 매출원가에서 차감됩니다.
(3) 비파생금융자산
① 인식 및 최초 측정
매출채권은 발행되는 시점에 최초로 인식됩니다. 다른 금융상품과 금융부채는 당사가 금융상품의 계약당사자가 되는 때에만 인식됩니다.
유의적인 금융요소를 포함하지 않는 매출채권을 제외하고는, 최초 인식시점에 금융자산이나 금융부채를 공정가치로 측정하며, 당기손익-공정가치 측정 금융자산 또는 당기손익-공정가치 측정 금융부채가 아닌 경우에 해당 금융자산의 취득이나 해당 금융부채의 발행과 직접 관련되는 거래원가는 공정가치에 가감합니다. 유의적인 금융요소를 포함하지 않는 매출채권은 최초에 거래가격으로 측정합니다.
② 분류 및 후속 측정
최초 인식시점에 금융자산은 상각후원가, 기타포괄손익-공정가치 측정 채무상품, 기타포괄손익-공정가치 측정 지분상품 또는 당기손익-공정가치로 측정되도록 분류됩니다. 금융자산은 당사가 금융자산을 관리하는 사업모형을 변경하지 않는 한 최초 인식 후에 재분류되지 않으며, 이 경우 영향 받는 모든 금융자산은 사업모형의 변경 이후 첫 번째 보고기간의 첫 번째 날에 재분류됩니다.
당사는 금융자산이 다음 두가지 조건을 모두 만족하고, 당기손익-공정가치 측정항목으로 지정되지 않은 경우에 상각후원가로 측정합니다.
- 계약상 현금흐름을 수취하기 위해 보유하는 것이 목적인 사업모형 하에서 보유합니다.
- 금융자산의 계약 조건에 따라 특정일에 원금과 원금잔액에 대한 이자지급만으로 구성되어 있는 현금흐름이 발생합니다.
당사는 채무상품이 다음 두 가지 조건을 충족하고 당기손익-공정가치 측정항목으로 지정되지 않은 경우에 기타포괄손익-공정가치로 측정합니다.
- 계약상 현금흐름의 수취와 금융자산의 매도 둘 다를 통해 목적을 이루는 사업모형 하에서 금융자산을 보유합니다.
- 금융자산의 계약 조건에 따라 특정일에 원리금 지급만으로 구성되어 있는 현금흐름이 발생합니다.
단기매매를 위해 보유하는 것이 아닌 지분상품의 최초 인식 시에 당사는 투자자산의 공정가치의 후속적인 변동을 기타포괄손익으로 표시하도록 선택할 수 있습니다. 다만 한번 선택하면 이를 취소할 수 없습니다. 이러한 선택은 투자 자산별로 이루어집니다.
상기에서 설명된 상각후원가나 기타포괄손익-공정가치로 측정되지 않는 모든 금융자산은 당기손익-공정가치로 측정됩니다. 이러한 금융자산은 모든 파생금융자산을 포함합니다. 최초 인식시점에 당사는 상각후원가나 기타포괄손익-당기손익으로 측정되는 금융자산을 당기손익-공정가치 측정항목으로 지정한다면 회계불일치를 제거하거나 유의적으로 줄이는 경우에는 해당 금융자산을 당기손익-공정가치 측정 항목으로 지정할 수 있습니다. 다만 한번 지정하면 이를 취소할 수 없습니다.
당사는 사업이 관리되는 방식과 경영진에게 정보가 제공되는 방식을 가장 잘 반영하기 때문에 금융자산의 포트폴리오 수준에서 보유되는 사업모형의 목적을 평가합니 다. 그러한 정보는 다음을 고려합니다.
- 포트폴리오에 대해 명시된 회계정책과 목적 및 실제 이러한 정책의 운영
- 사업모형에서 보유하는 금융자산의 성과를 평가하고, 그 평가내용을 주요 경영진에게 보고하는 방식
- 사업모형(그리고 사업모형에서 보유하는 금융자산)의 성과에 영향을 미치는 위험과 그 위험을 관리하는 방식
- 경영진에 대한 보상방식(예: 관리하는 자산의 공정가치에 기초하여 보상하는지 아니면 수취하는 계약상 현금흐름에 기초하여 보상하는지)
- 과거기간 금융자산의 매도의 빈도, 금액, 시기, 이유, 미래의 매도활동에 대한 예상
이러한 목적을 위해 제거요건을 충족하지 않는 거래에서 제 3자에게 금융자산을 이전하는 거래는 매도로 간주되지 않습니다.
단기매매의 정의를 충족하거나 포트폴리오의 성과가 공정가치 기준으로 평가되는 금융자산 포트폴리오는 당기손익-공정가치로 측정됩니다.
원금은 금융자산의 최초 인식시점의 공정가치로 정의됩니다. 이자는 화폐의 시간가치에 대한 대가, 특정기간에 원금 잔액과 관련된 신용위험에 대한 대가, 그밖에 기본적인 대여위험과 원가에 대한 대가(예: 유동성위험과 운영 원가)뿐 만 아니라 이윤으로 구성됩니다.
계약상 현금흐름이 원금과 이자에 대한 지급만으로 이루어져 있는지를 평가할 때, 당사는 해당 상품의 계약조건을 고려합니다. 금융자산이 계약상 현금흐름의 시기나 금액을 변경시키는 계약조건을 포함하고 있다면, 그 계약 조건 때문에 해당 금융상품의존속기간에 걸쳐 생길 수 있는 계약상 현금흐름이 원리금 지급만으로 구성되는지를 판단해야 합니다.
이를 평가할 때 당사는 다음을 고려합니다.
- 현금흐름의 금액이나 시기를 변경시키는 조건부 상황
- 변동 이자율 특성을 포함하여 계약상 액면 이자율을 조정하는 조항
- 중도상환특성과 만기연장특성
- 특정 자산으로부터 발생하는 현금흐름에 대한 당사의 청구권을 제한하는 계약조건
중도상환금액이 실질적으로 미상환된 원금과 잔여원금에 대한 이자를 나타내고, 계약의 조기청산에 대한 합리적인 추가 보상을 포함하고 있다면, 조기상환특성은 특정일에 원금과 이자를 지급하는 조건과 일치합니다.
또한, 계약상 액면금액을 유의적으로 할인하거나 할증하여 취득한 금융자산에 대해서, 중도상환금액이 실질적으로 계약상 액면금액과 계약상 이자 발생액(그러나 미지급된)을 나타내며(이 경우 계약의 조기 청산에 대한 합리적인 추가 보상이 포함될 수 있는), 중도상환특성이 금융자산의 최초 인식시점에 해당 특성의 공정가치가 경미한경우에는 이러한 조건을 충족한다고 판단합니다.
다음 회계정책은 금융자산의 후속측정에 적용됩니다.
|
당기손익-공정가치 측정 금융자산 |
이러한 자산은 후속적으로 공정가치로 측정됩니다. 이자와 배당수익을 포함한 순손익은 당기손익으로 인식됩니다. |
|
상각후원가 측정 금융자산 |
이러한 자산은 후속적으로 유효이자율법을 사용하여 상각후원가로 측정됩니다. 상각후원가는 손상손실에 의해 감소됩니다. 이자수익, 외화환산손익 및 손상은 당기손익으로 인식됩니다. 제거에 따르는 손익도 당기손익으로 인식됩니다. |
|
기타포괄손익-공정가치 측정 채무상품 |
이러한 자산은 후속적으로 공정가치로 측정됩니다. 유효이자율법을 사용하여 계산된 이자수익, 외화환산손익과 손상은 당기손익으로 인식되며, 다른 순손익은 기타포괄손익으로 인식됩니다. 제거시에 기타포괄손익에 누적된손익은 당기손익으로 재분류됩니다. |
|
기타포괄손익-공정가치 측정 지분상품 |
이러한 자산은 후속적으로 공정가치로 측정됩니다. 배당은 배당금이 명확하게 투자원가의 회수를 나타내지 않는다면 당기손익으로 인식됩니다. 다른 순손익은 기타포괄손익으로 인식하고 절대로 당기손익으로 재분류되지 않습니다. |
③ 제거
당사는 금융자산의 현금흐름에 대한 계약상 권리가 소멸한 경우, 금융자산의 현금흐름을 수취할 계약상 권리를 양도하고 이전된 금융자산의 소유에 따른 위험과 보상의 대부분을 실질적으로 이전한 경우, 또는 당사가 소유에 따른 위험과 보상의 대부분을보유 또는 이전하지 아니하고 금융자산을 통제하고 있지 않은 경우에 금융자산을 제거합니다.
당사가 재무상태표에 인식된 자산을 이전하는 거래를 하였지만, 이전되는 자산의 소유에 따른 대부분의 위험과 보상을 보유하고 있는 경우에는 이전된 자산을 제거하지 않습니다.
④ 상계
당사는 당사가 인식한 자산과 부채에 대해 법적으로 집행가능한 상계권리를 현재 갖고 있고, 차액으로 결제하거나, 자산을 실현하는 동시에 부채를 결제할 의도가 있는 경우에만 금융자산과 금융부채를 상계하고 재무상태표에 순액으로 표시합니다.
(4) 지분법적용기업투자
당사는 투자지분을 최초에 거래원가를 포함한 원가로 인식하고, 취득 후에는 지분법을 사용하여 회계처리하고 있습니다. 즉, 취득일 이후에 발생한 피투자자의 당기순손익 및기타포괄손익 중 당사의 지분에 해당하는 금액을 장부금액에 가감하고, 피투자자에게 받은 분배액은 투자지분의 장부금액에서 차감하고 있습니다.
(5) 유형자산
유형자산은 최초에 원가로 측정하여 인식됩니다. 유형자산의 원가에는 경영진이 의도하는 방식으로 자산을 가동하는데 필요한 장소와 상태에 이르게 하는데 직접 관련되는 원가 및 자산을 해체, 제거하거나 부지를 복구하는데 소요될 것으로 추정되는 원가가 포함됩니다.
토지를 제외한 자산은 최초 인식 후에 원가에서 감가상각누계액과 손상차손누계액을차감한 금액을 장부금액으로 하고 있으며, 토지는 최초 인식 후에 재평가일의 공정가치에서 이후의 손상차손누계액을 차감한 재평가금액을 장부금액으로 하고 있습니다.재평가는 보고기간말에 자산의 장부금액이 공정가치와 중요하게 차이가 나지 않도록주기적으로 수행하고 있습니다.
유형자산의 일부를 대체할 때 발생하는 원가는 해당 자산으로부터 발생하는 미래 경제적 효익이 당사에 유입될 가능성이 높으며 그 원가를 신뢰성 있게 측정할 수 있는 경우에 자산의 장부금액에 포함하거나 적절한 경우 별도의 자산으로 인식됩니다. 이 때 대체된 부분의 장부금액은 제거됩니다. 그 외의 일상적인 수선ㆍ유지와 관련하여 발생하는 원가는 발생시점에 당기손익으로 인식됩니다.
당사는 유형자산 중 토지에 대하여는 감가상각을 하지 않으며, 그 외 유형자산은 자산의 취득원가에서 잔존가치를 차감한 금액에 대하여 아래에 제시된 경제적 내용연수에 걸쳐 해당 자산에 내재되어 있는 미래 경제적 효익의 예상 소비 형태를 가장 잘 반영한 정액법으로 상각하고 있습니다.
유형자산의 제거로 인하여 발생하는 손익은 순매각금액과 장부금액의 차이로 결정되고 기타영업외손익으로 인식됩니다.
당기와 전기의 추정 내용연수는 다음과 같습니다.
| 과 목 | 추정내용연수 |
|---|---|
| 건물 | 30년 |
| 기계장치 | 5년 |
| 공구와기구 | 5년 |
| 비품 | 5년 |
| 시설장치 | 5년 |
당사는 매 보고기간말에 자산의 잔존가치와 내용연수 및 감가상각방법을 재검토하고재검토 결과 이를 변경하는 것이 적절하다고 판단되는 경우 회계추정의 변경으로 처리하고 있습니다.
(6) 무형자산
무형자산은 최초 인식할 때 원가로 측정되며, 최초 인식 후에 원가에서 상각누계액과손상차손누계액을 차감한 금액을 장부금액으로 인식됩니다.
무형자산은 사용 가능한 시점부터 잔존가치를 영("0")으로 하여 아래의 내용연수 동안 정액법으로 상각하고 있으며, 상각기간과 상각방법은 매 보고기간말에 재검토하고 있습니다.
| 구 분 | 내용연수 |
|---|---|
| 특허권 | 7년 |
| 상표권 | 5년 |
| 소프트웨어 | 5년 |
연구 또는 내부프로젝트의 연구단계에 대한 지출은 발생시점에 비용으로 인식하고 있습니다. 개발단계의 지출은 자산을 완성할 수 있는 기술적 실현가능성, 자산을 완성하여 사용하거나 판매하려는 기업의 의도와 능력 및 필요한 자원의 입수가능성, 무형자산의 미래 경제적 효익을 모두 제시할 수 있고, 관련 지출을 신뢰성 있게 측정할 수 있는 경우에 무형자산으로 인식하고 있으며, 기타 개발관련 지출은 발생시점에 비용으로 인식하고 있습니다.
후속지출은 관련되는 특정자산에 속하는 미래의 경제적 효익이 증가하는 경우에만 자본화하며, 내부적으로 창출한 영업권 등을 포함한 다른 지출들은 발생 즉시 비용화하고 있습니다.
(7) 정부보조금
정부보조금은 당사가 정부보조금에 부수되는 조건을 준수하고 그 보조금을 수취하는것에 대해 합리적인 확신이 있을 경우에만 인식됩니다.
① 자산관련 보조금
당사는 비유동자산을 취득 또는 건설하는데 사용해야 한다는 기본조건이 부과된 정부보조금을 수령하고 있으며, 해당 자산의 장부금액을 계산할 때, 정부보조금을 차감하고 감가상각자산의 내용연수에 걸쳐 당기손익으로 인식하고 있습니다.
② 수익관련 보조금
당사는 정부보조금을 정부보조금으로 보전하려 하는 관련원가를 비용으로 인식하는 기간에 걸쳐 관련비용에서 차감하는 방법으로 당기손익으로 인식하고 있습니다.
(8) 비금융자산의 손상
당사는 재고자산, 이연법인세자산을 제외한 모든 비금융자산에 대해서는 매 보고기간말마다 자산손상을 시사하는 징후가 있는지를 검토하며, 만약 그러한 징후가 있다면 당해 자산의 회수가능액을 추정하고 있습니다. 단, 당사는 아직 사용할 수 없는 무형자산에 대해서는 자산손상을 시사하는 징후와 관계없이 매년 회수가능액과 장부금액을 비교하여 손상검사를 하고 있습니다.
회수가능액은 개별 자산별로, 또는 개별 자산의 회수가능액을 추정할 수 없다면 그 자산이 속하는 현금창출단위별로 회수가능액을 추정하고 있습니다. 회수가능액은 사용가치와 순공정가치 중 큰 금액으로 결정됩니다. 사용가치는 자산이나 현금창출단위에서 창출될 것으로 기대되는 미래현금흐름을 화폐의 시간가치 및 미래현금흐름 을 추정할 때 조정되지 아니한 자산의 특유위험에 대한 현행 시장의 평가를 반영한 적절한 할인율로 할인하여 추정됩니다.
자산이나 현금창출단위의 회수가능액이 장부금액에 미달하는 경우 자산의 장부금액을 감소시키며 즉시 당기손익으로 인식하고 있습니다.
(9) 비파생금융부채
당사는 계약상 내용의 실질과 금융부채의 정의에 따라 금융부채를 당기손익인식금융부채와 기타금융부채로 분류하고 계약의 당사자가 되는 때에 재무상태표에 인식하고있습니다.
① 당기손익인식금융부채
당기손익인식금융부채는 단기매매금융부채나 최초 인식시점에 당기손익인식금융부채로 지정한 금융부채를 포함하고 있습니다. 당기손익인식금융부채는 최초인식 후 공정가치로 측정되며, 공정가치의 변동은 당기손익으로 인식됩니다. 한편, 최초 인식시점에 발행과 관련하여 발생한 거래비용은 발생 즉시 당기손익으로 인식됩니다.
② 기타금융부채
당기손익인식금융부채로 분류되지 않은 비파생금융부채는 기타금융부채로 분류됩니다. 기타금융부채는 최초 인식시 발행과 직접 관련되는 거래원가를 차감한 공정가치로 측정됩니다. 후속적으로 기타금융부채는 유효이자율법을 적용하여 상각후원가로 측정되며, 이자비용은 유효이자율법을 적용하여 인식됩니다.
③ 금융부채의 제거
당사는 금융부채의 계약상 의무가 이행, 취소 또는 만료된 경우에만 금융부채를 제거합니다. 당사는 금융부채의 계약조건이 변경되어 현금흐름이 실질적으로 달라진 경우 기존 부채를 제거하고 새로운 계약에 근거하여 새로운 금융부채를 공정가치로 인식합니다.
금융부채의 제거 시에, 장부금액과 지급한 대가(양도한 비현금자산이나 부담한 부채를 포함)의 차액은 당기손익으로 인식합니다.
(10) 리스
① 리스제공자
회사가 리스제공자인 경우 운용리스에서 생기는 리스수익은 리스기간에 걸쳐 정액기준으로 인식합니다. 운용리스 체결 과정에서 부담하는 리스개설직접원가를 기초자산의 장부금액에 더하고 리스료 수익과 같은 기준으로 리스기간에 걸쳐 비용으로 인식합니다. 각 리스된 자산은 재무상태표에서 그 특성에 기초하여 표시하였습니다.
② 리스이용자
회사는 다양한 사무실, 창고, 소매매장, 장비, 자동차를 리스하고 있습니다. 리스계약은 일반적으로 3~8년의 고정기간으로 체결되지만 아래에서 설명하는 연장선택권이 있을 수 있습니다.
계약에는 리스요소와 비리스요소가 모두 포함될 수 있습니다. 회사는 상대적 개별 가격에 기초하여 계약 대가를 리스요소와 비리스요소에 배분하였습니다. 그러나 회사가 리스이용자인 부동산 리스의 경우 리스요소와 비리스요소를 분리하지 않고 하나의 리스요소로 회계처리하는 실무적 간편법을 적용하였습니다.
리스조건은 개별적으로 협상되며 다양한 계약조건을 포함합니다. 리스계약에 따라 부과되는 다른 제약은 없지만 리스자산을 차입금의 담보로 제공할 수는 없습니다.
회사는 계약이 집행가능한 기간 내에서 해지불능기간에 리스이용자가 연장선택권을 행사할 것이 상당히 확실한 경우의 그 대상기간과 종료선택권을 행사하지 않을 것이 상당히 확실한 경우의 그 대상기간을 포함하여 리스기간을 산정합니다. 회사는 리스이용자와 리스제공자가 각각 다른 당사자의 동의 없이 종료할 수 있는 권리가 있는 경우 계약을 종료할 때 부담할 경제적 불이익을 고려하여 집행가능한 기간을 산정합니다.
리스에서 생기는 자산과 부채는 최초에 현재가치기준으로 측정합니다. 리스부채는 다음 리스료의 순현재가치를 포함합니다.
ㆍ받을 리스 인센티브를 차감한 고정리스료(실질적인 고정리스료 포함)
ㆍ개시일 현재 지수나 요율을 사용하여 최초 측정한, 지수나 요율(이율)에 따라 달라지는 변동리스료
ㆍ잔존가치보증에 따라 회사(리스이용자)가 지급할 것으로 예상되는 금액
ㆍ회사(리스이용자)가 매수선택권을 행사할 것이 상당히 확실한 경우에 그 매수선택권의 행사가격
ㆍ리스기간이 회사(리스이용자)의 종료선택권 행사를 반영하는 경우에 그 리스를 종료하기 위하여 부담하는 금액
리스의 내재이자율을 쉽게 산정할 수 있는 경우 그 이자율로 리스료를 할인합니다. 내재이자율을 쉽게 산정할 수 없는 경우에는 리스이용자가 비슷한 경제적 환경에서 비슷한 기간에 걸쳐 비슷한 담보로 사용권자산과 가치가 비슷한 자산을 획득하는 데 필요한 자금을 차입한다면 지급해야 할 이자율인 리스이용자의 증분차입이자율을 사용합니다.
회사는 증분차입이자율을 다음과 같이 산정합니다.
ㆍ가능하다면 개별 리스이용자가 받은 최근 제3자 금융 이자율에 제3자 금융을 받은 이후 재무상태의 변경을 반영
ㆍ국가, 통화, 담보, 보증과 같은 리스에 특정한 조정을 반영
개별 리스이용자가 리스와 비슷한 지급일정을 가진 분할상환 차입금 이자율을 쉽게 관측(최근의 금융 또는 시장 자료를 통해)할 수 있는 경우, 회사는 증분차입이자율을 산정할 때 그 이자율을 시작점으로 사용합니다.
회사는 지수나 요율에 따라 달라지는 변동리스료의 경우 지수나 요율이 유효할 때까지 리스부채에 포함하지 않는 변동리스료의 잠재적 미래 증가 위험에 노출되어 있습니다. 지수나 요율에 따라 달라지는 리스료의 조정액이 유효한 시점에서 리스부채를 재평가하고 사용권자산을 조정합니다.
각 리스료는 리스부채의 상환과 금융원가로 배분합니다. 금융원가는 각 기간의 리스부채 잔액에 대하여 일정한 기간 이자율이 산출되도록 계산된 금액을 리스기간에 걸쳐 당기손익으로 인식합니다.
사용권자산은 다음 항목들로 구성된 원가로 측정합니다.
ㆍ리스부채의 최초 측정금액
ㆍ받은 리스 인센티브를 차감한 리스개시일이나 그 전에 지급한 리스료
ㆍ리스이용자가 부담하는 리스개설직접원가
ㆍ복구원가의 추정치
사용권자산은 리스개시일부터 사용권자산의 내용연수 종료일과 리스기간 종료일 중 이른 날까지의 기간동안 감가상각합니다. 회사가 매수선택권을 행사할 것이 상당히 확실한(reasonably certain) 경우 사용권자산은 기초자산의 내용연수에 걸쳐 감가상각합니다.
장비 및 차량운반구의 단기리스와 모든 소액자산 리스와 관련된 리스료는 정액 기준에 따라 당기손익으로 인식합니다. 단기리스는 매수선택권 없이 리스기간이 12개월 이하인 리스이며, 소액리스자산은 IT기기와 소액의 사무실 가구로 구성되어 있습니다.
③ 연장선택권 및 종료선택권
회사 전체에 걸쳐 다수의 부동산 및 시설장치 리스계약에 연장선택권 및 종료선택권을 포함하고 있습니다. 이러한 조건들은 계약 관리 측면에서 운영상의 유연성을 극대화하기 위해 사용됩니다. 보유하고 있는 대부분의 연장선택권 및 종료선택권은 해당 리스제공자가 아니라 회사가 행사할 수 있습니다.
(11) 충당부채
충당부채는 과거사건의 결과로 존재하는 현재의무(법적의무 또는 의제의무)로서, 당해 의무를 이행하기 위하여 경제적효익을 갖는 자원이 유출될 가능성이 높으며 그 의무의 이행에 소요되는 금액을 신뢰성 있게 추정할 수 있는 경우에 인식됩니다.
충당부채로 인식하는 금액은 관련된 사건과 상황에 대한 불가피한 위험과 불확실성을 고려하여 현재의무를 보고기간말에 이행하기 위하여 소요되는 지출에 대한 최선의 추정치입니다. 화폐의 시간가치 효과가 중요한 경우 충당부채는 의무를 이행하기위하여 예상되는 지출액의 현재가치로 평가하고 있습니다.
충당부채를 결제하기 위해 필요한 지출액의 일부 또는 전부를 제3자가 변제할 것이 예상되는 경우 이행한다면 변제를 받을 것이 거의 확실하게 되는 때에 한하여 변제금액을 인식하고 별도의 자산으로 회계처리하고 있습니다.
매 보고기간말마다 충당부채의 잔액을 검토하고, 보고기간말 현재 최선의 추정치를 반영하여 조정하고 있습니다. 의무이행을 위하여 경제적효익이 내재된 자원이 유출될 가능성이 더 이상 높지 아니한 경우에는 관련 충당부채를 환입하고 있습니다.
충당부채는 최초 인식과 관련 있는 지출에만 사용하고 있습니다.
(12) 수익인식
당사의 고객과의 계약에서 생기는 수익은 당기말 현재 화장품 제품매출, 연구 용역수익 및 라이선스 매출로 구성되어 있습니다. 당사는 고객과의 계약이 개시되는 단계에서부터 통제가 고객에게 이전되는 시점 또는 통제가 고객에게 이전되는 기간에 걸쳐 다음의 5단계 수익인식모형에 따라 수익을 인식하고 있습니다.
① 계약의 식별
당사는 고객과의 사이에서 집행가능한 권리와 의무가 생기게 하는 합의를 계약으로
식별하고 계약으로 식별된 경우에는 수행의무의 식별 등 이후 단계를 추가 검토하여
수익인식여부를 판별하며, 계약으로 식별되지 못하였으나 고객에게서 대가를 받은 경우에는 부채로 인식하고 있습니다.
② 수행의무의 식별
수행의무는 고객과의 계약에서 '구별되는 재화나 용역'이나 '실질적으로 서로 같고
고객에게 이전하는 방식도 같은 일련의 구별되는 재화나 용역'을 고객에게 이전하기
로 한 약속을 의미합니다. 당사는 계약 개시시점에 고객과의 계약에서 약속한 재화나
용역을 검토하여 수행의무를 식별하고 있습니다.
③ 거래가격의 산정
거래가격은 고객에게 약속한 재화나 용역을 이전하고 그 대가로 기업이 받을 권리를
갖게 될 것으로 예상하는 금액으로서 추정치의 제약을 고려한 변동대가, 유의적인 금
융요소, 비현금대가 및 고객에게 지급할 대가 등을 고려하여 산정하고 있습니다.
④ 거래가격의 배분
당사는 하나의 계약에서 식별된 여러 수행의무에 상대적 개별판매가격을 기초로 거
래가격을 배분하고 있습니다. 각 수행의무의 개별판매가격이 없는 경우에는 예상원가 이윤 가산접근법 등을 고려하여 개별판매가격을 적절하게 추정하고 있습니다.
⑤ 수익인식
당사는 계약개시 시점에 해당 계약과 관련하여 수행의무를 이행할 때 수익을 인식할
지 또는 수행의무를 이행하는 기간에 걸쳐 수익을 인식할지 여부를 판단하고 있습니
다. 계약의 성격에 따라 수행의무를 이행하는 기간에 걸쳐 인식하거나 의무가 이행되는 한 시점에 일시에 인식하고 있습니다. 라이선스를 이전하는 시점에 고객이 라이선스의 사용을 지시할 수 있고 라이선스에서 생기는 나머지 효익의 대부분을 획득할 수있는 경우 한 시점에 이행하는 수행의무로 회계처리합니다.
(13) 종업원급여
① 단기종업원급여
종업원이 관련 근무용역을 제공한 보고기간의 말부터 12개월 이내에 결제될 단기종업원급여는 근무용역과 교환하여 지급이 예상되는 금액을, 근무용역이 제공된 때에 당기손익으로 인식하고 있습니다. 단기종업원급여는 할인하지 않은 금액으로 측정하고 있습니다.
② 퇴직급여: 확정기여제도
확정기여제도와 관련하여 일정기간 종업원이 근무용역을 제공하였을 때에는 그 근무용역과 교환하여 확정기여제도에 납부해야 할 기여금에 대하여 자산의 원가에 포함하는 경우를 제외하고는 당기손익으로 인식하고 있습니다. 납부해야 할 기여금은 이미 납부한 기여금을 차감한 후 부채(미지급비용)로 인식하고 있습니다.
(14) 주식기준보상
당사는 제공받는 재화나 용역의 대가로 종업원에게 주식이나 주식선택권을 부여하는주식결제형 주식보상거래에 대하여 제공받는 재화나 용역의 공정가치 또는 제공받는재화나 용역의 공정가치를 신뢰성있게 측정할 수 없다면 부여한 지분상품의 공정가치에 기초하여 재화나 용역의 공정가치를 간접 측정하고 그 금액을 가득기간 동안에 종업원급여(당기비용)와 자본으로 인식하고 있습니다. 주식선택권의 가득조건이 용역제공조건 또는 시장조건이 아닌 가득조건인 경우에는 궁극적으로 가득되는 주식선택권의 실제 수량에 기초하여 결정되도록 인식된 종업원비용을 조정하고 있습니다.
회사는 종업원으로부터 용역을 제공받은 대가로, 주식선택권의 시가와 행사가격의 차이를 보상하는 현금결제형 주식기준보상제도를 운영하고 있습니다. 가득기간 동안 비용으로 인식될 총 금액은 용역제공조건을 고려하여 부여한 주식선택권의 공정가치에 기초하여 결정됩니다. 또한, 부채가 결제될 때까지 매 보고기간말과 결제일에 부채의 공정가치는 재측정되고, 공정가치의 변동액은 당기손익으로 인식됩니다.
(15) 외화
당사의 재무제표 작성에 있어서 당사의 기능통화 외의 통화(외화)로 이루어진 거래는거래일의 환율을 적용하여 기록하고 있습니다. 매 보고기간말에 화폐성 외화항목은 보고기간말의 마감환율로 환산하고 있습니다. 공정가치로 측정하는 비화폐성 외화항목은 공정가치가 결정된 날의 환율로 환산하고, 역사적원가로 측정하는 비화폐성 외화항목은 거래일의 환율로 환산하고 있습니다.
화폐성 외화항목의 결제시점에 생기는 외환차이와 화폐성 외화항목의 환산으로 인해발생한 외환차이는 모두 당기손익으로 인식하고 있습니다. 비화폐성 외화항목에서 발생한 손익을 기타포괄손익으로 인식하는 경우에는 그 손익에 포함된 환율변동효과도 기타포괄손익으로 인식하고, 당기손익으로 인식하는 경우에는 환율변동효과도 당기손익으로 인식하고 있습니다.
(16) 금융수익과 비용
당사의 금융수익과 금융비용은 다음으로 구성되어 있습니다.
- 이자수익
- 이자비용
- 당기손익-공정가치로 측정하는 금융자산에 대한 순손익
이자수익 혹은 이자비용은 유효이자율법을 사용하여 인식하였습니다. 유효이자율은 금융상품의 기대존속기간에 추정되는 미래현금지급액이나 수취액의 현재가치를 금융자산의 총 장부금액이나 금융부채의 상각후원가와 정확하게 일치시키는 이자율입니다.
이자수익이나 이자비용을 계산할 때, 유효이자율은 자산의 총장부금액(해당 자산의 신용이 손상되지 않은 경우)이나 부채의 상각후원가에 적용됩니다. 그러나, 최초 인식 이후에 후속적으로 신용이 손상된 금융자산에 대해서는 이자수익은 해당 금융자산의 상각후원가에 유효이자율을 적용하여 계산합니다. 만일 해당 자산이 더는 신용이 손상된 것으로 볼 수 없다면 총 장부금액에 유효이자율을 적용하여 이자수익을 계산합니다.
(17) 법인세
법인세비용은 당기법인세와 이연법인세로 구성되어 있으며, 기타포괄손익이나 자본에 직접 인식되는 거래나 사건 또는 사업결합에서 발생하는 세액을 제외하고는 당기손익으로 인식하고 있습니다.
① 당기법인세
당기법인세는 당기의 과세소득을 기초로 산정하고 있습니다. 과세소득은 포괄손익계산서상의 법인세비용차감전순이익에서 다른 과세기간에 가산되거나 차감될 손익 및 비과세항목이나 손금불인정항목을 제외하므로 포괄손익계산서상 손익과 차이가 있습니다. 당사의 당기법인세와 관련된 부채는 제정되었거나 실질적으로 제정된 세율을 사용하여 계산하고 있습니다. 경영진은 적용 가능한 세법 규정이 해석에 따라 달라질 수 있는 상황에 대하여 회사가 세무신고 시 적용한 세무정책에 대하여 주기적으로 평가하고 있으며, 세무당국이 불확실한 법인세 처리를 수용할 가능성이 높은지 고려합니다. 회사는 법인세 측정 시 가장 가능성이 높은 금액 또는 기댓값 중 불확실성의 해소를 더 잘 예측할 것으로 예상되는 방법을 사용하여 불확실성의 영향을 반영합니다.
② 이연법인세
이연법인세자산과 이연법인세부채를 측정할 때에는 보고기간말에 당사가 관련 자산과 부채의 장부금액을 회수하거나 결제할 것으로 예상되는 방식에 따른 세효과를 반영하고 있습니다. 지분법투자지분에 관한 가산할 일시적차이에 대해서는 당사가 일시적차이의 소멸시점을 통제할 수 있으며, 예측가능한 미래에 일시적차이가 소멸하지 않을 가능성이 높은 경우를 제외하고는 모두 이연법인세부채를 인식하고 있습니다. 또한, 차감할 일시적차이로 인하여 발생하는 이연법인세자산은 일시적차이가 예측가능한 미래에 소멸할 가능성이 높고, 일시적차이가 사용될 수 있는 기간에 과세소득이 발생할 가능성이 높은 경우에 인식하고 있습니다.
미사용 세무상결손금과 세액공제, 차감할 일시적 차이가 사용될 수 있는 미래 과세소득의 발생가능성이 높은 경우 그 범위 안에서 이월된 미사용 세무상결손금과 세액공제, 차감할 일시적차이에 대하여 이연법인세자산을 인식합니다. 미래 과세소득은 관련 가산할 일시적차이의 소멸에 의해 결정됩니다. 가산할 일시적차이가 이연법인세자산을 완전히 인식하기에 충분하지 않다면, 현재 일시적차이들의 소멸과 당사의 사업계획을 미래 과세소득에 고려합니다.
이연법인세자산의 장부금액은 매 보고기간말에 검토하고, 이연법인세자산으로 인한 혜택이 사용되기에 충분한 과세소득이 발생할 가능성이 더 이상 높지 않은 경우 이연법인세자산의 장부금액을 감소시키고 있습니다.
이연법인세자산과 부채는 보고기간말 제정되었거나 실질적으로 제정된 세법에 근거하여 당해 자산이 실현되거나 부채가 지급될 보고기간에 적용될 것으로 기대되는 세율을 사용하여 측정하고 있습니다. 이연법인세자산과 이연법인세부채를 측정할 때 보고기간말 현재 당사가 관련 자산과 부채의 장부금액을 회수하거나 결제할 것으로 예상되는 방식에 따라 법인세효과를 반영하고 있습니다.
이연법인세자산과 부채는 동일 과세당국이 부과하는 법인세이고, 당사가 인식된 금액을 상계할 수 있는 법적 권한을 가지고 있으며 당기 법인세부채와 자산을 순액으로결제할 의도가 있는 경우에만 상계하고 있습니다.
(18) 주당이익
당사는 보통주 기본주당이익과 희석주당이익을 당기순손익에 대하여 계산하고 포괄손익계산서에 표시하고 있습니다. 기본주당이익은 보통주에 귀속되는 당기순손익을 보고기간 동안에 유통된 보통주식수를 가중평균한 주식수로 나누어 계산하고 있습니다. 희석주당이익은 모든 희석효과가 있는 잠재적 보통주의 영향을 고려하여 보통주에 귀속되는 당기순손익 및 가중평균유통보통주식수를 조정하여 계산하고 있습니다.
(19) 재무제표 승인
회사의 재무제표는 2025년 2월 14일자로 이사회에서 승인됐으며, 정기주주총회에서수정승인 될 수 있습니다.
5. 부문정보
(1) 당사의 경영진은 부문에 자원을 배분하고 부문의 성과를 평가하기 위하여 당사의최고영업의사결정자에게 보고되는 정보에 기초하여 영업부문을 결정하고 있으며, 당사는 줄기세포사업부 보고부문을 가지고 있습니다.
| 사업부문 | 주요 재화 및 용역 |
|---|---|
| 줄기세포 사업부문 | 위탁연구개발, 화장품 제조 및 판매 |
(2) 당사의 당기 및 전기 부문별 수익은 아래와 같습니다.
| (단위 : 원) | ||
|---|---|---|
| 구분 | 당기 | 전기 |
| 줄기세포 사업부문 | ||
| 국내 | 775,819,541 | 503,814,666 |
| 국외 | 48,981,088 | 191,883,249 |
| 합계 | 824,800,629 | 695,697,915 |
6. 재고자산
당기말과 전기말 현재 재고자산의 내역은 다음과 같습니다.
| (단위: 원) | ||
|---|---|---|
| 구분 | 당기말 | 전기말 |
| 제품 | 253,414,820 | 281,060,705 |
| 원재료 | 80,700,000 | 90,000,000 |
| 부재료 | 16,146,175 | - |
| 재공품 | 184,763,785 | 21,000,000 |
| 합계 | 535,024,780 | 392,060,705 |
7. 지분법적용투자주식
(1) 당기말 현재 투자기업에 대한 지분율 현황 및 출자금액은 다음과 같습니다.
| (단위: 원) | |||||||||
|---|---|---|---|---|---|---|---|---|---|
| 투자기업명 | 주요 영업활동 | 소재지 | 결산월 | 당기말 | 전기말 | ||||
| 지분율 | 취득금액 | 장부금액 | 지분율 | 취득금액 | 장부금액 | ||||
| CoImmune, Inc. | 세포치료제 연구개발 | 미국 | 12월 | 23.88% | 26,339,623,660 | - | 23.88% | 26,339,623,660 | - |
(2) 전기 중 투자기업의 종목별 지분법평가내역은 다음과 같습니다.
| (단위: 원) | ||||||
|---|---|---|---|---|---|---|
| 투자기업명 | 전기초 | 취득 | 손상차손 | 지분법손익 | 지분법자본변동 | 전기말 |
| CoImmune, Inc. | 10,321,348,902 | - | (2,205,093,039) | (8,467,939,455) | 351,683,592 | - |
(3) 손상평가
회사는 전기 CoImmune, Inc.가 영업상황의 악화로 완전자본잠식되어 지분법적용투자주식의 회수가능성에 대한 불확실성이 매우 높아짐에 따라 손상차손을 인식하였습니다. 손상평가 수행 결과, 장부금액과 회수가능금액의 차이 2,205,093,039원을 손상차손으로 인식하였습니다.
8. 유형자산
(1) 당기말과 전기말 유형자산의 내역은 다음과 같습니다.
| (단위: 원) | ||||||
|---|---|---|---|---|---|---|
|
구분 |
당기말 |
전기말 |
||||
|
취득원가 |
상각누계액 |
장부금액 |
취득원가 |
상각누계액 |
장부금액 |
|
| 토지(*) | 13,647,996,000 | - | 13,647,996,000 | 6,967,498,403 | - | 6,967,498,403 |
| 건물(*) | 2,101,460,939 | (372,278,018) | 1,729,182,921 | 2,101,460,939 | (300,828,347) | 1,800,632,592 |
| 구축물 | 16,000,000 | (2,493,333) | 13,506,667 | 16,000,000 | (1,949,333) | 14,050,667 |
| 기계장치 | 2,819,154,837 | (2,593,101,445) | 226,053,392 | 2,804,754,837 | (2,435,863,358) | 368,891,479 |
| 공구와기구 | 387,259,091 | (330,962,882) | 56,296,209 | 387,259,091 | (288,443,331) | 98,815,760 |
| 비품 | 383,509,349 | (306,288,775) | 77,220,574 | 369,115,620 | (258,902,208) | 110,213,412 |
| 시설장치 | 555,658,244 | (541,308,244) | 14,350,000 | 555,658,244 | (486,407,244) | 69,251,000 |
| 건설중인자산 | 4,498,468,260 | - | 4,498,468,260 | 640,204,269 | - | 640,204,269 |
| 사용권자산 | 1,831,224,709 | (1,643,916,567) | 187,308,142 | 1,697,809,556 | (1,513,687,567) | 184,121,989 |
| 합계 | 26,240,731,429 | (5,790,349,264) | 20,450,382,165 | 15,539,760,959 | (5,286,081,388) | 10,253,679,571 |
(*) 당사 소유의 토지 및 건물은 기업은행 차입금과 관련하여 담보로 제공되어 있습니다(주석 11, 28 참조).
(2) 당기 및 전기의 유형자산 변동내역은 다음과 같습니다.
<당기>
| (단위: 원) | ||||||||||
|---|---|---|---|---|---|---|---|---|---|---|
| 구분 | 토지 | 건물 | 구축물 | 기계장치 | 공구와기구 | 비품 | 시설장치 | 건설중인자산 | 사용권자산 | 합 계 |
|
기초 장부금액 |
6,967,498,403 | 1,800,632,592 | 14,050,667 | 368,891,479 | 98,815,760 | 110,213,412 | 69,251,000 | 640,204,269 | 184,121,989 | 10,253,679,571 |
|
취득 |
- | - | - | 14,400,000 | - | 14,393,729 | - | 4,512,468,260 | 859,639,282 | 5,400,901,271 |
|
대체(*1) |
- | - | - | - | - | - | - | (472,504,269) | - | (472,504,269) |
| 감소(*2) | - | - | - | - | - | - | - | (181,700,000) | (501,629,101) | (683,329,101) |
| 재평가(*3) | 6,680,497,597 | - | - | - | - | - | - | - | - | 6,680,497,597 |
|
감가상각 |
- | (71,449,671) | (544,000) | (157,238,087) | (42,519,551) | (47,386,567) | (54,901,000) | - | (354,824,028) | (728,862,904) |
|
기말 장부금액 |
13,647,996,000 | 1,729,182,921 | 13,506,667 | 226,053,392 | 56,296,209 | 77,220,574 | 14,350,000 | 4,498,468,260 | 187,308,142 | 20,450,382,165 |
(*1) 당기 중 무형자산으로 대체된 금액입니다.
(*2) 당기 중 유형자산 폐기 및 리스변경으로 인한 감소액입니다.
(*3) 회사는 토지에 대하여 재평가모형을 적용하고 있으며, 회사와 독립적이고 전문적 자격이 있는 평가기관이 산출한 감정가액을 이용하여 2024년 12월 31일을 재평가기준일로 토지를 재평가하였습니다. 평가는 표준지 공시지가를 기준으로 대상 토지의 현황에 맞게 조정하여 가격을 산정하는 공시지가기준법을 적용하고 독립적인 제3자와의 거래조건에 따른 최근 시장거래에 근거하여 평가한 가격으로 합리성을 검토하였습니다.
당기말 현재 토지의 재평가 후 금액은 13,647,996,000원이며, 역사적원가로 인식하는 경우 장부가액은 6,967,498,403원입니다.
<전기>
| (단위: 원) | ||||||||||
|---|---|---|---|---|---|---|---|---|---|---|
| 구분 | 토지 | 건물 | 구축물 | 기계장치 | 공구와기구 | 비품 | 시설장치 | 건설중인자산 | 사용권자산 | 합 계 |
|
기초 장부금액 |
6,967,498,403 | 1,872,082,263 | 14,594,667 | 650,655,991 | 160,507,945 | 132,005,750 | 141,763,880 | 577,314,319 | 133,426,659 | 10,649,849,877 |
|
취득 |
- | - | - | 59,772,727 | - | 28,954,545 | - | 146,839,983 | 199,605,254 | 435,172,509 |
|
대체 |
- | - | - | - | - | - | - | (18,200,033) | - | (18,200,033) |
| 감소 | - | - | - | - | - | - | - | (65,750,000) | - | (65,750,000) |
|
감가상각 |
- | (71,449,671) | (544,000) | (341,537,239) | (61,692,185) | (50,746,883) | (72,512,880) | - | (148,909,924) | (747,392,782) |
|
기말 장부금액 |
6,967,498,403 | 1,800,632,592 | 14,050,667 | 368,891,479 | 98,815,760 | 110,213,412 | 69,251,000 | 640,204,269 | 184,121,989 | 10,253,679,571 |
(3) 당기와 전기 중 발생한 감가상각비의 배부내역은 다음과 같습니다.
| (단위: 원) | ||
|---|---|---|
| 구분 | 당기 | 전기 |
| 판매관리비 | 73,231,925 | 87,787,676 |
| 경상연구개발비 | 642,782,209 | 656,284,637 |
| 매출원가 | 12,848,770 | 3,320,469 |
| 합계 | 728,862,904 | 747,392,782 |
(4) 토지에 대해 적용한 재평가모형의 내용은 다음과 같습니다.
당사는 토지에 대해 2024년도부터 최초로 후속측정을 재평가금액으로 인식하고 있으며, 재평가금액은 재평가일의 공정가치입니다. 당기말 토지의 공정가치는 당사와 관계없는 독립적인 (주)감정평가법인 대일감정원이 2024년 12월 4일에 수행한 평가에 근거하여 결정되었습니다. (주)감정평가법인 대일감정원은 감정평가협회의 구성원으로서 부동산의 평가와 관련하여 적절한 자격과 경험을 보유하고 있습니다.
(5) 당기말 현재 토지에 대한 공정가치의 수준별 측정치는 다음과 같습니다.
| (단위: 원) | ||||
|---|---|---|---|---|
| 구분 | 수준1 | 수준2 | 수준3 | 합계 |
| 토지 | - | - | 13,647,996,000 | 13,647,996,000 |
(6) 토지의 공정가치 측정에 사용된 가치평가기법과 투입변수 등에 대한 내용은 다음과 같습니다.
| 가치평가기법 | 유의적인 관측가능하지 않은 투입변수 | 관측가능하지 않은 투입변수와 공정가치측정치 간의 연관성 |
|---|---|---|
| 공시지가기준평가법 : 측정대상 토지와 인근한 토지의 표준지공시지가를 기초로 하여 결정하되, 공시지가 기준일과의 시점수정, 개별요인 및 그밖의 요인에 대한 보정치를 반영하여 공정가치를 측정 |
시점수정(지가변동률 등) | 지가변동률 등이 상승(하락)하면 공정가치는 증가(감소) |
| 개별요인(획지 조건 등) | 획지 조건 등의 보정치가 증가(감소)하면 공정가치는 증가(감소) | |
| 그 밖의 요인(지가수준 등) | 지가수준 등에 대한 보정치가 증가(감소)하면 공정가치는 증가(감소) |
(7) 당기 중 토지의 재평가모형의 적용과 관련된 변동내역은 다음과 같습니다.
| (단위: 원) | ||
|---|---|---|
| 기초 | 재평가 증가 | 기말 |
| 6,967,498,403 | 6,680,497,597 | 13,647,996,000 |
(8) 당기말 현재 재무제표에 기표되지 않은 유형자산의 취득을 위한 약정액은 다음과 같습니다.
| (단위: 원) | ||||
|---|---|---|---|---|
| 구분 | 약정액 | 기지급액 | 미지급 약정액 | 비고 |
| 토지 및 건물 | 4,450,000,000 | 467,291,060 | 3,982,708,940 | GMP제조소 부동산 |
| 시설장치 | 4,782,000,000 | 4,014,600,000 | 767,400,000 | GMP제조소 설비 |
| 합계 | 9,232,000,000 | 4,481,891,060 | 4,750,108,940 | |
(9) 당기말 현재 기초자산의 유형별 사용권자산의 내역은 다음과 같습니다.
<당기>
| (단위: 원) | ||||
|---|---|---|---|---|
| 구분 | 건물 | 시설장치 | 차량운반구 | 합계 |
| 기초 장부금액 | 86,909,209 | 18,192,660 | 79,020,120 | 184,121,989 |
| 취득 | 859,639,282 | - | - | 859,639,282 |
| 감소 | (501,629,101) | - | - | (501,629,101) |
| 감가상각 | (311,163,314) | (10,915,620) | (32,745,094) | (354,824,028) |
| 기말 장부금액 | 133,756,076 | 7,277,040 | 46,275,026 | 187,308,142 |
<전기>
| (단위: 원) | ||||
|---|---|---|---|---|
| 구분 | 건물 | 시설장치 | 차량운반구 | 합계 |
| 기초 장부금액 | 340,917 | 29,108,280 | 103,977,462 | 133,426,659 |
| 취득 | 171,496,805 | - | 28,108,449 | 199,605,254 |
| 감가상각 | (84,928,513) | (10,915,620) | (53,065,791) | (148,909,924) |
| 기말 장부금액 | 86,909,209 | 18,192,660 | 79,020,120 | 184,121,989 |
(10) 당기 리스계약과 관련하여 손익으로 인식된 금액은 다음과 같습니다.
| (단위: 원) | ||
|---|---|---|
| 구분 | 당기 | 전기 |
| 사용권자산 감가상각비 | 354,824,028 | 148,909,924 |
| 리스부채 이자비용 | 20,091,934 | 8,441,976 |
| 복구충당부채 이자비용 | 11,692,427 | - |
| 단기리스 관련 비용 | 84,160,400 | 117,249,850 |
| 소액자산리스 관련 비용 | 22,172,350 | 19,335,179 |
당기 및 전기 중 리스의 총 현금유출은 각각 312,852,506원 및 293,933,479원입니다
(11) 연장선택권
일부 부동산 리스는 회사가 계약의 해지불능기간 종료 전에 리스기간을 1년 연장할 수 있는 선택권을 포함합니다. 회사는 운영의 효율성을 위하여 가능하면 새로운 리스계약에 연장선택권을 포함하려고 노력합니다. 연장선택권은 회사만 행사할 수 있고, 리스제공자는 행사할 수 없습니다. 회사는 리스개시일에 연장선택권을 행사할 것이 상당히 확실한지 평가합니다. 회사는 통제 가능한 범위에 있는 유의적인 사건이 일어나거나 상황에 유의적인 변화가 있을 때 연장선택권을 행사할 것이 상당히 확실한지 다시 평가합니다.
9. 무형자산
(1) 당기말과 전기말 무형자산의 내역은 다음과 같습니다.
| (단위: 원) | ||||||
|---|---|---|---|---|---|---|
|
구분 |
당기말 |
전기말 |
||||
|
취득원가 |
상각누계액(*) |
장부금액 |
취득원가 |
상각누계액(*) |
장부금액 |
|
| 소프트웨어 | 65,029,000 | (55,403,332) | 9,625,668 | 63,994,000 | (49,355,998) | 14,638,002 |
|
특허권 |
810,768,195 | (487,761,169) | 323,007,026 | 587,985,597 | (375,812,710) | 212,172,887 |
|
상표권 |
107,116,321 | (24,287,342) | 82,828,979 | 22,054,314 | (11,933,267) | 10,121,047 |
| 건설중인자산 | 280,507,039 | - | 280,507,039 | - | - | - |
|
합계 |
1,263,420,555 | (567,451,843) | 695,968,712 | 674,033,911 | (437,101,975) | 236,931,936 |
(*) 손상차손누계액을 합산한 금액입니다.
(2) 당기와 전기의 무형자산 변동내역은 다음과 같습니다.
<당기>
| (단위: 원) | |||||
|---|---|---|---|---|---|
| 구분 | 소프트웨어 | 특허권 | 상표권 | 건설중인자산 |
합계 |
|
기초 장부금액 |
14,638,002 | 212,172,887 | 10,121,047 | - | 236,931,936 |
| 증가 | 1,035,000 | 43,816,039 | 2,736,226 | 218,619,414 | 266,206,679 |
| 대체 | - | 178,966,559 | 82,325,781 | 211,211,929 | 472,504,269 |
| 감소(*) | - | - | - | (149,324,304) | (149,324,304) |
|
상각 |
(6,047,334) | (111,948,459) | (12,354,075) | - | (130,349,868) |
|
기말 장부금액 |
9,625,668 | 323,007,026 | 82,828,979 | 280,507,039 | 695,968,712 |
(*) 당기 중 건설중인자산의 폐기 및 손상으로 인한 감소액이 포함되어 있습니다.
<전기>
| (단위: 원) | ||||
|---|---|---|---|---|
| 구분 | 소프트웨어 | 특허권 | 상표권 | 합계 |
|
기초 장부금액 |
18,753,335 | 273,158,252 | 10,822,602 | 302,734,189 |
| 증가 | 2,260,000 | 4,551,716 | 1,233,579 | 8,045,295 |
| 대체 | - | 16,068,465 | 2,131,568 | 18,200,033 |
|
상각 |
(6,375,333) | (81,605,546) | (4,066,702) | (92,047,581) |
|
기말 장부금액 |
14,638,002 | 212,172,887 | 10,121,047 | 236,931,936 |
(3) 당기와 전기 중 발생한 무형자산상각비의 배부내역은 다음과 같습니다.
| (단위: 원) | ||
|---|---|---|
| 구분 | 당기 | 전기 |
| 판매비와관리비 | 13,013,075 | 4,142,035 |
| 경상연구개발비 | 117,336,793 | 87,905,546 |
| 합계 | 130,349,868 | 92,047,581 |
당기 및 전기 중 비용으로 인식한 경상연구개발비 금액은 각각 7,595,841,849원 및 9,314,916,674원이며, 자산화된 연구개발비는 없습니다.
10. 고객과의 계약에서 생기는 수익 및 관련 계약부채
(1) 당기와 전기 중 매출액의 내역은 다음과 같습니다.
| (단위: 원) | ||
|---|---|---|
| 구분 | 당기 | 전기 |
| 제품매출 | 764,575,613 | 454,136,035 |
| 라이선스매출 | 60,225,016 | 241,561,880 |
| 합계 | 824,800,629 | 695,697,915 |
당사의 제품매출은 한 시점에 수행의무가 이행되는 것으로 보아 수익을 인식하고 있으며, 라이선스매출은 임상시험 기간에 걸쳐 수행의무가 이행되는 것으로 보아 진행률에 따른 수익을 인식하고 있습니다.
(2) 당기 및 전기 중 매출액의 10% 이상을 차지하는 고객은 다음과 같습니다.
| (단위: 원) | ||||
|---|---|---|---|---|
| 구분 | 당기 | 전기 | ||
| 금액 | 비율 | 금액 | 비율 | |
| A사 | 86,087,259 | 10.44% | 77,130,521 | 11.09% |
| B사 | 86,071,910 | 10.44% | 229,091 | 0.03% |
| C사 | 60,225,016 | 7.30% | 241,561,880 | 34.72% |
| D사 | - | - | 191,883,249 | 27.58% |
| 합계 | 232,384,185 | 28.18% | 510,804,741 | 73.42% |
(3) 당기말과 전기말 현재 고객과의 계약에서 생기는 수취채권과 계약부채는 다음과 같습니다.
| (단위: 원) | ||
|---|---|---|
| 구분 | 당기말 | 전기말 |
| 수취채권: | ||
| 매출채권 | 48,802,659 | 106,409,573 |
| 계약부채: | ||
| 계약부채 | - | 60,225,016 |
11. 차입금
당기말과 전기말 현재 당사의 차입금의 내역은 다음과 같습니다.
| (단위: 원) | ||||||||
|---|---|---|---|---|---|---|---|---|
| 구분 | 차입처 | 내역 | 차입일 | 만기일 | 당기말 연이자율(%) |
상환조건 | 당기말 | 전기말 |
| 장기차입금 | 기업은행 | 중소기업시설자금대출(*) | 2022.11.14. | 2025.11.14. | 5.90% | 만기일시상환 | 3,630,000,000 | 3,630,000,000 |
| 2024.11.15. | 2027.11.15. | 3.98% | 만기일시상환 | 3,150,052,200 | - | |||
| 차감: 유동성대체 | (3,630,000,000) | - | ||||||
| 합계 | 3,150,052,200 | 3,630,000,000 | ||||||
(*) 당사는 당기말 현재 동 차입금과 관련하여 당사의 유형자산을 담보로 제공하고 있습니다(주석 28 참조).
12. 충당부채
당기 및 전기 중 충당부채 변동내역은 다음과 같습니다. 충당부채는 모두 복구충당부채로 구성되어 있습니다.
| (단위: 원) | ||
|---|---|---|
| 구분 | 당기 | 전기 |
| 기초 | 157,455,172 | 157,455,172 |
| 전입 | 355,260,427 | - |
| 소멸 | (355,260,427) | - |
| 기말 | 157,455,172 | 157,455,172 |
| 유동부채 | 157,455,172 | 157,455,172 |
13. 자본금, 자본잉여금 및 자본조정
(1) 당기말과 전기말 현재 당사의 자본금의 내역은 다음과 같습니다.
| (단위: 원,주) | ||
|---|---|---|
| 구분 | 당기말 | 전기말 |
| 발행할 주식의 총수 | 100,000,000 | 100,000,000 |
| 1주당 액면가액 | 500 | 500 |
| 보통주 발행주식수 | 20,467,248 | 20,467,248 |
| 자본금 | 10,233,624,000 | 10,233,624,000 |
(2) 당기와 전기 보통주식수 및 보통주 자본금의 변동내역은 다음과 같습니다.
| (단위: 원) | ||||
|---|---|---|---|---|
| 구분 | 당기 | 전기 | ||
| 보통주식수 | 보통주자본금 | 보통주식수 | 보통주자본금 | |
| 기초 | 20,467,248 | 10,233,624,000 | 12,120,570 | 6,060,285,000 |
| 유상증자 | - | - | 4,800,000 | 2,400,000,000 |
| 무상증자 | - | - | 3,411,208 | 1,705,604,000 |
| 주식선택권 행사 | - | - | 135,470 | 67,735,000 |
| 기말 | 20,467,248 | 10,233,624,000 | 20,467,248 | 10,233,624,000 |
(3) 당기말과 전기말 현재 자본잉여금의 내역은 다음과 같습니다.
| (단위: 원) | ||
|---|---|---|
| 구분 | 당기말 | 전기말 |
| 주식발행초과금 | 174,134,365,114 | 174,134,278,453 |
| 기타자본잉여금 | 4,442,623,420 | 4,379,493,383 |
| 합계 | 178,576,988,534 | 178,513,771,836 |
(4) 당기 및 전기 중 자본잉여금의 변동내역은 다음과 같습니다.
| (단위: 원) | ||||||||
|---|---|---|---|---|---|---|---|---|
| 구분 | 당기 | 전기 | ||||||
| 주식발행초과금 | 주식선택권 | 기타자본잉여금 | 합계 | 주식발행초과금 | 주식선택권 | 기타자본잉여금 | 합계 | |
| 기초 | 174,134,278,453 | 4,883,058,706 | (503,565,323) | 178,513,771,836 | 158,846,045,576 | 4,755,748,181 | (503,565,323) | 163,098,228,434 |
| 유상증자 | - | - | - | - | 15,543,797,049 | - | - | 15,543,797,049 |
| 무상증자 | - | - | - | - | (1,729,190,209) | - | - | (1,729,190,209) |
| 주식선택권 행사 | - | - | - | - | 1,473,626,037 | (570,704,177) | - | 902,921,860 |
| 주식보상비용 | - | 63,130,037 | - | 63,130,037 | - | 698,014,702 | - | 698,014,702 |
| 기타 | 86,661 | - | - | 86,661 | - | - | - | - |
| 기말 | 174,134,365,114 | 4,946,188,743 | (503,565,323) | 178,576,988,534 | 174,134,278,453 | 4,883,058,706 | (503,565,323) | 178,513,771,836 |
(5) 당기말 현재 자본조정은 전액 자기주식입니다. 당사는 전기 중 6,638주를 16,561,810원에 취득하였습니다.
14. 기타포괄손익누계액
(1) 당기말과 전기말 현재 기타포괄손익누계액의 내역은 다음과 같습니다.
| (단위: 원) | ||
|---|---|---|
| 구분 | 당기말 | 전기말 |
| 지분법자본변동 | 2,729,797,011 | 2,729,797,011 |
| 재평가잉여금 | 6,019,128,335 | - |
| 합계 | 8,748,925,346 | 2,729,797,011 |
(2) 당기 및 전기의 기타포괄손익누계액의 변동내역은 다음과 같습니다.
<당기>
| (단위: 원) | |||
|---|---|---|---|
| 구분 | 기초 | 재평가(*) | 기말 |
| 지분법자본변동 | 2,729,797,011 | - | 2,729,797,011 |
| 재평가잉여금 | - | 6,019,128,335 | 6,019,128,335 |
| 합계 | 2,729,797,011 | 6,019,128,335 | 8,748,925,346 |
(*) 관련 법인세효과가 차감되어 있습니다.
<전기>
| (단위: 원) | |||
|---|---|---|---|
| 구분 | 기초 | 지분법 평가 | 기말 |
| 지분법자본변동 | 2,378,113,419 | 351,683,592 | 2,729,797,011 |
15. 결손금 및 결손금처리계산서
(1) 당기말과 전기말 현재 결손금의 구성내역은 다음과 같습니다.
| (단위: 원) | ||
|---|---|---|
| 구분 | 당기말 | 전기말 |
| 미처리결손금 | 183,364,155,384 | 170,987,087,373 |
(2) 당기의 결손금처리계산서(안)는 2025년 3월 31일 주주총회에서 처리될 예정이며(전기처리확정일: 2024년 3월 28일), 당기 및 전기의 결손금처리계산서는 다음과 같습니다.
| (단위: 원) | ||||
|---|---|---|---|---|
| 구분 | 당기말 | 전기말 | ||
| I.미처리결손금 | 183,364,155,384 | 170,987,087,373 | ||
| 1.전기이월미처리결손금 | 170,987,087,373 | 147,025,665,341 | ||
| 2.당기순손실(이익) | 12,377,068,011 | 23,961,422,032 | ||
| II.결손금처리액 | - | - | ||
| III.차기이월미처리결손금 | 183,364,155,384 | 170,987,087,373 | ||
16. 퇴직급여
당기 중 확정기여제도와 관련해 비용으로 인식한 퇴직급여 중 85,559,715원(전기: 95,108,593원)은 판매비와관리비에 195,325,028원(전기: 223,221,688원)은 경상연구개발비에 포함되어 있습니다.
17. 주식기준보상
(1) 당사의 주주총회 결의에 의거하여 당사의 임직원에게 부여하고 있는 주식선택권의 세부내역은 다음과 같습니다.
| 구분 | 3차 | 4차 | 5 차 |
|---|---|---|---|
| 주식의 종류 | 기명식 보통주식 | 기명식 보통주식 | 기명식 보통주식 |
| 부여방법 | 보통주 신주발행 | 보통주 신주발행 | 보통주 신주발행 |
| 가득조건 및 행사가능시점 |
부여일 이후 2년 이상 당사의 임원으로 재직한 자에 한해 행사가 가능하며 2년 경과시점에서 7년 이내 최초 부여주식의 100%를 행사할 수 있음 | 부여일 이후 2년 이상 당사의 임직원으로 재직한 자에 한해 행사가능하며, 3년 경과 시점에서 최초부여주식의 40%, 4년 경과 시점에서 70%, 5년 경과 시점에서 7년 이내 100%를 행사할 수 있음 | 부여일 이후 2년 이상 당사의 임직원으로 재직한 자에 한해 행사가능하며, 3년 경과 시점에서 최초부여주식의 40%, 4년 경과 시점에서 70%, 5년 경과 시점에서 7년 이내 100%를 행사할 수 있음 |
| 부여일 | 2018-05-15 | 2018-06-15 | 2019-01-18 |
| 조정 전 행사가격 | 7,000원 | 7,250원 | 9,000원 |
| 조정 후 행사가격(*) | 5,088원 | 5,238원 | 6,285원 |
| 최초 부여수량 | 250,000주 | 278,000주 | 26,000주 |
| 구분 | 6차 | 7차 | 8차 | 9차 |
|---|---|---|---|---|
| 주식의 종류 | 기명식 보통주식 | 기명식 보통주식 | 기명식 보통주식 | 기명식 보통주식 |
| 부여방법 | 보통주 신주발행 | 보통주 신주발행 | 보통주 신주발행 | 보통주 신주발행 또는 현금차액보상 |
| 가득조건 및 행사가능시점 |
부여일 이후 2년 이상 당사의 임직원으로 재직한 자에 한해 행사가능하며, 3년 경과 시점에서 최초부여주식의 40%, 4년 경과 시점에서 70%, 5년 경과 시점에서 7년 이내 100%를 행사할 수 있음 | 부여일 이후 2년 이상 당사의 임원으로 재직한 자에 한해 행사가 가능하며 2년 경과시점에서 7년 이내 최초 부여주식의 100%를 행사할 수 있음 | 부여일 이후 2년 이상 당사의 임직원으로 재직한 자에 한해 행사가능하며, 3년 경과 시점에서 최초부여주식의 40%, 4년 경과 시점에서 70%, 5년 경과 시점에서 7년 이내 100%를 행사할 수 있음 | 부여일 이후 2년 이상 당사의 임원으로 재직한 자에 한해 행사가 가능하며 2년 경과시점에서 7년이내 최초 부여주식의 100%를 행사할 수 있음 |
| 부여일 | 2019-03-29 | 2019-07-17 | 2019-09-20 | 2020-06-30 |
| 조정 전 행사가격 | 10,000원 | 11,000원 | 14,000원 | 30,400원 |
| 조정 후 행사가격(*) | 6,885원 | 7,483원 | 9,280원 | 19,100원 |
| 최초 부여수량 | 160,000주 | 98,874주 | 80,000주 | 383,701주 |
| 구분 | 10차 | 11차 | 12차 | 13차 |
|---|---|---|---|---|
| 주식의 종류 | 기명식 보통주식 | 기명식 보통주식 | 기명식 보통주식 | 기명식 보통주식 |
| 부여방법 | 보통주 신주발행 | 보통주 신주발행 | 보통주 신주발행 | 보통주 신주발행 |
| 가득조건 및 행사가능시점 |
부여일 이후 2년 이상 당사의 임직원으로 재직한 자에 한해 행사가능하며, 3년 경과 시점에서 최초부여주식의 50%, 4년 경과 시점에서 80%, 5년 경과 시점에서 7년 이내 100%를 행사할 수 있음 | 부여일 이후 2년 이상 당사의 임직원으로 재직한 자에 한해 행사가능하며, 3년 경과 시점에서 최초부여주식의 50%, 4년 경과 시점에서 80%, 5년 경과 시점에서 7년 이내 100%를 행사할 수 있음 | 부여일 이후 2년 이상 당사의 임직원으로 재직한 자에 한해 행사가능하며, 3년 경과 시점에서 최초부여주식의 50%, 4년 경과 시점에서 80%, 5년 경과 시점에서 7년 이내 100%를 행사할 수 있음 | 부여일 이후 2년 이상 당사의 임직원으로 재직한 자에 한해 행사가능하며, 3년 경과 시점에서 최초부여주식의 50%, 4년 경과 시점에서 80%, 5년 경과 시점에서 7년 이내 100%를 행사할 수 있음 |
| 부여일 | 2021-03-26 | 2021-08-13 | 2021-11-12 | 2022-02-08 |
| 조정 전 행사가격 | 36,260원 | 30,409원 | 20,566원 | 17,705원 |
| 조정 후 행사가격(*) | 22,609원 | 19,105원 | 13,211원 | 11,498원 |
| 최초 부여수량 | 66,000주 | 49,000주 | 12,000주 | 9,000주 |
| 구분 | 14차 | 15차 | 16차 | 17차 |
|---|---|---|---|---|
| 주식의 종류 | 기명식 보통주식 | 기명식 보통주식 | 기명식 보통주식 | 기명식 보통주식 |
| 부여방법 | 보통주 신주발행 | 보통주 신주발행 | 보통주 신주발행 | 보통주 신주발행 |
| 가득조건 및 행사가능시점 |
부여일 이후 2년 이상 당사의 임직원으로 재직한 자에 한해 행사가능하며, 3년 경과 시점에서 최초부여주식의 50%, 4년 경과 시점에서 80%, 5년 경과 시점에서 7년 이내 100%를 행사할 수 있음 | 부여일 이후 2년 이상 당사의 임직원으로 재직한 자에 한해 행사가능하며, 3년 경과 시점에서 최초부여주식의 50%, 4년 경과 시점에서 80%, 5년 경과 시점에서 7년 이내 100%를 행사할 수 있음 | 부여일 이후 2년 이상 당사의 임직원으로 재직한 자에 한해 행사가능하며, 3년 경과 시점에서 최초부여주식의 50%, 4년 경과 시점에서 80%, 5년 경과 시점에서 7년 이내 100%를 행사할 수 있음 | 부여일 이후 2년 이상 당사의 임직원으로 재직한 자에 한해 행사가능하며, 3년 경과 시점에서 최초부여주식의 50%, 4년 경과 시점에서 80%, 5년 경과 시점에서 7년 이내 100%를 행사할 수 있음 |
| 부여일 | 2022-05-13 | 2022-09-30 | 2022-12-29 | 2023-02-28 |
| 조정 전 행사가격 | 10,900원 | 7,896원 | 12,575원 | 10,810원 |
| 조정 후 행사가격(*) | 7,423원 | 5,625원 | 8,426원 | 7,370원 |
| 최초 부여수량 | 41,000주 | 30,000주 | 12,000주 | 10,000주 |
| 구분 | 18차 | 19차 |
|---|---|---|
| 주식의 종류 | 기명식 보통주식 | 기명식 보통주식 |
| 부여방법 | 보통주 신주발행 | 보통주 신주발행 |
| 가득조건 및 행사가능시점 |
부여일 이후 2년 이상 당사의 임직원으로 2년 경과 시점에서 최초부여주식의 50%, 3년 경과 시점에서 80%, 4년 경과 시점에서 6년 이내 100%를 행사할 수 있음 | 부여일 이후 2년 이상 당사의 임직원으로 재직한 자에 한해 행사가능하며, 3년 경과 시점에서 최초부여주식의 50%, 4년 경과 시점에서 80%, 5년 경과 시점에서 7년 이내 100%를 행사할 수 있음 |
| 부여일 | 2023-03-29 | 2023-06-09 |
| 조정 전 행사가격 | 9,883원 | 11,529원 |
| 조정 후 행사가격(*) | 6,815원 | 7,800원 |
| 최초 부여수량 | 55,000주 | 22,000주 |
(*) 전기 유상증자, 무상증자 실시로 인하여 행사가격이 조정되었습니다.
(2) 당사의 주식선택권의 수량의 변동은 다음과 같습니다.
| (단위:원, 주) | ||||
|---|---|---|---|---|
|
구분 |
당기 | 전기 | ||
| 주식선택권 수량 | 가중평균행사가격 | 주식선택권 수량 | 가중평균행사가격 | |
| 기초 | 1,289,826 | 7,914 | 999,798 | 11,736 |
| 부여 | - | - | 87,000 | 10,406 |
| 행사 | - | - | (135,470) | 7,180 |
| 소멸 | (80,764) | 4,908 | (68,545) | 21,278 |
| 기타(*) | (159,776) | 11,595 | 407,043 | 8,563 |
| 기말 | 1,049,286 | 7,584 | 1,289,826 | 7,914 |
| 행사가능 수량 | 820,608 | 7,364 | 981,070 | 6,984 |
(*) 전기 유상증자, 무상증자 실시로 인하여 행사가격이 조정되었습니다.
당기말 현재 미행사된 주식선택권의 행사가격은 5,088원부터 22,609원 사이에 있으며, 가중평균 잔여만기는 1.55년입니다. 당기 중 행사된 주식선택권은 없습니다.
(3) 당사는 주식선택권의 보상원가를 이항모형을 이용한 공정가치접근법을 적용하여 산정했으며, 보상원가를 산정하기 위한 제반 가정 및 변수는 다음과 같습니다.
| 구 분 | 3차 | 4차 | 5차 | 6차 | 7차 | 8차 | 9차 | 10차 |
|---|---|---|---|---|---|---|---|---|
|
주식선택권의 가중평균 |
4,316 | 4,142 | 6,074 | 5,547 | 6,415 | 5,667 | 80 | 16,933 |
|
부여일의 가중평균 주가(*1) |
8,520 | 8,520 | 11,949 | 12,096 | 15,323 | 15,323 | 1,891 | 35,900 |
|
주가변동성(*2) |
38.00% | 37.00% | 37.00% | 35.00% | 23.00% | 29.00% | 78.60% | 43.00% |
|
배당수익률 |
- | - | - | - | - | - | - | - |
|
무위험수익률 |
2.60% | 2.50% | 1.90% | 1.71% | 1.45% | 1.40% | 2.62% | 1.74% |
| 구 분 | 11차 | 12차 | 13차 | 14차 | 15차 | 16차 | 17차 | 18차 | 19차 |
|---|---|---|---|---|---|---|---|---|---|
|
주식선택권의 가중평균 |
10,815 | 7,025 | 6,946 | 4,739 | 3,276 | 9,129 | 4,029 | 3,463 | 2,974 |
|
부여일의 가중평균 주가(*1) |
29,200 | 17,700 | 15,350 | 10,900 | 6,330 | 15,150 | 9,350 | 9,610 | 9,640 |
|
주가변동성(*2) |
34.00% | 39.00% | 45.00% | 39.00% | 51.00% | 50.00% | 48.05% | 40.27% | 34.77% |
|
배당수익률 |
- | - | - | - | - | - | - | - | - |
|
무위험수익률 |
1.63% | 2.04% | 2.30% | 2.93% | 3.92% | 3.32% | 3.26% | 3.04% | 3.17% |
(*1) 9차 주식선택권은 차액보상형 주식선택권으로 보고기간말 현재 공정가치가액입니다.
(*2) 주가변동성은 이동평균방법을 적용한 유사 동종 업종 변동성을 적용하였습니다.
(4) 당기 및 전기 중 비용으로 인식한 주식기준보상 내역은 다음과 같습니다.
| (단위: 원) | ||
|---|---|---|
| 구분 | 당기 | 전기 |
| 판매비와관리비 | (61,788,573) | 355,039,876 |
| 경상연구개발비 | 103,745,813 | 259,000,324 |
| 합계 | 41,957,240 | 614,040,200 |
18. 판매비와관리비
당기 및 전기 중 판매비와관리비의 내역은 다음과 같습니다.
| (단위: 원) | ||
|---|---|---|
| 구분 | 당기 | 전기 |
| 급여 | 1,243,542,902 | 1,320,559,048 |
| 퇴직급여 | 85,559,715 | 95,108,593 |
| 복리후생비 | 271,804,675 | 286,817,660 |
| 여비교통비 | 189,484,521 | 107,735,236 |
| 접대비 | 34,615,464 | 49,196,485 |
| 통신비 | 22,271,317 | 19,818,665 |
| 전력비 | 30,407,828 | 28,621,407 |
| 세금과공과금 | 32,674,350 | 32,181,840 |
| 감가상각비 | 73,231,925 | 87,787,676 |
| 지급임차료 | 105,774,686 | 139,748,605 |
| 수선비 | 5,775,910 | 6,611,214 |
| 보험료 | 18,054,864 | 11,806,957 |
| 차량유지비 | 7,673,524 | 15,928,440 |
| 경상연구개발비 | 7,595,841,849 | 9,314,916,674 |
| 운반비 | 97,506,126 | 6,945,142 |
| 교육훈련비 | 127,349,384 | 12,299,580 |
| 도서인쇄비 | 13,182,305 | 7,480,348 |
| 사무용품비 | 10,350,467 | 16,291,541 |
| 소모품비 | 26,614,867 | 59,787,925 |
| 지급수수료 | 1,444,496,886 | 1,073,705,003 |
| 광고선전비 | 208,178,741 | 278,128,522 |
| 무형자산상각비 | 13,013,075 | 4,142,035 |
| 주식보상비용 | (61,788,573) | 355,039,876 |
| 기타 | 38,636,365 | 5,710,328 |
| 합계 | 11,634,253,173 | 13,336,368,800 |
19. 성격별비용
당기와 전기 중 비용의 성격별 분류의 내역은 다음과 같습니다.
| (단위: 원) | ||
|---|---|---|
| 구분 | 당기(*) | 전기(*) |
| 종업원급여 | 4,508,818,056 | 5,148,782,605 |
| 감가상각비 및 무형자산상각비 | 859,212,772 | 839,440,363 |
| 지급수수료 | 3,809,421,596 | 4,208,753,008 |
| 소모품비 | 1,089,164,376 | 1,535,601,425 |
| 여비교통비 | 219,324,807 | 137,353,761 |
| 지급임차료 | 183,562,280 | 214,165,135 |
| 기타 | 1,463,049,394 | 1,609,269,804 |
| 합계 | 12,132,553,281 | 13,693,366,101 |
(*) 포괄손익계산서상의 매출원가와 판매비와관리비를 합산한 금액입니다.
20. 금융수익과 금융비용
(1) 당기와 전기의 금융수익 내역은 다음과 같습니다.
| (단위: 원) | ||
|---|---|---|
| 구분 | 당기 | 전기 |
| 이자수익 | 238,718,334 | 86,833,744 |
| 단기투자자산평가이익 | 6,062,057 | 2,488,032 |
| 합계 | 244,780,391 | 89,321,776 |
(2) 당기와 전기의 금융비용 내역은 다음과 같습니다.
| (단위: 원) | ||
|---|---|---|
| 구분 | 당기 | 전기 |
| 이자비용 | 259,950,791 | 312,568,184 |
| 단기투자자산평가손실 | 6,964,961 | - |
| 장기투자자산평가손실 | 1,085,453,119 | 61,646,881 |
| 합계 | 1,352,368,871 | 374,215,065 |
21. 기타수익과 기타비용
(1) 당기와 전기의 기타수익 내역은 다음과 같습니다.
| (단위: 원) | ||
|---|---|---|
| 구분 | 당기 | 전기 |
| 외환차익 | 695,044 | 3,062,433 |
| 리스변경이익 | 170,785,316 | - |
| 잡이익 | 20,315,971 | 11,893,000 |
| 합계 | 191,796,331 | 14,955,433 |
(2) 당기와 전기의 기타비용 내역은 다음과 같습니다.
| (단위: 원) | ||
|---|---|---|
| 구분 | 당기 | 전기 |
| 외환차손 | - | 2,349,055 |
| 기부금 | 10,000,000 | 16,000,000 |
| 유형자산폐기손실 | 181,700,000 | - |
| 무형자산폐기손실 | 85,350,615 | - |
| 무형자산손상차손 | 65,272,489 | - |
| 잡손실 | 472,569,368 | 2,434,441 |
| 합계 | 814,892,472 | 20,783,496 |
22. 법인세비용(수익)
(1) 당기 및 전기 중 인식할 법인세비용(수익)은 다음과 같습니다.
| (단위: 원) | ||
|---|---|---|
| 구분 | 당기 | 전기 |
| 당기법인세비용 | ||
| 당기법인세 | - | - |
| 이연법인세비용 | ||
| 일시적차이의 발생과 소멸 | (661,369,262) | - |
| 합계 | (661,369,262) | - |
(2) 당사의 법인세비용차감전순손실에 대한 법인세수익과 당사에 적용되는 가중평균세율을 사용하여 이론적으로 계산된 금액과의 차이는 다음과 같습니다.
| (단위: 원) | ||
|---|---|---|
| 구분 | 당기 | 전기 |
| 법인세비용차감전순손실 | 13,038,437,273 | 23,961,422,032 |
| 적용세율에 따른 세부담액 | 1,290,805,290 | 5,007,937,205 |
| 조정사항: | ||
| 세무상 과세되지 않는 수익 및 비용 | (56,851,161) | (219,567,311) |
| 미인식 이연법인세자산의 변동 | (637,070,424) | (5,322,629,603) |
| 전기 미인식 이연법인세자산의 당기인식 효과 | 661,369,262 | |
| 자본에 직접 반영하는 법인세비용 | (661,369,262) | - |
| 기타 | 64,485,557 | 534,259,709 |
| 조정사항 계 | (629,436,028) | (5,007,937,205) |
| 법인세수익(비용) | 661,369,262 | - |
| 유효세율(*) |
- | - |
(*) 당기와 전기 법인세비용차감전순손실이 발생하여 유효세율을 산출하지 아니하였습니다.
(3) 당기 및 전기 중 당기손익 이외로 인식되는 항목과 관련된 이연법인세는 다음과 같습니다.
| (단위: 원) | ||
|---|---|---|
| 구분 | 당기 | 전기 |
| 이연법인세 | ||
| 재평가잉여금 | 661,369,262 | - |
| 자본에 직접 반영된 법인세비용(수익) | 661,369,262 | - |
(4) 당기와 전기 중 동일과세당국과 관련된 금액을 상계하기 이전의 일시적차이 및 이연법인세자산과 부채의 변동은 다음과 같습니다.
① 당기
| (단위: 원) | |||||||
|---|---|---|---|---|---|---|---|
| 구분 | 차감할(가산할)일시적차이 등 | 이연법인세자산(부채) | |||||
| 기초 | 증가 | 감소 | 기말 | 기초 | 적용세율변경(*1) | 기말 | |
| 지분법적용투자주식 | 32,825,928,095 | - | - | 32,825,928,095 | 6,860,618,972 | 3,249,766,881 | 3,249,766,881 |
| 단기금융상품 | (2,488,032) | 902,904 | (2,488,032) | 902,904 | (519,999) | (246,315) | 89,387 |
| 사용권자산 | (184,121,989) | (187,308,142) | (184,121,989) | (187,308,142) | (38,481,496) | (18,228,077) | (18,543,506) |
| 리스부채 | 188,065,217 | 186,376,018 | 188,065,217 | 186,376,018 | 39,305,630 | 18,618,456 | 18,451,226 |
| 충당부채 | 157,455,172 | 157,455,172 | 157,455,172 | 157,455,172 | 32,908,131 | 15,588,062 | 15,588,062 |
| 보증금 | 1,588,012 | 1,179,872 | 1,588,012 | 1,179,872 | 331,895 | 157,213 | 116,807 |
| 미지급비용 | 172,182,629 | 166,502,763 | 172,182,629 | 166,502,763 | 35,986,169 | 17,046,080 | 16,483,774 |
| 미수수익 | (19,783,233) | - | (19,783,233) | - | (4,134,696) | (1,958,540) | - |
| 장기미지급비용 | 25,008,871 | - | 21,172,797 | 3,836,074 | 5,226,854 | 2,475,878 | 379,771 |
| 기타 | 70,000,000 | 70,000,000 | 70,000,000 | 70,000,000 | 14,630,000 | 6,930,000 | 6,930,000 |
| 토지 | - | (6,680,497,597) | - | (6,680,497,597) | - | - | (661,369,262) |
| 장기투자자산 | - | 1,085,453,119 | - | 1,085,453,119 | - | - | 107,459,859 |
| 소 계 | 33,233,834,742 | (5,199,935,891) | 404,070,573 | 27,629,828,278 | 6,945,871,460 | 3,290,149,638 | 2,735,352,999 |
| 이월결손금 | 69,674,255,418 | 12,039,061,247 | - | 81,713,316,665 | 14,561,919,382 | 6,897,751,286 | 8,089,618,350 |
| 이월세액공제 | - | - | - | - | 4,915,233,082 | 4,915,233,082 | 5,571,871,512 |
| 이연법인세자산 인식 제외(*2) | - | - | - | - | 26,423,023,924 | 15,103,134,006 | 16,396,842,861 |
| 이연법인세자산 인식 대상 | - | - | - | - | - | - | - |
(*1) 당해 자산이 실현되거나 부채가 결제될 회계기간에 적용될 것으로 기대되는 세율을 변경하였습니다.
② 전기
| (단위: 원) | ||||||
|---|---|---|---|---|---|---|
| 구분 | 차감할(가산할)일시적차이 등 | 이연법인세자산(부채) | ||||
| 기초 | 증가 | 감소 | 기말 | 기초 | 기말 | |
| 지분법적용투자주식 | 22,504,579,193 | 10,321,348,902 | - | 32,825,928,095 | 4,725,961,631 | 6,860,618,972 |
| 단기금융상품 | 188,492,681 | (2,488,032) | 188,492,681 | (2,488,032) | 39,583,463 | (519,999) |
| 사용권자산 | (133,426,659) | (184,121,989) | (133,426,659) | (184,121,989) | (28,019,598) | (38,481,496) |
| 리스부채 | 139,109,399 | 188,065,217 | 139,109,399 | 188,065,217 | 29,212,974 | 39,305,630 |
| 충당부채 | 157,455,172 | 157,455,172 | 157,455,172 | 157,455,172 | 33,065,586 | 32,908,131 |
| 보증금 | 298,057 | 1,588,012 | 298,057 | 1,588,012 | 62,592 | 331,895 |
| 미지급비용 | 91,366,080 | 172,182,629 | 91,366,080 | 172,182,629 | 19,186,877 | 35,986,169 |
| 미수수익 | (18,739,726) | (19,783,233) | (18,739,726) | (19,783,233) | (3,935,342) | (4,134,696) |
| 장기미지급비용 | 108,983,373 | - | 83,974,502 | 25,008,871 | 22,886,508 | 5,226,854 |
| 기타 | 70,062,350 | 70,000,000 | 70,062,350 | 70,000,000 | 14,713,094 | 14,630,000 |
| 소 계 | 23,108,179,920 | 10,704,246,678 | 578,591,856 | 33,233,834,742 | 4,852,717,785 | 6,945,871,460 |
| 이월결손금 | 56,901,049,506 | 12,773,205,912 | - | 69,674,255,418 | 11,949,220,396 | 14,561,919,382 |
| 이월세액공제 | - | - | - | - | 4,732,021,946 | 4,915,233,082 |
| 이연법인세자산 인식 제외(*2) | - | - | - | - | 21,533,960,127 | 26,423,023,924 |
| 이연법인세자산 인식 대상 | - | - | - | - | - | - |
(*2) 이연법인세자산에 대한 미래 실현가능성은 당사의 성과, 전반적인 경제환경과 산업에 대한 전망, 향후 예상수익, 세액공제와 이월결손금의 공제가능기간 등 다양한요소들을 고려하여 평가합니다. 당사는 주기적으로 이러한 사항들을 검토하고 있으나 보고기간말 현재 차감할 일시적 차이 및 이월결손금과 관련된 법인세효과의 실현가능성이 확실하지 않다고 판단하여 이연법인세자산을 인식하지 않았습니다.
(5) 당기말과 전기말 현재 이연법인세자산으로 인식하지 않은 차감할 일시적 차이, 이월결손금 및 이월세액공제의 내역은 다음과 같습니다.
| (단위: 원) | |||
|---|---|---|---|
|
구분 |
당기말 | 전기말 |
사 유 |
| 차감할일시적차이 | 27,629,828,278 | 33,233,834,742 | 미래과세소득 발생여부 불확실 |
| 이월결손금(*1) | 81,713,316,665 | 69,674,255,418 | 미래과세소득 발생여부 불확실 |
| 이월세액공제(*2) | 5,571,871,512 | 4,915,233,082 | 미래과세소득 발생여부 불확실 |
(*1) 당기말과 전기말 현재 미사용결손금의 만료 시기는 다음과 같습니다.
| (단위: 원) | |||
|---|---|---|---|
| 구분 | 당기말 | 전기말 | 비고 |
| 2025년 | 150,262,826 | 150,262,826 | 2015년 발생분 |
| 2026년 | 3,877,143,633 | 3,877,143,633 | 2016년 발생분 |
| 2027년 | 4,900,051,117 | 4,900,051,117 | 2017년 발생분 |
| 2028년 | 7,592,352,251 | 7,592,352,251 | 2018년 발생분 |
| 2029년 | 10,360,698,364 | 10,360,698,364 | 2019년 발생분 |
| 2036년 | 17,511,643,876 | 17,511,643,876 | 2021년 발생분 |
| 2037년 | 12,508,897,439 | 12,508,897,439 | 2022년 발생분 |
| 2038년 | 12,773,205,912 | 12,773,205,912 | 2023년 발생분 |
| 2039년 | 12,039,061,247 | - | 2024년 발생분 |
| 합계 | 81,713,316,665 | 69,674,255,418 | |
(*2) 당기말과 전기말 현재 이월세액공제액의 만료 시기는 다음과 같습니다.
| (단위: 원) | |||
|---|---|---|---|
| 구분 | 당기말 | 전기말 | 비고 |
| 2025년 | 354,706,369 | 354,706,369 | 2015년 발생분 |
| 2026년 | 366,630,124 | 366,630,124 | 2016년 발생분 |
| 2027년 | 464,903,569 | 464,903,569 | 2017년 발생분 |
| 2028년 | 492,415,657 | 492,415,657 | 2018년 발생분 |
| 2029년 | 708,638,456 | 708,638,456 | 2019년 발생분 |
| 2030년 | 483,215,177 | 483,215,177 | 2020년 발생분 |
| 2031년 | 1,048,672,957 | 1,048,672,957 | 2021년 발생분 |
| 2032년 | 812,839,637 | 812,839,637 | 2022년 발생분 |
| 2033년 | 183,211,136 | 183,211,136 | 2023년 발생분 |
| 2034년 | 656,638,430 | - | 2024년 발생분 |
| 합계 | 5,571,871,512 | 4,915,233,082 | |
23. 주당손익
(1) 기본주당이익
당기와 전기의 보통주 기본주당손익은 다음과 같습니다.
| (단위: 원, 주) | ||
|---|---|---|
| 구분 | 당기 | 전기 |
| 보통주 당기순이익(손실) | (12,377,068,011) | (23,961,422,032) |
| 가중평균 유통보통주식수(*) | 20,460,610 | 16,366,318 |
| 기본주당순이익(손실) | (605) | (1,464) |
(*) 당기 및 전기 중 가중평균유통보통주식수의 산정내역은 다음과 같습니다. 당기 기초발행주식수에는 전기 중 취득한 자기주식 6,638주가 차감되어 있습니다.
| (단위: 주) | ||
|---|---|---|
| 구분 | 당기 | 전기 |
| 기초발행주식수 | 20,460,610 | 12,120,570 |
| 주식선택권 행사 | - | 97,754 |
| 유상증자 | - | 1,420,274 |
| 무상증자 | - | 2,727,720 |
| 가중평균 유통보통주식수 | 20,460,610 | 16,366,318 |
(2) 희석주당이익
회사는 주식선택권을 발행하고 있으나 동 희석성잠재적보통주로 인하여 희석화 효과가 발생하지 않으므로 전기의 희석주당손익은 기본주당손익과 동일합니다.
24. 현금흐름표
(1) 당기와 전기 중 유동성 대체를 제외한 투자활동 및 재무활동 관련 중요한 현금의 유입ㆍ유출이 없는 거래는 다음과 같습니다.
| (단위: 원) | ||
|---|---|---|
| 구분 | 당기 | 전기 |
| 건설중인자산의 본계정 대체 | 261,292,340 | 18,200,033 |
| 단기금융상품과 선수금 상계 | - | 1,481,269,376 |
| 장기금융상품 평가 | - | 61,646,881 |
| 지분법투자주식 평가 | - | 351,683,592 |
| 사용권자산과 리스부채 인식 | 461,869,898 | 199,605,254 |
| 사용권자산과 복구충당부채 인식 | 343,568,000 | - |
| 사용권자산과 임차보증할인발행차금 인식 | 54,201,384 | - |
| 임차보증금의 건설중인자산 대체 | 467,291,060 | - |
| 토지 재평가 | 6,680,497,597 | - |
(2) 당기 및 전기 중 재무활동에서 생기는 부채의 조정내용은 다음과 같습니다.
<당기>
| (단위: 원) | |||||||
|---|---|---|---|---|---|---|---|
| 구 분 | 기초 | 현금흐름 | 비현금변동 | 기말 | |||
| 리스부채 증가 | 리스부채 감소 | 대체 | 상각(이자비용) | ||||
| 리스부채 | 188,065,217 | (206,519,756) | 461,869,898 | (277,131,275) | - | 20,091,934 | 186,376,018 |
| 유동성장기차입금 | - | - | - | - | 3,630,000,000 | - | 3,630,000,000 |
| 장기차입금 | 3,630,000,000 | 3,150,052,200 | - | - | (3,630,000,000) | - | 3,150,052,200 |
| 재무활동으로부터의 총부채 | 3,818,065,217 | 2,943,532,444 | 461,869,898 | (277,131,275) | - | 20,091,934 | 6,966,428,218 |
<전기>
| (단위: 원) | ||||||
|---|---|---|---|---|---|---|
| 구 분 | 기초 | 현금흐름 | 비현금변동 | 기말 | ||
| 리스부채 증가 | 리스부채 감소 | 상각(이자비용) | ||||
| 리스부채 | 139,109,399 | (157,348,450) | 197,862,292 | - | 8,441,976 | 188,065,217 |
| 단기차입금 | 2,000,000,000 | (2,000,000,000) | - | - | - | - |
| 장기차입금 | 3,630,000,000 | - | - | - | - | 3,630,000,000 |
| 재무활동으로부터의 총부채 | 5,769,109,399 | (2,157,348,450) | 197,862,292 | - | 8,441,976 | 3,818,065,217 |
25. 특수관계자 거래
(1) 당기말과 전기말 현재 당사의 특수관계자 현황은 다음과 같습니다.
| 구분 | 당기말 | 전기말 |
|---|---|---|
| 유의적인 영향력을 행사하는기업(*) | Duopharma Biotech Berhad | Duopharma Biotech Berhad |
| 지분법적용투자기업 | CoImmune, Inc. | CoImmune, Inc. |
(*) 별도 약정서에 의거해 당사의 이사를 선임할 수 있는 권한이 있습니다.
(2) 당기 및 전기 중 당사와 특수관계자와의 매출ㆍ매입 등 거래내역은 다음과 같습니다.
| (단위: 원) | ||
|---|---|---|
| 회사명 | 매출 | |
| 당기 | 전기 | |
| Duopharma Biotech Berhad | - | 191,883,249 |
(3) 당기말과 전기말 현재 특수관계자에 대한 채권ㆍ채무 금액은 없습니다.
(4) 당사는 등기이사 및 기업활동의 계획, 운영 및 통제에 대한 중요한 권한과 책임을가진 등기 임원을 주요 경영진으로 판단하고 있으며, 당기 및 전기의 주요 경영진에 대한 보상금액은 다음과 같습니다.
| (단위: 원) | ||
|---|---|---|
| 구분 | 당기(*) | 전기(*) |
| 급여 | 600,688,179 | 768,439,000 |
| 퇴직급여 | 39,474,015 | 60,911,581 |
| 주식보상비용 | (93,828,487) | 111,730,946 |
| 합계 | 546,333,707 | 941,081,527 |
(*) 기중 사임한 등기임원의 근무기간동안의 금액이 포함되어 있습니다.
26. 범주별 금융상품
당기말과 전기말 현재 당사의 범주별 금융상품 내역은 다음과 같습니다.
(1) 금융자산
| (단위: 원) | ||||||
|---|---|---|---|---|---|---|
|
구분 |
당기말 |
전기말 |
||||
| 상각후원가 | 당기손익- 공정가치 |
합계 | 상각후원가 | 당기손익- 공정가치 |
합계 | |
| 현금및현금성자산 | 49,593,950 | - | 49,593,950 | 4,495,612,283 | - | 4,495,612,283 |
| 매출채권 | 48,802,659 | - | 48,802,659 | 106,409,573 | - | 106,409,573 |
| 기타채권 | 189,637,930 | - | 189,637,930 | 675,748,655 | - | 675,748,655 |
| 단기금융상품 | - | 870,164,866 | 870,164,866 | 5,500,000,000 | 2,339,994,548 | 7,839,994,548 |
| 장기금융상품 | - | - | - | - | 1,085,453,119 | 1,085,453,119 |
| 합계 | 288,034,539 | 870,164,866 | 1,158,199,405 | 10,777,770,511 | 3,425,447,667 | 14,203,218,178 |
(2) 금융부채
| (단위: 원) | ||
|---|---|---|
|
구분 |
당기말 |
전기말 |
| 상각후원가 | 상각후원가 | |
| 차입금 | 6,780,052,200 | 3,630,000,000 |
| 기타금융부채 | 1,696,618,307 | 823,275,345 |
|
합계 |
8,476,670,507 | 4,453,275,345 |
(3) 금융상품의 범주별 순손익
| (단위: 원) | ||
|---|---|---|
|
구분 |
당기 |
전기 |
| 당기손익-공정가치 금융자산 | ||
| 이자수익 | 64,102,457 | 874,477 |
| 평가손익 | (1,086,356,023) | (59,158,849) |
| 상각후원가 금융자산 | ||
| 이자수익 | 174,615,877 | 85,959,267 |
| 상각후원가 금융부채 | ||
| 이자비용 | (228,166,430) | (312,568,184) |
27. 재무위험관리
당사는 여러 활동으로 인하여 시장위험(환위험, 공정가치 이자율 위험, 현금흐름 이자율 위험 및 가격위험), 신용위험 및 유동성위험과 같은 다양한 금융위험에 노출되어 있습니다. 당사의 전반적인 위험관리정책은 금융시장의 예측불가능성에 초점을 맞추고 있으며 재무성과에 잠재적으로 불리할 수 있는 효과를 최소화하는데 중점을 두고 있습니다.
위험관리는 이사회에서 승인한 정책에 따라 당사 재무경영관리부에 의해 이루어지고 있습니다. 당사 재무경영관리부는 당사의 현업 부서들과 긴밀히 협력하여 재무위험을 식별, 평가 및 회피하고 있습니다. 이사회는 외환위험, 이자율위험, 신용위험 및 유동성을 초과하는 투자와 같은 특정 분야에 관한 문서화된 정책 뿐 아니라, 전반적인 위험관리에 대한 문서화된 정책을 제공합니다.
가. 시장위험
(1) 외환위험
당사는 기능통화인 원화 외의 통화로 표시되는 수출 매출에 대해 환위험에 노출되어 있습니다. 이러한 거래들이 표시되는 주된 통화는 USD입니다. 한편, 당기말 현재 당사는 외화로 표시된 금융자산 및 금융부채를 보유하고 있지 않습니다.
(2) 이자율위험
이자율 위험은 시장이자율의 변동으로 인하여 금융상품에서 발생하는 이자수익 및 이자비용이 변동할 위험을 의미합니다. 당기말 및 전기말 현재 변동이자율로 발행된 차입금은 없습니다.
(3) 가격위험
가격위험은 이자율위험이나 환위험 이외의 시장가격의 변동으로 인하여 금융상품의공정가치나 미래현금흐름이 변동할 위험을 의미합니다. 당사는 재무상태표상 당기손익-공정가치측정금융자산으로 분류되는 당사 보유 지분증권의 가격위험에 노출돼 있습니다.
나. 신용위험
신용위험은 보유하고 있는 수취채권 및 확정계약을 포함한 거래처에 대한 신용위험뿐 아니라 현금성자산, 은행 등의 금융기관 예치금으로부터 발생하고 있습니다. 은행및 금융기관의 경우, 독립적인 신용평가기관으로부터의 신용등급이 최소 A이상인 경우에 한하여 거래를 하고 있습니다. 당기 중 신용위험에 중요한 영향을 미치는 사항은 발견되지 않았으며, 경영진은 거래상대방의 의무불이행으로 인한 손실을 예상하고 있지 아니합니다.
다. 유동성위험
당사는 차입금한도를 적정수준으로 유지하고 영업 자금 수요를 충족시킬 수 있도록 유동성에 대한 예측을 항시 모니터링하여 차입금 한도나 약정을 위반하는 일이 없도록 하고 있습니다. 유동성에 대한 예측 시에는 당사의 자금조달 계획, 약정 준수, 당사 내부의 목표재무비율 및 통화에 대한 제한과 같은 외부 법규나 법률 요구사항이 있는 경우 그러한 요구사항을 고려하고 있습니다.
당기말과 전기말 현재 당사의 유동성 위험 분석내역은 다음과 같습니다. 금액은 이자지급액을 포함하고 있습니다.
<당기말>
| (단위: 원) | |||||
|---|---|---|---|---|---|
| 구분 | 3개월 미만 | 3개월~1년 이하 | 1년~ 2년 이하 | 2년~ 5년 이하 | 합계 |
| 기타금융부채 | 1,626,618,307 | - | - | 70,000,000 | 1,696,618,307 |
| 차입금 | 69,607,987 | 3,868,238,383 | 125,246,075 | 3,265,004,077 | 7,328,096,522 |
| 리스부채 | 72,453,799 | 92,710,865 | 22,506,000 | 4,840,000 | 192,510,664 |
| 합계 | 1,768,680,093 | 3,960,949,248 | 147,752,075 | 3,339,844,077 | 9,217,225,493 |
<전기말>
| (단위: 원) | |||||
|---|---|---|---|---|---|
| 구분 | 3개월 미만 | 3개월~1년 이하 | 1년~ 2년 이하 | 2년~ 5년 이하 | 합계 |
| 기타금융부채 | 572,834,591 | - | - | 70,000,000 | 642,834,591 |
| 차입금 | 52,852,004 | 161,492,236 | 3,826,726,905 | - | 4,041,071,145 |
| 리스부채 | 40,329,939 | 98,189,817 | 33,193,064 | 27,346,000 | 199,058,820 |
| 합계 | 666,016,534 | 259,682,053 | 3,859,919,969 | 97,346,000 | 4,882,964,556 |
당사는 상기에서 언급한 예측을 통해 결정된 대로 유동성이 확보될 수 있도록 적절한만기나 충분한 유동성을 제공해주는 정기예금, 수시입출금식 예금 등의 금융상품을 선택하여 잉여자금을 투자하고 있습니다.
라. 자본위험관리
당사의 자본관리 목적은 계속기업으로서 주주 및 이해당사자들에게 이익을 지속적으로 제공할 수 있는 능력을 보호하고 자본비용을 절감하기 위해 최적 자본구조를 유지하는 것입니다.
당기말과 전기말 현재의 자본조달비율은 다음과 같습니다.
| (단위: 원) | ||
|---|---|---|
|
구분 |
당기말 | 전기말 |
|
총차입금(*) |
6,966,428,218 | 3,818,065,217 |
|
차감: 현금및현금성자산 |
49,593,950 | 4,495,612,283 |
|
순부채 |
6,916,834,268 | (677,547,066) |
|
자본총계 |
14,178,820,686 | 20,473,543,664 |
| 총자본 | 21,095,654,954 | 19,795,996,598 |
|
자본조달비율 |
32.79% | (3.42%) |
(*) 당기말 및 전기말 총차입금에는 리스부채가 포함되어 있습니다.
마. 금융상품 공정가치
(1) 금융상품의 종류별 장부금액 및 공정가치는 다음과 같습니다.
| (단위: 원) | ||||
|---|---|---|---|---|
| 구분 | 당기말 | 전기말 | ||
| 장부금액 | 공정가치 | 장부금액 | 공정가치 | |
| 금융자산 | ||||
| 현금및현금성자산 | 49,593,950 | 49,593,950 | 4,495,612,283 | 4,495,612,283 |
| 단기금융상품 | 870,164,866 | 870,164,866 | 7,839,994,548 | 7,839,994,548 |
| 매출채권 | 48,802,659 | 48,802,659 | 106,409,573 | 106,409,573 |
| 기타채권 | 189,637,930 | 189,637,930 | 675,748,655 | 675,748,655 |
| 장기금융상품 | - | - | 1,085,453,119 | 1,085,453,119 |
| 합계 | 1,158,199,405 | 1,158,199,405 | 14,203,218,178 | 14,203,218,178 |
| 금융부채 | ||||
| 차입금 | 6,780,052,200 | 6,780,052,200 | 3,630,000,000 | 3,630,000,000 |
| 기타금융부채 | 1,696,618,307 | 1,696,618,307 | 823,275,345 | 823,275,345 |
| 합계 | 8,476,670,507 | 8,476,670,507 | 4,453,275,345 | 4,453,275,345 |
(2) 공정가치 서열체계
공정가치로 측정되는 금융상품은 공정가치 서열체계에 따라 구분되며 정의된 수준들은 다음과 같습니다.
| - 측정일에 동일한 자산이나 부채에 대해 접근할 수 있는 활성시장의(조정하지 않은) 공시가격 (수준 1) |
| - 수준 1의 공시가격 외에 자산이나 부채에 대해 직접적으로나 간접적으로 관측할 수 있는 투입변수 (수준 2) |
| - 자산이나 부채에 대한 관측할 수 없는 투입변수 (수준 3) |
공정가치로 측정되는 금융상품의 공정가치 서열체계 구분은 다음과 같습니다.
<당기말>
| (단위: 원) | ||||
|---|---|---|---|---|
| 구분 |
수준1 |
수준2 |
수준3 |
합계 |
| 당기손익-공정가치 금융자산 | ||||
| 단기금융상품 | - | 870,164,866 | - | 870,164,866 |
<전기말>
| (단위: 원) | ||||
|---|---|---|---|---|
| 구분 |
수준1 |
수준2 |
수준3 |
합계 |
| 당기손익-공정가치 금융자산 | ||||
| 단기금융상품 | - | 2,339,994,548 | - | 2,339,994,548 |
| 장기금융상품 | - | - | 1,085,453,119 | 1,085,453,119 |
| 합계 | - | 2,339,994,548 | 1,085,453,119 | 3,425,447,667 |
(3) 반복적인 공정가치 측정치의 서열체계 수준 간 이동
당기와 전기 중 수준 1과 수준 2간의 유의적인 이동은 없습니다.
(4) 가치평가기법 및 투입변수
당사는 공정가치 서열체계에서 수준2와 수준3으로 분류되는 공정가치에 대하여 다음의 가치평가기법과 투입변수를 사용하고 있습니다.
| (단위 : 원) | |||||
|---|---|---|---|---|---|
| 구분 | 수준 | 공정가치 | 평가기법 | 관측가능하지 않은 투입변수 |
|
| 당기말 | 전기말 | ||||
| 단기금융상품 | 2 | 870,164,866 | 2,339,994,548 | 시장가치접근법 | ㆍ기초자산 가격 |
| 장기금융상품 | 3 | - | 1,085,453,119 | 이익접근법 | - |
(5) 수준 3 공정가치
당기 중 수준 3 공정가치의 변동내역은 다음과 같습니다.
| (단위: 원) | |
|---|---|
|
구분 |
금액 |
| 기초 | 1,085,453,119 |
| 금융비용에 포함된 장기투자자산평가손실 |
(1,085,453,119) |
| 기말 | - |
28. 우발부채 및 약정사항
(1) 당사는 당기말 및 전기말 현재 신용카드 등 전자결제 대행계약에 따른 손해배상 및 지원사업 협약에 따른 의무상환금과 관련하여 서울보증보험의 이행지급보증보험(부보금액 : 45,000,000원)에 가입하고 있습니다.
(2) 당기말 현재 담보제공자산 등의 현황은 다음과 같습니다.
| (단위: 원) | |||
|---|---|---|---|
| 구분 | 장부금액 | 담보설정액 | 비 고 |
| 토지 | 13,647,996,000 | 8,556,000,000 | 기업은행 |
| 건물 | 1,729,182,921 | ||
(3) 당사는 우리은행을 통해 라임자산운용 주식회사가 운용하는 펀드 상품에 가입하였으며, 본건 펀드 환매 중단으로 인하여 우리은행으로부터 보상금을 지급 받았습니다. 당기말 현재 본건 펀드의 수익증권을 담보목적물로 하여 본건 펀드에 대한 보상금 494,943,130원에 대해 근질권(근질권자: 우리은행)이 설정되어 있습니다.
29. 계속기업가정
당사의 재무제표는 당사가 계속기업으로서 존속할 것이라는 가정을 전제로 작성되었습니다. 따라서 자산과 부채를 정상적인 영업활동을 통하여 장부가액을 회수하거나 상환할 수 있다는 가정 하에서 회계처리되었습니다. 그러나 당사는 당기 중 영업손실과 당기순손실이 각각 11,308백만원 및 12,377백만원 발생하였고, 부(-)의 영업활동으로 인한 현금흐름이 10,053백만원이 발생하였으며, 당기말 현재 당사의 유동부채가 유동자산보다 3,745백만원 만큼 더 많음을 나타내고 있습니다. 이러한 상황은 계속기업으로서 그 존속능력에 유의적 의문을 제기하고 있습니다.
상기 계속기업으로서의 존속문제에 대해 당사는 재무구조 개선을 위하여 신규 프로젝트 개발 및 경영활동의 효율성 향상, 비용 절감 등을 통한 수익성 개선과 유상증자 등을 통하여 재무구조를 개선할 계획입니다. 당사의 재무제표 작성에 전제가 된 계속기업 가정의 타당성에 대해 유의적 의문이 제기되는 상황 하에서 부채상환과 기타 자금수요를 위해 필요한 자금조달 계획과 안정적인 경상이익 달성을 위한 재무 및 경영개선 계획의 성패에 따라 그 타당성이 좌우되는 중요한 불확실성이 존재하고 있습니다.
만일 이러한 계획에 차질이 있어서 당사가 계속기업으로서 존속하기 어려운 경우에는 당사의 자산과 부채를 정상적인 영업활동과정을 통하여 장부가액으로 회수하거나상환하지 못할 수도 있습니다. 이와 같은 불확실성의 결과로 계속기업가정이 타당하지 않을 경우에 발생될 수도 있는 자산과 부채의 금액 및 분류표시와 관련 손익항목에 대한 수정사항은 재무제표에 반영되어 있지 않습니다.
30. 보고기간 후 사건
당사는 2025년 3월 14일, 운영자금 조달을 목적으로 마르시아 신기술조합 제77호와 약 80억 원(7,272,727주) 규모의 제3자 배정 유상증자 계약을 체결하였으며, 납입 예정일은 2025년 3월 24일입니다.
6. 배당에 관한 사항
가. 배당에 대한 전반적인 사항
당사의 정관에 기재된 배당에 관한 사항은 아래와 같습니다.
[배당에 관한 사항]
| 제13조(신주의 동등배당) ① 회사가 정한 배당기준일 전에 유상증자, 무상증자 및 주식배당에 의하여 발행한 주식에 대하여는 동등배당한다. |
|
제53조(이익금의 처분) 1. 이익준비금 2. 기타의 법정준비금 3. 배당금 4. 임의적립금 5. 기타의 이익잉여금처분액 |
|
제54조(이익배당) ① 이익의 배당은 금전 또는 금전 외의 재산으로 할 수 있다. ② 이익의 배당을 주식으로 하는 경우 회사가 종류주식을 발행한 때에는 각각 그와 같은 종류의 주식으로 할 수 있다. ③ 회사는 제1항의 배당을 위하여 이사회결의로 배당을 받을 주주를 확정하기 위한 기준일을 정하여야 하며, 그 경우 기준일의 2주 전에 이를 공고하여야 한다. ④ 이익배당은 주주총회의 결의로 정한다. |
(*) 당사 소유의 토지 및 건물은 기업은행 차입금과 관련하여 담보로 제공되어 있습니다(주석 11, 28 참조).
2. 배당관련 예측가능성 제공에 관한 사항
가. 정관상 배당절차 개선방안 이행 가부
당사는 배당가능이익 범위 내에서 회사의 재무 안정성, 지속적 성장을 위한 투자, 주주가치 제고, 경영환경 등을 고려하여 적정수준의 배당을 검토할 예정입니다. 단, 대외변수들로 인하여 회사의 배당재원이 감소할 경우, 회사의 미래투자 및 재무안정성을 고려하고 지속적인 회사성장을 위하여 현금보유전략을 시행할 수 있습니다.
| 구분 | 현황 및 계획 |
| 정관상 배당액 결정 기관 | 주주총회 |
| 정관상 배당기준일을 배당액 결정 이후로 정할 수 있는지 여부 | 부 |
| 배당절차 개선방안 이행 관련 향후 계획 | 해당사항 없음 |
나. 배당액 확정일 및 배당기준일 지정 현황
| 구분 | 결산월 | 배당여부 | 배당액 확정일 |
배당기준일 | 배당 예측가능성 제공여부 |
비고 |
|---|---|---|---|---|---|---|
| - | - | X | - | - | X | - |
| - | - | X | - | - | X | - |
| - | - | X | - | - | X | - |
나. 주요배당지표
| 구 분 | 주식의 종류 | 당기 | 전기 | 전전기 |
|---|---|---|---|---|
| 제11기 | 제10기 | 제9기 | ||
| 주당액면가액(원) | 500 | 500 | 500 | |
| (연결)당기순이익(백만원) | - | - | - | |
| (별도)당기순이익(백만원) | -12,377 | -23,961 | -22,930 | |
| (연결)주당순이익(원) | -605 | -1,464 | -1,581 | |
| 현금배당금총액(백만원) | - | - | - | |
| 주식배당금총액(백만원) | - | - | - | |
| (연결)현금배당성향(%) | - | - | - | |
| 현금배당수익률(%) | - | - | - | - |
| - | - | - | - | |
| 주식배당수익률(%) | - | - | - | - |
| - | - | - | - | |
| 주당 현금배당금(원) | - | - | - | - |
| - | - | - | - | |
| 주당 주식배당(주) | - | - | - | - |
| - | - | - | - | |
| 주1) | 당사는 보고서 작성기준일 현재 연결대상 회사가 없으며 상기 (연결)당기순이익 및 (연결)주당순이익은 별도기준으로 작성하였습니다. |
다. 과거 배당 이력
| (단위: 회, %) |
| 연속 배당횟수 | 평균 배당수익률 | ||
|---|---|---|---|
| 분기(중간)배당 | 결산배당 | 최근 3년간 | 최근 5년간 |
| - | - | - | - |
| 주1) | 당사는 최근 5년간 배당금을 지급한 사실이 없습니다. |
7. 증권의 발행을 통한 자금조달에 관한 사항
7-1. 증권의 발행을 통한 자금조달 실적
| [지분증권의 발행 등과 관련된 사항] |
증자(감자)현황
| (기준일 : | 2024년 12월 31일 | ) | (단위 : 원, 주) |
| 주식발행 (감소)일자 |
발행(감소) 형태 |
발행(감소)한 주식의 내용 | ||||
|---|---|---|---|---|---|---|
| 종류 | 수량 | 주당 액면가액 |
주당발행 (감소)가액 |
비고 | ||
| 2022년 04월 29일 | 주식매수선택권행사 | 보통주 | 91,116 | 500 | 6,700 | - |
| 2022년 04월 29일 | 주식매수선택권행사 | 보통주 | 4,400 | 500 | 7,250 | - |
| 2022년 04월 29일 | 주식매수선택권행사 | 보통주 | 3,200 | 500 | 10,000 | - |
| 2022년 12월 30일 | 주식매수선택권행사 | 보통주 | 1,360 | 500 | 6,700 | - |
| 2022년 12월 30일 | 주식매수선택권행사 | 보통주 | 11,860 | 500 | 7,250 | - |
| 2022년 12월 30일 | 주식매수선택권행사 | 보통주 | 4,900 | 500 | 10,000 | - |
| 2023년 04월 28일 | 주식매수선택권행사 | 보통주 | 3,400 | 500 | 6,700 | - |
| 2023년 04월 28일 | 주식매수선택권행사 | 보통주 | 100,000 | 500 | 7,000 | - |
| 2023년 04월 28일 | 주식매수선택권행사 | 보통주 | 12,250 | 500 | 7,250 | - |
| 2023년 04월 28일 | 주식매수선택권행사 | 보통주 | 1,700 | 500 | 10,000 | - |
| 2023년 09월 15일 | 유상증자(주주배정) | 보통주 | 4,800,000 | 500 | 3,825 | - |
| 2023년 09월 18일 | 무상증자 | 보통주 | 3,411,208 | 500 | - | 주1) |
| 주1) | 20% 무상증자 (1주당 0.2주, 재원: 주식발행초과금) |
나. 미상환 전환사채
당사는 보고서 작성기준일 현재 해당사항이 없습니다.
다. 미상환 신주인수권부사채
당사는 보고서 작성기준일 현재 해당사항이 없습니다.
라. 미상환 전환형 조건부자본증권 발행현황
당사는 보고서 작성기준일 현재 해당사항이 없습니다.
| [채무증권의 발행 등과 관련된 사항] |
마. 채무증권의 발행 등과 관련된 사항
채무증권 발행실적
| (기준일 : | 2024년 12월 31일 | ) | (단위 : 원, %) |
| 발행회사 | 증권종류 | 발행방법 | 발행일자 | 권면(전자등록)총액 | 이자율 | 평가등급 (평가기관) |
만기일 | 상환 여부 |
주관회사 |
|---|---|---|---|---|---|---|---|---|---|
| - | - | - | - | - | - | - | - | - | - |
| - | - | - | - | - | - | - | - | - | - |
| 합 계 | - | - | - | - | - | - | - | - | - |
기업어음증권 미상환 잔액
| (기준일 : | 2024년 12월 31일 | ) | (단위 : 원) |
| 잔여만기 | 10일 이하 | 10일초과 30일이하 |
30일초과 90일이하 |
90일초과 180일이하 |
180일초과 1년이하 |
1년초과 2년이하 |
2년초과 3년이하 |
3년 초과 | 합 계 | |
|---|---|---|---|---|---|---|---|---|---|---|
| 미상환 잔액 | 공모 | - | - | - | - | - | - | - | - | - |
| 사모 | - | - | - | - | - | - | - | - | - | |
| 합계 | - | - | - | - | - | - | - | - | - | |
단기사채 미상환 잔액
| (기준일 : | 2024년 12월 31일 | ) | (단위 : 원) |
| 잔여만기 | 10일 이하 | 10일초과 30일이하 |
30일초과 90일이하 |
90일초과 180일이하 |
180일초과 1년이하 |
합 계 | 발행 한도 | 잔여 한도 | |
|---|---|---|---|---|---|---|---|---|---|
| 미상환 잔액 | 공모 | - | - | - | - | - | - | - | - |
| 사모 | - | - | - | - | - | - | - | - | |
| 합계 | - | - | - | - | - | - | - | - | |
회사채 미상환 잔액
| (기준일 : | 2024년 12월 31일 | ) | (단위 : 원) |
| 잔여만기 | 1년 이하 | 1년초과 2년이하 |
2년초과 3년이하 |
3년초과 4년이하 |
4년초과 5년이하 |
5년초과 10년이하 |
10년초과 | 합 계 | |
|---|---|---|---|---|---|---|---|---|---|
| 미상환 잔액 | 공모 | - | - | - | - | - | - | - | - |
| 사모 | - | - | - | - | - | - | - | - | |
| 합계 | - | - | - | - | - | - | - | - | |
신종자본증권 미상환 잔액
| (기준일 : | 2024년 12월 31일 | ) | (단위 : 원) |
| 잔여만기 | 1년 이하 | 1년초과 5년이하 |
5년초과 10년이하 |
10년초과 15년이하 |
15년초과 20년이하 |
20년초과 30년이하 |
30년초과 | 합 계 | |
|---|---|---|---|---|---|---|---|---|---|
| 미상환 잔액 | 공모 | - | - | - | - | - | - | - | - |
| 사모 | - | - | - | - | - | - | - | - | |
| 합계 | - | - | - | - | - | - | - | - | |
조건부자본증권 미상환 잔액
| (기준일 : | 2024년 12월 31일 | ) | (단위 : 원) |
| 잔여만기 | 1년 이하 | 1년초과 2년이하 |
2년초과 3년이하 |
3년초과 4년이하 |
4년초과 5년이하 |
5년초과 10년이하 |
10년초과 20년이하 |
20년초과 30년이하 |
30년초과 | 합 계 | |
|---|---|---|---|---|---|---|---|---|---|---|---|
| 미상환 잔액 | 공모 | - | - | - | - | - | - | - | - | - | - |
| 사모 | - | - | - | - | - | - | - | - | - | - | |
| 합계 | - | - | - | - | - | - | - | - | - | - | |
바. 사채관리계약 주요내용 및 충족여부 등
당사는 보고서 작성기준일 현재 해당사항이 없습니다.
7-2. 증권의 발행을 통해 조달된 자금의 사용실적
가. 공모자금의 사용내역
| (기준일 : | 2024년 12월 31일 | ) | (단위 : 백만원) |
| 구 분 | 회차 | 납입일 | 증권신고서 등의 자금사용 계획 |
실제 자금사용 내역 |
차이발생 사유 등 | ||
|---|---|---|---|---|---|---|---|
| 사용용도 | 조달금액 | 내용 | 금액 | ||||
| 유상증자 | - | 2023.09.15 | 운영자금 (연구개발비 등) |
15,040 | 운영자금 (연구개발비 등) |
14,990 | 연차별 집행 |
| 유상증자 | - | 2023.09.15 | 채무상환자금 | 2,870 | 채무상환자금 | 2,000 | 추가집행 시기 미정 |
| 주1) | 당사는 2023년 09월 14일 유상증자로 자금을 조달하였으며, 18,360백만원에서 발행제비용 450백만원을 제외한 17,910백만원이 조달되었습니다. |
| 주1) | 당사는 보고서 작성기준일 현재 해당사항이 없습니다. |
다. 미사용자금의 운용내역
| (기준일 : | 2024년 12월 31일 | ) | (단위 : 백만원) |
| 종류 | 운용상품명 | 운용금액 | 계약기간 | 실투자기간 |
|---|---|---|---|---|
| 예ㆍ적금 | 수시RP(한국투자증권) | 6 | - | 주1) |
| 단기금융상품 | 단기투자자산(기업은행) | 870 | - | 주2) |
| 예ㆍ적금 | 보통예금(기업은행) | 36 | - | - |
| 예ㆍ적금 | 보통예금(우리은행) | 4 | - | - |
| 예ㆍ적금 | 보통예금(국민은행) | 3 | - | - |
| 계 | 920 | - | ||
| 주1) | 해당 상품은 수시입출금이 가능함에 따라 계약기간 및 실투자기간은 존재하지 않으며, 당사 자금 운용 사정에 따라 안정적인 금융상품에 예치할 예정입니다. |
| 주2) | 해당 상품은 수시입출금이 가능함에 따라 계약기간 및 실투자기간은 존재하지 않습니다. |
8. 기타 재무에 관한 사항
가. 재무제표 재작성 등 유의사항
당사는 보고서 작성기준일 현재 해당사항이 없습니다.
나. 대손충당금 설정현황
(1) 계정과목별 대손충당금 설정내용
당사는 보고서 작성기준일 현재 해당사항이 없습니다.
(2) 대손충당금 변동현황
당사는 보고서 작성기준일 현재 해당사항이 없습니다.
(3) 매출채권관련 대손충당금 설정방침
당사는 보고서 작성기준일 현재 해당사항이 없습니다.
(4) 당해 사업연도말 현재 경과기간별 매출채권 잔액 현황
| (단위: 천원) |
| 구분 | 경과기간 | 6월이하 | 6월초과~1년이하 | 1년초과~3년이하 | 3년초과 | 계 |
|---|---|---|---|---|---|---|
| 금액 | 일반 | 38,842 | 2,454 | 7,507 | - | 48,803 |
| 특수관계자 | - | - | - | - | - | |
| 계 | 38,842 | 2,454 | 7,507 | - | 48,803 | |
| 구성비율 | 79.6% | 5.0% | 15.4% | 0.0% | 100.0% | |
다. 재고자산 현황 등
(1) 재고자산의 사업부문별 보유현황
| (단위: 천원) |
| 계정과목 | 2024년 (제11기) |
2023년 (제10기) |
2022년도 (제9기) |
|---|---|---|---|
| 제품 | 253,415 | 281,061 | 51,862 |
| 원재료 | 80,700 | 90,000 | 50,800 |
| 부재료 | 16,146 | - | - |
| 재공품 | 184,764 | 21,000 | - |
| 반환제품회수권 | - | - | 50 |
| 합계 | 535,025 | 392,061 | 102,712 |
| 총자산 대비 재고자산 구성비율(%) [재고자산합계÷기말자산총계×100] |
2.30% | 1.54% | 0.31% |
| 재고자산 회전율(회수) [연환산 매출원가÷{(기초재고+기말재고)÷2}] |
0.5회 | 0.9회 | 0.3회 |
(2) 재고자산의 실사내용
2022년과 2023년 반기, 2024년 반기 재고자산의 경우 자체조사를 실시하였고, 2023년 기말 재고자산실사는 당시 외부감사인이었던 삼일회계법인 입회 하에 실시하였습니다. 2024년 기말 재고자산 실사는 당기 외부감사인인 삼정회계법인 입회 하에 실시하였습니다.
| 2024년 기말 재고자산실사 (삼정회계법인 입회) |
실사(입회)시기 | 2024.12.30 | 1일 |
| 실사(입회)장소 | 인천 본사 / 로지스올 물류창고 / 제조소 | ||
| 실사(입회)대상 | 원재료, 제품 | ||
| 2024년 반기 재고자산실사 (자체실사) |
실사(입회)시기 | 2024.06.30 | 1일 |
| 실사(입회)장소 | 인천 본사/로지스올 물류창고 | ||
| 실사(입회)대상 | 제품 | ||
| 2023년 기말 재고자산실사 (삼일회계법인 입회) |
실사(입회)시기 | 2023.12.28 | 1일 |
| 실사(입회)장소 | 인천본사/로지스올 물류창고 | ||
| 실사(입회)대상 | 제품 | ||
| 2023년 반기 재고자산실사 (자체실사) |
실사(입회)시기 | 2023.06.30 | 1일 |
| 실사(입회)장소 | 인천 본사/위킵 물류창고 | ||
| 실사(입회)대상 | 제품 | ||
| 2022년 재고자산실사 (자체실사) |
실사(입회)시기 | 2022.12.09 | 1일 |
| 실사(입회)장소 | 인천 본사/위킵 물류창고 | ||
| 실사(입회)대상 | 제품 | ||
라. 수주계약 현황
당사는 보고서 작성기준일 현재 해당사항이 없습니다.
마. 공정가치평가 내역
관련내용은 III. 재무에 관한 사항 → 5.재무제표 주석→ 주석27 마.금융상품 공정가치를 참조해주십시오.
IV. 이사의 경영진단 및 분석의견
당사가 동 이사의 경영진단 의견서에 기재한 미래에 발생할 것으로 예상ㆍ예측한 활동, 사건 또는 현상은 본 공시서류 작성시점의 사건 및 재무성과에 대하여 회사의 견해를 반영한것으로 미래에 대한 예측정보를 포함하고 있습니다. 이러한 예측정보는 과거가 아닌 미래의 사건과 관계된 것으로 당사의 향후 예상되는 경영현황 및 재무실적 등을 의미하고, 표현상으로는 '예상', '예정', '전망', '계획', '기대' 등과 같은 단어를 포함합니다.
예측정보는 미래 사업환경과 관련된 합리적인 근거나 다양한 가정에 기초하고 있으나, 이러한 가정들은 결과적으로 부정확한 것으로 판명될 수도 있습니다. 또한, 이러한 가정들에는 예측정보에서 기재한 예상치와 실제 결과 간에 중요한 차이를 초래할 수 있는 위험, 불확실성 및 기타 요인을 포함하고 있습니다. 이러한 중요한 차이를 초래할 수 있는 요인에는 회사 내부경영과 관련된 요인과 외부환경에 관한 요인이 포함되어 있으며, 이에 한하지 않습니다. 당사는 동 예측정보 작성시점 이후에 발생하는 위험 또는 불확실성을 반영하기 위하여 예측정보를 기재한 사항을 수정하는 정정보고서를 공시할 의무는 없습니다.
결론적으로는 동 이사의 경영진단 및 분석의견에 회사가 예상한 결과 또는 상황이 실현되거나 회사가 당초에 예상한 영향이 발생한다는 확신을 제공할 수 없습니다. 동 의견서에 기재된 예측정보는 동 보고서 작성시점을 기준으로 작성한 것이며, 회사가 이러한 위험요인이나 예측정보를 업데이트할 책임이 없음을 유의하시기 바랍니다.
본 이사의 경영진단 및 분석의견에서는 당기(제11기 : 2024.01.01 ~ 2024.12.31)와 전기(제10기 : 2023.01.01 ~ 2023.12.31)의 영업실적, 당기말과 전기말의 재무상태를비교하여 주요 증감내역 및 증감원인을 파악한 의견과 그 외 중요성의 관점에서 의견이 필요한 부분을 기재하였습니다.
2. 개요
당사는 난치성 면역질환의 근원적 치료와 재생의료 분야 발전에 기여하고자 독자적으로 개발한 층분리배양법 줄기세포 분리기술과 줄기세포치료제 제조기술을 바탕으로 2014년에 설립되었습니다. 또한, 2020년 6월 17일 기술특례상장으로 코스닥시장에 상장하였습니다.
당사는 기존 줄기세포치료제와 셀시트를 활용한 조직공학 등 세포치료제 전문기업으로 사업영역을 확장하고 있으며 주요 사업영역은 아래와 같습니다.
| 구분 | 설명 | 대상 질환 |
|---|---|---|
| 줄기세포치료제 | 원천기술(층분리배양법) 활용하여 고순도/질환특이적 줄기세포치료제 개발, 코스메슈티컬 매출 | 면역계 |
| 셀시트 | 조직공학 응용 세포치료제 셀시트 개발 | 섬유화증 |
당사가 진행하고 있는 주요 파이프라인 임상시험 진행현황은 아래와 같습니다.
| [주요 파이프라인 현황] |
![]() |
|
주요 파이프라인 현황 |
보고서 작성기준일 현재, 주요 경영지표 현황은 다음과 같습니다.
| (단위 : 원) |
| 주요 경영지표 | 제11기 | 제10기 |
|---|---|---|
| ROA | 53.42% | 94.32% |
| 당기순손실 | 12,377,068,011 | 23,961,422,032 |
| 총자산 | 23,169,708,260 | 25,403,787,574 |
| ROE | 87.29% | 117.04% |
| 당기순손실 | 12,377,068,011 | 23,961,422,032 |
| 자기자본 | 14,178,820,686 | 20,473,543,664 |
3. 재무상태 및 영업실적
보고서 작성기준일 현재, 당사는 줄기세포 관련 단일 사업부문을 영위하고 있으며, 당사의 재무상태 및 영업실적은 다음과 같습니다.
가. 재무상태표
| (단위 : 원) |
| 과목 | 제11기 | 제10기 | 증감 | 증감율 |
|---|---|---|---|---|
| 자산 | ||||
| 유동자산 | 1,996,075,051 | 13,260,028,756 | 3,220,211,630 | 32.07% |
| 비유동자산 | 21,173,633,209 | 12,143,758,818 | (10,836,379,354) | (47.16%) |
| 자산총계 | 23,169,708,260 | 25,403,787,574 | (7,616,167,724) | (23.07%) |
| 부채 | ||||
| 유동부채 | 5,740,681,299 | 1,148,217,990 | (3,414,019,142) | (74.83%) |
| 비유동부채 | 3,250,206,275 | 3,782,025,920 | (164,730,734) | (4.17%) |
| 부채총계 | 8,990,887,574 | 4,930,243,910 | (3,578,749,876) | (42.06%) |
| 자 본 | ||||
| 자본금 | 10,233,624,000 | 10,233,624,000 | 4,173,339,000 | 68.86% |
| 자본잉여금 | 178,576,988,534 | 178,513,771,836 | 15,415,543,402 | 9.45% |
| 자본조정 | (16,561,810) | (16,561,810) | (16,561,810) | (100.00%) |
| 기타포괄손익누계액 | 8,748,925,346 | 2,729,797,011 | 351,683,592 | 14.79% |
| 결손금 | (183,364,155,384) | (170,987,087,373) | (23,961,422,032) | 16.30% |
| 자본총계 | 14,178,820,686 | 20,473,543,664 | (4,037,417,848) | (16.47%) |
| 부채와자본총계 | 23,169,708,260 | 25,403,787,574 | (7,616,167,724) | (23.07%) |
(1) 자산
당사는 영업손실로 인한 자산의 감소가 발생하였으며, 추가적으로 재무구조 개선을 위하여 2024년12월31일 기준 토지재평가를 실시하여 6,680백만원 자산이 증가 하였습니다.
(2) 부채
당기 부채증가의 주요원인은 GMP시설공사로 인한 신규 장기차입금 3,150백만원 발생하였습니다.
(3) 자본
당기 자본변동 요인은 당기순손실 12,377백만원 발생으로 감소하였으며, 6,680백만원 토지재평가적립금이 증가하였습니다.
나. 영업실적
| (단위 : 원) |
| 과목 | 제11기 | 제10기 | 증감 | 증감율 |
|---|---|---|---|---|
| 매출액 | 824,800,629 | 695,697,915 | 299,715,613 | 75.69% |
| 매출원가 | 498,300,108 | 356,997,301 | 136,767,129 | 62.10% |
| 매출총이익 | 326,500,521 | 338,700,614 | 162,948,484 | 92.71% |
| 판매비와관리비 | 11,634,253,173 | 13,336,368,800 | 581,689,405 | 4.56% |
| 영업손실 | (11,307,752,652) | (12,997,668,186) | (418,740,921) | 3.33% |
| 영업외이익(손실) | (1,730,684,621) | (10,963,753,846) | (612,677,878) | 5.92% |
| 금융수익 | 244,780,391 | 89,321,776 | (1,485,638,814) | (94.33%) |
| 금융비용 | (1,352,368,871) | (374,215,065) | (107,215,802) | 40.16% |
| 기타수익 | 191,796,331 | 14,955,433 | 8,413,952 | 128.62% |
| 기타비용 | (814,892,472) | (20,783,496) | (4,870,019) | 30.60% |
| 지분법투자관련이익(손실) | - | (10,673,032,494) | 976,632,805 | (8.38%) |
| 법인세비용차감전순이익(손실) | (13,038,437,273) | (23,961,422,032) | (1,031,418,799) | 4.50% |
| 법인세비용 | (661,369,262) | - | - | - |
| 당기순이익(손실) | (12,377,068,011) | (23,961,422,032) | (1,031,418,799) | 4.50% |
(1) 매출액
당사의 당기 매출 인식액은 라이선스 수수료 0.6억원 및 화장품(제품) 매출 765백만원으로 구성되어 있습니다.
당사는 한국채택국제회계기준에 따라 기술이전 계약에 의해 반환의무 없는 선수수수료(Upfront Fee 등)를 받는 경우, 미래 제공할 추가적인 수행의무와 관련이 있는 것이라면 해당 의무를 수행하는 시기에 수익을 인식하고, 미래 제공할 추가적인 수행의무가 없다면 받았을 때 수익을 인식하고 있습니다. 당사는 2019년 (주)한독과 아토피 피부염 줄기세포치료제 국내 기술이전 계약 체결로 계약금(Upfront Fee) 10억원을 수령하였으며 당사가 계약에 따라서 1상 임상시험 수행으로 약 2.4억원의 수익을 인식하였으며, 2024년도에는 0.6억원을 수익인식 하였습니다.
(2) 판매비와관리비
당사의 당기 판매비와관리비는 전기 대비 약 17억원이 감소하였습니다.
진행중인 만성 이식편대숙주질환(임상 2상), 중등증-중증 급성 췌장염(임상 2a상) 및 중등증-중증 아토피 피부염(임상 1/2상)와 관련된 시약재료비 및 임상연구비 등이 전기 대비 감소하였으며, 인건비등 전반적으로 감소하였습니다.
(3) 영업외손익
당사의 당기 영업외손익은 전기 대비 9,233백만원 감소하였습니다.
(4) 지분법투자관련손실
당기말 현재 코이뮨에 대한 지분율 현황 및 출자금액은 다음과 같습니다.
| (단위: 원) | |||||||||
|---|---|---|---|---|---|---|---|---|---|
| 투자기업명 | 주요 영업활동 | 소재지 | 결산월 | 당기말 | 전기말 | ||||
| 지분율 (%) |
취득금액 | 장부금액 | 지분율 (%) |
취득금액 | 장부금액 | ||||
| CoImmune, Inc. | 세포치료제 연구개발 | 미국 | 12월 | 23.88% | 26,339,623,660 | - | 23.88% | 26,339,623,660 | - |
당사는 2019년 2월 미국 Argos Therapeutics의 기술력과 글로벌 최고 수준의 세포치료제 제조시설(cGMP) 및 품질관리 시스템을 확보하기 위하여 ㈜제넥신과 공동으로 인력, 특허, cGMP 제조시설 등 일체를 125억원에 인수하여, 미국 합작법인 CoImmune, Inc.(이하 "코이뮨")을 설립하여, 설립 시 당사가 51% 및 ㈜제넥신이 49% 지분을 보유하였습니다.
코이뮨의 100% 자회사인 CoImmune CAR-CIK, Inc.가 2020년 04월 30일 차세대 CAR-T 치료제 개발사인 이탈리아 Formula Phamaceuticals, Inc.와 합병하고, 국내 및 이탈리아 기관투자자로부터 총 45백만 달러(한화 약 510억원) 규모의 자금조달 유치하였습니다. 또한, 코이뮨은 2021년 4분기에 미국의 3대 암 센터인 메모리얼 슬로안 케터링 (Memorial Sloan Kettering, MSK) 암 센터와 코이뮨의 동종 CAR-CIK 기술을 이용한 고형암 치료제 개발에 관한 협약을 체결하였습니다.
2023년 2월 코이뮨은 '오렉시카'(OrexiCAR) 기술로 기존 카티(CAR-T) 세포치료제의 항종양 활성을 개선한 연구결과를 혈액학 분야 권위지인 '블러드'(Blood)에 게재하였습니다.
당기 중 투자기업은 영업을 종료하였고 당기 재무제표가 작성되지 아니하였습니다.
당기말 및 전기말 현재 코이뮨의 요약 재무상태는 다음과 같습니다.
<당기말>
| (단위: 원) | |||||
|---|---|---|---|---|---|
| 투자기업명 | 유동자산 | 비유동자산 | 유동부채 | 비유동부채 | 자본 |
| CoImmune, Inc. | - | - | - | - | - |
<전기말>
| (단위: 원) | |||||
|---|---|---|---|---|---|
| 투자기업명 | 유동자산 | 비유동자산 | 유동부채 | 비유동부채 | 자본 |
| CoImmune, Inc. | 1,033,192,867 | - | 2,591,475,988 | - | (1,558,283,121) |
당기 및 전기 중 코이뮨의 요약 경영성과는 다음과 같습니다.
<당기>
| (단위: 원) | |||||
|---|---|---|---|---|---|
| 투자기업명 | 매출액 | 영업손익 | 당기순손익 | 기타포괄손익 | 총포괄손익 |
| CoImmune, Inc. | - | - | - | - | - |
<전기>
| (단위: 원) | |||||
|---|---|---|---|---|---|
| 투자기업명 | 매출액 | 영업손익 | 당기순손익 | 기타포괄손익 | 총포괄손익 |
| CoImmune, Inc. | - | (29,113,907,129) | (34,271,731,448) | 904,219,176 | (33,367,512,272) |
당사는 재고자산, 이연법인세자산을 제외한 모든 비금융자산에 대해서는 매 보고기간말마다 자산손상을 시사하는 징후가 있는지를 검토하며, 만약 그러한 징후가 있다면 당해 자산의 회수가능액을 추정하고 있습니다. 단, 당사는 아직 사용할 수 없는 무형자산에 대해서는 자산손상을 시사하는 징후와 관계없이 매년 회수가능액과 장부금액을 비교하여 손상검사를 하고 있습니다.
회수가능액은 개별 자산별로, 또는 개별 자산의 회수가능액을 추정할 수 없다면 그 자산이 속하는 현금창출단위별로 회수가능액을 추정하고 있습니다. 회수가능액은 사용가치와 순공정가치 중 큰 금액으로 결정됩니다. 사용가치는 자산이나 현금창출단위에서 창출될 것으로 기대되는 미래현금흐름을 화폐의 시간가치 및 미래현금흐름 을 추정할 때 조정되지 아니한 자산의 특유위험에 대한 현행 시장의 평가를 반영한 적절한 할인율로 할인하여 추정됩니다.
자산이나 현금창출단위의 회수가능액이 장부금액에 미달하는 경우 자산의 장부금액을 감소시키며 즉시 당기손익으로 인식하고 있습니다.
당기 및 전기 중 코이뮨의 종목별 지분법평가내역은 다음과 같습니다.
<당기>
| (단위: 원) | ||||||
|---|---|---|---|---|---|---|
| 투자기업명 | 기초 | 취득 | 손상차손 | 지분법손익 | 지분법자본변동 | 기말 |
| CoImmune, Inc. | - | - | - | - | - | - |
<전기>
| (단위: 원) | ||||||
|---|---|---|---|---|---|---|
| 투자기업명 | 기초 | 취득 | 손상차손 | 지분법손익 | 지분법자본변동 | 기말 |
| CoImmune, Inc. | 10,321,348,902 | - | (2,205,093,039) | (8,467,939,455) | 351,683,592 | - |
다. 사업부문별 분석
현재, 당사가 영위하고 있는 주요 사업 범위는 아래와 같습니다.
| [에스씨엠생명과학㈜ 주요 사업 범위] |
| 구 분 | 제 품 |
|---|---|
| 줄기세포치료제 | 1. SCM-AGH, 중등증-중증 급성 췌장염 치료제 2. SCM-AGH, 중등증-중증 아토피 피부염 치료제 3. SCM-CGH, 만성 이식편대숙주질환 치료제 |
| 코스메슈티컬 | 이로로 디어스칼프, 탈모완화 기능성 코스메슈티컬 |
(1) SCM-AGH, 중등증-중증 급성 췌장염 치료제
당사는 2022년 8월 임상 2a 결과를 공시하고 임상결과데이터를 2022년 12월 제6회 소화기연관학회 국제소화기학술대회(Korea Digestive Disease Week 2022)에서 연구 초록을 발표하고 Best abstract(최우수 초록)상을 받았습니다.
또한 연이어 2023년 2월 급성 췌장염 줄기세포치료제 ‘SCM-AGH’ 임상2a상 결과 논문이 소화기 분야 세계적 저널 ‘Gastroenterology’(IF 33.883, 2021년 기준) 심사를 거쳐 게재가 확정되었습니다. 해당 논문은 ‘Human bone marrow-derived clonal mesenchymal stem cells decrease the initial C-reactive protein level in patients with moderately severe to severe acute pancreatitis(인간골수유래 줄기세포는 중등증-중증 급성 췌장염 환자의 초기 CRP를 감소시킨다)’는 제목으로, 급성 췌장염 예후 판정에 중요한 염증 표지자 CRP(C-Reactive Protein, C 반응 단백질)가 감소한 ‘SCM-AGH’ 임상2a상 결과를 주요 내용으로 설명하고 있습니다.
(2) SCM-AGH, 중등증-중증 아토피 피부염 치료제
2023년 5월 SCM-AGH, 중등증-중증 아토피 피부염 치료제 임상 1/2상 결과를 공시하였습니다. 국내 임상 3상은 한독(주)과 말레이시아, 싱가포르, 필리핀, 브루나이, 상기 아시아 4개국에 대해서는 듀오파마와 진행될 예정이며, 이를 제외한 해외 3상은 Global Big pharma와 협상할 계획입니다.
또한, 2025년 국내외 회사와 추가적인 L/O 구체화 협의 예정입니다.
(3) SCM-CGH, 만성 이식편대숙주질환 치료제
2023년 3월 임상 2상 환자등록이 완료되었습니다. 경쟁약물 대비 만성 이식편대숙주질환 줄기세포치료제 SCM-CGH는 1상 임상시험 단계에서 다수의 장기 반응을 호전시키는 것으로 확인되었으며, 시험약과의 연관성이 있는 중대한 이상반응이 관찰되지 않았고, 임상적으로 유의한 비정상 수치나 결과가 발생되지 않았습니다.
2024년 2상 임상시험에서 유효성이 확인되면 개발단계 희귀의약품으로 지정 받았기 때문에 조건부 품목허가를 받아 2025년에 시장에 진출할 것으로 예상하였지만, 2025년 1월 7일 임상 2상 결과 안전성과 더불어 새로운 치료 옵션에 대한 가능성을 여는 중요한 데이터를 확보, 향후 치료제 개발 전략을 최적화하는 임상등 필요시 추가 진행하여, 만성 이식편대숙주질환 치료에 대한 미충족 의료수요 해소 및 시장을 선도할 수 있을 것으로 판단됩니다.
(4) 더마코스메틱 사업
당사는 인하대병원과 줄기세포가 분비하는 단백질 중 발모효능을 보이고 있는 CXCL1의 추가 효능 연구와 줄기세포 배양액 연구를 추진하고 있습니다. 이를 통하여 탈모케어 브랜드 제품을 점진적으로 리뉴얼하고 있으며, 스킨케어 브랜드 이로로 뉴본을 런칭하여 인체유래줄기세포배양액을 통한 스킨케어 제품군을 출시하여 제품 포트폴리오를 확장하였습니다. 또한, 탈모케어 제품은 할랄인증을 통해 듀오파마와 해외수출계약을 진행하여 해외 매출액이 발생하고 있으며, ㈜이즈블랑과 스킨케어제품에 대한 일본과 MENA 지역 독점 판권 계약 체결 및 홍콩, 베트남 등 글로벌 더마코스메틱 시장에 진출하여 해외 매출액이 증가할 것으로 예상됩니다.
라. 신규사업
당사는 2022년 10월 인하대병원 인하대학교와 기술사업화 공동업무협약을 체결하였습니다. 이를 통하여 당사는 고순도 고효능 줄기세포를 인하대병원과 인하대학교에 공급하여 병원 현장에서 파악되는 케미컬의약품의 한계영역을 극복할 수 있는 신규 연구/임상 분야를 발굴하고 있습니다. 2023년 하반기부터 이에 대한 결과가 발생할 것으로 예상되며, 보고서 작성기준일 현재 신약 연구개발 이외에 추진 중이 확정된 신규 사업은 없습니다.
마. 환율변동
당사는 현재 해외 파트너사와의 기술이전, 기술도입 및 기술제휴 계약 또는 해외로부터의 연구용 소모품 및 설비 구입 또는 연구용역비 지출 등으로 인한 환율변동 위험에 노출되어 있으며, 환율의 불확실성은 당사의 미래 영업 거래 및 자산과 부채에 영향을 미칠 수 있습니다. 당사의 경영진은 원화환율 변동에 대한 주기적 평가 및 외화표시 자산 및 부채 관리를 통하여 외환위험을 관리하고 있습니다. 단, 사업연도 종료일 현재 화폐성 외화자산 및 부채는 보유하고 있지 않습니다.
바. 자산손상 및 감액손실
당사는 재고자산, 이연법인세자산을 제외한 모든 비금융자산에 대해서는 매 보고기간말마다 자산손상을 시사하는 징후가 있는지를 검토하며, 만약 그러한 징후가 있다면 당해 자산의 회수가능액을 추정하고 있습니다. 단, 당사는 아직 사용할 수 없는 무형자산에 대해서는 자산손상을 시사하는 징후와 관계없이 매년 회수가능액과 장부금액을 비교하여 손상검사를 하고 있습니다.
4. 유동성 및 자금조달과 지출
가. 유동성
당사는 당기말 현재 약 9억원의 유동성을 보유하고 있으며, 구성 내역은 아래와 같습니다.
| (단위 : 원) |
| 과목 | 제11기 | 제10기 | 증감 | 증감율 |
|---|---|---|---|---|
| 현금및현금성자산 | 49,593,950 | 4,495,612,283 | 4,026,059,766 | 139.30% |
| 단기금융상품 | 870,164,866 | 7,839,994,548 | (14,700,108,318) | (87.74%) |
| 합계 | 919,758,816 | 12,335,606,831 | (10,674,048,552) | (54.34%) |
또한, 당사의 현금및현금성자산의 현금흐름 현황은 다음과 같습니다.
| (단위 : 원) |
| 과목 | 제11기 | 제10기 |
|---|---|---|
| Ⅰ. 영업활동 현금흐름 | (10,052,775,519) | (12,136,025,734) |
| Ⅱ. 투자활동으로 인한 현금흐름 | 2,643,046,147 | (7,010,096,592) |
| Ⅲ. 재무활동으로 인한 현금흐름 | 2,963,711,039 | 16,725,399,416 |
| Ⅳ. 현금의 증가 | (4,446,018,333) | (2,420,722,910) |
| Ⅴ. 기초의 현금 | 4,495,612,283 | 6,916,335,193 |
| Ⅵ. 기말의 현금 | 49,593,950 | 4,495,612,283 |
당사는 연구개발활동 및 인건비를 포함한 운영비용 등 영업활동으로 현금유출이 약 101억원이 발생하였고, 정기예금 등 단기금융상품 취득 등 투자활동으로 약 26억원의 현금유입이 발생하였습니다. 또한 당기 주식매수선택권 행사 등 재무활동으로 인한 현금유입액은 약 30억원으로 현금 감소액은 약 44억원입니다.
당사는 단기 및 중장기 경영전략을 수립하여 현금흐름을 지속적으로 관리하고 있으며, 향후 발생할 수 있는 예상하지 못한 유동성 위험을 충당할 수 있는 충분한 현금성자산을 확보하고 있습니다.
나. 자금조달
당사는 공모자금과 금융기관 차입금을 통하여 자금조달을 하였습니다. 당사는 설립 이후 제3자 배정 유상증자 671억원 및 코스닥시장 공모자금 315억원 등총 986억원의 자금을 외부로부터 조달하였고 2022년 11월에 기업은행을 통하여 56.3억원을 조달하였습니다.
당사는 코스닥공모자금을 다음과 같이 사용하였습니다.
| (기준일 : | 2024년 12월 31일 | ) | (단위 : 백만원) |
| 구 분 | 회차 | 납입일 | 증권신고서 등의 자금사용 계획 |
실제 자금사용 내역 |
차이발생 사유 등 | ||
|---|---|---|---|---|---|---|---|
| 사용용도 | 조달금액 | 내용 | 금액 | ||||
| 코스닥시장 상장공모 |
1 | 2020.06.11 | 운영자금 (연구개발비) |
18,959 | 운영자금 (연구개발비) |
17,566 | 23년까지 집행 |
| 코스닥시장 상장공모 |
1 | 2020.06.11 | 운영자금 (일반) |
7,256 | 운영자금 (일반) |
6,214 | 23년까지 집행 |
| 코스닥시장 상장공모 |
1 | 2020.06.11 | 타법인증권 취득자금 |
2,555 | 타법인증권 취득자금 |
2,555 | 23년까지 집행 |
| 코스닥시장 상장공모 |
1 | 2020.06.11 | 시설자금 (공장건설) |
1,118 | 시설자금 (공장건설) |
1,118 | 23년까지 집행 |
| 주1) | 당사는 2020년 06월 17 일 코스닥시장에 상장하였으며, 31,518백만원(주관사 의무인수분 포함)에서 발행제비용1,630백만원을 제외한 29,888백만원이 조달되었습니다. |
당사는 금융기관을 통하여 당기말과 전기말에 다음과 같이 조달하고 있습니다.
| (단위: 원) | ||||||||
|---|---|---|---|---|---|---|---|---|
| 구분 | 차입처 | 내역 | 차입일 | 만기일 | 당기말 연이자율(%)(*) | 상환조건 | 당기말 | 전기말 |
| 단기차입금(*) | 기업은행 | 중소기업자금대출 | 2022.11.14 | 2023.11.14 | 6.36% | 만기일시상환 | - | 1,000,000,000 |
| 중소기업자금대출 | 2022.11.23 | 2023.11.23 | 6.60% | 만기일시상환 | - | 1,000,000,000 | ||
| 장기차입금 | 기업은행 | 중소기업시설자금대출 | 2022.11.14 | 2025.11.14 | 5.90% | 만기일시상환 | 3,630,000,000 | 3,630,000,000 |
| 장기차입금 | 기업은행 | 중소기업시설자금대출 | 2024.11.15 | 2027.11.15 | 3.98% | 만기일시상환 | 3,150,052,200 | - |
(*) 당사는 당기말 현재 동 차입금과 관련하여 당사의 유형자산을 담보로 제공하고 있습니다.
(*) 당사는 당기말 현재 3,150백만원의 신규 장기차입금이 발생하였습니다..
다. 지출
당사 영업활동 현금흐름을 보면 전기대비 22억원이 감소하였습니다. 이는 2023년 경영진이 진행 중인 연구와 임상 관련된 업무실사를 진행하여 불필요한 연구비와 임상개발비를 선제적으로 절감하는 노력이 반영되었습니다.
또한 무분별한 해외 라이선스 인을 추진하지 않고 당사의 고순도 고효능 줄기세포를 중심으로 인하대병원과 인하대학교의 다양한 연구/임상역량을 동시 다발적으로 연계하여 진행하는 운영모델을 진행하고 있습니다. 이를 통하여 당사의 독자적인 연구역량으로만 연구/임상하는 운영모델보다 성과창출의 Scale과 Speed 차원에서 긍정적인 효과를 창출할 것으로 판단하고 있습니다.
회수가능액은 개별 자산별로, 또는 개별 자산의 회수가능액을 추정할 수 없다면 그 자산이 속하는 현금창출단위별로 회수가능액을 추정하고 있습니다. 회수가능액은 사용가치와 순공정가치 중 큰 금액으로 결정됩니다. 사용가치는 자산이나 현금창출단위에서 창출될 것으로 기대되는 미래현금흐름을 화폐의 시간가치 및 미래현금흐름 을 추정할 때 조정되지 아니한 자산의 특유위험에 대한 현행 시장의 평가를 반영한 적절한 할인율로 할인하여 추정됩니다.
자산이나 현금창출단위의 회수가능액이 장부금액에 미달하는 경우 자산의 장부금액을 감소시키며 즉시 당기손익으로 인식하고 있습니다.
5. 부외거래
본 보고서 작성기준일 현재 당사의 부외거래는 존재하지 아니합니다.
6. 그 밖에 투자의사결정에 필요한 사항
가. 중요한 회계정책 및 추정에 관한 사항
중요한 회계정책 및 추정에 관한 사항은 "Ⅲ. 재무에 관한 사항" 중 '4. 재무제표 주석'을 참조하시기 바랍니다.
나. 환경 및 종업원 등에 관한 사항
(1) 환경에 관한 사항
보고서 작성기준일 현재 해당사항이 없습니다.
(2) 종업원에 관한 사항
당사는 공시대상기간 중 핵심인력의 이동이 없으며, 주요 핵심인력의 유출을 억제하기 위해 주식매수선택권의 부여, 직무발명보상제도 및 인사위원회 운영을 통한 성과에 대해 직접적이고 공정한 보상 등을 통해 동기부여를 하고 있습니다.
다. 법규상의 규제에 관한 사항
당사 신약 연구개발사업은 식품의약품안전처의 허가 또는 신고가 필요합니다. 당사는 신약 연구개발을 위하여 식품의약품안전처의 허가 또는 신고담당기관에 허가 또는 신고를 진행하여 사업을 진행합니다.
라. 위험관리정책에 관한 사항
당사는 공시대상기간 중 파생상품 관련 자산, 부채 및 거래는 없습니다. 당사는 여러 활동으로 인하여 시장위험(환위험, 공정가치 이자율 위험, 현금흐름 이자율 위험 및 가격위험), 신용위험 및 유동성위험과 같은 다양한 금융위험에 노출되어 있습니다. 당사의 전반적인 위험관리정책은 금융시장의 예측불가능성에 초점을 맞추고 있으며 재무성과에 잠재적으로 불리할 수 있는 효과를 최소화하는데 중점을 두고 있습니다.
위험관리는 이사회에서 승인한 정책에 따라 당사 재무경영관리부에 의해 이루어지고 있습니다. 당사 재무경영관리부는 당사의 현업 부서들과 긴밀히 협력하여 재무위험을 식별, 평가 및 회피하고 있습니다. 이사회는 외환위험, 이자율위험, 신용위험 및 유동성을 초과하는 투자와 같은 특정 분야에 관한 문서화된 정책 뿐 아니라, 전반적인 위험관리에 대한 문서화된 정책을 제공합니다.
(1) 외환위험
당사는 외화로 표시된 거래를 수행하고 있지 않으므로 외화와 관련된 환율변동위험에 노출되어 있지 않습니다.
(2) 이자율위험
이자율 위험은 시장이자율의 변동으로 인하여 금융상품에서 발생하는 이자수익 및 이자비용이 변동할 위험을 의미합니다. 변동이자율로 발행된 차입금으로 인하여 당사는 이자율변동에 따른 현금흐름변동위험에 노출되어 있습니다. 당기말 및 전기말 현재 이자율변동위험에 노출된 부채의 장부금액은 다음과 같습니다.
| (단위: 원) | ||
|---|---|---|
| 구 분 | 당기말 | 전기말 |
| 차입금 | 6,780,052,200 | 3,630,000,000 |
당사는 내부적으로 이자율 변동으로 인한 이자율위험을 정기적으로 측정하고 있습니다. 보고기간 종료일 현재 각 자산 및 부채에 대한 이자율이 1% 포인트 변동시 이자율 변동이 당기 및 전기 손익에 미치는 영향(법인세효과 제외)은 다음과 같습니다.
| (단위: 원) | ||||
|---|---|---|---|---|
| 구 분 | 당기 | 전기 | ||
| 1% 상승시 | 1% 하락시 | 1% 상승시 | 1% 하락시 | |
| 손익효과 | (67,800,522) | 67,800,522 | (36,300,000) | 36,300,000 |
(3) 가격위험
가격위험은 이자율위험이나 환위험 이외의 시장가격의 변동으로 인하여 금융상품의공정가치나 미래현금흐름이 변동할 위험을 의미합니다.
(4) 신용위험
신용위험은 보유하고 있는 수취채권 및 확정계약을 포함한 거래처에 대한 신용위험뿐 아니라 현금성자산, 은행 등의 금융기관 예치금으로부터 발생하고 있습니다. 은행및 금융기관의 경우, 독립적인 신용평가기관으로부터의 신용등급이 최소 A이상인 경우에 한하여 거래를 하고 있습니다. 당기 중 신용위험에 중요한 영향을 미치는 사항은 발견되지 않았으며, 경영진은 거래상대방의 의무불이행으로 인한 손실을 예상하고 있지 아니합니다.
(5) 유동성위험
당사는 차입금한도를 적정수준으로 유지하고 영업 자금 수요를 충족시킬 수 있도록 유동성에 대한 예측을 항시 모니터링하여 차입금 한도나 약정을 위반하는 일이 없도록 하고 있습니다. 유동성에 대한 예측 시에는 당사의 자금조달 계획, 약정 준수, 당사 내부의 목표재무비율 및 통화에 대한 제한과 같은 외부 법규나 법률 요구사항이 있는 경우 그러한 요구사항을 고려하고 있습니다.
당기말과 전기말 현재 당사의 유동성 위험 분석내역은 다음과 같습니다.
<당기말>
| (단위: 원) | |||||
|---|---|---|---|---|---|
| 구 분 | 3개월 미만 | 3개월~1년 이하 | 1년~ 2년 이하 | 2년~ 5년 이하 | 합 계 |
| 기타금융부채 | 1,626,618,307 | - | - | 70,000,000 | 1,696,618,307 |
| 차입금 | 69,607,987 | 3,868,238,383 | 125,246,075 | 3,265,004,077 | 7,328,096,522 |
| 리스부채 | 72,453,799 | 92,710,865 | 22,506,000 | 4,840,000 | 192,510,664 |
| 합 계 | 1,768,680,093 | 3,960,949,248 | 147,752,075 | 3,339,844,077 | 9,217,225,493 |
<전기말>
| (단위: 원) | |||||
|---|---|---|---|---|---|
| 구 분 | 3개월 미만 | 3개월~1년 이하 | 1년~ 2년 이하 | 2년~ 5년 이하 | 합 계 |
| 기타금융부채 | 572,834,591 | - | - | 70,000,000 | 642,834,591 |
| 차입금 | 52,852,004 | 161,492,236 | 3,826,726,905 | - | 4,041,071,145 |
| 리스부채 | 40,329,939 | 98,189,817 | 33,193,064 | 27,346,000 | 199,058,820 |
| 합 계 | 666,016,534 | 259,682,053 | 3,859,919,969 | 97,346,000 | 4,882,964,556 |
당사는 상기에서 언급한 예측을 통해 결정된 대로 유동성이 확보될 수 있도록 적절한만기나 충분한 유동성을 제공해주는 정기예금, 수시입출금식 예금 등의 금융상품을 선택하여 잉여자금을 투자하고 있습니다.
(6) 자본위험관리
당사의 자본관리 목적은 계속기업으로서 주주 및 이해당사자들에게 이익을 지속적으로 제공할 수 있는 능력을 보호하고 자본비용을 절감하기 위해 최적 자본구조를 유지하는 것입니다.
당기말과 전기말 현재의 자본조달비율은 다음과 같습니다.
| (단위: 원) | ||
|---|---|---|
|
구 분 |
당기말 | 전기말 |
|
총차입금(*) |
6,966,428,218 | 3,818,065,217 |
|
차감: 현금및현금성자산 |
49,593,950 | 4,495,612,283 |
|
순부채 |
6,916,834,268 | (677,547,066) |
|
자본총계 |
14,178,820,686 | 20,473,543,664 |
| 총자본 | 21,095,654,954 | 19,795,996,598 |
|
자본조달비율 |
32.79% | -3.42% |
(*) 당기말 및 전기말 총차입금에는 리스부채가 포함되어 있습니다.
마. 우발부채 및 약정사항
(1) 당사는 당기말 현재 신용카드 등 전자결제 대행계약에 따른 손해배상 및 전기요금 납부 지급보증과 관련하여 서울보증보험의 이행지급보증보험(부보금액:45,000,000원)에 가입하고 있습니다.
(2) 당기말 현재 담보제공자산 등의 현황은 다음과 같습니다.
| (단위: 원) | |||
|---|---|---|---|
| 구 분 | 장부금액 | 담보설정액 | 비 고 |
| 토지 | 13,647,996,000 | 8,556,000,000 | 기업은행 |
| 건물 | 1,729,182,921 | ||
(3) 당사는 우리은행을 통해 라임자산운용 주식회사가 운용하는 펀드 상품에 가입하였으며, 본건 펀드 환매 중단으로 인하여 우리은행으로부터 보상금을 지급받았습니다. 당기말 현재 본건 펀드의 수익증권을 담보목적물로 하여 본건 펀드에 대한 보상금 494,943,130원에 대해 근질권이 설정되어 있습니다.
V. 회계감사인의 감사의견 등
1. 외부감사에 관한 사항
1. 회계감사인의 명칭 및 감사의견(검토의견 포함한다. 이하 이 조에서 같다)을 다음의 표에 따라 기재한다.
회계감사인의 명칭 및 감사의견
| 사업연도 | 구분 | 감사인 | 감사의견 | 의견변형사유 | 계속기업 관련 중요한 불확실성 |
강조사항 | 핵심감사사항 |
|---|---|---|---|---|---|---|---|
| 제11기 (당기) |
감사보고서 | 삼정회계법인 | 적정의견 | - | 해당 | 해당사항 없음 | 경상연구개발비의 발생사실 |
| 연결감사 보고서 |
- | - | - | - | - | - | |
| 제10기 (전기) |
감사보고서 | 삼일회계법인 | 적정의견 | - | - | 해당사항 없음 | 관계기업투자주식에 대한 손상평가 |
| 연결감사 보고서 |
- | - | - | - | - | - | |
| 제9기 (전전기) |
감사보고서 | 삼일회계법인 | 적정의견 | - | - | 해당사항 없음 | 관계기업투자주식에 대한 지분법 회계처리 |
| 연결감사 보고서 |
- | - | - | - | - | - |
2. 감사용역 체결현황은 다음의 표에 따라 기재한다.
감사용역 체결현황
| (단위 : 백만원, 시간) |
| 사업연도 | 감사인 | 내 용 | 감사계약내역 | 실제수행내역 | ||
|---|---|---|---|---|---|---|
| 보수 | 시간 | 보수 | 시간 | |||
| 제11기(당기) | 삼정회계법인 | - 반기 재무제표 검토, - 개별 재무제표에 대한 감사 - 개별 내부회계관리제도에 대한 감사 |
100 | 920 | 100 | 1,075 |
| 제10기(전기) | 삼일회계법인 | - 반기 재무제표 검토, - 개별 재무제표에 대한 감사 - 개별 내부회계관리제도에 대한 감사 |
148 | 1,150 | 148 | 1,050 |
| 제9기(전전기) | 삼일회계법인 | - 반기 재무제표 검토, - 개별 재무제표에 대한 감사 - 개별 내부회계관리제도에 대한 감사 |
144 | 1,150 | 144 | 1,081 |
3. 회계감사인과의 비감사용역 계약체결 현황은 다음의 표에 따라 기재한다.
| (단위 : 백만원) |
| 사업연도 | 계약체결일 | 용역내용 | 용역수행기간 | 용역보수 | 비고 |
|---|---|---|---|---|---|
| 제11기(당기) | - | - | - | - | - |
| - | - | - | - | - | |
| 제10기(전기) | 2023.04 | 재무결산업무 자문용역 | 2023.04~2024.01 | 92 | 삼정회계법인 |
| - | - | - | - | - | |
| 제9기(전전기) | 2022.09 | 재무결산업무 자문용역 | 2022.09~2023.03 | 62 | 삼정회계법인 |
| - | - | - | - | - |
4. 재무제표 중 이해관계자의 판단에 상당한 영향을 미칠 수 있는 사항에 대해 내부감사기구가 회계감사인과 논의한 결과를 다음의 표에 따라 기재한다.
| 구분 | 일자 | 참석자 | 방식 | 주요 논의 내용 |
|---|---|---|---|---|
| 1 | 2023년 10월 18일 | 회사측 : 감사, 재무담당이사 감사인측 : 업무담당이사, 담당공인회계사 |
서면회의 | 독립성, 감사계획 등 |
| 2 | 2024년 03월 19일 | 회사측 : 감사, 재무담당이사 감사인측 : 업무담당이사, 담당공인회계사 |
서면회의 | 독립성, 핵심감사사항, 강조사항, 감사발견사항 보고 등 |
| 3 | 2025년 02월 17일 | 회사측 : 감사, 재무담당 부사장 감사인측 : 감사, 업무수행이사 |
서면회의 | 경영진 및 감사인의 책임, 감사범위와 시기 등 감사계획 |
| 4 | 2025년 03월 17일 | 회사측 : 감사, 재무담당 부사장 감사인측 : 감사, 업무수행이사 |
서면회의 | 감사실시 내용 등 감사결과 |
5. 회계감사인의 변경
당사는 기존 감사인 계약 기간 만료 후 「주식회사 등의 외부감사에 관한 법률」제10조에 의거 감사가 '감사인선임위원회' 의 승인을 받아 2024년 제11기부터 회계감사인을 삼일회계법인(PwC)에서 삼정회계법인(KPMG)로 변경하였습니다.
2. 내부통제에 관한 사항
경영진의 내부회계 관리제도 효과성 평가 결과
| 사업연도 | 구분 | 운영실태 보고서 보고일자 |
평가 결론 | 중요한 취약점 |
시정조치 계획 등 |
|---|---|---|---|---|---|
| 제11기 (당기) |
내부회계 관리제도 |
2025.02.04 | 중요성의 관점에서 효과적으로 설계되어 운영되고 있다고 판단 | 해당사항 없음 | 해당사항 없음 |
| 연결내부회계 관리제도 |
- | - | - | - | |
| 제10기 (전기) |
내부회계 관리제도 |
2024.02.01 | 중요성의 관점에서 효과적으로 설계되어 운영되고 있다고 판단 | 해당사항 없음 | 해당사항 없음 |
| 연결내부회계 관리제도 |
- | - | - | - | |
| 제9기 (전전기) |
내부회계 관리제도 |
2023.02.04 | 중요성의 관점에서 효과적으로 설계되어 운영되고 있다고 판단 | 해당사항 없음 | 해당사항 없음 |
| 연결내부회계 관리제도 |
- | - | - | - |
감사(위원회)의 내부회계관리제도 효과성 평가 결과
| 사업연도 | 구분 | 평가보고서 보고일자 |
평가 결론 | 중요한 취약점 |
시정조치 계획 등 |
|---|---|---|---|---|---|
| 제11기 (당기) |
내부회계 관리제도 |
2025.02.28 | 중요성의 관점에서 효과적으로 설계되어 운영되고 있다고 판단 | 해당사항 없음 | 해당사항 없음 |
| 연결내부회계 관리제도 |
- | - | - | - | |
| 제10기 (전기) |
내부회계 관리제도 |
2024.02.29 | 중요성의 관점에서 효과적으로 설계되어 운영되고 있다고 판단 | 해당사항 없음 | 해당사항 없음 |
| 연결내부회계 관리제도 |
- | - | - | - | |
| 제9기 (전전기) |
내부회계 관리제도 |
2023.02.28 | 중요성의 관점에서 효과적으로 설계되어 운영되고 있다고 판단 | 해당사항 없음 | 해당사항 없음 |
| 연결내부회계 관리제도 |
- | - | - | - |
감사인의 내부회계관리제도 감사의견(검토결론)
| 사업연도 | 구분 | 감사인 | 유형 (감사/검토) |
감사의견 또는 검토결론 |
지적사항 | 회사의 대응조치 |
|---|---|---|---|---|---|---|
| 제11기 (당기) |
내부회계 관리제도 |
삼정회계법인 | 감사 | 적정의견 | 해당사항 없음 | 해당사항 없음 |
| 연결내부회계 관리제도 |
- | - | - | - | - | |
| 제10기 (전기) |
내부회계 관리제도 |
삼일회계법인 | 감사 | 적정의견 | 해당사항 없음 | 해당사항 없음 |
| 연결내부회계 관리제도 |
- | - | - | - | - | |
| 제9기 (전전기) |
내부회계 관리제도 |
삼일회계법인 | 감사 | 적정의견 | 해당사항 없음 | 해당사항 없음 |
| 연결내부회계 관리제도 |
- | - | - | - | - |
1. 내부회계관리·운영조직 인력 및 공인회계사 보유현황
| 소속기관 또는 부서 |
총 원 | 내부회계담당인력의 공인회계사 자격증 보유비율 |
내부회계담당 인력의 평균경력월수 |
||
|---|---|---|---|---|---|
| 내부회계 담당인력수(A) |
공인회계사자격증 소지자수(B) |
비율 (B/A*100) |
|||
| 감사(위원회) | 1 | 1 | - | - | 48 |
| 이사회 | 3 | 3 | - | - | 12 |
| 재무경영팀 | 4 | 2 | - | - | 3 |
2. 회계담당자의 경력 및 교육실적
| 직책 (직위) |
성명 | 회계담당자 등록여부 |
경력 (단위:년, 개월) |
교육실적 (단위:시간) |
||
|---|---|---|---|---|---|---|
| 근무연수 | 회계관련경력 | 당기 | 누적 | |||
| 회계담당임원 | 고세원 | 등록 | 3개월 | 30년 | 1 | 1 |
| 회계담당직원 | 구자선 | 등록 | 3개월 | 17년 | 1 | 1 |
| 회계담당직원 | 신상록 | 등록 | 3개월 | 2년 | 1 | 1 |
| 회계담당직원 | 이하경 | 등록 | 1년 | 1년 | 2 | 2 |
VI. 이사회 등 회사의 기관에 관한 사항
1. 이사회에 관한 사항
가. 이사회 구성 개요
보고서 작성기준일 현재(2024년 12월 31일) 당사의 이사회는 사내이사 1명(송기령), 사외이사 2명(안진호, 김기병), 기타비상무이사 1명(레오나드아리프압둘샤타르) 총 4명으로 구성되어 있습니다.
2024년 10월 4일 임시주주총회를 통해 사내이사 송기령(선임 당일 기타비상무이사직 사임), 사내이사 김성우, 사외이사 김기병, 사외이사 안진호가 신규 선임되었으며, 2024년 10월 8일 이사회에서 송기령 대표이사가 선임되었습니다.
2024년 10월 11일 오형남, 이종철 사내이사가 사임하었으며, 2024년 10월 15일 김성우 사내이사가 사임하였습니다.
이사회 의장은 송기령 대표이사로, 제약 바이오 산업 패러다임의 급격한 변화 등 악화된 경영환경에 효율적이고 신속하게 대응하고, 책임경영을 실천하기 위하여 이사회 의장으로 선임되었습니다.
이사회는 회사의 최고 의사결정기구로서 주주와 이해관계자들의 이익을 대변하는 동시에 회사의 지속적인 성장을 목표로 법령과 정관에서 정한 사항, 회사 운영의 기본방침 및 업무진행에 관한 중요한 사항을 결의하고, 이사 및 경영진의 직무집행을 감독하고 있습니다.
이사회는 매 분기 개최되는 정기이사회 뿐만 아니라 이사회의 의결이 필요한 사항 발생 시 수시로 개최되며, 이사회 의장 또는 이사회에서 달리 정한 이사가 소집합니다. 이사회 소집 시에는 이사회 규정에 따라 회의일 1일 전까지 각 이사에게 개최시기, 장소 및 안건을 통지하고 있으며, 결의는 관계 법령에서 달리 정하는 경우를 제외하고 이사 과반수의 출석과 출석이사 과반수의 찬성으로 하고 있습니다.
(1) 사외이사 및 그 변동현황
| (단위 : 명) |
| 이사의 수 | 사외이사 수 | 사외이사 변동현황 | ||
|---|---|---|---|---|
| 선임 | 해임 | 중도퇴임 | ||
| 4 | 2 | 2 | - | 2 |
| 주1) | 문종호 사외이사는 2024년 4월 8일 일신상의 사유로 자진 사임하셨습니다. |
| 주2) | 이희성 사외이사는 2024년 6월 30일 일신상의 사유로 자진 사임하셨습니다. |
| 주3) | 2024년 10월 4일 개최된 임시주주총회에서 김기병 사외이사, 안진호 사외이사가 선임되었습니다. |
나. 중요의결사항 등
보고서 작성 대상 기간 중 개최된 이사회의 중요 의결사항 및 보고사항은 다음과 같습니다.
| 구분 | 일 시 | 의 안 내 용 | 가결 여부 |
사내이사 | 사외이사 | 기타비상무이사 | ||||||||
|---|---|---|---|---|---|---|---|---|---|---|---|---|---|---|
| 손병관 (출석률: 100%) (주1) |
오형남 (출석률: 100%) (주7) |
이종철 (출석률: 100%) (주8) |
송기령 (출석률: 100%) (주4) |
김성우 (출석률: 0%) (주6) |
이희성 (출석률: 100%) (주2) |
문종호 (출석률 : 25%) (주3) |
안진호 (출석률 : 100%) (주4) |
김기병 (출석률 : 100%) (주4) |
레오나드 아리프 압둘샤타르 (출석률: 80%) |
송기령 (출석률 : 100%) |
||||
| 임시 | 2024.02.02 | 제 1호 의안 : 외부감사 전 2023 결산 재무제표에 대한 승인의 건 | 가결 | 찬성 | 찬성 | 찬성 | - | - | 찬성 | 찬성 | - | - | 불참 | 찬성 |
| 정기 | 2024.02.14 | 제 1호 의안 : 제10기 결산 재무제표 및 영업보고서 승인의 건 제 2호 의안 : 주식매수선택권 취소의 건 제 3호 의안 : 주주총회 안건 상정의 건 제 4호 의안 : 정기주주총회 소집의 건 |
가결 | 찬성 | 찬성 | 찬성 | - | - | 찬성 | 불참 | - | - | 불참 | 찬성 |
| 임시 | 2024.03.14 | 제 1호 의안 : 제 10기 결산 재무제표 및 영업보고서 승인의 건 | 가결 | 찬성 | 찬성 | 찬성 | - | - | 찬성 | 불참 | - | - | 찬성 | 찬성 |
| 임시 | 2024.03.21 | 제 1호 의안 : 유형 자산 양수 결정의 건 | 부결 | 찬성 | 찬성 | 찬성 | - | - | 반대 | 불참 | - | - | 반대 | 반대 |
| 정기 | 2024.05.22 |
제 1호 의안 : 신규 이사 선임을 위한 임시주주총회 개최의 건 |
부결 | - | 반대 | 반대 | - | - | 중도퇴장 | - | - | - | 반대 | 찬성 |
| 임시 | 2024.10.08 | 제 1호 의안 : 신규 대표이사 김성우 선임의 건 (주5) | 보류 | - | - | - | - | - | - | - | - | - | - | - |
| 제 2호 의안 : 신규 대표이사 송기령 선임의 건 | 가결 | - | 반대 | 반대 | - | - | - | - | 찬성 | 찬성 | 찬성 | 찬성 | ||
| 임시 | 2024.10.25 | 제 1호 의안 : 주식매수선택권 취소의 건 | 가결 | - | - | - | 찬성 | - | - | - | 찬성 | 찬성 | 찬성 | - |
| 임시 | 2024.11.13 | 제 1호 의안 : 시설자금 차입 승인의 건 | 가결 | - | - | - | 찬성 | - | - | - | 찬성 | 찬성 | 찬성 | - |
| 정기 | 2024.12.16 | 제 1호 의안 : 주주명부 폐쇄 및 기준일 설정의 건 제 2호 의안 : 주식매수선택권 취소의 건 |
가결 | - | - | - | 찬성 | - | - | - | 찬성 | 찬성 | 찬성 | - |
| 임시 | 2024.12.17 | 제 1호 의안 : 부동산(GMP시설) 매입 승인의 건 | 가결 | - | - | - | 찬성 | - | - | - | 찬성 | 찬성 | 찬성 | - |
| 주1) | 손병관 대표이사는 2024년 3월 31일 일신상의 사유로 자진 사임하셨습니다. |
| 주2) | 이희성 사외이사는 2024년 6월 30일 일신상의 사유로 자진 사임하셨습니다. |
| 주3) | 문종호 사외이사는 2024년 4월 8일 일신상의 사유로 자진 사임하셨습니다. |
| 주4) | 2024년 10월 4일, 임시 주주총회 안건 가결에 따라, 송기령 사내이사, 김성우 사내 이사, 안진호 사외이사, 김기병 사외이사가 선임되었습니다. |
| 주5) | 2024년 10월 8일 '제 1호의안 : 신규대표이사 김성우 선임의 건'은 김성우 이사님의 불출석으로 보류되었습니다. |
| 주6) | 김성우 사내이사는 2024년 10월 15일 일신상의 사유로 자진 사임하셨습니다. |
| 주7) | 오형남 사내이사는 2024년 10월 11일 일신상의 사유로 자진 사임하셨습니다. |
| 주8) | 이종철 사내이사는 2024년 10월 11일 일신상의 사유로 자진 사임하셨습니다. |
다. 이사회내 위원회
당사는 보고서 작성 기준일 현재 이사회 내 위원회를 구성하고 있지 않습니다.
라. 이사의 독립성
보고서 작성기준일 현재, 이사회 구성원은 주주총회에서 선임하며, 주주총회에서 선임할 이사 후보자는 이사회에서 선정하여 주주총회에 제출할 의안으로 확정하고 있습니다. 이사의 선임과 관련하여 관련 법규에 의거한 주주제안이 있는 경우, 이사회는 적법한 범위 내에서 이를 주주총회에 의안으로 제출하고 있습니다. 상기와 같은 절차에 따라 선임된 당사의 이사는 최대주주 또는 주요주주와의 관계에 있어서 독립적입니다.
| 구분 | 임기 | 연임 여부 |
연임 횟수 |
선임배경 | 추천인 | 이사로서의 활동분야 |
회사와의 거래 |
최대주주 또는 관계 등 |
|---|---|---|---|---|---|---|---|---|
| 송기령 | 2027.10.03 | 미해당 | - | 에스씨엠생명과학㈜ 기타비상무이사 에스씨엠생명과학㈜ 대표이사 |
이사회 | 경영관리 | - | 최대주주 본인 |
| 레오나드 아리프 압둘샤타르 |
2025.03.28 | 해당 | 1회 |
Usaha Pharma Sdn. Bhd., Managing ICI Paints Malaysia Sdn. Bhd., Managing Director CCM Duopharma Biotech Berhad, CEO CCM Chemicals Sdn. Bhd. Director Chemical Company of Malaysia Berhad Duopharma Biotech Berhad. Group |
이사회 | 경영관리 | - | 등기임원 |
| 안진호 | 2027.10.03 | 미해당 | - | 법무법인 세종 변호사 법무법인 KL Partners 파트너 변호사 법무법인 LAB Partners 파트너 변호사 |
이사회 | 법률자문 | - | 등기임원 |
| 김기병 | 2027.10.03 | 미해당 | - | (주)아스트라제네카 팀장, 부장 (주)한국노바티스 본부장, 이사 (주)DKSH Korea 상무 (주)엑소시그널 전무 |
이사회 | 경영자문 | - | 등기임원 |
| 주1) | 손병관 대표이사는 2024년 3월 31일 일신상의 사유로 자진 사임하셨습니다. |
| 주2) | 문종호 사외이사는 2024년 4월 8일 일신상의 사유로 자진 사임하셨습니다. |
| 주3) | 이희성 사외이사는 2024년 6월 30일 일신상의 사유로 자진 사임하셨습니다. |
| 주4) | 작성기준일 이후인 2024년 10월 4일 개최된 임시주주총회에서 김성우 사내이사, 김기병 사외이사, 안진호 사외이사가 선임되었으며, 송기령 기타비상무이사는 동일날짜 사임 후, 사내이사로 선임되셨습니다. |
| 주5) | 작성기준일 이후인 2024년 10월 8일 개최된 이사회에서 송기령 대표이사가 선임되셨습니다. |
| 주6) | 작성기준일 이후인 2024년 10월 11일 오형남, 이종철 전무이사는 등기이사에서 사임하셨습니다. |
| 주7) | 작성기준일 이후인 2024년 10월 15일 김성우 사내이사는 일신상의 사유로 자진 사임하셨습니다. |
마. 사외이사의 전문성
(1) 사외이사 지원조직
| 부서(팀)명 | 직원수(명) | 직위(근속연수) | 주요 활동내역 |
|---|---|---|---|
| ESG경영팀 | 1명 | 대리 1명 (평균 17개월 ) |
- 직무수행을 위한 보조 - 이사회 개최 안내 및 자료 제공 - 사내 주요 현안 안내 및 제공 - 사외이사 교육 |
(2) 사외이사 교육 미실시 내역
| 사외이사 교육 실시여부 | 사외이사 교육 미실시 사유 |
|---|---|
| 미실시 | 해당사항 없음 |
2. 감사제도에 관한 사항
가. 감사위원회 설치 여부
당사는 보고서 작성기준일 현재 감사위원회를 별도로 설치하고 있지 않으며, 주주총회 결의에 의하여 선임된 비상근 감사 1명이 감사업무를 수행하고 있습니다.
감사위원 현황
| 성명 | 사외이사 여부 |
경력 | 회계ㆍ재무전문가 관련 | ||
|---|---|---|---|---|---|
| 해당 여부 | 전문가 유형 | 관련 경력 | |||
| 정선영 | - |
중앙대 경영학 학사 Univ. of Denver, MBA 한국거래소 위니아딤채 사외이사 |
예 | 금융기관,정부,증권유관기관 등 경력자 (4호 유형) |
87.08 ~ 19.03 한국거래소 |
다. 감사의 독립성
당사의 감사는 상법 상 감사로서의 자격요견을 충족하며, 이사회 및 타 부서와 독립적인 위치에서 업무를 수행하고 있습니다. 또한 당사는 감사의 감사업무에 필요한 경영정보 접근을 위하여 정관에 아래와 같은 조항을 두고 있습니다.
|
제48조(감사의 직무와 의무) ② 감사는 회의의 목적사항과 소집의 이유를 기재한 서면을 이사회에 제출하여 임시주주총회의 소집을 청구할 수 있다. ③ 감사는 그 직무를 수행하기 위하여 필요한 때에는 자회사에 대하여 영업의 보고를 요구할 수 있다. 이 경우 자회사가 지체없이 보고를 하지 아니할 때 또는 그 보고의 내용을 확인할 필요가 있는 때에는 자회사의 업무와 재산상태를 조사할 수 있다. ④ 감사에 대해서는 제37조 제3항의 규정을 준용한다. ⑤ 감사는 회사의 비용으로 전문가의 도움을 구할 수 있다. ⑥ 감사는 필요하면 회의의 목적사항과 소집이유를 적은 서면을 이사(소집권자가 있는 경우에는 소집권자)에게 제출하여 이사회 소집을 청구할 수 있다. ⑦ 제6항의 청구를 하였는데도 이사가 지체 없이 이사회를 소집하지 아니하면 그 청구한 감사가 이사회를 소집할 수 있다. |
라. 감사의 주요 활동내용
당분기까지 총 10회의 이사회가 소집되었고 정선영 감사는 총 10회 참석(출석률 100%)하였습니다.
| 구 분 | 일 시 | 의 안 내 용 | 가결 여부 |
참석여부 |
|---|---|---|---|---|
| 임시 | 2024.02.02 | 제 1호 의안 : 외부감사 전 2023 결산 재무제표에 대한 승인의 건 | 가결 | O |
| 정기 | 2024.02.14 | 제 1호 의안 : 제10기 결산 재무제표 및 영업보고서 승인의 건 제 2호 의안 : 주식매수선택권 취소의 건 제 3호 의안 : 주주총회 안건 상정의 건 제 4호 의안 : 정기주주총회 소집의 건 |
가결 | O |
| 임시 | 2024.03.14 | 제 1호 의안 : 제 10기 결산 재무제표 및 영업보고서 승인의 건 | 가결 | O |
| 임시 | 2024.03.21 | 제 1호 의안 : 유형 자산 양수 결정의 건 | 부결 | O |
| 정기 | 2024.05.22 |
제 1호 의안 : 신규 이사 선임을 위한 임시주주총회 개최의 건 |
부결 | O |
| 임시 | 2024.10.08 | 제 1호 의안 : 신규 대표이사 김성우 선임의 건 제 2호 의안 : 신규 대표이사 송기령 선임의 건 |
가결 | O |
| 임시 | 2024.10.25 | 제 1호 의안 : 주식매수선택권 취소의 건 | 가결 | O |
| 임시 | 2024.11.13 | 제 1호 의안 : 시설자금 차입 승인의 건 | 가결 | O |
| 정기 | 2024.12.16 | 제 1호 의안 : 주주명부 폐쇄 및 기준일 설정의 건 제 2호 의안 : 주식매수선택권 취소의 건 |
가결 | O |
| 임시 | 2024.12.17 | 제 1호 의안 : 부동산(GMP시설) 매입 승인의 건 | 가결 | O |
감사 교육 미실시 내역
| 감사 교육 실시여부 | 감사 교육 미실시 사유 |
|---|---|
| 미실시 | 감사 업무 수행에 필요한 전문성 및 적격성을 보유하고 있어, 필요시 관련 교육 예정 |
사. 감사 지원조직 현황
| 부서(팀)명 | 직원수(명) | 직위(근속연수) | 주요 활동내역 |
|---|---|---|---|
| 준법경영실 | 2 | 부장(3년) 과장(2년) |
- 회사 경영활동에 대한 감사 업무 지원 - 주주총회, 이사회 등 경영전반에 관한 감사업무 지원 |
아. 준법지원인 등 현황
당사는 보고서 작성 기준일 현재 해당사항 없습니다.
3. 주주총회 등에 관한 사항
가. 투표제도 현황
| (기준일 : | 2024년 12월 31일 | ) |
| 투표제도 종류 | 집중투표제 | 서면투표제 | 전자투표제 |
|---|---|---|---|
| 도입여부 | 배제 | 미도입 | 도입 |
| 실시여부 | - | - | 제10기(2024년도) 정기주총 |
나. 소수주주권 및 경영권 경쟁
- 경영권분쟁소송의 경우, 2024년 8월 14일 인천지방법원의 판결로 임시주주총회가 허가되어, 2024년 10월 4일 임시주주총회가 개최되었으며, 신청인이 청구한 주주총회 의안이 모두 가결 되었습니다. 이에, 사내이사 송기령, 김성우, 사외이사 김기병, 안진호가 신규 선임되었으며, 2024년 10월 8일 이사회에서 송기령 대표이사가 신규 선임 되었습니다.
| 내용 | 소송신청자 | 진행 경과 및 결과 | 비고 |
| 임시주주총회 | (소집권자) 송기령 |
2024.10.04 진행 | 2024.10.04 임시주주총회 결과 공시 참조 |
| 주주명부열람등사 가처분 |
송기령 | 2024.08.28 허가 | 2024.08.28 소송등 판결 공시 참조 |
| 주주총회소집허가 | 송기령 | 2024.08.14 허가 | 2024.08.14 소송등 판결 공시 참조 |
다. 의결권 현황
| (기준일 : | 2024년 12월 31일 | ) | (단위 : 주) |
| 구 분 | 주식의 종류 | 주식수 | 비고 |
|---|---|---|---|
| 발행주식총수(A) | 보통주 | 20,467,248 | - |
| 우선주 | - | - | |
| 의결권없는 주식수(B) | 보통주 | 6,638 | - |
| 우선주 | - | - | |
| 정관에 의하여 의결권 행사가 배제된 주식수(C) | 보통주 | - | - |
| 우선주 | - | - | |
| 기타 법률에 의하여 의결권 행사가 제한된 주식수(D) |
보통주 | - | - |
| 우선주 | - | - | |
| 의결권이 부활된 주식수(E) | 보통주 | - | - |
| 우선주 | - | - | |
| 의결권을 행사할 수 있는 주식수 (F = A - B - C - D + E) |
보통주 | 20,460,610 | - |
| 우선주 | - | - |
라. 주식사무
|
구 분 |
내 용 |
||
|
정관상 |
제10조(신주인수권) ② 회사는 제1항의 규정에도 불구하고 다음 각 호의 어느 하나에 해당하는 경우 이사회의 결의로 주주 외의 자에게 신주를 배정할 수 있다. 1. 발행주식총수의 100분의 50을 초과하지 않는 범위 내에서「자본시장과 금융투자업에 관한 법률」제165조의 6에 따라 일반공모증자 방식으로 신주를 발행하는 경우 2.「상법」제542조의 3에 따른 주식매수선택권의 행사에 인하여 신주를 발행하는 경우 3. 발행하는 주식총수의 100분의 20 범위 내에서 우리사주조합원에게 주식을 우선배정하는 경우 4.「근로복지기본법」제39조의 규정에 의한 우리사주매수선택권의 행사로 인하여 신주를 발행하는 경우 5. 발행주식총수의 100분의 20을 초과하지 않는 범위 내에서 긴급한 자금조달을 위하여 국내외 금융기관 또는 기관투자자에게 신주를 발행하는 경우 6. 발행주식총수의 100분의 40을 초과하지 않는 범위 내에서 사업상 중요한 기술도입, 연구개발, 생산·판매·자본제휴를 위하여 그 상대방에게 신주를 발행하는 경우 7. 자본시장과 금융투자업에 관한 법률 제9조에서 정한 “유가증권시장 또는 코스닥시장(코넥스시장 포함)”에 주권을 신규상장하기 위하여 신주를 모집하거나 인수인에게 인수하는 경우 ③ 제2항 각 호 중 어느 하나의 규정에 의해 신주를 발행할 경우 발행할 주식의 종류와 수 및 발행가격 등은 이사회의 결의로 정한다. ④ 신주인수권의 포기 또는 상실에 따른 주식과 신주배정에서 발생한 단주에 대한 처리방법은 이사회의 결의로 정한다. |
||
|
결 산 일 |
12월 31일 |
정기주주총회 |
매년 이사회 결의로 정한 날 (결의된 기준일 2주전 공고) |
|
주주명부폐쇄기준일 |
「주식ㆍ사채 등의 전자등록에 관한 법률」에 따라 당사의 주식은 전자등록되어 있어, 주주명부 폐쇄기간의 설정이 불필요함으로 폐쇄기간을 정관상 별도로 규정하고 있지 않음 |
||
|
주주명부폐쇄시기 |
「주식ㆍ사채 등의 전자등록에 관한 법률」에 따라 당사의 주식은 전자등록되어 있어, 주주명부 폐쇄기간의 설정이 불필요함으로 폐쇄기간을 정관상 별도로 규정하고 있지 않음 |
||
| 주권의 종류 | 「주식ㆍ사채 등의 전자등록에 관한 법률」에 따라 주권 및 신주인수권증서에 표시되어야 할 권리가 의무적으로 전자등록됨에 따라 '주권의 종류'를 기재하지 않음. | ||
|
명의개서대리인 |
국민은행 증권대행부 |
||
|
주주의 특전 |
없음 |
||
| 공고방법 | 회사의 공고는 회사의 인터넷 홈페이지(www.scmlifescience.com)에 한다. 다만, 전산장애 그 밖의 부득이한 사유로 회사의 홈페이지에 공고를 할 수 없을 때에는 전국에 발행되는 일간 한국경제신문에 게재한다. | ||
| 주1) | 작성기준일 이후 진행된 2024년 10월 4일 개최된 임시주주총회에서 사업상 중요한 기술도입, 연구개발, 생산·판매·자본제휴를 위한 신주발행 확대를 위해 제10조(신주인수권) 제2항 내용 일부가 변경되었습니다. (6. 발행주식총수의 100분의 20을 ...-> 6. 발행주식총수의 100분의 40을...) |
마. 주주총회 의사록 요약
| 일 자 | 안건 | 결의 내용 | 주요 논의내용 |
|---|---|---|---|
| 제8기 정기총회 2022.03.28 |
제1호 의안 : 제8기(2021.01.01~2021.12.31) 재무제표 승인의 건 |
가결 | 특이사항 없음 |
|
제2호 의안 : 주식매수선택권 부여의 건 |
가결 | 특이사항 없음 | |
|
제3호 의안 : 이사 선임의 건 |
가결 | 특이사항 없음 | |
|
제4호 의안 : 사외이사 문종호 선임의 건 |
가결 | 특이사항 없음 | |
|
제5호 의안 : 감사 정선영 중임의 건 |
가결 | 특이사항 없음 | |
| 제6호 의안 : 정관 일부 변경의 건 | 가결 | 특이사항 없음 | |
| 제7호 의안 : 이사보수한도 승인의 건 | 가결 | 특이사항 없음 | |
| 제8호 의안 : 감사보수한도 승인의 건 | 가결 | 특이사항 없음 | |
| 임시총회 2022.07.22 |
제1호 의안 : 사내이사 손병관 선임의 건 | 가결 | 특이사항 없음 |
| 제2호 의안 : 주식매수선택권 부여의 건 | 가결 | 특이사항 없음 | |
| 제9기 정기총회 2023.03.29 |
제1호 의안 : 제9기(2022.01.01~2022.12.31) 재무제표 승인의 건 |
가결 | 특이사항 없음 |
|
제2호 의안 : 주식매수선택권 부여 승인의 건 |
가결 | 특이사항 없음 | |
|
제3호 의안 : 주식매수선택권 부여의 건 |
가결 | 특이사항 없음 | |
|
제4호 의안 : 사외이사 이희성 선임(중임)의 건 |
가결 | 특이사항 없음 | |
|
제5호 의안 : 정관 일부 변경의 건 |
가결 | 특이사항 없음 | |
|
제6호 의안 : 이사 보수한도 승인의 건 |
가결 | 특이사항 없음 | |
| 제7호 의안 : 감사 보수한도 승인의 건 | 가결 | 특이사항 없음 | |
| 제10기 정기총회 2024.03.28 |
제1호 의안 : 제10기(2023.01.01~2023.12.31) 재무제표 승인의 건 |
가결 | 특이사항 없음 |
|
제2호 의안 : 주식매수선택권 부여 승인의 건 |
가결 | 특이사항 없음 | |
|
제3호 의안 : 이사 보수한도 승인의 건 |
가결 | 특이사항 없음 | |
| 제4호 의안 : 감사 보수한도 승인의 건 | 가결 | 특이사항 없음 | |
| 임시총회 2024.10.04 |
제1호 의안: 이사 선임의 건 제1-1호 의안: 사내이사 김성우 선임의 건 제1-2호 의안: 사내이사 송기령 선임의 건 제1-3호 의안: 사외이사 안진호 선임의 건 제1-4호 의안: 사외이사 김기병 선임의 건 |
가결 | 특이사항 없음 |
| 제2호 의안 : 정관 변경의 건 | 가결 | 특이사항 없음 |
| 주1) | 작성기준일 이후 진행된 2024년 10월 4일 임시주주총회가 진행되었으며, 동일 날짜 '임시주주총회 결과' 공시를 참고하시기 바랍니다. |
VII. 주주에 관한 사항
가. 최대주주 및 특수관계인의 주식소유 현황
| (기준일 : | 2024년 12월 31일 | ) | (단위 : 주, %) |
| 성 명 | 관 계 | 주식의 종류 |
소유주식수 및 지분율 | 비고 | |||
|---|---|---|---|---|---|---|---|
| 기 초 | 기 말 | ||||||
| 주식수 | 지분율 | 주식수 | 지분율 | ||||
| SONG KEE RYOUNG (송기령) |
본인 | 보통주 | 3,479,744 | 17.00 | 3,479,744 | 17.00 | - |
| 손병관 | 등기임원 | 보통주 | 96,226 | 0.47 | 0 | 0 | 주1) |
| 오형남 | 등기임원 | 보통주 | 26,758 | 0.13 | 0 | 0 | 주3) |
| 이종철 | 등기임원 | 보통주 | 7,945 | 0.04 | 0 | 0 | 주3) |
| 이희성 | 사외이사 | 보통주 | 8,818 | 0.04 | 0 | 0 | 주2) |
| 정선영 | 감사 | 보통주 | 5,008 | 0.02 | 5,008 | 0.02 | 주3) |
| 계 | 보통주 | 3,624,499 | 17.71 | 3,484,752 | 17.02 | - | |
| 우선주 | - | - | - | - | - | ||
| 주1) | 손병관 대표이사는 2024년 3월 31일 일신상의 사유로 사임하여, 특별관계가 해소되었습니다. |
| 주2) | 이희성 사외이사는 2024년 6월 30일 일신상의 사유로 사임하여, 특별관계가 해소되었습니다. |
| 주3) | 오형남, 이종철 사내이사는 2024년 10월 31일자로 사임하여, 특별관계가 해소되었습니다.. |
나. 최대주주의 주요경력 및 개요
| 성 명 (생년월일) |
직 책 | 주 요 경 력 | 비 고 |
|---|---|---|---|
| 송기령 (64.12.02) |
대표이사 | 에스씨엠생명과학(주) 기타비상무이사 에스씨엠생명과학(주) 대표이사 |
- |
다. 최대주주의 변동을 초래할 수 있는 특정 거래
| 채권자 (담보권자) |
채무자 | 차입목적 | 담보권 종류 | 담보제공주식수(주) | 의무보유여부 | 담보제공기간 | 계약체결일 | |
|---|---|---|---|---|---|---|---|---|
| 시작일 | 종료일 | |||||||
| 연수세무서 | 송기령 | 상속세연부연납 | 공탁 | 1,456,890 | 미해당 | 2023.06.26 | 2032.09.30 | 2023.06.26 |
| 연수세무서 | 송기령 | 상속세연부연납 | 공탁 | 425,059 | 미해당 | 2024.02.26 | 2032.09.30 | 2024.02.26 |
| 주1) | 2024년 2월 26일 계약은 2023년 6월 26일 계약의 주가변동에 따른 차액분 주식에 대한 추가 공탁 건입니다. |
| 주2) | 공시기준일 2024년 12월 31일 이후인 2025년 1월 22일, 262,241주의 상속세연부연납용 공탁거래가 진행되었습니다. 2024년 2월 26일에 담보제공기간이 시작되어 2032년 9월 30일에 종료 예정입니다. |
라. 최대주주의 최대주주(법인 또는 단체)의 개요
당사는 보고서 작성기준일 현재 해당사항이 없습니다.
마. 최대주주의 변동 내역
| (기준일 : | 2024년 12월 31일 | ) | (단위 : 주, %) |
| 변동일 | 최대주주명 | 소유주식수 | 지분율 | 변동원인 | 비 고 |
|---|---|---|---|---|---|
| 2022년 09월 20일 | 송기령 | 2,846,000 | 23.48% | 상속절차 완료 | 주1) |
| 주1) | 당사는 기존 최대주주 송순욱의 별세(2022년 03월 10일)로 인한 상속절차가 2022년 09월 20일 완료됨에 따라 최대주주가 송기령으로 변경되었습니다. |
| 주2) | 상기 소유주식수 및 지분율은 변동일 당시 특수관계인 합산 소유주식수 및 지분율입니다. |
주식 소유현황
| (기준일 : | 2024년 12월 31일 | ) | (단위 : 주) |
| 구분 | 주주명 | 소유주식수 | 지분율(%) | 비고 |
|---|---|---|---|---|
| 5% 이상 주주 | 송기령 (SONG KEE RYOUNG) |
3,479,744 | 17.00 | 최대주주 |
| - | - | - | - | |
| 우리사주조합 | - | - | - | |
소액주주현황
| (기준일 : | 2024년 12월 31일 | ) | (단위 : 주) |
| 구 분 | 주주 | 소유주식 | 비 고 | ||||
|---|---|---|---|---|---|---|---|
| 소액 주주수 |
전체 주주수 |
비율 (%) |
소액 주식수 |
총발행 주식수 |
비율 (%) |
||
| 소액주주 | 19,093 | 19,098 | 99.97 | 15,700,209 | 20,467,248 | 76.71 | - |
아. 주가 및 거래 실적
| (기준일 : 2024년 12월 31일) | (단위 : 원, 주) |
| 종 류 | 구 분 | 2024년 7월 | 2024년 8월 | 2024년 9월 | 2024년 10월 | 2024년 11월 | 2024년 12월 | |
|---|---|---|---|---|---|---|---|---|
| 보통주 | 주가(주1) | 최고 | 2,720 | 2,705 | 2,215 | 2,330 | 2,770 | 2,155 |
| 최저 | 2,190 | 2,040 | 2,015 | 1,870 | 1,700 | 1,653 | ||
| 평균 | 2,465 | 2,314 | 2,101 | 2,067 | 2,087 | 1,890 | ||
| 거래량 | 최고(일) | 3,115,890 | 1,179,792 | 152,514 | 907,050 | 11,420,669 | 604,674 | |
| 최저(일) | 43,336 | 17,316 | 22,259 | 19,437 | 71,916 | 30,514 | ||
| 월간 | 8,523,800 | 3,095,900 | 1,025,042 | 2,107,610 | 24,226,238 | 2,239,149 | ||
| 주1) | 해당 주가는 수정주가가 적용된 해당 일자의 종가입니다. |
VIII. 임원 및 직원 등에 관한 사항
1. 임원 및 직원 등의 현황
가. 임원 현황
| (기준일 : | 2024년 12월 31일 | ) | (단위 : 주) |
| 성명 | 성별 | 출생년월 | 직위 | 등기임원 여부 |
상근 여부 |
담당 업무 |
주요경력 | 소유주식수 | 최대주주와의 관계 |
재직기간 | 임기 만료일 |
|
|---|---|---|---|---|---|---|---|---|---|---|---|---|
| 의결권 있는 주식 |
의결권 없는 주식 |
|||||||||||
| 송기령 | 여 | 1964년 12월 | 대표이사 | 사내이사 | 상근 | 경영관리 | 에스씨엠생명과학(주) 기타비상무이사 에스씨엠생명과학(주) 대표이사 |
3,479,744 | - | 최대주주 본인 |
3개월 | 2027년 10월 03일 |
| 전명신 | 여 | 1966년 01월 | 전무이사 | 미등기 | 상근 | 최고기술책임 | Heinrich-Heine University Dusseldorf 박사 La Jolla Institute for Immunology 박사후 연구원 서울성모병원 연구교수 현, 인하대학교 의과대학 교수 현, 에스씨엠생명과학㈜ 전무이사 |
2,320 | - | - | 1년 9개월 | - |
| 레오나드 아리프 압둘샤타르 |
남 | 1964년 12월 | 기타비상무이사 | 기타비상무이사 | 비상근 | 경영관리 |
Usaha Pharma Sdn. Bhd., Managing Director ICI Paints Malaysia Sdn. Bhd., Managing Director CCM Duopharma Biotech Berhad, CEO CCM Chemicals Sdn. Bhd. Director Chemical Company of Malaysia Berhad Duopharma Biotech Berhad. Group Managing Director |
- | - | 등기임원 | 5년 | 2025년 03월 28일 |
| 안진호 | 남 | 1979년 10월 | 사외이사 | 사외이사 | 비상근 | 법률자문 | 법무법인 세종 변호사 법무법인 KL Partners 파트너 변호사 법무법인 LAB Partners 파트너 변호사 |
- | - | 등기임원 | 3개월 | 2027년 10월 03일 |
| 김기병 | 남 | 1974년 08월 | 사외이사 | 사외이사 | 비상근 | 경영자문 | (주)아스트라제네카 팀장, 부장 (주)한국노바티스 본부장, 이사 (주)DKSH Korea 상무 (주)엑소시그널 전무 |
- | - | 등기임원 | 3개월 | 2027년 10월 03일 |
| 문성민 | 남 | 1967년 08월 | 부사장 | 미등기 | 상근 | 경영관리 | REDROCK Int. co.ltd,.지사장 (주)베스트앱, 대표 리마커블아시아(주), 대표이사 |
- | - | - | 3개월 | - |
| 고세원 | 남 | 1969년 08월 | 부사장 | 미등기 | 상근 | 경영관리 | (주)뉴코아, 경리부 (주)코디에스, CFO (주)코디엠, CFO |
- | - | - | 3개월 | - |
| 정선영 | 남 | 1962.08 | 감사 | 감사 | 비상근 | 감사 |
중앙대 경영학 학사 Univ. of Denver, MBA 한국거래소 위니아딤채 사외이사 |
5,008 | - | - | 5년 7개월 | 2025.03.28 |
| 주1) | 작성기준일 이후인 2024년 10월 4일 개최된 임시주주총회에서 김성우 사내이사, 김기병 사외이사, 안진호 사외이사가 선임되었으며, 송기령 기타비상무이사는 동일날짜 사임 후, 사내이사로 선임되었습니다. |
| 주2) | 작성기준일 이후인 2024년 10월 8일 개최된 이사회에서 송기령 대표이사가 선임되었습니다. |
| 주3) | 작성기준일 이후인 2024년 10월 8일 문성민 부사장, 고세원 부사장이 입사하였습니다. |
| 주4) | 작성기준일 이후인 2024년 10월 15일 김성우 사내이사는 일신상의 이유로 사임하였습니다. |
| 주5) | 작성기준일 이후인 2024년 10월 31일 오형남, 이종철 전무이사, 함동식 상무이사는 사임하였습니다. |
나. 임원 겸직 현황
| 성 명 | 직 위 | 겸직 현황 | |||
|---|---|---|---|---|---|
| 회사명 | 직 위 | 담당업무 | 선임연월 | ||
| 전명신 | 전무이사 |
인하대학교 의과대학 |
교수 | 교수 | 2012.03 |
|
레오나드아리프압둘샤타르 |
기타비상무이사 |
Duopharma Biotech Berhad |
Group Managing Director |
경영총괄 | 2017.12 |
|
정선영 |
감사 | 주식회사 바이오메트릭스테크놀로지 |
감사 |
감사 |
2024.04 |
다. 직원 등 현황
| (기준일 : | 2024년 12월 31일 | ) | (단위 : 천원) |
| 직원 | 소속 외 근로자 |
비고 | |||||||||||
|---|---|---|---|---|---|---|---|---|---|---|---|---|---|
| 사업부문 | 성별 | 직 원 수 | 평 균 근속연수 |
연간급여 총 액 |
1인평균 급여액 |
남 | 여 | 계 | |||||
| 기간의 정함이 없는 근로자 |
기간제 근로자 |
합 계 | |||||||||||
| 전체 | (단시간 근로자) |
전체 | (단시간 근로자) |
||||||||||
| 줄기세포사업부문 | 여 | 33 | - | - | - | 33 | 4.80 | 1,583,498 | 47,985 | - | - | - | - |
| 줄기세포사업부문 | 남 | 23 | - | - | - | 23 | 2.97 | 1,421,321 | 62,476 | - | |||
| 합 계 | 56 | - | - | - | 56 | 3.88 | 3,004,819 | 53,898 | - | ||||
라. 미등기임원 보수 현황
| (기준일 : | 2024년 12월 31일 | ) | (단위 : 백만원) |
| 구 분 | 인원수 | 연간급여 총액 | 1인평균 급여액 | 비고 |
|---|---|---|---|---|
| 미등기임원 | 3 | 220 | 73 | - |
| 주1) | 인원수는 상기 기준일 재직자를 기준으로 작성하였으며 등기임원은 제외하였습니다. |
| 주2) | 연간급여 총액은 사업연도 개시일부터 상기 기준일까지의 누계 금액으로서, 퇴직한임원을 포함하여 기재하였으며, 고정급, 성과급 및 급여성 복리후생비 금액 등을 포함하였습니다. |
| 주3) | 1인 평균 급여액은 급여 총액을 보고서 작성기준일 현재 인원수로 나누어 산출하였습니다. |
2. 임원의 보수 등
| <이사ㆍ감사 전체의 보수현황> |
가. 주주총회 승인금액
| (단위 : 천원) |
| 구 분 | 인원수 | 주주총회 승인금액 | 비고 |
|---|---|---|---|
| 이사 | 4 | 2,000,000 | - |
| 감사 | 1 | 100,000 | - |
나. 보수지급금액
(1) 이사ㆍ감사 전체
| (단위 : 천원) |
| 인원수 | 보수총액 | 1인당 평균보수액 | 비고 |
|---|---|---|---|
| 5 | 608,118 | 121,624 | - |
| 주1) | 인원수는 보고서 작성기준일 현재 재임중인 임원 기준입니다. |
| 주2) | 보수총액은 사업연도 개시일부터 공시서류작성기준일까지의 기간 동안 재임 및 퇴직한 이사, 감사를 포함하여 기재하였으며, 고정급, 성과급 및 급여성 복리후생비 금액 등은 포함하고 퇴직급여 등 충당성 금액은 제외하였습니다. |
| 주3) | 1인당 평균보수액은 보수총액을 보고서 작성기준일 현재 인원수로 나누어 산출하였습니다. |
(2) 유형별
| (단위 : 천원) |
| 구 분 | 인원수 | 보수총액 | 1인당 평균보수액 |
비고 |
|---|---|---|---|---|
| 등기이사 (사외이사, 감사위원회 위원 제외) |
2 | 532,118 | 266,059 | 주4,7,8,9) |
| 사외이사 (감사위원회 위원 제외) |
2 | 40,000 | 20,000 | 주5,6,7) |
| 감사위원회 위원 | - | - | - | - |
| 감사 | 1 | 36,000 | 36,000 | - |
| 주1) | 인원수는 보고서 작성기준일 현재 기준입니다. |
| 주2) | 보수총액은 사업연도 개시일부터 공시서류작성기준일까지의 기간 동안 재임 및 퇴직한 이사, 감사를 포함하여 기재하였으며, 고정급, 성과급 및 급여성 복리후생비 금액 등은 포함하고 퇴직급여 등 충당성 금액은 제외하였습니다. |
| 주3) | 1인당 평균보수액은 보수총액을 보고서 작성기준일 현재 인원수로 나누어 산출하였습니다. |
| 주4) | 기타비상무이사 1인은 등기이사에 포함하였습니다. |
| 주5) | 문종호 사외이사는 2024년 4월 8일 일신상의 사유로 자진 사임하셨습니다. |
| 주6) | 이희성 사외이사는 2024년 6월 30일 일신상의 사유로 자진 사임하셨습니다. |
| 주7) | 2024년 10월 4일, 임시 주주총회 안건 가결에 따라 ,송기령 사내이사, 김성우 사내이사, 안진호 사외이사, 김기병 사외이사가 선임되었습니다. |
| 주8) | 오형남, 이종철 사내이사는 2024년 10월 11일 일신상의 사유로 자진 사임하셨습니다. |
| 주9) | 김성우 사내이사는 2024년 10월 15일 일신상의 사유로 자진 사임하였습니다. |
다. 이사ㆍ감사의 보수지급기준
| 구분 | 지급기준 |
|---|---|
| 등기이사 (사외이사, 감사위원회 위원 제외) |
주주총회 결의로 정한 이사보수한도 범위 내에서 내부기준을 기초로 하여, 직무·직급, 근속기간, 리더십, 전문성, 회사기여도, 인재육성 등을 종합적으로 반영하여 지급 |
| 사외이사 (감사위원회 위원 제외) |
주주총회 결의로 정한 이사보수한도 범위 내에서 독립성 및 투명성을 보장하기 위하여 고정 보수로 지급하며, 경영성과에 연동되는 별도의 경영성과급은 지급하지 아니함 |
| 감사 | 주주총회 결의로 정한 감사보수한도 범위 내에서 독립성 및 투명성을 보장하기 위하여 고정 보수로 지급하며, 경영성과에 연동되는 별도의 경영성과급은 지급하지 아니함 |
라. 이사ㆍ감사의 개인별 보수현황
(1) 보수지급금액 5억원 이상인 이사, 감사의 개인별 보수현황
| <보수지급금액 5억원 이상인 이사ㆍ감사의 개인별 보수현황> |
1. 개인별 보수지급금액
| (단위 : 원) |
| 이름 | 직위 | 보수총액 | 보수총액에 포함되지 않는 보수 |
|---|---|---|---|
| - | - | - | - |
| - | - | - | - |
| 주1) | 당분기말 현재 개인별 보수지급금액이 5억원 이상인 이사ㆍ감사가 없습니다. |
2. 산정기준 및 방법
| (단위 :원 ) |
| 이름 | 보수의 종류 | 총액 | 산정기준 및 방법 | |
|---|---|---|---|---|
| - | 근로소득 | 급여 | - | - |
| 상여 | - | - | ||
| 주식매수선택권 행사이익 |
- | - | ||
| 기타 근로소득 | - | - | ||
| 퇴직소득 | - | - | ||
| 기타소득 | - | - | ||
(2) 보수지급금액 5억원 이상 중 상위 5명의 개인별 보수지급금액
| <보수지급금액 5억원 이상 중 상위 5명의 개인별 보수현황> |
| (단위 : 원) |
| 이름 | 직위 | 보수총액 | 보수총액에 포함되지 않는 보수 |
|---|---|---|---|
| - | - | - | - |
| - | - | - | - |
| 주1) | 당분기말 현재 개인별 보수지급금액이 5억원 이상인 이사ㆍ감사가 없습니다. |
2. 산정기준 및 방법
| (단위 : ) |
| 이름 | 보수의 종류 | 총액 | 산정기준 및 방법 | |
|---|---|---|---|---|
| 근로소득 | 급여 | |||
| 상여 | ||||
| 주식매수선택권 행사이익 |
||||
| 기타 근로소득 | ||||
| 퇴직소득 | ||||
| 기타소득 | ||||
마. 주식매수선택권의 부여 및 행사현황
<표1>
| (단위 : 천원) |
| 구 분 | 부여받은 인원수 |
주식매수선택권의 공정가치 총액 | 비고 |
|---|---|---|---|
| 등기이사 (사외이사, 감사위원회 위원 제외) |
1 | 1,273 | 주1) |
| 사외이사 (감사위원회 위원 제외) |
- | - | - |
| 감사위원회 위원 또는 감사 | 1 | 14,649 | - |
| 업무집행지시자 등 | - | - | - |
| 계 | 2 | 15,922 | - |
|
주1) |
기타비상무이사 1인은 등기이사에 포함하였습니다. |
| 주2) | 당사는 이항모형에 의한 공정가치접근법을 적용하여 보상원가를 산정합니다. |
| 주3) | 금융감독원 작성지침에 따르면, 당해 사업연도(분ㆍ반기) 손익계산서(포괄손익계산서)에 주식매수선택권과 관련하여 비용으로 기재하라고 되어있습니다. 금융감독원에 질의하여, 작성항목이 공정가치 총액이므로 기간 별 발생비용이 아닌 해당 기간의 공정가치 총액을 기재하였습니다. |
<표2>
| (기준일 : | 2024년 12월 31일 | ) | (단위 : 원, 주) |
| 부여 받은자 |
관 계 | 부여일 | 부여방법 | 주식의 종류 |
최초 부여 수량 |
당기변동수량 | 총변동수량 | 기말 미행사수량 |
행사기간 | 행사 가격 |
의무 보유 여부 |
의무 보유 기간 |
||
|---|---|---|---|---|---|---|---|---|---|---|---|---|---|---|
| 행사 | 취소 | 행사 | 취소 | |||||||||||
| 이병건 | 등기임원 | 2018.05.15 | 신주교부 | 보통주 | 343,946 | - | - | 137,579 | - | 206,367 | 2020.05.16~2025.05.15 | 5,088 | X | - |
| 오형남 | 미등기임원 | 2018.06.15 | 신주교부 | 보통주 | 83,046 | - | - | 20,761 | - | 62,285 | 2021.06.16~2025.06.15 | 5,238 | X | - |
| 함동식 | 미등기임원 | 2018.06.15 | 신주교부 | 보통주 | 2,768 | - | - | - | - | 2,768 | 2021.06.16~2025.06.15 | 5,238 | X | - |
| OOO 외 37명 | 직원 | 2018.06.15 | 신주교부 | 보통주 | 298,952 | - | - | 118,913 | 70,587 | 109,452 | 2021.06.16~2025.06.15 | 5,238 | X | - |
| 오석우 | 등기임원 | 2019.01.18 | 신주교부 | 보통주 | 28,639 | - | - | - | - | 28,639 | 2022.01.19~2026.01.18 | 6,285 | X | - |
| OOO | 직원 | 2019.01.18 | 신주교부 | 보통주 | 8,591 | - | - | - | - | 8,591 | 2022.01.19~2026.01.18 | 6,285 | X | - |
| 오석우 | 등기임원 | 2019.03.29 | 신주교부 | 보통주 | 87,145 | - | - | - | - | 87,145 | 2022.03.30~2026.03.29 | 6,885 | X | - |
| 김용보 | 미등기임원 | 2019.03.29 | 신주교부 | 보통주 | 29,048 | - | - | - | - | 29,048 | 2022.03.30~2026.03.29 | 6,885 | X | - |
| 박의선 | 미등기임원 | 2019.03.29 | 신주교부 | 보통주 | 29,048 | - | - | - | 29,048 | - | 2022.03.30~2026.03.29 | 6,885 | X | - |
| OOO 외 12명 | 직원 | 2019.03.29 | 신주교부 | 보통주 | 87,137 | - | - | 14,233 | 11,618 | 61,286 | 2022.03.30~2026.03.29 | 6,885 | X | - |
| 이병건 | 등기임원 | 2019.07.17 | 신주교부 | 보통주 | 145,344 | - | - | - | - | 145,344 | 2021.07.18~2026.07.17 | 7,483 | X | - |
| 정선영 | 등기임원 | 2019.09.20 | 신주교부 | 보통주 | 15,086 | - | - | - | - | 15,086 | 2022.09.21~2026.09.20 | 9,280 | X | - |
| 정은경 | 미등기임원 | 2019.09.20 | 신주교부 | 보통주 | 45,258 | - | - | - | - | 45,258 | 2022.09.21~2026.09.20 | 9,280 | X | - |
| OOO 외 7명 | 직원 | 2019.09.20 | 신주교부 | 보통주 | 60,340 | - | - | - | 9,051 | 51,289 | 2022.09.21~2026.09.20 | 9,280 | X | - |
| 이병건 | 등기임원 | 2020.06.30 | 신주교부 또는 | 보통주 | 562,958 | - | - | - | 562,958 | - | 2022.07.01~2027.06.30 | 19,100 | X | - |
| 이희성 | 등기임원 | 2020.06.30 | 신주교부 또는 | 보통주 | 15,916 | - | - | - | - | 15,916 | 2022.07.01~2027.06.30 | 19,100 | X | - |
| 최희주 | 등기임원 | 2020.06.30 | 신주교부 또는 | 보통주 | 15,916 | - | - | - | - | 15,916 | 2022.07.01~2027.06.30 | 19,100 | X | - |
| 레오나드 | 등기임원 | 2020.06.30 | 신주교부 또는 | 보통주 | 15,916 | - | - | - | - | 15,916 | 2022.07.01~2027.06.30 | 19,100 | X | - |
| 이종철 | 미등기임원 | 2021.03.26 | 신주교부 | 보통주 | 40,094 | - | 40,094 | - | 40,094 | - | 2024.03.27~2028.03.26 | 22,609 | X | - |
| OOO외 5명 | 직원 | 2021.03.26 | 신주교부 | 보통주 | 65,751 | - | - | - | 49,714 | 16,037 | 2024.03.27~2028.03.26 | 22,609 | X | - |
| 김석조 | 미등기임원 | 2021.08.13 | 신주교부 | 보통주 | 31,833 | - | - | - | 31,833 | - | 2024.08.14~2028.08.13 | 19,105 | X | - |
| 이서종 | 미등기임원 | 2021.08.13 | 신주교부 | 보통주 | 23,875 | - | - | - | 23,875 | - | 2024.08.14~2028.08.13 | 19,105 | X | - |
| OOO 외 2명 | 직원 | 2021.08.13 | 신주교부 | 보통주 | 30,240 | - | - | - | 23,874 | 6,366 | 2024.08.14~2028.08.13 | 19,105 | X | - |
| OOO외 3명 | 직원 | 2021.11.12 | 신주교부 | 보통주 | 18,679 | - | - | - | 4,670 | 14,009 | 2024.11.13~2028.11.12 | 13,211 | X | - |
| OOO외 1명 | 직원 | 2022.02.08 | 신주교부 | 보통주 | 13,857 | - | - | - | 9,238 | 4,619 | 2025.02.08~2029.02.07 | 11,498 | X | - |
| OOO 외 7명 | 직원 | 2022.05.13 | 신주교부 | 보통주 | 60,202 | - | 8,810 | - | 20,556 | 39,646 | 2025.05.14~2029.05.13 | 7,423 | X | - |
| OOO외 5명 | 직원 | 2022.09.30 | 신주교부 | 보통주 | 42,109 | - | 4,211 | - | 19,651 | 22,458 | 2025.10.01~2029.09.30 | 5,625 | X | - |
| OOO외 2명 | 직원 | 2022.12.29 | 신주교부 | 보통주 | 17,908 | - | - | - | 10,446 | 7,462 | 2025.12.30~2029.12.29 | 8,426 | X | - |
| OOO외 1명 | 직원 | 2023.02.28 | 신주교부 | 보통주 | 14,667 | - | 8,800 | - | 8,800 | 5,867 | 2026.03.01~2030.02.28 | 7,370 | X | - |
| 손병관 | 등기임원 | 2023.03.29 | 신주교부 | 보통주 | 58,007 | - | 58,007 | - | 58,007 | - | 2025.03.30~2029.03.29 | 6,815 | X | - |
| 문종호 | 등기임원 | 2023.03.29 | 신주교부 | 보통주 | 21,752 | - | 21,752 | - | 21,752 | - | 2025.03.30~2029.03.29 | 6,815 | X | - |
| OOO외 3명 | 직원 | 2023.06.09 | 신주교부 | 보통주 | 32,516 | - | - | - | - | 32,516 | 2026.06.10~2030.06.09 | 7,800 | X | - |
|
주1) |
공시서류작성기준일(2024년 12월 30일) 종가 : 1,891원 |
| 주2) | 당사의 2023년 9월 15일 유상증자, 2023년 9월 18일 무상증자에 따라 주식매수선택권 부여 수량 및 행사가격을 다음와 같이 조정하였습니다. |
주2) [주식매수선택권 행사가액 및 수량 조정 세부내역]
(1) 조정 대상 주식: 에스씨엠생명과학(주) 임직원에게 기 부여된 주식매수선택권 중
2023년 9월 15일 유상증자 및 2023년 9월 18일 무상증자 기준일 현재 미행사
잔여주식 전체
(2) 조정 사유: 에스씨엠생명과학(주) 유상증자(기준일: 2023년 9월 15일) 및 무상
증자(기준일: 2023년 9월 18일)로 인한 주식매수선택권 행사수량 및 행사가액
조정
(3) 조정 근거: 당사 주식매수선택권 부여계약서 제4조(행사가격과 부여할 주식의 수
의 조정)
(4) 조정 산식
[유상증자: 행사가격보다 낮은 발행가액으로 유상증자가 이어지는 경우]
- 조정 후 행사가격:
(기발행주식수 x 조정전 행사가격+ 신주발행주식수 x 1주당 발행가액)
/(기발행주식수 + 신발행주식수)
[무상증자]
- 조정 후 행사가격:
조정 전 행사가격 x 기발행주식수 / (기발행주식수 + 신발행주식 수)
[부여수량조정]
- 조정전 행사수량 x 조정전 행사가격 / 조정 후 행사가격
* 단, 가격의 조정에서 원 미만의 금액은 절사하고, 수량조정에서의 1주 미만 주식
수는 절사한다.
(5) 행사가 조정 현황
| 구분 | 부여일 | 보유(잔여)수량 | 조정 후 행사수량 (무상증자) |
조정 전 행사가격 | 조정 후 행사가격 (유상증자) |
조정 후 행사가격 (무상증자) |
| 2차 | 2017.02.28 | 59,164 | 80,764 | 6,700 | 5,890 | 4,908 |
| 3차 | 2018.05.15 | 150,000 | 206,368 | 7,000 | 6,106 | 5,088 |
| 4차 | 2018.06.15 | 126,090 | 174,505 | 7,250 | 6,286 | 5,238 |
| 5차 | 2019.01.18 | 26,000 | 37,230 | 9,000 | 7,543 | 6,285 |
| 6차 | 2019.03.29 | 122,200 | 177,479 | 10,000 | 8,262 | 6,885 |
| 7차 | 2019.07.17 | 98,874 | 145,344 | 11,000 | 8,980 | 7,483 |
| 8차 | 2019.09.20 | 74,000 | 111,633 | 14,000 | 11,136 | 9,280 |
| 9차 | 2020.06.30 | 30,000 | 47,748 | 30,400 | 22,921 | 19,100 |
| 10차 | 2021.03.26 | 40,000 | 64,149 | 36,260 | 27,131 | 22,609 |
| 11차 | 2021.08.13 | 19,000 | 30,241 | 30,409 | 22,927 | 19,105 |
| 12차 | 2021.11.12 | 12,000 | 18,679 | 20,566 | 15,854 | 13,211 |
| 13차 | 2022.02.08 | 3,000 | 4,619 | 17,705 | 13,798 | 11,498 |
| 14차 | 2022.05.13 | 37,000 | 54,329 | 10,900 | 8,908 | 7,423 |
| 15차 | 2022.09.30 | 30,000 | 42,109 | 7,896 | 6,750 | 5,625 |
| 16차 | 2022.12.29 | 5,000 | 7,462 | 12,575 | 10,112 | 8,426 |
| 17차 | 2023.02.28 | 10,000 | 14,667 | 10,810 | 8,844 | 7,370 |
| 18차 | 2023.03.29 | 55,000 | 79,759 | 9,883 | 8,178 | 6,815 |
| 19차 | 2023.06.09 | 22,000 | 32,516 | 11,529 | 9,360 | 7,800 |
|
주1) |
조정 후 행사수량(무상증자)의 경우, 개인별 보유(잔여) 수량에 대한 조정 후 합산한 내역 입니다. |
IX. 계열회사 등에 관한 사항
가. 계열회사 현황(요약)
| (기준일 : | 2024년 12월 31일 | ) | (단위 : 사) |
| 기업집단의 명칭 | 계열회사의 수 | ||
|---|---|---|---|
| 상장 | 비상장 | 계 | |
| - | - | - | - |
| ※상세 현황은 '상세표-2. 계열회사 현황(상세)' 참조 |
나. 타법인출자 현황(요약)
| (기준일 : | 2024년 12월 31일 | ) | (단위 : 백만원) |
| 출자 목적 |
출자회사수 | 총 출자금액 | |||||
|---|---|---|---|---|---|---|---|
| 상장 | 비상장 | 계 | 기초 장부 가액 |
증가(감소) | 기말 장부 가액 |
||
| 취득 (처분) |
평가 손익 |
||||||
| 경영참여 | - | 1 | 1 | - | - | - | - |
| 일반투자 | - | - | - | - | - | - | - |
| 단순투자 | - | 1 | 1 | 1,085 | - | -1,085 | - |
| 계 | - | 2 | 2 | 1,085 | - | -1,085 | - |
| ※상세 현황은 '상세표-3. 타법인출자 현황(상세)' 참조 |
X. 대주주 등과의 거래내용
가.대주주등에 관한 신용공여등
당사는 보고서 작성기준일 현재 해당사항이 없습니다.
나. 대주주와의 자산양수도 등
당사는 보고서 작성기준일 현재 해당사항이 없습니다.
다. 대주주와의 영업거래
당사는 보고서 작성기준일 현재 해당사항이 없습니다.
라. 대주주 이외의 이해관계자와의 거래
당사는 보고서 작성기준일 현재 해당사항이 없습니다.
XI. 그 밖에 투자자 보호를 위하여 필요한 사항
1. 공시내용 진행 및 변경사항
당사는 보고서 작성기준일 현재 해당사항이 없습니다.
2. 우발부채 등에 관한 사항
가. 중요한 소송사건
| 제기일자 | 소송구분 | 사건번호 | 신청취지 | 원고(신청인) | 피고 | 신청내용 | 비고 |
| 2024.05.08 | 사임등기절차 이행 청구 |
2024가합53887 | 사임등기절차 이행 | 손병관 | 에스씨엠생명과학(주) | 손병관의 사내이사 및 대표이사 사임 등기 절차 이행 | 완료 |
| 2024.06.21 | 경영권분쟁소송 | 2024비합557 | 주주총회소집허가 | 송기령 | 에스씨엠생명과학(주) | [주주총회 의안] 제1호 의안: 이사 선임의 건 제2호 의안: 정관 변경의 건 |
완료 |
| 2024.08.23 | 경영권분쟁소송 | 2024카합10332 | 주주명부열람등사가처분 | 송기령 | 에스씨엠생명과학(주) | 주주명부 열람 등사청구권, 주주총회 소집권 | 완료 |
| 2024.09.09 | 상표권 분쟁 | 2024가합93815 | 상표권 침해금지 청구의 소 |
디스트릭트713 주식회사 | 에스씨엠생명과학(주) | 상표권 침해 금지 | 진행 중 |
-사임등기절차 이행청구소송의 경우, 작성기준일 이후 2024년 10월 8일 이사회에서 송기령 대표이사를 신규 선임하였으며, 2024년 10월 10일 사임등기가 완료되었습니다.
-경영권분쟁소송의 경우, 2024년 8월 14일 인천지방법원의 판결로 임시주주총회가 허가되어, 2024년 10월 4일 임시주주총회가 개최되었으며, 신청인이 청구한 주주총회 의안이 모두 가결 되었습니다. 이에, 사내이사 송기령, 김성우, 사외이사 김기병, 안진호가 신규 선임되었으며, 2024년 10월 8일 이사회에서 송기령 대표이사가 신규 선임 되었습니다.
- 2024비합557의 결정과 관련하여 2024년 10월 21일 특별항고를 취하함.
나. 견질 또는 담보용 어음ㆍ수표 현황
당사는 보고서 작성기준일 현재 해당사항이 없습니다.
다. 채무보증 현황
당사는 보고서 작성기준일 현재 해당사항이 없습니다.
라. 채무인수약정 현황
당사는 보고서 작성기준일 현재 해당사항이 없습니다.
마. 그 밖에 우발채무 등
당사는 보고서 작성기준일 현재 해당사항이 없습니다.
견질 또는 담보용 어음ㆍ수표 현황
| (기준일 : ) | (단위 : 매, 백만원) |
| 제 출 처 | 매 수 | 금 액 | 비 고 |
|---|---|---|---|
| 은 행 | |||
| 금융기관(은행제외) | |||
| 법 인 | |||
| 기타(개인) |
3. 제재 등과 관련된 사항
가. 제재현황
국책연구개발사업 참여 제한 및 제재부가금 · 중소벤처기업부장관
2019년에서 2020년, 국가지원 연구개발사업을 진행하였으나 결과 실패 및 불성실 수행으로 판정되었습니다. 당사에서는 3차례 이의신청하여 항변하였으나 2024년 12월 9일 중소벤처기업부장관으로부터 확정 통보를 수령하였습니다.
제재 내용
국가연구개발 사업참여 제한 3년(2025년 1월 1일부터 2027년 12월 31일까지)과 제재부가금 446,548,095원을 확정 통보받았습니다.
현재 진행 상황
2024년 12월 24일, 중앙행정심판위원회에 행정심판청구(제재 취소 청구)하였으며 중소벤처기업부 답변서 수령 후 재답변서를 송부한 바 있습니다. 이후 중앙행정심판위원회로부터 면밀한 검토를 위해 진행이 늦어지고 있다며, 향후 일정이 잡히는 대로 다시 알려주겠다는 통보를 받고 일정을 기다리는 중입니다.
나. 한국거래소 등으로부터 받은 제재
당사는 공시대상기간 중 현재 해당사항이 없습니다.
다. 단기매매차익 발생 및 반환에 관한 사항
당사는 보고서 작성기준일 현재 해당사항이 없습니다.
4. 작성기준일 이후 발생한 주요사항 등 기타사항
가. 작성기준일 이후 발생한 주요사항
당사는 보고서 작성기준일 현재 해당사항이 없습니다.
나. 중소기업기준 검토표
![]() |
|
중소기업기준검토표 |
![]() |
|
중소기업기준검토표 |
바. 매출액 미달에 대한 관리종목 지정유예 현황
| (기준일 : | 2024년 12월 31일 | ) | (단위 : 백만원) |
| 요건별 회사 현황 | 관리종목 지정요건 해당여부 |
관리종목지정유예 | |||
|---|---|---|---|---|---|
| 사업연도 | 매출금액 | 해당여부 | 사유 | 종료시점 | |
| 2024 | 825 | 해당 | 해당 | 상장연도 포함 5개 사업연도 동안 유예 | 2024년 12월 31일 |
|
주1) |
2025년 결산 시점에 연간 매출액 30억 미만일 경우 관리종목 지정 사유가 추가될 수 있습니다. |
사. 계속사업손실에 대한 관리종목 지정유예 현황
| (기준일 : | 2024년 12월 31일 | ) | (단위 : 백만원, %) |
| 요건별 회사 현황 | 관리종목 지정요건 해당여부 |
관리종목지정유예 | ||||
|---|---|---|---|---|---|---|
| 사업연도 | 법인세 차감전 계속사업손익(A) |
자기자본금액 (B) |
비율(A/B) | 해당 여부 |
종료 시점 |
|
| 2022년 | -22,930 | 24,511 | -94 | 해당 | 미해당 | 2022년 12월 31일 |
| 2023년 | -23,961 | 20,474 | -117 | |||
| 2024년 | -13,038 | 14,179 | -92 | |||
| 주1) | 기술성장기업에 대한 신규상장일이 속하는 사업연도(2020년)를 포함하여, 2022년까지 법인세비용차감전계속사업손실 발생연도에서 제외되고, 실질적으로 2023년까지(적용기준:최근 3년간 2회 이상) 관리종목 지정유예 중이었으나, 2022년 말 이후 2개 사업연도기간 동안 자기자본대비 50% 초과되는 법인세차감전순손실로 관리종목에 지정되었습니다. |
XII. 상세표
1. 연결대상 종속회사 현황(상세)
당사는 보고서 작성기준일 현재 해당사항이 없습니다.
| ☞ 본문 위치로 이동 |
| (단위 : 원) |
| 상호 | 설립일 | 주소 | 주요사업 | 최근사업연도말 자산총액 |
지배관계 근거 | 주요종속 회사 여부 |
|---|---|---|---|---|---|---|
| - | - | - | - | - | - | - |
| - | - | - | - | - | - | - |
| - | - | - | - | - | - | - |
2. 계열회사 현황(상세)
당사는 보고서 작성기준일 현재 해당사항이 없습니다.
| ☞ 본문 위치로 이동 |
| (기준일 : | 2024년 12월 31일 | ) | (단위 : 사) |
| 상장여부 | 회사수 | 기업명 | 법인등록번호 |
|---|---|---|---|
| 상장 | - | - | - |
| - | - | ||
| 비상장 | - | - | - |
| - | - |
3. 타법인출자 현황(상세)
| ☞ 본문 위치로 이동 |
| (기준일 : | 2024년 12월 31일 | ) | (단위 : 백만원, 주, %) |
| 법인명 | 상장 여부 |
최초취득일자 | 출자 목적 |
최초취득금액 | 기초잔액 | 증가(감소) | 기말잔액 | 최근사업연도 재무현황 |
|||||||
|---|---|---|---|---|---|---|---|---|---|---|---|---|---|---|---|
| 수량 | 지분율 | 장부 가액 |
취득(처분) | 평가 손익 |
수량 | 지분율 | 장부 가액 |
총자산 | 당기 순손익 |
||||||
| 수량 | 금액 | ||||||||||||||
| CoImmune, Inc. | 비상장 | 2019년 02월 17일 | 경영참여 | 6,520 | 15,300,000 | 23.88 | - | - | - | - | 15,300,000 | 23.88 | - | - | - |
| VITA THERAPEUTICS, INC. | 비상장 | 2021년 06월 09일 | 단순투자 | 1,147 | 717,231 | 1.15 | 1,085 | - | - | -1,085 | 717,231 | 1.15 | - | 6,449 | -8,498 |
| 합 계 | 16,017,231 | - | 1,085 | - | - | -1,085 | 16,017,231 | - | - | 6,449 | -8,498 | ||||
4. 지적재산권 세부 목록
| ☞ 본문 위치로 이동 |
| 구분 | 종류 | 내용 | 소유자 | 출원국 | 출원일 | 등록일 | 적용제품 |
| 1 | 특허 | 층분리배양법을 이용한 골수에서의 중갑엽줄기세포 분리방법 | 에스씨엠생명과학 주식회사 |
한국 | 06.08.10 | 08.01.31 | SCM-CGH |
| 2 | 미국 | 06.06.19 | 10.08.24 | ||||
| 3 | 유럽 | 06.06.19 | 14.07.30 | ||||
| 4 | 중국 | 06.06.19 | 13.01.09 | ||||
| 5 | 일본 | 06.06.19 | 12.12.14 | ||||
| 6 | 특허 | 층분리배양법을 이용한 지방-유래 줄기세포의 분리 및 이의 이용 | 에스씨엠생명과학 주식회사 |
한국 | 15.07.29 | 17.08.11 | SCM-AGH |
| 7 | 특허 | 새로운 동결 줄기세포의 제조방법 (Manufacturing process for fresh and frozen stem cells) | 에스씨엠생명과학 주식회사 |
미국 | 11.12.30 | 14.08.05 | SCM-AGH |
| 8 | 특허 | 줄기세포의 층분리 배양 및 증식 방법 (Method for isolation of stem cells from bone marrow using subfractionation culturing method and proliferation thereof) | 에스씨엠생명과학 주식회사 |
한국 | 17.11.06 | 19.05.24 | SCM-AGH |
| 9 | 한국 | 19.05.24 | 20.01.08 | ||||
| 10 | 미국 | 18.07.03 | 22.02.15 | ||||
| 11 | 유럽 | 18.06.22 | - | ||||
| 12 | 일본 | 18.06.21 | 20.10.30 | ||||
| 13 | 중국 | 18.10.10 | 23.04.07 | ||||
| 14 | 호주 | 18.06.19 | 21.01.21 | ||||
| 15 | 러시아 | 18.07.04 | 19.12.12 | ||||
| 16 | 인도네시아 | 18.07.04 | 23.07.10 | ||||
| 17 | 말레이시아 | 18.07.17 | 22.08.18 | ||||
| 18 | 싱가포르 | 18.06.18 | 22.10.06 | ||||
| 19 | 베트남 | 18.07.10 | 22.09.12 | ||||
| 20 | 특허 | 이식편대숙주병의 치료 (Treatment of graft-versus-host disease) | 에스씨엠생명과학 주식회사 |
미국 | 08.05.27 | 16.09.13 | SCM-CGH |
| 21 | 유럽 | 08.05.27 | 17.03.15 | ||||
| 22 | 일본 | 08.05.27 | 15.01.23 | ||||
| 23 | 특허 | 클로날 줄기세포를 포함하는 이식편대 숙주질환 치료용 약학적 조성물 | 에스씨엠생명과학 주식회사 |
한국 | 19.12.04 | 21.05.26 | SCM-CGH |
| 24 | 미국 | 21.06.16 | - | ||||
| 25 | 유럽 | 21.06.25 | 24.07.24 | ||||
| 26 | 중국 | 21.06.17 | - | ||||
| 27 | 일본 | 21.06.16 | 23.11.21 | ||||
| 28 | 홍콩 | 22.03.07 | - | ||||
| 29 | 특허 | 클로날 줄기세포를 포함하는 췌장염 치료용 약학적 조성물 | 에스씨엠생명과학 주식회사 |
한국 | 19.12.04 | 21.04.27 | SCM-AGH |
| 30 | 대만 | 19.12.13 | 23.03.21 | ||||
| 31 | 미국 | 21.06.14 | - | ||||
| 32 | 유럽 | 21.06.17 | 24.07.24 | ||||
| 33 | 중국 | 21.06.11 | - | ||||
| 34 | 일본 | 21.06.14 | 23.11.21 | ||||
| 35 | 홍콩 | 22.03.07 | - | ||||
| 36 | 특허 | 클로날 중간엽 줄기세포를 포함하는, 아토피성 피부염 예방 또는 치료용 약학적 조성물 | 에스씨엠생명과학주식회사 | 한국 | 14.12.01 | 16.09.02 | SCM-AGH |
| 37 | 미국 | 20.08.13 | 22.08.16 | ||||
| 38 | 대만 | 20.01.14 | 23.12.21 | ||||
| 39 | 한국 | 21.06.11 | 24.08.06 | ||||
| 40 | 유럽 | 21.06.22 | - | ||||
| 41 | 중국 | 21.06.25 | 24.10.15 | ||||
| 42 | 일본 | 21.07.09 | 24.05.24 | ||||
| 43 | 홍콩 | 22.03.07 | - | ||||
| 44 | 특허 | 단일 클로날 줄기세포를 이용한 아토피피부염치료방법 | 에스씨엠생명과학주식회사 | 한국 | 20.03.18 | 21.12.15 | SCM-AGH |
| 45 | 미국 | 21.09.17 | - | ||||
| 46 | 중국 | 21.09.18 | - | ||||
| 47 | 일본 | 21.09.17 | - | ||||
| 48 | 유럽 | 21.10.06 | - | ||||
| 49 | 특허 | 조절 T세포 매개성 질환의 예방 또는 치료용 약학적 조성물 | 에스씨엠생명과학주식회사 | 한국 | 17.02.24 | 19.09.19 | SCM-AGH |
| 50 | 미국 | 18.07.11 | 21.08.24 | ||||
| 51 | 유럽 | 18.07.09 | 23.10.25 | ||||
| 52 | 중국 | 18.08.02 | 19.12.10 | ||||
| 53 | 일본 | 18.07.04 | 19.09.06 | ||||
| 54 | 호주 | 18.07.05 | 21.01.21 | ||||
| 55 | 러시아 | 18.07.05 | 20.07.24 | ||||
| 56 | 인도네시아 | 18.07.09 | 21.05.20 | ||||
| 57 | 말레이시아 | 18.07.16 | 24.05.31 | ||||
| 58 | 싱가포르 | 19.12.12 | 24.03.08 | ||||
| 59 | 베트남 | 18.07.24 | - | ||||
| 60 | 특허 | hPL 함유 배지에서 배양된 중간엽 줄기세포의 배양액을 포함하는 화장료 조성물 | 에스씨엠생명과학주식회사 | 한국 | 19.05.02 | 21.11.02 | 줄기세포 배양액 |
| 61 | 유럽 | 21.10.15 | - | ||||
| 62 | 중국 | 21.10.25 | 24.08.27 | ||||
| 63 | 미국 | 21.10.29 | - | ||||
| 64 | 일본 | 21.11.01 | 23.06.07 | ||||
| 65 | 특허 | 줄기세포 프라이밍 조성물 및 프라이밍된 줄기세포 | 에스씨엠생명과학주식회사 | 한국 | 20.12.23 | 23.01.25 | 줄기세포 기능강화 |
| 66 | 미국 | 23.06.23 | - | ||||
| 67 | 유럽 | 23.07.14 | - | ||||
| 68 | 중국 | 23.06.26 | - | ||||
| 69 | 일본 | 23.06.23 | - | ||||
| 70 | 말레이시아 | 23.06.23 | - | ||||
| 71 | 호주 | 23.07.21 | - | ||||
| 72 | 인도 | 23.07.05 | - | ||||
| 73 | 인도네시아 | 23.07.20 | - | ||||
| 74 | 뉴질랜드 | 23.07.21 | - | ||||
| 75 | 싱가포르 | 23.07.21 | - | ||||
| 76 | 특허 | 염증 자극된 중간엽 줄기세포를 포함하는 면역질환 또는 염증 질환의 예방 또는 치료용 약학적 조성물 (Pharmaceutical composition for prevention or treatment of immune diseases and inflammatory diseases comprising immunogenic stimulated mesenchymal stem cells) | 에스씨엠생명과학주식회사 | 한국 | 16.09.07 | 18.01.02 | SCM-AGH |
| 77 | 미국 | 19.03.07 | - | ||||
| 78 | 일본 | 19.03.07 | 23.01.17 | ||||
| 79 | 유럽 | 19.04.04 | - | ||||
| 80 | 특허 | CXCL1(chemokine (CXC motif) ligand 1) 단백질을 유효성분으로 포함하는 탈모 예방 또는 치료용 약학적 조성물 (Pharmaceutical composition for preventing or treating hair loss comprising CXCL1 protein) | 에스씨엠생명과학주식회사 | 한국 | 16.08.08 | 16.09.07 | IRORO 모발 제품 (샴푸, 트리트먼트, 세럼) |
| 81 | 러시아 | 18.05.17 | 20.01.16 | ||||
| 82 | 특허 | CXCL1 단백질 및 미녹시딜을 유효성분으로 포함하는 탈모 예방 또는 치료용 약학적 조성물 (Pharmaceutical composition for preventing or treating hair loss comprising CXCL1 protein and minoxidil) | 에스씨엠생명과학주식회사 | 한국 | 17.08.08 | 19.07.09 | IRORO 모발 제품 (샴푸, 트리트먼트, 세럼) |
| 83 | 일본 | 17.08.08 | 18.05.25 | ||||
| 84 | 미국 | 18.06.21 | 19.12.24 | ||||
| 85 | 중국 | 17.08.08 | 21.05.28 | ||||
| 86 | 유럽 | 17.08.08 | 19.07.24 | ||||
| 87 | 러시아 | 18.07.04 | 19.12.17 | ||||
| 88 | 특허 | TYMP(thymidine phosphorylase) 단백질을 유효성분으로 포함하는 탈모 예방 또는 치료용 약학적 조성물 ( PHARMACEUTICAL COMPOSITION COMPRISING THYMIDINE PHOSPHORYLASE (TYMP) PROTEIN AS EFFECTIVE INGREDIENT FOR PREVENTION OR TREATMENT OF HAIR LOSS) | 에스씨엠생명과학주식회사 | 한국 | 16.08.08 | 16.10.26 | IRORO 모발 제품 (샴푸, 트리트먼트, 세럼) |
| 89 | 특허 | 줄기세포의 기능강화용조성물 | 에스씨엠생명과학주식회사 | 한국 | 20.01.06 | 21.06.17 | 줄기세포 기능강화 |
| 90 | 미국 | 22.07.06 | - | ||||
| 91 | 일본 | 22.07.06 | 24.02.01 | ||||
| 92 | 유럽 | 22.08.05 | - | ||||
| 93 | 호주 | 22.08.05 | 25.01.09 | ||||
| 94 | 중국 | 22.09.02 | - | ||||
| 95 | 말레이시아 | 23.05.03 | - | ||||
| 96 | 홍콩 | 23.04.19 | - | ||||
| 97 | 특허 | 기능강화 줄기세포를 포함하는 아토피 피부염 예방 또는 치료용 조성물 | 에스씨엠생명과학주식회사 | 한국 | 21.05.18 | 24.10.10 | 줄기세포 기능강화 |
| 98 | 미국 | 23.11.17 | - | ||||
| 99 | 유럽 | 23.12.15 | - | ||||
| 100 | 중국 | 23.11.17 | - | ||||
| 101 | 일본 | 23.11.17 | - | ||||
| 102 | 아랍에미리트 | 23.11.16 | - | ||||
| 103 | 이스라엘 | 23.11.16 | - | ||||
| 104 | 사우디아라비아 | 23.11.16 | - | ||||
| 105 | 특허 | 기능강화 줄기세포 및 조절 T세포를 포함하는 아토피 피부염 예방 또는 치료용 병용투여 조성물 | 에스씨엠생명과학주식회사 | 한국 | 21.06.01 | - | 줄기세포 기능강화 |
| 106 | 특허 | 기능강화 줄기세포를 포함하는 관절염 예방 또는 치료용 조성물 | 에스씨엠생명과학주식회사 | 한국 | 22.06.15 | - | 줄기세포 기능강화 |
| 107 | PCT | 22.06.08 | - | 줄기세포 기능강화 | |||
| 108 | 특허 | 중간엽 줄기세포의 신속 층분리 배양 방법 | 에스씨엠생명과학 주식회사 | 한국 | 24. | - | SCM-AGH |
| 109 | 특허 | 중간엽 줄기세포의 대량 배양 방법 | 에스씨엠생명과학주식회사 | 한국 | 24.03.11 | - | SCM-AGH |
| 110 | 특허 | 줄기세포 조건화 배지와 병풀 엑소좀을 함유하는 화장료 조성물 | 에스씨엠생명과학주식회사 | 한국 | 24.07.25 | - | iroro Nuvon |
| 111 | 특허 | 줄기세포 조건화 배지와 병풀잎수와 펩타이드를 함유하는 화장료 | 에스씨엠생명과학주식회사 | 한국 | 24.07.25 | - | iroro Nuvon |
| 112 | 특허 | 제노프리 배지를 이용한 줄기세포 대량 생산 방법 | 에스씨엠생명과학 주식회사 |
한국 | 24.11.22 | - | 층분리 배양 및 증식기술 |
| 113 | 상표 | SCM | 에스씨엠생명과학주식회사 | 한국 | 18.07.13 | 19.10.29 | - |
| 114 | 상표 | SCM Subfractionation Culturing Method |
에스씨엠생명과학주식회사 | 한국 | 18.07.13 | 19.10.29 | - |
| 115 | 상표 | SCM Stem Cell Medicine |
에스씨엠생명과학주식회사 | 한국 | 18.07.13 | 19.10.29 | - |
| 116 | 상표 | SCM Specialized Cell Medicine |
에스씨엠생명과학주식회사 | 한국 | 21.01.05 | 22.08.10 | - |
| 117 | 상표 | 이로로 문양 | 에스씨엠생명과학 주식회사 |
한국 | 18.06.27 | 19.04.01 | - |
| 118 | 상표 | 이로로 문양 | 에스씨엠생명과학 주식회사 |
일본 | 21.08.31 | 22.02.28 | - |
| 119 | 상표 | 이로로 문자 | 에스씨엠생명과학 주식회사 |
한국 | 18.07.04 | 19.04.25 | - |
| 120 | 상표 | iroro (문자) | 에스씨엠생명과학 주식회사 |
한국 | 23.10.27 | - | - |
| 121 | 상표 | iroro (문자) | 에스씨엠생명과학 주식회사 |
한국 | 24.05.28 | - | - |
| 122 | 상표 | iroro (문자) | 에스씨엠생명과학 주식회사 |
한국 | 24.05.28 | - | - |
| 123 | 상표 | iroro (문자) | 에스씨엠생명과학 주식회사 |
말레이시아 | 22.04.13 | 22.12.07 | - |
| 124 | 상표 | iroro (문자) | 에스씨엠생명과학 주식회사 |
홍콩 | 23.10.25 | 24.03.06 | - |
| 125 | 상표 | iroro (문자) | 에스씨엠생명과학 주식회사 |
사우디 | 24.01.25 | 24.08.13 | - |
| 126 | 상표 | iroro (문자) | 에스씨엠생명과학 주식회사 |
카타르 | 24.01.14 | - | - |
| 127 | 상표 | iroro (문자) | 에스씨엠생명과학 주식회사 |
쿠웨이트 | 24.01.15 | 24.05.02 | - |
| 128 | 상표 | iroro (문자) | 에스씨엠생명과학 주식회사 |
마카오 | 24.01.23 | - | - |
| 129 | 상표 | iroro (문자) | 에스씨엠생명과학 주식회사 |
미국 | 24.04.26 | - | |
| 130 | 상표 | iroro (문자) | 에스씨엠생명과학 주식회사 |
베트남 | 24.04.19 | - | |
| 131 | 상표 | iroro (문자) | 에스씨엠생명과학 주식회사 |
일본 | 24.04.30 | 24.07.11 | - |
| 132 | 상표 | iroro (문자) | 에스씨엠생명과학 주식회사 |
호주 | 24.04.19 | - | |
| 133 | 상표 | iroro (문자) | 에스씨엠생명과학 주식회사 |
인도네시아 | 24.04.23 | - | |
| 134 | 상표 | iroro (문자) | 에스씨엠생명과학 주식회사 |
필리핀 | 24.04.22 | - | |
| 135 | 상표 | iroro (문자) | 에스씨엠생명과학 주식회사 |
중국 | 24.12.18 | ||
| 136 | 상표 | Iroro Nutreatment | 에스씨엠생명과학 주식회사 |
한국 | 21.09.17 | 23.04.24 | - |
| 137 | 상표 | Iroro Nutreatment | 에스씨엠생명과학 주식회사 |
일본 | 24.03.14 | - | - |
| 138 | 상표 | Iroro Nutreatment | 에스씨엠생명과학 주식회사 |
말레이시아 | 21.09.29 | 22.08.03 | - |
| 139 | 상표 | Iroro Nutreatment | 에스씨엠생명과학 주식회사 |
베트남 | 23.10.26 | 23.10.26 | - |
| 140 | 상표 | Iroro Nutreatment | 에스씨엠생명과학 주식회사 |
홍콩 | 23.10.25 | 24.03.06 | - |
| 141 | 상표 | Iroro Nutreatment | 에스씨엠생명과학 주식회사 |
미국 | 23.10.26 | 23.10.26 | - |
| 142 | 상표 | Iroro Nutreatment | 에스씨엠생명과학 주식회사 |
유럽연합 | 23.10.26 | 23.10.26 | - |
| 143 | 상표 | Iroro Nutreatment | 에스씨엠생명과학 주식회사 |
호주 | 23.10.26 | 23.10.26 | - |
| 144 | 상표 | Iroro Nutreatment | 에스씨엠생명과학 주식회사 |
인도네시아 | 23.10.26 | - | - |
| 145 | 상표 | Iroro Nutreatment | 에스씨엠생명과학 주식회사 |
필리핀 | 23.10.26 | 23.10.26 | - |
| 146 | 상표 | Iroro Nutreatment | 에스씨엠생명과학 주식회사 |
캐나다 | 23.10.26 | - | - |
| 147 | 상표 | Iroro Nutreatment | 에스씨엠생명과학 주식회사 |
UAE | 23.10.26 | - | - |
| 148 | 상표 | Iroro Nutreatment | 에스씨엠생명과학 주식회사 |
사우디 | 24.01.25 | 24.08.13 | - |
| 149 | 상표 | Iroro Nutreatment | 에스씨엠생명과학 주식회사 |
카타르 | 24.01.14 | - | - |
| 150 | 상표 | Iroro Nutreatment | 에스씨엠생명과학 주식회사 |
쿠웨이트 | 24.01.15 | - | - |
| 151 | 상표 | Iroro Nutreatment | 에스씨엠생명과학 주식회사 |
마카오 | 24.01.23 | - | - |
| 152 | 상표 | 엔세리아 문자 | 에스씨엠생명과학 주식회사 |
한국 | 18.05.08 | 18.12.11 | - |
| 153 | 상표 | 베라셀 문자 | 에스씨엠생명과학 주식회사 |
한국 | 18.05.08 | 18.12.11 | - |
| 154 | 상표 | 베라움 문자 | 에스씨엠생명과학 주식회사 |
한국 | 18.05.08 | 18.12.11 | - |
| 155 | 상표 | Nutreatment 문자 | 에스씨엠생명과학 주식회사 |
한국 | 21.11.15 | 23.04.24 | - |
| 156 | 상표 | Nutreatment 문자 | 에스씨엠생명과학 주식회사 |
일본 | 21.12.03 | 22.05.20 | - |
| 157 | 상표 | Nutreatment 문자 | 에스씨엠생명과학 주식회사 |
중국 | 21.11.26 | 22.06.07 | - |
| 158 | 상표 | Nutreatment 문자 | 에스씨엠생명과학 주식회사 |
말레이시아 | 21.11.09 | 23.03.24 | - |
| 159 | 상표 | Nutreatment 문자 | 에스씨엠생명과학 주식회사 |
베트남 | 23.10.26 | 23.10.26 | - |
| 160 | 상표 | Nutreatment 문자 | 에스씨엠생명과학 주식회사 |
홍콩 | 23.10.25 | 24.03.06 | - |
| 161 | 상표 | Nutreatment 문자 | 에스씨엠생명과학 주식회사 |
미국 | 23.10.26 | 24.12.31 | - |
| 162 | 상표 | Nutreatment 문자 | 에스씨엠생명과학 주식회사 |
유럽연합 | 23.10.26 | 23.10.26 | - |
| 163 | 상표 | Nutreatment 문자 | 에스씨엠생명과학 주식회사 |
호주 | 23.10.26 | 23.10.26 | - |
| 164 | 상표 | Nutreatment 문자 | 에스씨엠생명과학 주식회사 |
인도네시아 | 23.10.26 | - | - |
| 165 | 상표 | Nutreatment 문자 | 에스씨엠생명과학 주식회사 |
필리핀 | 23.10.26 | 23.10.26 | - |
| 166 | 상표 | Nutreatment 문자 | 에스씨엠생명과학 주식회사 |
캐나다 | 23.10.26 | - | - |
| 167 | 상표 | Nutreatment 문자 | 에스씨엠생명과학 주식회사 |
UAE | 23.10.26 | - | - |
| 168 | 상표 | Nutreatment 문자 | 에스씨엠생명과학 주식회사 |
사우디 | 24.01.25 | 24.07.31 | - |
| 169 | 상표 | Nutreatment 문자 | 에스씨엠생명과학 주식회사 |
카타르 | 24.01.14 | - | - |
| 170 | 상표 | Nutreatment 문자 | 에스씨엠생명과학 주식회사 |
쿠웨이트 | 24.01.15 | 24.05.02 | - |
| 171 | 상표 | Nutreatment 문자 | 에스씨엠생명과학 주식회사 |
마카오 | 24.01.23 | - | - |
| 172 | 상표 | iroro Nuvon 문자 | 에스씨엠생명과학 주식회사 |
한국 | 22.11.11 | - | - |
| 173 | 상표 | iroro Nuvon 문자 | 에스씨엠생명과학 주식회사 |
말레이시아 | 22.11.16 | 23.10.16 | - |
| 174 | 상표 | iroro Nuvon 문자 | 에스씨엠생명과학 주식회사 |
일본 | 22.11.18 | 23.04.26 | - |
| 175 | 상표 | iroro Nuvon 문자 | 에스씨엠생명과학 주식회사 |
유럽 | 23.10.13 | - | - |
| 176 | 상표 | iroro Nuvon 문자 | 에스씨엠생명과학 주식회사 |
미국 | 23.10.13 | - | - |
| 177 | 상표 | iroro Nuvon 문자 | 에스씨엠생명과학 주식회사 |
베트남 | 23.10.13 | - | - |
| 178 | 상표 | iroro Nuvon 문자 | 에스씨엠생명과학 주식회사 |
홍콩 | 23.10.11 | 24.02.16 | - |
| 179 | 상표 | iroro Nuvon 문자 | 에스씨엠생명과학 주식회사 |
호주 | 23.11.20 | 24.06.28 | - |
| 180 | 상표 | iroro Nuvon 문자 | 에스씨엠생명과학 주식회사 |
인도네시아 | 23.10.13 | - | - |
| 181 | 상표 | iroro Nuvon 문자 | 에스씨엠생명과학 주식회사 |
필리핀 | 23.10.13 | 23.10.13 | - |
| 182 | 상표 | iroro Nuvon 문자 | 에스씨엠생명과학 주식회사 |
캐나다 | 23.10.13 | - | - |
| 183 | 상표 | iroro Nuvon 문자 | 에스씨엠생명과학 주식회사 |
UAE | 23.10.13 | - | |
| 184 | 상표 | iroro Nuvon 문자 | 에스씨엠생명과학 주식회사 |
사우디 | 24.01.29 | 24.07.16 | - |
| 185 | 상표 | iroro Nuvon 문자 | 에스씨엠생명과학 주식회사 |
카타르 | 24.02.01 | - | |
| 186 | 상표 | iroro Nuvon 문자 | 에스씨엠생명과학 주식회사 |
쿠웨이트 | 23.12.19 | 24.03.06 | - |
| 187 | 상표 | iroro Nuvon 문자 | 에스씨엠생명과학 주식회사 |
마카오 | 23.12.27 | 24.5.29 | - |
| 188 | 상표 | iroro dearscalp 문자 | 에스씨엠생명과학 주식회사 |
일본 | 24.04.26 | 24.11.22 | - |
| 189 | 상표 | iroro dearscalp 문자 | 에스씨엠생명과학 주식회사 |
마카오 | 24.05.03 | 24.09.19 | - |
| 190 | 상표 | iroro dearscalp 문자 | 에스씨엠생명과학 주식회사 |
한국 | 24.05.07 | - | |
| 191 | 상표 | iroro dearscalp 문자 | 에스씨엠생명과학 주식회사 |
미국 | 24.05.09 | - | |
| 192 | 상표 | iroro dearscalp 문자 | 에스씨엠생명과학 주식회사 |
홍콩 | 24.05.30 | 24.09.27 | - |
| 193 | 상표 | STEMPRUVI | 에스씨엠생명과학 주식회사 |
한국 | 24.03.19 | 24.07.16 | - |
| 194 | 상표 | STEMPRUVI | 에스씨엠생명과학 주식회사 |
유럽연합 | 24.07.29 | - | |
| 195 | 상표 | STEMPRUVI | 에스씨엠생명과학 주식회사 |
미국 | 24.07.29 | - | |
| 196 | 상표 | STEMPRUVI | 에스씨엠생명과학 주식회사 |
일본 | 24.07.29 | - | |
| 197 | 상표 | STEMPRUVI | 에스씨엠생명과학 주식회사 |
중국 | 24.07.29 | - | |
| 198 | 상표 | GOVAHOD | 에스씨엠생명과학 주식회사 |
한국 | 24.03.19 | 24.08.07 | - |
| 199 | 상표 | GOVAHOD | 에스씨엠생명과학 주식회사 |
유럽연합 | 24.07.29 | - | |
| 200 | 상표 | GOVAHOD | 에스씨엠생명과학 주식회사 |
미국 | 24.07.29 | - | |
| 201 | 상표 | GOVAHOD | 에스씨엠생명과학 주식회사 |
일본 | 24.07.29 | - | |
| 202 | 상표 | GOVAHOD | 에스씨엠생명과학 주식회사 |
중국 | 24.07.29 | - | |
| 203 | 상표 | STEMYNGLA | 에스씨엠생명과학 주식회사 |
한국 | 24.03.19 | 24.07.16 | -- |
| 204 | 상표 | STEMYNGLA | 에스씨엠생명과학 주식회사 |
유럽연합 | 24.07.29 | - | |
| 205 | 상표 | STEMYNGLA | 에스씨엠생명과학 주식회사 |
미국 | 24.07.29 | - | |
| 206 | 상표 | STEMYNGLA | 에스씨엠생명과학 주식회사 |
일본 | 24.07.29 | - | |
| 207 | 상표 | STEMYNGLA | 에스씨엠생명과학 주식회사 |
중국 | 24.07.29 | - |
【 전문가의 확인 】
1. 전문가의 확인
당사는 보고서 작성 기준일 현재 해당사항이 없습니다.
2. 전문가와의 이해관계
당사는 보고서 작성 기준일 현재 해당사항이 없습니다.