사 업 보 고 서
(제 8 기)
| 사업연도 | 2021년 01월 01일 | 부터 |
| 2021년 12월 31일 | 까지 |
| 금융위원회 | |
| 한국거래소 귀중 | 2022년 03월 18일 |
| 제출대상법인 유형 : | 주권상장법인 |
| 면제사유발생 : | 해당사항 없음 |
| 회 사 명 : | 에스씨엠생명과학 주식회사 |
| 대 표 이 사 : | 송순욱 |
| 본 점 소 재 지 : | 인천광역시 연수구 갯벌로 145번길 7-7 (송도동) |
| (전 화) 032-881-3600 | |
| (홈페이지) http://www.scmlifescience.com | |
| 작 성 책 임 자 : | (직 책) 전무 (성 명) 이종철 |
| (전 화) 032-881-3600 | |
【 대표이사 등의 확인 】
![]() |
|
대표이사 등의 확인 서명 |
I. 회사의 개요
1. 회사의 개요
당사는 원천기술인 층분리배양법 기반의 차세대 고순도 고효능 줄기세포치료제와 조직공학 치료제를 개발하는 줄기세포 치료제 전문 기업입니다. 줄기세포치료제 개발을 위해 현재 만성이식편대숙주질환, 급성췌장염, 아토피피부염 2상 임상들을 국내에서 진행중이며, 조직공학치료제로는 미국 유타대학교와 공동연구로 Cell Sheet를 이용한 섬유화증 치료제를 개발 중입니다.
가. 연결대상 종속회사 개황
가-1. 연결대상 종속회사 현황(요약) : 해당사항 없음
| (단위 : 사) |
| 구분 | 연결대상회사수 | 주요 종속회사수 |
|||
|---|---|---|---|---|---|
| 기초 | 증가 | 감소 | 기말 | ||
| 상장 | - | - | - | - | - |
| 비상장 | - | - | - | - | - |
| 합계 | - | - | - | - | - |
| ※상세 현황은 '상세표-1. 연결대상 종속회사 현황(상세)' 참조 |
가-2. 연결대상회사의 변동내용 : 해당사항 없음
| 구 분 | 자회사 | 사 유 |
|---|---|---|
| 신규 연결 |
- | - |
| - | - | |
| 연결 제외 |
- | - |
| - | - |
나. 회사의 법적ㆍ상업적 명칭
당사의 명칭은 "에스씨엠생명과학 주식회사"이며, 영문으로는 "SCM Lifescience, Inc."로 표기합니다.
다. 설립일자
당사는 2014년 07월 02일에 설립되었습니다.
라. 본사의 주소, 전화번호, 홈페이지 주소
| 구 분 | 내 용 |
|---|---|
| 주소 | 인천광역시 연수구 갯벌로145번길 7-7 (송도동) |
| 전화번호 | 032-881-3600 |
| 홈페이지 주소 | http://www.scmlifescience.com |
마. 중소기업 등 해당 여부
| 중소기업 해당 여부 | 해당 | |
| 벤처기업 해당 여부 | 해당 | |
| 중견기업 해당 여부 | 미해당 | |
바. 대한민국에 대리인이 있는 경우에는 이름(대표자), 주소 및 연락처
당사는 보고서 작성기준일 현재 해당사항이 없습니다.
사. 주요 사업의 내용 및 향후 추진하려는 신규사업
당사는 플랫폼 원천기술인 층분리배양법을 활용하여 고순도ㆍ고효능 줄기세포치료제와 고형암 및 혈액암 면역세포치료제 연구개발 및 제조업을 주요 사업으로 영위하고 있습니다. 기타 자세한 사항은 『Ⅱ. 사업의 내용』 부분을 참고하시기 바랍니다.
당사의 정관에 기재된 목적 사업은 아래와 같습니다.
| 목 적 사 업 | 비 고 |
|---|---|
|
1. 의약품, 원료의약품, 의약외품 제조, 소분 및 판매 2. 생물학적제제 등의 제조 및 판매 9. 줄기세포추출, 배양, 보관 및 판매 10. 화장품 제조 및 판매 11. 화장품 원료 제조 및 판매 15. 위 각호에 관련되거나 필요하거나 부수되는 일체의 사업 |
영위하고 있는 사업 |
|
3. 임상시험, 분석, 통계, 자문, 교육 및 대행 서비스 4. 각종 질병 예방을 위한 백신의 연구개발 및 생산제조 5. 동물용 의약품 등 제조 및 판매 6. 건강보조식품 제조, 소분 및 판매 7. 연구개발 용역을 포함한 제반 서비스 및 컨설팅 12. 엑셀러레이팅(투자, 인큐베이팅), 투자업무 |
영위하고 있지 않은 사업 |
아. 신용평가에 관한 사항
당사는 보고서 작성기준일 현재 해당사항이 없습니다.
자. 회사의 주권상장(또는 등록ㆍ지정)여부 및 특례상장에 관한 사항
회사의 주권상장(또는 등록ㆍ지정)여부 및 특례상장에 관한 사항
| 주권상장 (또는 등록ㆍ지정)여부 |
주권상장 (또는 등록ㆍ지정)일자 |
특례상장 등 여부 |
특례상장 등 적용법규 |
|---|---|---|---|
| 코스닥시장 | 2020년 06월 17일 | 기술성장기업의 코스닥시장 상장 | 코스닥시장 상장규정 제2조 제39항에서 정하는 기술성장기업으로서, 동 규정 제30조 기술성장기업에 대한 특례 적용 |
2. 회사의 연혁
가. 회사의 본점소재지 및 그 변경
| 연월 | 소재지 | 비고 |
|---|---|---|
| 2014.07 | 인천광역시 중구 서해대로 366, 310호(신흥동3가, 정석빌딩) | 설립 |
| 2020.06 | 인천광역시 연수구 갯벌로145번길 7-7 (송도동) | 이전 |
나. 경영진 및 감사의 중요한 변동
| 변동일자 | 주총종류 | 선임 | 임기만료 또는 해임 |
|
|---|---|---|---|---|
| 신규 | 재선임 | |||
| 2014년 07월 02일 | 정기주총 | 대표이사 송순욱, 사내이사 손병관, 감사 오형남 | - | - |
| 2015년 03월 05일 | 임시주총 | 사내이사 오형남, 사외이사 손병관, 감사 김동균 | - | 사내이사 손병관, 감사 오형남 |
| 2017년 06월 30일 | 임시주총 | 사내이사 정승우 | 사내이사 송순욱 | - |
| 2017년 07월 02일 | - | - | 대표이사 송순욱 | - |
| 2017년 08월 08일 | 임시주총 | 기타비상무이사 김연준, 기타비상무이사 길준일 | - | - |
| 2018년 03월 30일 | 정기주총 | 사내이사 이병건 | 사내이사 오형남 | - |
| 2018년 04월 30일 | - | 대표이사 이병건 | - | 대표이사 송순욱 |
| 2019년 01월 18일 | 임시주총 | 사내이사 오석우, 사외이사 윤건수, 기타비상무이사 레오나드아리프압둘샤타르 | - | 사내이사 오형남, 사내이사 정승우, 기타비상무이사 김연준, 기타비상무이사 길준일 |
| 2020년 07월 02일 | - | - | 사내이사 송순욱 | |
| 2021년 03월 26일 | 정기주총 | - | 대표이사 이병건 | |
| 2021년 11월 12일 | - | 대표이사 송순욱 | - | 대표이사 이병건(사임) |
| 주1) | 주총종류 항목에서 - 은 이사회 결의사항입니다. |
| 주2) | 2022년 03월 28일 개최되는 정기주주총회에서 오형남 사내이사 선임, 이종철 사내이사 선임, 레오나드아리프압둘샤타르 기타비상무이사 선임(중임), 송기령 기타비상무이사 선임, 문종호 사외이사 선임, 정선영 감사 선임(중임)을 위한 안건이 포함되어 있습니다. |
다. 최대주주의 변동
당사는 보고서 작성기준일 현재 해당사항이 없습니다.
라. 상호의 변경
당사는 보고서 작성기준일 현재 해당사항이 없습니다.
마. 회사가 화의, 회사정리절차 그 밖에 이에 준하는 절차를 밟은 적이 있거나 현재 진행중인 경우 그 내용과 결과
당사는 보고서 작성기준일 현재 해당사항이 없습니다.
바. 회사가 합병등을 한 경우 그 내용
당사는 보고서 작성기준일 현재 해당사항이 없습니다.
사. 회사의 업종 또는 주된 사업의 변화
당사는 보고서 작성기준일 현재 해당사항이 없습니다.
아. 그 밖에 경영활동과 관련된 중요한 사항의 발생내용
| 연 월 |
내 용 |
|---|---|
|
2014.07 |
에스씨엠생명과학 주식회사 설립 |
|
고순도 성체줄기세포 분리기술 특허 등록 (EU 01917348) |
|
|
2014.08 |
신선형 및 동결형 줄기세포 제조 방법 특허 등록 (미국 08796020) |
|
2014.10 |
에스씨엠생명과학 부설연구소 설립 (제2014115434호) |
|
2014.11 |
인하대학교 산학협력단과 특허 전용실시권 계약 체결 |
|
2015.03 |
1차 투자 유치 (한국투자파트너스 외 2개 기관, 70억원) |
|
2016.02 |
2차 투자 유치 (한국투자파트너스 외 4개 기관, 100억원) |
|
2016.03 |
SCM-CGH 만성 이식편대숙주질환 2상 임상시험 계획 승인 |
|
2016.09 |
클로날 중간엽줄기세포를 포함하는 아토피성 피부염 예방 또는 치료용 약학적 조성물 특허 등록 (대한민국 10-1655780) |
|
2017.01 |
ISO 9001 인증 취득 |
|
2017.05 |
고순도 줄기세포 분리를 위한 층분리배양법, 보건신기술인증(NET) 획득 (제129호) |
|
2018.03 |
SCM-AGH 중증 급성 췌장염 1/2a상 임상시험 계획 승인 |
|
2018.05 |
이병건 대표이사 취임 |
|
보건산업유공자 포상 보건복지부 장관상 수상 |
|
|
2018.08 |
3차 투자 유치 (네오플럭스 외 14개 기관, 386억원) |
|
인하대학교 산학협력단과 특허권 양수도계약 체결 |
|
|
2018.10 |
미국 유타대학교 CSTEC과 세포시트를 이용한 줄기세포치료제 공동연구 협약 체결 |
|
말레이시아 국영 제약사 Duopharma Biotech Berhad로부터 해외투자 유치 (55억원) 및 기술이전 계약 체결 |
|
|
2019.02 |
미국 면역 항암 백신 세포치료제 기업 Argos Therapeutics를 제넥신과 컨소시움으로 공동 인수 |
|
미국 조인트벤처 코이뮨(CoImmune, Inc.) 설립 |
|
|
미국 Allele Biotechnology and Pharmaceuticals와 유도만능줄기세포 유래 췌장세포 활용한 당뇨치료제 공동개발 계약 체결 |
|
|
2019.05 |
한독과 아토피피부염 줄기세포치료제에 대한 기술이전 계약 체결 |
|
개량특허 "줄기세포의 층분리 배양 및 증식방법" 등록 (대한민국 제1984227호) |
|
|
2019.06 |
상장 전 투자 유치 (한독 40억원, 산업은행 20억원) |
|
미국 PBS Biotech과 3D 바이오리액터 공정개발 계약 체결 |
|
|
송도 신사옥 및 GMP 제조시설 부지 매매계약 체결 |
|
|
2019.08 |
송도 신사옥 및 GMP 제조시설 부지 취득 |
| 코스닥시장 기술 특례상장을 위한 기술평가 신청 | |
| 2019.09 | 기술평가 통과 |
|
2019.11 |
연구산업 유공자 과학기술부 장관 표창 |
| 코스닥시장 상장을 위한 상장예비심사 청구 | |
| 2020.01 | 코스닥시장 상장을 위한 상장예비심사 승인 |
| 2020.02 | SCM-AGH 중등증-중증 아토피피부염 1/2상 임상시험 계획 승인 |
| 2020.06 | 코스닥시장 상장 |
| 본점소재지 변경(송도) | |
| 2020.07 | 미국 PBS Biotech와 줄기세포 대량생산 공정개발 및 최적화에 대한 계약 체결 |
| 2020.08 | 미국 Tera Immune과 자가면역질환 세포치료제 공동 연구개발을 위한 양해각서(MOU)를 체결 |
| 2020.10 | 대만 Steminent Biotherapeutics와 척수소뇌성 실조증 국내 판권 및 기술이전 계약 체결 |
| 2020.11 | 줄기세포의 층분리배양 및 증식 방법에 대한 특허 등록(일본 6786554) |
| 2021.04 | 클로날 줄기세포를 포함하는 췌장염 치료용 약학적 조성물(한국 10-2247136) |
| 2021.05 | 클로날 줄기세포를 포함하는 이식편대숙주질환 치료용 약학적 조성물(한국10-2258890) |
| CXCL1(chemokine (C-X-C motif) ligand 1) 단백질을 유효성분으로 포함하는 탈모 예방 또는 치료용 약학적 조성물(중국107693780) | |
| 2021.06 | 줄기세포의 기능강화용 조성물 특허 등록(한국10-2268242) |
| 미국 Vita Theraeputics에 유도만능줄기세포 파이프라인 확장을위한 지분 투자 | |
| 미국 Allele Biotechnology and Pharmaceuticals와 당뇨병 치료제 국내 판권 및 기술이전 계약 체결 | |
| 2021.08 | 조절T세포 매개성 질환의 예방 또는 치료용 약학적 조성물(미국 11096967) |
| 2021.11 | hPL 함유 배지에서 배양된 중간엽 줄기세포의 배양액을 포함하는 화장품 조성물에 대한 특허 등록 (한국 10-2323056) |
| 2021.12 | 단일 클로날 줄기세포를 이용한 아토피 피부염 치료 방법에 대한 특허 등록 (한국 10-2341080) |
3. 자본금 변동사항
가. 자본금 변동추이
당사는 2018년도중 보통주 169,209주를 발행하여 84,604,500원의 자본금이 증가하였으며, 우선주 1,445,919주를 발행하여 722,959,500원의 자본금이 증가했습니다. 2019년도 6월중 보통주 81,711주를 발행하여 40,855,500원의 자본금이 증가하였으며, 우선주 130,524주를 발행하여 65,262,000원의 자본금이 증가했습니다.
2019년도 9월중 우선주 2,694,403주가 보통주 2,694,403주로 전환되었습니다.
2019년도 10월중 무상증자로 보통주 4,586,323주를 발행하여 2,293,161,500원의 자본금이 증가하였으며, 우선주 357,414주를 발행하여 178,707,000원의 자본금이 증가하였습니다.
2020년도중 보통주 1,987,141주를 발행하여 993,570,500원의 자본금이 증가하였으며, 우선주 714,828주가 보통주 714,828주로 전환되었습니다.
2021년도중 보통주 147,239주를 발행하여 73,619,500원의 자본금이 증가하였습니다.
| (단위 : 원, 주) |
| 종류 | 구분 | 8기 (2021년말) |
7기 (2020년말) |
6기 (2019년말) |
5기 (2018년말) |
4기 (2017년말) |
|---|---|---|---|---|---|---|
| 보통주 | 발행주식총수 | 12,021,854 | 11,874,615 | 9,175,646 | 1,810,209 | 1,641,000 |
| 액면금액 | 500 | 500 | 500 | 500 | 500 | |
| 자본금 | 6,010,927,000 | 5,937,307,500 | 4,586,323,000 | 905,104,500 | 820,500,000 | |
| 우선주 | 발행주식총수 | - | - | 714,828 | 2,921,293 | 1,475,374 |
| 액면금액 | - | - | 500 | 500 | 500 | |
| 자본금 | - | - | 357,414,000 | 1,460,646,500 | 737,687,000 | |
| 기타 | 발행주식총수 | - | - | - | - | - |
| 액면금액 | - | - | - | - | - | |
| 자본금 | - | - | - | - | - | |
| 합계 | 자본금 | 6,010,927,000 | 5,937,307,500 | 4,943,737,000 | 2,365,751,000 | 1,558,187,000 |
4. 주식의 총수 등
가. 주식의 총수 현황
| (기준일 : | 2021년 12월 31일 | ) | (단위 : 주) |
| 구 분 | 주식의 종류 | 비고 | |||
|---|---|---|---|---|---|
| 보통주 | 우선주 | 합계 | |||
| Ⅰ. 발행할 주식의 총수 | 70,000,000 | 30,000,000 | 100,000,000 | - | |
| Ⅱ. 현재까지 발행한 주식의 총수 | 12,021,854 | 3,409,231 | 15,431,085 | - | |
| Ⅲ. 현재까지 감소한 주식의 총수 | - | 3,409,231 | 3,409,231 | - | |
| 1. 감자 | - | - | - | - | |
| 2. 이익소각 | - | - | - | - | |
| 3. 상환주식의 상환 | - | - | - | - | |
| 4. 기타 | - | 3,409,231 | 3,409,231 | 보통주 전환 | |
| Ⅳ. 발행주식의 총수 (Ⅱ-Ⅲ) | 12,021,854 | - | 12,021,854 | - | |
| Ⅴ. 자기주식수 | - | - | - | - | |
| Ⅵ. 유통주식수 (Ⅳ-Ⅴ) | 12,021,854 | - | 12,021,854 | - | |
나. 자기주식 취득 및 처분 현황
당사는 해당사항 없음
다. 자기주식 직접 취득/처분 이행현황
당사는 해당사항 없음
라. 자기주식 신탁계약 체결/해지 이행현황
당사는 해당사항 없음
마. 종류주식(명칭) 발행현황
당사는 해당사항 없음
5. 정관에 관한 사항
가. 정관의 최근 개정일
정관의 최근 개정일은 제7기 정기주주총회일인 2021년 3월 26일 입니다.
| 정관변경일 | 해당주총명 | 주요변경사항 | 변경이유 |
|---|---|---|---|
| 2018년 03월 30일 | 제4기 정기주주총회 | 제12조(주식매수선택권) 제33조(이사의 수) |
- 주식매수선택권 부여 한도 변경 - 이사의 수 한도 삭제 |
| 2019년 03월 29일 | 제5기 정기주주총회 | 제8조(주권의 발행과 종류) 제8조의2(주식 등의 전자등록) 제12조(주식매수선택권) 제15조(명의개서대리인) 제16조(주주 등의 주소, 성명 및 인감 또는 서명 등 신고) 제20조(사채발행에 관한 준용규정) 제23조(소집통지) 제30조(의결권의 행사) 제39조(이사회의 구성과 소집) 제39조의2(위원회) 제45조(감사의 수) 제48조(감사의 직무와 의무) 제52조의 2(외부감사인의 선임) |
- 전자증권 제도 도입 반영 - 전자증권 제도 도입 반영 - 상법 제542조의3 제2항 및 동법 시행령 제30조 제3항, 벤처 기업육성에 관한 특별조치법 제15조 제1항 반영을 반영 - 전자증권제도 도입 반영 - 상법 제368조의3 제2항 및 제542조의4 반영 - 상법 제368조의3 반영 - 상법 제393조 제4항을 반영 - 상법 제393조의2 반영 - 불필요한 문구 삭제 - 상법 제415조, 제412조 제3항 및 4항 반영 - 주식회사 등의 외부감사에 관한 법률 제10조 반영 |
| 2020년 03월 31일 | 제6기 정기주주총회 | 제2조(목적) 제4조(공고방법) |
- 줄기세포배양액 및 관련 수출입업 목적사업 추가 - 홈페이지 주소 글로벌화 |
| 2021년 03월 26일 | 제7기 정기주주총회 | 제1조(상호) 제2조(목적) 제8조의2(주식등의 전자등록) 제12조(주식매수선택권) 제13조(신주의 동등배당) 제17조(주주명부의 폐쇄 및 기준일) 제18조(전환사채의 발행) 제19조(신주인수권부사채의 발행) 제21조(소집시기) 제46조(감사의 선임·해임) 제52조(재무제표 등의 작성 등) 제54조(이익배당) |
- 영문사명에 주식회사로 명확히 표기 - 목적사항 추가 - 비상장 사채 등 의무등록 대상이 아닌 주식등에 대해서는 전자등록을 하지 않을 수 있도록 함. - 이사회 결의로 주식매수선택권 부여 가능 - 동등배당 원칙을 명시 배당기준일 설정 후 신주발행에 의한 주주간 이해관계 상충을 방지 - 삭제 - 자금조달을 위한 전환사채 발행한도 증액 - 전환사채를 주식으로 전환하는 경우 이자의 지급에 관한 내용을 삭제 - 자금조달을 위한 신주인수권부사채 발행한도 증액 - 삭제 - 감사선임에 관한 조문정비 - 전자투표 도입 시 감사선임의 주주총회 결의요건 완화에 관한 내용을 반영 - 감사해임에 관한 조문정비 - 감사 선임 또는 해임 시 의결권 제한에 관한 내용을 반영 - 정기주주총회 개최시기의 유연성을 확보하기 위하여 조문을 정비 - 배당기준일을 이사회 결의로 정하는 날로 설정할 수 있도록 함 |
* 제8기 정기주주총회 (2022년 3월 28일 개최예정)에 정관 일부 변경 안건이 포함되어 있습니다.
- 제8기 정기주주총회 정관 변경 안건 내용
| 정관변경일 | 해당주총명 | 주요변경사항 | 변경이유 |
|---|---|---|---|
| 2022년 03월 28일 | 제8기 정기주주총회 | 제1조(상호) 제8조(주권의 발행과 종류) 제13조(신주의 동등배당) 제15조(명의개서대리인) 제16조(주주 등의 주소, 성명 및 인감 또는 서명 등 신고) 제16조의2(주주명부) 제20조(사채발행에 관한 준용규정) 제23조(소집통지) 제30조(의결권의 대리행사) 제33조(이사의 수) 제35조(이사의 임기) |
- 문구수정 - 조항삭제 - 조항신설 |
II. 사업의 내용
1. 사업의 개요
당사는 기존 농도구배원심분리법의 취약점인 균일하지않은 순도의 치료제 양산을 해결하고자 2002년부터 새로운 분리기술(층분리배양법) 개발을 시작하였고, 2005년에완성하여 국내외 특허를 출원하게 되었습니다. 이후 층분리배양법에 기반한 줄기세포치료제 제조기술 및 질환 치료 관련 특허들을 출원ㆍ등록하여 지식재산권을 포트폴리오화 하기 시작하였습니다. 이 새로운 플랫폼 특허기술을 바탕으로 줄기세포치료제의 효능을 높이고, 각 질환에 가장 적합한 질환 특이적인 치료제를 개발하여 치료비용도 줄일 수 있는 줄기세포치료제를 개발하는 것이 당사 연구개발의 목표입니다.
당사의 주요 사업 분야는 줄기세포치료제와 화장품입니다. 첫번째, 당사의 주요 줄기세포치료제 파이프라인으로는 만성 이식편대숙주질환, 급성 췌장염, 중등증-중증 아토피피부염이 있습니다. 만성 이식편대숙주질환은 2상 임상시험, 급성 췌장염은 2a상 임상시험, 중등증-중증 아토피피부염은 2상 임상시험 진행 중에 있습니다. 두번째, 탈모완화 기능성 화장품인 '이로로 디어스칼프' 제품을 개발하였습니다. 당사는 단일 세포유래 중간엽줄기세포주를 이용하여 줄기세포가 분비하는 단백질 중발모효능을 나타내는 유효 단백질 물질 2가지 단백질(CXCL1, TYMP)을 발굴하였고, 현재 CXCL1을 활용한 화장품 브랜드 '이로로 디어스칼프'를 출시하여 판매하고 있습니다.
당사는 원천기술인 층분리배양법을 기반으로 생산된 고순도ㆍ고효능 중간엽줄기세포 치료제를 각각의 질환별로 개발하여 제품을 생산 및 판매하는 제약회사의 사업구조와 당사가 보유하고 있는 플랫폼 원천기술을 이용하여 개발한 제품을 질환별, 국가별로 기술을 수출하는 바이오텍의 사업구조를 동시에 가지고 있습니다. 현재 임상시험 단계에 있는 파이프라인들은 신약개발의 일환으로 당사가 후보물질 발굴, 비임상시험 등을 모두 자체적으로 개발하여 보유한 자산으로서 제3자에게 국내외 권리국가에서의 전용실시권 부여 및 사용권리를 부여할 수 있습니다. 말레이시아 최대 국영 제약사인 Duopharma Biotech Berhad에 동남아 4개국 말레이시아, 싱가포르, 브루나이, 필리핀에 대한 임상, 허가 및 독점적 판매권리를 부여하는 계약을 체결하였습니다. 국내 대형 제약사인 한독과는 2019년 5월 중등증-중증 아토피피부염에 대한 국내개발 및 판매권리 기술이전 계약을 체결하였습니다. 따라서 개발 중인 줄기세포치료제의 국내외 기술이전을 통해 선수금 및 경상개발비 명목으로 제품 판매 전에 기술료 수익이 발생할 수 있으며, 제품 개발 후에는 안정적인 제품 매출 및 로열티 수익을 창출할 것으로 기대하고 있습니다.
2. 주요 제품 및 서비스
가. 제품 설명
당사의 주요 사업영역으로 줄기세포치료제 및 줄기세포를 응용한 재생의료 제품을 선정하여 후보물질 선정부터 비임상 및 임상시험을 통한 치료제 생산까지 전주기적 의약품 개발을 하고 있습니다. 또한 현금흐름 유동성 확보 및 수익 실현을 위해 당사가 개발한 발모 효능 단백질 활용한 탈모완화 기능성 화장품을 개발하여 출시한 바 있습니다.
현재 당사가 영위하고 있는 주요 사업범위는 아래와 같습니다.
| [에스씨엠생명과학㈜ 주요 사업범위] |
|
구 분 |
제 품 |
|---|---|
|
줄기세포치료제 |
1. SCM-CGH, 만성 이식편대숙주질환 치료제 2. SCM-AGH, 급성 췌장염 치료제 3. SCM-AGH, 중등증-중증 아토피피부염 치료제 |
|
화장품 |
이로로 디어스칼프, 탈모완화 기능성 화장품 |
| [주요 파이프라인 현황] |
![]() |
|
2021.4Q파이프라인 |
(1) 줄기세포치료제
당사는 2023년 조건부 품목허가가목표인 만성 이식편대숙주질환을 비롯해 급성 췌장염, 중등증-중증 아토피피부염 총 3개의 줄기세포치료제를 주력으로 개발하고 있습니다. 당사는 만성 이식편대숙주질환, 급성 췌장염과 같은 희귀질환을 대상으로 줄기세포치료제의 조건부 허가를 득하여 시장에 진입하고, 중등증-중증의 아토피피부염같이 기존 치료제로는 장기적인 효능을 볼 수 없거나 근원적인 치료가 힘들었던 질환을 대상으로 시장을 확대할 계획을 가지고 있습니다.
현재 면역관련 질환을 대상으로 제품개발을 진행하고 있으며 유사한 기전에 따라 적응증 확대를 통하여 적용제품의 시장을 확대할 예정입니다.
① 만성 이식편대숙주질환 줄기세포치료제
| 구 분 | 내 용 | ||||
|---|---|---|---|---|---|
|
적응증 및 적응증 확대 |
1. 적응증 - 만성 이식편대숙주질환 2. 적응증 확대 - 급성 이식편대숙주질환 |
||||
|
치료제의 제형 및 주요 기능 |
1. 제형 신선형 제형의 줄기세포치료제는 층분리배양법으로 분리 및 배양된 고순도 줄기세포를 가지고 마스터 세포은행과 제조용 세포은행을 구축한 다음, 환자의 투여일정이 확정되면 제조용 세포은행의 줄기세포를 해동하여 10-12일 간의 배양 과정을 통해 완제품을 제조하여 주사기에 충전된 형태로 공급하는 제형입니다. 2. 주요 기능 골수이식을 통해 활성화된 공여자의 T-세포 억제 및 면역조절 |
||||
|
치료제 현황 및 개발 필요성 |
1. 중간엽줄기세포(MSC)의 기능 면역활성 환경에서 고순도 중간엽줄기세포는 T-세포의 증식 억제와 면역세포 표면에 존재하는 아세틸콜린 수용체를 통하여 면역세포의 활성과 증식을 억제합니다.
2. 비임상시험 결과 동종 splenocyte-유도 이식편대숙주질환 동물모델에서 신선형 줄기세포치료제 SCM-CGH를 정맥투여하여 질환동물의 생존율이 높아지고, 임상 증상이 개선되었습니다.
3. 치료제 현황 현재 국내에서는 스테로이드 외 적절한 치료제가 없어 시장규모를 예측하기 어렵습니다. 4. 개발 필요성 - 한국과학기술정보연구원의 National Digital Science Library 보고서에 의하면 만성 이식편대숙주질환은 조혈모줄기세포 이식 후 생존하는 환자의 60-80%에서 발생하며 장기 생존 환자의 가장 중요한 사망원인으로 꼽히고 있습니다. - 최근 조혈모줄기세포 이식은 나이 많은 사람과 혈연관계가 없는 사람간의 이식이 증가하면서 만성 이식편대숙주질환 환자수가 급증하고 있으나 효과적인 치료법이나 병리학적인 기전은 잘 알려져 있지 않은 상태입니다. - 이식편대숙주질환 치료에 있어 골수 및 제대혈유래 줄기세포치료제의 효과가 보고되고 있어 치료제 개발의 요구가 매우 높습니다. 5. 경쟁 현황 - 현재까지 국내에서 만성 이식편대숙주질환을 근본적으로 치료할 수 있는 치료제는 아직 출시되지 않았으며, 표준 치료법으로 corticosteroid, calcineurin inhibitors(cyclosporine, tacrolimus), thalidomide, 체외 광화학요법(extracorporeal photochemotherapy, ECT) 또는 mycophenolate mofetil(MMF), methotrexate 같은 면역억제제가 있습니다. - Janssen의 BTK 저해제인 임브루비카(Imbruvica)가 2017년 만성 이식편대숙주질환에 대한 적응증 추가로 미국 FDA 허가를 받았습니다. 한국 등 글로벌 시장에서는 3상 임상시험을 진행 중이며, 일부 환자에서 증상의 개선이 확인되었고, 개선된 증상이 5개월 이상 지속되었습니다. 그러나 동반된 부작용으로는 피로, 타박상, 설사, 혈소판 감소, 근육 경련, 메스꺼움, 폐렴 등이 있습니다. - Novartis의JAK 신호체계를 선택적으로 억제하는 경구용 소분자 표적 치료제인 자카비(Jakavi)가 한국 등 글로벌만성 이식편대숙주질환 환자를 대상으로 3상 임상시험을 완료하고 2021년9월22일 만성 이식편대숙주질환에 대한 적응증 추가로 미국FDA 허가를 받았습니다. 자카비와 기존 치료(BAT, Best available therapy)를 비교한 3상 임상시험에서 연구 1차 평가변수인 24주차 전체 반응률(ORR)은 자카비 치료군이 49.7%, BAT군이 25.6%로 나타났다. 그러나 자카비 투여 후 가장 일반적인 혈액학적 이상반응은 빈혈, 혈소판 감소증이며, 가장 일반적인 비혈액학적 이상반응은 감염, 바이러스 감염이 있습니다.
- 상기 경쟁약물 대비 만성 이식편대숙주질환 줄기세포치료제 SCM-CGH는 1상 임상시험 단계에서 다수의 장기 반응을 호전시키는 것으로 확인되었으며, 시험약과의 연관성이 있는 중대한 이상반응이 관찰되지 않았고, 임상적으로 유의한 비정상 수치나 결과가 발생되지 않았습니다. - 2상 임상시험에서 유효성이 확인되면 개발단계 희귀의약품으로 지정 받았기 때문에 조건부 품목허가를 받아 빠르게 시장에 진출할 것으로 예상되어 만성 이식편대숙주질환 치료에 대한 미충족 의료수요 해소 및 시장을 선도할 수 있을 것으로 판단됩니다. |
||||
|
임상개발현황 및 개발일정 |
1. 개발 현황 [1상 임상시험] - SCM-CGH를 정맥으로 단회 투여한 11명의 시험대상자 중 10명을 대상으로 유효성 평가를 실시하였습니다. - 10명의 시험대상자 중 급성 이식편대숙주질환인 시험대상자가 1명, 만성 이식편대숙주질환인 시험대상자가 9명이었습니다. - 9명의 만성 이식편대숙주질환 시험대상자를 대상으로 안전성을 평가하였고, 1명의 시험대상자에게서 약물 이상반응 근육통 1건이 발생하였으나 투여 후 3일 내 증상이 사라졌습니다. 시험약과의 연관성이 있는 중대한 이상반응이 관찰되지 않았고, 임상적으로 유의한 비정상 수치나 결과가 발생되지 않았습니다. - 만성 이식편대숙주질환으로 진단된 9명의 시험대상자에서 부분반응 이상의 증상 호전을 통한 치료 효과를 확인하였고, 안전성에도 문제가 없음을 확인하였습니다.
2. 개발일정 - 2018년 2상 임상시험 시작 - 2019년 식약처 개발단계 희귀의약품 지정 (2019.04) - 2023년 조건부 품목허가 예정 - 2023년 제품 출시 예정 |
② 급성 췌장염 줄기세포치료제
| 구 분 |
내 용 |
||||||
|---|---|---|---|---|---|---|---|
|
적응증 및 적응증 확대 |
1. 적응증 - 중등증 이상의 급성 췌장염 2. 적응증 확대 - 염증성 장질환, 위염, 류마티스 관절염, 패혈증 |
||||||
|
치료제의 제형 및 주요 기능 |
1. 제형 동결형 제형의 줄기세포치료제는 제조공정이 완료된 최종 완제품에서의 무균성을 확인한 후 질소 탱크에 저장하여 보관하고 있다가 급성 환자들처럼 빠른 시간 안에 투여가 필요할 경우 완제품을 바로 해동하여 투여할 수 있는 형태의 제형입니다. 2. 주요 기능 조절 T-세포 활성화를 통한 항염증 작용 |
||||||
|
치료제 현황 및 개발 필요성 |
1. 중간엽줄기세포(MSC)의 기능 고순도 중간엽줄기세포는 면역관문 조절물질 ICOSL-ICOS와 상호작용을 통해 조절 T-세포의 활성과 항염증성 사이토카인 IL-10의 생성을 유도하고 이는 조직 괴사가 동반되는 염증성 환경에서 면역반응을 직접적으로 억제합니다.
2. 비임상시험 결과 Cerulein과 LPS로 유도된 급성 췌장염 동물모델과 TCA(3%)로 유도된 급성 췌장염 동물모델에서 동결형 줄기세포치료제 SCM-AGH를 정맥투여하여 질환동물의 췌장염 증상을 개선하고 면역활성을 억제하는 비임상 유효성 결과를 확보하였습니다. - Cerulein과 LPS로 유도된 급성 췌장염 동물모델에서 췌장염 지표 마커 분석을 통한 SCM-AGH의 유효성 평가 시험 결과
(P value = *, <0.05, ***, <0.001, Ctrl, control n=6, MAP, mild acute pancreatitis n=5, SAP, severe acute pancreatitis n=5) - TCA로 유도된 급성 췌장염 유발 동물모델에서 SCM-AGH 투여로 변화되는 췌장염 지표 마커와 사이토카인 분석 결과
B. 췌장 조직안에 침투하고 있는 호중구의 염증지표 단백질 MPO의 활성으로 췌장 염증 정도를 평가한 결과, 급성 췌장염 유발 후 약 12배 증가한 MPO의 활성이 SCM-AGH 투여 후 65% 이상 감소하였습니다. C. SCM-AGH 투여군에서 염증성 사이토카인 IL-6, TNF-α, IFN-γ의 혈중 분비량이 급성 췌장염 유도군에 비해 40~60% 감소하였습니다. D. SCM-AGH 투여군에서 항염증성 사이토카인 IL-10의 혈중 분비량 급성 췌장염 유도군에 비해 40~60% 증가하였습니다. (P value = *, <0.05, **, <0.01, ***, <0.001) 3. 치료제 현황 현재 수행되고 있는 의료적 처치는 1차로 수액 및 진통제 등 일반적인 염증 완화용 약물을 사용하고 있으며, 중증의 경우 투석과 함께 단백분해 억제제, 췌장효소 억제제 등의 2차 치료제를 사용하게 됩니다. 다만, 이러한 2차 치료제의 효과는 명확히 증명된 바가 없습니다. 당사의 급성 췌장염 줄기세포치료제 SCM-AGH은 First-in-Class 치료제로 글로벌 마켓 리더가 될 수 있는 가능성이 높다고 판단됩니다. 4. 개발 필요성 - 중증 급성 췌장염의 약 80%는 합병증 발생 없이 회복되는 부종성 췌장염이라는 가벼운 임상 경과를 보이지만 약 20%의 환자는 중증 급성 췌장염으로 구분됩니다. 경증 췌장염 환자는 약 3~5%정도의 사망률을 나타내나, 중증 급성 췌장염 환자는 사망률이 20%를 상회할 정도로 매우 높습니다. - 중증 급성 췌장염의 경우 쇼크, 저산소증, 신장 기능 저하 등의 다장기부전이 동반되거나 췌장 괴사 등의 합병증이 나타나는데 현재 적절한 치료제가 없어 미충족 의료수요가 높은 질환입니다. - 당사의 SCM-AGH는 세계 최초의 급성 췌장염 줄기세포치료제로서 연구개발의 의의가 있습니다. 5. 경쟁 현황 - 현재 시장에 출시되어 췌장염 치료에 사용되고 있는 약물인 Futhan과 Miraclid는 단백질 분해효소를 타겟으로 염증반응을 억제하는 기전을 나타내는 치료제입니다. 다만, 상기 두 치료제들은 급성 췌장염을 적응증으로 하는 치료제가 아닌 증상개선을 위한 대중요법으로 허가 받았습니다. - 가장 유력한 경쟁약물은 융합 단백질인 TAK-671(SB-26 또는 울리나시타틴Fc)으로 Takeda Pharmaceutical 및 삼성바이오에피스가 협력 개발 중인 약물로서 미국에서 1상 임상시험을 완료하였습니다. 6. SCM-AGH의 특징 - 급성 췌장염 줄기세포치료제 SCM-AGH는 1/2a상 임상시험 단계에 있으며, 현재 1상 임상시험은 치료를 완료한 3명의 중증 환자에서 시험약과의 연관성이 있는 중대한 이상반응이 관찰되지 않았고, 임상적으로 유의한 비정상 수치나 결과가 발생되지 않아 등록이 완료되었습니다. 또한 장기부전을 평가하는 Modified Marshall Score에 있어서도 7일 시점에서 유효한 결과를 확인할 수 있었습니다. - 2020년 10월 하반기에 개발단계 희귀의약품의 지정을 받아 향후 2b상 임상시험 이후 2023년에 조건부 품목허가를 받아 빠르게 시장에 진출할 것으로 예상되어 급성 췌장염 치료에 대한 미충족 의료수요 해소 및 시장을 선도할 수 있을 것으로 판단됩니다. |
||||||
|
임상개발현황 및 개발일정 |
1. 개발 현황 - 2a상 임상시험 총 36명 환자모집 완료 2. 개발일정 - 2019년 1/2a상 임상시험 시작 - 2020년 식약처 개발단계 희귀의약품 지정(2020.10) - 2022년 2b상 임상시험 시작 - 2023년 조건부 품목허가 - 2024년 제품 출시 예정 |
③ 중등증-중증 아토피피부염 줄기세포치료제
| 구 분 |
내 용 |
||||||
|---|---|---|---|---|---|---|---|
|
적응증 및 적응증 확대 |
1. 적응증 - 중등증-중증 아토피피부염 2. 적응증 확대 - 건선 |
||||||
|
치료제의 제형 및 주요 기능 |
1. 제형 동결형 제형의 줄기세포치료제는 제조공정이 완료된 최종 완제품에서의 무균성을 확인한 후 질소 탱크에 저장하여 보관하고 있다가 급성 환자들처럼 빠른 시간 안에 투여가 필요할 경우 완제품을 바로 해동하여 투여할 수 있는 형태의 제형입니다. 2. 주요 기능 IL-4 및 IL-17 신호전달체계 억제와 IgE 생성 저해를 통한 면역시스템 조절 |
||||||
|
치료제 현황 및 개발 필요성 |
1. 중간엽줄기세포(MSC)의 기능 고순도 중간엽줄기세포는 B-세포의 증식과 분화를 조절하고 IgE의 생산을 억제합니다.
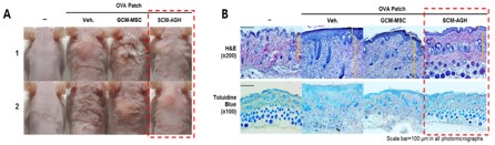
- 동결형 치료제 SCM-AGH 정맥 투여 후 아토피피부염 피부 병변형태, 조직학적 분석과 비만세포 염색 결과
A. 동결형 치료제 SCM-AGH의 아토피피부염 치료 효능을 피부병변의 임상적 증상개선으로 확인하였습니다. B. 아토피피부염 유발이 확인된 개체에서 대조군인 세포안정화제(Veh, n=8), 기존 분리방법으로 분리한 줄기세포(GCM-MSC, n=8), 동결형 치료제(SCM-AGH, n=8)의 치료 효능을 조직학적 분석(H&E 조직염색)과 피부 병변에서의 비만세포 분석(toluidine blue 염색)으로 평가하였습니다. - 동결형 치료제 SCM-AGH 정맥 투여 후 혈청에서의 아토피피부염 지표물질 IgE, IgG1 분석 결과
(P value = *, <0.05, **, <0.01) 2. 비임상시험 결과 Ovalbumin/Alum-유도 아토피피부염 동물모델에서 동결형 줄기세포치료제 SCM-AGH를 정맥투여하여 피부병변의 임상적 증상을 개선하고 혈중 IgE를 낮추는 치료 효능을 확인했습니다. 3. 치료제 현황 아토피피부염의 치료 원칙은 증상의 발현과 악화를 예방하기 위해 원인과 유발인자를 제거하고, 적절한 목욕 및 보습제 사용으로 피부를 튼튼하고 청결하게 유지하는 것이며, 2차 피부감염증을 예방하기 위해 필요한 경우 국소 스테로이드제, 국소 칼시뉴린억제제, 항히스타민제, 면역조절제, 항바이러스제 등을 적절하게 사용해 주는 것입니다. 그러나 국소 스테로이드제의 효능은 중등증-중증의 아토피피부염 환자에게 제한적이며 장기간의 부작용이 동반됩니다. 더욱이, 사이클로스포린 A를 포함한 전신 면역억제제는 심각한 독성 및 부작용의 위험을 가지고 있다고 보고되어 있습니다. 최근에는 아토피피부염 환자에게 항 IgE(omalizumab), 항 IL-5(mepolizumab), 항 CD11a(efalizumab) 및 항 IL-4R(dupilumab)과 같은 새로운 생물학적 제제가 도입되었으나, 임상시험에서 아토피피부염을 가진 특정 환자에서 유효성이 제한적이고 일정하지 않은 것으로 보고되어, 안전성과 유효성을 지닌 새로운 치료제 개발에 대한 미충족 의료수요가 존재합니다. 4. 개발 필요성 - 아토피피부염 시장은 복잡한 발병원인으로 인하여 환자의 유형 구분에 따라 각기 다른 치료방법이 필요합니다. 현재 시장에 출시된 제품들이 치료하지 못하고 있는 중등도-중증 아토피피부염 시장도 미충족 의료수요로 인해 새로운 부가가치 창출의 기회가 큽니다. - 현재 아토피피부염의 치료를 위해 보습제, 국소 및 전신 스테로이드, 전신 항히스타민제, 국소 및 전신 면역조절제, 광선 치료 등이 사용되나 효과적인 치료제는 없습니다. 5. 경쟁 현황 - 지난 10여년 동안 시장을 독점하고 있는 치료제들로 FDA 승인을 받은 엘리델과 프로토픽이 존재하였으며, 첫 바이오의약품으로 인터루킨-4/인터루킨-13 수용체 억제제(anti IL-4/IL-13 receptor)인 듀피젠트가 2017년 3월 미국 FDA로부터 중등증-중증 단계의 성인 아토피피부염 환자에 대한 사용 승인을 받고, 2019년 3월 소아 아토피피부염에 대하여 추가 승인을 받았습니다. - 줄기세포치료제 분야에서는 강스템바이오텍이 중등도 이상의 만성 아토피피부염 환자를 대상으로 퓨어스템-에이디주(FURESTEM-AD)의 유효성 및 안전성 평가를 위한 Two-Stage, 다기관, 무작위 배정, 이중 눈가림, 위약 대조 등의 내용이 포함된 제 3상 임상시험을 2021년 5월 7일 식약처로부터 승인받았으며, 국내 약 15개 기관에서 아토피 환자 308명을 대상으로 진행될 예정으로 향후 국내에서의 경쟁업체가 될 것으로도 판단됩니다. 6. SCM-AGH의 특징 - 중등증-중증 아토피피부염 줄기세포치료제 SCM-AGH는 1/2상 임상시험을 진행 중에 있으며, 이를 통하여 안전성 및 유효성을 1차 입증하고, 국내 시장 및 글로벌 시장을 타겟으로 개발을 추진하고 있습니다. |
||||||
|
임상개발현황 및 개발일정 |
1. 개발 현황 - 2상 임상시험 진행 중 2. 개발일정 - 2022년 한독 주관 3상 임상시험 IND 신청 - 2025년 품목허가 승인 - 2026년 제품 출시 예정 |
(2) 화장품: 이로로 디어스칼프, 탈모완화 기능성 화장품
당사는 단일 세포유래 중간엽줄기세포주를 이용하여 줄기세포가 분비하는 단백질 중발모효능을 나타내는 유효 단백질 물질 2가지 단백질(CXCL1, TYMP)을 발굴하였습니다.
해당 단백질들은 CXCL1(Chemokine (C-X-C motif) ligand 1, 7.9 kDa) 케모카인, TYMP (thymidine phosphorylase, endothelial cell growth factor 1(platelet-derived), hPD-ECGF1, 55 kDa)으로 탈모방지, 발모 시장에 큰 도움이 될 것으로 판단하였습니다. 두가지 단백질 중 CXCL1이 분자량이 더 작고, 유효성이 높아 관련 제품개발에 더 유리하다고 판단되어 핵심성분으로 설정하였습니다.
![]() |
|
[발모효능 단백질의 발굴] |
GCM-MSC와 비교하여 cMSC에서 많은 양으로 생산되는 단백질 중 CXCL1, TYMP은 발모에 효능이 있는 유효물질임을 확인하였습니다.
이를 화장품에 활용하기 위해 CXCL1을 ICID(국제화장품 원료 사전집)에 등재하였고, 현재 CXCL1을 활용한 화장품 브랜드 '이로로 디어스칼프'를 개발하여 판매하고 있습니다.
| [이로로 디어스칼프 제품 라인업] |
|
|
|
|
① 샴푸 (남성용/여성용)
|
제품 |
- 제품명 : 이로로 디어스칼프 인핸시브 안티헤어로스 샴푸 - 용량 : 300mL - Type : Wash-off - 탈모완화 기능성 화장품 |
||||||||||||||||||
|
제품 |
- 無실리콘, 無파라벤, 無합성색소 - 1차 자극 테스트 완료 - 주성분 : 징크피리치온, 살리실산, 덱스판테놀 - 13가지 자연성분 함유 - 유효성분 전달 기술 적용: Dilution-Deposition System
- 세정력 강화 기술 적용: Mixed Bubble Cleansing System
- 두피 개선 인체적용시험 완료 인체두피에서의 각질, 모공청결도, 유분량, 수분량 및 경피수분 손실량을 2주간 평가한 결과, 모든 항목에서 유의한 개선효과를 나타냈습니다.
|
② 트리트먼트
|
제품사양 |
- 제품명 : 이로로 디어스칼프 인핸시브 안티헤어로스 트리트먼트 - 용량 : 200mL - Type : Wash-off - 탈모완화 기능성 화장품 |
|
제품 특징 |
- 無실리콘, 無파라벤, 無합성색소, 약산성 - 1차 자극 테스트 완료 - 주성분 : 징크피리치온, 살리실산, 덱스판테놀 - 16가지 자연성분 함유 |
③ 세럼
|
제품사양 |
- 제품명 : 이로로 디어스칼프 인핸시브 안티헤어로스 세럼 - 용량 : 100mL - Type : Leave-on - 탈모완화 기능성 화장품 |
|
제품 특징 |
- 無실리콘, 無파라벤, 無합성색소, 약산성 - 1차 자극 테스트 완료 - 주성분 : L-멘톨, 살리실산, 덱스판테놀 - 13가지 자연성분 함유 |
④ 토닉
|
제품사양 |
- 제품명 : 이로로 디어스칼프 인핸시브 안티헤어로스 토닉 - 용량 : 120mL - Type : Leave-in - 탈모완화 기능성 화장품 |
|
제품 특징 |
- 1차 자극 테스트 완료 - 주성분 : L-멘톨, 살리실산, 덱스판테놀 - 9가지 자연유래성분 함유 |
나. 주요 제품 등의 현황
당사가 주력으로 영위하고자 하는 사업은 줄기세포치료제의 연구, 개발 및 판매 사업이며, 화장품 사업은 부가가치 창출 사업으로서 당사가 현재 진행하고 있는 주요 사업이 아님을 참고해 주시기 바랍니다.
| (단위: 천원) |
| 구 분 | 2021년도 (비율) |
2020년도 (비율) |
2019년도 (비율) |
|||
|---|---|---|---|---|---|---|
| 금액 | 비중 | 금액 | 비중 | 금액 | 비중 | |
| 제품 | 197,701 | 45.0% | 104,917 | 32.8% | 108,096 | 64.2% |
| 위탁연구수입 | - | - | - | - | 60,404 | 35.8% |
| 라이선스수수료 | 241,562 | 55.0% | 215,089 | 67.2% | - | - |
| 합 계 | 439,263 | 100.0% | 320,006 | 100.0% | 168,500 | 100.0% |
| 주1) | 제품 매출은 당사가 2019년에 출시한 화장품 매출입니다. |
| 주2) | 라이선스 수수료수익은 한독 기술이전 계약금(upfront)에 대하여 기간에 걸쳐 수행의무가 이행되는 것으로 수익을 인식하고 있습니다. |
다. 주요 외주처 현황
이로로 디어스칼프는 국내 유수의 업체들과 협력하여 OEM(Original Equipment Manufacturer) 방식으로 제품을 생산하고 있습니다. 당사가 개발한 특허물질 CXCL1과 용기를 포함한 부자재를 한국콜마에 공급하고, 한국콜마는 CXCL1이 포함된 화장품 제형을 생산하여 공급받은 부자재에 충진 및 포장을 합니다. 청진, 연우 등은 화장품용기를 공급하며, 태경은 단상자를 포함한 인쇄물을 공급합니다.
현재까지 누적 생산량은 9만 5천개로 2018년에 2만개, 2019년에 1만개, 2020년에 1만 5천개 및 2021년에 5만개를 생산하였습니다.
| [화장품 외주처 현황] |
| (단위: 천원) |
| 사업연도 |
외주처 |
외주금액 |
외주비중 |
외주 내용 |
|---|---|---|---|---|
| 2019년도 (제6기) |
한국콜마 |
22,270 |
55.52% |
물품공급계약 및 품질관리계약 (OEM 생산, 포장, 품질검사) |
|
청진 |
7,920 |
19.74% |
물품공급계약 (세럼용기 생산) |
|
|
태경인쇄 |
5,140 | 12.81% |
물품공급계약 (단상자, 카톤박스, 리플렛, |
|
|
기타 |
4,784 |
11.93% |
물품공급계약 (샴푸/트리트먼트 용기 생산 등) |
|
|
합 계 |
40,114 |
100.00% |
- |
|
| 2020년도 (제7기) |
한국콜마 |
52,094 |
63.96% |
물품공급계약 및 품질관리계약 |
| 아이튜벡스 |
4,200 |
5.16% |
물품공급계약 |
|
| 태경인쇄 |
13,218 |
16.23% |
물품공급계약 (단상자, 카톤박스, 리플렛, |
|
| 청진 |
9,135 |
11.21% |
물품공급계약 (샴푸용기 생산) |
|
| 기타 |
2,800 |
3.44% |
물품공급계약 |
|
| 합 계 |
81,447 |
100.00% |
- | |
| 2021년도 (제8기) |
한국콜마 | 175,103 | 56.74% | 물품공급계약 (OEM생산, 포장, 품질검사) |
| 연우 | 35,250 | 11.43% | 물품공급계약 (세럼용기 생산) |
|
| 청진 | 47,070 | 15.25% | 물품공급계약 (샴푸/토닉 용기 생산) |
|
| 태경인쇄 | 41,687 | 13.51% | 물품공급계약 (단상자, 카톤박스, 리플렛, 봉인라벨 등 인쇄물) |
|
| 지에프씨 생명과학 |
9,485 | 3.07% | 물품공급계약 (CXCL Complex 생산) |
|
| 합 계 | 308,595 | 100.00% |
라. 주요 제품 등의 가격변동추이
2019년도에 판매를 개시한 화장품의 경우 최근 2021년 1분기 말 기준 세럼 및 트리트먼트의 가격인하를 진행하였고, 3분기에 신제품 토닉을 출시하였습니다.
| (단위: 천원) |
| 품 목 |
2021년도 |
2020년도 |
2019년도 |
|
|---|---|---|---|---|
| 샴푸 남성용 | 내 수 | 28 | 28 | 28 |
| 수 출 | - | - | - | |
| 샴푸 여성용 | 내 수 | 28 | 28 | 28 |
| 수 출 | - | - | - | |
| 트리트먼트 | 내 수 | 19 | 26 | 26 |
| 수 출 | - | - | - | |
| 세럼 | 내 수 | 35 | 45 | 45 |
| 수 출 | - | - | - | |
| 토닉 | 내 수 | 17 | - | - |
| 수 출 | - | - | - | |
마. 주요 제품 등 관련 각종 산업표준
화장품 제품은 OEM 방식의 외주생산으로 특이적 산업표준에는 해당하지 않습니다.
줄기세포치료제 개발 기술과 제품은 약사법 및 식약처 고시 세포치료제 가이드라인 등의 국내 규정과 의약품실사상호협력기구(PIC/S) 및 국제조화규정(ICH) 가이드라인 등의 국제조화기준에 의한 규정에 따라 허가됩니다. 당사의 줄기세포치료제는 이러한 규정에서 정하는 GMP 표준에 적합하게 제조되고 있습니다. 2017년 ISO9001에 대한 최초 인증을 받은 이래 2020년에 재인증을 받았습니다.
바. 주요 제품 등 관련 소비자 불만사항 등
보고서 기준일 현재까지 당사 및 판매사를 통해 접수된 주요 제품 등 관련 소비자 불만사항 등의 발생 및 처리 내역은 없습니다.
3. 원재료 및 생산설비
가. 주요 원재료
(1) 매입 현황
| (단위 : 원) |
|
품 목 |
구 분 |
2021년 (제8기) |
2020년 (제7기) |
2019년 (제6기) |
|---|---|---|---|---|
| 원재료 | 국 내 | 473,605,329 | 568,195,390 | 612,813,009 |
| 수 입 | - | - | - | |
| 합 계 | 473,605,329 | 568,195,390 | 612,813,009 | |
| 부재료 | 국 내 | 674,721,136 | 329,669,424 | 217,735,659 |
| 수 입 | - | - | - | |
| 합 계 | 674,721,136 |
329,669,424 | 217,735,659 | |
| 외주가공비 | 국 내 | 398,103,387 | 52,094,120 | 22,270,000 |
| 수 입 | - | - | - | |
| 합 계 | 398,103,387 | 52,094,120 | 22,270,000 | |
| 총 합 계 | 국 내 | 1,546,429,852 | 949,958,934 | 852,818,668 |
| 수 입 | - | - | - | |
| 합 계 | 1,546,429,852 |
949,958,934 | 852,818,668 |
(2) 원재료 가격변동추이
| (단위: 원) |
| 품 목 | 2021년 (제8기) |
2020년도 (제7기) |
2019년도 (제6기) |
|
|---|---|---|---|---|
|
FBS |
국 내 |
536,000 | 548,000 | 532,000 |
|
수 입 |
- | - |
- |
|
|
DMEM |
국 내 |
24,390 | 24,500 | 24,276 |
|
수 입 |
- | - |
- |
|
|
MEM |
국 내 |
35,200 | 34,300 | 34,219 |
|
수 입 |
- | - |
- |
|
(3) 주요 매입처에 관한 사항
당사와 특수관계에 있는 매입처는 없습니다. 또한 해당 매입처와는 공시대상기간 동안 지속적으로 거래를 해오며, 현재까지 공급가와 관련된 문제가 발생한 사례가 없습니다.
나. 생산 및 설비
(1) 생산능력 및 생산실적
당사의 생산능력 및 생산실적은 현재 가동 중인 GMP 시설에서 생산한 임상시험용 의약품(SCM-CGH, SCM-AGH)을 기준으로 기재하였습니다.
SCM-CGH는 진행 중인 임상시험의 환자가 등록됨과 동시에 환자의 투여 및 공급일정이 확정되어 생산을 시작합니다. 2019년부터 2021년 3분기말 현재까지 등록된 환자의 투여를 위해 생산된 배치의 수량을 아래의 표에 기재하였습니다. SCM-CGH 1배치의 경우 제조용세포은행 해동 후 증식배양을 거쳐 생산되는 1회 생산규모이며, 환자 체중에 따라 결정된 투여세포량 만큼 맞춤생산 규모입니다.
SCM-AGH 1배치는 마스터세포은행 1바이알 해동 후 증식배양을 거쳐 생산되는 완제품 1회 생산 규모입니다.
| (단위: 배치) |
|
제품 품목명 |
구 분 |
2021년도 (제8기) |
2020년도 (제7기) |
2019년도 (제6기) |
|||
|---|---|---|---|---|---|---|---|
|
수량 |
금액 |
수량 |
금액 |
수량 |
금액 |
||
|
줄기세포치료제 (SCM-CGH) |
생산능력 주) |
144 | - | 96 | - |
96 |
- |
|
생산실적 |
58 | - | 88 | - |
27 |
- |
|
|
가동률 |
40% | 92% |
28% |
||||
|
줄기세포치료제 (SCM-AGH) |
생산능력 |
96 | - | 96 | - |
96 |
- |
|
생산실적 |
15 | - | 34 | - |
40 |
- |
|
|
가동률 |
16% | 35% |
42% |
||||
| 주) | SCM-CGH의 생산능력 산출근거는 월간 임상 예상등록환자 수 4명을 고려하여, 환자 1명 당 3배치, 월간 12배치, 연간 144배치로 산정하였습니다. |
(2) 생산설비에 관한 사항
① 설비 현황
| (단위: 원) |
| 구 분 | 토지 | 건물 | 구축물 | 기계장치 | 공구와기구 | 비품 | 시설장치 | 건설중인자산 | 사용권자산 | 합 계 |
|---|---|---|---|---|---|---|---|---|---|---|
|
기초 순장부금액 |
6,967,498,403 | 2,011,981,605 | 15,682,667 | 956,247,092 | 154,696,956 | 132,080,599 | 258,551,559 | 293,568,973 | 753,194,391 | 11,543,502,245 |
|
취득 |
- | 3,000,000 | - | 409,934,727 | 99,981,091 | 47,613,496 | - | 115,470,457 | 113,103,027 | 789,102,798 |
|
대체 |
- | - | - | - | - | - | 48,000,000 | (104,118,252) | - | (56,118,252) |
|
감소 |
- | - | - | - | - | (111,138) | - | - | (103,568,639) | (103,679,777) |
|
감가상각비 |
- | (71,449,671) | (544,000) | (402,561,907) | (56,439,087) | (49,827,108) | (84,777,292) | - | (390,054,011) | (1,055,653,076) |
|
기말 순장부금액 |
6,967,498,403 | 1,943,531,934 | 15,138,667 | 963,619,912 | 198,238,960 | 129,755,849 | 221,774,267 | 304,921,178 | 372,674,768 | 11,117,153,938 |
② 설비의 신설ㆍ매입계획
당사는 인천 송도 부지 내 시판용 줄기세포치료제 생산용 GMP제조시설 신축을 위해12월 개념설계 계약을 체결하고, 클린룸 개념설계를 시작하였습니다. 신규 GMP 제조시설은 PIC/S에 부합하는 시설로서, 연간 20,000 doses 생산이 가능하도록 주요 장비 및 제조지원설비를 구축할 예정입니다.
4. 매출 및 수주상황
가. 매출실적
| (단위: 천원) |
| 사업 부문 |
매출 유형 |
품 목 |
2021년도 (제8기) |
2020년도 (제7기) |
2019년도 |
|
|---|---|---|---|---|---|---|
| 줄기세포사업부문 | 제품 |
화장품 (이로로 디어스칼프) |
수출 | - | - | - |
| 내수 | 197,701 | 104,917 | 108,096 | |||
| 합계 | 197,701 | 104,917 | 108,096 | |||
|
위탁 연구개발 |
세포추출 |
수출 | - | - | - | |
| 내수 | - | - | 60,404 | |||
| 합계 | - | - | 60,404 | |||
| 라이선스 수수료 |
기술이전수익 주) |
수출 | - | - | - | |
| 내수 | 241,562 | 215,089 | - | |||
| 합계 | 241,562 | 215,089 | - | |||
|
합 계 |
439,263 | 320,006 | 168,500 | |||
| 주) | 당사는 2019년도에 한독과 아토피피부염 줄기세포치료제 기술이전계약을 체결하면서 환불되지 않는 계약금(Upfront Fee) 10억원을 수령하였습니다. 당사는 한국채택국제회계기준에 따라 동 기술이전 계약에 따른 계약금은 임상시험 기간에 걸쳐 수행의무가 이행되는 것으로 보아 진행률에 따른 수익을 인식하고 있습니다. |
나. 판매 경로
(1) 줄기세포치료제
품목허가 완료 후, 당사의 GMP 제조시설에서 완제의약품을 제조하고 유통 및 공급은 ㈜한독과 도매상을 활용하여 진행할 예정입니다. 국내 판매경로의 경우 에스씨엠생명과학 에서 제조하여 판매사(한독)를 통해 최종 수요처인 병원에 공급되는 방식입니다. 다만, 세포치료제의 안정성 확보를 위한 콜드체인 규정에 따라 당사가 최종 수요처까지의 배송을 담당하여 공급할 예정입니다.
(2) 화장품
당사 화장품 사업부문은 2019년 1월 런칭 후 매출 발생을 시작으로 제조는 OEM 방식의 모회사 제조와 영업활동은 자회사가 수행하였으며, 판매경로는 오프라인 B2B 채널(직거래, 대리점)과 온라인 전자상거래 B2C 채널을 활용하고 있습니다. B2B 수요처는 병의원, 미용실, 에스테틱/SNS 대리점과 코스메틱을 병행하는 유통처입니다.
다. 판매 전략
(1) 줄기세포치료제
줄기세포치료제는 당사 GMP 제조시설에서 생산 예정이며, 국내 유통 및 영업은 ㈜한독이 진행하는 구조입니다. 해외의 경우 파트너사의 판로를 일차적으로 활용할 계획이며 추가적으로 컨퍼런스 및 비즈니스 미팅 등에서의 발표를 통해 신규 파트너 확보를 하여 개발단계에서 라이선스-아웃하는 기술이전 모델을 추진하고 있습니다. 말레이시아 및 계약 국가들에서의 유통 및 영업은 Duopharma Biotech Berhad가 전담하여 추진하게 됩니다.
당사는 기술이전 대상 탐색을 위하여 아래의 활동을 하고 있습니다.
■ 전시회 및 비즈니스 파트너링 행사 참여
■ 국/내외 제약사 접촉
■ 초기단계 연구과제 탐색을 위한 공공연구기관 및 대학기관과의 접촉 (삼성서울병원, 한국생명공학연구원 등)
해외 라이선스 추진을 위해 아래와 같이 매년 다양한 학회 및 컨퍼런스에서 회사 소개(IR) 및 임상결과 발표 등을 통해 미국ㆍ유럽 바이오 및 제약회사와의 파트너링에 적극적으로 참여하고 있습니다.
(2) 화장품 및 배양액
당사에서 판매 중인 화장품(이로로 디어스칼프 4종)은 직접 또는 대리점을 주된 판매경로로 하고 있으며, 한국콜마 OEM 생산 후 공급을 받아 자사 영업전담 부서에서 판매를 진행합니다. 향후, 디지털 마케팅 전략을 수립하여 비대면채널을 통한 효율적이면서 효과적인 판매전략을 수행할 예정입니다.
줄기세포배양액 판매전략은 배양액을 통해 구축가능한 제품 포트폴리오를 파악하고 해당 제품 포트폴리오별 전략적 파트너쉽을 구축하여 당사 브랜드 일원화를 원칙으로 기술사업화 전략을 이행해 나갈 예정입니다.
| [화장품 및 배양액 판매ㆍ홍보 전략] |
|
브랜딩 전략 |
판매/홍보 전략 |
|---|---|
| <물질 기술사업화 전략> 특허물질(CXCL-1) 함유 제품의 전문성을 부각시킨 더마 코스메틱 브랜드 이미지 구축 |
화장품 관련 학회 및 박람회 참가하여 CXCL1 등 보유원료 소구 및 판로개척 |
| 국내외 SNS인플루언서를 활용한 지속광고를 통해 판매확대 기반 마련 | |
| 전문상품 이미지 구축 후 매스시장, 홈쇼핑 시장 진입하여 매출확대 모색 | |
| 해외 Agent 협업을 통한 글로벌 시장 진출 |
라. 주요 매출처
| (단위: 천원) |
| 매출 유형 | 품목 | 거래처 | 매출 금액 | 매출 비중 |
|---|---|---|---|---|
| 라이선스 수수료 | 기술이전 수익 | (주)한독 | 241,562 | 54.48% |
| 제품 |
화장품 (이로로 디어스칼프) |
(주)어거스트포코리아 | 103,107 | 23.26% |
마. 수주 상황
당사는 보고서 작성기준일 현재 해당사항이 없습니다.
5. 위험관리 및 파생거래
당사는 여러 활동으로 인하여 시장위험(환위험, 공정가치 이자율 위험, 현금흐름 이자율 위험 및 가격위험), 신용위험 및 유동성위험과 같은 다양한 금융위험에 노출되어 있습니다. 당사의 전반적인 위험관리정책은 금융시장의 예측불가능성에 초점을 맞추고 있으며 재무성과에 잠재적으로 불리할 수 있는 효과를 최소화하는데 중점을 두고 있습니다.
위험관리는 이사회에서 승인한 정책에 따라 당사 재무관리팀에 의해 이루어지고 있습니다. 당사 재무관리팀은 당사의 현업 부서들과 긴밀히 협력하여 재무위험을 식별, 평가 및 회피하고 있습니다. 이사회는 외환위험, 이자율위험, 신용위험 및 유동성을 초과하는 투자와 같은 특정 분야에 관한 문서화된 정책 뿐 아니라, 전반적인 위험관리에 대한 문서화된 정책을 제공합니다.
가. 시장위험
(1) 외환위험
당사는 외화로 표시된 거래를 수행하고 있지 않으므로 외화와 관련된 환율변동위험에 노출되어 있지 않습니다.
(2) 이자율위험
이자율 위험은 시장이자율의 변동으로 인하여 금융상품에서 발생하는 이자수익 및 이자비용이 변동할 위험을 의미합니다. 변동이자율로 발행된 차입금으로 인하여 당사는 이자율변동에 따른 현금흐름변동위험에 노출되어 있습니다. 당분기말 및 전기말 현재 이자율변동위험에 노출된 부채의 장부금액은 다음과 같습니다.
| (단위: 원) | ||
|---|---|---|
| 구 분 | 당기말 | 전기말 |
| 차입금 | 5,820,000,000 | 5,940,000,000 |
당사는 내부적으로 이자율 변동으로 인한 이자율위험을 정기적으로 측정하고 있습니다. 보고기간 종료일 현재 각 자산 및 부채에 대한 이자율이 1% 포인트 변동시 이자율 변동이 당기 및 전기 손익에 미치는 영향(법인세효과 제외)은 다음과 같습니다.
| (단위: 원) | ||||
|---|---|---|---|---|
| 구 분 | 당기 | 전기 | ||
| 1% 상승시 | 1% 하락시 | 1% 상승시 | 1% 하락시 | |
| 손익효과 | (58,200,000) | 58,200,000 | (59,400,000) | 59,400,000 |
(3) 가격위험
가격위험은 이자율위험이나 환위험 이외의 시장가격의 변동으로 인하여 금융상품의공정가치나 미래현금흐름이 변동할 위험을 의미합니다.
나. 신용위험
신용위험은 보유하고 있는 수취채권 및 확정계약을 포함한 거래처에 대한 신용위험뿐 아니라 현금성자산, 은행 등의 금융기관 예치금으로부터 발생하고 있습니다. 은행및 금융기관의 경우, 독립적인 신용평가기관으로부터의 신용등급이 최소 A이상인 경우에 한하여 거래를 하고 있습니다. 당분기 중 신용위험에 중요한 영향을 미치는 사항은 발견되지 않았으며, 경영진은 거래상대방의 의무불이행으로 인한 손실을 예상하고 있지 아니합니다. 당분기말 현재 회사의 관련 최대노출금액은 해당 장부금액입니다.
다. 유동성위험
당사는 차입금한도를 적정수준으로 유지하고 영업 자금 수요를 충족시킬 수 있도록 유동성에 대한 예측을 항시 모니터링하여 차입금 한도나 약정을 위반하는 일이 없도록 하고 있습니다. 유동성에 대한 예측 시에는 당사의 자금조달 계획, 약정 준수, 당사 내부의 목표재무비율 및 통화에 대한 제한과 같은 외부 법규나 법률 요구사항이 있는 경우 그러한 요구사항을 고려하고 있습니다.
당사는 상기에서 언급한 예측을 통해 결정된 대로 유동성이 확보될 수 있도록 적절한만기나 충분한 유동성을 제공해주는 정기예금, 수시입출금식 예금 등의 금융상품을 선택하여 잉여자금을 투자하고 있습니다.
당기말과 전기말 현재 회사의 유동성 위험 분석내역은 다음과 같습니다.
<당기말>
| (단위 : 원) | |||||
|---|---|---|---|---|---|
| 구 분 | 3개월 미만 | 3개월~ 1년 이하 | 1년~ 2년 이하 | 2년~ 5년 이하 | 합계 |
| 기타금융부채 | 414,571,265 | 278,214,539 | 204,371,570 | - | 897,157,374 |
| 차입금 | 69,111,533 | 5,854,447,888 | - | - | 5,923,559,421 |
| 리스부채 | 98,946,801 | 180,317,674 | 50,977,050 | 34,652,660 | 364,894,185 |
| 합 계 | 582,629,599 | 6,312,980,101 | 255,348,620 | 34,652,660 | 7,185,610,980 |
<전기말>
| (단위 : 원) | |||||
|---|---|---|---|---|---|
| 구 분 | 3개월 미만 | 3개월~ 1년 이하 | 1년~ 2년 이하 | 2년~ 5년 이하 | 합계 |
| 기타금융부채 | 751,458,885 | 270,034,304 | 153,348,761 | - | 1,174,841,950 |
| 차입금 | 68,458,229 | 209,848,188 | 5,923,559,421 | - | 6,201,865,838 |
| 리스부채 | 90,144,531 | 255,867,223 | 332,644,475 | 40,029,710 | 718,685,939 |
| 합 계 | 910,061,645 | 735,749,715 | 6,409,552,657 | 40,029,710 | 8,095,393,727 |
라. 자본위험관리
당사의 자본관리 목적은 계속기업으로서 주주 및 이해당사자들에게 이익을 지속적으로 제공할 수 있는 능력을 보호하고 자본비용을 절감하기 위해 최적 자본구조를 유지하는 것입니다.
당기말과 전기말 현재의 자본조달비율은 다음과 같습니다.
| (단위: 원) | ||
|---|---|---|
|
구 분 |
당기말 | 전기말 |
|
총차입금(주1) |
6,170,805,935 | 6,639,355,450 |
|
차감: 현금및현금성자산 |
2,890,275,427 | 77,474,257 |
|
순부채 |
3,280,530,508 | 6,561,881,193 |
|
자본총계 |
44,612,548,193 | 63,079,449,312 |
| 총자본 | 47,893,078,701 | 69,641,330,505 |
|
자본조달비율 |
6.85% | 9.42% |
| 주1) | 당기말 및 전기말 총차입금에는 리스부채가 포함되어 있습니다. |
마. 금융상품 공정가치
(1) 금융상품의 종류별 장부금액 및 공정가치는 다음과 같습니다.
| (단위: 원) | ||||
|---|---|---|---|---|
| 구 분 | 당기말 | 전기말 | ||
| 장부금액 | 공정가치 | 장부금액 | 공정가치 | |
| 금융자산 | ||||
| 현금및현금성자산 | 2,890,275,427 | 2,890,275,427 | 77,474,257 | 77,474,257 |
| 단기금융상품 | 16,753,572,123 | 16,753,572,123 | 35,219,418,967 | 35,219,418,967 |
| 매출채권 | 16,795,717 | 16,795,717 | 18,592,060 | 18,592,060 |
| 기타채권 | 708,176,391 | 708,176,391 | 195,383,089 | 195,383,089 |
| 장기금융상품 | 1,147,100,000 | 1,147,100,000 | - | - |
| 합 계 | 21,515,919,658 | 21,515,919,658 | 35,510,868,373 | 35,510,868,373 |
| 금융부채 | ||||
| 차입금 | 5,820,000,000 | 5,820,000,000 | 5,940,000,000 | 5,940,000,000 |
| 기타금융부채 | 897,157,374 | 897,157,374 | 1,174,841,950 | 1,174,841,950 |
| 합 계 | 6,717,157,374 | 6,717,157,374 | 7,114,841,950 | 7,114,841,950 |
(2) 공정가치 서열체계
공정가치로 측정되는 금융상품은 공정가치 서열체계에 따라 구분되며 정의된 수준들은 다음과 같습니다.
| - 측정일에 동일한 자산이나 부채에 대해 접근할 수 있는 활성시장의(조정하지 않은) 공시가격 (수준 1) |
| - 수준 1의 공시가격 외에 자산이나 부채에 대해 직접적으로나 간접적으로 관측할 수 있는 투입변수 (수준 2) |
| - 자산이나 부채에 대한 관측할 수 없는 투입변수 (수준 3) |
공정가치로 측정되는 금융상품의 공정가치 서열체계 구분은 다음과 같습니다.
<당기말>
| (단위: 원) | ||||
|---|---|---|---|---|
| 구 분 |
수준 1 |
수준 2 |
수준 3 |
합 계 |
|
반복적인 공정가치 측정치 |
||||
| 당기손익-공정가치 금융자산 | ||||
| 단기금융상품 | - | - | 753,572,123 | 753,572,123 |
| 장기금융상품 | - | - | 1,147,100,000 | 1,147,100,000 |
| 합계 | - | - | 1,900,672,123 | 1,900,672,123 |
<전기말>
| (단위: 원) | ||||
|---|---|---|---|---|
| 구 분 |
수준 1 |
수준 2 |
수준 3 |
합 계 |
|
반복적인 공정가치 측정치 |
||||
| 당기손익-공정가치 금융자산 | ||||
| 단기금융상품 | - | 20,093,229,432 | 1,126,189,535 | 21,219,418,967 |
(3) 반복적인 공정가치 측정치의 서열체계 수준 간 이동
당분기와 전기 중 수준 1과 수준 2간의 유의적인 이동은 없습니다.
(4) 가치평가기법 및 투입변수
당사는 공정가치 서열체계에서 수준3으로 분류되는 공정가치에 대하여 다음의 가치평가기법과 투입변수를 사용하고 있습니다.
| (단위 : 원) | ||||
|---|---|---|---|---|
| 구분 | 공정가치 | 평가기법 | 관측가능하지 않은 투입변수 | |
| 당기말 | 전기말 | |||
| 단기금융상품 | 753,572,123 | 1,126,189,535 | 회계법인실사금액 | ㆍ- |
| 장기금융상품 | 1,147,100,000 | - | 원가법 | ㆍ기초자산가격 |
바. 파생상품 및 풋백옵션 등
당사는 보고서 작성기준일 현재 해당사항이 없습니다.
6. 주요계약 및 연구개발활동
가. 경영상의 주요계약
| (단위: 백만원) |
|
계약 상대방 |
계약 체결일 |
계약 종료일 |
주요 내용 |
계약금액 |
|---|---|---|---|---|
|
인하대학교 산학협력단 |
2018.08.09 |
- |
특허권 양도계약 - 계약금: 1억원 - 중도금: 1.5억원 - 개발성공금: 2억원 - 경상기술료: 순매출액의 3% (제품 최초 매출 발생일로부터 6년간) |
450 |
|
University of Utah |
2018.10.10 |
2019.12.31 |
공동연구계약(세포시트를 이용한 신장 및 자궁벽 섬유화 치료제 개발) |
1,200 |
|
Duopharma |
2018.10.25 |
- |
Share Subscription Agreement |
5,500 |
| - |
Exclusive Marketing and Commercialization Agreement - Compensation 1: 6억원 (질환 선정 시) - Compensation 2: 6억원 (첫 환자 등록 시) |
1,200 | ||
|
㈜제넥신 |
2018.12.28 |
2019.06.27 |
Binding Argos Joint Bidding Agreement |
- |
| 2018.04.11 | - | Shareholders' Agreement | - | |
| 2019.10.31 | - | Common Stock Purchase Agreement | 17,184 | |
|
Allele Biotechnology and Pharmaceuticals, Inc. |
2019.02.20 |
옵션기간 |
Research Collaboration Option Agreement |
600 |
|
㈜한독 |
2019.05.24 |
- |
기술이전 계약 - Upfront: 10억원 (계약시) - Milestone: 10억원 (품목허가시) - 판매단가: 제조원가의 110% - 로열티: 순매출액의 10% |
2,000 |
|
PBS Biotech, Inc. |
2019.05.24 |
2019.11.22 |
3D Bioreactor Process Development Service Agreement(바이오리액터 공정개발) |
320 |
|
㈜제이오 |
2019.06.01 |
2019.07.20 |
GMP 공조설비 개선공사 |
286 |
|
코바이오텍㈜ |
2019.06.07 |
2019.08.19 |
부동산 매매계약 - 매매가액: 76억원 |
7,600 |
|
㈜티앤알바이팹 |
2019.07.01 |
2021.06.30 |
공동연구개발 양해각서 (바이오프린팅 응용 재생의료치료제 개발) |
- |
|
Steminent |
2019.07.02 |
품목허가 후 5년 |
공동개발 및 상업화(크로스 라이선스) 양해각서 - 척수소뇌성 실조증 치료제 국내 도입 및 SCM-AGH)(아토피피부염) 기술수출 |
- |
|
㈜미토이뮨 테라퓨틱스 |
2019.07.10 |
2021.07.09 |
공동연구개발 양해각서(미토콘드리아 응용 줄기세포 효능개선 연구) |
- |
|
우리은행 |
2019.08.19 |
2022.08.19 |
대출 약정 - 대출금액: 61억원 - 이자율: 3개월 KORIBOR +2.64% - 만기: 3년 |
6,100 |
| 이움도시건축 | 2019.12.06 | 2020.05.31 | 리모델링 설계 및 허가 | 47 |
| 2020.02.10 | 2020.05.31 | 증축 및 리모델링 공사 감리용역 | 27 | |
| 가톨릭대학교 산학렵력단 |
2020.01.01 | 2020.12.31 | 혈액암 환자의 항암치료 반응 및 내성과 관련한 MSC 유래의 exosome의 역할 연구 | 100 |
| ㈜세부종합건설 | 2020.02.18 | 2020.05.31 | 송도 사옥 증축공사 | 242 |
| ㈜앤츠컴 | 2020.03.09 | 2020.05.31 | 송도 사옥 인테리어 공사 | 638 |
| PBS Biotech, Inc. | 2020.07.27 | 2021.07.31 | 2nd phase process development service agreement | 1,263 |
| Steminent Biotherapeutics |
2020.10.13 | 2030.10.12 | 척수소뇌성 실조증 국내 판권 및 기술이전 계약 체결 | 4,510 |
| 차바이오텍(주) | 2021.02.26 | - | 골수유래 세포치료제 완제품의 위탁생산 | 1,106 |
| Vita Therapeutics, Inc. | 2021.06.30 | - | 우선주 계약 | 1,147 |
| Allele Biotechnology and Pharmaceuticals, Inc. | 2021.06.30 | - | iPSC 유래 췌장 베타세포 당뇨병 치료제 개발의 개발, 허가, 생산 및 판매에 대한 국내 독점 권한 계약 | 3,389 |
| (주)바이오써포트 | 2021.12.20 | - | SCM생명과학 GMP 개념설계 | 63 |
나. 라이선스아웃(License-out) 계약
| [라이선스아웃 계약 총괄표] |
| (단위: 백만원) |
| 품목 | 계약상대방 | 대상지역 | 계약체결일 | 계약종료일 | 총 계약금액 | 수취금액 | 진행단계 |
|---|---|---|---|---|---|---|---|
| 줄기세포치료제 | Duopharma Biotech Berhad |
아세안 4개국 (말레이시아, 싱가포르, 필리핀, 브루나이) | 2018.10.25 | - | 1,200 | - | - |
| 아토피피부염 줄기세포치료제 |
㈜한독 | 한국 | 2019.05.24 | 제품발매일로부터 20년 | 2,000 | 1,000 | 임상 1/2상 |
(1) 품목 : 줄기세포치료제
| ① 계약상대방 | Duopharma Biotech Berhad (말레이시아) |
| ② 계약내용 | 당사가 개발 완료/개발 중인 줄기세포치료제의 대상 지역에서 독점 개발 및 판매권 |
| ③ 대상지역 |
아세안 4개국: 말레이시아, 싱가포르, 필리핀, 브루나이 - 상기 아시아 4개국을 제외한 아세안 국가에 대해서는 the first right of refusal 옵션 부여 |
| ④ 계약기간 | 적용 특허권 만료기간까지 |
| ⑤ 총 계약금액 | 선택 파이프라인별로 약 12억원(USD 1,000,000), 로열티 별도 - 지분투자: 55억원 |
| ⑥ 수취금액 | 지분투자 55억원 (2018.11.23 납입) |
| ⑦ 계약조건 |
▲ 지분투자: 55억원 (2018.11.23 납입) ▲ 마일스톤(Milestone) - 2차 마일스톤: USD 500,000 (첫번째 임상시험 환자 등록 시) - 마일스톤 지급은 선택 파이프라인별로 적용 |
| ⑧ 회계처리방법 | - |
| ⑨ 대상기술 | 층분리배양법을 적용한 줄기세포치료제 |
| ⑩ 개발 진행경과 | 거래 상대방이 아직 치료제 품목을 선택하지 않았으며, 당사는 만성 이식편대숙주질환 임상 2상, 급성 췌장염 임상 1/2a상, 중등증-중증 아토피피부염 임상 1/2상 계획을 각각 승인 받아 임상시험 진행 중 |
| ⑪ 기타사항 | - |
(2) 품목 : 아토피피부염 줄기세포치료제
| ① 계약상대방 | 주식회사 한독 (대한민국) |
| ② 계약내용 | - 아토피피부염 치료를 위한 줄기세포치료제의 국내 개발 및 판매권 - 임상 3상 및 품목허가는 한독이 담당 |
| ③ 대상지역 | 대한민국 |
| ④ 계약기간 | 2019년 5월 24일 ~ 제품발매일로부터 20년 |
| ⑤ 총 계약금액 | 20억원 |
| ⑥ 수취금액 | 지분투자 40억원 (2019.06.05 납입) |
| ⑦ 계약조건 |
▲ 지분투자: 40억원 (2019.6.5 납입) ▲ 계약금(Upfront): 10억원 ▲ 로열티(Royalty): 순매출액의 10% |
| ⑧ 회계처리방법 | 수령한 계약금은 당사의 임상 1/2상 의무에 대해 지급한 것이므로 임상 1/2상 실질적 예상 수행기간에 따라 안분하여 수익인식 |
| ⑨ 대상기술 | 층분리배양법 기술을 이용하여 개발하고 있는 아토피피부염 치료를 위한 줄기세포치료제 |
| ⑩ 개발 진행경과 | 2020년 2월 식약처로부터 1/2상 임상시험 계획 승인 |
| ⑪ 기타사항 | - |
다. 라이선스인(License-in) 계약
| [라이선스인 계약 총괄표] |
| (단위: 백만원) |
| 품목 | 계약상대방 | 대상지역 | 계약체결일 | 계약종료일 | 총 계약금액 | 지급금액 | 진행단계 |
|---|---|---|---|---|---|---|---|
| 척수소뇌설실조증 줄기세포치료제 (Stemchymal) |
Steminent Biotherapeutics Inc. (대만) |
한국 | 2020.10.13 | 2030.10.12 | 4,510 | 640 | 자진철회 추가검토중 |
| 제1형 및 제3형 당뇨병 치료제 | Allele Biotechnology and Pharmaceuticals, Inc. | 한국 | 2021.06.30 | - | 3,389 | 858 | 비임상 |
(1) 품목 : 척수소뇌성 실조증 줄기세포치료제(Stemchymal)
| ① 계약상대방 | Steminent Biotherapeutics Inc. (대만) |
| ② 계약내용 | 스템키말(Stemchymal)의 개발, 허가, 생산 및 판매에 대한 국내 독점권한 |
| ③ 대상지역 | 대한민국 |
| ④ 계약기간 | 2020년 10월 13일 ~ 2030년 10월 12일 (계약일로부터 10년, 이후 계약해지 의사 없을 시 매 2년마다 자동 갱신). |
| ⑤ 총 계약금액 | $3,932,585 (약 45.1억원), 로열티 별도 |
| ⑥ 지급금액 | $561,798 (약 6.4억원) |
| ⑦ 계약조건 |
▲ 총 액 |
| ⑧ 회계처리방법 | 지급시 경상연구개발비로 비용 처리 |
| ⑨ 대상기술 | 스템키말(Stemchymal)은 지방유래 중간엽줄기세포를 활용하는 세포치료제임. 특정 신경세포종인 푸르킨예세포(Purkinje Cell)와 ATAXIN-3 단백질 등의 응집을 감소시킴으로써 퇴행성 뇌신경계 질환인 척수소뇌성 실조증을 치료 |
| ⑩ 개발 진행경과 | - 대만 임상 2상 환자투여 완료 - 일본 임상 2상 진행 중 (라이선스 파트너: 일본 리프로셀 (Reprocell Inc.)) - 미국 임상 2상 임상시험계획서 승인 - 미국 FDA 및 일본 PMDA로부터 희귀의약품 지정 완료 - 제 2상 임상시험 계획(IND) 자진취하 결정 |
| ⑪ 기타사항 | - |
(2) 품목 : 제1형 및 제3형 당뇨병 치료제
| ① 계약상대방 | Allele Biotechnology and Pharmaceuticals, Inc. |
| ② 계약내용 | "iPSC유래 췌장 베타세포 당뇨병 치료제 개발"의 개발, 허가, 생산 및 판매에 대한 국내 독점 권한 |
| ③ 대상지역 | 대한민국 |
| ④ 계약기간 | 2021년6월30일 ~ 모든 이익분배의무가 만료될 때까지 |
| ⑤ 총 계약금액 | $3,000,000 (약 33.89억원), 로열티 별도 |
| ⑥ 지급금액 | $750,000 (약 8.47억원) |
| ⑦ 계약조건 |
▲ 총 액 |
| ⑧ 회계처리방법 | 지급시 경상연구개발비로 비용 처리 |
| ⑨ 대상기술 | mRNA 원천기술을 적용하여 유도만능줄기세포 구축하고, 조직 특이적 세포 분화기술을 이용하여 유도만능줄기세포 유래 췌장 베타세포를 만들어 제1형 및 제3형 당뇨병 치료제로 개발하는 기술 |
| ⑩ 개발 진행경과 | - 미국 유도만능줄기세포 유래 췌장 베타세포 생산 완료 - 미국 비임상 유효성 시험 진행중 - 한국 비임상 체내분포, 독성, 종양원성 시험 준비중 |
| ⑪ 기타사항 | - |
라. 특허양수도 계약
| (단위: 백만원) |
|
계약 상대방 |
계약 체결일 |
계약 종료일 |
내 용 |
계약금액 |
|---|---|---|---|---|
|
인하대학교 산학협력단 |
2018.08.09 |
- |
▲ 선급기술료(Initial Payment) - 중도금: 1.5억원 (중도금 상당의 특허권양도대금채권을 현물출자) - 2억원 (해당기술기반 제품 국내외 구분 없이 최초 제품 출시에 한해 1회 지급)
|
450 |
마. 공동연구개발 계약
| (단위: 백만원) |
|
계약 상대방 |
계약 체결일 |
계약 종료일 |
내 용 |
계약금액 |
|---|---|---|---|---|
|
University of Utah |
2018.10.10 |
2019.12.31 |
공동연구계약 (세포시트를 이용한 신장 및 자궁벽 섬유화 치료제 개발) |
1,200 |
|
Allele Biotechnology and Pharmaceuticals, Inc. |
2019.02.20 |
옵션기간 |
Research Collaboration Option Agreement (iPSC 유래 췌장 베타세포 당뇨병 치료제 개발) |
600 |
|
PBS Biotech, Inc. |
2019.05.24 |
2019.11.22 |
3D Bioreactor Process Development Service Agreement (3D 바이오리액터 공정 개발) |
320 |
|
㈜티앤알바이팹 |
2019.07.01 |
2021.06.30 |
공동연구개발 양해각서 (바이오프린팅 응용 재생의료치료제 개발) |
- |
|
Steminent |
2019.07.02 |
품목허가 후 |
공동개발 및 상업화 (크로스 라이선스) 양해각서 - 척수소뇌성 실조증 치료제 국내 도입 및 SCM-AGH)(아토피피부염) 기술수출 |
- |
|
㈜미토이뮨 테라퓨틱스 |
2019.07.10 |
2021.07.09 |
공동연구개발 양해각서 (미토콘드리아 응용 줄기세포 효능개선 연구) |
- |
| 가톨릭대학교 산학렵력단 |
2020.01.01 | 2020.12.31 | 혈액암 환자의 항암치료 반응 및 내성과 관련한 MSC 유래의 exosome의 역할 연구 | 100 |
| PBS Biotech, Inc. | 2020.07.27 | 2021.07.31 | 2nd phase process development service agreement | 1,263 |
| ㈜테라이뮨 | 2021.07.01 | 2022.06.30 | Clonal MSC와 polyclonal Treg를 활용한 병용세포치료제 연구 및 개발 | - |
바. 유형자산 취득 계약
| (단위: 백만원) |
|
계약 상대방 |
계약 체결일 |
계약 종료일 |
내 용 |
계약금액 |
|---|---|---|---|---|
|
코바이오텍㈜ |
2019.06.07 |
2019.08.19 |
부동산 매매계약 - 매매가액: 76억원 |
7,600 |
|
㈜제이오 |
2019.06.01 |
2019.07.20 |
GMP 공조설비 개선공사 |
286 |
| 이움도시건축 | 2019.12.06 | 2020.05.31 | 리모델링 설계 및 허가 | 47 |
| 2020.02.10 | 2020.05.31 | 증축 및 리모델링 공사 감리용역 | 27 | |
| ㈜세부종합건설 | 2020.02.18 | 2020.05.31 | 송도 사옥 증축공사 | 242 |
| ㈜앤츠컴 | 2020.03.09 | 2020.05.31 | 송도 사옥 인테리어 공사 | 638 |
| ㈜신창이엔지 | 2021.03.01 | 2021.04.30 | 송도 사옥 비상발전기 | 48 |
사. 합작투자 계약
| (단위: 백만원) |
|
계약 상대방 |
계약 체결일 |
계약 종료일 |
내 용 |
계약금액 |
|---|---|---|---|---|
|
㈜제넥신 |
2018.12.28 |
- |
Binding Argos Joint Bidding Agreement |
- |
| 2018.04.11 | - | Shareholders' Agreement | - | |
| 2019.10.31 | - | Common Stock Purchase Agreement | 17,184 |
아. 연구개발활동
(1) 연구개발활동의 개요
당사는 국내외 타 중간엽줄기세포 치료제 회사들과는 차별화된 줄기세포 분리 및 배양방법을 사용하여 고순도ㆍ고효능 줄기세포치료제를 개발하고 있습니다. 이를 위하여 세포를 분리하는 플랫폼 기술인 층분리배양법을 개발하여 글로벌 특허를 확보하였고, 최근에는 개선된 층분리배양법을 개발하여 2037년까지 특허권을 확보하였습니다.
당사는 세포치료제 사업의 글로벌 시장 확보를 위하여 가장 중요한 대량생산 최적화 작업들을 지속적으로 전개하여 고밀도 세포배양을 이용하는 1세대 대량생산 제조공정에 이어 저밀도 세포배양과 항산화제를 이용하는 2세대 대량생산 제조공정을 확립하였습니다. 현재는 상업화를 고려하여 3D 바이오리액터를 활용한 3세대 대량생산 제조공정 작업을 수행하고 있습니다.
또한 당사는 질환 특이적 줄기세포치료제를 개발하기 위하여 3단계의 질환 특이적 줄기세포 선별과정을 수립하여 연구개발을 하고 있습니다.
![]() |
|
[연구개발 보유기술의 구조] |
당사는 자체 개발한 원천기술을 이용하여 제조 및 치료 비용이 저렴하고 질환 특이적인 줄기세포치료제 개발과 고순도 줄기세포 유래 분비체를 활용한 제품 개발을 수행하고 있습니다.
(2) 연구개발 담당조직
당사는 본부제 편성 후 연구사업혁신개발본부 (연구개발부)와 첨단바이오의약품본부(세포치료제 제조소, 임상개발부)의 긴밀한 협력으로 부서간 빠른 소통과 의사결정, 활발한 협업을 가능하게 하고 있습니다. 연구개발부에서 수행되는 치료제 특성규명 연구, 대량생산 공정시험, 차세대 치료제 개발시험은 제조소로 신속하게 이관되어 치료제 생산시스템에 적용되고 있으며, 비임상 독성과 효력시험, 바이오마커 발굴 관련 연구도 임상시험의 결과와 함께 면밀히 상호 분석하여 치료제를 개발하고 있습니다.
① 연구개발부
|
조 직 |
역 할 |
|---|---|
|
연구소장 |
연구개발 관련 업무 총괄 |
|
연구개발부 |
질환특이적 치료제 발굴 및 라이브러리 구축, 치료기전 규명, 질환특이적 치료제 특성 규명, 대량배양 시스템 개발, 줄기세포치료제 효력/약리, 기전, 독성평가 연구개발 관련 국내외 특허 출원 및 등록 취득/관리 |
② 세포치료제 제조소
|
조 직 |
역 할 |
|---|---|
|
제조소장 |
세포치료제 제조 관련 업무 총괄 |
|
제조관리팀 |
세포은행구축, 임상시험용 세포치료제 제조, 위수탁사업, 배양액 생산 |
|
품질관리팀 |
치료제 품질 관리 및 신규 시험법 개발 |
|
품질보증팀 |
GMP 문서 시스템 관리, 교정, 적격성 평가, 출하 승인 |
③ 임상개발부
|
조 직 |
역 할 |
|---|---|
|
임상팀장 |
임상시험 관련 업무 총괄 |
|
임상시험 관리자 1 |
만성 이식편대숙주질환 2상 임상시험, 치료목적사용(아토피피부염) 관리 |
|
임상시험 관리자 2 |
급성 췌장염 1/2a상 임상시험, 치료목적사용 임상시험(만성 이식편대숙주질환) 관리 |
|
임상시험 관리자 3 |
중등증-중증 아토피피부염 1/2상 임상시험, 치료목적사용 임상시험(급성 이식편대숙주질환) 관리 |
(3) 연구개발현황
당사는 보고서 작성기준일 현재 박사 3명, 석사 15명 등 총 40명의 연구개발인력을 보유하고 있으며, 그 현황은 아래와 같습니다.
| 구 분 |
박사 |
석사 |
학사 |
전문학사 |
합 계 |
|---|---|---|---|---|---|
|
인원수(명) |
4 |
16 |
19 |
1 |
40 |
또한, 당사는 아래와 같이 다양한 분야의 외부 자문위원을 활용하고 있습니다. Mudi Sheves 박사는 이스라엘 와이즈만 연구소 교수(부총장)을 역임하고, 와이즈만 연구소의 기술지주회사 예다의 이사회 의장을 맡아 글로벌 기술사업화의 전문가로서 당사의 기술이전 및 사업화 관련 자문을 수행하고 있습니다.
| [에스씨엠생명과학㈜ 자문위원 현황] |
|
직 위 |
성 명 |
주 요 경 력 |
|---|---|---|
| 자문위원 | Mudi Sheves | Chairman of Boards, Yeda R&D Co., Ltd. Professor(Vice president), Weizmann Institute of Science |
(4) 연구개발비용
당사는 보고서 작성기준일 현재 연구 및 임상개발 등에 소요되는 모든 비용을 아래와 같이 당기비용으로 회계처리하고 있습니다.
| (단위: 천원) |
| 구 분 | 2021년 (제8기) |
2020년 (제7기) |
2019년 (제6기) |
|
|---|---|---|---|---|
| 비용의 성격별 분류 |
시약재료비 | 1,846,722 | 1,513,620 | 1,312,405 |
| 인건비(주식보상비용 제외) | 2,167,115 | 2,026,961 | 1,894,701 | |
| 주식보상비용 | 317,991 | 405,036 | 434,299 | |
| 감가상각비 | 734,243 | 1,536,749 | 903,083 | |
| 외주용역비 | 4,658,793 | 2,798,932 | 2,347,535 | |
| 기타 | 748,081 | 1,223,507 | 922,844 | |
| 연구개발비용 합계 | 10,472,945 | 9,504,805 | 7,814,867 | |
| (정부보조금) | (458,153) | (659,236) | (493,469) | |
| 보조금 차감 후 금액 | 10,014,792 | 8,845,569 |
7,321,398 | |
| 회계처리 내역 |
경상연구개발비 | 10,014,792 | 8,845,569 |
7,321,398 |
| 개발비(무형자산) | - | - | - | |
| 회계처리금액 계 | 10,014,792 | 8,845,569 |
7,321,398 | |
| 매출액 | 439,263 | 320,006 | 168,499 | |
| 연구개발비용 / 매출액 비율 (연구개발비용 합계÷당기매출액×100) |
2,279.91% | 2,970.20% | 4,637.93% | |
| 주1) | 당사의 연구개발비는 전액 비용 처리하고 있습니다. |
| 주2) | 연구소, 제조소 및 임상개발부에서 발생하는 비용은 전액 경상연구개발비로 처리하였습니다. |
(5) 연구개발실적
① 진행경과 및 향후계획
| [연구개발 진행 총괄표] |
| 구 분 | 품 목 | 적응증 | 연구시작일 | 현재 진행단계 | 비 고 | ||
|---|---|---|---|---|---|---|---|
| 단계(국가) | 계획 승인일 |
시험 대상자수 |
|||||
| 줄기세포 치료제 |
SCM-CGH | 만성 이식편대숙주질환 |
2008년 | 임상 2상 (한국) | 2016년 | 77명 | - |
| SCM-AGH | 급성 췌장염 | 2010년 | 임상 1/2a상 (한국) | 2018년 | 1상: 3~6명 2a상: 36명 |
- | |
| SCM-AGH | 중등증-중증 아토피피부염 |
2013년 | 임상 2상 (한국) | 2020년 | 1상: 20명 2상: 72명 |
- | |
(a) 품목 : 만성 이식편대숙주질환 줄기세포치료제 (SCM-CGH)
| ① 구분 | 줄기세포치료제 (바이오 신약) |
| ② 적응증 | 만성 이식편대숙주질환 |
| ③ 작용기전 | 면역활성 환경에서 고순도 중간엽줄기세포는 T-세포의 증식 억제와 면역세포 표면에 존재하는 아세틸콜린 수용체를 통하여 면역세포의 활성과 증식을 억제 |
| ④ 제품의 특성 |
신선형 제형의 줄기세포치료제는 층분리배양법으로 분리 및 배양된 고순도 줄기세포로 마스터 세포은행과 제조용 세포은행을 구축한 다음, 환자의 투여일정이 확정되면 제조용 세포은행의 줄기세포를 해동하여 10~12일 간의 배양 과정을 통해 완제품을 제조하여 주사기에 충전된 형태로 공급하는 제형임 |
| ⑤ 진행경과 |
[세포 확보 및 공정 확립] - 제조공정과 표준작업지침서 완성 (2006) - 치료목적사용 임상시험 2건 실시 (2007.01~2008.12) - 세포치료제 제조소 구축 (2009) [비임상시험] - 동물모델 유효성 시험 (2008~2010) → 논문 게재 (SCI 1편, 2010) - 비임상 독성시험 수행 (2008~2010) [임상시험] - 한국 1상 임상시험 실시 (2010~2011) - 한국 2상 임상시험 계획 승인 (2016.04) 및 임상시험 실시 (2018~진행 중) - 식약처 개발단계 희귀의약품 지정 (2019.04) |
| ⑥ 향후계획 | [국내] 2023년 조건부 품목허가 후 2023년 제품 판매 예정 [글로벌] 국내 임상시험 종료 후 글로벌 임상 추진 예정 |
| ⑦ 경쟁제품 |
▲ 현재까지 국내에서 만성 이식편대숙주질환을 근본적으로 치료할 수 있는 치료제는 출시되지 않았으며, 표준 치료법으로 corticosteroid, calcineurin inhibitors(cyclosporine, tacrolimus), thalidomide, 체외 광화학요법(extracorporeal photochemotherapy, ECT) 또는 mycophenolate mofetil(MMF), methotrexate 같은 면역억제제가 있음 |
| ⑧ 관련논문 등 | Yi TG et al. (IJSC 2019 Vol. 12(2) 315) |
| ⑨ 시장규모 | 2018년 기준 4,600억원 규모에서 연평균 6.22% 성장하여, 2023년에는 6,260억원 규모에 이를 것으로 전망 (출처: GlobalData, GVHD Epidemiology and Market Size Database (2019)) |
| ⑩ 기타사항 | - |
(b) 품목 : 급성 췌장염 줄기세포치료제 (SCM-AGH)
| ① 구분 | 줄기세포치료제 (바이오 신약) |
| ② 적응증 | 급성 췌장염 |
| ③ 작용기전 | 고순도 중간엽줄기세포는 면역관문 조절물질 ICOSL-ICOS와 상호작용을 통해 조절 T-세포의 활성과 항염증성 사이토카인 IL-10의 생성을 유도하고, 이는 조직 괴사가 동반되는 염증성 환경에서 면역반응을 직접적으로 억제 |
| ④ 제품의 특성 |
▲ 제형: 동결형 제형의 줄기세포치료제는 제조공정이 완료된 최종 완제품에서의 무균성을 확인한 후 질소 탱크에 저장하여 보관하고 있다가 급성 환자들처럼 빠른 시간 안에 투여가 필요할 경우 완제품을 바로 해동하여 투여할 수 있는 형태의 제형임 |
| ⑤ 진행경과 |
[비임상시험] - 동물모델 유효성 시험 (2010~2011) 결과 논문 게재 (SCI 1편, 2011) - 비임상 독성시험 수행 (2014~2016) - 한국 1/2a상 임상시험 계획 승인 (2018) - 한국 1/2a상 임상시험 실시 (2019~진행 중) |
| ⑥ 향후계획 |
[국내] 2023년 조건부 품목허가 후 2024년 제품 판매 예정 |
| ⑦ 경쟁제품 |
▲ 현재 시장에 출시되어 췌장염 치료에 사용되고 있는 약물인 Futhan과 Miraclid는 단백질 분해효소를 타겟으로 염증반응을 억제하는 기전을 나타내는 치료제임. 다만, 상기 두 치료제들은 급성 췌장염을 적응증으로 하는 치료제가 아닌 증상개선을 위한 대중요법으로 허가 받음 |
| ⑧ 관련논문 등 |
Jung et al. (Gastroenterology. 2011, 140(3):998) |
| ⑨ 시장규모 | 2017년 4조원에서 2023년 5조원으로 성장 전망. 당사가 목표로 하는 급성 췌장염 환자 비율은 전체 췌장염 환자 중 약 20%로 시장규모는 약 1조원에 육박함 (출처: Market Research Future, Global Acute Pancreatitis Market Research Report Forecast to 2023 (2017)) |
| ⑩ 기타사항 | - |
(c) 품목 : 중등증-중증 아토피피부염 줄기세포치료제 (SCM-AGH)
| ① 구분 | 줄기세포치료제 (바이오 신약) |
| ② 적응증 | 중등증-중증 아토피피부염 |
| ③ 작용기전 | IL-4 및 IL-17 신호전달체계 억제와 IgE 생성 저해를 통한 면역시스템 조절 |
| ④ 제품의 특성 |
▲ 제형: 동결형 제형의 줄기세포치료제는 제조공정이 완료된 최종 완제품에서의 무균성을 확인한 후 질소탱크에 저장하여 보관하고 있다가 급성 환자들처럼 빠른 시간 안에 투여가 필요할 경우 완제품을 바로 해동하여 투여할 수 있는 형태의 제형임 |
| ⑤ 진행경과 |
[비임상시험] - 동물모델 유효성 시험 (2013~2014) 결과 논문 게재 (SCI 1편, 2014) [임상시험] - 치료목적사용 임상시험 5명 (2017.06~진행 중) - 한국 1/2상 임상시험 IND 신청 (2019.11) |
| ⑥ 향후계획 |
(국내) 2025년 3상 임상시험 완료 후 2026년 제품판매 예정 |
| ⑦ 경쟁제품 | 지난 10여년 동안 시장을 독점하고 있는 치료제들로 FDA 승인을 받은 엘리델과 프로토픽이 존재하였으며, 첫 바이오의약품으로 인터루킨-4/인터루킨- 13 수용체 억제제(anti IL-4/IL-13 receptor)인 듀피젠트가 2017년 3월 미국 FDA로부터 중등증-중증 단계의 성인 아토피피부염 환자에 대한 사용 승인을 받고, 2019년 3월 소아 아토피피부염에 대하여 추가 승인을 받음 |
| ⑧ 관련 논문 등 | Na et al. (Cell Death & Disease. 2014, e1345) |
| ⑨ 시장규모 | 글로벌 시장규모는 2019년 6.1조원 규모에서 2024년8.5조원 수준으로 증가할 것으로 전망되며, 이 중 중등증-중증 비율은 약 40%로 약 3.4조원 시장이 될 것으로 예상됨 (출처: 보건산업진흥원, 보건의료 기술가치평가 보고서 (2018, GlobalData 자료 재가공)) |
| ⑩ 기타사항 | - |
(6) 연구개발 완료 실적
(1) 품목 : 층분리배양법 (원천기술)
| ① 구분 |
고순도 중간엽줄기세포 분리방법(층분리배양법) |
| ② 개발기간 |
▲ 층분리배양법: 2002.03~2006.02 ▲ 개선된 층분리배양법: 2014.02~2017.06 |
| ③ 개발과정 |
- 고순도 중간엽줄기세포 분리방법인 층분리배양법 개발 (2006.02) - 층분리배양법 국내외 특허 등록: 한국(2008.01), 미국(2010.08), 일본(2012.12), 중국(2013.01), EU(2014.07) - 저밀도 세포배양과 항산화제를 사용하는 개선된 층분리배양법 개발 (2017.06) - 개선된 층분리배양법 국내 특허 등록 (2019.05) → 2026년에서 2037년으로 특허기간 연장, 국외 특허 출원(미국 외 9개국, 2018.06~2018.10) |
| ④ 관련논문 등 | - Stem Cells and Development. 17(3):451-461 (2008) - World Journal of Stem Cells. 3(8):70-82 (2011) - Journal Expert Opinion on Biological Therapy Volume 14, 2014 - Issue 11 - Tissue Eng Part C Methods. 2015 Dec;21(12):1251-1262 - Tissue Eng Part C Methods. 2015 May;21(5):447-57. |
2) 품목 : 고순도 줄기세포 유래 발모효능 단백질이 함유된 화장품
| ① 구분 |
발모 효능 단백질이 함유된 샴푸, 트리트먼트, 세럼 판매 |
| ② 개발기간 |
2013.04~2018.10 |
| ③ 개발과정 |
[연구개발] - 발모 효능 단백질 2종 개발 (CXCL1, TYMP, 2014) - In vitro 및 동물모델 유효성 시험 (2013~2016) 결과 논문 게재 (SCI 2편, 2014, 2018) - 탈모 예방 및 치료 조성물 국내외 특허 출원 및 등록 (2016) - 미녹시딜과 병행한 탈모 예방 및 치료 조성물 국내외 특허 출원 및 등록 (2017) - 발모 효능 단백질 재조합 단백질 생산공정 개발 완료 (2018) [탈모 완화 화장품 개발 및 판매] - 샴푸, 트리트먼트, 세럼 제품 제조 완료 (2018.10) |
(자) 오픈이노베이션을 통한 신규 후보물질 및 기술력 확보
현재 공동 연구개발을 진행중인 기관은 미국 유타대학교과 국내 병원 2곳 그리고 미국 Tera Immune 社를 비롯한 3개의 국내외 바이오 벤처기업들로 총 6개이며, 다음과 같은 6가지 목표를 가지고 협력 연구가 진행되고 있습니다.
| [공동연구 프로젝트별 목표] |
| 프로젝트별 목표 | 협력기관 | |
|---|---|---|
|
1 |
차세대 줄기세포 치료제 제형 개발 |
- 미국 유타대학교 |
|
2 |
줄기세포 유래 엑소좀 기능 연구 및 개발 |
- 가톨릭대학교 서울성모병원 |
|
3 |
미토콘드리아로 인한 줄기세포치료제 효능개선 연구 및 개발 |
- 미토이뮨테라퓨틱스 |
|
4 |
질환 특이적 바이오마커 연구: 아토피피부염 |
- 인하대병원 |
|
5 |
대량생산 공정 개선: 3D 바이오리액터 |
- 미국 PBS Biotech |
| 6 | 줄기세포와 CAR-Treg를 이용한 자가면역질환 세포치료제 연구개발 | - 미국 Tera Immune |
| 7 | iPSC유래 췌장 베타세포 당뇨병 치료제 개발 | - 미국 Allele |
(1) 차세대 줄기세포치료제 제형개발
시트(Sheet) 형태의 줄기세포치료제 개발은 기존의 주사형 제형이 전신을 순환하다 생착에 성공한 일부 세포로부터 발현되는 것과는 달리, 목표 부위에 직접 부착하기 때문에 줄기세포의 효능을 극대화할 수 있는 방법입니다.
목표 부위에 직접 부착하여 줄기세포의 효능을 나타낼 수 있는 시트를 개발하기 위해 공동으로 연구를 진행하고 있는 기술로는 유타대학교의 세포시트 기술, 한양대학교의 스페로이드 기술 및 티앤알바이오펩의 3D 바이오프린팅 기술이 있습니다.
① 유타대학교: 2018년 8월 MOU를 체결한 미국 유타대학교 세포시트 조직 공학 센터(CSTEC)와는 SCM-cMSC를 여러 층의 세포시트 형태로 개발하여 손상된 조직에 이식 후 효능평가를 하는 공동 연구를 진행 중이며, 본 연구를 통해 자궁벽 및 신장 섬유화증에 적용할 수 있는 제품을 개발하고자 합니다.
(2) 줄기세포 유래 엑소좀기능 연구 및 개발
엑소좀은 세포가 분비하는 세포간 신호전달 물질로 최근 세포 재생 및 대사, 진단 연구 분야에서 주목을 받고 있는 나노물질입니다. 그 중 줄기세포가 분비하는 엑소좀의`경우, 면역거부 반응이 낮고 높은 재생 및 치료효과가 기대되고 있어 SCM-cMSC를활용한 연구를 진행 중에 있습니다. 가톨릭대 김유진 교수팀과는 2019년 3월 공동 연구계약을 맺고 혈액암 환자의 항암치료 반응 및 내성과 관련한 MSC 유래 엑소좀의 역할에 대한 연구를 진행 중입니다.
(3) 미토콘드리아로 인한 줄기세포 효능개선 연구 및 개발
미토이뮨테라퓨틱스의 MIT 컴파운드(indole-based privileged chemical scaffold)는 미토콘드리아 기능에 영향을 주어 세포의 괴사를 막고 생존율을 증가시키며, 세포배양이 불가능한 심장근육세포(cardiomyocyte) 및 간세포(hepatocyte) 등의 일차세포배양(primary cell culture)을 가능하게 합니다. 당사는 MIT 컴파운드가 항산화 및 저산소 효과를 통하여 SCM-cMSC의 줄기세포능을 개선시켜 줄 것으로 기대하여, 병행 또는 병렬 투여로 염증성 질환모델에서 유효성을 평가와 세포 증식률 증가 분야에서 공동 연구개발을 진행 중입니다.
(4) 질환 특이적 바이오마커 연구: 아토피피부염
인하대병원 의생명연구원과 협력을 통해 아토피피부염 치료에 관여하는 중간엽줄기세포주의 바이오마커 발굴을 위한 연구를 2019년 2월부터 진행하고 있습니다. 본 연구를 통해 발굴되는 마커들은 추후 아토피피부염에 특이적으로 적용할 수 있는 세포주를 선정하는 효능지표로 활용하고자 합니다.
(5) 대량생산 공정 개선: 3D 바이오리액터
현재 2D 배양방식을 3D로 개선하기 위하여 세포치료제용 3D 바이오리액터 개발사인 PBS Biotech, Inc. 와 공정 개발 계약을 체결하였습니다. 3D 배양 공정을 적용한 생산공정 Scale-up을 위하여 0.1~3리터 배양기로 시작하여 15리터 배양기를 이용하는 초대량배양 프로세스의 최적화 공정 개발 1단계 작업을 2021년 상반기 중으로 완료할 예정입니다.
(6) 줄기세포와 Treg 또는 CAR-Treg를 이용한 자가면역질환 세포치료제
CAR-Treg은 최근 항암제 분야에서 각광받고 있는 CAR-T와 유사한 개념의 치료제입니다. 기존에 면역항암제에서 주로 사용되던 세포독성 T세포 (cytotoxic T cells)대신 조절 T세포 (regulatory T cells)를 사용함으로써 자가면역질환에 적용할 수 있다는 큰 차이점을 가지고 있습니다. 세포독성 T세포의 경우 그동안 면역계가 과도하게 반응을 보여 체내에 스스로 해를 끼치는 이른바 사이토카인 폭풍 등 부작용이 발현되는 현상이 자주 관찰되곤 하나, 조절 T세포를 사용하는 경우 이런 부작용이 최소화됩니다. 고순도 줄기세포와 세포특이적으로 반응하는 면역억제세포인 Treg 또는 CAR-Treg은 다양한 형태의 자가면역질환에 적용할 수 있습니다.
7. 기타 참고사항
가. 지적재산
당사는 보고서 작성기준일 현재 국내외 총 82건(등록 38건, 출원 41건, PCT 3건)의 특허 및 11건의 상표권 등 지식재산권을 주요 국가 및 전략적 파트너 관할 국가에서 보유하고 있으며, 아래는 주요 특허에 대한 요약과 세부 목록입니다.
(1) 보유기술 관련 특허현황 요약
|
기술 구분 |
국 내 |
해 외 |
PCT |
|||
|---|---|---|---|---|---|---|
|
출원 |
등록 |
출원 |
등록 |
출원 |
||
| 줄기세포 분리, 제조기술 | 충분리 배양 및 증식 기술 | - | 3 | 7 | 7 | - |
| 신선형, 동결형 제조 기술 | - | - | - | 1 | - | |
| 지방 유래 줄기세포 분리기술 | - | 1 | - | - | - | |
| 줄기세포치료제 개발 기술 | 이식편대숙주병, 급성 췌장염,아토피피부염 면역질환,염증관련질환 | - | 7 | 31 | 9 | - |
| 줄기세포 기능 강화 개발 기술 | 줄기세포 기능강화 기술 | 3 | 1 | - | - | 2 |
| 기타 기술(탈모완화) | - | 3 | - | 6 | 1 | |
| 합 계 | 3 | 15 | 38 | 23 | 3 | |
| ※상세 현황은 '상세표-4. 지적재산권 세부 목록' 참조 |
나. 바이오의약품 및 세포치료제 산업의 특성
(1) 제약산업의 변화: 바이오의약품의 도약
바이오의약품의 정의: 바이오의약품은 우리나라 약사법령 중 식품의약품안전처 고시의 「생물학적제제 등의 품목허가ㆍ심사 규정」(식품의약품안전처고시 제2019-77호)에 따라 생물의약품으로 규정하고 있습니다. 이는 사람이나 다른 생물체에서 유래된 것을 원료 또는 재료로 하여 제조한 의약품으로서 보건위생상 특별한 주의가 필요한 의약품을 의미하며, 생물학적제제, 유전자재조합의약품, 세포배양의약품, 세포치료제, 유전자치료제, 기타 식품의약품안전처장이 인정하는 제제를 포함합니다.
| [바이오의약품의 분류별 정의] |
|
분 류 |
정 의 |
|---|---|
|
생물학적제제 |
- 생물체에서 유래된 물질이나 생물체를 이용하여 생성시킨 물질을 함유한 의약품으로서 물리적ㆍ화학적 시험만으로는 그 역가와 안전성을 평가할 수 없는 제제 - 백신, 혈장분획제제, 독소ㆍ항독소 등을 포함함 |
|
유전자재조합 의약품 |
- 유전자조작기술을 이용하여 제조되는 펩타이드 또는 단백질 등을 유효성분으로 하는 의약품 - 항체의약품, 펩타이드 또는 단백질의약품, 세포배양의약품 등을 포함함 |
|
세포치료제 |
- 살아있는 자가, 동종, 이종 세포를 체외에서 배양ㆍ증식하거나 선별하는 등 물리적, 화학적, 생물학적 방법으로 조작하여 제조하는 의약품 |
|
유전자치료제 |
- 유전물질 발현에 영향을 주기 위하여 투여하는 유전물질 또는 유전물질이 변형되거나 도입된 세포 중 어느 하나를 함유한 의약품 |
|
동등생물의약품 |
- 이미 제조판매 또는 수입품목 허가를 받은 품목과 품질 및 비임상, 임상적 비교동등성이 입증된 의약품 |
|
개량생물의약품 |
- 이미 허가된 생물의약품에 비해 안전성ㆍ유효성 또는 유용성(복약 순응도, 편리성 등)이 개선되었거나 의약기술에 있어 진보성이 있다고 식품의약품안전처장이 인정한 의약품 - 유효성분의 종류 또는 배합비율 ㆍ 투여경로 ㆍ 제제학적 개선을 통한 제형, 함량 또는 용법, 용량 ㆍ 명백하게 다른 효능효과를 추가 |
| 자료: 식품의약품안전처고시 제2019-77호, 생물학적제제 등의 품목허가ㆍ심사 규정 (2019.09.09 시행) |
백신과 인슐린 등 단백질 치료제는 1세대 바이오의약품으로 분류되며, 가장 활발한 개발이 이루어지고 있는 항체치료제는 세포배양의약품으로서 2세대 바이오의약품입니다. 그리고 마지막으로 당사가 영위하고 있는 사업분야인 세포치료제와 유전자치료제가 3세대 바이오의약품으로 주목을 받고 있는 분야입니다.
![]() |
|
[바이오의약품(생물의약품) 시대별 변천사] |
바이오의약품 시장은 바이오시밀러를 포함한 항체의약품들의 포화상태로 진입장벽이 높지만 성체줄기세포의 경우 국내 개발사들이 상업화를 선도하고 있을 뿐만 아니라, 산업 자체가 빠르게 성장하고 있으며 아직 선점할 가치가 있는 블루오션으로 판단됩니다.
의약품 시장에서의 바이오 웨이브: 글로벌 제약산업은 화학합성의약품 시대를 지나 바이오의약품으로 세대교체 시점이 도래하였습니다. 바이오의약품이 차지하는 매출비중이 지속적으로 증가하며, 바이오의약품의 수요가 증가하고 있습니다. 제약시장에서의 이러한 변화는 바이오의약품의 블록버스터 잠재력으로부터 증명되고 있습니다. 전 세계 매출 상위 100대 의약품 중 바이오의약품이 차지하는 비중은 2010년 32%에서 급증하여 2017년 49%에 도달하였습니다. 상위 10대 의약품 중 8개가 바이오의약품일 정도로 파급력이 높은 상황입니다.
![]() |
|
[글로벌 10대 의약품] |
| 주) | 음영 표시: 바이오의약품 |
| 자료: Nature Reviews Drug Discovery vol. 17, 232 (2018) | |
바이오의약품의 경우 아직까지는 합성의약품에 비해 가격 경쟁력에서 열위하지만, 지속적인 연구개발 및 제조공정 개선 등을 통하여 가격 경쟁력을 갖추게 된다면 보다 큰 부가가치를 창출할 수 있을 것으로 판단됩니다.
우리나라는 이미 바이오시밀러 분야에서는 세계 최고의 경쟁력을 가지고 있으며, 세포치료제 분야에서도 큰 영향력을 가지고 있습니다. 현재까지 허가 받은 7개의 성체줄기세포치료제 중 4품목이 한국 제품입니다. 대한민국의 3대 미래전략 산업분야의 하나로 지정된 바이오헬스 산업에서 세포치료제는 향후 보다 큰 부가가치를 창출할 것으로 예상됩니다.
(2) 재생의료의 시대: 세포치료제
① 고령사회 진입과 세포치료제의 필요성
3년 전, 우리나라는 최초로 65세 이상의 노인 비중이 0~14세의 유소년 비중을 넘어서 고령사회로 진입하였습니다. 노인 인구 비중이 14%를 넘었으며, 만성 및 난치성 질환에 대한 관심이 급증함으로 인해 차세대치료제를 통한 재생의료 분야가 각광받고 있습니다. 세포치료제로 기존 합성의약품 또는 1~2세대 바이오의약품으로 치료가 되지 않는 미충족 수요를 해결할 수 있다는 다양한 연구결과가 제시되었기 때문입니다. 특히 세포치료제는 첨단재생의료 행위에 포함되며 다수의 장기기능 개선효과 사례 또한 보고되면서 임상영역에서 활발한 개발이 이루어지고 있는 분야입니다.
인체의 다양한 세포를 활용하는 세포치료제의 경우 다양한 유형이 존재하며, 당사는 현재 성체줄기세포치료제(중간엽줄기세포), 유도만능줄기세포 등을 통해 치료제 개발을 진행 중입니다.
| [세포치료제의 유형] |
|
구 분 |
종 류 |
세부 유형 예시 |
당사 사업영역 |
|---|---|---|---|
|
줄기세포 |
성체줄기세포 |
중간엽줄기세포, 조혈모줄기세포 |
● |
|
유도만능줄기세포 |
- |
● |
|
|
배아줄기세포 |
- |
- |
|
| 면역세포 |
T세포 |
종양 침윤 T세포(TIL) CAR-T세포 TCR-T세포 CAR-CIK세포 |
- |
|
자연살해세포 |
CAR-NK세포 |
- |
|
|
수지상세포 |
유전자 조작 수지상세포 |
- | |
| 체세포 |
피부세포 |
표피, 진피 세포 |
- |
|
연골세포 |
- |
- |
이 중 다양한 질병치료를 위해 성체줄기세포를 기반으로 하는 치료제에 대한 수요가 증가하는 추세입니다. 당사가 주력 제품으로 개발 중인 성체줄기세포는 낮은 면역원성과 높은 면역조절 기능이 있으며, 최소 침습적 절차를 통해 쉽게 확보가 가능하다는 장점을 보유하고 있습니다.
고성장ㆍ고부가가치 산업: 줄기세포치료제가 차세대 의약품으로 인식되면서 향후 잠재성과 파급효과에 대한 기대감으로 산업 전체가 국내외로 커지고 있습니다. 또한 줄기세포 관련 원천기술 확보와 시장 선점을 위해 각 국가별로 줄기세포 관련 법안을 완화하고 투자를 확대하고 있습니다.
그 결과, 줄기세포치료제 임상시험이 증가하고 줄기세포 기반의 신약개발 활성화가 속도를 붙여가고 있는 추세입니다. 생명공학정책연구센터가 발간한 2018년 첨단바이오의약품 산업백서에 의하면 글로벌 줄기세포 시장은 연평균 25.8%의 성장률로 급속하게 성장하여 2017년 72조원 규모의 줄기세포 시장은 2025년 454조원 규모로 성장할 전망입니다. 줄기세포에 대한 지속적인 연구개발, 임상시험을 통한 효능 입증 및 글로벌 제약사의 투자 확대로 줄기세포치료제 시장은 빠르게 커질 것으로 전망됩니다.
![]() |
|
[글로벌 줄기세포치료제 시장 현황 및 전망 (2016~2025년)] |
| 자료: Inkwood Research, Global Stem Cell Market Forecast (2017) |
특히 다양한 질병치료에 활용되는 성체줄기세포 치료제에 대한 수요가 가장 빠르게 증가하고 있습니다. 성체줄기세포는 다른 줄기세포에 비해 안전성이 확보되었고, 쉽게 확보가 가능하다는 장점이 있어 초기 시장 형성에 도움이 될 것으로 판단됩니다.
② 상대적으로 낮은 개발 리스크
현재 병원에서 치료하고 있는 여러 다양한 질환들 중에서 아직도 효과적인 치료제가 없어서 제대로 치료할 수 없는 난치성 질환들이 많습니다. 이러한 난치성 질환들을 근원적으로 치료할 수 있는 새로운 치료제들의 개발이 절실히 필요한 상황입니다. 줄기세포치료제가 이러한 난치성 질환들을 치료할 수 있는 새로운 대안이 될 수 있다는 임상시험 결과가 국내외에서 도출되고 있습니다. 당사를 포함하여 세포치료제 개발 기업이 목표로 하는 적응증은 시장에서 다른 치료제와의 경쟁이 없거나 상대적으로 적은 질환입니다.
또한 일반적인 신약 개발과정이 평균 10~15년이 소요되며 전임상 이후 단계의 성공률이 낮은 반면, 줄기세포치료제는 개발기간이 상대적으로 짧고 성공률이 높아 개발 리스크가 낮습니다. 그럼에도 불구하고 세포치료제에 걸맞은 산업 인프라(GMP, 제조시설 및 공정 등)를 구축하고 있는 기업은 매우 적습니다. 당사는 부설연구소와 세포치료제 제조소를 보유하여 위탁생산 대신 자체생산의 사업구조를 가지고 성공적인 치료제 개발을 위한 인프라를 구축하는데 전력을 다하고 있습니다.
다. 시장의 특성
(1) 줄기세포치료제 시장
① 성체줄기세포의 시장 선점
줄기세포는 마땅한 의학적 수단이 없는 난치성 질환의 치료에서 획기적인 대안을 제시한다는 점에서, 등장 초기부터 연구자들에게 혁신적인 치료제로 여겨지며 의료계에서 큰 관심을 끌고 있습니다. 특히 임상영역에서 장기기능 개선효과 등을 보여주고 있는 세포는 성체줄기세포를 중심으로 이루어지고 있습니다. 여러 세포들 중 성체줄기세포가 임상적용에 활발히 이용될 수 있는 과학적 이유로는 증식력 조절(controlled proliferation)인데 체내에서 지나친 증식을 하지 않고 생리적 조건에 따라 조절되어, 기형종 발생이 문제가 되는 배아줄기세포와 다르게 안전성에 우려가 적습니다. 두번째 이유는 타 세포 대비 면역조절인자들을 분비하여 염증반응을 억제하고 사이토카인 및 성장인자들로 인하여 치료효능을 나타낼 수 있다는 점입니다. 이러한 장점들은 성체줄기세포치료제가 세포치료제 시장의 선두주자로 주목되고 있습니다.
여러가지 줄기세포들 중 성체줄기세포 치료제 시장이 2016년 43조원(375억 달러)으로 가장 큰 규모를 차지하였으며, 2025년 전체 줄기세포치료제 시장 중 성체줄기세포가 약 69%로 314조원 (2,732억 달러) 규모로 성장이 예상되며, 유도만능줄기세포 (14%) 및 배아줄기세포 (13%) 시장규모보다 각각 5배 이상 큰 시장을 형성할 것으로 예상되고 있습니다.
![]() |
|
[글로벌 줄기세포 유래별 시장 현황 및 전망] |
| 자료: 생명공학정책연구센터, 바이오인더스트리 보고서 (2017) |
② 줄기세포치료제 품목허가 현황
성체줄기세포 기반의 안전성 및 유효성은 기존 품목허가를 받은 줄기세포치료제 및 10여년간의 연구개발 근거로 입증되고 있습니다. 국외의 경우 현재까지 미국 FDA의 판매 승인을 받은 줄기세포치료제는 전무한 상황이나 뉴질랜드 및 캐나다에서 오시리스의 프로키말, 이탈리아 키에시에서 개발한 홀로큘라, 일본 JCR의 템셀-HS주까지 해외제품 3개가 존재합니다. 반면, 국내는 세계 최초의 줄기세포치료제를 비롯하여 총 4개 상장사인 파미셀, 메디포스트, 안트로젠, 코아스템이 품목허가를 받으며 해당 분야에서의 글로벌 경쟁력을 제고하였습니다.
2011년 파미셀의 심근경색 치료제 '하티셀그램-AMI'가 세계 첫 줄기세포치료제로 국내 품목허가 승인을 받은 이후 2012년 메디포스트의 퇴행성무릎연골 치료제 '카티스템'과 안트로젠의 크론성누공 치료제 '큐피스템'이 품목허가를 받았으며, 2014년에는 코아스템의 루게릭병 치료제 '뉴로나타-알'이 국내 4호 치료제로 품목허가 승인을 받았습니다.
| [국내 중간엽줄기세포치료제 품목허가 현황] |
|
회사명 |
상장시기 |
의약품명 |
품목허가 |
유래 |
주기 |
대상질환 |
|---|---|---|---|---|---|---|
|
파미셀 |
1988.05.20 |
셀그램-AMI |
2011 |
자가, 골수 |
단회 |
급성 심근경색 |
|
메디포스트 |
2005.07.29 |
카티스템 |
2012 |
동종, 제대혈 |
단회 |
무릎연골결손 |
|
안트로젠 |
2016.02.15 |
큐피스템 |
2012 |
자가, 지방 |
단회 |
크론성 누공 |
|
코아스템 |
2015.06.26 |
뉴로나타-알 |
2014 |
자가, 골수 |
2회 |
루게릭병 |
![]() |
|
국내 중간엽줄기세포치료제 품목허가 의약품 |
| 자료 : 약학정보원 2022 |
③ 높은 성장 가능성
줄기세포치료제 시장은 개발 및 상업화를 위한 규제미비, 윤리적인 문제, 불명확한 치료기전 등의 논란의 여지에도 불구하고 아래와 같은 성장요인들에 의하여 사업성 및 성장 가능성이 매우 높은 시장입니다.
| [줄기세포치료제 시장 성장요인] |
|
성장요인 |
상 세 내 용 |
|---|---|
|
효과적인 |
- 줄기세포치료제는 질병관리 뿐만 아니라 암, 림프구 관련 질환, 혈관 질환과 같은 질병에서 효과적인 효능을 보여 최근 재생의료 분야에서 주목받고 있음 - 줄기세포의 치료 효능 관련하여 긍정적인 인식이 확대되어 전 세계적으로 6,768 건의 줄기세포 기반 임상시험이 진행 중임 (NIH 등록 기준) - 임상시험 건수 증가는 시장에서 줄기세포치료제에 대한 선호도가 높다는 것을 증명하며 지속적인 줄기세포치료제 시장의 성장이 촉진될 것으로 예상함 |
|
세포 분석기술 |
- 생명과학, 생명공학 및 유전체학 분야의 연구가 증가함에 따라 PCR, DNA Sequencing, 유동세포계측법 및 크로마토그래피와 같은 진보된 세포 분석 도구 및 기술이 개발됨 - 세포 분석 기술은 유도된 유도만능줄기세포와 같은 표적 줄기세포주의 정확한 유전자 변형을 분석하여 줄기세포치료제의 초기 개발에 큰 도움이 됨 - 이러한 세포 분석 기술의 진보는 줄기세포치료제 시장의 성장에 긍정적인 영향을 미칠 것으로 예상됨 |
|
정부 및 민간 |
- 질병 관리에서 줄기세포의 치료효능에 대한 인식이 높아지면서 전 세계의 다양한 공공 및 민간 단체가 줄기세포치료제 개발에 투자를 늘리고 있음 - R&D에 대한 공공 및 민간 투자의 가용성이 증가함에 따라 줄기세포치료제 시장 수요는 점차 증가할 것으로 예상됨 |
|
줄기세포 관련 |
2004년에 영국에서 처음으로 줄기세포은행이 설립되었으며 2005년에는 미국에서 National Stem Cell Bank를 설립하여 20개의 인간 배아 줄기세포주를 보유하고 있음 - 줄기세포은행은 높은 품질과 표준화된 연구가 용이하도록 관리되고 있으며 이는 주요 국가에서 인프라를 개발할 경우 줄기세포치료제 연구에 대한 수요가 증가할 것으로 예상됨 |
(2) 희귀의약품 시장
① 틈새시장의 전략
제약산업 내 다국적 제약사 및 바이오기업을 포함하여 희귀의약품은 고부가 가치의 치료제 영역으로 파이프라인 활성화를 시키기 위한 전략으로 사용되고 있습니다. 틈새시장으로 간주되는 희귀의약품 시장이 매력적인 이유는 종래의 1차 진료에 의한 블록버스터 모델이 더 이상 통하지 않기 때문입니다. 본 시장에서의모델이 다국적 제약사에게는 새로운 사업전략으로 거듭나고 있습니다.
| [다국적 제약사의 희귀의약품 시장 진입 모델 사례] |
|
다국적 제약사 |
모 델 |
|---|---|
|
Pfizer |
기업전략에 맞는 희귀질병에 특화된 기업과 점진적 계약 체결 |
|
Sanofi |
젠자임 등 큰 규모의 인수합병을 통하여 피인수 기업이 보유한 희귀의약품 포트폴리오 확보 |
② 희귀의약품 시장 및 규제 현황
시장성 또한 뒷받침되어 글로벌 희귀의약품 시장은 2018년 1,380억 달러에서 2024년 2,620억 달러 규모로 2배 넘게 성장하며 전체 처방의약품 시장의 22%를 차지할 것으로 전망되고 있습니다.
| [글로벌 희귀의약품 매출 전망] |
| (단위: 십억 달러) |
|
구 분 |
2017 |
2018 |
2019 |
2020 |
2021 |
2022 |
2023 |
2024 |
|---|---|---|---|---|---|---|---|---|
|
희귀의약품 매출 |
125 |
138 |
151 |
169 |
192 |
216 |
240 |
262 |
|
연 성장률 |
11.3% |
9.9% |
9.6% |
11.9% |
13.4% |
12.9% |
10.8% |
9.2% |
|
희귀의약품 처방비율 |
15.9% |
16.6% |
17.3% |
18.3% |
19.2% |
20.2% |
21.1% |
21.7% |
| 자료: EvaluatePharma (2018) |
희귀의약품은 규제적으로 허가에 유리하기 때문에 우선 희귀의약품으로 지정된 후 비희귀 적응증으로 확장하여 출시할 수 있습니다. 이러한 장점들이 시장에서 작용하여 국내외 희귀의약품 시장은 전체 제약산업의 성장률보다 훨씬 큰 폭으로 성장하고 있으며, 항암 분야와 당사의 세포치료제와 같은 바이오의약품 연구가 활발히 진행되는 상황입니다. 당사의 만성 이식편대숙주질환 줄기세포치료제 또한 이 제도를 활용하여 개발단계 희귀의약품 지정을 받아, 2상 완료 후 조건부 승인을 받아 조기 시판을 추진하고 있습니다.
과거 희귀의약품 시장은 임상 대상이 소규모인 데다 신약 개발 확실성과 수익성도 보장되지 않아 성장이 더딘 곳으로 평가되었으나, 최근 각국 정부가 허가 기간 단축과 신약에 대한 독점권 보장 등 혜택을 내놓으면서 성장 가능성이 증가하였습니다. 미국 식품의약국(FDA)은 희귀의약품 지정을 받은 신약에 대해 신속허가 제도를 적용하고, 판매 허가 이후 7년의 독점권을 부여하고 중국의 경우 의약품 허가 기간이 상대적으로 길지만 희귀질환 치료제는 우선심사 대상으로 지정해 기간이 단축되었습니다. 국내에서 환자수가 2만명 미만인 질병을 희귀질환으로 정의하고, 조건부 허가제도를 통해 임상 2상을 마치면 우선 판매 허가를 내주고 희귀의약품 신약에는 4년의 독점권이 주어집니다.
③ 희귀의약품 시장의 특성
희귀의약품은 바이오벤처에 의한 초기 개발 또는 임상단계에 진입해 있으며 이들의 글로벌 진출이 주목되고 있는 상황입니다. NIH에 따르면 전 세계적으로 7,000여가지의 희귀질환이 등록되어 있으며, 본 시장의 특성은 크게 세가지가 있습니다. (1) 희소성, (2) 질환의 심각성, (3) 대체 치료제의 부재입니다.
| [희귀의약품 시장의 특성] |
|
희소성 |
희귀라는 특성의 명목으로 연구개발 투자비가 높아 환자 당 높은 치료비용 산정이 필요함 |
|
질환의 심각성 |
희귀질환의 상당수는 심한 신체적 손상을 가져오고, 환자의 삶의 질을 떨어뜨릴 뿐 아니라 수명을 단축시키는 경우가 많음 |
|
대체 치료제의 부재 |
희귀질환 치료제는 대체 치료제가 없는 경우가 대다수이며, 실제로 유럽에서 허가된 희귀질환 치료제의 40%가 대체 치료제가 없는 품목인 것으로 나타남 |
④ 개발단계 희귀의약품 지정
당사의 만성 이식편대숙주질환 줄기세포치료제인 SCM-CGH는 2019년 4월 23번째로 개발단계 희귀의약품으로 지정되었으며, 2023년 2상 임상시험 종료 후 당해 2023년 조건부 품목허가를 신청할 계획입니다. 식약처로부터 조건부 품목허가를 받는 경우 3상 임상시험을 진행하면서 치료제를 판매할 수 있어 조기 R&D 투자비 회수 및 제품 상용화 경쟁력을 확보가 가능합니다.
또한, 2a상 임상시험을 진행 중인 급성 췌장염 치료제(SCM-AGH)에 대해서도 2020년 10월 식약처로부터 개발단계 희귀의약품 지정을 받아 해당 파이프라인에 대해서도 경쟁력을 확보하였습니다.
(3) 규제환경
① 첨단재생의료 및 바이오법으로 인한 규제 완화
2020년 9월 12일에 시행된 첨단재생의료 및 첨단바이오의약품 안전 및 지원에 관한 법률안(이하 "첨단재생바이오법")은 세포치료, 유전자치료, 조직공학치료 등 첨단재생의료 임상연구를 신속하게 실시할 수 있는 근거를 마련하고, 첨단바이오의약품에 대한 안전관리체계 확립을 위한 법안입니다.
재생의료에 관한 임상연구 진행 시 일정 요건이 충족되면 심사기준을 완화해 맞춤형 심사, 우선심사, 조건부 허가 등을 가능하도록 하는 법이며 기존 약사법ㆍ생명윤리법ㆍ혈액관리법 등으로 분류된 기존 바이오의약품 규제를 일원화시켜, 재생의료에 관련된 임상연구를 활성화하고 바이오의약품을 신속히 허가하기 위한 취지로 발의되었습니다.
첨단재생바이오법은 구체적으로 ▷ 치료 수단이 없는 질환에 투약하는 혁신 바이오의약품을 다른 의약품보다 먼저 심사하는 '우선 심사' ▷ 개발자 일정에 맞춰 허가 자료를 미리 제출 받아 단계별로 사전 심사하는 '맞춤형 심사' ▷ 3상 임상시험을 수행하는 조건으로 2상 임상만으로도 일단 의약품 시판을 허가해 주는 '조건부 허가' 등을 주요 내용으로 하고 있으며, 당사가 개발 중에 있는 만성 이식편대숙주질환 그리고 급성 췌장염 줄기세포치료제의 경우 해당 법률에 해당하게 되었습니다. 희귀질환으로 대체치료제가 없고 생명을 위협하는 질환에 해당되어 제36조에 의거하여 신속처리 대상에 지정될 수 있어 허가절차 기간을 단축할 수 있을 것으로 판단되며, 2상 임상시험 이후 조건부 품목허가의 가능성이 높습니다.
② 세포치료제 필요성에 인한 국외 규제환경의 변화
국내뿐 아니라 해외에서도 규제환경에 변화가 잇따르고 있습니다. 미국의 경우 2016년 12월 '21세기 치유법(The 21st Century Cures Act, H.R. 6)' 제정으로 첨단재생치료법의 환자 적용을 신속화하기 시작하였습니다. 21세기 치유법에 따라 재생의약 첨단치료제(RMAT) 지정 시, FDA의 신속 승인에 대한 운영에 대한 내용도 2019년 2월 발표한 바 있습니다. 유럽의 경우 2016년 3월 첨단바이오의약품의 신속한 개발 지원을 위해 규제기관이 지원하는 'PRIME' 제도를 적용하여 규제기관과의 상호작용이 강화되고 승인과정을 가속화한 바 있습니다.
라. 시장규모 및 전망
당사의 주요 목표시장을 이식편대숙주질환 치료제, 급성 췌장염 치료제, 아토피피부염 치료제 시장으로 정의하고 시장규모를 추정하여 아래와 같이 제시하였습니다.
(1) 이식편대숙주질환 치료제 시장
① 글로벌 시장
글로벌 이식편대숙주질환 시장은 현재 스테로이드 요법 외 적절한 치료제가 없어 시장규모를 예측하기 어렵습니다. 영국 시장조사 전문기관인 GlobalData의 2018년 보고서에 따르면, 이식편대숙주질환의 시장규모는 2013년 기준 3,420억원 규모에서 연평균 성장률 6.22%로 증가하여 2023년에는 6,260억원 규모에 이를 것으로 전망되고 있습니다.
![]() |
|
[2013~2023년 글로벌 이식편대숙주질환 예상 시장 규모] |
| 자료: GlobalData, GVHD Epidemiology and Market Size Database (2019) |
한국과학기술정보연구원의 National Digital Science Library 보고서에 의하면 만성 이식편대숙주질환은 조혈모줄기세포 이식 후 생존하는 환자의 60~80%에서 발생하며 장기 생존 환자의 가장 중요한 사망원인으로 꼽히고 있습니다. 최근 조혈모줄기세포 이식은 나이 많은 사람과 혈연관계가 없는 사람간의 이식이 증가하면서 만성 이식편대숙주질환 환자수가 급증하고 있으나 효과적인 치료법이나 병리학적인 기전은 잘 알려져 있지 않은 상태입니다. 관여 인자로는 HLA 불일치, 이식 후 100일까지도 스테로이드 사용, T-세포 제거 유무, 여성 공여자의 남성 환자, 환자 나이 및 기증자의 일치성 등이 중요하다고 알려져 있습니다.
이식편대숙주질환 치료에 있어 골수 및 제대혈유래 줄기세포치료제가 효과를 보고 있다고 보고되고 있으며, 당사의 SCM-CGH는 현재까지 다수의 치료목적사용과 1상임상시험을 통하여 이식편대숙주질환 줄기세포치료제로서의 가능성을 확인하여 지속적으로 개발을 하고 있는 PoC(Proof of Concept)을 위한 핵심 파이프라인입니다.
② 국내 시장
건강보험심사평가원 보건의료빅데이터에 의하면 국내 이식편대숙주질환 환자는 2018년 기준 484명으로, 지난 5년간 연평균 7.46%의 높은 성장률로 매년 환자수가 증가하고 있으며 앞으로도 높은 성장률로 시장규모가 확대될 것으로 예상됩니다. 또한 한국과학기술정보연구원 통계에 의하면, 이식편대숙주질환 전체 환자 중 약 70%는 만성이며 나머지 30%는 급성 환자인 것으로 추정됨에 따라 당사의 만성 이식편대숙주질환 치료제 대상 환자 규모는 2018년 기준 약 340명으로 추정할 수 있었습니다.
| [최근 5년 골수이식거부(T860)질환에 대한 환자수, 요양급여비용, 보험자부담금 추이] |
|
구 분 |
2016 |
2017 |
2018 |
2019 |
2020 |
5개년 성장률 |
|---|---|---|---|---|---|---|
|
환자수(명) |
410 |
422 |
484 |
510 |
511 |
5.7% |
|
요양급여비용총액 |
852,825 |
1,080,708 |
1,045,717 |
1,616,130 |
1,302,280 |
11.2% |
|
보험자부담금 |
775,012 |
964,206 |
932,467 |
1,473,814 |
1,164,402 |
10.7% |
| 자료: 건강보험심사평가원 보건의료빅데이터개방시스템 |
(2) 췌장염 치료제 시장
① 글로벌 시장
Market Research Future에 의하면 급성 췌장염의 글로벌 시장규모는 2017년 약 4조원에서 2023년 5조원에 이를 것으로 추정되며, 연평균 성장률 3.5%로 증가할 것으로 예측하고 있습니다.
발병 빈도는 미국의 경우 10만명당 24.2명, 영국은 5.4명 그리고 한국은 20명 정도이며 주로 40-50대 남성이 발병률이 가장 높으며 주요 원인은 남성의 경우 술, 여성의 경우 담석질환과 상관관계가 있는 것으로 예상됩니다. 2017년 기준 전 세계 발병환자의 수는 235만명으로 추정되며, 알코올 소비 증가와 진단기술 발달로 급성 췌장염 발병은 해마다 늘고 있는 추세이며 앞으로도 췌장염 발병률이 증가함에 따라 시장규모 또한 증가할 것으로 예상됩니다.
![]() |
|
[2013~2023년 글로벌 급성 췌장염 예상 시장 규모] |
| 자료: Market Research Future, Global Acute Pancreatitis Market Research Report (2017) |
경증 및 중등도 급성 췌장염에서는 수액치료를 통한 합병증 없는 완치율이 99%를 차지함에 따라 당사는 수액 치료보다 효과적인 치료를 필요로 하는 급성 췌장염 환자를타겟으로 하고 있습니다. 췌장염 시장에서 급성 췌장염은 80%의 비율을 차지하고 그중 급성 췌장염 환자는 전체 환자의 20%를 차지합니다. 이를 기준으로 글로벌 급성 췌장염 시장의 규모는 2017년도 약 8,000억원에서 2023년 1조원 수준으로 성장할 것으로 예측하고 있습니다.
② 국내 시장
글로벌 급성 췌장염 환자수 증가율과 비교하여 국내 췌장염 환자수는 빠른 비율로 증가하는 추세를 보이고 있습니다. 건강보험심사평가원에 따르면 국내 급성 췌장염 환자는 2017년 기준 36,354명으로 집계되며 연평균 4.62%의 성장률로 매년 증가하는 추세입니다.
| [최근 5년 급성췌장염(K85)질환에 대한 환자수, 요양급여비용, 보험자부담금 추이] |
|
구 분 |
2016 |
2017 |
2018 |
2019 |
2020 |
5개년 성장률 |
|---|---|---|---|---|---|---|
|
환자수(명) |
35,966 |
36,354 |
39,078 |
40,656 |
39,804 |
2.6% |
|
요양급여비용 |
49,791,947 |
52,823,198 |
63,672,447 |
69,856,128 |
73,647,405 |
10.3% |
|
보험자부담금 |
36,567,355 |
38,848,104 |
46,976,887 |
51,549,592 |
54,258,227 |
10.4% |
| 자료: 건강보험심사평가원 보건의료빅데이터개방시스템 |
(3) 아토피피부염 치료제 시장
① 글로벌 시장
GlobalData에 따르면 글로벌 아토피피부염 시장 규모는 2019년 6.1조원에서 연평균 성장률 6.8% 증가하여 2024년에 8.5조원에 이를 것으로 보고되었습니다.
![]() |
|
[글로벌 아토피피부염 예상 시장 규모] |
| 자료: 보건산업진흥원, 기술가치평가 보고서 (2018, GlobalData 자료 재가공) |
■ 증가하는 아토피피부염 환자수
아토피피부염 환자수는 2022년 1억 3,100만명까지 증가할 것으로 예측되고 있습니다. 아시아 시장은 일본 외에 중국, 인도의 저소득 아토피피부염 환자가 전체 환자수의 60%에 이르며 신흥시장으로 지속적인 성장이 예상되며 중국에서만 4,700만명의 환자가 발생할 것으로 예측합니다. 중국의 경우 가장 많은 환자가 발생할 것으로 보이나, 출산율 감소로 인하여 환자수는 감소할 것으로 예상됩니다(연간 증가율: -0.36%). 반면 미국은 2012년 1,560만명에서 2022년 1,600만명으로 가장 많은 환자가 증가할 것으로 예측되고 있습니다(연간 증가율: 0.71%).
당사가 타겟하고 있는 중등증 이상의 아토피피부염 환자 비율은 전체 아토피피부염 환자 중 약 30~40%입니다. 예상하는 증가율에 따라, 2022년에는 약 1억 3,100만명의 환자가 발생할 것으로 예상되며, 이 중 증증도 이상의 아토피피부염 환자수는 약 5,240만명으로 추산할 수 있습니다.
현재 시장을 주도하기 시작한 의약품으로는 바이오의약품인 듀피젠트가 존재하며 당사의 SCM-AGH의 경우 듀피젠트와 유사한 환자군인 중등증-중증 아토피피부염을 치료대상으로 합니다.
듀피젠트는 특정인자만을 타겟팅하는 항체로서 부작용의 문제점을 안고 있고 효능의 미비라는 문제점도 발견되고 있으며, 300mg/2ml 주사제 형태로서 환자가 매 2주 간격으로 투여 받아야 하며 연간 약가는 약 4,200만원입니다. 반면, SCM-AGH의 경우 1 cycle 당 3회 투여로 약 6개월부터 최대 1년 이상까지의 치료효과가 유지됨을 치료목적사용을 통하여 확인한 바 있습니다. 줄기세포의 특성상 부작용 발생 가능성이 현저히 낮고 중등증-중증 아토피피부염 치료에 대안이 될 것으로 예상되며, 매 6개월 투여 제형으로 개발하여 다른 경쟁사 치료제 대비 환자의 투여 횟수에 대한 부담이 감소할 것으로 예상됩니다.
② 국내 시장
국내 시장만 보았을 때도 아토피피부염은 큰 규모를 나타내고 있습니다. 건강보험심사평가원에 따르면 우리나라 전체 인구대비 아토피피부염 진료실 인원 비중과 절대수치를 보았을 때, 줄어드는 경향은 보이지만 그 수는 꾸준하게 약 90만명대를 유지하고 있습니다.
진료실 인원 비중과 상반되게 치료비 규모는 2014년 357억원 규모에서 2018년 435억원 규모로 증가하였습니다. 이처럼 아토피피부염 시장은 성장하지만, 효과적인 치료제에 대한 해법은 아직 없는 상황입니다. 해당 질환은 삶의 질을 급격히 저하시키는 질환으로 전 세계적으로 환자가 꾸준히 발생하고 있는 만큼 당사가 개발에 성공한다면 막대한 시장가치 창출을 할 수 있을 것으로 사료됩니다.
| [최근 5년 아토피성 피부염(L20)질환에 대한 환자수, 요양급여비용, 보험자부담금 추이] |
|
구분 |
2016 |
2017 |
2018 |
2019 |
2020 |
5개년 성장률 |
|---|---|---|---|---|---|---|
|
환자수(명) |
935,080 |
933,979 |
921,070 |
949,990 |
972,928 |
1.0% |
|
요양급여비용총액 |
20,099,077 |
21,550,739 |
22,611,898 |
23,739,648 |
27,270,356 |
7.9% |
|
보험자부담금(천원) |
13,413,598 |
14,488,213 |
15,432,263 |
16,627,257 |
18,943,364 |
9.0% |
| 자료: 건강보험심사평가원 보건의료빅데이터개방시스템 |
■ 소아환자에 대한 미충족 의료수요 존재
상기의 진료환자수를 세분화해서 분석해보면, 19세 이하 진료 환자수는 점차 감소하고 있으나 여전히 전체 환자 중 59%의 높은 비중을 차지하고 있어 소아 환자에 대한 미충족 의료수요는 높은 것으로 추정됩니다.
| [최근 5년 아토피성 피부염(L20) 소아 및 성인 환자수 추이] |
|
구 분 |
2016 |
2017 |
2018 |
2019 |
2020 |
비중 |
|---|---|---|---|---|---|---|
|
소아(19세이하, 명) |
560,283 |
539,989 |
511,743 |
503,073 |
493,868 |
55% |
|
성인(20세이상, 명) |
374,797 |
393,990 |
409,327 |
446,917 |
479,060 |
45% |
| 자료: 건강보험심사평가원 보건의료빅데이터개방시스템 |
특히, 아토피피부염 환자 중 만성 질환자의 약 70%가 유ㆍ소아이므로 안전성 입증 문제가 중요하며, 질병의 특성과 환자 등이 고려된 개발전략이 필요한 상태입니다. 유소아의 경우 면역력이 약하여 외부자극에 쉽게 반응하기에 팔과 다리, 팔꿈치 안쪽 등에 주로 아토피피부염 증상이 나타나며 기관지 천식이나 비염 등이 동반되기도 합니다. 유소아가 성장하며 자연적 면역능력이 생기며 대부분 증세는 사라지게 되나, 스트레스나 환경 문제로 인하여 성인 아토피피부염으로 이어지는 경우도 많습니다. 따라서, 특정 시장을 제한하기 보다 두 시장을 모두 타겟으로 삼아 치료제를 개발하고자 하며 성인 아토피피부염 치료제 개발을 완료한 후, 소아환자로 적응증을 확장하고자 합니다.
마. 경쟁 현황
(1) 당사 현황
줄기세포치료제 개발기업을 중심으로 고려하였을 때, 국내에서 4개의 기업이 당사와의 경쟁대상이 될 수 있습니다. 국내에서의 줄기세포치료제 분야에 대한 투자는 2005년 메디포스트와 차바이오텍의 코스닥시장 상장 이후 지속적인 정부 지원정책과 바이오 시장의 활황에 힘입어 성장하고 있습니다. 이어 2015년에는 코아스템과 강스템바이오텍, 2016년 안트로젠이 잇따라 상장하였으며, 당사 또한 이러한 기업들과 같이 상장을 통하여 상업화에 대한 기반 마련을 준비하고자 합니다.
당사가 개발 중인 치료제 상용화의 개발속도는 늦었지만, 차별성 있는 분리기술을 이용하여 단일세포유래 고순도 중간엽줄기세포의 상대적 우수성을 검증해 왔으며 해당기술에 대한 지식재산권을 확보하여 경쟁력 있는 줄기세포 치료제로 국내외 시장을 확실히 장악할 수 있는 잠재력을 보유하고 있습니다. 현재 당사는 임상단계에 진입 3가지 줄기세포치료제를 파이프라인으로 보유하고 있습니다.
■ 만성 이식편대숙주질환 치료제는 2상 임상시험을 진행 중이며, 국내 23번째로 개발단계 희귀의약품 지정을 받아 2023년 조건부 품목허가 후 2023년 시장 출시 예정에 있습니다.
■ 급성 췌장염 치료제는1/2a상 임상시험을 전국10개 대학병원에서 진행 중이며, 2021년시험대상자 모집을 완료하였고, 2022년에는 2b상 임상시험을 진행하여 2023년조건부 품목허가를 받아 시장 출시 예정입니다.
■ 중등증-중증 아토피피부염 치료제는 1상 임상시험을 완료 후 국내11개 병원에서 4개 병원을 추가하여 총15개 병원에서2상 임상시험을 진행 중입니다. 2022년초에 시험대상자 등록을 완료할 예정이며, 2023년3상 임상시험을 시작하여, 완료 후 시장출시 예정입니다.
최근 줄기세포 산업에서 당사와 더불어 아토피피부염에 대한 임상을 진행하고 있는 회사로는 강스템바이오텍이 있습니다. 양사는 중등증-중증 아토피피부염 질환을 대상으로 현재 치료제를 개발하고 있습니다. 강스템바이오텍이 개발 중에 있는 퓨어스템-AD의 경우 2020년 10월에 3상 임상시험 신청하여 2021년 5월 7일 식약처로부터승인을 받아 임상을 시작하였으나, 단회 피하투여로 12주간 관찰하는 임상시험에서 시험군은 31.82%, 위약군은 27.16%로 큰 차이가 없는 결과를 도출하여 1차 평가변수에 대한 통계적 유의성을 확보하지 못하였습니다. 이로 인하여 강스템바이오텍은 최적의 활성을 가진 세포를 환자에게 투여할 수 있도록 동결제형 도입 등 임상시험 설계를 보완하여 2021년 임상 3상을 재개하여 2022년까지 308명을 대상으로 17개 기관에서 임상시험을 진행하고 있습니다. 피하투여에 대한 경로의 문제, 임상설계 및 증상인자 반응 등에서 당사와 다소 차이가 존재합니다.
당사는 분리기술부터 차별화된 고순도ㆍ고효능 세포주를 활용하여 임상시험을 추진 중에 있으며, 바이오마커 분석을 진행하여 질환에 적합한 세포주를 사용하여 치료효과에 대한 변수를 줄였습니다. 아토피피부염의 경우, 질환 특이적인 마커 발현이 되어도 인종 및 나이 등에 따라 다양한 표현형의 차이가 존재하고 있어 치료법이 상이할 수 있습니다. 한가지 좋은 접근방법의 예로, 아시아계인종의 경우IL-17으로 유도되는Th17 활성과 건선이 동반되는 내재형이 우세하기에 당사는 이를 타겟팅하는 것이 중요하다고 판단하였습니다.
이러한 문헌적 근거를 보완하고자 치료목적사용 임상에서 IL-17이 발현되어 Th17이활성이 동반되었던 환자에게는 당사의 줄기세포치료제가 IL-17을 감소시키는 것을 확인하였고, 치료 결과는 의미있는 시사점을 제공하여 본 임상시험에 반영하였습니다. 질환 특이적 세포주와 투여경로, 투여횟수 및 간격, 바이오마커 등의 변수들은 다수의 비임상 및 임상경험을 통하여 타당성을 입증하였습니다.
(2) 경쟁업체 현황
당사가 개발하고 있는 줄기세포치료제의 경우 희귀ㆍ난치성 질환이거나 미충족 의료수요가 높은 질환으로서 경쟁사가 없거나 소수의 경쟁사만이 존재합니다. 아래 서술된 경쟁업체 현황에는 질환별 치료제의 표준 의약품과 아직 품목허가를 받지 못한 개발단계 제품들을 고려하여 작성하였습니다.
① SCM-CGH(만성 이식편대숙주질환 치료제)의 주요 경쟁업체 현황
(a) 기존 치료법에 대한 배경
현재까지 국내에서 만성 이식편대숙주질환을 근본적으로 치료할 수 있는 치료제는 2020년에 적응증이 추가된 얀센의 임부르비카(Imbruvica)가 유일합니다. 일반 치료법으로 corticosteroid, calcineurin inhibitors(cyclosporine, tacrolimus), thalidomide, 체외 광화학요법(extracorporeal photochemotherapy, ECT) 또는 mycophenolate mofetil(MMF), methotrexate 같은 면역억제제가 있습니다. 상기 치료법으로 증상이 호전되지 않는 경우에는 기존 사용하던 면역억제제의 용량 증가 또는 sirolimus, rituximab, hydroxychloroquine, pentostatin 같은 새로운 약물로 대체 또는 추가하는 병용요법을 시행하고 있습니다. 다만, 오랜기간 사용시 복용에 따른 합병증인 골다공증, 당뇨, 고혈압 등의 부작용이 발병할 수 있으며 긍정적인 효과가 발생하는 경우는 약 20~30%에 불과하여 대부분 사망에 이릅니다.
| [이식편대숙주질환 국내/외 치료제 현황] |
|
구 분 |
노바티스 자카비 |
얀센 임부르비카 |
일본 JCR 파마 템셀 |
오시리스 프로키말 |
|---|---|---|---|---|
|
종 류 |
JAK Inhibitor |
BTK저해제 |
줄기세포 |
줄기세포 |
|
적응증 |
만성/급성 |
만성 |
만성 |
만성 |
|
허 가 |
2021년 9월 FDA |
2020년 3월 |
2019년 5월 일본 승인 |
2012년 5,6월 |
(b) 주요 경쟁업체 현황
주요 경쟁제품인 Janssen의 BTK 저해제인 임브루비카(Imbruvica)가 2017년에 만성이식편대숙주질환에 대한 추가 적응증에 대해 미국 FDA에서 허가를 받았습니다. 소아, 노인 환자 및 예후가 좋지 않은 유전형 환자에게서도 반응을 이끌었고, 일부 적응증에 대해서는 희귀의약품으로 지정 받았기 때문에 조건부 품목허가를 받아 빠르게 시장에서 확대될 것으로 예상됩니다. 그 외에 상업화를 앞두고 있는 의약품은 Novartis의 자카비(Jakavi)가 있습니다.
줄기세포 제품으로는 일본 JCR파마의 템셀과 오시리스의 프로키말이 있으나, 국내에 허가를 받지 못한 상황이고 각각 일본과 캐나다/뉴질랜드에서만 허가를 받은 상황입니다.
| [이식편대숙주질환 개발단계 치료제 현황] |
| 의약품명 |
개발사 |
적응증 |
임상단계 |
|
|---|---|---|---|---|
|
1 |
임부르비카(Imbruvica) |
Janssen |
만성 GvHD |
품목허가 (미국) 임상 3상 (유럽, 일본, 호주) |
|
2 |
자카비(Jakavi) |
Novartis |
만성 GvHD |
임상 3상 (글로벌), 품목허가 (미국) |
|
급성 GvHD |
품목허가 (미국) 임상 3상 (유럽, 일본, 호주) |
|||
| 자료: GlobalData, Pharma Intelligence Center (5개 국가 이상에서 추진 시 글로벌 표기) |
■ 임부르비카 (Janssen)
임부르비카는 키나제 억제제로 기존 혈액암 치료제이나 만성 이식편대숙주질환 적응증 추가 승인 받았습니다. 임상시험에서 환자 42명을 대상으로, 67% 환자에서 증상 개선효과를 보았으며 이들 중48%는 호전된 상태가 5개월 이상 지속되는 효과를 보았습니다. 흔한 부작용으로는 피로, 멍, 설사, 혈소판감소증, 근육경련, 구내염, 오심, 출혈, 빈혈, 폐렴등이 있었으며, 심각한 부작용으로는 출혈, 혈구감소증, 심방세동, 고혈압, 이차 원발성 악성종양, 종양용해증후군 등이 있었습니다.
■ 자카비 (Novartis)
자카비는 JAK 신호체계를 선택적으로 억제하는 경구용 소분자 표적 치료제로, 골수섬유화증 및 진성적혈구증가증의 치료에 사용되고 있습니다. FDA는 스테로이드 불응성 급성 이식편대숙주질환에 대하여 자카비에 우선심사, 혁신적치료제(Breakthrough Therapy) 지정을 하였으며, 2021년 9월 허가했습니다. 상기 경쟁약물 대비 당사의 줄기세포치료제SCM-CGH는 이식편대숙주질환 임상단계에서 다수의 장기 반응을 호전시키는 것으로 확인되어, 2상 임상시험에서 유효성을 확인하면 만성이식편대숙주질환 치료에 대한 미충족 의료수요가 해소되어 시장을 선도할 수 있을 것으로 판단됩니다.
② SCM-AGH(급성 췌장염 치료제)의 주요 경쟁업체 현황
(a) 효과적인 치료제의 부재
급성 췌장염 치료제는 현재 다양하게 개발되고 있으며, 특히 염증 반응 단계에서 반응을 억제시키는 약물이 다수 개발되고 있습니다만, 현재까지 확실한 임상적 효능을 나타내는 약물이 개발되지 않은 상황입니다. 이에 따라 지금까지 출시된 치료제는 급성 췌장염 치료에 있어 보조적인 역할로만 사용되며, 주된 치료법으로는 수액 치료 밖에 없으며 중증도가 높을 경우 신장에 발생하는 합병증을 줄이기 위해 투석을 함께 진행하곤 합니다.
(b) 주요 경쟁업체 현황
약물치료법으로는 단백분해효소 억제제(protease inhibitor) 또는 췌장분비 억제제(anti-secretory agent), 항산화제 혹은 항염증제(anti-oxidative, anti-inflammatory agent)등이 연구되고 있습니다.
현재 시장에 출시되어 췌장염 치료에 사용되고 있는 약물인 Futhan과 Miraclid는 단백질 분해효소를 타겟으로 염증반응을 억제하는 기전을 나타내는 치료제입니다. 다만, 상기 두 치료제들은 급성 췌장염을 적응증으로 하는 치료제가 아닌 증상개선을 위한 대중요법으로 허가 받았습니다.
가장 유력한 경쟁약물은 융합 단백질인 TAK-671(SB-26 또는 울리나시타틴Fc)으로 Takeda Pharmaceutical 및 삼성바이오에피스가 협력 개발 중인 약물로서 미국에서 1상 임상시험을 완료하고 2상 임상 준비 중입니다.
| [급성 췌장염 경쟁약물 현황] |
|
구 분 |
제품명 |
회사명 |
효능,효과 |
현 상황 |
|---|---|---|---|---|
|
단백분해 |
주사용후탄 (Futhan Inj.) |
- Japan Tobacco. - Torii Pharmaceutical - SK케미칼 |
췌염의 급성증상의 개선 |
국내 출시 |
|
Miraclid |
- Mochida Pharmaceutical - JCR Pharmaceutical |
췌장염의 증상 개선 |
일본, 중국, 인도 등에 |
|
|
TAK-671 |
Takeda Pharmaceutical/ 삼성바이오에피스 |
췌장염의 증상 개선 |
2상 임상을 준비 중 |
(c) 세계 최초의 급성 췌장염 치료제로의 등극
당사의 SCM-AGH는 세계 최초의 급성 췌장염 줄기세포치료제로서 연구개발의 의의가 있습니다.
③ SCM-AGH(중등증-중증 아토피피부염 치료제)의 주요 경쟁업체 현황
당사의 줄기세포치료제인 SCM-AGH는 중등증 이상의 아토피피부염을 표적으로 하고 있습니다. 면역조절능력이 있는 중간엽줄기세포의 경우 질환의 중증도가 심할수록 효과적이라는 비임상적 결과가 있어 초기 아토피피부염에 사용되는 면역억제제 및 스테로이드 크림과는 차별화됩니다. 따라서 현재 듀피젠트를 시판하고 있는 Sanofi가 주된 경쟁업체라고 간주됩니다.
추가적으로 줄기세포치료제 분야에서는 강스템바이오텍이 중등도 이상의 만성 아토피피부염 환자를 대상으로 퓨어스템-에이디주(FURESTEM-AD)의 유효성 및 안전성 평가를 위한 Two-Stage, 다기관, 무작위 배정, 이중 눈가림, 위약 대조 등의 내용이 포함된 제 3상 임상시험을 2021년 5월 7일 식약처로부터 승인 받아, 국내 약 15개 기관에서 아토피 환자 308명을 대상으로 진행되고 있습니다. 당사의 SCM-AGH의 경우 1/2상 임상시험을 통하여 안전성 및 유효성을 2022년에 입증하고, 글로벌 시장을 타겟으로 개발을 추진하고 있습니다.
주요 경쟁업체를 제외한 그 밖의 국내 기술 동향을 보았을 때, 아래와 같은 제품들이 개발단계에 있습니다.
| [국내 개발단계 경쟁제품 현황] |
|
개발사 |
제품 설명 (요약) |
|---|---|
|
JW중외제약 |
- JW중외제약은 C&C신약연구소와 아토피피부염 치료제인 FR-1345의 상업화를 위한 라이선스 계약을 체결하고 임상 1상 시험을 추진하고 있음 - FR-1345는 히스타민 H4 수용체에 선택적으로 작용해 아토피피부염을 유발하는 면역세포의 활성과 이동을 차단하고, 가려움증을 일으키는 히스타민의 신호전달을 억제하는 작용기전을 가진 후보물질임 |
|
휴온스 |
- 휴온스는 와이디생명과학과 기술이전 계약을 맺고 천연물신약을 통한 크림형 제형의 치료제인 YD-109를 개발하고 있음 - 기존 스테로이드성 약물이 가지고 있는 피부가 얇아지거나 혈관이 확장되어 2차 감염이 우려되는 부작용 등을 감소하는데 중점을 두고 있음. |
| [해외 개발단계 경쟁제품 현황] |
|
개발사 |
제품 설명 (요약) |
|---|---|
|
Sanofi |
인터루킨 저해제 단일클론항체인 듀피젠트를 승인받아 치료제로 판매 중에 있으며, 국소 치료제로 적절히 조절되지 않거나 이들 치료제가 권장되지 않는 중등도에서 중증 아토피피부염 환자의 치료를 목적으로 하고 있음 |
|
Pfizer |
PDE4 저해제인 유크리사를 아토피피부염 치료제로 판매 중에 있으며, 비스테로이드 국소도포제로서 스테로이드 약물에 따른 부작용이 없다고 알려져 있음 |
|
AstraZeneca |
항인터루킨-13 단일클론항체인 트랄로키누맙을 개발하여 3상 임상시험을 진행하고 있음 |
|
Abbvie |
JAK 억제제인 어파다시티닙을 개발하여 2b상 임상시험에서 우수한 효과를 보인 후, 개발단계에 있음 |
|
Eli Lily |
올루미언트를 개발하여 2상 임상시험에서 고용량으로 긍정적인 효과를 보여, 3상 임상시험을 진행하고 있음 |
![]() |
|
해외개발단계경쟁제품_IR자료 |
듀피젠트는 아토피피부염 치료제로는 처음 개발된 표적 생물학적제제입니다. 다양한적응증 추가 승인으로 성장세를 보이고 있으며, 작년 1조 600억원(9억 2,200만 달러)의 매출을 달성한 바 있습니다. 시장조사 전문기관인 EvaluatePharma의 World Preview 2018, Outlook to 2024 보고서에 의하면, 듀피젠트는 2024년까지 약 9조 2,000억원(80억 달러) 규모로 성장하여 글로벌 10대 블럭버스터 의약품 중 하나로 거듭날 것으로 예측하고 있습니다.
![]() |
|
[2024년 글로벌 블록버스터 의약품 매출 예상표] |
듀피젠트의 시장성 증가는 당사 줄기세포 치료제를 알리는 것에 긍정적인 작용할 것으로 판단됩니다. 아토피피부염으로 잠재적 임상적 효능을 치료목적사용으로 확인하였으며, 줄기세포치료제는 듀피젠트와는 다르게 이상반응이나 부작용이 적고 효과가 장기적으로 지속된다는 사례를 보았을 때, 차세대 바이오의약품으로서 듀피젠트의 시장을 대체할 수 있을 것으로 판단하고 있습니다. 또한 희귀의약품이나 난치성 질환에 대한 개발은 유사기전을 통한 적응증 확대가 가능하여 더욱 부가가치를 창출할 수 있을 것으로 생각됩니다.
(3) 비교우위 사항
① SCM-CGH(만성 이식편대숙주질환 치료제)
만성 이식편대숙주질환의 경우 경쟁제품인 임부르비카와 비교하여 아래와 같은 주요장점이 있습니다.
■ 용량/용법의 차이
임부르비카의 경우 140mg 캡슐 3정을 하루에 한번씩 증상이 호전될 때까지 복용을 해야 하지만, 당사 줄기세포치료제의 경우 2주 간격 3회 치료 이후 추가 투여 없이 장기적인 효능을 유지할 수 있음을 이전 임상시험을 통해 확인하였습니다.
■ 안전성의 차이
임부르비카의 경우, 임부르비카 임상시험에 참여했던 20%이상의 환자에서 피로감, 멍듦, 설사, 혈소판 감소증, 구내염, 근육연축, 메스꺼움, 출혈, 빈혈, 폐렴이 확인되었으며, 1명의 환자에서 3등급(Grade 3)의 심방 세동이 확인되었습니다. 또한 임상시험에 참여했던 환자 중 24%가 약물이상반응으로 치료를 중단하였습니다.
■ 당사 줄기세포치료제의 경우, 1상 임상시험과 2상 임상시험의 Part 1을 통해 확인된 약물 관련 이상반응은 경증 수준의 근육통, 감기, 콧물, 인후염이 전부였습니다.
② SCM-AGH(급성 췌장염 치료제)
급성 췌장염의 경우 아직까지 개발된 치료제가 없어 당사의 줄기세포치료제가 최초의 급성 췌장염 줄기세포치료제가 될 것입니다.
③ SCM-AGH(중등증-중증 아토피피부염 치료제)
중등증-중증 아토피피부염의 경우 경쟁제품인 듀피젠트와 비교하여 아래와 같은 주요 장점이 있습니다.
■ 용량/용법의 차이
듀피젠트의 경우 첫 투여(600mg)이후 2주 간격으로 300mg을 지속적으로 투여해야 하지만, 당사의 줄기세포치료제는 2주 간격 3회 투여로 추가 투여 없이 장기적인 효능을 유지할 수 있음을 이전 치료목적 사용 임상시험을 통해 확인하였습니다. 또한 치료목적 사용에 참여했던 환자들이 3회 투여 이후 경구용 스테로이드나 경구용 면역억제제의 사용 없이 국소적 치료만으로 개선된 상태를 유지하고 있음을 확인하였습니다.
■ 안전성의 차이
듀피젠트의 경우 듀피젠트 임상시험에 참여했던 환자 중 주사부위 반응과 결막염이상이 있었던 환자가 각각 10%였으며, 눈꺼풀염, 구강 헤르페스, 각막염, 눈가려움증 등의 이상반응이 확인되었습니다.
■ 당사 줄기세포치료제의 경우 치료목적 사용 임상시험에 참여한 환자들에서는 지금까지 보고된 약물관련 이상반응이 없습니다.
바. 신규사업
신규 사업으로는 치료제에 대한 후속 파이프라인과 당사의 층분리배양법으로 분리된줄기세포를 응용하는 오픈이노베이션 기술사업으로 구분하였습니다.
| [신규 사업 요약] |
| 구 분 |
상 세 |
전략적 추진 사유 |
|---|---|---|
| 후속 파이프라인 개발 |
1. 척수소뇌성 실조증 치료제 |
미국, 일본, 대만의 2상 임상시험을 기반으로 지속적인 국내 임상시험 진입 가능성 검토 중 |
|
2. 제1형 및 제3형 당뇨 치료제 |
iPSC-유래 세포치료제로 사업영역 확장 (상용화에 적합한 안정적인 세포주 공급 가능) |
|
|
3. 노쇠/노화 치료제 |
노쇠/노화에 관련된 근감소증 질환 도입 검토 중 |
|
| 오픈이노베이션 기술사업화 |
공동연구개발 8건 |
초기 개발단계 후보물질 확보(미토콘드리아, 엑소좀 치료제 등), 제형 변경(세포시트 등), 상용화 준비(3D 바이오리액터) |
(1) 후속 파이프라인 개발 추진 계획
현재 진행되고 있는 3개의 임상시험 이외에 후속 파이프라인 확보를 위해 기술이전 검토 또는 공동연구개발을 진행 중에 있으며, 척수소뇌성 실조증 치료제와 제1형 및 제3형 당뇨 치료제 라이선스인을 추진하였습니다.
| [후속 파이프라인 개발 진행과정 및 일정 요약] |
| 구 분 | 개발 진행과정 및 일정 | |
|---|---|---|
|
1 |
동종 지방유래 중간엽줄기세포 치료제 (척수소뇌성 실조증) |
- 2020년 10월 대만 Steminent와 라이선스인 계약 체결 |
|
2 |
iPSC-유래 췌장 베타세포치료제 |
- 2019년 미국 Allele과 공동연구개발 협약 - 2019년 질환 동물모델 유효성 평가 |
① 척수소뇌성 실조증 줄기세포치료제: Steminent는 대만 줄기세포치료제 바이오 벤처이며, 현재 동종 지방유래 중간엽줄기세포치료제인 Stemchymal로 퇴행성 신경계 질환인 척수소뇌성 실조증(Spinocerebellar Ataxia, 이하 "SCA")에 대한 2상 임상시험 계획을 대만, 미국, 일본에서 승인 받아 진행 중입니다.
2015년 미국 FDA로부터 SCA 치료를 위한 희귀의약품 지정을 받았으며, 2016년 일본 세포치료제 기업인 Reprocell에게 일본 시장에 대한 라이선스 아웃을 하였습니다. 당사는 Steminent의 Stemchymal을 License-in 하여 2상 임상시험 단계의 파이프라인을 확대하고자 합니다. SCA는 40가지 이상의 아형이 있으며 대만과 한국의 경우 SCA 2형과 3형 환자가 다수입니다. 국내 환자수 약 4,000명인 희귀질환으로, First-in-Class 의약품으로 시장진입이 가능할 것으로 예상됩니다.
2019년 7월 본격적인 사업 추진을 위하여 MOU를 체결하였으며, 2020년 10월에 라이선스 계약(Advanced Development and Commercialization License Agreement)을 체결하였으며, 2021년 3월에 국내 식약처에 임상시험계획서를 신청하였습니다.
식약처 세포유전자치료제과의 검토의견 결과, 비임상시험(반복투여 독성 및 분포 시험)이 다시 진행되어야 하고, 이 시험의 경우 소요 기간은 약 10개월임이 확인되었습니다. 식약처가 허용하고 있는 통상적인 보완 연장 기간 내에 상기 비임상시험 결과 확보가 어려운 점을 감안하여 임상시험계획승인 신청을 자진 취하하였습니다. 그러나 Steminent와 계약에 대한 지속적인 논의 중에 있습니다.
| [대만 Steminent 社와의 라이선스 계약 추진 진행상황] |
| 구 분 | 내 용 |
|---|---|
|
2019.07 |
전략적 제휴를 위한 MOU 체결 - Joint Development and Commercialization Agreement(JDCA)를 통한 특정 권리지역에 대한 지식재산권 및 제품개발에 대한 사항 공유 - 치료제 수요에 따라 각 대만 및 한국 GMP 생산시설을 활용한 생산위탁계약 모델 검토 |
|
2019.08 |
연세대학교 의과대학 세브란스병원 신경과 이필휴 교수 사전 미팅 - 국내 수요 및 환자 현황 확인 - 임상적 자문 및 연구자 참여의향 확인 SCA 국내 임상시험 관련하여 식약처 주무관 문의 |
|
2019.09 |
Steminent 1차 실사 및 F2F 미팅 (에스씨엠생명과학 본사) - 임상 진행사항 업데이트 |
|
2019.10 |
Ryan Chang (CEO) 및 William Milligan (VP, Business Development)과의 F2F 미팅 (미국 캘리포니아) - 대만 내 아토피피부염 및 급성 췌장염 시장적 접근 논의 - 한국 및 대만 식약처 제출 자료 비교 |
|
2019.11 |
대표 F2F 미팅 (대만) - 계약내용 1차 협의 |
| 2019.12 | 기술료 협의 완료 |
| 2020.01 | 1차 기술실사 및 Advanced Development and Commercialization License Agreement 초안 검토 |
|
2020.02 |
임상개발 및 제조파트 실무진 현장실사 (대만) |
| 2020.04 | 계약 내용 2차 협의 완료 |
| 2020.10 | 라이선스 계약 체결 |
| 2021.03 | 척수소뇌성 실조증 치료에 대한 Stemchymal (동종 지방유래 중간엽줄기세포) 투여의 안전성 및 유효성을 평가하기 위한 공개, 다기관, 단일군, 제2상 임상시험 계획승인(IND) 신청 |
| 2021.09 | 척수소뇌성 실조증 치료에 대한 Stemchymal (동종 지방유래 중간엽줄기세포) 투여의 안전성 및 유효성을 평가하기 위한 공개, 다기관, 단일군, 제 2상 임상시험 계획승인(IND) 신청 자진 취하 |
② 당뇨 췌장 베타세포치료제: 2019년 1월 미국 San Diego 소재 Allele Biotechnology & Pharmaceuticals와 유도만능줄기세포(iPSC) 기반 제1형 당뇨 치료제 공동 개발협약을 체결하였습니다. Allele Biotech는 미국 내 cGMP 생산시설에서 mRNA 원천기술을 적용하여 유도만능줄기세포 구축 및 조직 특이적 세포 분화기술을 보유하고 있습니다. 당사는 Allele Biotech와 유도만능줄기세포 유래 췌장세포를 활용한 1형 및 제3형 당뇨병 치료제 개발을 위한 전임상 연구를 통해 신약개발 가능성을 타진하고, 향후 당뇨병 치료제 시장에 진출하고자 합니다. 2021년 6월에 라이선스 계약(License and Collaboration Agreement)을 체결하였습니다.
사. 미국 관계사 코이뮨
|
주요 사업 |
세포치료제 개발 | 투자금 |
17,597백만원 |
|
설립일 |
2019.02.07 |
종업원수 |
48명 |
|
대표자 |
Charles Nicolette |
기업형태 |
벤처기업, 비상장 중소기업 |
|
주요 주주 |
에스씨엠생명과학: 23.9% 제넥신: 22.9% |
면적 |
1,800㎡ (임차) |
|
주소지 |
4233 Technology Drive, Durham, North Carolina, United States 27704 |
||
당사는 2019년 2월 미국 Argos Therapeutics의 기술력과 글로벌 최고 수준의 세포치료제 제조시설(cGMP) 및 품질관리 시스템을 확보하기 위하여 ㈜제넥신과 공동으로 인력, 특허, cGMP 제조시설 등 일체를 125억원에 인수하여, 미국 합작법인 CoImmune, Inc.(이하 "코이뮨")을 설립하여, 설립 시 당사가 51% 및 ㈜제넥신이 49% 지분을 보유하였습니다.
코이뮨의 100% 자회사인 CoImmune CAR-CIK Inc.가 2020년 4월 30일 차세대 CAR-T 치료제 개발사인 이탈리아 Formula Phamaceuticals Inc.와 합병을 완료하면서 코이뮨은 이탈리아 Formula의 기존 주주에게 CoImmune 주식 8,961,039주를 합병대가로 지급하였습니다.
코이뮨은 국내 및 이탈리아 기관투자자로부터 총 45백만 달러(한화 약 510억원) 규모의 자금조달 유치하였습니다. 당사는 2020년도에 7,555백만원을 추가 납입하여 총 누적 투자액은 17,597백만원입니다.
(1) 개발 파이프라인
![]() |
|
코이뮨파이프라인 |
■ 원천기술인 수지상세포를 이용한 면역 항암 백신 세포치료제 개발 사업은 미국에서 전이성 신장암 환자를 대상으로 2b상 임상시험 진입을 위해 2020년 2월 임상시험계획서를 미국 FDA로부터 승인 받았으며, 2020년 4월에 CAR-CIK 치료제 개발 회사인 이탈리아 바이오 기업인 포뮬라를 인수합병으로 면역항암제 파이프라인을 추가하여 높은 수익을 창출할 수 있는 사업모델을 개발 중입니다.
■ 세포치료제 분야는 국내외 전문 인력과 체계적인 생산시스템이 절대적으로 부족한 상황입니다. 진입장벽이 높은 cGMP 생산, 콜드체인 시스템 및 품질관리, 컴퓨터 Validation 및 문서화 작업 등 많은 경험을 이용한 컨설팅 사업 및 cGMP 시스템을 활용한 CDMO(Contract Development & Manufacturing Organization, 의약품 위탁개발생산) 사업 모델로 높은 성장이 예상되는 신규사업을 추진하고 있습니다.
■ 미국 관계회사 코이뮨은 미국의 3대 암 센터인 메모리얼 슬로안 케터링(MemorialSloan Kettering, MSK) 암센터와 코이뮨의 동종CAR-CIK(사이토카인 유도살해 세포) 기술을 이용한 고형암 치료제 개발에 관한 협약을 체결했다.
아. 용어 설명
| [용어 설명표] |
|
용 어 |
설 명 |
|---|---|
|
(개발단계)희귀의약품 지정 |
국내에서 임상시험 단계에 있는 의약품일 경우, (개발단계) 희귀의약품 지정을 위한 다음의 지정기준을 만족해야 함 |
|
조건부 품목허가 |
생명을 위협하거나 중대한 질병 치료제로서, 기존 치료법이 없거나 기존 치료에 비해 의미 있는 장점이 있는 의약품을 대상으로 하며, 식약처는 의약품 중 항암제와 희귀의약품 및 세포치료제를 대상으로 조건부 허가 제도를 운영하고 있음 |
|
조혈모줄기세포 |
(Hematopoietic stem cell) 조혈모줄기세포는 정상인의 혈액 중 약 1%정도에 해당되며 모든 혈액세포를 만들어내는 능력을 가진 원조가 되는 줄기세포를 말함 |
|
콜로니 |
(Colony) 단일 세포에서 분열을 통해 성장한 세포들이 이룬 군체를 말하며, 당사에서 확립하는 줄기세포주는 모두 단일 콜로니로부터 분리하여 배양함 |
|
Amylase |
아밀라아제 녹말(당)을 분해하는 소화효소로 침샘과 췌장에서 생산되어 소화작용을 도와주지만, 췌장 괴사가 동반되는 췌장염 발생 시 혈중으로 유리되는 양이 증가하여 췌장염 임상증상 지표물질로 사용함 |
|
CFU-F |
(Colony Forming Unit-Fibroblast) 줄기세포능을 측정하는 방법으로, 하나의 중간엽줄기세포로부터 증식된 세포들이 콜로니를 이룰 수 있는 능력을 평가하는 시험법. CFU-F 형성능이 높은 세포는 자기복제능이 우수한 중간엽줄기세포 특성을 지니는 세포라는 것을 의미함 |
|
CXCL1 |
(Chemokine (C-X-C motif) ligand 1) 호중성 과립구의 케모카인으로 작용하며 다양한 면역반응을 유도하지만, 당사에서 최초로 발모효능을 입증한 발모단백질 |
|
DMN |
(Dimethylnitrosamine) 대사되어 아세트알데하이드를 형성하고, 핵산 및 단백질을 methylation시키는 물질을 형성하여 간세포 (hepatocyte)의 괴사를 유발하여 간섬유화 및 간경변을 유도함 |
|
ELISA |
(Enzyme-linked immunosorbent assay) 항체나 항원에 효소를 표지하여 효소의 활성을 측정하여 항원-항체 반응의 강도와 그 양을 정량적으로 측정하는 방법 |
|
FBS-CM |
(FBS-conditioned medium) 동물유래 성분인 Fetal Bovine Serum (FBS)를 포함한 배지로 중간엽줄기세포를 배양한 배지 |
|
GCM |
(Density Gradient Centrifugation Method) 농도구배원심분리법으로 중간엽줄기세포를 분리하는 대표적인 분리 기술 |
|
hPL |
(Human platelet lysate) 효과적인 FBS 대체제로 인체 유래 혈소판 용해물 |
|
hPL-CM |
Xeno-free hPL을 포함한 배지로 중간엽줄기세포를 배양한 배지 |
|
ICID |
(International Cosmetic Ingredient Dictionary) 미국화장품협회에서 발행하는 화장품원료사전으로 명명법에 의한 원료명, 상품명, 기능 등이 등재되어 있음 |
|
ICOSL |
(Inducible T Cell Costimulator Ligand) 면역관문 조절 물질로 ICOS와 결합하여 T-세포의 활성과 사이토카인의 분비를 유도 |
|
ICOS |
(Inducible T Cell Costimulator) 면역관문 조절 물질로 ICOSL와 결합하여 T-세포의 활성과 사이토카인의 분비를 유도 |
|
IDO |
(Indoleamine 2,3-dioxygenase) T-세포의 기능과 면역활성을 조절하는 효소 |
|
IFN-γ |
(Interferon-γ) 면역세포에서 생산하는 외부 침입자들에 대응하는 단백질로 자연살해세포와 대식세포 등의 선천면역 세포들을 활성화시키는 역할을 담당 |
|
IgE |
(Immunoglobulin E) 면역글로불린 E는 알레르기 질환의 발생에 관여하는 면역글로불린의 한 종류로, 알레르기 질환을 진단하는 가장 우선적인 방법의 하나로 혈청 내 총 IgE를 측정함 |
|
IL-4 |
(Interleukin-4) 보조 Th2 T-세포로의 분화를 유도하는 인터루킨. IL-4에 의해 활성화된 Th2 세포들은 추가적인 IL-4를 생산함 |
|
IL-6 |
(Interleukin-6) 염증성 사이토카인 및 항 염증성 미오카인 두가지 양성적 기능을 갖는 인터루킨 |
|
IL-1β |
(Interleukin-1β) 염증이 발생한 환경에서 면역세포로부터 많이 분비되는 사이토카인 |
|
IL-10 |
(Interleukin-10) 사이토카인 합성 억제 인자로 항염증성 기능을 갖는 인터루킨 |
|
IL-17 |
(Interleukin-17A) 전 염증성 (pro-inflammatory) 사이토카인으로 IL-23의 자극에 반응하여 보조 Th17 T-세포에서 생성되고 염증과 자가면역 병인에 직접적인 역할을 함 |
|
IND |
(Investigational New Drug Application) 임상시험계획승인신청은 인체를 대상으로 한 안전성·유효성자료 수집을 목적으로 해당 의약품을 사용하여 임상시험을 실시하고자 하는 자가 식품의약품안전처장의 승인을 신청하는 과정을 말합니다. |
|
In vitro |
생명체 내부가 아니라 시험관이나 페트리 디쉬와 같이 제어가 가능한 환경에서 수행되는 실험 과정을 의미함 |
|
In vivo |
살아 있는 세포 안에서 직접 생화학, 생물학 실험 등을 하는 것을 의미함 |
|
Lipase |
리파아제는 췌장에서 생산되어 지방을 분해하는 효소 중 하나로 췌장염과 같이 췌장이 손상되거나 췌장관이 막히는 경우 췌장관으로 리파아제가 배출되지 못해 증가된 리파아제가 혈액 내로 유입되어 혈중농도를 증가시킴. 췌장염 임상증상 지표물질로 사용함 |
|
LPS |
(Lipopolysaccharide) 그람 음성 박테리아의 외막 구성 성분인 당지질로 면역활성을 유도하는 물질 |
|
MLR |
(Mixed Lymphocyte Reaction) 서로 다른 두 공여자의 말초혈액 단핵세포의 혼합 림프구 반응을 말하며 면역활성을 유도하는 시험법 |
|
MPO |
(Myeloperoxidase) 선천면역의 대표 세포인 호중성 과립구 (neutrophil granulocyte)와 같은 백혈구에 많이 발현되어 있는 항균작용 (antimicrobial activity)을 하는 효소 |
|
MSC |
(Mesenchymal Stem Cell) 중간엽줄기세포로 골수, 지방, 탯줄 조직 등으로부터 추출하기 쉬운 성체줄기세포로, 연골, 뼈, 관절을 재생하는 특징이 있고, 손상을 입거나 염증이 생긴 조직으로 이동하여 면역조절기능을 통한 재생과 질환 치료 효능이 규명된 세포 |
|
NGS |
(Next-generation sequencing) DNA 또는 RNA 시료에서 염기쌍의 신속한 서열분석(sequencing)을 가능하게 하는 차세대 염기서열 분석방법으로 유전체를 무수히 많은 조각으로 나눠서 읽은 후, 얻어진 염기서열 조각을 조립하여 전체 유전체의 서열을 분석함 |
|
Ovalbumin/Alum |
아토피피부염 유도를 위해 사용하는 달걀 흰자 유래 알부민(Ovalbumin) 및 알루미늄 하이드록사이드 (Alum, aluminum hydroxide)로 함께 혼화하여 복강주사를 통해 감작시킴 |
|
PBMC |
(Peripheral Blood Mononuclear Cell) 말초혈액 단핵세포를 말하며 전혈로부터 피콜(Ficoll)과 원심분리를 이용해 분리함 |
|
Pre-IND 미팅 |
(Pre-Investigational New Drug, Pre-IND) IND 사전상담 미팅은 IND 신청서를 제출하기 전 의뢰자가 FDA 심의 담당관과 IND에 대해 사전상담할 수 있는 절차임. Pre-IND 미팅은 동물연구 결과에 대한 합의 시 결정적인 역할을 수행하며, 이 과정이 끝나야 사람을 대상으로 하는 임상시험을 개시할 수 있음. 또한 이 미팅을 통해 진행할 임상시험의 레이아웃도 제공할 수 있음. |
|
qPCR |
(Quantitative real time polymerase chain reaction) 각 유전자의 정확한 정량을 위해 형광으로 분석하는 시험법 |
|
SCM |
(Subfractionation Culturing Method) 층분리배양법으로 불리는 당사가 자체 개발한 고순도 중간엽줄기세포 분리 기술 |
|
Splenocyte |
비장세포로 비장에 위치하거나 비장 조직으로부터 분리되는 다양한 면역 기능을 갖는 T 및 B-림프구, 수지상 세포 및 대식세포와 같은 면역세포 집단 |
|
TCA |
(Taurocholic acid, sodium taurocholate) 콜린산과 타우린의 접합체로 지방의 유화에 관여하는 담즙산으로, 3% TCA (1 mL/kg)를 주입하여 급성 췌장염 질환동물모델을 유도시킬 수 있는 물질 |
|
TGF-β1 |
(Transforming growth factor β1) 세포 성장, 세포 증식, 세포 분화 및 세포 사멸을 포함하여 많은 세포 기능을 수행하는 분비 단백질로 염증반응을 제어하는 면역억제 기능을 담당하기도 함 |
|
TNF-α |
(Tumor necrosis factor-α) 활성화된 대식세포, 보조 T-세포, 자연살해세포 등의 다양한 세포에서 분비되는 대표적인 염증성 사이토카인 |
|
TNFR-1 |
(Tumor necrosis factor receptor 1) 강력한 염증매개 단백질 (종양괴사인자) TNF-α 의 수용체로 중간엽줄기세포에서 발현되는 sTNFR-1(soluble TNFR-1)는 TNF-α 와 결합하여 TNF-α 의 기능을 무력화시키는 방식으로 면역억제 효과를 유도함 |
|
Toluidine blue |
톨루이딘 블루는 산성 조직 성분에 대한 친 화성이 높은 염기성 염료로 비만세포 (mast cell) 특이적 염색 시약으로 사용함 |
|
TYMP |
(Thymidine Phosphorylase) 내피세포의 성장으로 혈관을 신생하는 기능을 포함한 다양한 기능을 보유한 성장인자 |
|
Xeno-free |
동물유래 성분이 전혀 포함되지 않는 세포 배양이나 제조 방법을 총칭할 때 쓰는 용어 |
III. 재무에 관한 사항
1. 요약재무정보
아래 요약재무정보는 한국채택국제회계기준(K-IFRS)에 따라 작성하였습니다.
| (단위: 원) |
|
구 분 |
2021년 (제8기) |
2020년 (제7기) |
2019년 (제6기) |
|---|---|---|---|
| Ⅰ.유동자산 | 20,311,708,346 | 36,086,073,000 | 24,834,209,263 |
| Ⅱ.비유동자산 | 33,733,038,770 | 40,205,942,974 | 16,202,708,937 |
| 자산총계 | 54,044,747,116 | 76,292,015,974 | 41,036,918,200 |
| Ⅰ.유동부채 | 8,709,277,610 | 3,259,231,456 | 17,358,603,375 |
| Ⅱ.비유동부채 | 722,921,313 | 9,953,335,206 | 6,827,760,802 |
| 부채총계 | 9,432,198,923 | 13,212,566,662 | 24,186,364,177 |
| Ⅰ.자본금 | 6,010,927,000 | 5,937,307,500 | 4,586,323,000 |
| Ⅱ.자본잉여금 | 161,783,738,375 | 160,143,680,218 | 103,877,264,152 |
| Ⅲ.기타포괄손익누계액 | 913,544,926 | (1,424,559,216) | 331,145,936 |
| Ⅳ.결손금 | (124,095,662,108) | (101,576,979,190) | (91,944,179,065) |
| 자본총계 | 44,612,548,193 | 63,079,449,312 | 16,850,554,023 |
| 부채 및 자본총계 | 54,044,747,116 | 76,292,015,974 | 41,036,918,200 |
| 구 분 | (2021.01.01 ~ 2021.12.31) |
(2020.01.01 ~ 2020.12.31) |
(2019.01.01 ~ 2019.12.31) |
| 매출액 | 439,262,616 | 320,006,088 | 168,499,417 |
| 매출원가 | 91,353,698 | 42,866,246 | 38,037,595 |
| 매출총이익 | 347,908,918 | 277,139,842 | 130,461,822 |
| 판매비와관리비 | 12,503,078,528 | 16,366,121,390 | 12,332,680,249 |
| 영업이익(손실) | (12,155,169,610) | (16,088,981,548) | (12,202,218,427) |
| 영업외이익(손실) | (10,363,513,308) | 6,456,181,423 | (30,351,535,114) |
| 법인세비용차감전순이익(손실) | (22,518,682,918) | (9,632,800,125) | (42,553,753,541) |
| 당기순이익(손실) | (22,518,682,918) | (9,632,800,125) | (42,553,753,541) |
| 기타포괄이익(손실) | 2,338,104,142 | (1,755,705,152) | 331,145,936 |
| 총포괄이익(손실) | (20,180,578,776) | (11,388,505,277) | (42,222,607,605) |
| 기본주당이익(손실) | (1,882) | (908) | (8,083) |
| 희석주당이익(손실) | (1,882) | (908) | (8,083) |
2. 연결재무제표
당사는 보고서 작성기준일 현재 해당사항 없습니다.
3. 연결재무제표 주석
당사는 보고서 작성기준일 현재 해당사항 없습니다.
4. 재무제표
|
재무상태표 |
|
제 8 기 2021.12.31 현재 |
|
제 7 기 2020.12.31 현재 |
|
제 6 기 2019.12.31 현재 |
|
(단위 : 원) |
|
제 8 기 |
제 7 기 |
제 6 기 |
|
|---|---|---|---|
|
자산 |
|||
|
유동자산 |
20,311,708,346 |
36,086,073,000 |
24,834,209,263 |
|
현금및현금성자산 |
2,890,275,427 |
77,474,257 |
4,435,251,701 |
|
단기금융상품 |
16,753,572,123 |
35,219,418,967 |
19,584,196,221 |
|
매출채권 |
16,795,717 |
18,592,060 |
14,390,120 |
|
미수수익 |
59,541,237 |
46,576,398 |
150,770,273 |
|
미수금 |
13,326,890 |
12,601,350 |
3,031,580 |
|
재고자산 |
279,682,604 |
36,019,520 |
309,545,512 |
|
유동성보증금 |
8,294,000 |
47,075,600 |
|
|
선급금 |
31,659,987 |
318,128,832 |
17,240,781 |
|
선급비용 |
38,496,308 |
68,713,312 |
62,494,805 |
|
선급부가세 |
184,500,033 |
243,020,374 |
135,645,090 |
|
당기법인세자산 |
35,564,020 |
45,527,930 |
74,567,580 |
|
비유동자산 |
33,733,038,770 |
40,205,942,974 |
16,202,708,937 |
|
지분법적용 투자지분 |
20,506,445,708 |
28,167,061,261 |
4,438,662,098 |
|
장기투자자산 |
1,147,100,000 |
||
|
유형자산 |
11,117,153,938 |
11,543,502,245 |
11,266,481,932 |
|
무형자산 |
335,324,860 |
359,174,127 |
375,735,343 |
|
보증금 |
627,014,264 |
136,205,341 |
121,829,564 |
|
자산총계 |
54,044,747,116 |
76,292,015,974 |
41,036,918,200 |
|
부채 |
|||
|
유동부채 |
8,709,277,610 |
3,259,231,456 |
17,358,603,375 |
|
미지급금 |
459,998,150 |
796,885,770 |
744,485,946 |
|
미지급비용 |
232,787,654 |
224,607,419 |
178,164,322 |
|
예수금 |
43,083,470 |
54,350,120 |
41,382,540 |
|
선수금 |
1,481,282,073 |
1,485,669,376 |
286,361,146 |
|
유동성계약부채 |
250,952,311 |
246,837,189 |
1,002,105,257 |
|
유동성파생금융부채 |
10,883,543,635 |
||
|
유동성전환상환우선주부채 |
3,546,162,021 |
||
|
유동성장기차입금 |
5,820,000,000 |
120,000,000 |
120,000,000 |
|
유동성리스부채 |
269,684,036 |
330,714,962 |
431,120,382 |
|
유동성충당부채 |
151,489,916 |
166,620 |
125,278,126 |
|
비유동부채 |
722,921,313 |
9,953,335,206 |
6,827,760,802 |
|
장기미지급금 |
204,371,570 |
153,348,761 |
114,955,572 |
|
장기차입금 |
5,820,000,000 |
5,940,000,000 |
|
|
계약부채 |
301,786,896 |
543,348,775 |
|
|
충당부채 |
145,324,523 |
124,738,735 |
|
|
리스부채 |
81,121,899 |
368,640,488 |
648,066,495 |
|
장기미지급비용 |
135,640,948 |
2,922,672,659 |
|
|
부채총계 |
9,432,198,923 |
13,212,566,662 |
24,186,364,177 |
|
자본 |
|||
|
자본금 |
6,010,927,000 |
5,937,307,500 |
4,586,323,000 |
|
자본잉여금 |
161,783,738,375 |
160,143,680,218 |
103,877,264,152 |
|
기타포괄손익누계액 |
913,544,926 |
(1,424,559,216) |
331,145,936 |
|
이익잉여금(결손금) |
(124,095,662,108) |
(101,576,979,190) |
(91,944,179,065) |
|
자본총계 |
44,612,548,193 |
63,079,449,312 |
16,850,554,023 |
|
자본과부채총계 |
54,044,747,116 |
76,292,015,974 |
41,036,918,200 |
|
포괄손익계산서 |
|
제 8 기 2021.01.01 부터 2021.12.31 까지 |
|
제 7 기 2020.01.01 부터 2020.12.31 까지 |
|
제 6 기 2019.01.01 부터 2019.12.31 까지 |
|
(단위 : 원) |
|
제 8 기 |
제 7 기 |
제 6 기 |
|
|---|---|---|---|
|
매출 |
439,262,616 |
320,006,088 |
168,499,417 |
|
매출원가 |
91,353,698 |
42,866,246 |
38,037,595 |
|
매출총이익 |
347,908,918 |
277,139,842 |
130,461,822 |
|
판매비와관리비 |
12,503,078,528 |
16,366,121,390 |
12,332,680,249 |
|
영업이익(손실) |
(12,155,169,610) |
(16,088,981,548) |
(12,202,218,427) |
|
영업외이익(손실) |
(10,363,513,308) |
6,456,181,423 |
(36,619,988,145) |
|
금융수익 |
214,069,042 |
9,243,817,362 |
694,732,306 |
|
금융비용 |
571,735,018 |
11,930,386,515 |
25,038,276,420 |
|
기타수익 |
27,415,058 |
42,953,313 |
42,565,464 |
|
기타비용 |
34,542,695 |
85,964,950 |
116,791,068 |
|
지분법투자관련이익(손실) |
(9,998,719,695) |
9,185,762,213 |
(5,933,765,396) |
|
법인세비용차감전순이익(손실) |
(22,518,682,918) |
(9,632,800,125) |
(42,553,753,541) |
|
법인세비용 |
|||
|
당기순이익(손실) |
(22,518,682,918) |
(9,632,800,125) |
(42,553,753,541) |
|
기타포괄손익 |
2,338,104,142 |
(1,755,705,152) |
331,145,936 |
|
지분법자본변동 |
2,338,104,142 |
(1,755,705,152) |
331,145,936 |
|
총포괄손익 |
(20,180,578,776) |
(11,388,505,277) |
(42,222,607,605) |
|
주당이익 |
|||
|
기본주당이익(손실) (단위 : 원) |
(1,882) |
(908) |
(8,083) |
|
희석주당이익(손실) (단위 : 원) |
(1,882) |
(908) |
(8,083) |
|
자본변동표 |
|
제 8 기 2021.01.01 부터 2021.12.31 까지 |
|
제 7 기 2020.01.01 부터 2020.12.31 까지 |
|
제 6 기 2019.01.01 부터 2019.12.31 까지 |
|
(단위 : 원) |
|
자본 |
|||||
|---|---|---|---|---|---|
|
자본금 |
자본잉여금 |
기타포괄손익누계액 |
이익잉여금(결손금) |
자본 합계 |
|
|
2019.01.01 (기초자본) |
905,104,500 |
3,886,706,597 |
(49,390,425,524) |
(44,598,614,427) |
|
|
당기순이익(손실) |
(42,553,753,541) |
(42,553,753,541) |
|||
|
지분법자본변동 |
331,145,936 |
331,145,936 |
|||
|
유상증자 |
32,630,500 |
1,966,101,162 |
1,998,731,662 |
||
|
무상증자 |
2,293,161,500 |
(2,306,257,460) |
(13,095,960) |
||
|
보통주 전환 |
1,347,201,500 |
98,677,936,864 |
100,025,138,364 |
||
|
주식매수선택권행사 |
8,225,000 |
81,635,000 |
89,860,000 |
||
|
주식보상비용 |
1,571,141,989 |
1,571,141,989 |
|||
|
2019.12.31 (기말자본) |
4,586,323,000 |
103,877,264,152 |
331,145,936 |
(91,944,179,065) |
16,850,554,023 |
|
2020.01.01 (기초자본) |
4,586,323,000 |
103,877,264,152 |
331,145,936 |
(91,944,179,065) |
16,850,554,023 |
|
당기순이익(손실) |
(9,632,800,125) |
(9,632,800,125) |
|||
|
지분법자본변동 |
(1,755,705,152) |
(1,755,705,152) |
|||
|
유상증자 |
927,000,000 |
29,003,790,400 |
29,930,790,400 |
||
|
무상증자 |
|||||
|
보통주 전환 |
357,414,000 |
25,217,620,099 |
25,575,034,099 |
||
|
주식매수선택권행사 |
66,570,500 |
670,731,470 |
737,301,970 |
||
|
주식보상비용 |
1,374,274,097 |
1,374,274,097 |
|||
|
2020.12.31 (기말자본) |
5,937,307,500 |
160,143,680,218 |
(1,424,559,216) |
(101,576,979,190) |
63,079,449,312 |
|
2021.01.01 (기초자본) |
5,937,307,500 |
160,143,680,218 |
(1,424,559,216) |
(101,576,979,190) |
63,079,449,312 |
|
당기순이익(손실) |
(22,518,682,918) |
(22,518,682,918) |
|||
|
지분법자본변동 |
2,338,104,142 |
2,338,104,142 |
|||
|
유상증자 |
|||||
|
무상증자 |
|||||
|
보통주 전환 |
|||||
|
주식매수선택권행사 |
73,619,500 |
826,563,490 |
900,182,990 |
||
|
주식보상비용 |
813,494,667 |
813,494,667 |
|||
|
2021.12.31 (기말자본) |
6,010,927,000 |
161,783,738,375 |
913,544,926 |
(124,095,662,108) |
44,612,548,193 |
|
현금흐름표 |
|
제 8 기 2021.01.01 부터 2021.12.31 까지 |
|
제 7 기 2020.01.01 부터 2020.12.31 까지 |
|
제 6 기 2019.01.01 부터 2019.12.31 까지 |
|
(단위 : 원) |
|
제 8 기 |
제 7 기 |
제 6 기 |
|
|---|---|---|---|
|
영업활동현금흐름 |
(13,403,615,088) |
(10,890,027,960) |
(8,422,167,362) |
|
당기순이익(손실) |
(22,518,682,918) |
(9,632,800,125) |
(42,553,753,541) |
|
현금유출입이없는수익비용의조정 |
9,513,121,198 |
(1,005,499,994) |
33,010,968,797 |
|
감가상각비 |
1,055,653,076 |
1,157,437,580 |
1,096,638,988 |
|
무형자산상각비 |
79,967,519 |
73,977,883 |
66,271,190 |
|
금융수익 |
(214,069,042) |
(9,243,817,362) |
(694,732,306) |
|
금융비용 |
571,735,018 |
11,930,386,515 |
25,038,276,420 |
|
외화환산이익 |
(399,254) |
||
|
외화환산손실 |
6,374 |
||
|
주식기준보상비용 |
(1,973,537,044) |
4,296,946,756 |
1,571,141,989 |
|
리스해지이익 |
(6,889,169) |
(35,064,605) |
|
|
잡이익 |
(431,005) |
(980,029) |
|
|
잡손실 |
1,238,176 |
||
|
유형자산폐기손실 |
481,138 |
1,375,481 |
|
|
리스해지손실 |
252,836 |
||
|
지분법적용투자주식처분이익 |
(527,178,637) |
(15,229,150,557) |
|
|
지분법손실 |
10,525,898,332 |
6,043,388,344 |
5,933,765,396 |
|
영업활동으로인한자산ㆍ부채의변동 |
(420,435,576) |
(339,768,349) |
841,762,766 |
|
외상매출의 감소(증가) |
1,796,343 |
(4,201,940) |
(14,390,120) |
|
미수금의 감소(증가) |
(725,540) |
(9,569,770) |
127,000,260 |
|
선급금의 감소(증가) |
286,468,845 |
(300,888,051) |
23,422,925 |
|
선급비용의 감소(증가) |
30,217,004 |
(6,218,507) |
(34,737,465) |
|
선급세금의 감소(증가) |
58,520,341 |
(107,375,284) |
(135,645,090) |
|
재고자산의 감소(증가) |
(243,663,084) |
273,525,992 |
(254,836,957) |
|
미지급금의 증가(감소) |
(337,257,620) |
74,421,853 |
(1,013,842) |
|
예수금의 증가(감소) |
(11,266,650) |
12,967,580 |
10,812,461 |
|
선수금의 증가(감소) |
(4,387,303) |
160,361,146 |
|
|
미지급비용의 증가(감소) |
(13,768,964) |
30,515,655 |
76,231,309 |
|
환불부채의 증가(감소) |
4,115,122 |
3,170,052 |
|
|
계약부채의 증가(감소) |
(241,561,879) |
(215,089,345) |
965,863,157 |
|
장기미지급금의 증가(감소) |
51,022,809 |
(81,530,018) |
|
|
충당부채의 증가(감소) |
55,000 |
(91,026,584) |
225,000 |
|
이자수취(영업) |
146,588,201 |
230,524,939 |
484,336,413 |
|
이자지급(영업) |
(169,733,963) |
(217,052,041) |
(143,299,757) |
|
법인세납부(환급) |
45,527,970 |
74,567,610 |
(62,182,040) |
|
투자활동현금흐름 |
15,791,128,680 |
(23,656,591,910) |
(10,269,610,632) |
|
단기금융상품의 처분 |
44,103,692,451 |
18,192,386,531 |
9,049,281,406 |
|
단기금융상품관련 선수금 수령 |
1,199,308,230 |
||
|
보증금의 회수 |
20,000,000 |
39,124,800 |
9,802,300 |
|
단기금융상품의 취득 |
(26,000,000,000) |
(34,044,074,059) |
|
|
장기투자자산의 취득 |
(1,147,100,000) |
||
|
공동기업투자주식의취득 |
(7,555,495,980) |
(10,041,281,558) |
|
|
유형자산의 취득 |
(675,999,771) |
(1,479,591,432) |
(9,273,397,780) |
|
무형자산의 취득 |
(7,900,000) |
(5,000,000) |
|
|
보증금의 증가 |
(509,464,000) |
(350,000) |
(9,015,000) |
|
재무활동현금흐름 |
425,287,578 |
30,188,842,426 |
11,718,232,536 |
|
장기차입금의 증가 |
6,100,000,000 |
||
|
전환상환우선주의 발행 |
3,997,524,578 |
||
|
유상증자 |
31,518,000,000 |
1,998,731,662 |
|
|
주식선택권행사 |
907,698,850 |
745,250,850 |
89,860,000 |
|
정부보조금의 수령 |
38,393,189 |
||
|
리스부채의 지급 |
(354,895,412) |
(392,043,053) |
(414,061,264) |
|
유동성장기차입금의 상환 |
(120,000,000) |
(120,000,000) |
(40,000,000) |
|
신주발행비 지급 |
(7,515,860) |
(1,600,758,560) |
(13,822,440) |
|
현금및현금성자산의순증가(감소) |
2,812,801,170 |
(4,357,777,444) |
(6,973,545,458) |
|
기초현금및현금성자산 |
77,474,257 |
4,435,251,701 |
11,408,797,159 |
|
기말현금및현금성자산 |
2,890,275,427 |
77,474,257 |
4,435,251,701 |
5. 재무제표 주석
| 제 8 기 2021년 12월 31일 현재 |
| 제 7 기 2020년 12월 31일 현재 |
| 에스씨엠생명과학 주식회사 |
1. 일반 사항
에스씨엠생명과학 주식회사(이하 '당사')는 2014년 7월 2일에 설립되었으며, 층분리배양법 기술을 이용한 난치성 질환 줄기세포치료제의 개발 및 공급을 목적으로 하고 있습니다. 당사는 인천광역시 연수구에 본사를 두고 있으며, 2020년 6월 17일자로 코스닥시장에 상장하였습니다.
당사는 수차례의 유상증자 및 무상증자를 통하여 당기말 현재 당사의 자본금은 6,011백만원이며, 최대주주(송순욱) 및 특수관계자의 지분율은 23.05%입니다.
2. 재무제표의 작성기준
(1) 재무제표의 작성기준
회사의 재무제표는 한국채택국제회계기준(이하 기업회계기준)에 따라 작성됐습니다.한국채택국제회계기준은 국제회계기준위원회("IASB")가 발표한 기준서와 해석서 중대한민국이 채택한 내용을 의미합니다.
(2) 측정기준
재무제표는 아래에서 열거하고 있는 재무상태표의 주요 항목을 제외하고는 역사적원가를 기준으로 작성되었습니다.
- 당기손익-공정가치로 측정되는 파생상품
- 당기손익-공정가치로 측정되는 금융상품
(3) 기능통화와 표시통화
당사는 재무제표에 포함되는 항목들을 영업활동이 이루어지는 주된 경제환경에서의 통화("기능통화")를 적용하여 측정하고 있습니다. 당사의 기능통화는 대한민국 원화이며, 재무제표는 대한민국 원화로 표시되어 있습니다.
(4) 추정과 판단
한국채택국제회계기준에서는 재무제표를 작성함에 있어서 회계정책의 적용이나, 보고기간말 현재 자산, 부채 및 수익, 비용의 보고금액에 영향을 미치는 사항에 대하여 경영진의 최선의 판단을 기준으로 한 추정치와 가정의 사용을 요구하고 있습니다. 보고기간말 현재 경영진의 최선의 판단을 기준으로 한 추정치와 가정이 실제 환경과 다를 경우 이러한 추정치와 실제 결과는 다를 수 있습니다.
2021년도 중 COVID-19의 확산은 국내외 경제에 중대한 영향을 미치고 있습니다. 이는 생산성 저하와 매출의 감소나 지연, 기존 채권의 회수 등에 부정적인 영향을 미칠 수 있으며 이로 인해 회사의 재무상태와 재무성과에도 부정적인 영향이 발생할 수있습니다.
재무제표 작성시 사용된 중요한 회계추정 및 가정은 COVID-19에 따른 불확실성의 변동에 따라 조정될 수 있으며, COVID-19로 인하여 회사의 사업, 재무상태 및 경영성과 등에 미칠 궁극적인 영향은 현재 예측할 수 없습니다.
① 경영진의 판단
재무제표에 인식된 금액에 유의한 영향을 미치는 회계정책의 적용과 관련된 주요한 경영진의 판단에 대한 정보는 다음의 주석에 포함되어 있습니다.
- 주석 9: 리스 - 연장선택권의 행사가능성이 상당히 확실한지 여부
② 가정과 추정의 불확실성
다음 보고기간 이내에 중요한 조정이 발생할 수 있는 유의한 위험이 있는 가정과 추정의 불확실성에 대한 정보는 다음의 주석에 포함되어 있습니다.
- 주석 18: 주식기준보상
- 주석 28: 재무위험관리 - 유의적인 관측불가능한 투입변수
③ 공정가치 측정
당사의 회계정책과 공시사항은 다수의 금융 및 비금융자산과 부채에 대해 공정가치 측정이 요구되고 있습니다. 당사는 공정가치평가 정책과 절차를 수립하고 있습니다. 동 정책과 절차에는 공정가치 서열체계에서 수준 3으로 분류되는 공정가치를 포함한모든 유의적인 공정가치 측정의 검토를 책임지는 평가부서의 운영을 포함하고 있으며, 그 결과는 재무담당임원에게 직접 보고되고 있습니다.
평가부서는 정기적으로 관측가능하지 않은 유의적인 투입변수와 평가 조정을 검토하고 있습니다. 공정가치측정에서 중개인 가격이나 평가기관과 같은 제3자 정보를 사용하는 경우, 평가부서에서 제3자로부터 입수한 정보에 근거한 평가가 공정가치 서열체계 내 수준별 분류를 포함하고 있으며 해당 기준서의 요구사항을 충족한다고 결론을 내릴 수 있는지 여부를 판단하고 있습니다.
당사는 유의적인 평가 문제를 이사회에 보고하고 있습니다.
자산이나 부채의 공정가치를 측정하는 경우, 당사는 최대한 시장에서 관측가능한 투입변수를 사용하고 있습니다. 공정가치는 다음과 같이 가치평가기법에 사용된 투입변수에 기초하여 공정가치 서열체계 내에서 분류됩니다.
ㆍ수준 1: 측정일에 동일한 자산이나 부채에 대한 접근 가능한 활성시장의 조정되지 않은 공시가격
ㆍ수준 2: 수준 1의 공시가격 이외에 자산이나 부채에 대해 직접적으로 또는 간접적으로 관측가능한 투입변수
ㆍ수준 3: 자산이나 부채에 대한 관측가능하지 않은 투입변수
자산이나 부채의 공정가치를 측정하기 위해 사용되는 여러 투입변수가 공정가치 서열체계 내에서 다른 수준으로 분류되는 경우, 당사는 측정치 전체에 유의적인 공정가치 서열체계에서 가장 낮은 수준의 투입변수와 동일한 수준으로 공정가치 측정치 전체를 분류하고 있으며, 변동이 발생한 보고기간 말에 공정가치 서열체계의 수준간 이동을 인식하고 있습니다.
공정가치 측정 시 사용된 가정의 자세한 정보는 아래 주석에 포함되어 있습니다.
ㆍ주석 18: 주식기준보상
3. 회계정책 변경
당사가 한국채택국제회계기준에 따른 재무제표 작성에 적용한 유의적인 회계정책은 아래 기술되어 있으며, 주석 3-1에서 설명하고 있는 회계정책의 변경을 제외하고 당기 및 비교표시된 전기의 재무제표는 동일한 회계정책을 적용하여 작성되었습니다.
회사는 2021년 1월 1일로 개시하는 회계기간부터 다음의 제 · 개정 기준서 및 해석서를 신규로 적용하였습니다.
3.1 회사가 채택한 제ㆍ개정기준서및해석서
(1) 기업회계기준서 제 1116호 '리스' 개정 - 코로나19 관련 임차료 할인 등에 대한 실무적 간편법
실무적 간편법으로, 리스이용자는 코로나19의 직접적인 결과로 발생한 임차료 할인 등이 리스변경에 해당하는지 평가하지 않을 수 있습니다. 이러한 선택을 한 리스이용자는 임차료 할인 등으로 인한 리스료 변동을 그러한 변동이 리스변경이 아닐 경우에이 기준서가 규정하는 방식과 일관되게 회계처리하여야 합니다. 해당 기준서의 개정이 재무제표에 미치는 중요한 영향은 없습니다.
(2) 기업회계기준서 제1109호 '금융상품', 제1039호 '금융상품: 인식과 측정', 제1107호 '금융상품: 공시', 제 1104호 ‘보험계약’ 및 제 1116호 ‘리스’ 개정 - 이자율지표 개혁(2단계 개정)
이자율지표개혁과 관련하여 상각후원가로 측정되는 금융상품의 이자율지표대체시 장부금액이 아닌 유효이자율을 조정하고, 위험회피관계에서 이자율지표대체가 발생한 경우에도 중단없이 위험회피회계를 계속할 수 있도록 하는 등의 예외규정을 포함하고 있습니다. 해당 기준서의 개정이 재무제표에 미치는 중요한 영향은 없습니다.
3.2 회사가 적용하지 않은 제ㆍ개정 기준서 및 해석서
제정 또는 공표되었으나 시행일이 도래하지 않아 적용하지 아니한 제ㆍ개정 기준서 및 해석서는 다음과 같습니다.
(1) 기업회계기준서 제1103호 '사업결합’ 개정 - 개념체계의 인용
인식할 자산과 부채의 정의를 개정된 재무보고를 위한 개념체계를 참조하도록 개정되었으나, 기업회계기준서 제1037호 ‘충당부채, 우발부채 및 우발자산’ 및 해석서제2121호 ‘부담금’의 적용범위에 포함되는 부채 및 우발부채에 대해서는 해당 기준서를 적용하도록 예외를 추가하고, 우발자산이 취득일에 인식되지 않는다는 점을 명확히 하였습니다. 동 개정사항은 2022년 1월 1일 이후 시작하는 회계연도부터 적용되며, 조기적용이 허용됩니다. 회사는 동 개정으로 인해 재무제표에 중요한 영향은 없을 것으로 예상하고 있습니다.
(2) 기업회계기준서 제1016호 '유형자산’ 개정 - 의도한 사용 전의 매각금액
기업이 자산을 의도한 방식으로 사용하기 전에 생산된 품목의 판매에서 발생하는 수익을 생산원가와 함께 당기손익으로 인식하도록 요구하며, 유형자산의 취득원가에서차감하는 것을 금지하고 있습니다. 동 개정사항은 2022년 1월 1일 이후 시작하는 회계연도부터 적용되며, 조기적용이 허용됩니다. 회사는 동 개정으로 인한 재무제표의 영향을 검토 중에 있습니다.
(3) 기업회계기준서 제1037호 '충당부채, 우발부채 및 우발자산’ 개정 - 손실부담계약: 계약이행원가
손실부담계약을 식별할 때 계약이행원가의 범위를 계약 이행을 위한 증분원가와 계약 이행에 직접 관련되는 다른 원가의 배분이라는 점을 명확히 하였습니다. 동 개정사항은 2022년 1월 1일 이후 시작하는 회계연도부터 적용되며, 조기적용이 허용됩니다. 회사는 동 개정으로 인해 재무제표에 중요한 영향은 없을 것으로 예상하고 있습니다.
(4) 한국채택국제회계기준 연차개선 2018-2020
한국채택국제회계기준 연차개선 2018-2020은 2022년 1월 1일 이후 시작하는 회계연도부터 적용되며, 조기적용이 허용됩니다. 회사는 동 개정으로 인해 재무제표에 중요한 영향은 없을 것으로 예상하고 있습니다.
·기업회계기준서 제1101호 '한국채택국제회계기준의 최초 채택’: 최초채택기업인 종속기업
·기업회계기준서 제1109호 '금융상품’: 금융부채 제거 목적의 10% 테스트 관련 수수료
·기업회계기준서 제1116호 '리스’: 리스 인센티브
·기업회계기준서 제1041호 '농립어업’: 공정가치 측정
(5) 기업회계기준서 제1001호 '재무제표 표시’ 개정 - 부채의 유동/비유동 분류
보고기간말 현재 존재하는 실질적인 권리에 따라 유동 또는 비유동으로 분류되며, 부채의 결제를 연기할 수 있는 권리의 행사가능성이나 경영진의 기대는 고려하지 않습니다. 또한, 부채의 결제에 자기지분상품의 이전도 포함되나, 복합금융상품에서 자기지분상품으로 결제하는 옵션이 지분상품의 정의를 충족하여 부채와 분리하여 인식된경우는 제외됩니다. 동 개정사항은 2023년 1월 1일 이후 시작하는 회계연도부터 적용하며, 조기적용이 허용됩니다. 회사는 동 개정으로 인한 재무제표의 영향을 검토 중에 있습니다.
(6) 기업회계기준서 제1116호 '리스' 개정 - 2021년 6월 30일 후에도 제공되는 코로나19 관련 임차료 할인 등
코로나19의 직접적인 결과로 발생한 임차료 할인 등이 리스변경에 해당하는지 평가하지 않을 수 있도록 하는 실무적 간편법의 적용대상이 2022년 6월 30일 이전에 지급하여야 할 리스료에 영향을 미치는 리스료 감면으로 확대되었습니다. 동 개정사항은 2021년 4월 1일 이후 시작하는 회계연도부터 적용되며, 조기적용이 가능합니다. 회사는 동 개정으로 인해 재무제표에 중요한 영향은 없을 것으로 예상하고 있습니다
4. 유의적인 회계정책
(1) 현금 및 현금성자산
당사는 취득일로부터 만기일이 3개월 이내인 투자자산을 현금 및 현금성자산으로 분류하고 있습니다. 지분상품은 현금성자산에서 제외되나, 상환일이 정해져 있고 취득일로부터 상환일까지의 기간이 단기인 우선주와 같이 실질적으로 현금성자산인 경우에는 현금성자산에 포함됩니다.
(2) 재고자산
재고자산의 단위원가는 선입선출법으로 결정되며, 취득원가는 매입원가, 전환원가 및 재고자산을 이용가능한 상태로 준비하는데 필요한 기타 원가가 포함되어 있습니다. 재고자산은 취득원가와 순실현가능가치 중 낮은 금액으로 측정됩니다. 재고자산을 순실현가능가치로 감액한 평가손실과 모든 감모손실은 감액이나 감모가 발생한 기간에 비용으로 인식되며, 재고자산의 순실현가능가치의 상승으로 인한 재고자산평가손실의 환입은 환입이 발생한 기간의 비용으로 인식된 재고자산의 매출원가에서 차감됩니다.
(3) 비파생금융자산
① 인식 및 최초 측정
매출채권은 발행되는 시점에 최초로 인식됩니다. 다른 금융상품과 금융부채는 당사가 금융상품의 계약당사자가 되는 때에만 인식됩니다.
유의적인 금융요소를 포함하지 않는 매출채권을 제외하고는, 최초 인식시점에 금융자산이나 금융부채를 공정가치로 측정하며, 당기손익-공정가치 측정 금융자산 또는 당기손익-공정가치 측정 금융부채가 아닌 경우에 해당 금융자산의 취득이나 해당 금융부채의 발행과 직접 관련되는 거래원가는 공정가치에 가감합니다. 유의적인 금융요소를 포함하지 않는 매출채권은 최초에 거래가격으로 측정합니다.
② 분류 및 후속 측정
최초 인식시점에 금융자산은 상각후원가, 기타포괄손익-공정가치 측정 채무상품, 기타포괄손익-공정가치 측정 지분상품 또는 당기손익-공정가치로 측정되도록 분류됩니다. 금융자산은 당사가 금융자산을 관리하는 사업모형을 변경하지 않는 한 최초 인식 후에 재분류되지 않으며, 이 경우 영향 받는 모든 금융자산은 사업모형의 변경 이후 첫 번째 보고기간의 첫 번째 날에 재분류됩니다.
당사는 금융자산이 다음 두가지 조건을 모두 만족하고, 당기손익-공정가치 측정항목으로 지정되지 않은 경우에 상각후원가로 측정합니다.
- 계약상 현금흐름을 수취하기 위해 보유하는 것이 목적인 사업모형 하에서 보유합니다.
- 금융자산의 계약 조건에 따라 특정일에 원금과 원금잔액에 대한 이자지급만으로 구성되어 있는 현금흐름이 발생합니다.
당사는 채무상품이 다음 두 가지 조건을 충족하고 당기손익-공정가치 측정항목으로 지정되지 않은 경우에 기타포괄손익-공정가치로 측정합니다.
- 계약상 현금흐름의 수취와 금융자산의 매도 둘 다를 통해 목적을 이루는 사업모형 하에서 금융자산을 보유합니다.
- 금융자산의 계약 조건에 따라 특정일에 원리금 지급만으로 구성되어 있는 현금흐름이 발생합니다.
단기매매를 위해 보유하는 것이 아닌 지분상품의 최초 인식 시에 당사는 투자자산의 공정가치의 후속적인 변동을 기타포괄손익으로 표시하도록 선택할 수 있습니다. 다만 한번 선택하면 이를 취소할 수 없습니다. 이러한 선택은 투자 자산별로 이루어집니다.
상기에서 설명된 상각후원가나 기타포괄손익-공정가치로 측정되지 않는 모든 금융자산은 당기손익-공정가치로 측정됩니다. 이러한 금융자산은 모든 파생금융자산을 포함합니다. 최초 인식시점에 당사는 상각후원가나 기타포괄손익-당기손익으로 측정되는 금융자산을 당기손익-공정가치 측정항목으로 지정한다면 회계불일치를 제거하거나 유의적으로 줄이는 경우에는 해당 금융자산을 당기손익-공정가치 측정 항목으로 지정할 수 있습니다. 다만 한번 지정하면 이를 취소할 수 없습니다.
당사는 사업이 관리되는 방식과 경영진에게 정보가 제공되는 방식을 가장 잘 반영하기 때문에 금융자산의 포트폴리오 수준에서 보유되는 사업모형의 목적을 평가합니 다. 그러한 정보는 다음을 고려합니다.
- 포트폴리오에 대해 명시된 회계정책과 목적 및 실제 이러한 정책의 운영
- 사업모형에서 보유하는 금융자산의 성과를 평가하고, 그 평가내용을 주요 경영진에게 보고하는 방식
- 사업모형(그리고 사업모형에서 보유하는 금융자산)의 성과에 영향을 미치는 위험과 그 위험을 관리하는 방식
- 경영진에 대한 보상방식(예: 관리하는 자산의 공정가치에 기초하여 보상하는지 아니면 수취하는 계약상 현금흐름에 기초하여 보상하는지)
- 과거기간 금융자산의 매도의 빈도, 금액, 시기, 이유, 미래의 매도활동에 대한 예상
이러한 목적을 위해 제거요건을 충족하지 않는 거래에서 제 3자에게 금융자산을 이전하는 거래는 매도로 간주되지 않습니다.
단기매매의 정의를 충족하거나 포트폴리오의 성과가 공정가치 기준으로 평가되는 금융자산 포트폴리오는 당기손익-공정가치로 측정됩니다.
원금은 금융자산의 최초 인식시점의 공정가치로 정의됩니다. 이자는 화폐의 시간가치에 대한 대가, 특정기간에 원금 잔액과 관련된 신용위험에 대한 대가, 그밖에 기본적인 대여위험과 원가에 대한 대가(예: 유동성위험과 운영 원가)뿐만 아니라 이윤으로 구성됩니다.
계약상 현금흐름이 원금과 이자에 대한 지급만으로 이루어져 있는지를 평가할 때, 당사는 해당 상품의 계약조건을 고려합니다. 금융자산이 계약상 현금흐름의 시기나 금액을 변경시키는 계약조건을 포함하고 있다면, 그 계약 조건 때문에 해당 금융상품의존속기간에 걸쳐 생길 수 있는 계약상 현금흐름이 원리금 지급만으로 구성되는지를 판단해야 합니다.
이를 평가할 때 당사는 다음을 고려합니다.
- 현금흐름의 금액이나 시기를 변경시키는 조건부 상황
- 변동 이자율 특성을 포함하여 계약상 액면 이자율을 조정하는 조항
- 중도상환특성과 만기연장특성
- 특정 자산으로부터 발생하는 현금흐름에 대한 당사의 청구권을 제한하는 계약조건
중도상환금액이 실질적으로 미상환된 원금과 잔여원금에 대한 이자를 나타내고, 계약의 조기청산에 대한 합리적인 추가 보상을 포함하고 있다면, 조기상환특성은 특정일에 원금과 이자를 지급하는 조건과 일치합니다.
또한, 계약상 액면금액을 유의적으로 할인하거나 할증하여 취득한 금융자산에 대해서, 중도상환금액이 실질적으로 계약상 액면금액과 계약상 이자 발생액(그러나 미지급된)을 나타내며(이 경우 계약의 조기 청산에 대한 합리적인 추가 보상이 포함될 수 있는), 중도상환특성이 금융자산의 최초 인식시점에 해당 특성의 공정가치가 경미한경우에는 이러한 조건을 충족한다고 판단합니다.
다음 회계정책은 금융자산의 후속측정에 적용됩니다.
|
당기손익-공정가치 측정 금융자산 |
이러한 자산은 후속적으로 공정가치로 측정됩니다. 이자와 배당수익을 포함한 순손익은 당기손익으로 인식됩니다. |
|
상각후원가 측정 금융자산 |
이러한 자산은 후속적으로 유효이자율법을 사용하여 상각후원가로 측정됩니다. 상각후원가는 손상손실에 의해 감소됩니다. 이자수익, 외화환산손익 및 손상은 당기손익으로 인식됩니다. 제거에 따르는 손익도 당기손익으로 인식됩니다. |
|
기타포괄손익-공정가치 측정 채무상품 |
이러한 자산은 후속적으로 공정가치로 측정됩니다. 유효이자율법을 사용하여 계산된 이자수익, 외화환산손익과 손상은 당기손익으로 인식되며, 다른 순손익은 기타포괄손익으로 인식됩니다. 제거시에 기타포괄손익에 누적된손익은 당기손익으로 재분류됩니다. |
|
기타포괄손익-공정가치 측정 지분상품 |
이러한 자산은 후속적으로 공정가치로 측정됩니다. 배당은 배당금이 명확하게 투자원가의 회수를 나타내지 않는다면 당기손익으로 인식됩니다. 다른 순손익은 기타포괄손익으로 인식하고 절대로 당기손익으로 재분류되지 않습니다. |
③ 제거
당사는 금융자산의 현금흐름에 대한 계약상 권리가 소멸한 경우, 금융자산의 현금흐름을 수취할 계약상 권리를 양도하고 이전된 금융자산의 소유에 따른 위험과 보상의 대부분을 실질적으로 이전한 경우, 또는 당사가 소유에 따른 위험과 보상의 대부분을보유 또는 이전하지 아니하고 금융자산을 통제하고 있지 않은 경우에 금융자산을 제거합니다.
당사가 재무상태표에 인식된 자산을 이전하는 거래를 하였지만, 이전되는 자산의 소유에 따른 대부분의 위험과 보상을 보유하고 있는 경우에는 이전된 자산을 제거하지 않습니다.
④ 상계
당사는 당사가 인식한 자산과 부채에 대해 법적으로 집행가능한 상계권리를 현재 갖고 있고, 차액으로 결제하거나, 자산을 실현하는 동시에 부채를 결제할 의도가 있는 경우에만 금융자산과 금융부채를 상계하고 재무상태표에 순액으로 표시합니다.
(4) 파생금융상품
내재파생상품은 주계약이 금융자산이 아니고 특정 요건을 충족하는 경우에 별도로 회계처리하고 주계약으로부터 분리합니다. 파생상품은 최초 인식 시에 공정가치로 측정됩니다. 최초 인식 이후에 공정가치로 측정하고 그 변동은 일반적으로 손익으로 인식됩니다.
(5) 금융자산의 손상
① 금융자산 손상의 인식
당사는 다음 자산의 기대신용손실에 대해 손실충당금을 인식합니다.
- 상각후원가로 측정하는 금융자산
당사는 12개월 기대신용손실로 측정되는 다음의 금융자산을 제외하고는 전체기간 기대신용손실에 해당하는 금액으로 손실충당금을 측정합니다.
- 보고기간말에 신용위험이 낮다고 결정된 채무증권
- 최초 인식 이후 신용위험(즉, 금융자산의 기대존속기간동안에 걸쳐 발생할 채무불이행 위험)이 유의적으로 증가하지 않은 기타채무증권과 은행예금
매출채권과 계약자산에 대한 손실충당금은 항상 전체기간 기대신용손실에 해당하는금액으로 측정됩니다.
금융자산의 신용위험이 최초 인식 이후 유의적으로 증가했는지를 판단할 때와 기대신용손실을 추정할 때, 당사는 과도한 원가나 노력 없이 이용할 수 있고 합리적이고 뒷받침될 수 있는 정보를 고려합니다. 여기에는 미래지향적인 정보를 포함하여 당사의 과거 경험과 알려진 신용평가에 근거한 질적, 양적인 정보 및 분석이 포함됩니다.
전체기간 기대신용손실은 금융상품의 기대존속기간에 발생할 수 있는 모든 채무불이행 사건에 따른 기대신용손실입니다.
12개월 기대신용손실은 보고기간 말 이후 12개월 이내(또는 금융상품의 기대 존속기간이 12개월 보다 적은 경우 더 짧은 기간)에 발생 가능한 금융상품의 채무불이행 사건으로 인한 기대신용손실을 나타내는 전체기간 기대신용손실의 일부입니다.
기대신용손실을 측정할 때 고려하는 가장 긴 기간은 당사가 신용위험에 노출되는 최장 계약기간입니다.
② 기대신용손실의 측정
기대신용손실은 신용손실의 확률가중추정치입니다. 신용손실은 모든 현금부족액(즉,계약에 따라 지급받기로 한 모든 계약상 현금흐름과 수취할 것으로 예상하는 모든 계약상 현금흐름의 차이)의 현재가치로 측정됩니다. 기대신용 손실은 해당 금융자산의 유효이자율로 할인됩니다.
③ 신용이 손상된 금융자산
매 보고기간말에, 당사는 상각후원가로 측정되는 금융자산과 기타포괄손익-공정가치로 측정되는 채무증권의 신용이 손상되었는지 평가합니다. 금융자산의 추정미래현금흐름에 악영향을 미치는 하나 이상의 사건이 발생한 경우에 해당 금융자산은 신용이 손상된 것입니다.
금융자산의 신용이 손상된 증거는 다음과 같은 관측 가능한 정보를 포함합니다.
- 발행자나 차입자의 유의적인 재무적 어려움
- 채무불이행과 같은 계약 위반
- 차입자의 재무적 어려움에 관련된 경제적이나 계약상 이유로 당초 차입 조건의 불가피한 완화
- 차입자의 파산가능성이 높아지거나 그 밖의 재무구조조정 가능성이 높아짐
- 재무적 어려움으로 인해 해당 금융자산에 대한 활성시장 소멸
④ 재무상태표 상 신용손실충당금의 표시
상각후원가로 측정하는 금융자산에 대한 손실충당금은 해당 자산의 장부금액에서 차감합니다. 기타포괄손익-공정가치로 측정하는 채무상품에 대해서는 손실충당금은 당기손익에 포함되고 기타포괄손익에 인식됩니다.
⑤ 제각
당사는 금융자산의 계약상 현금흐름 전체 또는 일부의 회수에 대한 합리적인 기대가 없는 경우 해당 자산을 제거합니다. 개인고객에 대해 당사는 유사자산의 회수에 대한과거 경험에 근거하여 기업고객에 대해서는 회수에 대한 합리적인 기대가 있는지를 평가하여 제각의 시기와 금액을 개별적으로 평가합니다. 당사는 제각한 금액이 유의적으로 회수할 것이라는 기대를 갖고 있지 않습니다. 그러나 제각된 금융자산은 당사의 만기가 된 금액의 회수 절차에 따라 회수활동의 대상이 될 수 있습니다.
(6) 지분법적용기업투자
지분법적용기업투자주식에는 관계기업과 공동기업이 포함됩니다. 관계기업은 회사가 유의적 영향력을 보유하는 기업이며, 관계기업 투자는 최초에 취득원가로 인식하며 이후 지분법을 적용합니다. 회사와 관계기업 간의 거래에서 발생한 미실현이익은 회사의 관계기업에 대한 지분에 해당하는 부분만큼 제거됩니다. 관계기업의 손실 중 회사의 지분이 관계기업에 대한 투자지분(순투자의 일부를 구성하는 장기투자지분 포함)과 같거나 초과하는 경우에는 지분법 적용을 중지합니다. 단, 회사의 지분이 영(0)으로 감소된 이후 추가 손실분에 대하여 회사에 법적-의제의무가 있거나, 관계기업을 대신하여 지급하여야 하는 경우, 그 금액까지만 손실과 부채로 인식합니다. 또한 관계기업 투자에 대한 객관적인 손상의 징후가 있는 경우 관계기업 투자의 회수가능액과 장부금액과의 차이는 손상차손으로 인식됩니다. 회사는 지분법을 적용하기 위하여 관계기업의 재무제표를 이용할 때, 유사한 상황에서 발생한 동일한 거래나 사건에 대하여 회사가 적용하는 회계정책과 동일한 회계정책이 적용되었는지 검토하여필요한 경우 관계기업의 재무제표를 조정합니다.
(7) 유형자산
유형자산은 최초에 원가로 측정하여 인식됩니다. 유형자산의 원가에는 경영진이 의도하는 방식으로 자산을 가동하는데 필요한 장소와 상태에 이르게 하는데 직접 관련되는 원가 및 자산을 해체, 제거하거나 부지를 복구하는데 소요될 것으로 추정되는 원가가 포함됩니다.
유형자산은 최초 인식후에는 원가에서 감가상각누계액과 손상차손누계액을 차감한 금액을 장부금액으로 인식됩니다.
유형자산의 일부를 대체할 때 발생하는 원가는 해당 자산으로부터 발생하는 미래 경제적 효익이 당사에 유입될 가능성이 높으며 그 원가를 신뢰성 있게 측정할 수 있는 경우에 자산의 장부금액에 포함하거나 적절한 경우 별도의 자산으로 인식됩니다. 이 때 대체된 부분의 장부금액은 제거됩니다. 그 외의 일상적인 수선ㆍ유지와 관련하여 발생하는 원가는 발생시점에 당기손익으로 인식됩니다.
당사는 유형자산 중 토지에 대하여는 감가상각을 하지 않으며, 그 외 유형자산은 자산의 취득원가에서 잔존가치를 차감한 금액에 대하여 아래에 제시된 경제적 내용연수에 걸쳐 해당 자산에 내재되어 있는 미래 경제적 효익의 예상 소비 형태를 가장 잘 반영한 정액법으로 상각하고 있습니다.
유형자산의 제거로 인하여 발생하는 손익은 순매각금액과 장부금액의 차이로 결정되고 기타영업외손익으로 인식됩니다.
당기와 전기의 추정 내용연수는 다음과 같습니다.
| 과 목 | 추정내용연수 |
|---|---|
| 건물 | 30년 |
| 기계장치 | 5년 |
| 공구와기구 | 5년 |
| 비품 | 5년 |
| 시설장치 | 5년 |
당사는 매 보고기간말에 자산의 잔존가치와 내용연수 및 감가상각방법을 재검토하고재검토 결과 이를 변경하는 것이 적절하다고 판단되는 경우 회계추정의 변경으로 처리하고 있습니다.
(8) 무형자산
무형자산은 최초 인식할 때 원가로 측정되며, 최초 인식 후에 원가에서 상각누계액과손상차손누계액을 차감한 금액을 장부금액으로 인식됩니다.
무형자산은 사용 가능한 시점부터 잔존가치를 영("0")으로 하여 아래의 내용연수동안정액법으로 상각하고 있습니다. 다만, 일부 무형자산에 대해서는 이를 이용할 수 있을 것으로 기대되는 기간에 대하여 예측가능한 제한이 없으므로 당해 무형자산의 내용연수가 비한정인 것으로 평가하고 상각하지 아니하고 있습니다.
| 구 분 | 내용연수 |
|---|---|
| 특허권 | 7년 |
| 상표권 | 5년 |
| 소프트웨어 | 5년 |
내용연수가 유한한 무형자산의 상각기간과 상각방법은 매 보고기간말에 재검토하고 내용연수가 비한정인 무형자산에 대해서는 그 자산의 내용연수가 비한정이라는 평가가 계속하여 정당한 지를 매 보고기간말에 재검토하며, 이를 변경하는 것이 적절하다고 판단되는 경우 회계추정의 변경으로 처리하고 있습니다.
연구 또는 내부프로젝트의 연구단계에 대한 지출은 발생시점에 비용으로 인식하고 있습니다. 개발단계의 지출은 자산을 완성할 수 있는 기술적 실현가능성, 자산을 완성하여 사용하거나 판매하려는 기업의 의도와 능력 및 필요한 자원의 입수가능성, 무형자산의 미래 경제적 효익을 모두 제시할 수 있고, 관련 지출을 신뢰성 있게 측정할 수 있는 경우에 무형자산으로 인식하고 있으며, 기타 개발관련 지출은 발생시점에 비용으로 인식하고 있습니다.
후속지출은 관련되는 특정자산에 속하는 미래의 경제적 효익이 증가하는 경우에만 자본화하며, 내부적으로 창출한 영업권 등을 포함한 다른 지출들은 발생 즉시 비용화하고 있습니다.
(9) 차입원가
적격자산의 취득, 건설 또는 제조와 직접 관련된 차입원가는 당해 자산 원가의 일부로 자본화하고 있으며, 기타차입원가는 발생기간에 비용으로 인식됩니다. 적격자산이란 의도된 용도로 사용하거나 판매가능한 상태가 될 때까지 상당한 기간을 필요로 하는 자산을 말하며, 금융자산과 단기간 내에 제조되거나 다른 방법으로 생산되는 재고자산은 적격자산에 해당되지 아니하며, 취득시점에 의도된 용도로 사용할 수 있거나 판매가능한 상태에 있는 자산인 경우에도 적격자산에 해당되지 아니합니다.
(10) 정부보조금
정부보조금은 당사가 정부보조금에 부수되는 조건을 준수하고 그 보조금을 수취하는것에 대해 합리적인 확신이 있을 경우에만 인식됩니다.
① 자산관련 보조금
당사는 비유동자산을 취득 또는 건설하는데 사용해야 한다는 기본조건이 부과된 정부보조금을 수령하고 있으며, 해당 자산의 장부금액을 계산할 때, 정부보조금을 차감하고 감가상각자산의 내용연수에 걸쳐 당기손익으로 인식하고 있습니다.
② 수익관련 보조금
당사는 정부보조금을 정부보조금으로 보전하려 하는 관련원가를 비용으로 인식하는 기간에 걸쳐 관련비용에서 차감하는 방법으로 당기손익으로 인식하고 있습니다.
(11) 비금융자산의 손상
당사는 재고자산, 이연법인세자산을 제외한 모든 비금융자산에 대해서는 매 보고기간말마다 자산손상을 시사하는 징후가 있는지를 검토하며, 만약 그러한 징후가 있다면 당해 자산의 회수가능액을 추정하고 있습니다. 단, 당사는 아직 사용할 수 없는 무형자산에 대해서는 자산손상을 시사하는 징후와 관계없이 매년 회수가능액과 장부금액을 비교하여 손상검사를 하고 있습니다.
회수가능액은 개별 자산별로, 또는 개별 자산의 회수가능액을 추정할 수 없다면 그 자산이 속하는 현금창출단위별로 회수가능액을 추정하고 있습니다. 회수가능액은 사용가치와 순공정가치 중 큰 금액으로 결정됩니다. 사용가치는 자산이나 현금창출단위에서 창출될 것으로 기대되는 미래현금흐름을 화폐의 시간가치 및 미래현금흐름 을 추정할 때 조정되지 아니한 자산의 특유위험에 대한 현행 시장의 평가를 반영한 적절한 할인율로 할인하여 추정됩니다.
자산이나 현금창출단위의 회수가능액이 장부금액에 미달하는 경우 자산의 장부금액을 감소시키며 즉시 당기손익으로 인식하고 있습니다.
(12) 비파생금융부채
당사는 계약상 내용의 실질과 금융부채의 정의에 따라 금융부채를 당기손익인식금융부채와 기타금융부채로 분류하고 계약의 당사자가 되는 때에 재무상태표에 인식하고있습니다.
① 당기손익인식금융부채
당기손익인식금융부채는 단기매매금융부채나 최초 인식시점에 당기손익인식금융부채로 지정한 금융부채를 포함하고 있습니다. 당기손익인식금융부채는 최초인식 후 공정가치로 측정되며, 공정가치의 변동은 당기손익으로 인식됩니다. 한편, 최초 인식시점에 발행과 관련하여 발생한 거래비용은 발생 즉시 당기손익으로 인식됩니다.
② 기타금융부채
당기손익인식금융부채로 분류되지 않은 비파생금융부채는 기타금융부채로 분류됩니다. 기타금융부채는 최초 인식시 발행과 직접 관련되는 거래원가를 차감한 공정가치로 측정됩니다. 후속적으로 기타금융부채는 유효이자율법을 적용하여 상각후원가로 측정되며, 이자비용은 유효이자율법을 적용하여 인식됩니다.
③ 금융부채의 제거
당사는 금융부채의 계약상 의무가 이행, 취소 또는 만료된 경우에만 금융부채를 제거합니다. 당사는 금융부채의 계약조건이 변경되어 현금흐름이 실질적으로 달라진 경우 기존 부채를 제거하고 새로운 계약에 근거하여 새로운 금융부채를 공정가치로 인식합니다.
금융부채의 제거 시에, 장부금액과 지급한 대가(양도한 비현금자산이나 부담한 부채를 포함)의 차액은 당기손익으로 인식합니다.
(13) 복합금융상품
당사는 전환상환우선주 및 전환우선주에 대하여 부채요소와 보유자가 지분상품으로 전환을 청구할 수 있는 전환권의 요소로 분리합니다. 전환권은 발생시점에 전환가격과 보유자의 권리행사에 따라 발행할 주식수가 모두 확정되어 자본의 정의를 충족할 경우에는 지분상품으로 분류하여 기타자본으로 인식하고, 그 외의 경우에는 파생금융부채로 인식합니다.
내재파생상품인 전환권과 조기상환권은 합리적인 평가모형에 따라 산출된 공정가치를 이용하여 공정가치로 인식하고, 후속기간의 공정가치 변동은 당기손익으로 인식합니다. 사채요소는 최초 인식 시 전체 전환상환우선주 및 전환우선주의 공정가치에서 내재파생상품의 공정가치를 차감하여 인식하고, 전환으로 인한 소멸 또는 만기까지 유효이자율법을 적용하여 상각후원가로 측정하고 있습니다.
(14) 리스
① 리스제공자
회사가 리스제공자인 경우 운용리스에서 생기는 리스수익은 리스기간에 걸쳐 정액기준으로 인식합니다. 운용리스 체결 과정에서 부담하는 리스개설직접원가를 기초자산의 장부금액에 더하고 리스료 수익과 같은 기준으로 리스기간에 걸쳐 비용으로 인식합니다. 각 리스된 자산은 재무상태표에서 그 특성에 기초하여 표시하였습니다.
② 리스이용자
회사는 다양한 사무실, 창고, 소매매장, 장비, 자동차를 리스하고 있습니다. 리스계약은 일반적으로 3~8년의 고정기간으로 체결되지만 아래에서 설명하는 연장선택권이 있을 수 있습니다.
계약에는 리스요소와 비리스요소가 모두 포함될 수 있습니다. 회사는 상대적 개별 가격에 기초하여 계약 대가를 리스요소와 비리스요소에 배분하였습니다. 그러나 회사가 리스이용자인 부동산 리스의 경우 리스요소와 비리스요소를 분리하지 않고 하나의 리스요소로 회계처리하는 실무적 간편법을 적용하였습니다.
리스조건은 개별적으로 협상되며 다양한 계약조건을 포함합니다. 리스계약에 따라 부과되는 다른 제약은 없지만 리스자산을 차입금의 담보로 제공할 수는 없습니다.
회사는 계약이 집행가능한 기간 내에서 해지불능기간에 리스이용자가 연장선택권을 행사할 것이 상당히 확실한 경우의 그 대상기간과 종료선택권을 행사하지 않을 것이 상당히 확실한 경우의 그 대상기간을 포함하여 리스기간을 산정합니다. 회사는 리스이용자와 리스제공자가 각각 다른 당사자의 동의 없이 종료할 수 있는 권리가 있는 경우 계약을 종료할 때 부담할 경제적 불이익을 고려하여 집행가능한 기간을 산정합니다.
리스에서 생기는 자산과 부채는 최초에 현재가치기준으로 측정합니다. 리스부채는 다음 리스료의 순현재가치를 포함합니다.
·받을 리스 인센티브를 차감한 고정리스료(실질적인 고정리스료 포함)
·개시일 현재 지수나 요율을 사용하여 최초 측정한, 지수나 요율(이율)에 따라 달라지는 변동리스료
·잔존가치보증에 따라 회사(리스이용자)가 지급할 것으로 예상되는 금액
·회사(리스이용자)가 매수선택권을 행사할 것이 상당히 확실한 경우에 그 매수선택권의 행사가격
·리스기간이 회사(리스이용자)의 종료선택권 행사를 반영하는 경우에 그 리스를 종료하기 위하여 부담하는 금액
리스의 내재이자율을 쉽게 산정할 수 있는 경우 그 이자율로 리스료를 할인합니다. 내재이자율을 쉽게 산정할 수 없는 경우에는 리스이용자가 비슷한 경제적 환경에서 비슷한 기간에 걸쳐 비슷한 담보로 사용권자산과 가치가 비슷한 자산을 획득하는 데 필요한 자금을 차입한다면 지급해야 할 이자율인 리스이용자의 증분차입이자율을 사용합니다.
회사는 증분차입이자율을 다음과 같이 산정합니다.
·가능하다면 개별 리스이용자가 받은 최근 제3자 금융 이자율에 제3자 금융을 받은 이후 재무상태의 변경을 반영
·국가, 통화, 담보, 보증과 같은 리스에 특정한 조정을 반영
개별 리스이용자가 리스와 비슷한 지급일정을 가진 분할상환 차입금 이자율을 쉽게 관측(최근의 금융 또는 시장 자료를 통해)할 수 있는 경우, 회사는 증분차입이자율을 산정할 때 그 이자율을 시작점으로 사용합니다.
회사는 지수나 요율에 따라 달라지는 변동리스료의 경우 지수나 요율이 유효할 때까지 리스부채에 포함하지 않는 변동리스료의 잠재적 미래 증가 위험에 노출되어 있습니다. 지수나 요율에 따라 달라지는 리스료의 조정액이 유효한 시점에서 리스부채를 재평가하고 사용권자산을 조정합니다.
각 리스료는 리스부채의 상환과 금융원가로 배분합니다. 금융원가는 각 기간의 리스부채 잔액에 대하여 일정한 기간 이자율이 산출되도록 계산된 금액을 리스기간에 걸쳐 당기손익으로 인식합니다.
사용권자산은 다음 항목들로 구성된 원가로 측정합니다.
·리스부채의 최초 측정금액
·받은 리스 인센티브를 차감한 리스개시일이나 그 전에 지급한 리스료
·리스이용자가 부담하는 리스개설직접원가
·복구원가의 추정치
사용권자산은 리스개시일부터 사용권자산의 내용연수 종료일과 리스기간 종료일 중 이른 날까지의 기간동안 감가상각합니다. 회사가 매수선택권을 행사할 것이 상당히 확실한(reasonably certain) 경우 사용권자산은 기초자산의 내용연수에 걸쳐 감가상각합니다. 회사는 유형자산으로 표시된 토지와 건물을 재평가하지만 회사가 보유하고 있는 사용권자산인 건물에 대해서는 재평가모형을 선택하지 않았습니다.
장비 및 차량운반구의 단기리스와 모든 소액자산 리스와 관련된 리스료는 정액 기준에 따라 당기손익으로 인식합니다. 단기리스는 매수선택권 없이 리스기간이 12개월 이하인 리스이며, 소액리스자산은 IT기기와 소액의 사무실 가구로 구성되어 있습니다.
③ 연장선택권 및 종료선택권
회사 전체에 걸쳐 다수의 부동산 및 시설장치 리스계약에 연장선택권 및 종료선택권을 포함하고 있습니다. 이러한 조건들은 계약 관리 측면에서 운영상의 유연성을 극대화하기 위해 사용됩니다. 보유하고 있는 대부분의 연장선택권 및 종료선택권은 해당 리스제공자가 아니라 회사가 행사할 수 있습니다.
④ 잔존가치보증
계약기간 동안 리스원가를 최적화하기 위해 회사는 시설장치 리스와 관련하여 종종 잔존가치보증을 제공합니다.
(15) 충당부채
충당부채는 과거사건의 결과로 존재하는 현재의무(법적의무 또는 의제의무)로서, 당해 의무를 이행하기 위하여 경제적효익을 갖는 자원이 유출될 가능성이 높으며 그 의무의 이행에 소요되는 금액을 신뢰성 있게 추정할 수 있는 경우에 인식됩니다.
충당부채로 인식하는 금액은 관련된 사건과 상황에 대한 불가피한 위험과 불확실성을 고려하여 현재의무를 보고기간말에 이행하기 위하여 소요되는 지출에 대한 최선의 추정치입니다. 화폐의 시간가치 효과가 중요한 경우 충당부채는 의무를 이행하기위하여 예상되는 지출액의 현재가치로 평가하고 있습니다.
충당부채를 결제하기 위해 필요한 지출액의 일부 또는 전부를 제3자가 변제할 것이 예상되는 경우 이행한다면 변제를 받을 것이 거의 확실하게 되는 때에 한하여 변제금액을 인식하고 별도의 자산으로 회계처리하고 있습니다.
매 보고기간말마다 충당부채의 잔액을 검토하고, 보고기간말 현재 최선의 추정치를 반영하여 조정하고 있습니다. 의무이행을 위하여 경제적효익이 내재된 자원이 유출될 가능성이 더 이상 높지 아니한 경우에는 관련 충당부채를 환입하고 있습니다.
충당부채는 최초 인식과 관련 있는 지출에만 사용하고 있습니다.
(16) 수익인식
당사의 고객과의 계약에서 생기는 수익은 당기말 현재 화장품 제품매출, 연구 용역수익 및 라이선스 매출로 구성되어 있습니다. 당사는 고객과의 계약이 개시되는 단계에서부터 통제가 고객에게 이전되는 시점 또는 통제가 고객에게 이전되는 기간에 걸쳐 다음의 5단계 수익인식모형에 따라 수익을 인식하고 있습니다.
① 계약의 식별
당사는 고객과의 사이에서 집행가능한 권리와 의무가 생기게 하는 합의를 계약으로
식별하고 계약으로 식별된 경우에는 수행의무의 식별 등 이후 단계를 추가 검토하여
수익인식여부를 판별하며, 계약으로 식별되지 못하였으나 고객에게서 대가를 받은 경우에는 부채로 인식하고 있습니다.
② 수행의무의 식별
수행의무는 고객과의 계약에서 '구별되는 재화나 용역'이나 '실질적으로 서로 같고
고객에게 이전하는 방식도 같은 일련의 구별되는 재화나 용역'을 고객에게 이전하기
로 한 약속을 의미합니다. 당사는 계약 개시시점에 고객과의 계약에서 약속한 재화나
용역을 검토하여 수행의무를 식별하고 있습니다.
③ 거래가격의 산정
거래가격은 고객에게 약속한 재화나 용역을 이전하고 그 대가로 기업이 받을 권리를
갖게 될 것으로 예상하는 금액으로서 추정치의 제약을 고려한 변동대가, 유의적인 금
융요소, 비현금대가 및 고객에게 지급할 대가 등을 고려하여 산정하고 있습니다.
④ 거래가격의 배분
당사는 하나의 계약에서 식별된 여러 수행의무에 상대적 개별판매가격을 기초로 거
래가격을 배분하고 있습니다. 각 수행의무의 개별판매가격이 없는 경우에는 예상원가 이윤 가산접근법 등을 고려하여 개별판매가격을 적절하게 추정하고 있습니다.
⑤ 수익인식
당사는 계약개시 시점에 해당 계약과 관련하여 수행의무를 이행할 때 수익을 인식할
지 또는 수행의무를 이행하는 기간에 걸쳐 수익을 인식할지 여부를 판단하고 있습니
다. 계약의 성격에 따라 수행의무를 이행하는 기간에 걸쳐 인식하거나 의무가 이행되는 한 시점에 일시에 인식하고 있습니다. 라이선스를 이전하는 시점에 고객이 라이선스의 사용을 지시할 수 있고 라이선스에서 생기는 나머지 효익의 대부분을 획득할 수있는 경우 한 시점에 이행하는 수행의무로 회계처리합니다.
(17) 종업원급여
① 단기종업원급여
종업원이 관련 근무용역을 제공한 보고기간의 말부터 12개월 이내에 결제될 단기종업원급여는 근무용역과 교환하여 지급이 예상되는 금액을, 근무용역이 제공된 때에 당기손익으로 인식하고 있습니다. 단기종업원급여는 할인하지 않은 금액으로 측정하고 있습니다.
② 퇴직급여: 확정기여제도
확정기여제도와 관련하여 일정기간 종업원이 근무용역을 제공하였을 때에는 그 근무용역과 교환하여 확정기여제도에 납부해야 할 기여금에 대하여 자산의 원가에 포함하는 경우를 제외하고는 당기손익으로 인식하고 있습니다. 납부해야 할 기여금은 이미 납부한 기여금을 차감한 후 부채(미지급비용)로 인식하고 있습니다.
(18) 주식기준보상
당사는 제공받는 재화나 용역의 대가로 종업원에게 주식이나 주식선택권을 부여하는주식결제형 주식보상거래에 대하여 제공받는 재화나 용역의 공정가치 또는 제공받는재화나 용역의 공정가치를 신뢰성있게 측정할 수 없다면 부여한 지분상품의 공정가치에 기초하여 재화나 용역의 공정가치를 간접 측정하고 그 금액을 가득기간 동안에 종업원급여(당기비용)와 자본으로 인식하고 있습니다. 주식선택권의 가득조건이 용역제공조건 또는 시장조건이 아닌 가득조건인 경우에는 궁극적으로 가득되는 주식선택권의 실제 수량에 기초하여 결정되도록 인식된 종업원비용을 조정하고 있습니다.
회사는 종업원으로부터 용역을 제공받은 대가로, 주식선택권의 시가와 행사가격의 차이를 보상하는 현금결제형 주식기준보상제도를 운영하고 있습니다. 가득기간 동안 비용으로 인식될 총 금액은 용역제공조건을 고려하여 부여한 주식선택권의 공정가치에 기초하여 결정됩니다. 또한, 부채가 결제될 때까지 매 보고기간말과 결제일에 부채의 공정가치는 재측정되고, 공정가치의 변동액은 당기손익으로 인식됩니다.
(19) 외화
당사의 재무제표 작성에 있어서 당사의 기능통화 외의 통화(외화)로 이루어진 거래는거래일의 환율을 적용하여 기록하고 있습니다. 매 보고기간말에 화폐성 외화항목은 보고기간말의 마감환율로 환산하고 있습니다. 공정가치로 측정하는 비화폐성 외화항목은 공정가치가 결정된 날의 환율로 환산하고, 역사적원가로 측정하는 비화폐성 외화항목은 거래일의 환율로 환산하고 있습니다.
화폐성 외화항목의 결제시점에 생기는 외환차이와 화폐성 외화항목의 환산으로 인해발생한 외환차이는 모두 당기손익으로 인식하고 있습니다. 비화폐성 외화항목에서 발생한 손익을 기타포괄손익으로 인식하는 경우에는 그 손익에 포함된 환율변동효과도 기타포괄손익으로 인식하고, 당기손익으로 인식하는 경우에는 환율변동효과도 당기손익으로 인식하고 있습니다.
(20) 금융수익과 비용
당사의 금융수익과 금융비용은 다음으로 구성되어 있습니다.
- 이자수익
- 이자비용
- 당기손익-공정가치로 측정하는 금융자산에 대한 순손익
이자수익 혹은 이자비용은 유효이자율법을 사용하여 인식하였습니다. 유효이자율은 금융상품의 기대존속기간에 추정되는 미래현금지급액이나 수취액의 현재가치를 금융자산의 총 장부금액이나 금융부채의 상각후원가와 정확하게 일치시키는 이자율입니다.
이자수익이나 이자비용을 계산할 때, 유효이자율은 자산의 총장부금액(해당 자산의 신용이 손상되지 않은 경우)이나 부채의 상각후원가에 적용됩니다. 그러나, 최초 인식 이후에 후속적으로 신용이 손상된 금융자산에 대해서는 이자수익은 해당 금융자산의 상각후원가에 유효이자율을 적용하여 계산합니다. 만일 해당 자산이 더는 신용이 손상된 것으로 볼 수 없다면 총 장부금액에 유효이자율을 적용하여 이자수익을 계산합니다.
(21) 법인세
법인세비용은 당기법인세와 이연법인세로 구성되어 있으며, 기타포괄손익이나 자본에 직접 인식되는 거래나 사건 또는 사업결합에서 발생하는 세액을 제외하고는 당기손익으로 인식하고 있습니다.
① 당기법인세
당기법인세는 당기의 과세소득을 기초로 산정하고 있습니다. 과세소득은 포괄손익계산서상의 법인세비용차감전순이익에서 다른 과세기간에 가산되거나 차감될 손익 및 비과세항목이나 손금불인정항목을 제외하므로 포괄손익계산서상 손익과 차이가 있습니다. 당사의 당기법인세와 관련된 부채는 제정되었거나 실질적으로 제정된 세율을 사용하여 계산하고 있습니다. 경영진은 적용 가능한 세법 규정이 해석에 따라 달라질 수 있는 상황에 대하여 회사가 세무신고 시 적용한 세무정책에 대하여 주기적으로 평가하고 있으며, 세무당국이 불확실한 법인세 처리를 수용할 가능성이 높은지 고려합니다. 회사는 법인세 측정 시 가장 가능성이 높은 금액 또는 기댓값 중 불확실성의 해소를 더 잘 예측할 것으로 예상되는 방법을 사용하여 불확실성의 영향을 반영합니다.
② 이연법인세
이연법인세자산과 이연법인세부채를 측정할 때에는 보고기간말에 당사가 관련 자산과 부채의 장부금액을 회수하거나 결제할 것으로 예상되는 방식에 따른 세효과를 반영하고 있습니다. 지분법투자지분에 관한 가산할 일시적차이에 대해서는 당사가 일시적차이의 소멸시점을 통제할 수 있으며, 예측가능한 미래에 일시적차이가 소멸하지 않을 가능성이 높은 경우를 제외하고는 모두 이연법인세부채를 인식하고 있습니다. 또한, 차감할 일시적차이로 인하여 발생하는 이연법인세자산은 일시적차이가 예측가능한 미래에 소멸할 가능성이 높고, 일시적차이가 사용될 수 있는 기간에 과세소득이 발생할 가능성이 높은 경우에 인식하고 있습니다.
미사용 세무상결손금과 세액공제, 차감할 일시적 차이가 사용될 수 있는 미래 과세소득의 발생가능성이 높은 경우 그 범위 안에서 이월된 미사용 세무상결손금과 세액공제, 차감할 일시적차이에 대하여 이연법인세자산을 인식합니다. 미래 과세소득은 관련 가산할 일시적차이의 소멸에 의해 결정됩니다. 가산할 일시적차이가 이연법인세자산을 완전히 인식하기에 충분하지 않다면, 현재 일시적차이들의 소멸과 당사의 사업계획을 미래 과세소득에 고려합니다.
이연법인세자산의 장부금액은 매 보고기간말에 검토하고, 이연법인세자산으로 인한 혜택이 사용되기에 충분한 과세소득이 발생할 가능성이 더 이상 높지 않은 경우 이연법인세자산의 장부금액을 감소시키고 있습니다.
이연법인세자산과 부채는 보고기간말 제정되었거나 실질적으로 제정된 세법에 근거하여 당해 자산이 실현되거나 부채가 지급될 보고기간에 적용될 것으로 기대되는 세율을 사용하여 측정하고 있습니다. 이연법인세자산과 이연법인세부채를 측정할 때 보고기간말 현재 당사가 관련 자산과 부채의 장부금액을 회수하거나 결제할 것으로 예상되는 방식에 따라 법인세효과를 반영하고 있습니다.
이연법인세자산과 부채는 동일 과세당국이 부과하는 법인세이고, 당사가 인식된 금액을 상계할 수 있는 법적 권한을 가지고 있으며 당기 법인세부채와 자산을 순액으로결제할 의도가 있는 경우에만 상계하고 있습니다.
(22) 주당이익
당사는 보통주 기본주당이익과 희석주당이익을 당기순손익에 대하여 계산하고 포괄손익계산서에 표시하고 있습니다. 기본주당이익은 보통주에 귀속되는 당기순손익을 보고기간 동안에 유통된 보통주식수를 가중평균한 주식수로 나누어 계산하고 있습니다. 희석주당이익은 모든 희석효과가 있는 잠재적 보통주의 영향을 고려하여 보통주에 귀속되는 당기순손익 및 가중평균유통보통주식수를 조정하여 계산하고 있습니다.
(23) 재무제표 승인
회사의 재무제표는 2022년 3월 10일자로 이사회에서 승인됐으며, 정기주주총회에서 수정승인 될 수 있습니다.
5. 부문정보
(1) 당사의 경영진은 부문에 자원을 배분하고 부문의 성과를 평가하기 위하여 당사의 최고영업의사결정자에게 보고되는 정보에 기초하여 영업부문을 결정하고 있으며, 당사는 줄기세포사업부 보고부문을 가지고 있습니다.
| 사업부문 | 주요 재화 및 용역 |
|---|---|
| 줄기세포 사업부문 | 위탁연구개발, 화장품 제조 및 판매 |
(2) 당사의 당기 및 전기 부문별 수익은 아래와 같으며, 모두 국내에서 발생하였습니다.
| (단위 : 원) | ||
|---|---|---|
| 구 분 | 당기 | 전기 |
| 줄기세포 사업부문 | 439,262,616 | 320,006,088 |
6. 사용제한 금융상품
당기말 현재 사용제한금융상품은 다음과 같습니다.
| (단위: 원) | |||
|---|---|---|---|
| 구분 | 당기말 | 전기말 | 사용제한 내용 |
| 단기금융상품(*) | 753,572,123 | 1,126,189,535 | 펀드 환매 중지 |
(*) 전기 중 해당 금융상품의 환매중지가 발생하였으며 당기말 현재 취득원가는 2,527백만원이며, 장부가액은 754백만원입니다. 이와 관련하여 회사는 우리은행으로부터 1,481백만원의 투자금을 회수하였으나, 환수 조건이 존재하여 재무상태표상 선수금으로 계상하였습니다.
7. 재고자산
당기말과 전기말 현재 재고자산의 내역은 다음과 같습니다.
| (단위: 원) | ||
|---|---|---|
| 구 분 | 당기말 | 전기말 |
| 제품 | 82,197,144 | 32,824,727 |
| 원재료 | 55,960,000 | 1,300,400 |
| 재공품 | 138,067,260 | - |
| 반환제품회수권 | 3,458,200 | 1,894,393 |
| 합 계 | 279,682,604 | 36,019,520 |
8. 지분법적용투자주식
(1) 당기말 현재 투자기업에 대한 지분율 현황 및 출자금액은 다음과 같습니다.
| (단위: 원) | |||||||||
|---|---|---|---|---|---|---|---|---|---|
| 투자기업명 | 주요 영업활동 | 소재지 | 결산월 | 당기말 | 전기말 | ||||
| 지분율 (%) |
취득금액 | 장부금액 | 지분율 (%) |
취득금액 | 장부금액 | ||||
| CoImmune Inc. | 세포치료제 연구개발 | 미국 | 12월 | 23.88% | 26,339,623,660 | 20,506,445,708 | 26.83% | 26,339,623,660 | 28,167,061,261 |
(*) CoImmune Inc.은 당기 중 제3자에게 7,036,325주의 주식을 추가 발행하여 당사의 지분율이 하락하였습니다. 당사는 새로운 주주간 협약에 의하여 공동지배력을 보유하고 있다고 볼 수 없어 동 투자를 공동기업투자에서 지분법적용투자주식으로 분류하였습니다.
(2) 당기말 및 전기말 현재 투자기업의 요약 재무상태는 다음과 같습니다.
<당기말>
| (단위: 원) | |||||
|---|---|---|---|---|---|
| 투자기업명 | 유동자산 | 비유동자산 | 유동부채 | 비유동부채 | 자본 |
| CoImmune Inc. | 41,839,974,009 | 18,958,485,757 | 3,115,752,254 | 1,638,276,836 | 56,044,430,676 |
<전기말>
| (단위: 원) | |||||
|---|---|---|---|---|---|
| 투자기업명 | 유동자산 | 비유동자산 | 유동부채 | 비유동부채 | 자본 |
| CoImmune Inc. | 54,013,897,093 | 24,301,984,312 | 1,636,570,568 | 1,779,282,908 | 74,900,027,929 |
(3) 당기 및 전기 중 투자기업의 요약 경영성과는 다음과 같습니다.
<당기>
| (단위: 원) | |||||
|---|---|---|---|---|---|
| 투자기업명 | 매출액 | 영업손익 | 당기순손익 | 기타포괄손익 | 총포괄손익 |
| CoImmune Inc. | 360,712,825 | (37,631,554,536) | (37,723,046,321) | 2,338,104,142 | (35,384,942,179) |
<전기>
| (단위: 원) | |||||
|---|---|---|---|---|---|
| 투자기업명 | 매출액 | 영업손익 | 당기순손익 | 기타포괄손익 | 총포괄손익 |
| CoImmune Inc. | 2,950,125,000 | (16,317,325,008) | (16,413,840,436) | (5,121,115,597) | (21,534,956,033) |
(4) 당기말 및 전기말 현재 투자기업의 재무정보를 투자기업에 대한 지분의 장부금액으로 조정한 내역은 다음과 같습니다.
<당기말>
| (단위: 원) | |||
|---|---|---|---|
| 투자기업명 | 순자산지분액 | 투자차액 | 장부금액 |
| CoImmune Inc. | 12,552,175,392 | 7,954,270,316 | 20,506,445,708 |
<전기말>
| (단위: 원) | |||
|---|---|---|---|
| 투자기업명 | 순자산지분액 | 투자차액 | 장부금액 |
| CoImmune Inc. | 19,763,023,647 | 8,404,037,613 | 28,167,061,261 |
(5) 당기 및 전기 중 투자기업의 종목별 지분법평가내역은 다음과 같습니다.
<당기>
| (단위: 원) | ||||||
|---|---|---|---|---|---|---|
| 투자기업명 | 기초 | 취득 | 지분율감소 차익 | 지분법손익 | 지분법자본변동 | 기말 |
| CoImmune Inc. | 28,167,061,261 | - | 527,178,636 | (10,525,898,331) | 2,338,104,142 | 20,506,445,708 |
<전기>
| (단위: 원) | ||||||
|---|---|---|---|---|---|---|
| 투자기업명 | 기초 | 취득(*) | 지분율감소 차익 | 지분법손실 | 지분법자본변동 | 기말 |
| CoImmune Inc. | 4,438,662,098 | 16,298,342,102 | 15,229,150,557 | (6,043,388,344) | (1,755,705,152) | 28,167,061,261 |
(*) 약정에 의한 파생상품자산 평가이익 8,742,846,122원이 포함되어 있습니다.
9. 유형자산
(1) 당기말과 전기말 유형자산의 내역은 다음과 같습니다.
| (단위: 원) | ||||||
|---|---|---|---|---|---|---|
|
구 분 |
당기말 |
전기말 |
||||
|
취득원가 |
상각누계액(*2) |
장부금액 |
취득원가 |
상각누계액(*2) |
장부금액 |
|
| 토지(*1) | 6,967,498,403 | - | 6,967,498,403 | 6,967,498,403 | - | 6,967,498,403 |
| 건물(*1) | 2,101,460,939 | (157,929,005) | 1,943,531,934 | 2,098,460,939 | (86,479,334) | 2,011,981,605 |
| 구축물 | 16,000,000 | (861,333) | 15,138,667 | 16,000,000 | (317,333) | 15,682,667 |
| 기계장치 | 2,679,201,110 | (1,715,581,198) | 963,619,912 | 2,269,266,383 | (1,313,019,291) | 956,247,092 |
| 공구와기구 | 352,159,091 | (153,920,131) | 198,238,960 | 252,178,000 | (97,481,044) | 154,696,956 |
| 비품 | 286,760,075 | (157,004,226) | 129,755,849 | 241,034,579 | (108,953,980) | 132,080,599 |
| 시설장치 | 555,658,244 | (333,883,977) | 221,774,267 | 507,658,244 | (249,106,685) | 258,551,559 |
| 건설중인자산 | 304,921,178 | - | 304,921,178 | 293,568,973 | - | 293,568,973 |
| 사용권자산 | 1,439,119,498 | (1,066,444,730) | 372,674,768 | 1,485,767,520 | (732,573,129) | 753,194,391 |
| 합 계 | 14,702,778,538 | (3,585,624,600) | 11,117,153,938 | 14,131,433,041 | (2,587,930,796) | 11,543,502,245 |
(*1) 당사 소유의 토지 및 건물은 우리은행 차입금과 관련하여 담보로 제공되어 있습니다.(주석 12 참조)
(*2) 정부보조금을 합산한 금액입니다.
(2) 당기 및 전기의 유형자산 변동내역은 다음과 같습니다.
<당기말>
| (단위: 원) | ||||||||||
|---|---|---|---|---|---|---|---|---|---|---|
| 구 분 | 토지 | 건물 | 구축물 | 기계장치 | 공구와기구 | 비품 | 시설장치 | 건설중인자산 | 사용권자산 | 합 계 |
|
기초 순장부금액 |
6,967,498,403 | 2,011,981,605 | 15,682,667 | 956,247,092 | 154,696,956 | 132,080,599 | 258,551,559 | 293,568,973 | 753,194,391 | 11,543,502,245 |
|
취득 |
- | 3,000,000 | - | 409,934,727 | 99,981,091 | 47,613,496 | - | 115,470,457 | 113,103,027 | 789,102,798 |
|
대체 |
- | - | - | - | - | - | 48,000,000 | (104,118,252) | - | (56,118,252) |
| 감소 | - | - | - | - | - | (111,138) | - | - | (103,568,639) | (103,679,777) |
|
감가상각비 |
- | (71,449,671) | (544,000) | (402,561,907) | (56,439,087) | (49,827,108) | (84,777,292) | - | (390,054,011) | (1,055,653,076) |
|
기말 순장부금액 |
6,967,498,403 | 1,943,531,934 | 15,138,667 | 963,619,912 | 198,238,960 | 129,755,849 | 221,774,267 | 304,921,178 | 372,674,768 | 11,117,153,938 |
<전기말>
| (단위: 원) | ||||||||||
|---|---|---|---|---|---|---|---|---|---|---|
| 구 분 | 토지 | 건물 | 구축물 | 기계장치 | 공구와기구 | 비품 | 시설장치 | 건설중인자산 | 사용권자산 | 합 계 |
|
기초 순장부금액 |
6,967,498,403 | 1,052,985,732 | - | 1,223,267,420 | 161,779,222 | 79,555,807 | 349,524,523 | 223,867,570 | 1,208,003,255 | 11,266,481,932 |
|
취득 |
- | 179,891,091 | - | 153,656,818 | 38,200,000 | 86,233,000 | - | 1,000,520,523 | 45,782,030 | 1,504,283,462 |
|
대체 |
- | 850,452,453 | 16,000,000 | - | - | 5,850,000 | 9,000,000 | (930,819,120) | - | (49,516,667) |
| 감소 | - | - | - | - | - | (1,375,481) | - | - | (18,933,421) | (20,308,902) |
|
감가상각비 |
- | (71,347,671) | (317,333) | (420,677,146) | (45,282,266) | (38,182,727) | (99,972,964) | - | (481,657,473) | (1,157,437,580) |
|
기말 순장부금액 |
6,967,498,403 | 2,011,981,605 | 15,682,667 | 956,247,092 | 154,696,956 | 132,080,599 | 258,551,559 | 293,568,973 | 753,194,391 | 11,543,502,245 |
(3) 당기과 전기 중 발생한 감가상각비의 배부내역은 다음과 같습니다.
| (단위: 원) | ||
|---|---|---|
| 구 분 | 당기 | 전기 |
| 판매관리비 | 398,226,066 | 350,501,468 |
| 경상연구개발비 | 657,427,010 | 806,936,112 |
| 매출원가 | - | - |
| 합 계 | 1,055,653,076 | 1,157,437,580 |
(4) 당기 및 전기의 사용권자산의 유형별 변동내역은 다음과 같습니다.
<당기말>
| (단위: 원) | ||||
|---|---|---|---|---|
| 구 분 | 건물 | 시설장치 | 차량운반구 | 합 계 |
| 기초 장부금액 | 629,775,217 | 50,939,520 | 72,479,654 | 753,194,391 |
| 취득 | 11,845,343 | - | 101,257,684 | 113,103,027 |
| 감소 | (101,487,815) | - | (2,080,824) | (103,568,639) |
| 감가상각비 | (314,953,661) | (10,915,620) | (64,184,730) | (390,054,011) |
| 기말 장부금액 | 225,179,084 | 40,023,900 | 107,471,784 | 372,674,768 |
<전기말>
| (단위: 원) | ||||
|---|---|---|---|---|
| 구 분 | 건물 | 시설장치 | 차량운반구 | 합 계 |
| 기초 장부금액 | 1,018,285,569 | 61,855,140 | 127,862,546 | 1,208,003,255 |
| 취득 | 45,782,030 | - | - | 45,782,030 |
| 감소 | (18,933,421) | - | - | (18,933,421) |
| 감가상각비 | (415,358,961) | (10,915,620) | (55,382,892) | (481,657,473) |
| 기말 장부금액 | 629,775,217 | 50,939,520 | 72,479,654 | 753,194,391 |
(5) 당기과 전기 중 리스계약과 관련하여 손익으로 인식된 금액은 다음과 같습니다.
| (단위: 원) | ||
|---|---|---|
| 구 분 | 당기 | 전기 |
| 사용권자산 감가상각비 | 390,054,011 | 481,657,473 |
| 리스부채 이자비용 | 26,796,628 | 42,022,671 |
| 단기리스 관련 비용 | - | 144,550 |
| 소액자산리스 관련 비용 | 24,141,443 | 22,007,000 |
당기 중 리스의 총 현금유출은 407,914,447원입니다.
(6) 연장선택권
일부 부동산 리스는 회사가 계약의 해지불능기간 종료 전에 리스기간을 1년 연장할 수 있는 선택권을 포함합니다. 회사는 운영의 효율성을 위하여 가능하면 새로운 리스계약에 연장선택권을 포함하려고 노력합니다. 연장선택권은 회사만 행사할 수 있고, 리스제공자는 행사할 수 없습니다. 회사는 리스개시일에 연장선택권을 행사할 것이 상당히 확실한지 평가합니다. 회사는 통제 가능한 범위에 있는 유의적인 사건이 일어나거나 상황에 유의적인 변화가 있을 때 연장선택권을 행사할 것이 상당히 확실한지 다시 평가합니다.
10. 무형자산
(1) 당기말과 전기말 무형자산의 내역은 다음과 같습니다.
| (단위: 원) | ||||||
|---|---|---|---|---|---|---|
|
구 분 |
당기말 |
전기말 |
||||
|
취득원가 |
상각누계액(*) |
장부금액 |
취득원가 |
상각누계액(*) |
장부금액 |
|
| 소프트웨어 | 61,734,000 | (36,680,665) | 25,053,335 | 43,134,000 | (29,765,518) | 13,368,482 |
| 특허권 | 521,853,673 | (216,137,342) | 305,716,331 | 484,335,421 | (144,952,962) | 339,382,459 |
| 상표권 | 9,339,960 | (4,784,766) | 4,555,194 | 9,339,960 | (2,916,774) | 6,423,186 |
| 합 계 | 592,927,633 | (257,602,773) | 335,324,860 | 536,809,381 | (177,635,254) | 359,174,127 |
(*) 손상차손누계액을 합산한 금액입니다.
(2) 당기와 전기의 무형자산 변동내역은 다음과 같습니다.
<당기말>
| (단위: 원) | ||||
|---|---|---|---|---|
| 구 분 | 소프트웨어 | 특허권 | 상표권 |
합 계 |
| 기초 | 13,368,482 | 339,382,459 | 6,423,186 | 359,174,127 |
| 대체 | 18,600,000 | 37,518,252 | - | 56,118,252 |
| 상각비 | (6,915,147) | (71,184,380) | (1,867,992) | (79,967,519) |
| 당기말 | 25,053,335 | 305,716,331 | 4,555,194 | 335,324,860 |
<전기말>
| (단위: 원) | ||||
|---|---|---|---|---|
| 구 분 | 소프트웨어 | 특허권 | 상표권 | 합 계 |
| 기초 | 12,334,781 | 355,109,384 | 8,291,178 | 375,735,343 |
| 취득 | 7,900,000 | - | - | 7,900,000 |
| 대체 | - | 49,516,667 | - | 49,516,667 |
| 상각비 | (6,866,299) | (65,243,592) | (1,867,992) | (73,977,883) |
| 당기말 | 13,368,482 | 339,382,459 | 6,423,186 | 359,174,127 |
(3) 당기와 전기 중 발생한 무형자산상각비의 배부내역은 다음과 같습니다.
| (단위: 원) | ||
|---|---|---|
| 구 분 | 당기 | 전기 |
| 판매비와관리비 | 3,151,489 | 3,399,492 |
| 경상연구개발비 | 76,816,030 | 70,578,391 |
| 합계 | 79,967,519 | 73,977,883 |
당기 및 전기 중 비용으로 인식한 경상연구개발비 금액은 각각 10,472,945,422원, 8,845,569,503원이며, 자산화된 연구개발비는 없습니다.
11. 고객과의 계약에서 생기는 수익 및 관련 계약부채
(1) 당기와 전기 중 매출액의 내역은 다음과 같습니다.
| (단위: 원) | ||
|---|---|---|
| 구 분 | 당기 | 전기 |
| 제품매출 | 197,700,737 | 104,916,743 |
| 라이선스매출 | 241,561,879 | 215,089,345 |
| 합 계 | 439,262,616 | 320,006,088 |
당사의 제품매출은 모두 한 시점에 수행의무가 이행되는 것으로 보아 수익을 인식하고 있고, 라이선스매출은 기간에 걸쳐 수행의무가 이행되는 것으로 수익을 인식하고 있습니다.
(2) 당기 중 단일 외부고객으로부터의 매출액이 전체 매출액의 10%를 상회하는 고객으로부터 발생한 매출액의 합은 344,669,153원(전기 : 267,826,436원)입니다.
(3) 당기말과 전기말 현재 고객과의 계약에서 생기는 수취채권과 계약부채는 다음과 같습니다.
| (단위: 원) | ||
|---|---|---|
| 구 분 | 당기말 | 전기말 |
| 수취채권: | ||
| 매출채권 | 16,795,717 | 18,592,060 |
| 계약부채: | ||
| 계약부채 | 543,348,776 | 784,910,655 |
| 환불부채 | 9,390,431 | 5,275,309 |
| 소 계 | 552,739,207 | 790,185,964 |
12. 차입금
당기말과 전기말 현재 당사의 차입금의 내역은 다음과 같습니다.
| (단위: 원) | ||||
|---|---|---|---|---|
| 차입처 | 내역 | 당기말 연이자율(%) | 당기말 | 전기말 |
| 우리은행 | 기업시설분할상환대출 | 3개월 KORIBOR + 2.64% | 5,820,000,000 | 5,940,000,000 |
| 유동성 대체 | (5,820,000,000) | (120,000,000) | ||
| 장기차입금 | - | 5,820,000,000 | ||
당사는 당기말 현재 동 차입금과 관련하여 당사의 유형자산을 담보로 제공하고 있습니다.(주석 29 참조)
13. 충당부채
당기 및 전기 중 충당부채 변동내역은 다음과 같습니다.
| (단위: 원) | ||||||
|---|---|---|---|---|---|---|
| 구 분 | 당기 | 전기 | ||||
| 포인트충당부채 | 복구충당부채 | 합계 | 포인트충당부채 | 복구충당부채 | 합계 | |
| 기초 | 166,620 | 145,324,523 | 145,491,143 | 225,000 | 249,791,861 | 250,016,861 |
| 전입 | 110,000 | 5,943,773 | 6,053,773 | 594,620 | 24,288,371 | 24,882,991 |
| 사용 | (55,000) | - | (55,000) | (653,000) | (128,755,709) | (129,408,709) |
| 기말 | 221,620 | 151,268,296 | 151,489,916 | 166,620 | 145,324,523 | 145,491,143 |
| 유동부채 | 221,620 | 151,268,296 | 151,489,916 | 166,620 | - | 166,620 |
| 비유동부채 | - | - | - | - | 145,324,523 | 145,324,523 |
14. 자본금 및 자본잉여금
(1) 당기말과 전기말 현재 당사의 자본금의 내역은 다음과 같습니다.
| (단위: 원,주) | ||
|---|---|---|
| 구 분 | 당기말 | 전기말 |
| 발행할 주식의 총수 | 100,000,000 | 100,000,000 |
| 1주당 액면가액 | 500 | 500 |
| 보통주 발행주식수 | 12,021,854 | 11,874,615 |
| 자본금 | 6,010,927,000 | 5,937,307,500 |
(2) 당기와 전기 보통주식수 및 보통주 자본금의 변동내역은 다음과 같습니다.
| (단위: 원) | ||||
|---|---|---|---|---|
| 구 분 | 당기 | 전기 | ||
| 보통주식수 | 보통주자본금 | 보통주식수 | 보통주자본금 | |
| 기초 | 11,874,615 | 5,937,307,500 | 9,172,646 | 4,586,323,000 |
| 유상증자 | - | - | 1,854,000 | 927,000,000 |
| 주식선택권 행사 | 147,239 | 73,619,500 | 133,141 | 66,570,500 |
| 보통주 전환 | - | - | 714,828 | 357,414,000 |
| 기말 | 12,021,854 | 6,010,927,000 | 11,874,615 | 5,937,307,500 |
(3) 당기말과 전기말 현재 자본잉여금의 내역은 다음과 같습니다.
| (단위: 원) | ||
|---|---|---|
| 구 분 | 당기말 | 전기말 |
| 주식발행초과금 | 158,135,246,950 | 156,907,541,295 |
| 기타자본잉여금 | 3,648,491,425 | 3,236,138,923 |
| 합 계 | 161,783,738,375 | 160,143,680,218 |
(4) 당기 및 전기 중 자본잉여금의 변동내역은 다음과 같습니다.
| (단위: 원) | ||||||||
|---|---|---|---|---|---|---|---|---|
| 구 분 | 당기 | 전기 | ||||||
| 주식발행초과금 | 주식선택권 | 기타자본잉여금 | 합 계 | 주식발행초과금 | 주식선택권 | 기타자본잉여금 | 합 계 | |
| 기초 | 156,907,541,295 | 3,739,704,246 | (503,565,323) | 160,143,680,218 | 101,867,105,602 | 2,513,723,873 | (503,565,323) | 103,877,264,152 |
| 유상증자 | - | - | - | - | 29,003,790,400 | - | - | 29,003,790,400 |
| 주식선택권 행사 | 1,227,705,655 | (401,142,165) | - | 826,563,490 | 819,025,194 | (148,293,724) | - | 670,731,470 |
| 주식보상비용 | - | 813,494,667 | - | 813,494,667 | - | 1,374,274,097 | - | 1,374,274,097 |
| 보통주 전환 | - | - | - | - | 25,217,620,099 | - | - | 25,217,620,099 |
| 기말 | 158,135,246,950 | 4,152,056,748 | (503,565,323) | 161,783,738,375 | 156,907,541,295 | 3,739,704,246 | (503,565,323) | 160,143,680,218 |
15. 기타포괄손익누계액
(1) 당기말과 전기말 현재 기타포괄손익누계액의 내역은 다음과 같습니다.
| (단위: 원) | ||
|---|---|---|
| 구 분 | 당기말 | 전기말 |
| 지분법자본변동 | 913,544,926 | (1,424,559,216) |
(2) 당기 및 전기의 기타포괄손익누계액의 변동내역은 다음과 같습니다.
<당기>
| (단위: 원) | |||
|---|---|---|---|
| 구 분 | 기초 | 지분법자본변동 | 기말 |
| 기타포괄손익누계액 | (1,424,559,216) | 2,338,104,142 | 913,544,926 |
<전기>
| (단위: 원) | |||
|---|---|---|---|
| 구 분 | 기초 | 지분법자본변동 | 기말 |
| 기타포괄손익누계액 | 331,145,936 | (1,755,705,152) | (1,424,559,216) |
16. 결손금 및 결손금처리계산서
(1) 당기말과 전기말 현재 결손금의 구성내역은 다음과 같습니다.
| (단위: 원) | ||
|---|---|---|
| 구 분 | 당기말 | 전기말 |
| 미처리결손금 | 124,095,662,108 | 101,576,979,190 |
(2) 당기의 결손금처리계산서(안)는 2022년 3월 28일 주주총회에서 처리될 예정이며(전기처리확정일: 2021년 3월 26일), 당기 및 전기의 결손금처리계산서는 다음과 같습니다.
| (단위: 원) | ||||
|---|---|---|---|---|
| 구 분 | 당기말 | 전기말 | ||
| I.미처리결손금 | 124,095,662,108 | 101,576,979,190 | ||
| 1.전기이월미처리결손금 | 101,576,979,190 | 91,944,179,065 | ||
| 2.당기순손실 | 22,518,682,918 | 9,632,800,125 | ||
| II.결손금처리액 | - | - | ||
| III.차기이월미처리결손금 | 124,095,662,108 | 101,576,979,190 | ||
17. 퇴직급여
당기 중 확정기여제도와 관련해 비용으로 인식한 퇴직급여 중 226,578,042원(전기: 233,199,790원)은 판매비와관리비에 228,723,453원(전기: 247,295,519원)은 경상연구개발비에 포함되어 있습니다.
18. 주식기준보상
(1) 당사의 주주총회 결의에 의거하여 당사의 임직원에게 부여하고 있는 주식선택권의 세부내역은 다음과 같습니다.
| 구 분 | 1 차(*1) | 2 차(*2) | 3차(*2) | 4차(*2) |
|---|---|---|---|---|
| 주식의 종류 | 기명식 보통주식 | 기명식 보통주식 | 기명식 보통주식 | 기명식 보통주식 |
| 부여방법 | 보통주 신주발행 | 보통주 신주발행 | 보통주 신주발행 | 보통주 신주발행 |
| 가득조건 및 행사가능시점 |
부여일 이후 2년 이상 회사의 임직원으로 재직한 자에 한해 행사가능하며, 3년경과 시점에서 최초부여주식의 40%, 4년 경과 시점에서 70%, 5년 경과 시점에서 7년 이내 100%를 행사할 수 있음 | 부여일 이후 2년 이상 회사의 임직원으로 재직한 자에 한해 행사가능하며, 3년경과 시점에서 최초부여주식의 40%, 4년 경과 시점에서 70%, 5년 경과 시점에서 7년 이내 100%를 행사할 수 있음 | 부여일 이후 2년 이상 회사의 임원으로 재직한 자에 한해 행사가 가능하며 2년 경과시점에서 7년 이내 최초 부여주식의 100%를 행사할 수 있음 | 부여일 이후 2년 이상 회사의 임직원으로 재직한 자에 한해 행사가능하며, 3년경과 시점에서 최초부여주식의 40%, 4년 경과 시점에서 70%, 5년 경과 시점에서 7년 이내 100%를 행사할 수 있음 |
| 부여일 | 2016-02-17 | 2017-02-28 | 2018-05-15 | 2018-06-15 |
| 행사가격 | 2,750원 | 6,700원 | 7,000원 | 7,250원 |
| 최초 부여수량 | 155,700주 | 384,706주 | 250,000주 | 278,000주 |
| 구 분 | 5 차 | 6 차 | 7차(*2) | 8차 |
|---|---|---|---|---|
| 주식의 종류 | 기명식 보통주식 | 기명식 보통주식 | 기명식 보통주식 | 기명식 보통주식 |
| 부여방법 | 보통주 신주발행 | 보통주 신주발행 | 보통주 신주발행 | 보통주 신주발행 |
| 가득조건 및 행사가능시점 |
부여일 이후 2년 이상 회사의 임직원으로 재직한 자에 한해 행사가능하며, 3년경과 시점에서 최초부여주식의 40%, 4년 경과 시점에서 70%, 5년 경과 시점에서 7년 이내 100%를 행사할 수 있음 | 부여일 이후 2년 이상 회사의 임직원으로 재직한 자에 한해 행사가능하며, 3년경과 시점에서 최초부여주식의 40%, 4년 경과 시점에서 70%, 5년 경과 시점에서 7년 이내 100%를 행사할 수 있음 | 부여일 이후 2년 이상 회사의 임원으로 재직한 자에 한해 행사가 가능하며 2년 경과시점에서 7 년이내 최초 부여주식의 100%를 행사할 수 있음 | 부여일 이후 2년 이상 회사의 임직원으로 재직한 자에 한해 행사가능하며, 3년경과 시점에서 최초부여주식의 40%, 4년 경과 시점에서 70%, 5년 경과 시점에서 7년 이내 100%를 행사할 수 있음 |
| 부여일 | 2019-01-18 | 2019-03-29 | 2019-07-17 | 2019-09-20 |
| 행사가격 | 9,000원 | 10,000원 | 11,000원 | 14,000원 |
| 최초 부여수량 | 26,000주 | 160,000주 | 98,874주 | 80,000주 |
| 구 분 | 9 차 | 10 차 | 11 차 | 12 차 |
|---|---|---|---|---|
| 주식의 종류 | 기명식 보통주식 | 기명식 보통주식 | 기명식 보통주식 | 기명식 보통주식 |
| 부여방법 | 보통주 신주발행 또는 현금차액보상 |
보통주 신주발행 | 보통주 신주발행 | 보통주 신주발행 |
| 가득조건 및 행사가능시점 |
부여일 이후 2년 이상 회사의 임원으로 재직한 자에 한해 행사가 가능하며 2년 경과시점에서 7년 이내 최초 부여주식의 100%를 행사할 수 있음 | 부여일 이후 2년 이상 재임또는 재직한 자에 한해 행사가능하며, 3년이 경과한 날로부터 4년 이내 50%, 4년이 경과한 날로부터 5년 이내 80%, 5년이 경과한 날로부터 7년 이내 100% 행사할수 있음 | 부여일 이후 2년 이상 재임또는 재직한 자에 한해 행사가능하며, 3년이 경과한 날로부터 4년 이내 50%, 4년이 경과한 날로부터 5년 이내 80%, 5년이 경과한 날로부터 7년 이내 100% 행사할수 있음 | 부여일 이후 2년 이상 재임또는 재직한 자에 한해 행사가능하며, 3년이 경과한 날로부터 4년 이내 50%, 4년이 경과한 날로부터 5년 이내 80%, 5년이 경과한 날로부터 7년 이내 100% 행사할수 있음 |
| 부여일 | 2020-06-30 | 2021-03-26 | 2021-08-13 | 2021-11-12 |
| 행사가격 | 30,400원 | 36,260원 | 30,409원 | 20,566원 |
| 최초 부여수량 | 383,701주 | 66,000주 | 49,000주 | 12,000주 |
(*1) 주식선택권 1차 부여분은 당기 중 전량 행사되었습니다.
(*2) 주식선택권 2차 부여분의 70%, 3차 부여분의 100%, 4차 부여분의 40%, 7차분의 100%는 가득조건이 완료되어 당기말 현재 행사가능합니다.
(2) 당사의 주식선택권의 수량의 변동은 다음과 같습니다.
| (단위:원, 주) | ||||
|---|---|---|---|---|
|
구 분 |
당기 | 전기 | ||
| 주식선택권 수량 | 가중평균행사가격 | 주식선택권 수량 | 가중평균행사가격 | |
| 기초 | 1,421,454 | 14,182 | 1,175,894 | 7,898 |
| 부여 | 127,000 | 32,520 | 383,701 | 30,400 |
| 행사 | (147,239) | 6,165 | (133,141) | 5,597 |
| 소멸 | (374,701) | 30,728 | (5,000) | 9,450 |
| 기말 | 1,026,514 | 12,957 | 1,421,454 | 14,182 |
| 행사가능 수량 | 396,908 | 6,914 | 272,351 | 6,700 |
당기말 현재 미행사된 주식선택권의 행사가격은 6,700원부터 36,260원 사이에 있으며, 가중평균 잔여만기는 3.93년입니다. 당기 중 행사된 주식선택권의 행사일 현재 주식가격의 가중평균은 34,152원입니다.
(3) 당사는 주식선택권의 보상원가를 이항모형을 이용한 공정가치접근법을 적용하여 산정했으며, 보상원가를 산정하기 위한 제반 가정 및 변수는 다음과 같습니다.
| 구 분 | 1 차 | 2 차 | 3차 | 4차 | 5차 | 6차 | 7차 | 8차 | 9차 | 10차 | 11차 | 12차 |
|---|---|---|---|---|---|---|---|---|---|---|---|---|
|
주식선택권의 가중평균 공정가치(*1) |
2,529 | 566 | 4,316 | 4,142 | 6,074 | 5,547 | 6,415 | 5,667 | 6,001 | 16,933 | 10,815 | 7,025 |
|
부여일의 기초자산 주가 |
4,286 | 3,432 | 8,520 | 8,520 | 11,949 | 12,096 | 15,323 | 15,323 | 19,450 | 35,900 | 29,200 | 17,700 |
|
주가변동성(*2) |
42% | 31% | 38% | 37% | 37% | 35% | 23% | 29% | 46% | 43% | 34% | 39% |
|
배당수익률 |
0% | 0% | 0% | 0% | 0% | 0% | 0% | 0% | 0% | 0% | 0% | 0% |
|
무위험수익률 |
1.70% | 1.90% | 2.60% | 2.50% | 1.90% | 1.71% | 1.45% | 1.40% | 1.92% | 1.65% | 1.63% | 2.04% |
(*1) 9차 주식선택권은 차액보상형 주식선택권으로 보고기간말 현재 공정가치가액입니다.
(*2) 1~8차 주가변동성은 이동평균방법을 적용한 의약품 업종변동성을 적용하였으며, 9차~12차는 유사 동종 업종변동성을 적용하였습니다.
(4) 당사의 주식기준보상비용은 전액 주식결제형 및 차액결제형 주식기준보상과 관련된 비용이며 당기 및 전기 중 비용으로 인식한 주식기준보상 내역은 다음과 같습니다.
| (단위: 원) | ||
|---|---|---|
| 구 분 | 당기 | 전기 |
| 판매비와관리비 | (2,291,528,539) | 3,891,910,899 |
| 경상연구개발비 | 317,991,495 | 405,035,857 |
| 합계 | (1,973,537,044) | 4,296,946,756 |
19. 판매비와관리비
당기 및 전기 중 판매비와관리비의 내역은 다음과 같습니다.
| (단위: 원) | ||
|---|---|---|
| 구 분 | 당기 | 전기 |
| 급여 | 1,495,363,768 | 1,479,072,569 |
| 퇴직급여 | 226,578,042 | 233,199,790 |
| 복리후생비 | 274,231,929 | 253,669,025 |
| 여비교통비 | 41,649,798 | 65,800,400 |
| 접대비 | 83,404,477 | 126,252,789 |
| 통신비 | 20,289,246 | 10,898,522 |
| 전력비 | 19,674,263 | 11,218,661 |
| 세금과공과금 | 92,688,968 | 26,773,090 |
| 감가상각비 | 398,226,066 | 350,501,468 |
| 지급임차료 | 29,806,152 | 3,495,328 |
| 수선비 | 5,691,000 | 23,716,341 |
| 보험료 | 11,168,295 | 13,602,543 |
| 차량유지비 | 37,774,827 | 27,621,390 |
| 경상연구개발비 | 10,472,945,422 | 8,845,569,503 |
| 운반비 | 32,013,139 | 70,202,764 |
| 교육훈련비 | 2,576,637 | 1,778,270 |
| 도서인쇄비 | 8,414,229 | 13,471,189 |
| 회의비 | 1,437,096 | 1,820,735 |
| 사무용품비 | 10,576,169 | 11,378,869 |
| 소모품비 | 60,389,155 | 66,866,305 |
| 지급수수료 | 1,246,493,184 | 684,409,102 |
| 광고선전비 | 164,803,590 | 108,727,406 |
| 판매촉진비 | 52,897,806 | 39,764,110 |
| 무형자산상각비 | 3,151,489 | 3,399,492 |
| 주식보상비용 | (2,291,528,539) | 3,891,910,899 |
| 기타 | 2,362,320 | 1,000,830 |
| 합계 | 12,503,078,528 | 16,366,121,390 |
20. 성격별비용
당기와 전기 중 비용의 성격별 분류의 내역은 다음과 같습니다.
| (단위: 원) | ||
|---|---|---|
| 구 분 | 당기(*) | 전기(*) |
| 종업원급여 | 2,414,248,269 | 8,443,330,594 |
| 감가상각비 및 무형자산상각비 | 1,135,620,595 | 1,231,415,463 |
| 지급수수료 | 5,905,286,221 | 4,132,434,216 |
| 소모품비 | 1,930,875,734 | 1,591,865,463 |
| 여비교통비 | 48,122,982 | 65,800,400 |
| 지급임차료 | 31,897,752 | 28,323,902 |
| 기타 | 1,128,380,673 | 915,817,598 |
| 합 계 | 12,594,432,226 | 16,408,987,636 |
(*) 포괄손익계산서상의 매출원가와 판매비와관리비를 합산한 금액입니다.
21. 금융수익과 금융비용
(1) 당기와 전기의 금융수익 내역은 다음과 같습니다.
| (단위: 원) | ||
|---|---|---|
| 구 분 | 당기 | 전기 |
| 이자수익 | 202,115,352 | 178,692,161 |
| 단기투자자산평가이익 | 1,490,671 | 319,856,970 |
| 단기투자자산처분이익 | 10,463,019 | 2,422,109 |
| 파생상품자산평가이익 | - | 8,742,846,122 |
| 합 계 | 214,069,042 | 9,243,817,362 |
(2) 당기와 전기의 금융비용 내역은 다음과 같습니다.
| (단위: 원) | ||
|---|---|---|
| 구 분 | 당기 | 전기 |
| 이자비용 | 197,626,935 | 507,541,741 |
| 단기투자자산평가손실 | 374,108,083 | 388,777,878 |
| 단기투자자산처분손실 | - | 149,965,983 |
| 파생금융부채평가손실 | - | 10,884,100,913 |
| 합 계 | 571,735,018 | 11,930,386,515 |
22. 기타수익과 기타비용
(1) 당기와 전기의 기타수익 내역은 다음과 같습니다.
| (단위: 원) | ||
|---|---|---|
| 구 분 | 당기 | 전기 |
| 외환차익 | 8,847,786 | 6,698,894 |
| 외화환산이익 | 14,000 | - |
| 리스해지이익 | 6,889,169 | 35,064,605 |
| 잡이익 | 11,664,103 | 1,189,814 |
| 합 계 | 27,415,058 | 42,953,313 |
(2) 당기와 전기의 기타비용 내역은 다음과 같습니다.
| (단위: 원) | ||
|---|---|---|
| 구 분 | 당기 | 전기 |
| 외환차손 | 11,519,402 | 76,348,756 |
| 기부금 | 7,500,000 | 3,600,000 |
| 유형자산폐기손실 | 481,138 | 1,375,481 |
| 잡손실 | 14,771,465 | 164,937 |
| 재고자산폐기손실 | 17,854 | 4,475,776 |
| 리스해지손실 | 252,836 | - |
| 합 계 | 34,542,695 | 85,964,950 |
23. 법인세비용
(1) 당기 및 전기 중 인식할 법인세비용은 없습니다.
(2) 당사의 법인세비용차감전순손실에 대한 법인세수익과 당사에 적용되는 가중평균세율을 사용하여 이론적으로 계산된 금액과의 차이는 다음과 같습니다.
| (단위: 원) | ||
|---|---|---|
| 구 분 | 당기 | 전기 |
| 법인세비용차감전순손실 | (22,518,682,918) | (9,632,800,125) |
| 국내법인세율로 계산된 법인세수익 | (4,954,110,242) | (2,119,216,028) |
| 조정사항: | ||
| - 세무상 과세되지 않는 수익 및 비용 | 198,971,747 | 22,504,992 |
| - 당기발생 세액공제 | - | (491,812,677) |
| - 이연법인세자산미인식효과 | 4,403,515,197 | 523,997,774 |
| - 전환상환우선주 및 전환우선주 평가 | - | 2,453,204,275 |
| - 공동기업투자주식 | 514,382,911 | (386,255,133) |
| - 기타 | (162,759,613) | (2,423,203) |
| 법인세수익 | - | - |
(3) 당기와 전기 중 동일과세당국과 관련된 금액을 상계하기 이전의 일시적차이 및 이연법인세자산과 부채의 변동은 다음과 같습니다.
① 당기
| (단위: 원) | ||||||
|---|---|---|---|---|---|---|
| 구 분 | 차감할(가산할)일시적차이 등 | 이연법인세자산(부채) | ||||
| 기 초 | 증 가 | 감 소 | 기 말 | 기 초 | 기 말 | |
| 지분법적용투자주식 | 4,658,866,834 | 9,085,174,769 | 1,424,559,216 | 12,319,482,387 | 1,024,950,704 | 2,710,286,125 |
| 단기금융상품 | 1,402,477,199 | 372,617,412 | 1,402,477,199 | 372,617,412 | 308,544,984 | 81,975,831 |
| 사용권자산 | (753,194,391) | (372,674,768) | (753,194,391) | (372,674,768) | (165,702,766) | (81,988,449) |
| 리스부채 | 699,355,450 | 350,805,935 | 699,355,450 | 350,805,935 | 153,858,199 | 77,177,306 |
| 충당부채 | 145,491,143 | 148,031,716 | 145,491,143 | 148,031,716 | 32,008,051 | 32,566,977 |
| 보증금 | 14,296,659 | 6,412,776 | 14,296,659 | 6,412,776 | 3,145,265 | 1,410,811 |
| 미지급비용 | 214,921,102 | 226,798,635 | 214,921,102 | 226,798,635 | 47,282,642 | 49,895,700 |
| 유무형자산 | 3,118,752 | - | 3,118,752 | - | 686,125 | - |
| 미수수익 | (46,576,398) | (59,541,237) | (46,576,398) | (59,541,237) | (10,246,808) | (13,099,072) |
| 주식보상비용 | 2,312,968,508 | 813,494,667 | 3,309,591,250 | (183,128,075) | 508,853,072 | (40,288,177) |
| 장기미지급비용 | 2,922,672,659 | - | 2,787,031,711 | 135,640,948 | 642,987,985 | 29,841,009 |
| 기타 | 157,197,677 | 259,188,886 | 157,041,677 | 259,344,886 | 34,583,489 | 57,055,875 |
| 소 계 | 11,731,595,194 | 10,830,308,791 | 9,358,113,370 | 13,203,790,615 | 2,580,950,942 | 2,904,833,936 |
| 이월결손금 | 26,880,508,190 | 18,609,960,992 | - | 45,490,469,182 | 5,913,711,802 | 10,007,903,220 |
| 이월세액공제 | - | - | - | - | 3,071,068,568 | 3,056,509,352 |
| 이연법인세자산 인식 제외(*) | - | - | - | - | 11,565,731,312 | 15,969,246,508 |
| 이연법인세자산 인식 대상 | - | - | - | - | - | - |
② 전기
| (단위: 원) | ||||||
|---|---|---|---|---|---|---|
| 구 분 | 차감할(가산할)일시적차이 등 | 이연법인세자산(부채) | ||||
| 기 초 | 증 가 | 감 소 | 기 말 | 기 초 | 기 말 | |
| 공동기업투자주식 | 5,602,619,460 | 7,467,947,560 | 8,411,700,186 | 4,658,866,834 | 1,232,576,281 | 1,024,950,704 |
| 단기금융상품 | 1,279,550,748 | 68,920,908 | (54,005,543) | 1,402,477,199 | 281,501,165 | 308,544,984 |
| 사용권자산 | (1,208,003,255) | (753,194,391) | (1,208,003,255) | (753,194,391) | (265,760,716) | (165,702,766) |
| 리스부채 | 1,079,186,877 | 699,355,450 | 1,079,186,877 | 699,355,450 | 237,421,113 | 153,858,199 |
| 충당부채 | 250,016,861 | 145,491,143 | 250,016,861 | 145,491,143 | 55,003,709 | 32,008,051 |
| 보증금 | 20,371,636 | 14,296,659 | 20,371,636 | 14,296,659 | 4,481,760 | 3,145,265 |
| 미지급비용 | 169,264,773 | 214,921,102 | 169,264,773 | 214,921,102 | 37,238,250 | 47,282,642 |
| 유무형자산 | 97,914 | 3,020,838 | - | 3,118,752 | 21,541 | 686,125 |
| 미수수익 | (150,770,273) | (46,576,398) | (150,770,273) | (46,576,398) | (33,169,460) | (10,246,808) |
| 주식보상비용 | 2,576,763,399 | 1,374,274,097 | 1,638,068,989 | 2,312,968,508 | 566,887,948 | 508,853,072 |
| 장기미지급비용 | - | 2,922,672,659 | - | 2,922,672,659 | - | 642,987,985 |
| 기타 | 117,225,983 | 156,729,677 | 116,757,983 | 157,197,677 | 25,789,716 | 34,583,489 |
| 소 계 | 9,736,324,124 | 12,267,859,304 | 10,272,588,234 | 11,731,595,194 | 2,141,991,306 | 2,580,950,942 |
| 이월결손금 | 28,744,097,925 | - | 1,863,589,735 | 26,880,508,190 | 6,323,701,544 | 5,913,711,802 |
| 이월세액공제 | - | - | - | 2,200,457,806 | 3,071,068,568 | |
| 이연법인세자산 인식 제외(*) | - | - | - | - | 10,666,150,656 | 11,565,731,312 |
| 이연법인세자산 인식 대상 | - | - | - | - | - | - |
(*) 이연법인세자산에 대한 미래 실현가능성은 당사의 성과, 전반적인 경제환경과 산업에 대한 전망, 향후 예상수익, 세액공제와 이월결손금의 공제가능기간 등 다양한 요소들을 고려하여 평가합니다. 당사는 주기적으로 이러한 사항들을 검토하고 있으나보고기간말 현재 차감할 일시적 차이 및 이월결손금과 관련된 법인세효과의 실현가능성이 확실하지 않다고 판단하여 이연법인세자산을 인식하지 않았습니다.
(4) 당기말과 전기말 현재 이연법인세자산으로 인식하지 않은 차감할 일시적 차이, 이월결손금 및 이월세액공제의 내역은 다음과 같습니다.
| (단위: 원) | |||
|---|---|---|---|
|
구 분 |
당기말 | 전기말 |
사 유 |
| 차감할일시적차이 | 13,203,790,615 | 11,731,595,194 | 미래과세소득 발생여부 불확실 |
| 이월결손금(*1) | 45,490,469,182 | 26,880,508,190 | 미래과세소득 발생여부 불확실 |
| 이월세액공제(*2) | 3,056,509,352 | 3,071,068,568 | 미래과세소득 발생여부 불확실 |
(*1) 당기말과 전기말 현재 미사용결손금의 만료 시기는 다음과 같습니다.
| (단위: 원) | |||
|---|---|---|---|
|
구 분 |
당기말 | 전기말 | 비 고 |
| 2025년 | 150,262,825 | 150,262,825 | 2015년 발생분 |
| 2026년 | 3,877,143,633 | 3,877,143,633 | 2016년 발생분 |
| 2027년 | 4,900,051,117 | 4,900,051,117 | 2017년 발생분 |
| 2028년 | 7,592,352,251 | 7,592,352,251 | 2018년 발생분 |
| 2029년 | 10,360,698,364 | 10,360,698,364 | 2019년 발생분 |
| 2031년 | 18,609,960,992 | - | 2021년 발생분 |
| 합 계 | 45,490,469,182 | 26,880,508,190 | |
(*2) 당기말과 전기말 현재 이월세액공제액의 만료 시기는 다음과 같습니다.
| (단위: 원) | |||
|---|---|---|---|
|
구 분 |
당기말 | 전기말 | 비 고 |
| 2024년 | - | 2,720,000 | 2014년 발생분 |
| 2025년 | 354,706,369 | 354,706,369 | 2015년 발생분 |
| 2026년 | 366,630,124 | 366,630,124 | 2016년 발생분 |
| 2027년 | 464,903,569 | 464,903,569 | 2017년 발생분 |
| 2028년 | 492,415,657 | 492,415,657 | 2018년 발생분 |
| 2029년 | 894,638,456 | 897,880,172 | 2019년 발생분 |
| 2030년 | 483,215,177 | 491,812,677 | 2020년 발생분 |
| 합 계 | 3,056,509,352 | 3,071,068,568 | |
24. 주당손익
(1) 기본주당손익
당기와 전기의 보통주 기본주당손익은 다음과 같습니다.
| (단위: 원, 주) | ||
|---|---|---|
| 구 분 | 당기 | 전기 |
| 보통주 당기순이익(손실) | (22,518,682,918) | (9,632,800,125) |
| 가중평균 유통보통주식수(*1) | 11,967,128 | 10,606,014 |
| 기본주당순이익 | - | - |
| 보통주 주당이익(손실) | (1,882) | (908) |
(*1) 당기 및 전기 중 가중평균유통보통주식수의 산정내역은 다음과 같습니다.
| (단위: 주) | ||
|---|---|---|
| 구 분 | 당기 | 전기 |
| 기초발행주식수 | 11,874,615 | 9,172,646 |
| 유상증자 | - | 1,002,984 |
| 주식선택권 행사 | 92,513 | 58,651 |
| 보통주 전환 | - | 371,733 |
| 가중평균 유통보통주식수 | 11,967,128 | 10,606,014 |
(2) 희석주당이익
회사는 주식선택권을 발행하고 있으나 동 희석성잠재적보통주로 인하여 희석화 효과가 발생하지 않으므로 희석주당손익은 기본주당손익과 동일합니다.
25. 현금흐름표
(1) 당기와 전기 중 유동성 대체를 제외한 중요한 현금의 유입ㆍ유출이 없는 거래는 다음과 같습니다.
| (단위: 원) | ||
|---|---|---|
| 구 분 | 당기 | 전기 |
| 건설중인자산의 대체 | 104,118,252 | 930,819,120 |
| 보통주 전환 | - | 25,580,634,179 |
| 주식매수선택권 행사 | 401,142,165 | 148,293,724 |
(2) 당기 및 전기 중 재무활동에서 생기는 부채의 조정내용은 다음과 같습니다.
<당기>
| (단위: 원) | ||||||
|---|---|---|---|---|---|---|
| 구 분 | 기초 | 현금흐름 | 비현금변동 | 기말 | ||
| 리스부채 증가 | 리스부채 감소 | 상각(이자비용) | ||||
| 리스부채 | 699,355,450 | (381,692,094) | 112,830,675 | (106,484,778) | 26,796,682 | 350,805,935 |
| 차입금 | 5,940,000,000 | (120,000,000) | - | - | - | 5,820,000,000 |
| 재무활동으로부터의 총부채 | 6,639,355,450 | (501,692,094) | 112,830,675 | (106,484,778) | 26,796,682 | 6,170,805,935 |
<전기>
| (단위: 원) | ||||||||
|---|---|---|---|---|---|---|---|---|
| 구 분 | 기초 | 현금흐름 | 비현금변동 | 기말 | ||||
| 리스부채 증가 | 리스부채 감소 | 보통주전환 | 상각(이자비용) | 공정가치변동 | ||||
| 전환상환우선주 | 3,546,162,021 | - | - | - | (3,812,989,631) | 266,827,610 | - | - |
| 파생금융부채 | 10,883,543,635 | - | - | - | (21,767,644,548) | - | 10,884,100,913 | - |
| 리스부채 | 1,079,186,877 | (434,641,275) | 24,591,185 | (11,804,008) | - | 42,022,671 | - | 699,355,450 |
| 차입금 | 6,060,000,000 | (120,000,000) | - | - | - | - | - | 5,940,000,000 |
| 재무활동으로부터의 총부채 | 21,568,892,533 | (554,641,275) | 24,591,185 | (11,804,008) | (25,580,634,179) | 308,850,281 | 10,884,100,913 | 6,639,355,450 |
26. 특수관계자 거래
(1) 당기말과 전기말 현재 당사의 특수관계자 현황은 다음과 같습니다.
| 구분 | 당기말 | 전기말 |
|---|---|---|
| 유의적인 영향력을 행사하는기업(*1) |
Duopharma Biotech Berhad | Duopharma Biotech Berhad |
| 지분법적용투자기업(*2) | CoImmune Inc. | CoImmune Inc. |
(*1) 별도 약정서에 의거해 당사의 이사를 선임할 수 있는 권한이 있습니다.
(*2) CoImmune Inc는 지분법적용투자기업 분류 내 당기중 공동지배기업에서 관계기업투자로 변경되었습니다.
(2) 당기와 전기의 당사와 특수관계자간의 거래내역은 다음과 같습니다.
<당기>
당기 중 특수관계자간의 거래는 없습니다.
<전기>
| (단위: 원) | ||
|---|---|---|
| 회사명 | 전기 | |
| 매출 | 이자비용 | |
| 유의적 영향력을 행사하는 기업: |
||
| 산은캐피탈㈜(*) | - | 117,394,632 |
| KDBC마이다스동아스노우볼투자조합2호(*) | - | 47,118,579 |
| ㈜한독(*) | 84,712,111 | 67,939,996 |
| 합 계 | 84,712,111 | 232,453,207 |
(*) 특수관계가 해소되기 전까지의 수익 인식금액입니다.
(3) 당기말과 전기말 현재 특수관계자에 대한 채무 금액은 없습니다.
(4) 당기와 전기의 특수관계자와의 자금거래는 다음과 같으며, 당사의 장기차입금과 관련하여 주요 경영진으로부터 2,940,000,000원의 보증을 제공받고 있습니다.
| (단위: 원) | ||||
|---|---|---|---|---|
| 특수관계자 구분 | 특수관계자명 | 자금거래의 성격 | 당기 | 전기 |
| 지분법적용투자기업 | CoImmune Inc | 추가 출자 | - | 7,555,495,980 |
(5) 당사는 등기이사 및 기업활동의 계획, 운영 및 통제에 대한 중요한 권한과 책임을가진 등기 임원을 주요 경영진으로 판단하고 있으며, 당기 및 전기의 주요 경영진에 대한 보상금액은 다음과 같습니다.
| (단위: 원) | ||
|---|---|---|
| 구 분 | 당기 | 전기 |
| 급여 | 529,685,191 | 572,400,006 |
| 퇴직급여 | 130,277,782 | 121,000,001 |
| 주식보상비용 | (2,312,585,416) | 3,886,266,498 |
| 합 계 | (1,652,622,443) | 4,579,666,505 |
(*) 당기 중 사임한 등기임원의 근무기간동안의 금액이 포함되어 있습니다.
27. 범주별 금융상품
당기말과 전기말 현재 당사의 범주별 금융상품 내역은 다음과 같습니다.
(1) 금융자산
| (단위: 원) | ||||||
|---|---|---|---|---|---|---|
|
구 분 |
당기말 |
전기말 |
||||
| 상각후원가 | 당기손익- 공정가치 |
합 계 | 상각후원가 | 당기손익- 공정가치 |
합 계 | |
| 현금 및 현금성자산 | 2,890,275,427 | - | 2,890,275,427 | 77,474,257 | - | 77,474,257 |
| 매출채권 | 16,795,717 | - | 16,795,717 | 18,592,060 | - | 18,592,060 |
| 기타채권 | 708,176,391 | - | 708,176,391 | 195,383,089 | - | 195,383,089 |
| 단기금융상품 | 16,000,000,000 | 753,572,123 | 16,753,572,123 | 14,000,000,000 | 21,219,418,967 | 35,219,418,967 |
| 장기금융상품 | - | 1,147,100,000 | 1,147,100,000 | - | - | - |
| 합 계 | 19,615,247,535 | 1,900,672,123 | 21,515,919,658 | 14,291,449,406 | 21,219,418,967 | 35,510,868,373 |
(2) 금융부채
| (단위: 원) | ||||
|---|---|---|---|---|
|
구 분 |
당기말 |
전기말 |
||
| 상각후원가 | 합 계 | 상각후원가 | 합 계 | |
| 차입금 | 5,820,000,000 | 5,820,000,000 | 5,940,000,000 | 5,940,000,000 |
| 기타금융부채 | 897,157,374 | 897,157,374 | 1,174,841,950 | 1,174,841,950 |
|
합 계 |
6,717,157,374 | 6,717,157,374 | 7,114,841,950 | 7,114,841,950 |
(3) 금융상품의 범주별 순손익
| (단위: 원) | ||
|---|---|---|
|
구 분 |
당기 |
전기 |
| 당기손익-공정가치 금융자산 | ||
| 이자수익 | 39,348,840 | 52,570,636 |
| 평가손익 | (372,617,412) | 8,673,925,214 |
| 처분손익 | 10,463,019 | (147,543,874) |
| 상각후원가 금융자산 | ||
| 이자수익 | 157,306,375 | 126,121,525 |
| 당기손익-공정가치 금융부채 | ||
| 평가손익 | - | (10,884,100,913) |
| 상각후원가 금융부채 | ||
| 이자비용 | (197,626,935) | (465,519,070) |
| 외화손익 | - | (69,649,862) |
28. 재무위험관리
당사는 여러 활동으로 인하여 시장위험(환위험, 공정가치 이자율 위험, 현금흐름 이자율 위험 및 가격위험), 신용위험 및 유동성위험과 같은 다양한 금융위험에 노출되어 있습니다. 당사의 전반적인 위험관리정책은 금융시장의 예측불가능성에 초점을 맞추고 있으며 재무성과에 잠재적으로 불리할 수 있는 효과를 최소화하는데 중점을 두고 있습니다.
위험관리는 이사회에서 승인한 정책에 따라 당사 재무팀에 의해 이루어지고 있습니다. 당사 재무팀은 당사의 현업 부서들과 긴밀히 협력하여 재무위험을 식별, 평가 및 회피하고 있습니다. 이사회는 외환위험, 이자율위험, 신용위험 및 유동성을 초과하는 투자와 같은 특정 분야에 관한 문서화된 정책 뿐 아니라, 전반적인 위험관리에 대한 문서화된 정책을 제공합니다.
가. 시장위험
(1) 외환위험
당사는 외화로 표시된 거래를 수행하고 있지 않으므로 외화와 관련된 환율변동위험에 노출되어 있지 않습니다.
(2) 이자율위험
이자율 위험은 시장이자율의 변동으로 인하여 금융상품에서 발생하는 이자수익 및 이자비용이 변동할 위험을 의미합니다. 변동이자율로 발행된 차입금으로 인하여 당사는 이자율변동에 따른 현금흐름변동위험에 노출되어 있습니다. 당기말 및 전기말 현재 이자율변동위험에 노출된 부채의 장부금액은 다음과 같습니다.
| (단위: 원) | ||
|---|---|---|
| 구 분 | 당기말 | 전기말 |
| 차입금 | 5,820,000,000 | 5,940,000,000 |
당사는 내부적으로 이자율 변동으로 인한 이자율위험을 정기적으로 측정하고 있습니다. 보고기간 종료일 현재 각 자산 및 부채에 대한 이자율이 1% 포인트 변동시 이자율 변동이 당기 및 전기 손익에 미치는 영향(법인세효과 제외)은 다음과 같습니다.
| (단위: 원) | ||||
|---|---|---|---|---|
| 구 분 | 당기 | 전기 | ||
| 1% 상승시 | 1% 하락시 | 1% 상승시 | 1% 하락시 | |
| 손익효과 | (58,200,000) | 58,200,000 | (59,400,000) | 59,400,000 |
(3) 가격위험
가격위험은 이자율위험이나 환위험 이외의 시장가격의 변동으로 인하여 금융상품의 공정가치나 미래현금흐름이 변동할 위험을 의미합니다. 당기말 현재 회사의 가격위험에 대한 노출은 유의적이지 않습니다.
나. 신용위험
신용위험은 보유하고 있는 수취채권 및 확정계약을 포함한 도소매 거래처에 대한 신용위험뿐 아니라 현금및현금성자산, 은행 등의 금융기관 예치금으로부터 발생하고 있습니다. 은행 및 금융기관의 경우, 독립적인 신용평가기관으로부터의 신용등급이 최소 A이상인 경우에 한하여 거래를 하고 있습니다. 당기 중 신용위험에 중요한 영향을 미치는 사항은 발견되지 않았으며, 경영진은 거래상대방의 의무불이행으로 인한 손실을 예상하고 있지 아니합니다.
다. 유동성위험
회사는 차입금한도를 적정수준으로 유지하고 영업 자금 수요를 충족시킬 수 있도록 유동성에 대한 예측을 항시 모니터링하여 차입금 한도나 약정을 위반하는 일이 없도록 하고 있습니다. 유동성에 대한 예측 시에는 회사의 자금조달 계획, 약정 준수, 회사 내부의 목표재무비율 및 통화에 대한 제한과 같은 외부 법규나 법률 요구사항이 있는 경우 그러한 요구사항을 고려하고 있습니다.
회사는 상기에서 언급한 예측을 통해 결정된 대로 유동성이 확보될 수 있도록 적절한만기나 충분한 유동성을 제공해주는 정기예금, 수시입출금식 예금 등의 금융상품을 선택하여 잉여자금을 투자하고 있습니다.
당기말과 전기말 현재 당사의 유동성 위험 분석내역은 다음과 같습니다.
<당기말>
| (단위: 원) | |||||
|---|---|---|---|---|---|
| 구 분 | 3개월 미만 | 3개월~1년 이하 | 1년~ 2년 이하 | 2년~ 5년 이하 | 합 계 |
| 기타금융부채 | 414,571,265 | 278,214,539 | 204,371,570 | - | 897,157,374 |
| 차입금 | 69,111,533 | 5,854,447,888 | - | - | 5,923,559,421 |
| 리스부채 | 98,946,801 | 180,317,674 | 50,977,050 | 34,652,660 | 364,894,185 |
| 합 계 | 582,629,599 | 6,312,980,101 | 255,348,620 | 34,652,660 | 7,185,610,980 |
<전기말>
| (단위: 원) | |||||
|---|---|---|---|---|---|
| 구 분 | 3개월 미만 | 3개월~1년 이하 | 1년~ 2년 이하 | 2년~ 5년 이하 | 합 계 |
| 기타금융부채 | 751,458,885 | 270,034,304 | 153,348,761 | - | 1,174,841,950 |
| 차입금 | 68,458,229 | 209,848,188 | 5,923,559,421 | - | 6,201,865,838 |
| 리스부채 | 90,144,531 | 255,867,223 | 332,644,475 | 40,029,710 | 718,685,939 |
| 합 계 | 910,061,645 | 735,749,715 | 6,409,552,657 | 40,029,710 | 8,095,393,727 |
당사는 상기에서 언급한 예측을 통해 결정된 대로 유동성이 확보될 수 있도록 적절한만기나 충분한 유동성을 제공해주는 정기예금, 수시입출금식 예금 등의 금융상품을 선택하여 잉여자금을 투자하고 있습니다.
라. 자본위험관리
당사의 자본관리 목적은 계속기업으로서 주주 및 이해당사자들에게 이익을 지속적으로 제공할 수 있는 능력을 보호하고 자본비용을 절감하기 위해 최적 자본구조를 유지하는 것입니다.
당기말과 전기말 현재의 자본조달비율은 다음과 같습니다.
| (단위: 원) | ||
|---|---|---|
|
구 분 |
당기말 | 전기말 |
|
총차입금(*) |
6,170,805,935 | 6,639,355,450 |
|
차감: 현금및현금성자산 |
2,890,275,427 | 77,474,257 |
|
순부채 |
3,280,530,508 | 6,561,881,193 |
|
자본총계 |
44,612,548,193 | 63,079,449,312 |
| 총자본 | 47,893,078,701 | 69,641,330,505 |
|
자본조달비율 |
6.85% | 9.42% |
(*) 당기말 및 전기말 총차입금에는 리스부채가 포함되어 있습니다.
마. 금융상품 공정가치
(1) 금융상품의 종류별 장부금액 및 공정가치는 다음과 같습니다.
| (단위: 원) | ||||
|---|---|---|---|---|
| 구 분 | 당기말 | 전기말 | ||
| 장부금액 | 공정가치 | 장부금액 | 공정가치 | |
| 금융자산 | ||||
| 현금및현금성자산 | 2,890,275,427 | 2,890,275,427 | 77,474,257 | 77,474,257 |
| 단기금융상품 | 16,753,572,123 | 16,753,572,123 | 35,219,418,967 | 35,219,418,967 |
| 매출채권 | 16,795,717 | 16,795,717 | 18,592,060 | 18,592,060 |
| 기타채권 | 708,176,391 | 708,176,391 | 195,383,089 | 195,383,089 |
| 장기금융상품 | 1,147,100,000 | 1,147,100,000 | - | - |
| 합 계 | 21,515,919,658 | 21,515,919,658 | 35,510,868,373 | 35,510,868,373 |
| 금융부채 | ||||
| 차입금 | 5,820,000,000 | 5,820,000,000 | 5,940,000,000 | 5,940,000,000 |
| 기타금융부채 | 897,157,374 | 897,157,374 | 1,174,841,950 | 1,174,841,950 |
| 합 계 | 6,717,157,374 | 6,717,157,374 | 7,114,841,950 | 7,114,841,950 |
(2) 공정가치 서열체계
공정가치로 측정되는 금융상품은 공정가치 서열체계에 따라 구분되며 정의된 수준들은 다음과 같습니다.
| - 측정일에 동일한 자산이나 부채에 대해 접근할 수 있는 활성시장의(조정하지 않은) 공시가격 (수준 1) |
| - 수준 1의 공시가격 외에 자산이나 부채에 대해 직접적으로나 간접적으로 관측할 수 있는 투입변수 (수준 2) |
| - 자산이나 부채에 대한 관측할 수 없는 투입변수 (수준 3) |
공정가치로 측정되는 금융상품의 공정가치 서열체계 구분은 다음과 같습니다.
<당기말>
| (단위: 원) | ||||
|---|---|---|---|---|
| 구 분 |
수준 1 |
수준 2 |
수준 3 |
합 계 |
|
반복적인 공정가치 측정치 |
||||
| 당기손익-공정가치 금융자산 | ||||
| 단기금융상품 | - | - | 753,572,123 | 753,572,123 |
| 장기금융상품 | - | - | 1,147,100,000 | 1,147,100,000 |
| 합계 | - | - | 1,900,672,123 | 1,900,672,123 |
<전기말>
| (단위: 원) | ||||
|---|---|---|---|---|
| 구 분 |
수준 1 |
수준 2 |
수준 3 |
합 계 |
|
반복적인 공정가치 측정치 |
||||
| 당기손익-공정가치 금융자산 | ||||
| 단기금융상품 | - | 20,093,229,432 | 1,126,189,535 | 21,219,418,967 |
(3) 반복적인 공정가치 측정치의 서열체계 수준 간 이동
당기와 전기 중 수준 1과 수준 2간의 유의적인 이동은 없습니다.
(4) 가치평가기법 및 투입변수
당사는 공정가치 서열체계에서 수준3으로 분류되는 공정가치에 대하여 다음의 가치평가기법과 투입변수를 사용하고 있습니다.
| (단위 : 원) | ||||
|---|---|---|---|---|
| 구분 | 공정가치 | 평가기법 | 관측가능하지 않은 투입변수 |
|
| 당기말 | 전기말 | |||
| 단기금융상품 | 753,572,123 | 1,126,189,535 | 회계법인실사금액 | ㆍ- |
| 장기금융상품 | 1,147,100,000 | - | 원가법 | ㆍ기초자산가격 |
29. 우발부채 및 약정사항
(1) 당사는 당기말 현재 신용카드 등 전자결제 대행계약에 따른 손해배상 및 지원사업 협약에 따른 의무상환금과 관련하여 서울보증보험의 이행지급보증보험(부보금액:20,000,000원)에 가입하고 있습니다.
(2) 당기말 현재 담보제공자산 등의 현황은 다음과 같습니다.
| (단위: 원) | |||
|---|---|---|---|
| 구 분 | 장부금액 | 담보설정액 | 비 고 |
| 토지 | 6,967,498,403 | 7,320,000,000 | 우리은행 차입금 관련 |
| 건물 | 1,943,531,934 | ||
한편, 상기 차입금과 관련해서 당사의 특수관계자인 주요 경영진으로부터 연대보증 2,940,000,000원을 제공받고 있습니다.(주석 26참조)
(3) 당사는 Allele Biotechnology and Pharmaceuticals, Inc.와의 라이센스계약에 따라 개발비 분담금 US$750,000을 보고기간종료일 이후인 2022년 1월 31일까지, US$500,000은 주요단계인 IND(임상시험용신약) 승인 시, US$1,000,000은 MAA(시판허가신청) 승인 시 지급할 예정입니다.
6. 배당에 관한 사항
가. 배당에 대한 전반적인 사항
당사의 정관에 기재된 배당에 관한 사항은 아래와 같습니다.
[배당에 관한 사항]
| 제13조(신주의 동등배당) ① 회사가 정한 배당기준일 전에 유상증자, 무상증자 및 주식배당에 의하여 발행한 주식에 대하여는 동등배당한다. ② 제1항의 규정에도 불구하고 배당기준일을 정하는 이사회 결의일로부터 그 배당기준일까지 발행한 신주에 대하여는 배당을 하지 아니한다. |
|
제53조(이익금의 처분) 1. 이익준비금 2. 기타의 법정준비금 3. 배당금 4. 임의적립금 5. 기타의 이익잉여금처분액 |
|
제54조(이익배당) ② 이익의 배당을 주식으로 하는 경우 회사가 종류주식을 발행한 때에는 각각 그와 같은 종류의 주식으로 할 수 있다. ③ 제1항의 배당은 이사회 결의로 정하는 배당기준일 현재의 주주명부에 기재된 주주 또는 등록된 질권자에게 지급한다. |
나. 최근 3개년 배당에 관한 사항
| 구 분 | 주식의 종류 | 당기 | 전기 | 전전기 |
|---|---|---|---|---|
| 제8기 | 제7기 | 제6기 | ||
| 주당액면가액(원) | 500 | 500 | 500 | |
| (연결)당기순이익(백만원) | - | - | - | |
| (별도)당기순이익(백만원) | -22,519 | -9,633 | -42,554 | |
| (연결)주당순이익(원) | -1,873 | -908 | -8,083 | |
| 현금배당금총액(백만원) | - | - | - | |
| 주식배당금총액(백만원) | - | - | - | |
| (연결)현금배당성향(%) | - | - | - | |
| 현금배당수익률(%) | - | - | - | - |
| - | - | - | - | |
| 주식배당수익률(%) | - | - | - | - |
| - | - | - | - | |
| 주당 현금배당금(원) | - | - | - | - |
| - | - | - | - | |
| 주당 주식배당(주) | - | - | - | - |
| - | - | - | - | |
다. 과거 배당이력에 관한 사항
| (단위: 회, %) |
| 연속 배당횟수 | 평균 배당수익률 | ||
|---|---|---|---|
| 분기(중간)배당 | 결산배당 | 최근 3년간 | 최근 5년간 |
| - | - | - | - |
| 주1) | 당사는 배당금 지급에 대한 이력이 없습니다. |
7. 증권의 발행을 통한 자금조달에 관한 사항
7-1. 증권의 발행을 통한 자금조달 실적
| [지분증권의 발행 등과 관련된 사항] |
가. 증자(감자)현황
| (기준일 : | 2021년 12월 31일 | ) | (단위 : 원, 주) |
| 주식발행 (감소)일자 |
발행(감소) 형태 |
발행(감소)한 주식의 내용 | ||||
|---|---|---|---|---|---|---|
| 종류 | 수량 | 주당 액면가액 |
주당발행 (감소)가액 |
비고 | ||
| 2019.06.04 | 주식매수선택권행사 | 보통주 | 16,450 | 500 | 5,500 | - |
| 2019.06.05 | 유상증자(제3자배정) | 보통주 | 65,261 | 500 | 30,646 | - |
| 2019.06.05 | 유상증자(제3자배정) | 우선주 | 130,524 | 500 | 30,646 | - |
| 2019.09.18 | 전환권행사 | 보통주 | 2,656,314 | 500 | - | - |
| 2019.09.18 | 전환권행사 | 우선주 | 2,656,314 | 500 | - | - |
| 2019.09.19 | 전환권행사 | 보통주 | 38,089 | 500 | - | - |
| 2019.09.19 | 전환권행사 | 우선주 | 38,089 | 500 | - | - |
| 2019.10.07 | 무상증자 | 보통주 | 4,586,323 | 500 | 500 | 주4) |
| 2019.10.07 | 무상증자 | 우선주 | 357,414 | 500 | 500 | 주4) |
| 2020.06.12 | 유상증자(일반공모) | 보통주 | 1,854,000 | 500 | 17,000 | 주5) |
| 2020.06.17 | 전환권행사 | 보통주 | 649,566 | 500 | 2,750 | - |
| 2020.06.17 | 전환권행사 | 우선주 | 649,566 | 500 | 6,700 | - |
| 2020.06.23 | 주식매수선택권행사 | 보통주 | 11,676 | 500 | 2,750 | - |
| 2020.06.23 | 주식매수선택권행사 | 보통주 | 36,886 | 500 | 6,700 | - |
| 2020.07.09 | 주식매수선택권행사 | 보통주 | 10,035 | 500 | 2,750 | - |
| 2020.07.09 | 주식매수선택권행사 | 보통주 | 16,542 | 500 | 6,700 | - |
| 2020.07.23 | 주식매수선택권행사 | 보통주 | 6,690 | 500 | 2,750 | - |
| 2020.07.23 | 주식매수선택권행사 | 보통주 | 16,272 | 500 | 6,700 | - |
| 2020.08.06 | 주식매수선택권행사 | 보통주 | 3,345 | 500 | 2,750 | - |
| 2020.08.06 | 주식매수선택권행사 | 보통주 | 2,240 | 500 | 6,700 | - |
| 2020.08.20 | 주식매수선택권행사 | 보통주 | 3,845 | 500 | 2,750 | - |
| 2020.08.20 | 주식매수선택권행사 | 보통주 | 9,111 | 500 | 6,700 | - |
| 2020.09.09 | 전환권행사 | 우선주 | 65,262 | 500 | - | - |
| 2020.09.09 | 전환권행사 | 보통주 | 65,262 | 500 | - | - |
| 2020.09.24 | 주식매수선택권행사 | 보통주 | 1,572 | 500 | 2,750 | - |
| 2020.09.24 | 주식매수선택권행사 | 보통주 | 6,920 | 500 | 6,700 | - |
| 2020.10.15 | 주식매수선택권행사 | 보통주 | 1,500 | 500 | 6,700 | - |
| 2020.11.12 | 주식매수선택권행사 | 보통주 | 51 | 500 | 6,700 | - |
| 2020.11.25 | 주식매수선택권행사 | 보통주 | 5,260 | 500 | 6,700 | - |
| 2020.12.09 | 주식매수선택권행사 | 보통주 | 1,196 | 500 | 6,700 | - |
| 2021.01.08 | 주식매수선택권행사 | 보통주 | 1,000 | 500 | 6,700 | - |
| 2021.01.22 | 주식매수선택권행사 | 보통주 | 240 | 500 | 6,700 | - |
| 2021.02.05 | 주식매수선택권행사 | 보통주 | 2,500 | 500 | 6,700 | - |
| 2021.02.19 | 주식매수선택권행사 | 보통주 | 3,337 | 500 | 2,750 | - |
| 2021.03.05 | 주식매수선택권행사 | 보통주 | 9,842 | 500 | 2,750 | - |
| 2021.03.05 | 주식매수선택권행사 | 보통주 | 18,952 | 500 | 6,700 | - |
| 2021.04.09 | 주식매수선택권행사 | 보통주 | 5,004 | 500 | 2,750 | - |
| 2021.04.09 | 주식매수선택권행사 | 보통주 | 552 | 500 | 6,700 | - |
| 2021.04.23 | 주식매수선택권행사 | 보통주 | 8,511 | 500 | 2,750 | - |
| 2021.04.23 | 주식매수선택권행사 | 보통주 | 17,564 | 500 | 6,700 | - |
| 2021.07.01 | 주식매수선택권행사 | 보통주 | 3,337 | 500 | 2,750 | - |
| 2021.07.01 | 주식매수선택권행사 | 보통주 | 4,000 | 500 | 6,700 | - |
| 2021.07.01 | 주식매수선택권행사 | 보통주 | 72,400 | 500 | 7,250 | - |
| 주1) | 액면분할 (주당 5,000원 → 주당 500원) |
| 주2) | 200% 무상증자 (1주당 2주, 재원: 주식발행초과금) |
| 주3) | 인하대학교 산학협력단의 특허권 양도채권 현물출자 |
| 주4) | 100% 무상증자 (1주당 1주, 재원: 주식발행초과금) |
| 주5) | 코스닥시장 상장 공모(주관사 의무인수분 포함) |
나. 미상환 전환사채
| (기준일 : | 2021년 12월 31일 | ) | (단위 : 원, 주) |
| 종류\구분 | 회차 | 발행일 | 만기일 | 권면(전자등록)총액 | 전환대상 주식의 종류 |
전환청구가능기간 | 전환조건 | 미상환사채 | 비고 | ||
|---|---|---|---|---|---|---|---|---|---|---|---|
| 전환비율 (%) |
전환가액 | 권면(전자등록)총액 | 전환가능주식수 | ||||||||
| - | - | - | - | - | - | - | - | - | - | - | - |
| 합 계 | - | - | - | - | - | - | - | - | - | - | - |
| 주1) | 당사는 보고서 작성기준일 현재 해당사항이 없습니다. |
다. 미상환 신주인수권부사채
| (기준일 : | 2021년 12월 31일 | ) | (단위 : 원, 주) |
| 종류\구분 | 회차 | 발행일 | 만기일 | 권면(전자등록)총액 | 행사대상 주식의 종류 |
신주인수권 행사가능기간 | 행사조건 | 미상환 사채 |
미행사 신주 인수권 |
비고 | |
|---|---|---|---|---|---|---|---|---|---|---|---|
| 행사비율 (%) |
행사가액 | 권면(전자등록)총액 | 행사가능주식수 | ||||||||
| - | - | - | - | - | - | - | - | - | - | - | - |
| 합 계 | - | - | - | - | - | - | - | - | - | - | - |
| 주1) | 당사는 보고서 작성기준일 현재 해당사항이 없습니다. |
라. 미상환 전환형 조건부자본증권 등 발행현황
| (기준일 : | 2021년 12월 31일 | ) | (단위 : 원, 주) |
| 구분 | 회차 | 발행일 | 만기일 | 권면(전자등록)총액 | 주식 전환의 사유 |
주식 전환의 범위 |
전환가액 | 주식전환으로 인하여 발행할 주식 |
비고 | |
|---|---|---|---|---|---|---|---|---|---|---|
| 종류 | 수 | |||||||||
| - | - | - | - | - | - | - | - | - | - | - |
| 합 계 | - | - | - | - | - | - | - | - | - | - |
| 주1) | 당사는 보고서 작성기준일 현재 해당사항이 없습니다. |
| [채무증권의 발행 등과 관련된 사항] |
가. 채무증권 발행현황
| (기준일 : | 2021년 12월 31일 | ) | (단위 : 원, %) |
| 발행회사 | 증권종류 | 발행방법 | 발행일자 | 권면(전자등록)총액 | 이자율 | 평가등급 (평가기관) |
만기일 | 상환 여부 |
주관회사 |
|---|---|---|---|---|---|---|---|---|---|
| - | - | - | - | - | - | - | - | - | - |
| 합 계 | - | - | - | - | - | - | - | - | - |
| 주1) | 당사는 보고서 작성기준일 현재 해당사항이 없습니다. |
나. 기업어음증권 미상환 잔액
| (기준일 : | 2021년 12월 31일 | ) | (단위 : 원) |
| 잔여만기 | 10일 이하 | 10일초과 30일이하 |
30일초과 90일이하 |
90일초과 180일이하 |
180일초과 1년이하 |
1년초과 2년이하 |
2년초과 3년이하 |
3년 초과 | 합 계 | |
|---|---|---|---|---|---|---|---|---|---|---|
| 미상환 잔액 | 공모 | - | - | - | - | - | - | - | - | - |
| 사모 | - | - | - | - | - | - | - | - | - | |
| 합계 | - | - | - | - | - | - | - | - | - | |
| 주1) | 당사는 보고서 작성기준일 현재 해당사항이 없습니다. |
다. 단기사채 미상환 잔액
| (기준일 : | 2021년 12월 31일 | ) | (단위 : 원) |
| 잔여만기 | 10일 이하 | 10일초과 30일이하 |
30일초과 90일이하 |
90일초과 180일이하 |
180일초과 1년이하 |
합 계 | 발행 한도 | 잔여 한도 | |
|---|---|---|---|---|---|---|---|---|---|
| 미상환 잔액 | 공모 | - | - | - | - | - | - | - | - |
| 사모 | - | - | - | - | - | - | - | - | |
| 합계 | - | - | - | - | - | - | - | - | |
| 주1) | 당사는 보고서 작성기준일 현재 해당사항이 없습니다. |
라. 회사채 미상환 잔액
| (기준일 : | 2021년 12월 31일 | ) | (단위 : 원) |
| 잔여만기 | 1년 이하 | 1년초과 2년이하 |
2년초과 3년이하 |
3년초과 4년이하 |
4년초과 5년이하 |
5년초과 10년이하 |
10년초과 | 합 계 | |
|---|---|---|---|---|---|---|---|---|---|
| 미상환 잔액 | 공모 | - | - | - | - | - | - | - | - |
| 사모 | - | - | - | - | - | - | - | - | |
| 합계 | - | - | - | - | - | - | - | - | |
| 주1) | 당사는 보고서 작성기준일 현재 해당사항이 없습니다. |
마. 신종자본증권 미상환 잔액
| (기준일 : | 2021년 12월 31일 | ) | (단위 : 원) |
| 잔여만기 | 1년 이하 | 1년초과 5년이하 |
5년초과 10년이하 |
10년초과 15년이하 |
15년초과 20년이하 |
20년초과 30년이하 |
30년초과 | 합 계 | |
|---|---|---|---|---|---|---|---|---|---|
| 미상환 잔액 | 공모 | - | - | - | - | - | - | - | - |
| 사모 | - | - | - | - | - | - | - | - | |
| 합계 | - | - | - | - | - | - | - | - | |
| 주1) | 당사는 보고서 작성기준일 현재 해당사항이 없습니다. |
바. 조건부자본증권 미상환 잔액
| (기준일 : | 2021년 12월 31일 | ) | (단위 : 원) |
| 잔여만기 | 1년 이하 | 1년초과 2년이하 |
2년초과 3년이하 |
3년초과 4년이하 |
4년초과 5년이하 |
5년초과 10년이하 |
10년초과 20년이하 |
20년초과 30년이하 |
30년초과 | 합 계 | |
|---|---|---|---|---|---|---|---|---|---|---|---|
| 미상환 잔액 | 공모 | - | - | - | - | - | - | - | - | - | - |
| 사모 | - | - | - | - | - | - | - | - | - | - | |
| 합계 | - | - | - | - | - | - | - | - | - | - | |
| 주1) | 당사는 보고서 작성기준일 현재 해당사항이 없습니다. |
사. 사채관리계약 주요내용 및 충족여부 등
| (작성기준일 : | 2021년 12월 31일 | ) | (단위 : 원, %) |
| 채권명 | 발행일 | 만기일 | 발행액 | 사채관리 계약체결일 |
사채관리회사 |
|---|---|---|---|---|---|
| - | - | - | - | - | - |
| (이행현황기준일 : | 2021년 12월 31일 | ) |
| 재무비율 유지현황 | 계약내용 | - |
| 이행현황 | - | |
| 담보권설정 제한현황 | 계약내용 | - |
| 이행현황 | - | |
| 자산처분 제한현황 | 계약내용 | - |
| 이행현황 | - | |
| 지배구조변경 제한현황 | 계약내용 | - |
| 이행현황 | - | |
| 이행상황보고서 제출현황 | 이행현황 | - |
| 주1) | 이행현황기준일은 이행현황 판단 시 적용한 회계감사인의 감사의견(확인 및 의견표시)이 표명된 가장 최근의 재무제표의 작성기준일이며, 지배구조변경 제한현황은 공시서류작성기준일입니다. |
| 주2) | 당사는 보고서 작성기준일 현재 해당사항이 없습니다. |
7-2. 증권의 발행을 통해 조달된 자금의 사용실적
가. 공모자금의 사용내역
| (기준일 : | 2021년 12월 31일 | ) | (단위 : 백만원) |
| 구 분 | 회차 | 납입일 | 증권신고서 등의 자금사용 계획 |
실제 자금사용 내역 |
차이발생 사유 등 | ||
|---|---|---|---|---|---|---|---|
| 사용용도 | 조달금액 | 내용 | 금액 | ||||
| 코스닥시장 상장공모 |
1 | 2020.06.11 | 운영자금 (연구개발비) |
18,959 | 운영자금 (연구개발비) |
8,248 | 23년까지 집행 예정 |
| 코스닥시장 상장공모 |
1 | 2020.06.11 | 운영자금 (일반) |
7,256 | 운영자금 (일반) |
2,795 | 23년까지 집행 예정 |
| 코스닥시장 상장공모 |
1 | 2020.06.11 | 타법인증권 취득자금 |
2,555 | 타법인증권 취득자금 |
- | 추가집행 시기 미정 |
| 코스닥시장 상장공모 |
1 | 2020.06.11 | 시설자금 (공장건설) |
1,118 | 시설자금 (공장건설) |
- | 집행 시기 미정 |
| 주1) | 당사는 2020년 06월 17 일 코스닥시장에 상장하였으며, 31,518백만원(주관사 의무인수분 포함)에서 발행제비용1,630백만원을 제외한 29,888백만원이 조달되었습니다. |
나. 사모자금의 사용내역
| (기준일 : | 2021년 12월 31일 | ) | (단위 : 백만원) |
| 구 분 | 회차 | 납입일 | 주요사항보고서의 자금사용 계획 |
실제 자금사용 내역 |
차이발생 사유 등 | ||
|---|---|---|---|---|---|---|---|
| 사용용도 | 조달금액 | 내용 | 금액 | ||||
| - | - | - | - | - | - | - | - |
| 주1) | 당사는 보고서 작성기준일 현재 해당사항이 없습니다. |
다. 미사용자금의 운용내역
| (기준일 : | 2021년 12월 31일 | ) | (단위 : 백만원) |
| 종류 | 금융상품명 | 운용금액 | 계약기간 | 실투자기간 |
|---|---|---|---|---|
| 예ㆍ적금 | 정기예금 | 16,000 | 2021.08 ~ 2022.02 | 6개월 |
| 예ㆍ적금 | 수시Rp | 2,845 | - | 주1) |
| 계 | 18,845 | - | ||
| 주1) | 해당 상품은 수시입출금이 가능함에 따라 계약기간 및 실투자기간은 존재하지 않으며, 당사 자금 운용 사정에 따라 안정적인 금융상품에 예치할 예정입니다. |
8. 기타 재무에 관한 사항
가. 대손충당금 설정현황
(1) 계정과목별 대손충당금 설정내용
당사는 보고서 작성기준일 현재 해당사항이 없습니다.
(2) 대손충당금 변동현황
당사는 보고서 작성기준일 현재 해당사항이 없습니다.
(3) 매출채권관련 대손충당금 설정방침
당사는 보고서 작성기준일 현재 해당사항이 없습니다.
(4) 당해 사업연도말 현재 경과기간별 매출채권 잔액 현황
|
(단위: 천원) |
| 구분 | 경과기간 | 6월이하 | 6월초과~1년이하 | 1년초과~3년이하 | 3년초과 | 계 |
|---|---|---|---|---|---|---|
| 금액 | 일반 | 16,796 | - | - | - | 16,796 |
| 특수관계자 | - | - | - | - | - | |
| 계 | 16,796 | - | - | - | 16,796 | |
| 구성비율 | 100.0% | - | - | - | - | |
나. 재고자산 현황 등
(1) 재고자산의 사업부문별 보유현황
|
(단위: 천원) |
|
계정과목 |
2021년 (제8기) |
2020년 (제7기) |
2019년 (제6기) |
|---|---|---|---|
| 제품 | 82,197 | 32,825 | 36,941 |
| 원재료 | 55,960 | 1,300 | 13,810 |
| 재공품 | 138,067 | - | - |
| 저장품 | - | - | 258,180 |
| 반환제품회수권 | 3,458 | 1,894 | 615 |
| 합계 | 279,682 | 36,019 | 309,546 |
| 총자산 대비 재고자산 구성비율(%) [재고자산합계÷기말자산총계×100] |
0.52% | 0.05% | 0.75% |
| 재고자산 회전율(회수) [연환산 매출액÷{(기초재고+기말재고)÷2}] |
0.6회 | 1.9회 | 0.9회 |
(2) 재고자산의 실사내용
2021년 기말 재고자산의 경우 자체조사를 실시하였습니다.
|
2021년 반기말 |
실사(입회)시기 |
2021.06.30 |
1일 |
|
실사(입회)장소 |
인천 본사/위킵스 물류창고 | ||
|
실사(입회)대상 |
제품 |
||
|
2021년 |
실사(입회)시기 |
2021.12.29 |
1일 |
|
실사(입회)장소 |
인천 본사/위킵스 물류창고 |
||
|
실사(입회)대상 |
제품 |
||
다. 공정가치평가 내역
관련내용은 III. 재무에 관한 사항 → 5.재무제표 주석→ 주석26 마.금융상품 공정가치를 참조해주십시오.
IV. 이사의 경영진단 및 분석의견
1. 예측정보에 대한 주의사항감사제도에 관한 사항
당사가 동 이사의 경영진단 의견서에 기재한 미래에 발생할 것으로 예상ㆍ예측한 활동, 사건 또는 현상은 본 공시서류 작성시점의 사건 및 재무성과에 대하여 회사의 견해를 반영한것으로 미래에 대한 예측정보를 포함하고 있습니다. 이러한 예측정보는 과거가 아닌 미래의 사건과 관계된 것으로 당사의 향후 예상되는 경영현황 및 재무실적 등을 의미하고, 표현상으로는 '예상', '예정', '전망', '계획', '기대' 등과 같은 단어를 포함합니다.
예측정보는 미래 사업환경과 관련된 합리적인 근거나 다양한 가정에 기초하고 있으나, 이러한 가정들은 결과적으로 부정확한 것으로 판명될 수도 있습니다. 또한, 이러한 가정들에는 예측정보에서 기재한 예상치와 실제 결과 간에 중요한 차이를 초래할 수 있는 위험, 불확실성 및 기타 요인을 포함하고 있습니다. 이러한 중요한 차이를 초래할 수 있는 요인에는 회사 내부경영과 관련된 요인과 외부환경에 관한 요인이 포함되어 있으며, 이에 한하지 않습니다. 당사는 동 예측정보 작성시점 이후에 발생하는 위험 또는 불확실성을 반영하기 위하여 예측정보를 기재한 사항을 수정하는 정정보고서를 공시할 의무는 없습니다.
결론적으로는 동 이사의 경영진단 및 분석의견에 회사가 예상한 결과 또는 상황이 실현되거나 회사가 당초에 예상한 영향이 발생한다는 확신을 제공할 수 없습니다. 동 의견서에 기재된 예측정보는 동 보고서 작성시점을 기준으로 작성한 것이며, 회사가 이러한 위험요인이나 예측정보를 업데이트할 책임이 없음을 유의하시기 바랍니다.
본 이사의 경영진단 및 분석의견에서는 당기(제8기 : 2021.01.01 ~ 2021.12.31)와 전기(제7기 : 2020.01.01 ~ 2020.12.31)의 영업실적, 당기말과 전기말의 재무상태를비교하여 주요 증감내역 및 증감원인을 파악한 의견과 그 외 중요성의 관점에서 의견이 필요한 부분을 기재하였습니다.
2. 개요
당사는 난치성 면역질환의 근원적 치료와 재생의료 분야 발전에 기여하고자 독자적으로 개발한 층분리배양법 줄기세포 분리기술과 줄기세포치료제 제조기술을 바탕으로 2014년에 설립되었습니다. 또한, 2020년 6월 17일 기술특례상장으로 코스닥시장에 상장하였습니다.
당사는 기존 줄기세포치료제와 셀시트를 활용한 조직공학 등 세포치료제 전문기업으로 사업영역을 확장하고 있으며 주요 사업영역은 아래와 같습니다.
| 구분 | 설명 | 대상 질환 |
|---|---|---|
| 줄기세포치료제 | 원천기술(층분리배양법) 활용하여 고순도/질환특이적 줄기세포치료제 개발 | 면역계 및 뇌신경계 |
| 셀시트 | 조직공학 응용 세포치료제 셀시트 개발 | 섬유화증 |
당사가 진행하고 있는 주요 파이프라인 임상시험 진행현황은 아래와 같습니다.
| [주요 파이프라인 현황] |
![]() |
|
파이프라인(21.12.31) |
당사는 2019년 2월 미국 Argos Therapeutics의 기술력과 글로벌 최고 수준의 세포치료제 제조시설(cGMP) 및 품질관리 시스템을 확보하기 위하여 ㈜제넥신과 공동으로 인력, 특허, cGMP 제조시설 등 일체를 125억원에 인수하여, 미국 합작법인 CoImmune, Inc.(이하 "코이뮨")을 설립하여, 설립 시 당사가 51% 및 ㈜제넥신이 49% 지분을 보유하였습니다.
코이뮨의 100% 자회사인 CoImmune CAR-CIK Inc.가 2020년 04월 30일 차세대 CAR-T 치료제 개발사인 이탈리아 Formula Phamaceuticals Inc.와 합병하고, 국내 및이탈리아 기관투자자로부터 총 45백만 달러(한화 약 510억원) 규모의 자금조달 유치하였습니다.
또한, 코이뮨은 2021년 4분기에 미국의 3대 암 센터인 메모리얼 슬로안 케터링 (Memorial Sloan Kettering, MSK) 암 센터와 코이뮨의 동종 CAR-CIK 기술을 이용한 고형암 치료제 개발에 관한 협약을 체결하였습니다.
당사는 2021년도 기말까지 총 누적 투자액은 17,597백만원이며, 지분율은 23.88%입니다.
당사는 코이뮨 설립 및 투자를 통해 두 가지 전략적 목표에 따라 코이뮨을 활용하고자 합니다.
■ 시장성이 높은 미국 및 유럽 등 글로벌 진출을 위한 높은 기준의 cGMP 규정에 따른 세포치료제 제조기술과 품질관리 시스템을 갖춘 미국 현지 제조시설의 확보
■ 당사 주요 개발물질인 줄기세포치료제 외 새로운 파이프라인으로 수지상세포 기반 맞춤형 암치료백신 및 차세대 CAR-CIK 혈액암 치료제의 도입을 통한 면역항암시장 진출 가능성 확보
3. 재무상태 및 영업실적
보고서 작성기준일 현재 당사는 줄기세포 관련 단일 사업부문을 영위하고 있으며, 당사의 재무상태 및 영업실적은 다음과 같습니다.
가. 재무상태표
| (단위 : 원) |
| 과목 | 제8기 | 제7기 | 증감 | 증감율 |
|---|---|---|---|---|
| 자산 | ||||
| 유동자산 |
20,311,708,346 |
36,086,073,000 |
(15,774,364,654) |
(43.7)% |
| 비유동자산 |
33,733,038,770 |
40,205,942,974 |
(6,472,904,204) |
(16.1)% |
| 자산총계 |
54,044,747,116 |
76,292,015,974 |
(22,247,268,858) |
(29.2)% |
| 부채 |
|
|
|
|
| 유동부채 |
8,709,277,610 |
3,259,231,456 |
5,450,046,154 |
167.2% |
| 비유동부채 |
722,921,313 |
9,953,335,206 |
(9,230,413,893) |
(92.7)% |
| 부채총계 |
9,432,198,923 |
13,212,566,662 |
(3,780,367,739) |
(28.6)% |
| 자 본 |
|
|
|
|
| 자본금 |
6,010,927,000 |
5,937,307,500 |
73,619,500 |
1.2% |
| 자본잉여금 |
161,783,738,375 |
160,143,680,218 |
1,640,058,157 |
1.0% |
| 기타포괄손익누계액 |
913,544,926 |
(1,424,559,216) |
2,338,104,142 |
(164.1)% |
| 결손금 |
(124,095,662,108) |
(101,576,979,190) |
(22,518,682,918) |
22.2% |
| 자본총계 |
44,612,548,193 |
63,079,449,312 |
(18,466,901,119) |
(29.3)% |
| 부채와자본총계 |
54,044,747,116 |
76,292,015,974 |
(22,247,268,858) |
(29.2)% |
(1) 자산
당기 연구개발 등 영업활동과 장기투자자산 취득 등 투자활동 및 공동기업투자주식 평가손실 등으로 전기말 대비 약 222억원의 자산 총액이 감소하였습니다.
(2) 부채
당기 임직원 퇴사에 의한 주식매수선택권 취소의 장기미지급비용 감소 등 전기말 대비 약 38억원의 부채 총액이 감소하였습니다.
(3) 자본
당기 주식매수선택권 행사 등으로 자본금 및 자본잉여금이 약 17억원이 증가하였으며, 공동기업투자주식 관련 지분법자본변동이 약 23억원 증가 및 당기순손실 225억원이 발생하였습니다. 따라서 전기 대비 자본총액은 185억원이 감소하였습니다.
나. 영업실적
| (단위 : 원) |
| 과목 | 제8기 | 제7기 | 증감 | 증감율 |
|---|---|---|---|---|
| 매출액 |
439,262,616 |
320,006,088 |
119,256,528 |
37.3% |
| 매출원가 |
91,353,698 |
42,866,246 |
48,487,452 |
113.1% |
| 매출총이익 |
347,908,918 |
277,139,842 |
70,769,076 |
25.5% |
| 판매비와관리비 |
12,503,078,528 |
16,366,121,390 |
(3,863,042,862) |
(23.6)% |
| 영업손실 |
(12,155,169,610) |
(16,088,981,548) |
3,933,811,938 |
(24.5)% |
| 영업외이익(손실) |
(10,363,513,308) |
6,456,181,423 |
(16,819,694,731) |
(260.5)% |
| 금융수익 |
214,069,042 |
9,243,817,362 |
(9,029,748,320) |
(97.7)% |
| 금융비용 |
(571,735,018) |
(11,930,386,515) |
11,358,651,497 |
(95.2)% |
| 기타수익 |
27,415,058 |
42,953,313 |
(15,538,255) |
(36.2)% |
| 기타비용 |
(34,542,695) |
(85,964,950) |
51,422,255 |
(59.8)% |
| 지분법투자관련이익(손실) |
(9,998,719,695) |
9,185,762,213 |
(19,184,481,908) |
(208.9)% |
| 법인세비용차감전순이익(손실) |
(22,518,682,918) |
(9,632,800,125) |
(12,885,882,793) |
133.8% |
| 법인세비용 |
- |
- |
- |
- |
| 당기순이익(손실) |
(22,518,682,918) |
(9,632,800,125) |
(12,885,882,793) |
133.8% |
(1) 매출액
당사의 당기 매출 인식액은 라이선스 수수료 2억원 및 화장품(제품) 매출 2억원으로 구성되어 있습니다.
당사는 한국채택국제회계기준에 따라 기술이전 계약에 의해 반환의무 없는 선수수수료(Upfront Fee 등)를 받는 경우, 미래 제공할 추가적인 수행의무와 관련이 있는 것이라면 해당 의무를 수행하는 시기에 수익을 인식하고, 미래 제공할 추가적인 수행의무가 없다면 받았을 때 수익을 인식하고 있습니다. 당사는 2019년 (주)한독과 아토피피부염 줄기세포치료제 국내 기술이전 계약 체결로 계약금(Upfront Fee) 10억원을 수령하였으며 당사가 계약에 따라서 1상 임상시험 수행으로 약 2억원의 수익을 인식하였습니다.
(2) 판매비와관리비
당사의 당기 판매비와관리비는 전기 대비 약 39억원이 감소하였습니다.
주요 원인은 진행중인 만성이식편대숙주질환(임상2상), 중증급성췌장염(임상2a상) 및 아토피피부염(임상 1/2상)의 임상시험이 빠르게 진행되어 시약재료비 및 임상연구비 등에 대한 비용이 증가하여 경상연구개발비와 지급수수료가 약 23원 전기 대비증가하였습니다. 또한 당기 임직원 퇴사에 의한 주식매수선택권 취소로 주식보상비용 약 62억원이 감소하였습니다.
(3) 영업외손익
당사의 당기 영업외손익은 전기 대비 공동기업투자주식에 대한 평가손익 등 약 168억원이 감소하였습니다.
다. 사업부문별 분석
당사는 보고서 작성기준일 단일 사업부문을 영위하고 있어, 사업부문별 분석은 별도로 기재하지 않았습니다.
라. 신규사업
당사는 보고서 작성기준일 현재 신약 연구개발 이외에 추진 중인 신규 사업은 없습니다.
마. 환율변동
당사는 현재 해외 파트너사와의 기술이전, 기술도입 및 기술제휴 계약 또는 해외로부터의 연구용 소모품 및 설비 구입 또는 연구용역비 지출 등으로 인한 환율변동 위험에 노출되어 있으며, 환율의 불확실성은 당사의 미래 영업 거래 및 자산과 부채에 영향을 미칠 수 있습니다. 당사의 경영진은 원화환율 변동에 대한 주기적 평가 및 외화표시 자산 및 부채 관리를 통하여 외환위험을 관리하고 있습니다. 단, 사업연도 종료일 현재 화폐성 외화자산 및 부채는 보유하고 있지 않습니다.
바. 자산손상 및 감액손실
당사는 공시대상기간 중 자산손상 또는 감액손실이 발생한 사실이 없으며, 당기말 현재 당사의 자산손상 관련 회계정책은 다음과 같습니다.
4. 유동성 및 자금조달과 지출
가. 유동성
당사는 당기말 현재 약 196억원의 유동성을 보유하고 있으며, 구성 내역은 아래와 같습니다.
| (단위 : 원) |
| 과목 | 제8기 | 제7기 | 증감 | 증감율 |
|---|---|---|---|---|
| 현금및현금성자산 | 2,890,275,427 | 77,474,257 | 2,812,801,170 | 3,630.6% |
| 단기금융상품 | 16,753,572,123 | 35,219,418,967 | (18,465,846,844) | (52.4)% |
| 합계 | 19,643,847,550 | 35,296,893,224 | (15,653,045,674) | (44.3)% |
또한, 당사의 현금및현금성자산의 현금흐름 현황은 다음과 같습니다.
| (단위 : 원) |
| 과목 | 제8기 | 제7기 |
|---|---|---|
| Ⅰ. 영업활동 현금흐름 | (13,403,615,088) | (10,890,027,960) |
| Ⅱ. 투자활동으로 인한 현금흐름 | 15,791,128,680 | (23,656,591,910) |
| Ⅲ. 재무활동으로 인한 현금흐름 | 425,287,578 | 30,188,842,426 |
| Ⅳ. 현금의 증가 | 2,812,801,170 | (4,357,777,444) |
| Ⅴ. 기초의 현금 | 77,474,257 | 4,435,251,701 |
| Ⅵ. 기말의 현금 | 2,890,275,427 | 77,474,257 |
당사는 연구개발활동 및 인건비를 포함한 운영비용 등 영업활동으로 현금유출이 약 133억원이 발생하였고, 정기예금 등 단기금융상품 취득 등으로 약 158억원의 현금유입이 발생하였습니다. 또한 당기 주식매수선택권 행사 등 재무활동으로 인한 현금유입액은 약 3억원으로 순 현금 증가액은 약 28억원입니다.
당사는 단기 및 중장기 경영전략을 수립하여 현금흐름을 지속적으로 관리하고 있으며, 향후 발생할 수 있는 예상하지 못한 유동성 위험을 충당할 수 있는 충분한 현금성자산을 확보하고 있습니다.
나. 자금조달
당사는 설립 이후 제3자 배정 유상증자 671억원 및 코스닥시장 공모자금 315억원 등총 986억원의 자금을 외부로부터 조달하였습니다. 당사의 자금조달과 관련된 상세 내역은 'III. 재무에 관한 사항-> 7. 증권의 발행을 통한 자금조달에 관한 사항'을 참고하시기 바랍니다.
5. 부외거래
본 보고서 작성기준일 현재 당사의 부외거래는 존재하지 아니합니다.
6. 그 밖에 투자의사결정에 필요한 사항
가. 중요한 회계정책 및 추정에 관한 사항
당사의 중요한 회계정책 및 추정에 관한 사항은 'Ⅲ. 재무에 관한 사항, 5. 재무제표 주석, 2. 중요한 회계정책 및 3. 중요한 회계추정 및 가정'을 참조하시기 바랍니다.
나. 환경 및 종업원 등에 관한 사항
(1) 환경에 관한 사항
당사는 보고서 작성기준일 현재 해당사항이 없습니다.
(2) 종업원에 관한 사항
당사는 공시대상기간 중 핵심인력의 이동이 없으며, 주요 핵심인력의 유출을 억제하기 위해 주식매수선택권의 부여, 직무발명보상제도 및 인사위원회 운영을 통한 성과에 대해 직접적이고 공정한 보상 등을 통해 동기부여를 하고 있습니다.
다. 법규상의 규제에 관한 사항
당사 신약 연구개발사업은 식품의약품안전처의 허가 또는 신고가 필요합니다. 당사는 신약 연구개발을 위하여 식품의약품안전처의 허가 또는 신고담당기관에 허가 또는 신고를 진행하여 사업을 진행합니다.
라. 위험관리정책에 관한 사항
당사는 공시대상기간 중 파생상품 관련 자산, 부채 및 거래는 없습니다. 당사의 위험관리 정책에 관한 사항은 'Ⅲ. 재무에 관한 사항, 5. 재무제표 주석, 4. 재무위험 관리'를 참조하시기 바랍니다.
V. 회계감사인의 감사의견 등
1. 외부감사에 관한 사항
가. 회계감사인의 명칭 및 감사의견
| 사업연도 | 감사인 | 감사의견 | 강조사항 등 | 핵심감사사항 |
|---|---|---|---|---|
| 제8기(당기) | 삼일회계법인 | 적정 | COVID-19(코로나바이러스감염 증-19)가 회사에 미칠 수 있는 영향에 대한 경영진의 판단 |
관계기업투자주식에 대한 지분법 회계처리 |
| 제7기(전기) | 삼일회계법인 | 적정 | COVID-19(코로나바이러스감염 증-19)가 회사에 미칠 수 있는 영향에 대한 경영진의 판단 |
공동기업투자주식에 대한 지분법 회계처리 |
| 제6기(전전기) | 삼정회계법인 | 적정 | - | - |
나. 감사용역 체결현황
| 사업연도 | 감사인 | 내 용 | 감사계약내역 | 실제수행내역 | ||
|---|---|---|---|---|---|---|
| 보수 | 시간 | 보수 | 시간 | |||
| 제8기(당기) | 삼일회계법인 | 반기 재무제표 검토, 개별 재무제표 감사 |
120,000 | 1,000 | 120,000 | 976 |
| 제7기(전기) | 삼일회계법인 | 반기 재무제표 검토, 개별 재무제표 감사 |
120,000 | 1,000 | 120,000 | 1,000 |
| 제6기(전전기) | 삼정회계법인 | 반기 및 3분기 재무제표 검토, 개별 재무제표 감사 |
135,000 | 1,294 | 135,000 | 1,003 |
다. 회계감사인과의 비감사용역 계약체결 현황
최근 3사업연도간 회계감사인과 체결한 비감사용역 계약은 없습니다
| 사업연도 | 계약체결일 | 용역내용 | 용역수행기간 | 용역보수 | 비고 |
|---|---|---|---|---|---|
| 제8기(당기) | - | - | - | - | - |
| - | - | - | - | - | |
| 제7기(전기) | - | - | - | - | - |
| - | - | - | - | - | |
| 제6기(전전기) | - | - | - | - | - |
| - | - | - | - | - |
라. 내부감사기구가 회계감사인과 논의한 결과
당사는 2021년 재무제표 중 이해관계자의 판단에 상당한 영향을 미칠 수 있는 사항이 발생하지 않았습니다.
| 구분 | 일자 | 참석자 | 방식 | 주요 논의 내용 |
|---|---|---|---|---|
| 1 | 2021년 11월 15일 | 회사측 : 감사, 재무담당이사 감사인측 : 업무담당이사, 담당공인회계사 |
서면회의 | 독립성, 감사계획 등 |
| 2 | 2022년 03월 18일 | 회사측 : 감사, 재무담당이사 감사인측 : 업무담당이사, 담당공인회계사 |
서면회의 | 독립성, 핵심감사사항, 강조사항, 감사발견사항 보고 등 |
마. 조정협의회 내용 및 재무제표 불일치 정보
당사는 보고서 작성기준일 현재 해당사항이 없습니다.
바. 회계감사인의 변경
당사는 보고서 작성기준일 현재 해당사항이 없습니다.
2. 내부통제에 관한 사항
가. 내부통제
준법경영실의 보고사항에 대해서 감사가 검토한 내부통제에는 특이사항이 발생하지 않았습니다.
나. 내부회계관리제도
| 사업연도 | 감사인 | 감사의견 | 지적사항 |
|---|---|---|---|
| 제8기 | 삼일회계법인 | 경영진의 내부회계관리제도 운영실태보고서에 대한 우리의 검토결과, 상기 경영진의 운영실태보고 내용이 중요성의 관점에서 내부회계관리제도모범규준 제5장 '중소기업에 대한 적용'의 규정에 따라 작성되지 않았다고 판단하게 하는 점이 발견되지 아니하였습니다. | 해당사항없음 |
| 제7기 | 삼일회계법인 | 경영진의 내부회계관리제도 운영실태보고서에 대한 우리의 검토결과, 상기 경영진의 운영실태보고 내용이 중요성의 관점에서 내부회계관리제도모범규준 제6장 '부칙'의 규정에 따라 작성되지 않았다고 판단하게 하는 점이 발견되지 아니하였습니다 |
해당사항없음 |
VI. 이사회 등 회사의 기관에 관한 사항
1. 이사회에 관한 사항
가. 이사회 구성 개요
보고서 작성기준일 현재(2021년 12월 31일) 당사의 이사회는 사내이사 1명(송순욱), 사외이사 2명(이희성, 최희주), 기타비상무이사 1명(레오나드아리프압둘샤타르) 총 4명으로 구성되어 있습니다. 이사회 의장은 송순욱 사내이사로 대표이사를 겸직하고 있으며, 제약 바이오 산업 패러다임의 급격한 변화 등 악화된 경영환경에 효율적이고신속하게 대응하고, 책임경영을 실천하기 위하여 이사회 의장으로 선임되었습니다.
이사회는 회사의 최고 의사결정기구로서 주주와 이해관계자들의 이익을 대변하는 동시에 회사의 지속적인 성장을 목표로 법령과 정관에서 정한 사항, 회사 운영의 기본방침 및 업무진행에 관한 중요한 사항을 결의하고, 이사 및 경영진의 직무집행을 감독하고 있습니다.
이사회는 매 분기 개최되는 정기이사회 뿐만 아니라 이사회의 의결이 필요한 사항 발생 시 수시로 개최되며, 이사회 의장 또는 이사회에서 달리 정한 이사가 소집합니다. 이사회 소집 시에는 이사회 규정에 따라 회의일 1일 전까지 각 이사에게 개최시기, 장소 및 안건을 통지하고 있으며, 결의는 관계 법령에서 달리 정하는 경우를 제외하고 이사 과반수의 출석과 출석이사 과반수의 찬성으로 하고 있습니다.
(1) 사외이사 및 그 변동현황
| (단위 : 명) |
| 이사의 수 | 사외이사 수 | 사외이사 변동현황 | ||
|---|---|---|---|---|
| 선임 | 해임 | 중도퇴임 | ||
| 4 | 2 | - | - | - |
| 주) | 이병건 대표이사는 2021년 11월 12일 퇴직으로 사내이사에서 사임하여 상기 이사의 수에서 제외하였습니다. |
(2) 사외이사 현황
| 성 명 | 주 요 경 력 | 최대주주 등과의 이해관계 |
결격 요건 | |
|---|---|---|---|---|
| 이희성 |
04.02 80.07~99.08 99.08~09.03 09.03~10.05 10.05~11.12 11.12~13.03 13.05~15.03 15.03~현재 |
성균관대 약학 박사 보건복지부 서기관 식품의약품안전청 이사관 서울지방식품안전청 청장 식품의약품안전청 차장 식품의약품안전청 청장(제11대) 성균관대 약학대학원 교수 법무법인 화우 고문 성균관대 약학대학 겸임교수 |
해당사항 없음 | 부 |
| 최희주 | 87.02 08.02 87.01~13.06 13.07~16.06 16.07~17.12 18.01~현재 |
서울대 사회복지학 학사 가천대 보건학 박사 보건복지부 저출산고령사회정책실장, 인구정책실장 새누리당 보건복지수석전문위원 가천대 센터장, 순천향대 건강과학대학원장 법무법인 율촌 고문 |
해당사항 없음 | 부 |
나. 중요의결사항 등
보고서 작성 대상 기간 중 개최된 이사회의 중요 의결사항 및 보고사항은 다음과 같습니다.
| 구분 | 일 시 | 의 안 내 용 | 가결 여부 |
사내이사 | 사외이사 | 기타비상무이사 | ||
|---|---|---|---|---|---|---|---|---|
| 이병건 (출석률: 100%) |
송순욱 (출석률: 100%) |
이희성 (출석률: 100%) |
최희주 (출석률: 86%) |
레오나드아리프 압둘샤타르 (출석률: 71%) |
||||
| 정기 | 2021.02.09 | 제1호 의안 : 제7기 결산 재무제표 승인의 건 | 가결 | 찬성 | 찬성 | 찬성 | 찬성 | 찬성 |
| 제2호 의안 : 주식매수선택권 부여 취소의 건 | 가결 | 찬성 | 찬성 | 찬성 | 찬성 | 찬성 | ||
| 임시 | 2021.02.26 | 제1호 의안 : 정기주주총회 소집의 건 | 가결 | 찬성 | 찬성 | 찬성 | 불참 | 찬성 |
| 제2호 의안 : 지점 설치의 건 | 가결 | 찬성 | 찬성 | 찬성 | 불참 | 찬성 | ||
| 제3호 의안 : 주식매수선택권 운영규정 개정의 건 | 가결 | 찬성 | 찬성 | 찬성 | 불참 | 찬성 | ||
| 정기 | 2021.03.26 |
제 1호 의안 : 제7기(2020.01.01~2020.12.31) 재무제표 승인의 건 |
가결 | 찬성 | 찬성 | 찬성 | 찬성 | 찬성 |
| 제2호 의안: 이사 선임의 건 제2-1호 의안 : 사내이사 이병건 선임(중임)의 건 |
가결 | 찬성 | 찬성 | 찬성 | 찬성 | 찬성 | ||
| 제 3호 의안 : 정관일부 변경의 건 | 가결 | 찬성 | 찬성 | 찬성 | 찬성 | 찬성 | ||
| 제 4호 의안 : 주식매수선택권 부여의 건 | 가결 | 찬성 | 찬성 | 찬성 | 찬성 | 찬성 | ||
| 제 5호 의안 : 이사 보수한도 승인의 건 | 가결 | 찬성 | 찬성 | 찬성 | 찬성 | 찬성 | ||
| 정기 | 2021.05.14 | 제 1호 의안 : 이사회 운영 규정 개정의 건 | 가결 | 찬성 | 찬성 | 찬성 | 찬성 | 찬성 |
| 정기 | 2021.08.13 | 제 1호 의안 : 주식매수선택권 부여의 건 | 가결 | 찬성 | 찬성 | 찬성 | 찬성 | 불참 |
| 제 2호 의안 : 주식매수선택권 횟수 제한의 건 | 가결 | 찬성 | 찬성 | 찬성 | 찬성 | 불참 | ||
| 제 3호 의안 : 코이뮨(CoImmune Inc.)과 위탁생산(CMO) 타당성 용역 계약 체결의 건 | 가결 | 찬성 | 찬성 | 찬성 | 찬성 | 불참 | ||
| 정기 | 2021.11.12 | 제 1호 의안 : 대표이사 선임의 건 | 가결 | 찬성 | 찬성 | 찬성 | 찬성 | 찬성 |
| 제 2호 의안 : 이사회 결의가 필요한 규정 제정 및 개정의 건 | 가결 | 찬성 | 찬성 | 찬성 | 찬성 | 찬성 | ||
| 제 3호 의안 : 주식매수선택권 부여 및 취소의 건 | 가결 | 찬성 | 찬성 | 찬성 | 찬성 | 찬성 | ||
| 임시 | 2021.12.15 | 제 1호 의안 : 주주명부 폐쇄의 건 | 가결 | - | 찬성 | 찬성 | 찬성 | 불참 |
| 주1) | 이병건 대표이사는 대표이사와 사내이사를 사임하였고, 2021년 11월 12일 정기이사회에서 송순욱 대표이사를 선임하였습니다. |
다. 이사회내 위원회
당사는 보고서 작성 기준일 현재 이사회 내 위원회를 구성하고 있지 않습니다.
라. 이사의 독립성
보고서 작성기준일 현재, 이사회 구성원은 주주총회에서 선임하며, 주주총회에서 선임할 이사 후보자는 이사회에서 선정하여 주주총회에 제출할 의안으로 확정하고 있습니다. 이사의 선임과 관련하여 관련 법규에 의거한 주주제안이 있는 경우, 이사회는 적법한 범위 내에서 이를 주주총회에 의안으로 제출하고 있습니다. 상기와 같은 절차에 따라 선임된 당사의 이사는 최대주주 또는 주요주주와의 관계에 있어서 독립적입니다.
| 구분 | 임기 | 연임 여부 |
연임 횟수 |
선임배경 | 추천인 | 이사로서의 활동분야 |
회사와의 거래 |
최대주주 또는 주요주주와의 관계 등 기타 이해관계 |
|---|---|---|---|---|---|---|---|---|
| 송순욱 | 2023.07.02 | 해당 | 3회 |
Johns Hopkins Univ. 분자생물학 박사 Harvard Medical School Research Asso 인하대 의과대학 교수 호미오세라피 연구소장 인하대병원 중개연구센터 센터장 에스씨엠생명과학 대표이사 에스씨엠생명과학 부사장 |
이사회 | 대표이사 | 보통주 | 최대주주 |
| 레오나드아리프압둘샤타르 | 2022.01.18 | 미해당 | - |
Usaha Pharma Sdn. Bhd., Managing ICI Paints Malaysia Sdn. Bhd., Managing Director CCM Duopharma Biotech Berhad, CEO CCM Chemicals Sdn. Bhd. Director Chemical Company of Malaysia Berhad Duopharma Biotech Berhad. Group |
이사회 | - | - | - |
| 이희성 | 2022.10.22 | 미해당 | - |
성균관대 약학 박사 보건복지부 서기관 식품의약품안전청 이사관 서울지방식품안전청 청장 식품의약품안전청 차장 식품의약품안전청 청장(제11대) 성균관대 약학대학원 교수 법무법인 화우 고문 성균관대 약학대학 겸임교수 |
이사회 | - | - | - |
| 최희주 | 2023.03.31 | 미해당 | - | 서울대 사회복지학 학사 가천대 보건학 박사 보건복지부 저출산고령사회정책실장, 인구정책실장 새누리당 보건복지수석전문위원 가천대 센터장, 순천향대 건강과학대학원장 법무법인 율촌 고문 |
이사회 | - | - | - |
| 주1) | 이병건 대표이사는 대표이사와 사내이사를 사임하였고, 2021년 11월 12일 정기이사회에서 송순욱 대표이사를 선임하였습니다. |
마. 사외이사의 전문성
당사는 사외이사가 이사회에서 전문적인 직무수행이 가능하도록 보조하고 있습니다.또한 이사회 전에 해당 안건 내용을 충분히 검토할 수 있도록 사전에 자료를 제공하고, 기타 사내 주요 현안에 대해서도 수시로 정보를 제공하고 있습니다.
사외이사 교육실시 현황
| 교육일자 | 교육실시주체 | 참석 사외이사 | 불참시 사유 | 주요 교육내용 |
|---|---|---|---|---|
| 2021.11.04 | 준법경영실 | 이희성, 최희주 | - | 대표이사 윤리경영 |
2. 감사제도에 관한 사항
가. 감사위원회 설치 여부
당사는 보고서 작성기준일 현재 감사위원회를 별도로 설치하고 있지 않으며, 주주총회 결의에 의하여 선임된 비상근 감사 1명이 감사업무를 수행하고 있습니다.
나. 감사의 인적사항
| 성명 | 사외이사여부 | 경력 | 회계ㆍ재무전문가 관련 | ||
|---|---|---|---|---|---|
| 해당 여부 | 전문가 유형 | 관련 경력 | |||
| 정선영 | - |
85.02 중앙대 경영학 학사 06.07 Univ. of Denver, MBA 87.08 ~ 19.03 한국거래소 19.03 ~ 현재 ㈜위니아딤채 사외이사 19.03 ~ 현재 법무법인 신원 고문 |
예 | 금융기관·정부·증권유관기관 등 경력자(4호 유형) | 87.08 ~ 19.03 한국거래소 |
다. 감사의 독립성
당사의 감사는 상법 상 감사로서의 자격요견을 충족하며, 이사회 및 타 부서와 독립적인 위치에서 업무를 수행하고 있습니다. 또한 당사는 감사의 감사업무에 필요한 경영정보 접근을 위하여 정관에 아래와 같은 조항을 두고 있습니다.
|
제48조(감사의 직무와 의무) ② 감사는 회의의 목적사항과 소집의 이유를 기재한 서면을 이사회에 제출하여 임시주주총회의 소집을 청구할 수 있다. ③ 감사는 그 직무를 수행하기 위하여 필요한 때에는 자회사에 대하여 영업의 보고를 요구할 수 있다. 이 경우 자회사가 지체없이 보고를 하지 아니할 때 또는 그 보고의 내용을 확인할 필요가 있는 때에는 자회사의 업무와 재산상태를 조사할 수 있다. ④ 감사에 대해서는 제37조 제3항의 규정을 준용한다. ⑤ 감사는 회사의 비용으로 전문가의 도움을 구할 수 있다. ⑥ 감사는 필요하면 회의의 목적사항과 소집이유를 적은 서면을 이사(소집권자가 있는 경우에는 소집권자)에게 제출하여 이사회 소집을 청구할 수 있다. ⑦ 제6항의 청구를 하였는데도 이사가 지체 없이 이사회를 소집하지 아니하면 그 청구한 감사가 이사회를 소집할 수 있다. |
라. 감사의 주요 활동내용
당기까지 총 7회의 이사회가 소집되었고 정선영 감사는 총 4회 참석(출석률 57%)하였습니다.
| 구 분 | 일 시 | 의 안 내 용 | 가결 여부 | 참석 여부 | 찬반 |
|---|---|---|---|---|---|
| 정기 | 2021.02.09 | 제1호 의안 : 제7기 결산 재무제표 승인의 건 제2호 의안 : 주식매수선택권 부여 취소의 건 |
가결 | O | 찬성 |
| 임시 | 2021.02.26 | 제1호 의안 : 정기주주총회 소집의 건 제2호 의안 : 지점 설치의 건 제3호 의안 : 주식매수선택권 운영규정 개정의 건 |
가결 | O | 찬성 |
| 정기 | 2021.03.26 |
제 1호 의안 : 제7기(2020.01.01~2020.12.31) 재무제표 승인의 건 제2호 의안: 이사 선임의 건 제 3호 의안 : 정관일부 변경의 건 제 4호 의안 : 주식매수선택권 부여의 건 제 5호 의안 : 이사 보수한도 승인의 건 제 6호 의안 : 감사 보수한도 승인의 건 |
가결 | O | 찬성 |
| 정기 | 2021.05.14 | 제 1호 의안 : 이사회 운영 규정 개정의 건 | 가결 | X | - |
| 정기 | 2021.08.13 | 제1호 의안 : 주식매수선택권 부여의 건 | 가결 | O | 찬성 |
| 제 2호 의안 : 주식매수선택권 횟수 제한의 건 | 가결 | O | 찬성 | ||
| 제 3호 의안 : 코이뮨(CoImmune Inc.)과 위탁생산(CMO) 타당성 용역 계약 체결의 건 | 가결 | O | 찬성 | ||
| 정기 | 2021.11.12 | 제 1호 의안 : 대표이사 선임의 건 | 가결 | O | 찬성 |
| 제 2호 의안 : 이사회 결의가 필요한 규정 제정 및 개정의 건 | 가결 | O | 찬성 | ||
| 제 3호 의안 : 주식매수선택권 부여 및 취소의 건 | 가결 | O | 찬성 | ||
| 임시 | 2021.12.15 | 제 1호 의안 : 주주명부 폐쇄의 건 | 가결 | X | - |
마. 교육 실시 계획
당사는 감사의 원할한 감사활동을 지원하기 위하여 회계제도, 내부회계관리제도, 내부통제 운영 상 발생하는 이슈사항을 중심으로 연 2회 이상 교육을 실시할 예정입니다.
바. 감사의 교육실시 현황
| 교육일자 | 교육실시주체 | 참석 감사위원 | 불참시 사유 | 주요 교육내용 |
|---|---|---|---|---|
| 2021.05.21 | 준법경영실 | 정선영 감사 | - | 전기 내부회계관리제도와 내부통제 이슈사항 및 개선방안 설명 |
| 2021.07.07 | 준법경영실 | 정선영 감사 | - | 당반기 주요 경영사항 보고 및 내부통제 준수사항 설명 |
| 2021.09.13 | 준법경영실 | 정선영 감사 | - | 2021년 내부회계관리제도 이슈 및 개선방안 |
| 2021.11.04 | 준법경영실 | 정선영 감사 | - | 대표이사 윤리경영 |
사. 감사 지원조직 현황
| 부서(팀)명 | 직원수(명) | 직위(근속연수) | 주요 활동내역 |
|---|---|---|---|
| 준법경영실 | 2 | 전무(25년) | - 회사 경영활동에 대한 감사 업무 지원 - 주주총회, 이사회 등 경영전반에 관한 감사업무 지원 |
아. 준법지원인 등 현황
당사는 보고서 작성기준일 현재 해당사항 없습니다.
3. 주주총회 등에 관한 사항
가. 투표제도 현황
| (기준일 : | 2021년 12월 31일 | ) |
| 투표제도 종류 | 집중투표제 | 서면투표제 | 전자투표제 |
|---|---|---|---|
| 도입여부 | 배제 | 도입 | 도입 |
| 실시여부 | - | 제8기(2021년도) 정기주총 | 제8기(2021년도) 정기주총 |
나. 소수주주권
당사는 보고서 작성 대상 기간 중 소수주주권이 행사되지 않았습니다.
다. 경영권 경쟁
당사는 보고서 작성 대상 기간 중 경영권 경쟁이 발생하지 않았습니다.
라. 의결권 현황
| (기준일 : | 2021년 12월 31일 | ) | (단위 : 주) |
| 구 분 | 주식의 종류 | 주식수 | 비고 |
|---|---|---|---|
| 발행주식총수(A) | 보통주 | 12,021,854 | - |
| 우선주 | - | - | |
| 의결권없는 주식수(B) | 보통주 | - | - |
| 우선주 | - | - | |
| 정관에 의하여 의결권 행사가 배제된 주식수(C) | 보통주 | - | - |
| 우선주 | - | - | |
| 기타 법률에 의하여 의결권 행사가 제한된 주식수(D) |
보통주 | - | - |
| 우선주 | - | - | |
| 의결권이 부활된 주식수(E) | 보통주 | - | - |
| 우선주 | - | - | |
| 의결권을 행사할 수 있는 주식수 (F = A - B - C - D + E) |
보통주 | 12,021,854 | - |
| 우선주 | - | - |
마. 주식사무
|
구 분 |
내 용 |
||
|---|---|---|---|
|
정관상 |
제10조(신주인수권) ② 회사는 제1항의 규정에도 불구하고 다음 각 호의 어느 하나에 해당하는 경우 이사회의 결의로 주주 외의 자에게 신주를 배정할 수 있다. 1. 발행주식총수의 100분의 50을 초과하지 않는 범위 내에서「자본시장과 금융투자업에 관한 법률」제165조의 6에 따라 일반공모증자 방식으로 신주를 발행하는 경우 2.「상법」제542조의 3에 따른 주식매수선택권의 행사에 인하여 신주를 발행하는 경우 3. 발행하는 주식총수의 100분의 20 범위 내에서 우리사주조합원에게 주식을 우선배정하는 경우 4.「근로복지기본법」제39조의 규정에 의한 우리사주매수선택권의 행사로 인하여 신주를 발행하는 경우 5. 발행주식총수의 100분의 20을 초과하지 않는 범위 내에서 긴급한 자금조달을 위하여 국내외 금융기관 또는 기관투자자에게 신주를 발행하는 경우 6. 발행주식총수의 100분의 20을 초과하지 않는 범위 내에서 사업상 중요한 기술도입, 연구개발, 생산·판매·자본제휴를 위하여 그 상대방에게 신주를 발행하는 경우 7. 자본시장과 금융투자업에 관한 법률 제9조에서 정한 “유가증권시장 또는 코스닥시장(코넥스시장 포함)”에 주권을 신규상장하기 위하여 신주를 모집하거나 인수인에게 인수하는 경우 ③ 제2항 각 호 중 어느 하나의 규정에 의해 신주를 발행할 경우 발행할 주식의 종류와 수 및 발행가격 등은 이사회의 결의로 정한다. ④ 신주인수권의 포기 또는 상실에 따른 주식과 신주배정에서 발생한 단주에 대한 처리방법은 이사회의 결의로 정한다. |
||
|
결 산 일 |
12월 31일 |
정기주주총회 |
매 사업년도 종료 후 3개월 이내 |
|
주주명부폐쇄기준일 |
「주식ㆍ사채 등의 전자등록에 관한 법률」에 따라 당사의 주식은 전자등록되어 있어, 주주명부 폐쇄기간의 설정이 불필요함으로 폐쇄기간을 정관상 별도로 규정하고 있지 않음 |
||
|
주주명부폐쇄시기 |
「주식ㆍ사채 등의 전자등록에 관한 법률」에 따라 당사의 주식은 전자등록되어 있어, 주주명부 폐쇄기간의 설정이 불필요함으로 폐쇄기간을 정관상 별도로 규정하고 있지 않음 |
||
| 주권의 종류 | 「주식ㆍ사채 등의 전자등록에 관한 법률」에 따라 주권 및 신주인수권증서에 표시되어야 할 권리가 의무적으로 전자등록됨에 따라 '주권의 종류'를 기재하지 않음. | ||
|
명의개서대리인 |
국민은행 증권대행부 |
||
|
주주의 특전 |
없음 |
||
| 공고방법 | 회사의 공고는 회사의 인터넷 홈페이지(www.scmlifescience.com)에 한다. 다만, 전산장애 그 밖의 부득이한 사유로 회사의 홈페이지에 공고를 할 수 없을 때에는 전국에 발행되는 일간 한국경제신문에 게재한다. | ||
바. 주주총회 의사록 요약
| 일 자 | 의 안 내 용 | 가결 여부 |
|---|---|---|
| 임시총회 2019.01.18 |
제1호 의안 : 사내이사 선임의 건 제2호 의안 : 사외이사 선임의 건 제3호 의안 : 기타비상무이사 선임의 건 제4호 의안 : 주식매수선택권 부여의 건 제5호 의안 : 임원퇴직금지급규정 개정의 건 |
가결 |
| 제5기 정기총회 2019.03.29 |
제1호 의안 : 제5기 재무상태표 및 손익계산서 승인의 건 제2호 의안 : 정관 일부 개정의 건 제3호 의안 : 주식매수선택권 부여의 건 제4호 의안 : 이사보수 한도 승인의 건 제5호 의안 : 감사보수 한도 승인의 건 |
가결 |
| 임시총회 2019.06.14 |
제1호 의안 : 감사 선임의 건 | 가결 |
| 임시총회 2019.07.17 |
제1호 의안 : 주식매수선택권 부여의 건 | 가결 |
| 임시총회 2019.09.20 |
제1호 의안 : 주식매수선택권 부여의 건 | 가결 |
| 임시총회 2019.10.22 |
제1호 의안 : 사외이사 선임의 건 | 가결 |
| 제6기 정기총회 2020.03.31 |
제1호 의안 : 제6기 재무상태표 및 손익계산서 승인의 건 제2호 의안 : 정관 일부 개정의 건 제3호 의안 : 사외이사 선임의 건 제4호 의안 : 이사보수 한도 승인의 건 제5호 의안 : 감사보수 한도 승인의 건 |
가결 |
| 임시총회 2020.06.30 |
제1호 의안 : 사내이사 중임의 건 제2호 의안 : 주식매수선택권 부여의 건 |
가결 |
| 제7기 정기총회 2021.03.26 |
제1호 의안 : 제7기(2020.01.01~2020.12.31) 재무제표 승인의 건 제2호 의안: 이사 선임의 건 제3호 의안 : 정관일부 변경의 건 제4호 의안 : 주식매수선택권 부여의 건 제5호 의안 : 이사 보수한도 승인의 건 제6호 의안 : 감사 보수한도 승인의 건 |
가결 |
VII. 주주에 관한 사항
가. 최대주주 및 특수관계인의 주식소유 현황
| (기준일 : | 2021년 12월 31일 | ) | (단위 : 주, %) |
| 성 명 | 관 계 | 주식의 종류 |
소유주식수 및 지분율 | 비고 | |||
|---|---|---|---|---|---|---|---|
| 기 초 | 기 말 | ||||||
| 주식수 | 지분율 | 주식수 | 지분율 | ||||
| 송순욱 (SONG SUN UK) |
본인 | 보통주 |
2,171,000 |
18.28 | 2,171,000 | 18.06 | - |
| 송기령 (SONG KEE RYOUNG) |
배우자 | 보통주 |
600,000 |
5.05 | 600,000 | 4.99 | - |
| 이병건 | 등기임원 | 보통주 | 250,000 | 2.11 | 0 | 0 | (*1) |
| 계 | 보통주 | 3,021,000 | 25.44 | 2,771,000 | 23.05 | - | |
| 우선주 | - | - | - | - | - | ||
| 주1) | 2021.11.12 이병건 대표이사는 사임하여, 특수관계가 해소되었습니다. |
나. 최대주주의 주요경력
| 성 명 (생년월일) |
직 책 | 주 요 경 력 | 비 고 | |
|---|---|---|---|---|
| 송순욱 (63.03.02) |
대표이사 (CEO) |
95.05 00.03~현재 08.08~14.06 13.03~현재 14.07~18.04 18.04~21.11 |
Johns Hopkins Univ. 분자생물학 박사 Harvard Medical School Research Associate 인하대학교 의과대학 교수 호미오세라피㈜ 연구소장 인하대병원 중개연구센터 센터장 에스씨엠생명과학㈜ 대표이사 에스에스씨엠생명과학㈜ 부사장 |
- |
| 주1) | 이병건 대표이사는 대표이사와 사내이사를 사임하였고, 2021년 11월 12일 정기이사회에서 송순욱 대표이사를 선임하였습니다. |
다. 최대주주의 최대주주(법인 또는 단체)의 개요
당사는 보고서 작성기준일 현재 해당사항이 없습니다.
라. 최대주주의 변동 내역
당사는 설립 이후 보고서 작성기준일 현재까지 최대주주가 변동된 사실이 없습니다.
마. 주식 분포
| (기준일 : | 2021.12.31 | ) | (단위 : 주) |
| 구분 | 주주명 | 소유주식수 | 지분율(%) | 비고 |
|---|---|---|---|---|
| 5% 이상 주주 | 송순욱(SONG SUN UK) | 2,171,000 | 18.06 | 최대주주 |
| - | - | - | - | |
| 우리사주조합 | - | - | - | |
바. 소액주주현황
| (기준일 : | 2021년 12월 31일 | ) | (단위 : 주) |
| 구 분 | 주주 | 소유주식 | 비 고 | ||||
|---|---|---|---|---|---|---|---|
| 소액 주주수 |
전체 주주수 |
비율 (%) |
소액 주식수 |
총발행 주식수 |
비율 (%) |
||
| 소액주주 | 25,071 | 25,076 | 99.98 | 8,531,774 | 12,021,854 | 71 | - |
사. 주가 및 거래 실적
| (기준일 : 2021년 12월 31일) | (단위 : 원, 주) |
| 종 류 | 구 분 | 2021년 7월 | 2021년 8월 | 2021년 9월 | 2021년 10월 | 2021년 11월 | 2021년 12월 | |
|---|---|---|---|---|---|---|---|---|
| 보통주 | 주가(주1) | 최고 | 33,600 | 30,700 | 29,350 | 22,550 | 22,000 | 25,500 |
| 최저 | 28,750 | 24,750 | 24,100 | 19,900 | 13,650 | 14,550 | ||
| 평균 | 31,107 | 28,126 | 26,874 | 21,045 | 17,857 | 19,250 | ||
| 거래량 | 최고(일) | 244,537 | 152,851 | 198,942 | 127,647 | 241,912 | 4,485,987 | |
| 최저(일) | 39,662 | 25,580 | 23,353 | 10,750 | 22,450 | 22,500 | ||
| 월간 | 1,735,490 | 1,200,087 | 997,194 | 837,736 | 1,765,495 | 11,172,853 | ||
| 주1) | 주가는 해당 일자의 종가입니다. |
VIII. 임원 및 직원 등에 관한 사항
1. 임원 및 직원 등의 현황
가. 임원 현황
| (기준일 : | 2021년 12월 31일 | ) | (단위 : 주) |
| 성명 | 성별 | 출생년월 | 직위 | 등기임원 여부 |
상근 여부 |
담당 업무 |
주요경력 | 소유주식수 | 최대주주와의 관계 |
재직기간 | 임기 만료일 |
|
|---|---|---|---|---|---|---|---|---|---|---|---|---|
| 의결권 있는 주식 |
의결권 없는 주식 |
|||||||||||
| 송순욱 | 남 | 1963.03 | 대표이사 | 사내이사 | 상근 | 경영총괄 |
Johns Hopkins Univ. 분자생물학 박사 Harvard Medical School Research Asso 인하대 의과대학 교수 호미오세라피 연구소장 인하대병원 중개연구센터 센터장 에스씨엠생명과학 대표이사 에스씨엠생명과학 부사장 |
2,171,000 | - | 최대주주 본인 |
7년 5개월 | 2023.07.02 |
| 오형남 | 남 | 1960.01 | 전무이사 | 미등기 | 상근 | IR/PR총괄 준법경영 |
인하대학교 경영학 석사 에스씨엠생명과학 사내이사 인하대병원 미래전략팀 부장 현, 에스씨엠생명과학 전무이사 |
15,000 | - | - | 2개월 | - |
| 이종철 | 남 | 1973.10 | 전무이사 | 미등기 | 상근 | ESG 재무총괄 |
연세대 경제학 학사 성균관대학교 기술경영학 석사 공인회계사 삼일회계법인 |
- | - | - | 11개월 | - |
| 함동식 | 남 | 1976.07 | 상무이사 | 미등기 | 상근 | 제조임상총괄 |
가톨릭대 세포생물학 박사 가톨릭대 의과대학 연구교수 에스씨엠생명과학 제조소장 |
7,500 | - | - | 5년 4개월 | - |
| 김석조 | 남 | 1979.12 | 상무이사 | 미등기 | 상근 | 연구사업개발총괄 | 노스웨스턴대 한인과학자 협회 회장 시카고 한국학교 공동설립자 미시간대학교 연구교수 |
- | - | - | 4개월 | - |
| 이서종 | 남 | 1975.02 | 이사 | 미등기 | 상근 | 사업개발 | ㈜대웅제약 영업부서 팀장 한국노바티스 Sales&Marketing팀 팀장 한국노바티스 BD&L팀 부장 |
- | - | - | 5개월 | - |
| 이희성 | 남 | 1953.12 | 사외이사 | 사외이사 | 비상근 | 경영자문 |
성균관대 약학 박사 보건복지부 서기관 식품의약품안전청 이사관 서울지방식품안전청 청장 식품의약품안전청 차장 식품의약품안전청 청장(제11대) 성균관대 약학대학원 교수 법무법인 화우 고문 성균관대 약학대학 겸임교수 |
- | - | 등기임원 | 2년 2개월 | 2022.10.22 |
| 최희주 | 남 | 1965.10 | 사외이사 | 사외이사 | 비상근 | 경영자문 | 서울대 사회복지학 학사 가천대 보건학 박사 보건복지부 저출산고령사회정책실장, 인구정책실장 새누리당 보건복지수석전문위원 가천대 센터장, 순천향대 건강과학대학원장 법무법인 율촌 고문 |
- | - | 등기임원 | 1년 9개월 | 2023.03.31 |
| 레오나드 아리프 압둘샤타르 |
남 | 1964.12 | 기타 비상무 이사 |
기타비상무이사 | 비상근 | 경영자문 |
Usaha Pharma Sdn. Bhd., Managing Director ICI Paints Malaysia Sdn. Bhd., Managing Director CCM Duopharma Biotech Berhad, CEO CCM Chemicals Sdn. Bhd. Director Chemical Company of Malaysia Berhad Duopharma Biotech Berhad. Group Managing Director |
- | - | 등기임원 | 2년 11개월 | 2022.01.18 |
| 정선영 | 남 | 1962.08 | 감사 | 감사 | 비상근 | 감사 |
중앙대 경영학 학사 Univ. of Denver, MBA 한국거래소 위니아딤채 사외이사 |
- | - | 등기임원 | 2년 8개월 | 2022.06.14 |
주1) 이병건 사내이사는 2021년 11월 12일자로 퇴직하고 송순욱 사내이사가 동일자로 대표이사로 선임되었습니다.
주2) 2022년 03월 28일 개최되는 정기주주총회에서 오형남 사내이사 선임, 이종철 사내이사 선임, 레오나드아리프압둘샤타르 기타비상무이사 선임(중임), 송기령 기타비상무이사 선임, 문종호 사외이사 선임, 정선영 감사 선임(중임)을 위한 안건이 포함되어 있습니다.
나. 임원 겸직 현황
| 성 명 | 직 위 | 겸직 현황 | |||
|---|---|---|---|---|---|
| 회사명 | 직 위 | 담당업무 | 선임연월 | ||
|
송순욱 |
대표이사 |
인하대학교 의학전문대학원 |
교수 |
교수 |
2000.03 |
|
이희성 |
사외이사 |
법무법인(유) 화우 |
고문 |
고문 |
2015.03 |
|
성균관대학교 약학대학 |
겸임교수 |
교수 |
2015.03 |
||
| 최희주 | 사외이사 | 법무법인(유) 율촌 | 고문 | 고문 | 2020.03 |
|
레오나드아리프압둘샤타르 |
기타비상무이사 |
Duopharma Biotech Berhad |
Group Managing Director |
경영총괄 | 2017.12 |
|
정선영 |
감사 |
㈜위니아딤채 |
사외이사/감사위원 |
경영자문 |
2019.03 |
| 법무법인 신원 |
고문 |
투자자문 |
2019.06 |
||
다. 등기임원 선임 후보자 및 해임 대상자 현황
| (기준일 : | 2021년 12월 31일 | ) |
| 구분 | 성명 | 성별 | 출생년월 | 사외이사 후보자 해당여부 |
주요경력 | 선ㆍ해임 예정일 |
최대주주와의 관계 |
|---|---|---|---|---|---|---|---|
| 선임 | 오형남 | 남 | 1960.01 | 사내이사 |
인하대학교 경영학 석사 에스씨엠생명과학 사내이사 인하대병원 미래전략팀 부장 현, 에스씨엠생명과학 전무이사 |
2022.03.28 | - |
| 선임 | 이종철 | 남 | 1973.10 | 사내이사 | 연세대 경제학 학사 성균관대학교 기술경영학 석사 공인회계사 삼일회계법인 |
2022.03.28 | - |
| 선임 | 레오나드 아리프 압둘샤타르 |
남 | 1964.12 | 기타비상무이사 |
Usaha Pharma Sdn. Bhd., Managing Director ICI Paints Malaysia Sdn. Bhd., Managing Director CCM Duopharma Biotech Berhad, CEO CCM Chemicals Sdn. Bhd. Director Chemical Company of Malaysia Berhad Duopharma Biotech Berhad. Group Managing Director |
2022.03.28 | - |
| 선임 | 송기령 | 여 | 1964.12 | 기타비상무이사 | 서울대학교 음학대학 작곡과 학사 | 2022.03.28 | 최대주주의 배우자 |
| 선임 | 문종호 | 남 | 1946.07 | 사외이사 |
순천향대학교 의과대학 의학석사 순천향대학교 의과대학 의학박사 순천향대학교 의과대학 소화기내과 교수 순천향대학교부천병원 소화기병센터소장 순천향대학교부천병원 소화기내과과장 |
2022.03.28 | - |
| 선임 | 정선영 | 남 | 1962.08 | 감사 |
중앙대 경영학 학사 Univ. of Denver, MBA 한국거래소 위니아딤채 사외이사 |
2022.03.28 | - |
상기 등기임원 후보자는 제8기 정기주주총회에서 선임될 예정이며, 향후 정기주주총회에서 수정이 발생할 경우, 정정보고서를 그 내용 및 사유를 반영할 예정입니다.
라. 직원 등 현황
| (기준일 : | 2021년 12월 31일 | ) | (단위 : 원) |
| 직원 | 소속 외 근로자 |
비고 | |||||||||||
|---|---|---|---|---|---|---|---|---|---|---|---|---|---|
| 사업부문 | 성별 | 직 원 수 | 평 균 근속연수 |
연간급여 총 액 |
1인평균 급여액 |
남 | 여 | 계 | |||||
| 기간의 정함이 없는 근로자 |
기간제 근로자 |
합 계 | |||||||||||
| 전체 | (단시간 근로자) |
전체 | (단시간 근로자) |
||||||||||
| 줄기세포사업부문 | 남 | 22 | - | - | - | 22 | 2 | 1,534,889 | 69,768 | - | - | - | - |
| 줄기세포사업부문 | 여 | 32 | - | - | - | 32 | 4 | 1,666,345 | 52,073 | - | |||
| 합 계 | 54 | - | - | - | 54 | 3 | 3,201,234 | 59,282 | - | ||||
| 주1) | 직원수는 상기 기준일 재직자를 기준으로 작성하였으며 등기임원은 제외하였습니다. |
| 주2) | 연간급여 총액은 2021년 1월 1일부터 상기 기준일까지의 누계 금액으로서, 고정급, 성과급 및 급여성 복리후생비 금액 등을 포함하였습니다. |
| 주3) | 1인 평균 급여액은 급여 총액을 보고서 작성기준일 현재 인원수로 나누어 산출하였습니다. |
라. 미등기임원 보수 현황
| (기준일 : | 2021년 12월 31일 | ) | (단위 : 천원) |
| 구 분 | 인원수 | 연간급여 총액 | 1인평균 급여액 | 비고 |
|---|---|---|---|---|
| 미등기임원 | 5 | 421,279 | 84,256 | - |
| 주1) | 인원수는 상기 기준일 재직자를 기준으로 작성하였으며 등기임원은 제외하였습니다. |
| 주2) | 연간급여 총액은 2021년 1월 1일부터 상기 기준일까지의 누계 금액으로서, 고정급, 성과급 및 급여성 복리후생비 금액 등을 포함하였습니다. |
| 주3) | 1인 평균 급여액은 급여 총액을 보고서 작성기준일 현재 인원수로 나누어 산출하였습니다. |
2. 임원의 보수 등
| <이사ㆍ감사 전체의 보수현황> |
가. 주주총회 승인금액
| (단위 : 천원) |
| 구 분 | 인원수 | 주주총회 승인금액 | 비고 |
|---|---|---|---|
| 이사 | 4 | 2,000,000 | - |
| 감사 | 1 | 100,000 | - |
나. 보수지급금액
(1) 이사ㆍ감사 전체
| (단위 : 천원) |
| 인원수 | 보수총액 | 1인당 평균보수액 | 비고 |
|---|---|---|---|
| 5 | 596,667 | 119,333 | - |
| 주1) | 인원수는 보고서 작성기준일 현재 재임중인 임원 기준입니다. |
| 주2) | 보수총액은 2021년 1월 1일부터 보고서 작성기준일까지 등기임원 자격으로 지급받은 누계 금액으로서, 고정급, 성과급 및 급여성 복리후생비 금액 등은 포함하고 퇴직급여 등 충당성 금액은 제외하였습니다. |
| 주3) | 1인당 평균보수액은 보수총액을 보고서 작성기준일 현재 인원수로 나누어 산출하였습니다. |
(2) 유형별
| (단위 : 백만원) |
| 구 분 | 인원수 | 보수총액 | 1인당 평균보수액 |
비고 |
|---|---|---|---|---|
| 등기이사 (사외이사, 감사위원회 위원 제외) |
3 | 560,667 | 186,889 | - |
| 사외이사 (감사위원회 위원 제외) |
2 | 24,000 | 12,000 | - |
| 감사위원회 위원 | - | - | - | - |
| 감사 | 1 | 12,000 | 12,000 | - |
| 주1) | 인원수는 보고서 작성기준일 현재 기준입니다. |
| 주2) | 보수총액은 2021년 1월 1일부터 보고서 작성기준일까지 등기임원 자격으로 지급받은 누계 금액으로서, 고정급, 성과급 및 급여성 복리후생비 금액 등은 포함하고 퇴직급여 등 충당성 금액은 제외하였습니다. |
| 주3) | 1인당 평균보수액은 보수총액을 보고서 작성기준일 현재 인원수로 나누어 산출하였습니다. |
| 주4) | 레오나드아리프압둘샤타르 기타비상무이사 1인은 등기이사에 포함하였습니다. |
다. 이사ㆍ감사의 보수지급기준
| 구분 | 지급기준 |
|---|---|
| 등기이사 (사외이사, 감사위원회 위원 제외) |
주주총회 결의로 정한 이사보수한도 범위 내에서 내부기준을 기초로 하여, 직무·직급, 근속기간, 리더십, 전문성, 회사기여도, 인재육성 등을 종합적으로 반영하여 지급 |
| 사외이사 (감사위원회 위원 제외) |
주주총회 결의로 정한 이사보수한도 범위 내에서 독립성 및 투명성을 보장하기 위하여 고정 보수로 지급하며, 경영성과에 연동되는 별도의 경영성과급은 지급하지 아니함 |
| 감사 | 주주총회 결의로 정한 감사보수한도 범위 내에서 독립성 및 투명성을 보장하기 위하여 고정 보수로 지급하며, 경영성과에 연동되는 별도의 경영성과급은 지급하지 아니함 |
라. 이사ㆍ감사의 개인별 보수현황
| <보수지급금액 5억원 이상인 이사ㆍ감사의 개인별 보수현황> |
당사는 개인별 보수 지급액이 5억원 이상에 해당하는 이사ㆍ감사가 없습니다.
1. 개인별 보수지급금액
| (단위 : 천원) |
| 이름 | 직위 | 보수총액 | 보수총액에 포함되지 않는 보수 |
|---|---|---|---|
| - | - | - | - |
| - | - | - | - |
2. 산정기준 및 방법
| (단위 : 천원) |
| 이름 | 보수의 종류 | 총액 | 산정기준 및 방법 | |
|---|---|---|---|---|
| - | 근로소득 | 급여 | - | - |
| 상여 | - | - | ||
| 주식매수선택권 행사이익 |
- | - | ||
| 기타 근로소득 | - | - | ||
| 퇴직소득 | - | - | ||
| 기타소득 | - | - | ||
| <보수지급금액 5억원 이상 중 상위 5명의 개인별 보수현황> |
당사는 개인별 보수 지급액이 5억원 이상에 해당하는 이사ㆍ감사가 없습니다.
1. 개인별 보수지급금액
| (단위 : 천원) |
| 이름 | 직위 | 보수총액 | 보수총액에 포함되지 않는 보수 |
|---|---|---|---|
| - | - | - | - |
| - | - | - | - |
2. 산정기준 및 방법
| (단위 : 천원) |
| 이름 | 보수의 종류 | 총액 | 산정기준 및 방법 | |
|---|---|---|---|---|
| - | 근로소득 | 급여 | - | - |
| 상여 | - | - | ||
| 주식매수선택권 행사이익 |
- | - | ||
| 기타 근로소득 | - | - | ||
| 퇴직소득 | - | - | ||
| 기타소득 | - | - | ||
마. 주식매수선택권의 부여 및 행사현황
(1) 이사ㆍ감사의 주식매수선택권의 부여 및 행사현황
| (단위 : 천원) |
| 구 분 | 인원수 | 주식매수선택권의 공정가치 총액 | 비고 |
|---|---|---|---|
| 등기이사 | 2 | 901,851 | 주1) |
| 사외이사 | 2 | 90,426 | - |
| 감사위원회 위원 또는 감사 | 1 | 28,335 | - |
| 계 | 4 | 1,020,612 | 주2), 주3) |
|
주1) |
레오나드아리프압둘샤타르 기타비상무이사 1인은 등기이사에 포함하였습니다. |
| 주2) | 당사는 이항모형에 의한 공정가치접근법을 적용하여 보상원가를 산정합니다. |
| 주3) | 금융감독원 작성지침에 따르면, 당해 사업연도(분ㆍ반기) 손익계산서(포괄손익계산서)에 주식매수선택권과 관련하여 비용으로 기재하라고 되어있습니다. 금융감독원에 질의하여, 작성항목이 공정가치 총액이므로 기간 별 발생비용이 아닌 해당 기간의 공정가치 총액을 기재하였습니다. |
(2) 개인별 주식매수선택권 부여 및 행사 현황
| (기준일 : | 2021년 12월 31일 | ) | (단위 : 원, 주) |
| 부여 받은자 |
관 계 | 부여일 | 부여방법 | 주식의 종류 |
최초 부여 수량 |
당기변동수량 | 총변동수량 | 기말 미행사수량 |
행사기간 | 행사 가격 |
||
|---|---|---|---|---|---|---|---|---|---|---|---|---|
| 행사 | 취소 | 행사 | 취소 | |||||||||
| 김동균 | 등기임원 | 2016.02.19 | 신주교부 | 보통주 | 11,122 | - | - | - | 11,122 | - | 2019.02.20~2023.02.19 | 2,750 |
| 박신영 | 미등기임원 | 2016.02.19 | 신주교부 | 보통주 | 11,122 | - | - | - | 11,122 | - | 2019.02.20~2023.02.19 | 2,750 |
| 강지은 외 15명 | 직원 | 2016.02.19 | 신주교부 | 보통주 | 133,456 | 30,031 | - | 100,094 | 33,362 | - | 2019.02.20~2023.02.19 | 2,750 |
| 정승우 | 미등기임원 | 2017.02.28 | 신주교부 | 보통주 | 99,800 | 3,000 | - | 37,420 | - | 62,380 | 2020.02.29~2024.02.28 | 6,700 |
| 유영동 | 미등기임원 | 2017.02.28 | 신주교부 | 보통주 | 49,800 | - | - | - | 49,800 | - | 2020.02.29~2024.02.28 | 6,700 |
| 함동식 | 미등기임원 | 2017.02.28 | 신주교부 | 보통주 | 49,800 | - | - | 7,500 | - | 42,300 | 2020.02.29~2024.02.28 | 6,700 |
| 문선화 외 23명 | 직원 | 2017.02.28 | 신주교부 | 보통주 | 185,306 | 41,808 | - | 95,866 | 39,080 | 50,360 | 2020.02.29~2024.02.28 | 6,700 |
| 이병건 | 등기임원 | 2018.05.15 | 신주교부 | 보통주 | 250,000 | - | - | - | - | 250,000 | 2020.05.16~2025.05.15 | 7,000 |
| 오형남 | 미등기임원 | 2018.06.15 | 신주교부 | 보통주 | 60,000 | 15,000 | - | 15,000 | - | 45,000 | 2021.06.16~2025.06.15 | 7,250 |
| 함동식 | 미등기임원 | 2018.06.15 | 신주교부 | 보통주 | 2,000 | - | - | - | - | 2,000 | 2021.06.16~2025.06.15 | 7,250 |
| 김시나 외 37명 | 직원 | 2018.06.15 | 신주교부 | 보통주 | 216,000 | 57,400 | - | 57,400 | 51,000 | 107,600 | 2021.06.16~2025.06.15 | 7,250 |
| 오석우 | 등기임원 | 2019.01.18 | 신주교부 | 보통주 | 20,000 | - | - | - | - | 20,000 | 2022.01.19~2026.01.18 | 9,000 |
| 엄현석 | 직원 | 2019.01.18 | 신주교부 | 보통주 | 6,000 | - | - | - | - | 6,000 | 2022.01.19~2026.01.18 | 9,000 |
| 오석우 | 등기임원 | 2019.03.29 | 신주교부 | 보통주 | 60,000 | - | - | - | - | 60,000 | 2022.03.30~2026.03.29 | 10,000 |
| 김용보 | 미등기임원 | 2019.03.29 | 신주교부 | 보통주 | 20,000 | - | - | - | - | 20,000 | 2022.03.30~2026.03.29 | 10,000 |
| 박의선 | 미등기임원 | 2019.03.29 | 신주교부 | 보통주 | 20,000 | - | - | - | 20,000 | - | 2022.03.30~2026.03.29 | 10,000 |
| 정영수 외 12명 | 직원 | 2019.03.29 | 신주교부 | 보통주 | 60,000 | - | - | - | 8,000 | 52,000 | 2022.03.30~2026.03.29 | 10,000 |
| 이병건 | 등기임원 | 2019.07.17 | 신주교부 | 보통주 | 98,874 | - | - | - | - | 98,874 | 2021.07.18~2026.07.17 | 11,000 |
| 정선영 | 등기임원 | 2019.09.20 | 신주교부 | 보통주 | 10,000 | - | - | - | - | 10,000 | 2022.09.21~2026.09.20 | 14,000 |
| 정은경 | 미등기임원 | 2019.09.20 | 신주교부 | 보통주 | 30,000 | - | - | - | - | 30,000 | 2022.09.21~2026.09.20 | 14,000 |
| 김바위 외 7명 | 직원 | 2019.09.20 | 신주교부 | 보통주 | 40,000 | - | - | - | 6,000 | 34,000 | 2022.09.21~2026.09.20 | 14,000 |
| 이병건 | 등기임원 | 2020.06.30 | 신주교부 또는 차액보상형 선택 |
보통주 | 353,701 | - | - | - | - | 353,701 | 2022.07.01~2027.06.30 | 30,400 |
| 이희성 | 등기임원 | 2020.06.30 | 신주교부 또는 차액보상형 선택 |
보통주 | 10,000 | - | - | - | - | 10,000 | 2022.07.01~2027.06.30 | 30,400 |
| 최희주 | 등기임원 | 2020.06.30 | 신주교부 또는 차액보상형 선택 |
보통주 | 10,000 | - | - | - | - | 10,000 | 2022.07.01~2027.06.30 | 30,400 |
| 레오나드아리프 압둘샤타르 |
등기임원 | 2020.06.30 | 신주교부 또는 차액보상형 선택 |
보통주 | 10,000 | - | - | - | - | 10,000 | 2022.07.01~2027.06.30 | 30,400 |
| 이종철 | 미등기임원 | 2021.03.26 | 신주교부 | 보통주 | 25,000 | - | - | - | - | 25,000 | 2024.03.27~2028.03.26 | 36,260 |
| 박세연 외 5명 | 직원 | 2021.03.26 | 신주교부 | 보통주 | 41,000 | - | - | - | - | 41,000 | 2024.03.27~2028.03.26 | 36,260 |
| 김석조 | 미등기임원 | 2021.08.13 | 신주교부 | 보통주 | 20,000 | - | - | - | - | 20,000 | 2024.08.14~2028.08.13 | 30,400 |
| 이서종 | 미등기임원 | 2021.08.13 | 신주교부 | 보통주 | 15,000 | - | - | - | - | 15,000 | 2024.08.14~2028.08.13 | 30,400 |
| 백영주 외 2명 | 직원 | 2021.08.13 | 신주교부 | 보통주 | 19,000 | - | - | - | - | 19,000 | 2024.08.14~2028.08.13 | 30,400 |
| 허태준 외 3명 | 직원 | 2021.11.12 | 신주교부 | 보통주 | 12,000 | - | 5,000 | - | 5,000 | 7,000 | 2024.11.13~2028.11.12 | 20,566 |
IX. 계열회사 등에 관한 사항
1. 계열회사의 현황
당사는 보고서 작성기준일 현재 해당사항이 없습니다.
| (기준일 : | 2021년 12월 31일 | ) | (단위 : %) |
| 회사명 | 소재지 | 결산월 | 지분율 | 사업 내용 |
|---|---|---|---|---|
| - | - | - | - | - |
| - | - | - | - | - |
| (기준일 : | 2021년 12월 31일 | ) | (단위 : 사) |
| 기업집단의 명칭 | 계열회사의 수 | ||
|---|---|---|---|
| 상장 | 비상장 | 계 | |
| - | - | - | - |
| ※상세 현황은 '상세표-2. 계열회사 현황(상세)' 참조 |
2. 타법인 출자현황
| (기준일 : | 2021년 12월 31일 | ) | (단위 : 백만원) |
| 출자 목적 |
출자회사수 | 총 출자금액 | |||||
|---|---|---|---|---|---|---|---|
| 상장 | 비상장 | 계 | 기초 장부 가액 |
증가(감소) | 기말 장부 가액 |
||
| 취득 (처분) |
평가 손익 |
||||||
| 경영참여 | - | 1 | 1 | 28,167 | - | -7,661 | 20,506 |
| 일반투자 | - | - | - | - | - | - | - |
| 단순투자 | - | 1 | 1 | 1,147 | - | - | 1,147 |
| 계 | - | 2 | 2 | 29,314 | - | -7,661 | 21,653 |
| ※상세 현황은 '상세표-3. 타법인출자 현황(상세)' 참조 |
X. 대주주 등과의 거래내용
가. 대주주등에 관한 신용공여등
당사는 보고서 작성기준일 현재 해당사항이 없습니다.
나. 대주주와의 자산양수도 등
당사는 보고서 작성기준일 현재 해당사항이 없습니다.
다. 대주주와의 영업거래
당사는 보고서 작성기준일 현재 해당사항이 없습니다.
라. 대주주 이외의 이해관계자와의 거래
당사는 보고서 작성기준일 현재 해당사항이 없습니다.
XI. 그 밖에 투자자 보호를 위하여 필요한 사항
1. 공시내용 진행 및 변경사항
당사는 보고서 작성기준일 현재 해당사항이 없습니다.
2. 우발부채 등에 관한 사항
가. 중요한 소송사건
당사는 보고서 작성기준일 현재 해당사항이 없습니다.
나. 견질 또는 담보용 어음ㆍ수표 현황
당사는 보고서 작성기준일 현재 해당사항이 없습니다.
| (기준일 : 2021년 12월 31일) | (단위 : 매, 백만원) |
| 제 출 처 | 매 수 | 금 액 | 비 고 |
|---|---|---|---|
| 은 행 | - | - | - |
| 금융기관(은행제외) | - | - | - |
| 법 인 | - | - | - |
| 기타(개인) | - | - | - |
다. 채무보증 현황
당사는 보고서 작성기준일 현재 해당사항이 없습니다.
라. 채무인수약정 현황
당사는 보고서 작성기준일 현재 해당사항이 없습니다.
마. 신용보강 제공 현황
당사는 보고서 작성기준일 현재 해당사항이 없습니다.
| (기준일 : 2021년 12월 31일) | (단위 : 백만원) |
| 발행회사 (SPC) |
증권종류 | PF 사업장 구분 |
발행일자 | 발행금액 | 미상환 잔액 |
신용보강 유형 |
조기상환 조항 |
|---|---|---|---|---|---|---|---|
| - | - | - | - | - | - | - | - |
| - | - | - | - | - | - | - | - |
| - | - | - | - | - | - | - | - |
사. 장래매출채권 유동화 현황
당사는 보고서 작성기준일 현재 해당사항이 없습니다.
| (기준일 : 2021년 12월 31일) | (단위 : 백만원) |
| 발행회사 (SPC) |
기초자산 | 증권종류 | 발행일자 | 발행금액 | 미상환잔액 |
|---|---|---|---|---|---|
| - | - | - | - | - | - |
| - | - | - | - | - | - |
| - | - | - | - | - | - |
아. 장래매출채권 유동화채무 비중
당사는 보고서 작성기준일 현재 해당사항이 없습니다.
| (기준일 : 2021년 12월 31일) | (단위 : 백만원) |
| 당기말 | 전기말 | 증감 | |||
|---|---|---|---|---|---|
| 금액(A) | (비중,%) | 금액(B) | (비중,%) | (A-B) | |
| 유동화채무 | - | - | - | - | - |
| 총차입금 | - | - | - | - | - |
| 매출액 | - | - | - | - | - |
| 매출채권 | - | - | - | - | - |
3. 제재 등과 관련된 사항
가. 제재현황
| 조치일 | 조치기관 | 조치대상자 | 조치내용 | 사유 및 근거규정 | 조치에 대한 이행현황 | 재발방지를 위한 대책 |
|---|---|---|---|---|---|---|
| 2021.10.08 | 코스닥 시장본부 | 에스씨엠생명과학 주식회사 | 공시불이행 부과벌점 0.0 공시위반제재금 8,000,000원 |
코스닥시장공시규정 제27조, 제32조 및 제34조, 투자판단 관련 주요경영사항 지연공시 |
확정 | - 내부통제제도 강화 및 회계투명성 제고 - 공시체계 정비 - 내부회계관리제도 및 사내규정보완 |
자세한 사항은 2021년 11월 3일 불성실공지법인지정 공시를 참조 바랍니다.
나. 단기매매차익 환수 현황
당사는 공시대상기간 중 단기매매차익 발생사실을 증권선물위원회(금융감독원장)로부터 통보받은 바 없습니다.
4. 작성기준일 이후 발생한 주요사항 등 기타사항
가. 중소기업기준 검토표
![]() |
|
중소기업기준검토표_2021_1 |
![]() |
|
중소기업기준검토표_2021_2 |
나. 외국지주회사의 자회사 현황
당사는 보고서 작성기준일 현재 해당사항이 없습니다.
다. 합병등 전후의 재무사항 비교표
* 합병등(합병, 중요한 영업ㆍ자산양수도, 주식의 포괄적교환ㆍ이전, 분할)
당사는 보고서 작성기준일 현재 해당사항이 없습니다.
| (단위 : 백만원) |
| 대상회사 | 계정과목 | 예측 | 실적 | 비고 | ||||
|---|---|---|---|---|---|---|---|---|
| 1차연도 | 2차연도 | 1차연도 | 2차연도 | |||||
| 실적 | 괴리율 | 실적 | 괴리율 | |||||
| - | 매출액 | - | - | - | - | - | - | - |
| 영업이익 | - | - | - | - | - | - | - | |
| 당기순이익 | - | - | - | - | - | - | - | |
라. 보호예수 현황
| (기준일 : | 2021년 12월 31일 | ) | (단위 : 주) |
| 주식의 종류 | 예수주식수 | 예수일 | 반환예정일 | 보호예수기간 | 보호예수사유 | 총발행주식수 |
|---|---|---|---|---|---|---|
| 보통주 | 2,771,000 | 2020.01.09 | 2023.06.17 | 상장일로부터 3년 | 한국거래소 상장규정에 따른 보호예수 (최대주주 등) |
12,021,854 |
| 보통주 | 310,000 | 2020.01.09 | 2022.06.17 | 상장일로부터 2년 | 한국거래소 상장규정에 따른 보호예수 (최대주주 등) |
12,021,854 |
바. 특례상장기업의 재무사항 비교표
| (상장일 : | 2020년 06월 17일 | , 인수인 : | 한국투자증권 | ) | (단위 : 백만원) |
| 추정대상 | 계정과목 | 예측치 | 실적치 | 괴리율 |
|---|---|---|---|---|
| 2020년 | 매출액 | 4,660 | 320 | 93 |
| 영업이익 | -10,130 | -16,089 | -58 | |
| 당기순이익 | -13,942 | -9,633 | 31 | |
| 2021년 | 매출액 | 11,929 | 439 | 96 |
| 영업이익 | -3,731 | -12,155 | -226 | |
| 당기순이익 | -7,250 | -22,519 | -211 | |
| 2022년 | 매출액 | 21,832 | - | - |
| 영업이익 | 3,089 | - | - | |
| 당기순이익 | 4,191 | - | - |
| 주1) | 1차연도는 2020년, 2차연도는 2021년 별도 재무사항입니다. |
| 주2) | 괴리율은 "(예측치-실적치)/예측치" 로 산정하여 백분율로 기재합니다. |
-(1) 매출액 분석
당사는 한국채택국제회계기준에 따라 기술이전 계약에 따라 반환불가 조건의 선수수수료(Upfront Fee 등)를 받는 경우, 미래 제공할 추가적인 수행의무와 관련이 있는 것이라면 해당 의무를 수행하는 시기에 수익을 인식하고, 미래 제공할 추가적인 수행의무가 없다면 받았을 때 수익을 인식하고 있습니다. 그리고, 수행의무를 이행하지 않아 수익으로 인식하지 않은 금액은 재무상태표에 계약부채로 인식한 후 수행의무의 기간에 걸쳐 수익으로 인식하고 있습니다.
한편, 증권신고서 상 영업실적을 추정할 때에는 미래에 체결될 계약 내용을 정확히 알 수 없으므로, 수행의무에 따른 기간 인식을 고려하지 않았으며, 이러한 내용 역시 증권신고서 상 적절히 기재하였습니다.
또한 라이선스 수수료 외 화장품(제품) 판매수익도 당사 매출을 구성하고 있습니다. 당사은 2021년도 매출로 화장품(제품) 매출 197만원 및 한독에 아토피피부염 치료제 기술이전에 따른 기술료 수익 242백만원 등 총 439백만원을 인식하였습니다.
매출액의 2021년도 예측치는 11,929백만원, 실적은 439백만원으로 차액 11,490백만원, 괴리율은 96.32%입니다. 당사 제품매출은 코로나 19로 인한 소비 위축 및 홈쇼핑 판매 사업계획 수정 등의 영향으로 예측치를 하회하였습니다. 지금 현재 추진 중인 임상시험 파이프라인의 국내 및 글로벌 기술이전을 추진함과 동시에 줄기세포 화장품 및 줄기세포배양액 판매 사업도 계속적으로 확장할 계획입니다.
(2) 영업이익(손실) 분석
영업손실의 2021년도 예측치는 3,731백만원, 실적은 12,155백만원으로 차액 8,424백만원, 괴리율은 225.78%입니다. 이는 진행중인 만성이식편대숙주질환(임상2상), 중증급성췌장염(임상2a상) 및 아토피피부염(임상 1/2상)의 임상시험이 빠르게 진행되어 시약재료비 및 임상연구비 등에 경상연구개발비와 지급수수료와 관련 임직원에 대한 주식보상비용이 증가하였기 때문입니다.
(3) 당기순이익(손실) 분석
당기순손실의 2021년도 예측치는 손실 7,250백만원, 실적은 손실 22,519백만원으로차액 15,269백만원, 괴리율은 210.61%입니다. 이는 미국 조인트벤처 코이뮨의 합병및 투자 유치 등의 순자산 변화에 따른 회계적으로 인식되는 지분법투자관련손익 변동 때문입니다.
사. 특례상장기업 관리종목 지정유예 현황
| (기준일 : | 2021년 12월 31일 | ) | (단위 : 백만원, %) |
| 관리종목 지정요건 | 요건별 회사 현황 | 관리종목 지정요건 해당여부 |
관리종목지정유예 | |||
|---|---|---|---|---|---|---|
| 항목 | 사업연도 | 금액/비율 | 해당 여부 |
종료 시점 |
||
| 최근 사업연도말 매출액 30억원 미만 |
최근 사업연도말 매출액(별도) | 2021 | 439 | 해당 | 해당 | 2024년 12월 31일 |
| 최근 4사업연도 연속 영업손실 발생 | 최근 4사업연도 각 영업손익 (별도) |
2021 | -12,155 | 미해당 | 미해당 | - |
| 2020 | -16,089 | |||||
| 2019 | -12,202 | |||||
| 2018 | -8,569 | |||||
| 자기자본 50%이상(10억원 이상에 한함)의 법인세차감전계속사업손실이 최근 3년간 2회 이상 및 최근 사업연도 법인세차감전계속사업손실 발생 | 최근 3사업연도 각 자기자본 대비 법인세차감전 계속사업손익 비율(연결) |
2021 | -50.5 | 해당 | 해당 | 2022년 12월 31일 |
| 2020 | -15.3 | |||||
| 2019 | -252.5 | |||||
XII. 상세표
1. 연결대상 종속회사 현황(상세)
당사는 보고서 작성기준일 현재 해당사항이 없습니다.
| ☞ 본문 위치로 이동 |
| (단위 : 백만원) |
| 상호 | 설립일 | 주소 | 주요사업 | 최근사업연도말 자산총액 |
지배관계 근거 | 주요종속 회사 여부 |
|---|---|---|---|---|---|---|
| - | - | - | - | - | - | - |
| - | - | - | - | - | - | - |
| - | - | - | - | - | - | - |
2. 계열회사 현황(상세)
당사는 보고서 작성기준일 현재 해당사항이 없습니다.
| ☞ 본문 위치로 이동 |
| (기준일 : | 2021년 12월 31일 | ) | (단위 : 사) |
| 상장여부 | 회사수 | 기업명 | 법인등록번호 |
|---|---|---|---|
| 상장 | - | - | - |
| - | - | ||
| 비상장 | - | - | - |
| - | - |
3. 타법인출자 현황(상세)
| ☞ 본문 위치로 이동 |
| (기준일 : | 2021년 12월 31일 | ) | (단위 : 백만원, 주, %) |
| 법인명 | 상장 여부 |
최초취득일자 | 출자 목적 |
최초취득금액 | 기초잔액 | 증가(감소) | 기말잔액 | 최근사업연도 재무현황 |
|||||||
|---|---|---|---|---|---|---|---|---|---|---|---|---|---|---|---|
| 수량 | 지분율 | 장부 가액 |
취득(처분) | 평가 손익 |
수량 | 지분율 | 장부 가액 |
총자산 | 당기 순손익 |
||||||
| 수량 | 금액 | ||||||||||||||
| CoImmune, Inc. | 비상장 | 2019.02.17 | 공동기업 | 6,520 | 15,300,000 | 26.83 | 28,167 | - | - | -7,661 | 15,300,000 | 23.88 | 20,506 | 78,316 | -37,723 |
| VITA THERAPEUTICS, INC. | 비상장 | 2021.06.09 | 단순투자 | - | - | - | - | 717,231 | 1,147 | - | 717,231 | 1.15 | 1,147 | 21,313 | -7,496 |
| 합 계 | 15,300,000 | 26.83 | 28,167 | 717,231 | 1,147 | -7,661 | 16,017,231 | 25.05 | 21,653 | 99,629 | -45,219 | ||||
4. 지적재산권 세부 목록
| ☞ 본문 위치로 이동 |
| 구분 | 종류 | 내용 | 소유자 | 출원국 | 출원일 | 등록일 | 적용제품 |
|---|---|---|---|---|---|---|---|
| 1 | 특허 | 층분리배양법을 이용한 골수에서의 중갑엽줄기세포 분리방법 | 에스씨엠생명과학주식회사 | 한국 | 06.08.10 | 08.01.31 | SCM-CGH |
| 2 | 미국 | 06.06.19 | 10.08.24 | ||||
| 3 | 유럽 | 06.06.19 | 14.07.30 | ||||
| 4 | 중국 | 06.06.19 | 13.01.09 | ||||
| 5 | 일본 | 06.06.19 | 12.12.14 | ||||
| 6 | 특허 | 층분리배양법을 이용한 지방-유래 줄기세포의 분리 및 이의 이용 | 에스씨엠생명과학주식회사 | 한국 | 15.07.29 | 17.08.11 | SCM-CGH |
| 7 | 특허 | 새로운 동결 줄기세포의 제조방법 (Manufacturing process for fresh and frozen stem cells) | 에스씨엠생명과학주식회사 | 미국 | 11.12.30 | 14.08.05 | SCM-AGH |
| 8 | 특허 | 줄기세포의 층분리 배양 및 증식 방법 (Method for isolation of stem cells from bone marrow using subfractionation culturing method and proliferation thereof) | 에스씨엠생명과학주식회사 | 한국 | 17.11.06 | 19.05.24 | SCM-CGH |
| 9 | 한국 | 19.05.24 | 20.01.08 | ||||
| 10 | 미국 | 18.07.03 | - | ||||
| 11 | 유럽 | 18.06.22 | - | ||||
| 12 | 일본 | 18.06.21 | 20.10.30 | ||||
| 13 | 중국 | 18.10.10 | - | ||||
| 14 | 호주 | 18.06.19 | 21.01.21 | ||||
| 15 | 러시아 | 18.07.04 | 19.12.12 | ||||
| 16 | 인도네시아 | 18.07.04 | - | ||||
| 17 | 말레이시아 | 18.07.17 | - | ||||
| 18 | 싱가포르 | 18.06.18 | - | ||||
| 19 | 베트남 | 18.07.10 | - | ||||
| 20 | 특허 | 이식편대숙주병의 치료 (Treatment of graft-versus-host disease) | 에스씨엠생명과학주식회사 | 미국 | 08.05.27 | 16.09.13 | SCM-CGH |
| 21 | 유럽 | 08.05.27 | 17.03.15 | ||||
| 22 | 일본 | 08.05.27 | 15.01.23 | ||||
| 23 | 특허 | 클로날 줄기세포를 포함하는 이식편대 숙주질환 치료용 약학적 조성물 | 에스씨엠생명과학주식회사 | 한국 | 19.12.04 | 21.05.26 | SCM-CGH |
| 24 | 미국 | 21.06.16 | - | ||||
| 25 | 유럽 | 21.06.25 | - | ||||
| 26 | 중국 | 21.06.17 | - | ||||
| 27 | 일본 | 21.06.16 | - | ||||
| 28 | 특허 | 클로날 줄기세포를 초함하는 췌장염 치료용 약학적 조성물 | 에스씨엠생명과학주식회사 | 한국 | 19.12.04 | 21.04.27 | SCM-AGH |
| 29 | 대만 | 19.12.13 | - | ||||
| 30 | 미국 | 21.06.14 | - | ||||
| 31 | 유럽 | 21.06.17 | - | ||||
| 32 | 중국 | 21.06.11 | - | ||||
| 33 | 일본 | 21.06.14 | - | ||||
| 34 | 특허 | 클로날 중간엽 줄기세포를 포함하는, 아토피성 피부염 예방 또는 치료용 약학적 조성물 | 에스씨엠생명과학주식회사 | 한국 | 14.12.01 | 16.09.02 | SCM-AGH |
| 35 | 미국 | 20.08.13 | |||||
| 36 | 대만 | 20.01.14 | |||||
| 37 | 한국 | 21.06.11 | |||||
| 38 | 유럽 | 21.06.22 | |||||
| 39 | 중국 | 21.06.25 | |||||
| 40 | 일본 | 21.07.09 | |||||
| 41 | 특허 | 단일 클로날 줄기세포를 이용한 아토피피부염치료방법 | 에스씨엠생명과학주식회사 | 한국 | 20.03.18 | 21.12.15 | SCM-AGH |
| 42 | 미국 | 21.09.17 | |||||
| 43 | 중국 | 21.09.18 | |||||
| 44 | 일본 | 21.09.17 | |||||
| 45 | 유럽 | 21.10.06 | |||||
| 46 | 특허 | 조절 T세포 매개성 질환의 예방 또는 치료용 약학적 조성물 | 에스씨엠생명과학주식회사 | 한국 | 17.02.24 | 19.09.19 | SCM-CGH |
| 47 | 미국 | 18.07.11 | 21.08.24 | ||||
| 48 | 유럽 | 18.07.09 | |||||
| 49 | 중국 | 18.08.02 | 19.12.10 | ||||
| 50 | 일본 | 18.07.04 | 19.09.06 | ||||
| 51 | 호주 | 18.07.05 | 21.01.21 | ||||
| 52 | 러시아 | 18.07.05 | 20.07.24 | ||||
| 53 | 인도네시아 | 18.07.09 | 21.05.20 | ||||
| 54 | 말레이시아 | 18.07.16 | |||||
| 55 | 싱가포르 | 18.06.26 | |||||
| 56 | 싱가포르 | 19.12.12 | |||||
| 57 | 베트남 | 18.07.24 | |||||
| 58 | 특허 | hPL 함유 배지에서 배양된 중간엽 줄기세포의 배양액을 포함하는 화장료 조성물 | 에스씨엠생명과학주식회사 | 한국 | 19.05.02 | 21.11.02 | 줄기세포 배양액 |
| 59 | 유럽 | 21.10.15 | |||||
| 60 | 중국 | 21.10.25 | |||||
| 61 | 미국 | 21.10.29 | |||||
| 62 | 일본 | 21.11.01 | |||||
| 63 | 특허 | 줄기세포 프라이밍 조성물 및 프라이밍된 줄기세포 | 에스씨엠생명과학주식회사 | 한국 | 20.12.23 | 줄기세포 기능강화 | |
| 64 | PCT | 21.12.21 | |||||
| 65 | 특허 | 염증 자극된 중간엽 줄기세포를 포함하는 면역질환 또는 염증 질환의 예방 또는 치료용 약학적 조성물 (Pharmaceutical composition for prevention or treatment of immune diseases and inflammatory diseases comprising immunogenic stimulated mesenchymal stem cells) | 에스씨엠생명과학주식회사 | 한국 | 16.09.07 | 18.01.02 | SCM-CGH |
| 66 | 미국 | 19.03.07 | - | ||||
| 67 | 일본 | 19.03.07 | - | ||||
| 68 | 유럽 | 19.04.04 | - | ||||
| 69 | 특허 | CXCL1(chemokine (CXC motif) ligand 1) 단백질을 유효성분으로 포함하는 탈모 예방 또는 치료용 약학적 조성물 (Pharmaceutical composition for preventing or treating hair loss comprising CXCL1 protein) | 에스씨엠생명과학주식회사 | 한국 | 16.08.08 | 16.09.07 | IRORO 모발 제품 (샴푸, 트리트먼트, 세럼) |
| 70 | 러시아 | 18.05.17 | 20.01.16 | ||||
| 71 | 특허 | CXCL1단백질 및 미녹시딜을 유효성분으로 포함하는 탈모 예방 또는 치료용 약학적 조성물 (Pharmaceutical composition for preventing or treating hair loss comprising CXCL1 protein) | 에스씨엠생명과학주식회사 | 한국 | 17.08.08 | 19.07.09 | IRORO 모발 제품 (샴푸, 트리트먼트, 세럼) |
| 72 | 일본 | 17.08.08 | 18.05.25 | ||||
| 73 | 미국 | 18.06.21 | 19.12.24 | ||||
| 74 | 중국 | 17.08.08 | 21.05.28 | ||||
| 75 | 유럽 | 17.08.08 | 19.07.24 | ||||
| 76 | 러시아 | 18.07.04 | 19.12.17 | ||||
| 77 | 특허 | TYMP(thymidine phosphorylase) 단백질을 유효성분으로 포함하는 탈모 예방 또는 치료용 약학적 조성물 ( PHARMACEUTICAL COMPOSITION COMPRISING THYMIDINE PHOSPHORYLASE (TYMP) PROTEIN AS EFFECTIVE INGREDIENT FOR PREVENTION OR TREATMENT OF HAIR LOSS) | 에스씨엠생명과학주식회사 | 한국 | 16.08.08 | 16.10.26 | IRORO 모발 제품 (샴푸, 트리트먼트, 세럼) |
| 78 | PCT | 17.07.27 | - | ||||
| 79 | 특허 | 줄기세포의 기능강화용조성물 | 에스씨엠생명과학주식회사 | 한국 | 20.01.06 | 21.06.17 | 줄기세포 기능강화 |
| 80 | PCT | 20.11.24 | - | ||||
| 81 | 특허 | 기능강화 줄기세포를 포함하는 아토피 피부염 예방 또는 치료용 조성물 | 에스씨엠생명과학주식회사 | 한국 | 21.05.18 | - | 줄기세포 기능강화 |
| 82 | 특허 | 기능강화 줄기세포 및 조절 T세포를 포함하는 아토피 피부염 예방 또는 치료용 병용투여 조성물 | 에스씨엠생명과학주식회사 | 한국 | 21.06.01 | - | 줄기세포 기능강화 |
| 83 | 상표 | SCM | 에스씨엠생명과학주식회사 | 한국 | 18.07.13 | 19.10.29 | - |
| 84 | 상표 | SCM Subfractionation Culturing Method |
에스씨엠생명과학주식회사 | 한국 | 18.07.13 | 19.10.29 | - |
| 85 | 상표 | SCM Stem Cell Medicine |
에스씨엠생명과학주식회사 | 한국 | 18.07.13 | 19.10.29 | - |
| 86 | 상표 | SCM Specialized Cell Medicine |
에스씨엠생명과학주식회사 | 한국 | 21.01.05 | - | - |
| 87 | 상표 | 이로로 문양 | 에스씨엠생명과학주식회사 | 한국 | 18.06.27 | 19.04.01 | - |
| 88 | 상표 | 이로로 문양 | 에스씨엠생명과학주식회사 | 일본 | 21.08.31 | - | - |
| 89 | 상표 | 이로로 문자 | 에스씨엠생명과학주식회사 | 한국 | 18.07.04 | 19.04.25 | - |
| 90 | 상표 | Iroro Nutreatment | 에스씨엠생명과학주식회사 | 한국 | 21.09.17 | - | - |
| 91 | 상표 | 엔세리아 문자 | 에스씨엠생명과학주식회사 | 한국 | 18.05.08 | 18.12.11 | - |
| 92 | 상표 | 베라셀 문자 | 에스씨엠생명과학주식회사 | 한국 | 18.05.08 | 18.12.11 | - |
| 93 | 상표 | 베라움 문자 | 에스씨엠생명과학주식회사 | 한국 | 18.05.08 | 18.12.11 | - |
【 전문가의 확인 】
1. 전문가의 확인
당사는 보고서 작성기준일 현재 해당사항이 없습니다.
2. 전문가와의 이해관계
당사는 보고서 작성기준일 현재 해당사항이 없습니다.